Presentación de caso
Hidatidosis mesentérica y hepática en la costa caribe colombiana. Reporte de caso
Mesenteric and hepatic hydatid disease on the Colombian Caribbean coast. Case report
Hidatidosis mesentérica y hepática en la costa caribe colombiana. Reporte de caso
Revista Colombiana de Cirugía, vol. 39, núm. 2, pp. 326-331, 2024
Asociación Colombiana de Cirugía
Recepción: 02 Febrero 2023
Aprobación: 11 Mayo 2023
Publicación: 27 Noviembre 2023
Resumen
Introducción: La hidatidosis o equinococosis es una zoonosis parasitaria que se adquiere al ingerir huevos de cestodos del género Echinococcus. El diagnóstico clínico raramente se hace en sitios no endémicos. La mayoría de los pacientes se encuentran asintomáticos y los hallazgos incidentales en los estudios de imágenes o en procedimientos quirúrgicos permiten la sospecha diagnóstica.
Caso clínico: Paciente masculino de 70 años, residente en área rural del municipio de Puerto Libertador, departamento de Córdoba, Colombia, quien consultó por masa abdominal en epigastrio y mesogastrio, parcialmente móvil e indolora.
Resultados: En cirugía se identificaron lesiones quísticas mesentérica y hepática. Después de la cirugía y mediante estudios de inmunohistoquímica, se confirmó el diagnóstico de quiste hidatídico. El paciente tuvo una evolución satisfactoria.
Conclusión: La hidatidosis quística mesentérica y hepática sintomática es una enfermedad rara en sitios no endémicos, donde la cirugía constituye un pilar fundamental en el diagnóstico y tratamiento, sumado al manejo médico farmacológico.
Palabras clave: Equinococosis+ equinococosis hepática+ zoonosis+ mesenterio+ laparotomía.
Abstract
Introduction: Hydatidosis or echinococcosis is a parasitic zoonosis that is acquired by ingesting eggs of cestodes of the genus Echinococcus. Clinical diagnosis is rarely made in non-endemic sites. Most patients are asymptomatic and incidental findings on imaging studies or surgical procedures allow for diagnostic suspicion.
Clinical case: A 70-year-old male patient, resident in a rural area of the municipality of Puerto Libertador, department of Córdoba, Colombia, who consulted for an abdominal mass in the epigastrium and mesogastrium, partially mobile and painless.
Results: In surgery, mesenteric and hepatic cystic lesions were identified. After surgery and through immunohistochemistry studies, the diagnosis of hydatid cyst was confirmed. The patient had a satisfactory evolution.
Conclusion: Symptomatic mesenteric and hepatic cystic hydatidosis is a rare disease in non-endemic sites, where surgery constitutes a fundamental pillar in the diagnosis and treatment in addition to pharmacological medical management.
Keywords: Echinococcosis, hepatic echinococcosis, zoonosis, mesentery, laparotomy.
Introducción
La enfermedad hidatídica es una zoonosis parasitaria propia de perros y otros animales carnívoros, causada por formas larvarias de la clase Cestodo, del orden Cyclophyllidea, Familia Taeniidae, Género Echinococcus. Existen diferentes especies de Echinococcus, pero solo cuatro han sido consideradas relevantes en la enfermedad en humanos: E. granulosus, que se relaciona con hidatidosis quística en el 90 % de los casos; E. multilocular, con hidatidosis alveolar; E. vogeli, relacionada con la presentación poliquística, y E. oligarthrus, relacionada con quistes únicos 1.
Los casos confirmados en Colombia y otros países tropicales de América Latina son del tipo poliquístico invasor, y comprometen principalmente el hígado y el peritoneo 2. Existen tres variedades de quistes, el unilocular, el multilocular y el poliquístico, los dos últimos de forma esponjosa, similar a un panal de abejas, que invaden los tejidos de manera similar al cáncer 3.
Los quistes no complicados suelen ser asintomáticos. La presencia de síntomas está comúnmente relacionada con complicaciones y varía con respecto a la ubicación de los quistes hidatídicos. Los quistes sintomáticos suelen ser mayores de 5-10 cm 4.
