Artículo Original
Apendicectomía en pacientes con situs inversus: Serie de tres casos con manejo laparoscópico
Appendectomy in patients with situs inversus: Three cases series with laparoscopic approach
Apendicectomía en pacientes con situs inversus: Serie de tres casos con manejo laparoscópico
Revista Colombiana de Cirugía, vol. 39, no. 4, pp. 578-584, 2024
Asociación Colombiana de Cirugía
Received: 14 November 2023
Accepted: 29 February 2024
Published: 15 May 2024
Resumen
Introducción: La transposición de los órganos debido al situs inversus (SI) es una rara afección que dificulta el diagnóstico de la apendicitis aguda. Esta condición hace que la sintomatología del paciente y los hallazgos al examen físico puedan ser atípicos, lo que demanda el uso de imágenes para la confirmación diagnóstica en la mayoría de los casos.
Métodos: Se describieron tres casos de apendicitis en pacientes con diagnóstico de situs inversus. Dos de ellos tenían el antecedente conocido, mientras el tercer caso fue diagnosticado de forma intraoperatoria.
Resultados: En dos pacientes se decidió llevar a cirugía vía laparoscópica sin imágenes diagnósticas adicionales. Los pacientes evolucionaron de manera satisfactoria.
Conclusión: Siempre se debe considerar la apendicitis dentro de los diagnósticos diferenciales en los pacientes con dolor en fosa ilíaca izquierda. Es fundamental diagnosticar y tratar la apendicitis de manera efectiva para minimizar las complicaciones asociadas. La importancia de la anamnesis y la sospecha clínica del examinador son vitales en estos casos, que se pueden confirmar con las imágenes diagnósticas. Pueden existir casos en donde la condición clínica del paciente no permita la realización de estudios diagnósticos por imágenes; esto apoya cada vez más el uso del abordaje laparoscópico. Se recomienda considerar el abordaje laparoscópico en primera instancia, ya que nos permite la confirmación diagnóstica de situs inversus totalis en caso de que el antecedente sea desconocido y facilita el manejo oportuno de la urgencia.
Palabras clave: Situs inversus+ síndrome de Kartagener+ apendicitis+ apendicectomía+ laparoscopía+ diagnóstico diferencial.
Abstract
Introduction: Organ transposition due to situs inversus (SI) is a rare condition that makes the diagnosis of acute appendicitis difficult. This condition entails that the patient’ symptoms and physical examination findings may be atypical, which requires the use of images for diagnostic confirmation in most cases.
Clinical cases: Three cases of appendicitis in patients diagnosed with situs inversus are described. Two of them had a known medical history, while the third case was diagnosed intraoperatively.
Results: In two patients it was decided to undergo laparoscopic surgery without additional diagnostic images. The patients progressed satisfactorily.
Conclusion: Appendicitis should always be considered in the differential diagnoses in patients with pain in the left iliac fossa. It is essential to diagnose and treat appendicitis effectively to minimize associated complications. The importance of the anamnesis and the examiner’s clinical suspicion are vital in these cases, which can be confirmed with diagnostic images. There may be cases where the patient’s clinical condition does not allow diagnostic imaging studies to be performed, increasingly supports the use of the laparoscopic approach. It is recommended to consider the laparoscopic approach in the first instance, since it allows us to confirm the diagnosis of situs inversus totalis in case the history is unknown and facilitates timely management of the emergency.
Keywords: Situs inversus, Kartagener syndrome, appendicitis, appendectomy, laparoscopy, differential diagnosis.
Introducción
La transposición de los órganos, tanto torácicos cómo abdominales, debido a situs inversus (SI) es una afección rara, que afecta al 0,001-0,01 % de la población 1,2. Se ha descrito una incidencia de situs inversus totalis (SIT) de 1/8.000 - 1/25.000 nacidos vivos en la población general 3 y una incidencia de situs inversus parcial (SIP) de 1/22.000, con una relación mujer-hombre de 1:1,5 4. Este trastorno altera la anatomía usual, por lo que dificulta el diagnóstico de diferentes patologías.
Los pacientes con situs inversus totalis en el mundo tienen una incidencia de apendicitis aguda de 0,016-0,024 %, sin embargo, no encontramos estadísticas sobre la incidencia de apendicitis en la población colombiana con situs inversus. Se presenta en pacientes con una edad promedio de 29,3 ± 16,1 años 4 y, generalmente, con alguna complicación 1.
