Presentación de Caso
Esplenúnculo intrapancreático simulando neoplasia
Intrapancreatic splenunculus simulating neoplasia
Esplenúnculo intrapancreático simulando neoplasia
Revista Colombiana de Cirugía, vol. 39, no. 4, pp. 640-645, 2024
Asociación Colombiana de Cirugía
Received: 04 April 2023
Accepted: 22 June 2023
Published: 06 December 2023
Resumen
Introducción: El esplenúnculo se ha descrito con una incidencia global del 10 al 30 %. Puede ser una entidad de origen congénito o adquirida, frecuentemente está asociada a trauma abdominal o antecedente de esplenectomía por diversas causas.
Caso clínico: Mujer en edad media, con antecedente de trauma abdominal y esplenectomía por ruptura traumática, quien 30 años después presenta un cuadro de dolor abdominal. Los estudios imagenológicos identificaron una masa sólida intrapancreática.
Resultados: Fue llevada a pancreatectomía distal. Los hallazgos histológicos e inmunohistoquímicos confirmaron que la masa pancreática correspondía a un esplenúnculo intrapancreático adquirido, asociado al evento traumático previo.
Conclusión: Los esplenúnculos suelen constituir un “incidentaloma”. Los estudios imagenológicos se encuentran limitados, pues la tomografía computarizada, la resonancia nuclear magnética y la ultrasonografía presentan características imagenológicas similares con los tumores pancreáticos hipervascularizados, por lo que se debe practicar el estudio histopatológico durante su valoración. Esta entidad se debe incluir dentro de los diagnósticos diferenciales, con mayor énfasis en aquellos pacientes con historia de trauma abdominal y esplenectomía asociada, un escenario en el que esta lesión puede simular una neoplasia sólida del páncreas, con características malignas.
Palabras claves: Bazo+ esplenosis+ páncreas+ neoplasias pancreáticas+ diagnóstico diferencial+ esplenectomía+ pancreatectomía.
Abstract
Introduction: Splenunculus has been described with an overall incidence of 10 to 30%. It can be an entity of congenital or acquired origin, it is frequently associated with abdominal trauma or a history of splenectomy for various reasons.
Clinical case: Middle-aged woman, with a history of abdominal trauma and splenectomy due to traumatic rupture, who 30 years later presents with abdominal pain. Imaging studies identified a solid intrapancreatic mass.
Results: She was taken to OR for distal pancreatectomy. The histological and immunohistochemical findings confirmed that the pancreatic mass corresponded to an acquired intrapancreatic splenunculus, associated with the previous traumatic event.
Conclusion: Splenuncles usually constitute an “incidentaloma”. Imaging studies are limited, since computed tomography, magnetic resonance imaging, and ultrasonography present similar imaging characteristics with hypervascularized pancreatic tumors, so histopathological study must be included during their evaluation. This entity should be included in the differential diagnoses, with greater emphasis on those patients with a history of abdominal trauma and associated splenectomy, a scenario in which this lesion can simulate a solid neoplasm of the pancreas, with malignant characteristics.
Keywords: Spleen, splenosis, pancreas, pancreatic neoplasms, differential diagnosis, splenectomy, pancreatectomy.
Introducción
La embriogénesis del bazo describe su formación desde un apéndice del mesogastrio dorsal alrededor de la quinta semana; hasta la semana 14 de gestación hay un primordio de carácter mesenquimatoso con un retículo vascular primario y posteriormente aparece la pulpa roja y pulpa blanca 1. Las funciones del bazo también se modifican en función del desarrollo embrionario, comprendiendo un espectro que va desde la hematopoyesis, activación inmunológica (particularmente en infecciones por microorganismos encapsulados) y el reciclaje celular 2.
Se denomina esplenúnculo, o bazo accesorio, al tejido esplénico normal que se encuentra separado del bazo. Se ha descrito una incidencia global entre el 10 al 30 % de la población 3,4. Puede aparecer como una entidad congénita o adquirida. Los primeros, por lo general están localizados a nivel de los ligamentos gastroesplénico o esplenopancreático, principalmente a nivel del hilio esplénico o la cola del páncreas, aunque se han descrito localizados a nivel del tracto gastrointestinal, el epiplón, la pelvis o el escroto. Los adquiridos suelen estar asociados a trauma abdominal previo o al antecedente de esplenectomía por otras causas no traumáticas; la incidencia de esplenosis en pacientes con esplenectomía por trauma oscila entre el 44 y el 76 %. En algunos pocos escenarios, es el resultado de implantes realizados deliberadamente por un cirujano 5-7.
