Presentación de Caso
Síndrome de la arteria mesentérica superior (Síndrome de Wilkie): A propósito de un caso en una adolescente
Superior mesenteric artery syndrome (Wilkie syndrome): A case report in an adolescent
Síndrome de la arteria mesentérica superior (Síndrome de Wilkie): A propósito de un caso en una adolescente
Revista Colombiana de Cirugía, vol. 39, no. 4, pp. 615-620, 2024
Asociación Colombiana de Cirugía
Received: 29 January 2023
Accepted: 16 June 2023
Published: 12 December 2023
Resumen
Introducción: El síndrome de la arteria mesentérica superior, también conocido como síndrome de Wilkie, es una entidad infrecuente en la que una reducción del ángulo o espacio aorto-mesentérico determina una compresión extrínseca con obstrucción del tercio distal del duodeno, demostrando síntomas y signos característicos de obstrucción intestinal. El pilar del tratamiento es el manejo médico conservador con repleción nutricional, con el objetivo de aumentar el grosor de la grasa retroperitoneal y con esto resolver la compresión duodenal.
Caso clínico: Paciente de 16 años, con un curso crónico marcado por dolor abdominal, estreñimiento, distensión, pirosis y pérdida de peso. Inicialmente se trató como una enfermedad ácido-péptica, con pobre mejoría, por lo que se realizaron estudios imagenológicos con lo que se documentó una disminución del ángulo aortomesentérico.
Resultado: Se instauró un manejo médico con un protocolo de repleción nutricional por vía oral, para lograr ganancia de peso y evitar la cirugía.
Conclusión: Con base a los síntomas y hallazgos en imágenes diagnósticas se hizo el diagnóstico de síndrome de la arteria mesentérica superior, que es una causa de obstrucción intestinal con muy baja incidencia. Su presentación clínica incluye gran variedad de síntomas, entre los que destaca el dolor abdominal y la pérdida de peso. Es frecuente la confusión con otras enfermedades más frecuentes, como enfermedad ácido-péptica, reflujo gastrointestinal y malabsorción. Su diagnóstico requiere un alto índice de sospecha, por lo que es importante conocer esta entidad y considerarla en el estudio de pacientes con los síntomas mencionados.
Palabras clave: Arteria mesentérica superior+ síndrome de la arteria mesentérica superior+ duodeno+ obstrucción intestinal+ dolor abdominal+ dolor crónico.
Abstract
Introduction: Superior mesenteric artery syndrome, also known as Wilkie syndrome, is a rare entity in which a reduction in the aorto-mesenteric angle or space determines extrinsic compression with obstruction of the distal third of the duodenum, demonstrating characteristic symptoms and signs of intestinal obstruction. The mainstay of treatment is conservative medical management with nutritional repletion, with the aim of increasing the thickness of the retroperitoneal fat and thereby resolving duodenal compression.
Clinical case: A 16-year-old patient, with a chronic course marked by abdominal pain, constipation, bloating, heartburn and weight loss. Initially was treated as an acid-peptic disease, with poor improvement. Imaging studies were performed, which documented a decrease in the aorto-mesenteric angle.
Conclusion: Based on the symptoms and findings on diagnostic images, the diagnosis of superior mesenteric artery syndrome was made, which is a cause of intestinal obstruction with a very low incidence. Its clinical presentation includes a wide variety of symptoms, among which abdominal pain and weight loss stand out. Confusion with other more common diseases is common, such as acid-peptic disease, gastrointestinal reflux and malabsorption. Its diagnosis requires a high index of suspicion, so it is important to know this entity and consider it in the study of patients with the aforementioned symptoms.
Keywords: Superior mesenteric artery, superior mesenteric artery syndrome, duodenum, intestinal obstruction, abdominal pain, chronic pain.
Introducción
El síndrome de Wilkie (SW), también conocido como síndrome de la arteria mesentérica superior, es una entidad patológica con una incidencia mundial relativamente baja, con cifras que pueden variar entre 0,013 a 0,3 % 1. Fue descrito por primera vez en 1842 por Carl Von Rokitansky, no obstante, fue entre 1921 y 1927 que David Wilkie especificó más ampliamente los síntomas, características clínicas y describió una serie de 75 casos; es por esto por lo que se adoptó el epónimo de Wilkie para referirse a este cuadro clínico 2.
Su instauración puede ser insidiosa o de tipo súbito y el curso puede variar desde una enfermedad de duración subaguda a crónica en la mayoría de los casos, aunque también se han descrito cuadros agudos que son más infrecuentes 1-3.
El SW ocurre por una reducción en el espacio aortomesentérico, que tiene como límite anterior la arteria mesentérica superior y límite posterior la aorta y la columna vertebral. Esto condiciona una compresión extrínseca de la tercera porción del duodeno 4.