Caso clínico
Paciente masculino de 73 años, exfumador, con antecedente de faquectomía bilateral y cuadro clínico de masa epigástrica de tres años de evolución, por lo que fue evaluado por cirugía oncológica y se llevó a laparotomía exploratoria, con toma de biopsia de peritoneo no concluyente. En el examen físico se detectó una masa mal definida en la región epigástrica y mesogástrica, parcialmente móvil e indolora.
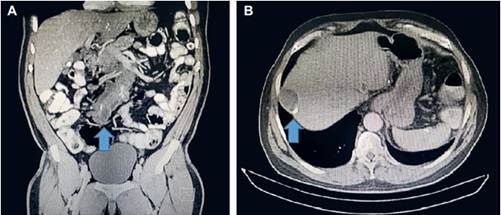
La endoscopia digestiva alta informó hernia hiatal de 2 cm, gastritis eritematosa antral sin evidencia de atrofia, metaplasia intestinal o displasia. La colonoscopia fue reportada como normal. La tomografía computarizada (TC) de tórax y abdomen mostró masa tumoral en la raíz del mesenterio, nódulos hipodensos de paredes calcificadas, hacia el hemiabdomen inferior derecho de contornos lobulados de 9 x 9 cm, y otra localizada en la región pre-rectal de 38 mm, un nódulo hipodenso hepático del segmento VIII, de 43 x 30 mm con pared calcificada, y colelitiasis múltiple (Figura 1).

Se realizó laparotomía exploratoria encontrando síndrome adherencial peritoneal Clasificación Zühlke grado II - Escala modificada de Granat III - Escala de severidad de Mazuji grado 2; múltiples lesiones en forma de panal o tubérculo calcificado, de diferentes tamaños, dependientes del mesenterio del intestino delgado, mesenterio rectal, páncreas y retroperitoneo, con contenido de aspecto gelatinoso, color pardo, asociado a quistes perlados; y una lesión calcificada en el lóbulo hepático derecho adherida al hemidiafragma del mismo lado (Figura 2). Se practicó liberación de adherencias peritoneales, resección del tumor retroperitoneal y omentectomía parcial.

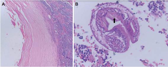
El paciente evolucionó de forma adecuada y posteriormente fue dado de alta. El estudio de patología macroscópica informó una masa de tejido de color pardo, de consistencia firme, de 20 x 14 cm, con evidencia de tejido adiposo maduro vascularizado adherido. Al corte, con múltiples áreas cavitadas con evidencia de material grumoso y gelatinoso en su interior. Mediante microscopia se observó tejido fibroso de colágeno dado por proliferación fusocelular, sin evidencia de atipia citológica y carente de actividad mitótica, entremezclados con tejido adiposo maduro con calcificaciones distróficas, acompañados de congestión vascular e inflamación crónica moderada, sin observarse necrosis tumoral. La inmunohistoquímica en bloques de parafina de las lesiones del mesenterio informó quistes hidatídicos con proceso inflamatorio crónico asociado, sin evidencia de malignidad (Figura 3).

Por parte del servicio de infectología se indicó inicio de tratamiento antiparasitario con 400 mg de albendazol vía oral, cada 12 horas por un mes, presentando buena tolerancia y respuesta al tratamiento.
Discusión
La incidencia y prevalencia de la hidatidosis quística ha disminuido de manera significativa en las últimas décadas, pero continúa siendo un importante problema de salud pública en varios países y regiones alrededor del mundo. La mayor prevalencia de hidatidosis en huéspedes humanos y animales se encuentra en países de las zonas templadas, incluidas las regiones mediterráneas, el sur y el centro de Rusia, Asia central, China continental, Australia, América del Sur y norte y este de África 5. En América Latina las zonas con mayor incidencia acumulada de infección por Echinococcus son Argentina, el sur de Brasil, Uruguay, Chile y las regiones montañosas de Perú y Bolivia. En la costa caribe de Colombia se han reportados muy pocos casos 6, por lo que este trabajo resalta la importancia de considerar la hidatidosis como una alternativa diagnóstica en la patología quística del abdomen.