El objetivo de este artículo fue presentar el caso de una paciente con estudios imagenológicos que identificaron una masa sólida intrapancreática.
Caso clínico
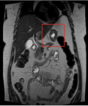
Mujer de 49 años, con antecedentes de hipertensión arterial, diabetes insípida, obesidad grado II, hipotiroidismo y trombocitosis, quien además recibió herida por proyectil de arma de fuego en abdomen a los 20 años de edad, con ruptura traumática del bazo, que requirió esplenectomía sin complicaciones. Consultó en mayo de 2022 por cuadro clínico de tres semanas de dolor abdominal, náuseas y episodios eméticos. Realizaron tomografía computarizada (TC) de abdomen, simple y contrastada, y resonancia magnética nuclear (RMN), en la que se identificó una masa con densidad de partes blandas localizada en relación con la cola del páncreas, que medía 35 x 43 x 41 mm, y que podría corresponder a una neoplasia neuroendocrina según el informe de radiología (Figura 1).

Había ausencia quirúrgica del bazo y no se reconocía dilatación del conducto pancreático.
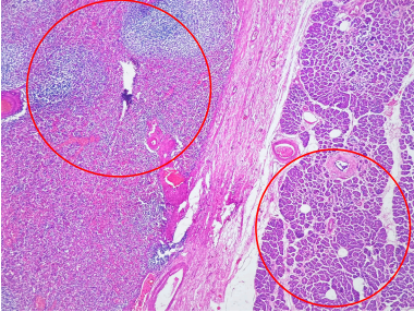
Dada la sospecha diagnóstica clínica e imagenológica se decidió realizar pancreatectomía parcial distal. En el servicio de Patología del Hospital Universitario del Valle, en Cali, Colombia, se recibió la pieza quirúrgica de características externas usuales; al corte, se reconoció un área bien delimitada, redondeada y rojiza, de 6 cm de diámetro mayor, ubicada en la cola del páncreas (Figura 2). Los cortes histológicos mostraron un tejido vascularizado dispuesto en cordones de células con núcleos eucrómicos, redondas y de contornos bien definidos; dentro de los cordones había células inflamatorias mixtas maduras (macrófagos, linfocitos, neutrófilos, eosinófilos y plasmocitos). Los espacios intercordones correspondían a senos repletos de glóbulos rojos y se identificaron nódulos linfoides secundarios rodeando vasos pequeños. El parénquima pancreático adyacente no presentaba alteraciones (Figura 3). Se realizó estudio de inmunohistoquímica donde se evidenció tejido esplénico con pulpa blanca positiva para los marcadores CD20+, CD21+, CD45+, y la pulpa roja positiva para CD8+. En el tejido no hubo inmunorreactividad para CD56, Cromogranina y Sinaptofisina (Figura 4).



Se consideró que la paciente cursaba con un esplenúnculo adquirido postraumático, sin evidenciar una neoplásica maligna. Durante el posoperatorio presentó una fistula pancreática, que en la actualidad está resuelta, sin otras complicaciones.
Discusión
Los esplenúnculos suelen constituir un “incidentaloma”. Los estudios imagenológicos están limitados para hacer el diagnóstico, pues la tomografía computarizada, la resonancia nuclear magnética y la ultrasonografía presentan características imagenológicas similares con los tumores pancreáticos hipervascularizados, como las neoplasias neuroendocrinas o los carcinomas de células acinares 8,9. Alrededor de las dos terceras partes de los pacientes con bazo accesorio intrapancréatico presentan una masa de 1 a 2 cm de diámetro, bien delimitada y localizada predominantemente en la cola del órgano 10.
Para confirmar el diagnóstico, la biopsia o el estudio en el espécimen de resección puede requerir más allá de la coloración básica de hematoxilina y eosina, la realización de pruebas de inmunohistoquímica. La inmunotinción con CD8 permite identificar las células que revisten los espacios vasculares (pulpa roja), células que a su vez son negativas para marcadores endoteliales y CD45. La positividad de CD45, CD20 y CD21 demarcan las células que constituyen la pulpa blanca.