Existen cuatro trastornos que pueden hacer que el apéndice se sitúe del lado izquierdo, que por orden de frecuencia se tratan de transposición visceral (situs inversus), malrotación intestinal, ciego errante con un mesenterio largo y apéndice de longitud excesiva que cruza la línea media 5. El objetivo de este artículo fue describir los casos de apendicitis en pacientes con diagnóstico de situs inversus atendidos en nuestra institución.
Métodos
Estudio descriptivo retrospectivo donde se describen tres casos clínicos de apendicitis aguda en pacientes diagnosticados con situs inversus, que fueron sometidos a cirugía en la clínica Juan N. Corpas, en Bogotá, D.C., Colombia, entre los años 2021-2022. La información se obtuvo mediante la revisión de las historias clínicas.
Resultados
Caso clínico 1
Paciente masculino de 15 años, quien acudió a urgencias por cuadro clínico de un día de evolución consistente en dolor abdominal generalizado tipo cólico, constante y progresivo, que posteriormente migró a fosa iliaca izquierda, asociado a náusea y vómito. Como antecedente de importancia fue diagnosticado con síndrome de Kartagener y situs inversus totalis, requiriendo pielostomía por hidronefrosis a los 8 meses de edad. Al examen físico presentaba taquicardia sin fiebre y tensión arterial normal, con dolor a la palpación abdominal generalizada, de mayor intensidad en fosa iliaca izquierda, con signos de irritación peritoneal dados por un signo de Blumberg positivo, al igual que los signos de psoas, obturador y Dunphy. Los paraclínicos mostraron leucocitosis (11.270 células por microlitro), con neutrofilia e incremento significativo de la proteína C reactiva (PCR). A razón de la alta sospecha de apendicitis aguda, ya que por el antecedente se determinó que su apéndice se ubicaba en fosa iliaca izquierda, con una puntuación de Alvarado en 9, se inició antibioticoterapia y se decidió realizar apendicectomía por laparoscopia.
Mediante la laparoscopia se confirmó el situs inversus y un apéndice subseroso en la fosa iliaca izquierda, inflamado en fase fibrinopurulenta, con área de fibrosis y paredes severamente engrosadas en la punta, emplastronado con epiplón. Se llevó a cabo la liberación del apéndice y se completó la apendicectomía sin complicaciones (Figura 1). El paciente tuvo adecuada evolución postoperatoria y se dio egreso al siguiente día. Se confirmó el diagnóstico de apendicitis mediante el estudio histopatológico.

Caso clínico 2
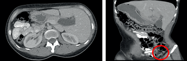
Paciente femenina de 34 años, quien consultó a urgencias por cuadro clínico de tres días de evolución consistente en dolor abdominal generalizado, tipo cólico, constante, de intensidad progresiva, que se irradiaba a región lumbar y posteriormente migró a fosa iliaca izquierda, asociado a distensión abdominal, náuseas e hiporexia. Como antecedente de importancia, fue diagnosticada con situs inversus totalis a los 24 años por ecografía para estudio de lumbalgia crónica. Al examen físico presentaba signos vitales dentro de límites normales y dolor a la palpación abdominal generalizada, de mayor intensidad en fosa iliaca izquierda, sin signos de irritación peritoneal. El hemograma no mostró leucocitosis ni neutrofilia, por lo que se solicitó ecografía abdominal, la cual reportó edema de la pared del apéndice cecal con presencia de un fecalito en su interior. Durante la evolución clínica la paciente presentó mejoría significativa del dolor; debido a la pobre correlación clínico-radiológica, se decidió confirmar el diagnóstico con una tomografía computarizada con contraste (Figura 2), que mostró la presencia de apendicitis con localización en fosa iliaca izquierda. En consecuencia, se inició antibioticoterapia y se procedió a realizar apendicectomía vía laparoscópica, con la cual se identificó la transposición de órganos abdominales y un apéndice en fase edematosa en la fosa iliaca izquierda (Figura 3), junto con múltiples adherencias de epiplón a la pared abdominal en hemiabdomen inferior y focos de endometriosis en fimbria y región ampular de la trompa izquierda con congestión, clasificados como grado III. Se llevó a cabo la liberación del apéndice y se completó la apendicectomía sin complicaciones. El diagnóstico de apendicitis se confirmó mediante el estudio histopatológico.


