Artículo Original
Received: 09 April 2024
Accepted: 25 April 2024
Published: 10 July 2024
DOI: https://doi.org/10.30944/20117582.2535
Resumen
Introducción.: La perforación esofágica cervical por cuerpos extraños es una entidad clínica poco frecuente, pero con un potencial alto de complicaciones, incluyendo la muerte como desenlace. Su tratamiento sigue siendo discutible, sin evidencia suficiente para definir el mejor abordaje entre el quirúrgico y el conservador.
Métodos.: Mediante un estudio de tipo observacional, retrospectivo, con componente analítico, se evaluaron los pacientes adultos con diagnóstico de perforación de esófago cervical por cuerpo extraño, tratados en el hospital de San José, Bogotá, D.C., Colombia, entre enero de 2018 y junio de 2023.
Resultados.: La población consistió en 22 pacientes, donde predominaron las mujeres (59 %), con una media de edad de 61,32 ± 9,04 años. Siete pacientes (31,8 %) recibieron manejo quirúrgico y 15 (68,2 %) manejo conservador. Para los desenlaces, el 90,9 % de los pacientes fueron dados de alta (domicilio) y el 9,1 % pasaron de manejo conservador a manejo quirúrgico; no se reportó ninguna muerte derivada de la perforación. Según el análisis multivariado, no hubo diferencias en los desenlaces asociadas con la edad (p=0,189), el tipo de tratamiento (p=0,095), los hallazgos tomográficos (p=0,371) o los hallazgos intraoperatorios (p= 0,515).
Conclusiones.: En este estudio se identificaron similares desenlaces clínicos con el tratamiento quirúrgico y conservador. El manejo conservador va tomando relevancia al no tener desventajas frente al tratamiento quirúrgico, sobre todo por ser menos invasivo.
Palabras clave: Enfermedades del esófago, perforación del esófago, cuerpo extraño, endoscopía del sistema digestivo, disección del cuello, esofagectomía.
Abstract
Introduction.: Cervical esophageal perforation due to foreign bodies is a rare clinical entity, but with a high potential for complications, including death as an outcome. Its treatment remains debatable, without sufficient evidence to define the best surgical or conservative approach.
Methods.: Through an observational, retrospective study, with an analytical component, adult patients with a diagnosis of cervical esophageal perforation due to a foreign body, treated at the Hospital San José, Bogotá, D.C., Colombia, between January 2018 and June 2023, were evaluated.
Results.: The population consisted of 22 patients, where women predominated (59%), with a mean age of 61.32 ± 9.04 years. Seven patients (31.8%) received surgical management and 15 (68.2%) conservative management. For the outcomes, 90.9% of the patients were discharged home and 9.1% went from conservative to surgical management. No deaths resulting from perforation were reported. According to the multivariate analysis, there were no differences in outcomes associated with age (p=0.189), type of treatment (p=0.095), tomographic findings (p=0.371), or intraoperative findings (p=0.515).
Conclusions.: Similar clinical outcomes with surgical and conservative treatment were identified in this study. Conservative management is becoming more relevant as it has no disadvantages compared to surgical treatment, especially because it is less invasive.
Keywords: Esophageal diseases, esophageal perforation, foreign body, digestive system endoscopy, neck dissection, esophagectomy.
Introducción
La perforación esofágica se considera una entidad potencialmente letal, con una mortalidad del 10-40 %, que alcanza hasta un 60 % cuando el diagnóstico es tardío 1-7. No es fácil definir de forma precisa su incidencia, pero según un metaanálisis se estima una media de 3,9 casos de perforaciones al año por institución 8,9.
En la actualidad el manejo de la perforación de esófago cervical por cuerpos extraños tiene dos líneas de tratamiento: La primera es quirúrgica, con cervicotomía, reparación de la lesión al identificarla y colocación de un drenaje; mientras que la segunda línea es conservadora, con vigilancia clínica del paciente y drenaje percutáneo de ser necesario. Ambas opciones comparten un manejo inicial común, que es la extracción del cuerpo extraño (de ser identificado), la antibioticoterapia de amplio espectro, soporte básico y nutrición por sonda nasogástrica. Sin embargo, la escasa literatura con peso científico limita el definir criterios exactos sobre la mejor opción terapéutica, por lo que, en cada caso el tratamiento debe escogerse de forma individualizada 2,7-11.