Su etiología puede ser congénita o adquirida, siendo esta última la más común. Existen múltiples factores de riesgo que se relacionan con el desarrollo de la patología, entre los que se encuentran los estados catabólicos, traumatismos y factores hereditarios. El cuadro clínico esperado es variable e incluye síntomas gastrointestinales leves o inespecíficos, aunque algunos pacientes pueden ser asintomáticos 1-3.
Los estudios imagenológicos, como la tomografía computarizada y la ecografía abdominal, y los procedimientos endoscópicos ayudan a confirmar el diagnóstico. La utilidad de ellos radica en la posibilidad de evidenciar los criterios radiológicos establecidos y descartar diagnósticos diferenciales 5.
El tratamiento de la enfermedad parte de resolver o intervenir la causa de la estenosis y con esto mejorar la sintomatología. Se tienen algunas opciones, iniciando con el manejo médico, que incluye pautas en la alimentación para recuperar la grasa perivascular, procedimientos mínimamente invasivos, e incluso, intervenciones quirúrgicas cuando la severidad de los casos así lo amerita 4,5.
En Colombia se han realizado algunos reportes de casos con este síndrome. No es distinto el panorama a nivel de Latinoamérica, donde se reportan incidencias similares 6. Se consideró relevante reportar este caso, teniendo en cuenta que actualmente no se dispone de guías de práctica clínica o recomendaciones para dirigir el tratamiento, ni se ha establecido con exactitud un tiempo para definir el fallo con el manejo médico conservador.
Caso clínico
Presentamos el caso de una adolescente de 16 años, estudiante de secundaria, sin antecedentes patológicos o quirúrgicos de importancia, con un cuadro clínico de tres meses de evolución, caracterizado por dolor abdominal tipo cólico, de predominio en hemiabdomen inferior y posterior a la ingesta de alimentos, pirosis, pérdida objetiva de peso 6,2 kg (equivalente al 14,6 % de su peso corporal), estreñimiento, deposiciones líquidas y hematoquecia ocasional; asociado a pobre ingesta alimentaria por aparente intolerancia.
Esto motivó múltiples valoraciones médicas y tuvo seguimiento ambulatorio por especialista en medicina interna, quien consideró estudiar un síndrome constitucional y adicionalmente descartar porfiria. Iniciaron manejo de los síntomas con procinéticos, antiespasmódicos y probióticos. Solicitaron estudios paraclínicos que evidenciaron hipervitaminemia B12 sin otros hallazgos, y tomografía computarizada (TC) de abdomen con contraste, que reportó disminución del calibre de la vena renal izquierda al paso del compás aortomesentérico, por lo cual se sugirió manejo conjunto con gastroenterología y cirugía vascular periférica.
Ante la falta de mejoría con el manejo sintomático instaurado, se hizo un enfoque holístico del dolor abdominal en búsqueda de la etiología y de diagnósticos diferenciales, por lo que se realizaron estudios de enfermedades infecciosas (como hepatitis, sífilis y virus de inmunodeficiencia humana), autoinmunes, malabsorción, porfiria intermitente aguda e incluso neoplasias, abarcando así las principales causas de síndrome constitucional asociado a dolor abdominal, que fueron negativos.
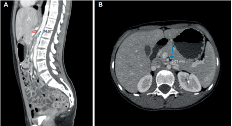
Adicionalmente fue valorada por psiquiatría, conceptuando que cursaba con cuadro ansioso, sin trastornos de la conducta alimentaria. Ante la poca claridad en los estudios, sin hallazgos relevantes en la batería de exámenes de laboratorio clínico, se decidió revisar junto con radiología las imágenes del TC trifásico realizado inicialmente, encontrando dos criterios imagenológicos para el diagnóstico de síndrome de pinza aortomesentérica: un ángulo aortomesentérico de 14,5° y una distancia aortomesentérica de 6,8 mm, asociados a dilatación duodenal leve (Figura 1); que sumados a la sintomatología permitieron hacer el diagnóstico definitivo de síndrome de Wilkie.

Es importante mencionar que en esta imagen se observó también una disminución del calibre de la vena renal izquierda, este hallazgo supuso contemplar la presencia del síndrome de cascanueces o nutcracker de manera concomitante. Dado que no se documentó hematuria, proteinuria, anemia, ni predominio de dolor en flanco izquierdo, no se profundizó en este aspecto y no se consideró necesario realizar otras imágenes para confirmar esta sospecha 7.