Caso clínico 3
Paciente femenina de 20 años, sin antecedentes de importancia, quien consultó a urgencias por cuadro clínico de 10 horas de evolución consistente en dolor hipogastrio, tipo cólico, de intensidad 6/10, no irradiado, asociado a episodios eméticos de contenido alimentario, náusea, hiporexia y distensión abdominal. Al examen físico presentaba signos vitales normales y dolor a la palpación abdominal generalizada, de mayor intensidad en fosa iliaca izquierda, con signos de Rovsing, psoas y talón contralateral positivos. El hemograma mostró leucocitosis con neutrofilia, la prueba de embarazo fue negativa y el uroanálisis no documentó signos de infección. Dada la alta sospecha de apendicitis, se procedió a realizar laparoscopia diagnóstica, en la cual se identificó situs inversus de colon y apéndice cecal en fosa iliaca izquierda en fase gangrenosa. Se hizo la liberación del apéndice y apendicectomía con colocación de endoclips Hem-o-lok® largos (morados) debido al tamaño del apéndice. La paciente cursó con adecuada evolución postoperatoria, lo que permitió el alta hospitalaria. El estudio histopatológico confirmó la apendicitis en fase gangrenosa.
Discusión
El situs inversus es una condición congénita rara que, en general, está asociada a algunas malformaciones genéticas en las cuales la disposición de los órganos se encuentra en el lado contrario a su posición habitual. Dentro de estas enfermedades genéticas, se han descrito alteraciones en genes autosómicos recesivos, principalmente ubicados en el brazo largo del cromosoma 14, así como supresiones que afectan a los cromosomas 7 y 8 6-8. Una gran parte de los pacientes no presentan ninguna sintomatología y el situs inversus puede ser silencioso. En muchos casos, este trastorno es un hallazgo incidental cuando los pacientes acuden a servicios médicos con patologías comunes que requieren imágenes diagnósticas, como la tomografía computarizada (TC).
La literatura documenta que la apendicitis en fosa iliaca izquierda es un hallazgo poco común, el cual se encuentra asociado a patologías que provocan situs inversus totalis o parcial, como el síndrome de Kartagener. En este síndrome, se produce una mutación durante la tercera semana de embriogénesis, específicamente en la etapa de gastrulación, que involucra el factor de crecimiento fibroblástico 8, el gen Lefty1 y PITX2 6,9.
En la población general la apendicitis aguda es una de las causas más frecuentes de dolor abdominal que requiere intervención quirúrgica de emergencia, con una incidencia anual mundial de 96,5 a 100 casos por 100.000 adultos 10 y un riesgo de presentación del 7-8 % en la población general 11. En su forma típica, que se observa en aproximadamente el 60 % de los pacientes 12, el dolor inicia alrededor del epigastrio, luego se irradia hacia la región periumbilical y generalmente va acompañado de náuseas y vómito. Unas horas después, el dolor migra a fosa iliaca derecha, ubicándose en el punto de McBurney. En ocasiones se presenta fiebre e hiporexia.
Esa sintomatología es similar en los pacientes con SIT, sin embargo, debido a la transposición de órganos 9 y a la disposición anatómica alterada, la localización de los signos clínicos se encuentra en el lado contrario, lo que a menudo conduce a un diagnóstico erróneo. En los pacientes cuya condición de SIT es desconocida, el diagnóstico de apendicitis es aún más desafiante y lleva al médico a considerar otras entidades clínicas que pueden causar dolor abdominal en cuadrante inferior izquierdo del abdomen, como diverticulitis, obstrucción intestinal, enteritis regional, divertículo de Meckel, hernia encarcelada o estrangulada, absceso del psoas, urolitiasis, infecciones de vías urinarias, quistes ováricos, enfermedad pélvica inflamatoria, embarazo ectópico, epididimitis, prostatitis y torsión testicular 5,13,14.
Debido a las anormalidades en la transposición del sistema nervioso central que se reportan en el SIT, el dolor en el cuadrante inferior izquierdo se presenta en un 62 % de los pacientes, en el cuadrante inferior derecho en un 14 % y bilateral en un 7 %. Esta condición dificulta el diagnóstico clínico de apendicitis 15-17.