No existen estudios prospectivos estadísticamente significativos debido a la baja incidencia de esta patología, o los subregistros de la misma; los datos publicados a nivel mundial son recopilados de la experiencia en centros individuales o reportes de casos 5,9. Las series de casos más grandes fueron generadas en Europa Oriental y Asia 12-15. Tampoco contamos con literatura publicada en Colombia, y a nivel de Latinoamérica, sólo existen reportes de casos. En Latinoamérica se tiende a considerar el tratamiento quirúrgico como la mejor opción, realizando esofagotomías, esofagorrafias u otras intervenciones asociadas a complicaciones serias. En general, se encuentra una amplia variedad de reportes a favor de la cirugía y otros apoyando el tratamiento conservador, estos últimos basados en los criterios de Cameron y los resultados del manejo en pacientes que no eran candidatos para cirugía 12-15.
Para la perforación de esófago por cuerpos extraños no existen acuerdos o algoritmos establecidos para su tratamiento. En la actualidad no contamos con guías de práctica clínica y la elección de las estrategias de diagnóstico y tratamiento recaen en la decisión personal del cirujano. En nuestra institución se emplean las dos líneas de tratamiento, pero durante los últimos años se ha migrado del tratamiento quirúrgico al tratamiento conservador. Por lo tanto, el objetivo de este estudio fue describir el desenlace de los pacientes con perforación esofágica por cuerpo extraño atendidos en nuestra institución, comparando los resultados en aquellos tratados de forma conservadora versus quirúrgica.
Métodos
Se realizó un estudio de tipo observacional, retrospectivo, con componente analítico, en el que se incluyeron los pacientes mayores de 18 años con diagnóstico de perforación de esófago cervical por cuerpo extraño, tratados por el departamento de Cirugía de Cabeza y cuello del Hospital de San José, de Bogotá, D.C., Colombia, durante un periodo de 5 años entre los años 2018 y 2023. Se excluyeron aquellos pacientes con historias clínicas incompletas o perforación de esófago cervical de otras etiologías.
Los datos recolectados incluyeron sexo, edad, comorbilidades, patología de base, síntomas y signos al ingreso, tiempo desde la ingesta del cuerpo extraño hasta la consulta, tipo de cuerpo extraño, métodos diagnósticos con sus resultados, marcadores de respuesta inflamatoria, tipo de tratamiento recibido, complicaciones asociadas, hallazgos intraoperatorios, características de la perforación, estudios previos al egreso, tiempo de estancia hospitalaria y desenlaces. Toda la información de los casos seleccionados estaba registrada en las historias clínicas digitales del hospital.
Definiciones
Se definió la perforación esofágica por un cuerpo extraño como la ruptura del espesor completo de la pared esofágica cervical, permitiendo la exteriorización de aire o líquido alrededor. El tratamiento quirúrgico hacía referencia a la realización de una cervicotomia para manejo de la perforación, mientras que el tratamiento no quirúrgico se caracterizó por la extracción del cuerpo extraño vía endoscópica y la vigilancia clínica del paciente, sin realizar una cervicotomia. Los desenlaces evaluados fueron el alta médica o egreso del paciente a su domicilio con cita de control subsecuente, la necesidad de cambiar la estrategia de tratamiento conservador a quirúrgico y el fallecimiento del paciente como complicación derivada de la perforación.
Análisis estadístico
En el análisis estadístico descriptivo las variables cuantitativas se presentaron con medidas de tendencia central y dispersión, según la distribución de la variable: media y desviación estándar o mediana y rango intercuartílico (RIQ). Las variables categóricas se describieron con frecuencias absolutas y proporciones. Estas medidas se complementaron con diagramas de cajas y bigotes. Las diferencias en las características de los pacientes por el tipo de intervención para el manejo de la perforación del esófago cervical por cuerpo extraño (quirúrgico o conservador), se analizaron mediante la prueba Chi-cuadrado o la prueba exacta de Fisher para las variables categóricas y mediante la prueba U de Mann-Whitney previa comprobación de normalidad de las variables continuas. Se consideró la diferencia estadísticamente significancia para una p < 0,05.