Se instauró un manejo médico con un protocolo de repleción nutricional por vía oral, sin embargo, en un determinado momento se cuestionó sobre la posibilidad de colocar una sonda nasoyeyunal para continuar el aporte. La evaluación de riesgo-beneficio resultó en contra de esta conducta, pues la paciente toleraba la vía oral, no había obstrucción intestinal completa, sólo leve dilatación duodenal relacionada con la corta evolución del cuadro. Con esta pauta se le dio egreso, con manejo conservador basado en la dieta, para lograr ganancia de peso y recuperación nutricional con el fin de restablecer los cojinetes grasos perivasculares. Se propuso revalorar en 2 meses, plazo para determinar la mejoría o falla terapéutica y la necesidad de realizar una cirugía laparoscópica (duodeno-yeyunostomía) como manejo definitivo 6.
Discusión
El síndrome de la arteria mesentérica superior, también denominado síndrome de Wilkie, íleo duodenal o síndrome del corsé de yeso, es una constelación de síntomas y signos que tienen como origen común una obstrucción intestinal alta, dada por la compresión de la tercera parte del duodeno, en el ángulo conformado por la aorta atrás y la arteria mesentérica superior adelante 2.
Es una causa poco común de obstrucción intestinal, con una baja incidencia y poco más de 400 casos descritos en la literatura 2,8. Es más frecuente en mujeres que en hombres, con una relación 3:1, y en adultos jóvenes menores de 30 años. En cuanto a los datos locales, son pocos los registros, por lo que no se cuenta con cifras exactas sobre su incidencia y prevalencia.
La etiología puede ser dividida en dos grandes grupos. Las adquiridas tienen factores asociados como pérdida acelerada de peso, abuso de sustancias, neoplasias, trastornos de la conducta alimentaria, cirugía bariátrica, trauma, quemaduras, aumento en la lordosis lumbar por inmovilizaciones, cirugías ortopédicas de escoliosis y uso de ortesis. El grupo de origen congénito puede deberse a una inserción alta del duodeno al ligamento de Treitz o un origen inferior de la arteria mesentérica superior. Todo esto determina una disminución del tamaño del cojinete graso retroperitoneal, situado inferior al ángulo aortomesentérico, que amortigua y permite el paso del duodeno entre los dos vasos, causando mayor agudización del ángulo, lo que conlleva a una compresión extrínseca y obstrucción del duodeno 2,9.
La presentación clínica incluye gran variedad de síntomas entre los que se pueden listar saciedad precoz, eructos, reflujo, dolor y distensión abdominal postprandial, náuseas y emesis de contenido biliar, lo que bien puede ser explicado por otros trastornos más frecuentes como gastritis, enfermedad por reflujo gastroesofágico o síndrome de intestino irritable. Por lo tanto, el diagnóstico supone un reto y requiere un alto índice de sospecha, con base en los síntomas y hallazgos imagenológicos, para evitar la confusión con otras entidades, la realización de estudios innecesarios y el atraso en el inicio del tratamiento.
Históricamente el análisis por imágenes se fundamentaba en el estudio radiográfico baritado esófago-gastro-duodenal, con hallazgos como dilatación en la cámara gástrica y la porción proximal del duodeno, ondas peristálticas cercanas a la obstrucción y retraso en el vaciamiento gastroduodenal. Hoy en día, se encuentran disponibles varias herramientas como la angiografía, el ultrasonido y la resonancia magnética, que pueden proporcionar información complementaria y correlación para confirmar el diagnóstico. Sin embargo, se prefiere la tomografía computarizada por su mayor contraste, resolución espacial y temporal, así como la capacidad para realizar reconstrucciones en múltiples planos, evaluar la dilatación duodenal y el ángulo aortomesentérico; además, es relativamente menos invasivo frente a la angiografía, que anteriormente se había sugerido como el estándar de oro 4.
En cuanto a los resultados de las mediciones, la angiografía es muy similar a la tomografía convencional. Un ángulo aortomesentérico menor de 22° tiene una sensibilidad de 42,8 % y una especificidad del 100 % y una distancia aortomesentérica menor de 8 mm tiene sensibilidad y especificidad del 100 %, por lo que son los puntos de corte que, asociados a los síntomas descritos, permiten confirmar el diagnóstico 1.
En el tratamiento inicial se destaca el manejo médico conservador, cuyo objetivo principal radica en lograr la recuperación nutricional, ganancia de peso y aumentar el grosor del cojinete graso retroperitoneal, lo cual se consigue mediante la suplementación nutricional hipercalórica por vía oral o parenteral 1. En la literatura se describen tratamientos de hasta 169 días 4,10. Este manejo puede ser exitoso hasta en el 85 % de los casos; aquellos pacientes que no responden se beneficiarán de ser llevados a cirugía 11.