En una revisión realizada por Aljure V, et al. 6, se resalta la importancia de la semiología y la evaluación del examen físico, principalmente el uso de la auscultación y la percusión. Dado que en el situs inversus los órganos se encuentran en ubicaciones anatómicas diferentes, la búsqueda de los focos auscultatorios cardíacos y la percusión de la matidez hepática adquieren relevancia para la sospecha y el diagnóstico de situs inversus.
La literatura describe las imágenes diagnósticas preoperatorias como método para diagnosticar situs inversus, con un uso del 86 % de radiografías de tórax, un 57 % de ultrasonografías abdominales y, en muchos casos, ambos estudios.
Cuando el antecedente de situs inversus está claro y la clínica se asemeja a la de la apendicitis en la población general, no es indispensable la realización de estudios imagenológicos en pacientes masculinos y en mujeres en edad no reproductiva. Si se considera la necesidad de imágenes para la confirmación diagnóstica, la ecografía cuenta con una sensibilidad del 59-96 % y una especificidad del 83-98 % para detectar apendicitis en la ubicación anatómica habitual 18, lo que la convierte en una herramienta más accesible en términos de tiempo y costo en comparación con la TC, sin embargo, ésta última tiene una sensibilidad y especificidad del 99 % para la detección de apendicitis, incluso en pacientes con SIT. Se encontró que la tomografía computarizada (TC) tiene sensibilidad y especificidad del 99 % para identificar las anomalías anatómicas asociadas al situs inversus, lo que proporciona un diagnóstico preciso y guía las consideraciones quirúrgicas de manera adecuada 6.
En la revisión de la literatura se identificaron 226 artículos publicados desde 1935, que describen un cambio en la preferencia del manejo quirúrgico. Se constata el progreso tecnológico asociado a la introducción de la laparoscopia en 1981, sin embargo, en una revisión sistemática recientemente publicada por Di Buono G, et al. 14, se reportó que el 27,4 % de los pacientes fueron sometidos a apendicectomía laparoscópica, mientras que en un 69,9 % se practicó apendicectomía por vía abierta. Estos hallazgos indican que en gran parte del mundo aún prevalece un alto porcentaje de casos en los que se realiza el abordaje quirúrgico por laparotomía.
Según esa revisión sistemática, el caso 1, que contaba con antecedentes conocidos de SIT y síndrome de Kartagener antes de la presentación de la apendicitis y no requirió imágenes diagnósticas, se podría incluir en el 2,7 % de los casos que presentan apendicitis con síndrome de Kartagener y en el 11 % de los pacientes que se diagnostican clínicamente 14. El caso 2, que tenía antecedente conocido de SIT, concuerda con el uso de TC en el 64,4 % de los casos y de ecografía abdominal en el 17,3 % para su diagnóstico 14. Mientras el caso 3, que no tiene antecedente de SIT y no se realizaron imágenes diagnósticas debido a la evolución clínica, se encuentra en el 6,8 % (4 casos similares) del total de los casos reportados desde 1995 14.
Conclusión
Siempre se debe considerar la apendicitis dentro de los diagnósticos diferenciales en los pacientes con dolor en fosa iliaca izquierda. Es fundamental diagnosticar y tratar la apendicitis de manera efectiva para minimizar las complicaciones asociadas. La importancia de la anamnesis y la sospecha clínica del examinador son vitales en estos casos, por lo que los antecedentes personales del paciente deben ser una prioridad en el interrogatorio. Además, un examen físico adecuado, con la búsqueda de los ruidos cardíacos y la matidez hepática, orienta el diagnóstico de situs inversus totalis y de apendicitis, con los signos clásicos en casos de transposición, lo que reduce el tiempo necesario para la sospecha diagnóstica. Se recomienda considerar el abordaje laparoscópico en primera instancia, ya que nos permite la confirmación diagnóstica de situs inversus totalis en caso de que el antecedente sea desconocido y facilita el manejo oportuno de la urgencia.
Referencias
Herrera-Moncada IC, Zuluaga-Restrepo JD, Meza MM. Apendicitis aguda en situs inversus totalis: reporte de un caso. Rev CES Med. 2012;26:209-14.
Castro DJ, De Faria A, Fuenmayor L. Case study of a sphincterotomy to remove stones from the common bile duct cholelithiasis biliary in a patient with total situs inversus. Rev Colomb Gastroenterol. 2013;28:139-41.