Resultados
Fueron incluidos un total de 22 pacientes con perforación del esófago cervical por cuerpo extraño. Predominó la población femenina (59,1 %) y la media de edad fue de 61,32 ± 9,04 años. La mitad de los pacientes no presentaron comorbilidades, mientras que 9 de ellos (40,9 %) tenían antecedente de hipertensión arterial. Ninguno de los pacientes presentaba patología esofágica de base (Tabla 1).

Las principales causas de perforación del esófago cervical fueron espinas de pescado (n=17; 77,3 %), huesos de pollo (n=4; 18,2 %) y una prótesis dental (4,5 %). El tiempo transcurrido desde la ingesta del cuerpo extraño hasta la consulta al servicio de urgencias tuvo una mediana de 24 horas (RIQ: 36); trece pacientes (59 %) consultaron en las primeras 24 horas y el más demorado tomó 120 horas en realizar la consulta.
Respecto a las características diagnósticas, el principal síntoma fue la sensación de cuerpo extraño (n=8; 36,4 %), seguida de la disfagia (n=7; 31,8 %). Ningún paciente presentó signos de sepsis. El diagnóstico se realizó con tomografía computarizada contrastada en 20 pacientes (90,9 %), siendo el signo más frecuente el aire extraesofágico (n=12; 54,5 %). La media del recuento leucocitario fue de 10.050 ± 3,48 /mm3, con una media de neutrófilos de 71,0 % ± 8,6.
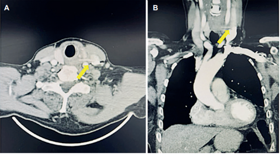
Referente al manejo (Tabla 2), 15 (68,2 %) pacientes fueron tratados de forma conservadora y en 7 pacientes (31,8 %) se hizo cirugía. Todos los pacientes recibieron antibioticoterapia desde el momento de la consulta, y en ninguno se evidenció una infección asociada a la perforación durante todo el tratamiento. Por endoscopia, los cuerpos extraños fueron identificados y extraídos en 8 (36,4 %) casos. Destacamos el caso de un paciente con migración de una espina de pescado desde la faringe, penetrando la vena yugular interna izquierda, que recibió manejo quirúrgico (Figura 1). Previo al egreso se realizó esofagograma de control en 15 pacientes (68,2 %) y en ninguno de ellos se evidenció fuga del medio de contraste; los demás pacientes recibieron alimentos directamente y de igual manera, no se registraron fugas.

El 90,9 % de los pacientes fueron dados de alta a su domicilio y el 9,1 % pasaron de manejo conservador a manejo quirúrgico debido a persistencia del cuerpo extraño. La mediana del tiempo de hospitalización fue de 8,5 días (rango: 5-24 días; RIQ: 4). No se registró ningún fallecimiento como desenlace clínico de la perforación de esófago cervical.
Respecto el análisis bivariado, no se encontró asociación estadísticamente significativa al comparar los dos grupos de tratamiento con las características clínicas y los desenlaces (Tabla 3).

Discusión
Epidemiología
La perforación esofágica es una emergencia infrecuente, que se convierte en un reto para el diagnóstico y aún más para su tratamiento. No es posible establecer su incidencia real por falta de reportes exactos o series grandes que la demuestren; sin embargo, en nuestro estudio se identificó un total de 22 pacientes en un periodo de 5 años (4,4 casos/año), lo que es ligeramente superior a lo esperado para una institución de referencia, definido por otros autores en 3,9 casos anuales 8,9.
Los cuerpos extraños pueden causar perforación por punción directa, lesión química, compresión/isquemia o desgarro al extraerlo 7,11,16,17. Representan entre el 7 % y el 14 % de las perforaciones esofágicas y generalmente se localizan a nivel de las tres estrecheces esofágicas anatómicas, con mayor frecuencia en la unión cricofaríngea 4,11. También se puede presentar migración de los cuerpos extraños, llegando a alojarse en espacios vasculares, como observamos en el paciente de la Figura 1.