Gran parte de los casos pueden cursar asintomáticos. Cuando se presentan síntomas, los mismos dependen del órgano comprometido; los más frecuentes se asocian al compromiso hepático, e incluyen dolor, masa palpable, ictericia y fiebre; mientras los quistes pulmonares pueden producir tos y hemoptisis. Para realizar el diagnóstico, es fundamental sospecharlo y establecer el nexo epidemiológico; la presencia de mascotas, principalmente perros, el trabajo de campo y la dificultad en el acceso a medidas de higiene, son factores predisponentes para la infección por Ecchinococcus7. El compromiso mesentérico es raro y de curso asintomático, a menos que se presenten complicaciones derivadas, como sucedió en el presente caso clínico.
Las imágenes diagnósticas son parte fundamental en el estudio de lesiones quísticas en diferentes localizaciones. Cuando hay compromiso abdominal, la ecografía tiene sensibilidad del 88 % y especificidad del 100 %. La tomografía computarizada y la resonancia nuclear magnética tienen un mayor grado de sensibilidad, pero solo están indicadas cuando la ecografía no logra tipificar los quistes de manera adecuada, o cuando el enfoque inicial corresponde a una sospecha diagnóstica diferente. La radiografía de tórax y la TC son las imágenes de elección en el estudio de las localizaciones pulmonares 8.
Las serologías son útiles para el abordaje diagnóstico por Echinococcus. Puede llevarse a cabo por diferentes técnicas incluyendo ensayo por hemoaglutinación indirecta, ELISA, inmunotransferencia e inmunoelectroforesis, con sensibilidad que varía entre el 60-80 % y especificidad entre el 76-99 %. El patrón de oro es la confirmación histopatológica de muestras obtenidas por cirugía. Su variabilidad depende de la ubicación anatómica y la etapa activa de los quistes. Un resultado negativo no excluye la patología en un paciente con alta sospecha clínico-imagenológica 9,10. En este paciente no fue posible realizar serología dado la falta de disponibilidad de reactivos, pero el diagnostico fue confirmado por el estudio histopatológico.
La cirugía sigue siendo el pilar principal en el manejo de la enfermedad hidatídica sintomática, pero es necesario asociar el tratamiento farmacológico con benzimidazoles. En todos los casos de pacientes sintomáticos o con evidencia de complicaciones asociadas a los quistes (ruptura, absceso, apertura a la vía biliar, transito toracoabdominal), el manejo ideal es quirúrgico (vía abierta o laparoscópica) y, siempre que sea posible, se deberá realizar profilaxis con albendazol a dosis de 15 mg/kg/día por al menos dos semanas antes de la cirugía, y en el periodo postoperatorio se recomienda realizar tres ciclos similares de manejo con antiparasitario; similar a lo indicado en nuestro paciente 11,12.
Los estudios imagenológicos constituyen el seguimiento de elección. Se aconseja monitoreo ecográfico a los 3, 6 y 12 meses después de iniciado el tratamiento. Si durante este tiempo se muestra una involución adecuada de las estructuras quísticas y el paciente persiste asintomático, se aconseja continuar monitoreo ecográfico anual hasta por lo menos 10 años postratamiento, antes de definir la terminación del seguimiento 13.
Conclusión
La hidatidosis quística mesentérica y hepática es una zoonosis parasitaria rara, que debe tenerse en cuenta aún en sitios no endémicos y pacientes sin nexos epidemiológicos, especialmente ante la presencia de patología quística intraabdominal. El diagnóstico precoz y el tratamiento farmacológico oportuno evitan el riesgo que genera las fases evolutivas viscerales de la enfermedad sintomática. La cirugía cumple un papel importante en el manejo y confirmación diagnostica de la enfermedad hidatídica sintomática complicada.