Entre las opciones quirúrgicas encontramos la duodenoyeyunostomía, la gastroyeyunostomía y la técnica de Strong. Esta última libera el duodeno de sus inserciones y permite conservar la integridad del tracto gastrointestinal; a pesar de ello tiene una tasa de fracaso del 25 %, mientras que la duodenoyeyunostomía consigue tasas de éxito del 90 %, siendo así el procedimiento más efectivo. Con los avances en cirugía, las técnicas mínimamente invasivas marcan la vanguardia y son aplicables en el caso discutido, sumando las ventajas que ofrece esta vía. Localmente se ha descrito el uso de este abordaje, logrando excelentes resultados 6.
Conclusión
Conocemos lo infrecuente de esta entidad, su fisiopatología y presentación clínica, que puede suponer otras entidades más comunes, por lo tanto, es imperativo considerarla en el estudio de los pacientes con dolor abdominal agudo o crónico, aunado a síntomas dispépticos y pérdida de peso no intencional. Así como su diagnóstico, el tratamiento también puede resultar un reto, pues a la luz de la medicina basada en la evidencia, no disponemos de guías de manejo o datos de rigor que nos permitan responder a interrogantes puntuales, como el límite de tiempo prudente para considerar pasar del manejo conservador al quirúrgico y el impacto real de usar medicamentos complementarios, como los inhibidores de la bomba de protones y los procinéticos, o la reposición nutricional, con el fin de rellenar los cojinetes grasos y así permitir que ceda la pinza.
Agradecimientos
Al doctor Jesús Vásquez Arango, especialista en cirugía general y laparoscopia, por sus aportes en el análisis del caso y a la doctora Angela María Ortiz Marín, radióloga, por su apoyo y concepto en la revisión de las imágenes diagnósticas.
Referencias
astaño-Llano R, Chams-Anturi A, Arango-Vargas P, García-Valencia Á. Síndrome de la arteria mesentérica superior o síndrome de Wilkie. Rev Colomb Gastroenterol. 2009;24:200-9.
athenge N, Osiro S, Rodriguez II, Salib C, Tubbs RS, Loukas M. Superior mesenteric artery syndrome and its associated gastrointestinal implications. Clin Anat. 2014;27:1244-52. https://doi.org/10.1002/ca.22249
aya-López C, Zapata-Uribe F, Vergara-Toro J, Cardona-Bernal S. Síndrome de Wilkie. Caso Clínico. Rev Cir. 2021;73:744-7. http://dx.doi.org/10.35687/s2452-454920210061154
González Hermosillo-Cornejo D, Díaz Girón-Gidi A, Vélez-Pérez FM, Lemus-Ramírez RI, Andrade Martínez-Garza P. Síndrome de Wilkie. Reporte de un caso. Cir Cir. 2017;85:54-9. https://doi.org/10.1016/j.circir.2015.08.009
Merrett ND, Wilson RB, Cosman P, Biankin AV. Superior mesenteric artery syndrome: diagnosis and treatment strategies. J Gastrointest Surg. 2009;13:287-92. https://doi.org/10.1007/s11605-008-0695-4
ásquez-Arango JN, Durán-Meléndez MA, Vásquez-Maya C. Tratamiento mínimamente invasivo del síndrome de Wilkie. Rev Colomb Cir. 2018;33:299-306. https://doi.org/10.30944/20117582.75
nanthan K, Onida S, Davies AH. Nutcracker syndrome: An update on current diagnostic criteria and management guidelines. Eur J Vasc Endovasc Surg. 2017;53:886-94. https://doi.org/10.1016/j.ejvs.2017.02.015
ahni S, Shiralkar M, Mohamed S, Carroll R, Jung B, Gaba R, et al. Superior mesenteric artery syndrome: The dark side of weight loss. Cureus. 2017;9:e1859. https://doi.org/10.7759/cureus.1859
arncke ES, Gursahaney DL, Mascolo M, Dee E. Superior mesenteric artery syndrome: a radiographic review. Abdom Radiol. 2019;44:3188-94. https://doi.org/10.1007/s00261-019-02066-4
Capitano S, Donatelli G, Boccoli G. Superior mesenteric artery syndrome-believe in it! Report of a case. Case Rep Surg. 2012;2012:282646. https://doi.org/10.1155/2012/282646
Frongia G, Schenk JP, Schaible A, Sauer P, Mehrabi A, Günther P. Food fear, quick satiety and vomiting in a 16 years old girl: It’s bulimia, or maybe not…? A case report of Wilkie’s syndrome (superior mesenteric artery syndrome). Int J Surg Case Rep. 2019;65: 184-8. https://doi.org/10.1016/j.ijscr.2019.10.038
Citar como:
Cumplimiento de normas éticas
Uso de inteligencia artificial:
Fuentes de financiación:
Author notes
aCorrespondencia: José Jorge Lozano-Vega, Transversal 27A Sur 42 B 111 Envigado, Colombia. Teléfono: 3421010. Dirección electrónica: joselozanovega.95@gmail.com
Conflict of interest declaration