La tasa de mortalidad va de 4 % a 44 %, dependiendo de varios factores, como el tiempo hasta el tratamiento, la localización anatómica y las comorbilidades del paciente 2-4,6,7,9,16,18,19, por eso, es de resaltar que en nuestro estudio no se registró ningún paciente fallecido por esta causa. Estadísticamente es significativa la menor mortalidad asociada a perforaciones de esófago cervical respecto del torácico y el abdominal (2,1 % comparado con 13,2 % y 14,8 %, respectivamente) 4,8,20.
Diagnóstico
En nuestro estudio el síntoma más frecuente fue la sensación de cuerpo extraño, lo que contrasta con lo reportado en la literatura donde el principal síntoma de la perforación es el dolor en toda la extensión del esófago, asociado a sialorrea, disfagia y odinofagia 4,7,16,21,22.
Los medios diagnósticos más utilizados son la radiografía lateral de cuello, el esofagograma, la tomografía computarizada y la endoscopia 5,16; sin embargo, en ninguno de nuestros pacientes se utilizó la endoscopia como método diagnóstico. Pudimos corroborar que la presencia de aire en el espacio paraesofágico fue el signo diagnóstico más frecuente, y puede identificarse en la radiografía simple y con más detalle en la tomografía 7,11. La localización y la extensión de la perforación pueden ser determinadas con mayor precisión en la tomografía con medio de contraste (sensibilidad 90 %) 21, mientras que la tasa de perforaciones no visualizadas mediante el esofagograma va del 10 % al 36 %, lo que hace de la tomografía la herramienta diagnóstica más efectiva 7,11,16,20,23. En cuanto a la endoscopia flexible, permite una visualización directa de la perforación y del cuerpo extraño, teniendo una sensibilidad del 100 % y una especificidad del 83 % para realizar el diagnóstico; puede alcanzar una tasa de falsos negativos de hasta el 20 % para perforaciones 11. La endoscopia de vías digestivas ofrece la probabilidad de extraer el cuerpo extraño en la misma intervención 21.
Tratamiento
En la actualidad el tratamiento de las perforaciones de esófago cervical sigue siendo controversial. El dilema radica al momento de escoger entre el manejo quirúrgico versus conservador en las perforaciones del esófago cervical y torácico; en cuanto a la porción intraabdominal, tiene clara indicación quirúrgica 4-6,8,9,16,19,24,25. La primera línea en el tratamiento en ambos casos es la extracción endoscópica del cuerpo extraño, reservando inevitablemente la cirugía para complicaciones como abscesos paraesofágicos libres o fallo en el intento de extracción endoscópica; fue así como en nuestro estudio, al no identificarse colecciones cervicales libres, la mayoría de los pacientes tuvieron un manejo conservador, incluso en el paciente cuyo cuerpo extraño era una prótesis dental. En aquellos en quienes no se pudo extraer el cuerpo extraño por endoscopia se migró a la cervicotomía, como en casos de migración a sitios como la glándula tiroides 3,10,11,17,23,26-30. Durante el estudio endoscópico se recomienda de preferencia la endoscopia flexible, ya que es menos costosa y no requiere anestesia general 31.
Pese a que ninguno de nuestros pacientes presentó signos de sepsis o infección asociada, el cubrimiento antibiótico fue instaurado desde el inicio y posterior a la extracción se debe continuar con reanimación hidroelectrolítica, antibioticoterapia de amplio espectro, inhibidores de la bomba de protones, nutrición parenteral total o a través de sonda nasogástrica y vigilancia estricta de los drenajes, en caso de haber realizado una cervicotomía 2,7,10,16,18. Ante un derrame pleural se recomienda el uso de una toracostomía cerrada para drenaje, la cual puede formar parte del tratamiento quirúrgico y del conservador 19,23.