Referencias
Velioglu M, Diktas H, Kabalak B, Tüfekci H, Cermik H, Akar I, et al. Giant isolated mesenteric hydatid cyst case report without organ involvement. Turkiye Parazitol Derg. 2014;38:194-6. https://doi.org/10.5152/tpd.2014.3481
Gómez G, Córdoba E, Córdoba A. Quiste hidatídico hepático. Rev Colomb Gastroenterol. 2003;18:183-6.
Pinto PP. Diagnóstico, tratamiento y seguimiento de la hidatidosis. Rev Chil Cir. 2017;69:94-8. https://doi.org/10.1016/j.rchic.2016.10.001
McManus DP, Zhang W, Li J, Bartley PB. Echinococcosis. Lancet. 2003;362:1295-1304. https://doi.org/10.1016/S0140-6736(03)14573-4
Tünger Ö. Epidemiology of cystic echinococcosis in the world. Turkiye Parazitol Derg. 2013:37:47-52. https://doi.org/10.5152/tpd.2013.12
Cucher MA, Macchiaroli N, Baldi G, Camicia F, Prada L, Maldonado L, et al. Cystic echinococcosis in South America: systematic review of species and genotypes of Echinococcus granulosus sensu lato in humans and natural domestic hosts. Trop Med Int Heal. 2016;21:166-75. https://doi.org/10.1111/tmi.12647
Schipper HG, Kager PA. Diagnosis and treatment of hepatic echinococcosis: an overview. Scand J Gastroenterol. 2004;241:50-5. https://doi.org/10.1080/00855920410011004
Macpherson CNL, Bartholomot B, Frider B. Application of ultrasound in diagnosis, treatment, epidemiology, public health and control of Echinococcus granulosus and E. multilocularis. Parasitology. 2003;127:S21-35. https://doi.org/10.1017/s0031182003003676
Zait H, Hamrioui B. Human cystic echinococcosis: Serological diagnosis by indirect hemagglutination test, enzyme-linked immunosorbent assay, immunoelectrophoresis, and immunoblotting in surgically confirmed patients versus cases diagnosed by imaging techniques. Med Mal Infect. 2019;50:676-83. https://doi.org/10.1016/j.medmal.2019.10.001
Brunetti E, White Jr AC. Cestode infestations: Hydatid disease and cysticercosis. Infect Dis Clin North Am. 2012;26:421-35. https://doi.org/10.1016/j.idc.2012.02.001
Mihmanli M, Idiz UO, Kaya C, Demir U, Bostanci O, Omeroglu S, et al. Current status of diagnosis and treatment of hepatic echinococcosis. World J Hepatol. 2016;8:1169-81. https://doi.org/10.4254/wjh.v8.i28.1169
Brunetti E, Junghanss T. Update on cystic hydatid disease. Curr Opin Infect Dis. 2009;22:497-502. https://doi.org/10.1097/QCO.0b013e328330331c
Tamarozzi F, Nicoletti GJ, Neumayr A, Brunetti E. Acceptance of standardized ultrasound classification, use of albendazole, and long-term follow-up in clinical management of cystic echinococcosis: a systematic review. Curr Opin Infect Dis. 2014;27:425-31. https://doi.org/10.1097/QCO.0000000000000093
Notas
Cumplimiento de normas éticas
Notas de autor
- Adquisición de datos: César Ensuncho-Hoyos, Rafael Oviedo-Martínez.
- Análisis e interpretación de datos: César Ensuncho-Hoyos, Rafael Oviedo-Martínez, Mara García-Posada.
- Redacción del manuscrito: César Ensuncho-Hoyos, Rafael Oviedo-Martínez, Mara García-Posada, William Andrés León-Tirado.
- Revisión crítica: César Ensuncho-Hoyos, Mara García-Posada, William Andrés León-Tirado.
aCorrespondencia: César Ensuncho-Hoyos, Carrera 9 # 56-72, Montería, Colombia. Teléfono: +57 300 817 0499. Dirección electrónica: censunch@gmail.com
Declaración de intereses