Casey B. Two rights make a wrong: human left-right malformations. Hum Mol Genet. 1998;7:1565-71. https://doi.org/10.1093/hmg/7.10.1565
Iusco DR, Sacco S, Ismail I, Bonomi S, Virzì S. Three-trocar laparoscopic cholecystectomy in patient with situs viscerum inversus totalis: Case report and review of the literature. G Chir. 2012;33:10-3.
Arévalo C, Owen-Sáenz K, Tabares C, Bernal F, Borráez BA. Apendicitis aguda izquierda: presentación infrecuente de una enfermedad frecuente. Revisión de la literatura y reporte de un caso. Rev Colomb Cir. 2015;30:146-50. https://doi.org/10.30944/20117582.320
Aljure-Reales VJ, Alvarez-Gallego GC, Ávila-Espitia NC, Arrieta-Coley A, Ángel-Suárez OG. Situs inversus totalis: revisión de tema con aproximación a la Genética y reporte de casos. Rev Colomb Cardiol. 2017;24:40-7. http://dx.doi.org/10.1016/j.rccar.2016.06.016
Reddy A, Paramasivam S, Alexander N, Abhilash Ravisankar V, Thillai M. Management of a patient with situs inversus totalis with acute cholecystitis and common bile duct stones: A case report. Int J Surg Case Rep. 2014;5:821-3. https://doi.org/10.1016/j.ijscr.2014.08.004
Shogan PJ, Folio L. Situs inversus totalis. Mil Med. 2011;176:840-3.
Rosiles-Domínguez JC, Carrillo-Sánchez D, Lever-Rosas CD, Silva-Ortiz J. Apendicetomía en paciente con situs inversus. Reporte de un caso. Rev Sanid Milit México. 2013;67:124-7.
Moris D, Paulson EK, Pappas TN. Diagnosis and management of acute appendicitis in adults: A review. JAMA. 2021;326:2299-311. https://doi.org/10.1001/jama.2021.20502
Cabrera-Rivera PA, Posso-Valencia HJ, Dennis-Verano RJ. Beneficios clínicos y de costos de un modelo de estandarización en el manejo de la apendicitis aguda. Rev Colomb Cir. 2021;36:283-300. https://doi.org/10.30944/20117582.630
Yang CY, Liu HY, Lin HL, Lin JN. Left-sided acute appendicitis: A pitfall in the emergency department. J Emerg Med. 2012;43:980-2. https://doi.org/10.1016/j.jemermed.2010.11.056
Tiwari A, MacMull S, Fox S, Jacob SA. Left sided abdominal pain in a patient with situs inversus. Clin Anat. 2006;19:154-5. https://doi.org/10.1002/ca.20201
Di Buono G, Buscemi S, Galia M, Maienza E, Amato G, Bonventre G, et al. Acute appendicitis and situs viscerum inversus: radiological and surgical approach-a systematic review. Eur J Med Res. 2023;28:85. https://doi.org/10.1186/s40001-023-01059-w
Oh JS, Kim KW, Cho HJ. Left-sided appendicitis in a patient with situs inversus totalis. J Korean Surg Soc. 2012;83:175-8. https://doi.org/10.4174/jkss.2012.83.3.175
Abboud B, Daher R. An exceptional cause of left lower quadrant abdominal pain. World J Gastroenterol. 2009;15:3451. https://doi.org/10.3748/wjg.15.3451
Akbulut S, Caliskan A, Ekin A, Yagmur Y. Left-sided acute appendicitis with situs inversus totalis: review of 63 published cases and report of two cases. J Gastrointest Surg. 2010;14:1422-8. https://doi.org/10.1007/s11605-010-1210-2
Fortea-Sanchis C, Escrig-Sos J, Forcadell-Comes E. Diagnostic yield of abdominal ultrasonography for the diagnosis of acute appendicitis: A global and subgroup analysis. Rev Gastroenterol Mex (Engl Ed). 2020;85:12-7. https://doi.org/10.1016/j.rgmx.2018.11.010
Citar como:
Cumplimiento de normas éticas
Uso de inteligencia artificial:
Fuentes de financiación:
Author notes
aCorrespondencia: Martha Milena Alfonso-Gamba, Calle 146A # 58C-56 Torre 4 Apt 816, Bogotá, D.C., Colombia. Teléfono: (+57) 3142835376. Dirección electrónica: martha.alfonsog@gmail.com
Conflict of interest declaration