También se recomienda realizar estudios con marcadores neuroendocrinos (Sinaptofisina, Cromogranina y CD56) que descarten las neoplasias neuroendocrinas, principal diagnóstico diferencial de esta lesión 5; aunque desde el abordaje clínico existe la posibilidad de detectar hormonas pancreáticas para confirmar la presencia de un tumor neuroendocrino funcional, hasta el 30 % de estos tumores pueden ser no funcionales y tener resultados sanguíneos equívocos 10. Incluso, se ha considerado la realización de gammagrafía con octreótido, pero los resultados no son concluyentes, y puede informar un resultado positivo para la presencia de un tumor neuroendocrino cuando hay un bazo accesorio intrapancreático, probablemente relacionado con la expresión de receptores de somatostatina en el tejido esplénico 11.
Conclusión
El esplenúnculo intrapancreático puede simular en los estudios de imágenes diagnósticas una neoplasia sólida del páncreas de tipo neurodocrino, lo cual puede llevar a procedimientos quirúrgicos complejos y tratamientos innecesarios. Por tanto, esta entidad debe ser tenida en cuenta dentro de los diagnósticos diferenciales, con mayor énfasis en aquellos pacientes con antecedente de trauma abdominal y esplenectomía asociada.
Referencias
Endo A, Ueno S, Yamada S, Uwabe C, Takakuwa T. Morphogenesis of the spleen during the human embryonic period. Anat Rec (Hoboken). 2015;298:820-6. https://doi.org/10.1002/ar.23099
Mills SE. Histology for pathologists. 5th ed. Charlottesville: Wolters Kluwer; 2019. p. 799-812.
Bajwa SA, Kasi A. Anatomy, abdomen and pelvis: Accessory spleen. In: StatPearls . Treasure Island: StatPearls Publishing; 2023.
Cabrera-Rivera PA, Kadamani-Abiyomaa A, Diagama-Restrepo S, Corso-Ramirez JM. Bazo accesorio secundario en púrpura trombocitopénica refractaria - Un reto diagnóstico: Reporte de caso. CES Medicina. 2021;35:193-201. https://doi.org/10.21615/cesmedicina.6054
Bhogal RH, Wotherspoon A, Zerizer I, Khan AZ. Pancreatic tail splenunculus: Case report and review of the literature. Int J Surg Case Rep. 2019;57:36-38. https://doi.org/10.1016/j.ijscr.2019.02.020
Khosravi MR, Margulies DR, Alsabeh R, Nissen N, Phillips EH, Morgenstern L. Consider the diagnosis of splenosis for soft tissue masses long after any splenic injury. Am Surg. 2004;70:967-70.
Ramos-Peñafiel CO, Gallardo-Rodríguez AG, Martínez-Tovar A, Martínez-Murillo C. Principales modificaciones asociadas a la esplenectomía. Rev Colomb Cir. 2023;38:512-20. https://doi.org/10.30944/20117582.2292
Ota T, Ono S. Intrapancreatic accessory spleen: diagnosis using contrast enhanced ultrasound. Br J Radiol. 2004;77:148-9. https://doi.org/10.1259/bjr/56352047
Riojas-Garza A, López-Zamora E, Torres-Martinez M, Guzmán-Huertas E. Cecal splenosis mimicking gastrointestinal stroma tumor. Case report and review of the literature. Int J Surg Case Rep. 2021;83:105992. https://doi.org/10.1016/j.ijscr.2021.105992
Meyer-Rochow GY, Gifford AJ, Samra JS, Sywak MS. Intrapancreatic splenunculus. Am J Surg. 2007;194:75-6. https://doi.org/10.1016/j.amjsurg.2006.11.022
Brasca LE, Zanello A, De Gaspari A, De Cobelli F, Zerbi A, Fazio F, et al. Intrapancreatic accessory spleen mimicking a neuroendocrine tumour: magnetic resonance findings and possible diagnostic role of different nuclear medicine tests. Eur Radiol. 2004;14:1322-3. https://doi.org/10.1007/s00330-003-2112-4
Citar como:
Cumplimiento de normas éticas
Conflictos de intereses:
Uso de inteligencia artificial:
Fuentes de financiación:
Contribución de los autores:
Author notes
aCorrespondencia: Jhoan Sebastian Cruz-Barbosa, Calle 5 # 36 - 08, Edificio 112 - Hospital Universitario del Valle (HUV), Segundo piso, Cali, Colombia. Teléfono: 3102986952. Dirección electrónica: sebastiancruzb@gmail.com