IMÁGENES EN CIRUGÍA
Received: 30 January 2024
Accepted: 07 February 2024
Published: 25 April 2024
DOI: https://doi.org/10.30944/20117582.2558
Palabras clave: arteria mesentérica superior, síndrome de la arteria mesentérica superior, obstrucción intestinal, dilatación gástrica, obstrucción duodenal
Keywords: Superior mesenteric artery, superior mesenteric artery syndrome, intestinal obstruction, gastric dilatation, duodenal obstruction
El síndrome de la arteria mesentérica superior (SAMS), también conocido como síndrome de Wilkie, es una obstrucción intestinal alta ocasionada por la compresión vascular de la tercera porción del duodeno por la arteria mesentérica superior sobre la aorta abdominal 1,2 (Figura 1). Es una patología poco frecuente, con una incidencia del 0,2 %, más común en mujeres (2:1) entre los 10 y 30 años, principalmente en pacientes con pérdida de peso rápido, que conlleva alta morbimortalidad 3,4.

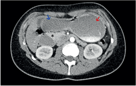
Presentamos el caso de una paciente de 22 años de edad, con antecedente de trastorno límite de la personalidad, consultante en múltiples ocasiones al servicio de urgencias por náuseas y episodios eméticos persistentes, asociados a dolor y distensión abdominal. La tomografía computarizada (TC) de abdomen con contraste evidenció disminución del ángulo y la distancia entre la aorta y la arteria mesentérica superior, confirmando el diagnóstico de síndrome de Wilkie (Figura 2), por lo que se inició manejo médico, pero fue fallido.

Se decidió realizar una duodenoyeyunostomía vía laparoscópica con adecuada evolución y posterior egreso, sin embargo, reingresó por síndrome emético con intolerancia a la vía oral. La nueva TC de abdomen informó leve dilatación de la cámara gástrica, edema de la mucosa del antro y píloro, dilatación del asa intestinal duodenal proximal a la anastomosis y colapso de las asas intestinales yeyunales e ileales localizadas distal a la anastomosis (Figura 3). Se hizo endoscopia de vías digestivas altas con hallazgo de esofagitis por retención, edema de la anastomosis duodeno-yeyunal y gastroparesia postoperatoria, y entonces se decidió continuar reposo intestinal, nutrición parenteral y procinético. Por dolor abdominal persistente y ausencia de deposiciones, se realizó una tercera TC abdominal contrastada evidenciando adecuado tránsito del medio de contraste, sin signos de obstrucción intestinal (Figura 4); una gammagrafía de vaciamiento gástrico confirmó gastroparesia, para lo que se inició estímulo enteral, y la manometría anorrectal confirmó trastorno de la defecación con presión rectal y relajación anal insuficiente. Con manejo médico nuestra paciente logró tolerancia a la vía oral y mejoría de la sintomatología; el seguimiento ambulatorio ha sido favorable.


Referencias
. Barkhatov L, Tyukina N, Fretland ÅA, Røsok BI, Kazaryan AM, Riis R, et al. Superior mesenteric artery syndrome: quality of life after laparoscopic duodenojejunostomy. Clin Case Rep. 2017;6:323-9. https://doi.org/10.1002/ccr3.1242
. Neri S, Signorelli SS, Mondati E, Pulvirenti D, Campanile E, Di Pino L, et al. Ultrasound imaging in diagnosis of superior mesenteric artery syndrome. J Intern Med. 2005;257:346-51. https://doi.org/10.1111/j.1365-2796.2005.01456.x
. Lippl F, Hannig C, Weiss W, Allescher HD, Classen M, Kurjak M. Superior mesenteric artery syndrome: Diagnosis and treatment from the gastroenterologist’s view. J Gastroenterol. 2002;37:640-3. https://doi.org/10.1007/s005350200101
. Lozano-Vega JJ, Mejía-Sanguino S, Gaviria-Gallego DA, Polanco-Cabrera JP. Síndrome de la arteria mesentérica superior (Síndrome de Wilkie): A propósito de un caso en una adolescente. Rev Colomb Cir. 2024;39:(en prensa). https://doi.org/10.30944/20117582.2329
Cumplimento de normas éticas
Author notes
aCorrespondencia: María José Pereira-Velásquez, Calle 148 # 99 - 41, Bogotá, D.C., Colombia. Código postal: 111161. Teléfono: +57 318 4937224. Dirección electrónica: majovelasquez88@gmail.com
Conflict of interest declaration