Manejo conservador
El manejo no operatorio de las perforaciones de esófago cervical surgió tras los resultados obtenidos del tratamiento conservador de pacientes no aptos para cirugía 5,7,25. Debe establecerse de preferencia en pacientes con adecuado estado general o colecciones paraesofágicas contenidas, cuya correlación clínica no muestre signos de progresión a sepsis; dichas características se cumplieron en nuestra cohorte 6,7,21,24.
Es importante asegurarse de que el esófago no tenga estenosis o tumores distales que perpetúen una fístula, por lo que se realizó esofagograma de control previo al egreso en 68 % de nuestros pacientes 6,7,20. Además, es necesario descartar patología esofágica previa, ya que el manejo no quirúrgico en esófagos sanos tiene resultados satisfactorios 6.
Hoy en día se suman otras estrategias que cumplen con el principio del tratamiento, que son el sellado del esófago y el drenaje de las colecciones, como los drenajes percutáneos, el cierre con sistemas de presión negativa o el uso de clips endoscópicos, entre otras alternativas que disminuyen los riesgos de una cervicotomía 5,7,9,11. En este estudio no se requirió del uso de esos otros recursos avanzados en el tratamiento, cumpliendo con los reportes de cierre espontáneo de las perforaciones esofágicas cervicales en 7 a 12 días.
Pese a que no estimó una relación estadisticamente significativa en nuestro estudio, la evidencia científica muestra que la estancia hospitalaria y las complicaciones son menores en los pacientes con manejo no quirúrgico en comparación con los que fueron operados 5,25. Algunos autores sugieren que pasadas las primeras 24 horas de la perforación, en ausencia de signos de sepsis, no existe diferencia entre el manejo quirúrgico y el manejo conservador, convirtiendo gran parte de los casos en candidatos para manejo conservador 7,16.
Manejo quirúrgico
El objetivo de la cervicotomía en los pacientes con perforación de esófago cervical fue drenar la colección paraesofágica, practicar cierre primario del defecto y, en caso de identificar el cuerpo extraño o granuloma, extraerlo 6,7,16,20,29. Previo a la cirugía, se debe administrar una adecuada reanimación hidroelectrolítica al paciente, tener un plan quirúrgico establecido y disponer de cirujanos especializados y los insumos quirúrgicos apropiados. Posteriormente, debe ser acompañado de antibioticoterapia de amplio espectro y suspensión de la vía oral, recurriendo a la nutrición parenteral o por sonda nasogástrica colocada en el mismo tiempo quirúrgico.
Aunque el tratamiento quirúrgico en la actualidad es la estrategia de elección, nuestros resultados no mostraron superioridad frente al manejo conservador. Algunas características en las cuales los resultados del tratamiento están a favor del manejo quirúrgico son la perforación del esófago abdominal, síndrome de Boerhaave, inestabilidad hemodinámica, signos de sepsis, coexistencia de neoplasias, estenosis esofágica distal a la perforación o extravasación de medio de contraste a pleura o abdomen, entre otras 7,16.
El cierre primario de la perforación antes de las 24 horas ha demostrado mejor pronóstico, debido a que disminuye la contaminación local y el avance de la inflamación de los tejidos, facilitando la cicatrización adecuada de los mismos 19,20,21,23. Nuestra cohorte tuvo un 40 % de pacientes que consultaron despúes de 24 horas de ingesta (el más tardío 120 horas después), y no se registraron colecciones o infecciones asociadas a la perforación.
Posterior a la corrección quirúrgica de una perforación, un 30 % de los pacientes pueden tener fuga, y de estos casos, un 40 % requieren nuevas intervenciones quirúrgicas 7; desenlace que no se evidenció en nuestra muestra. La sonda nasogástrica en el postoperatorio permite la alimentación del paciente, la ferulización esofágica y disminuye el riesgo de reflujo del contenido gástrico. Se puede retirar a la semana del drenaje, verificando previamente la disminución de producción por el drenaje cervical y, además, el cierre del defecto esofágico, con una imagen contrastada de esófago.
Conclusión
En nuestro estudio tuvimos la posibilidad de comparar el tratamiento quirúrgico versus el conservador, sin identificar una diferencia estadísticamente significativa frente a los desenlaces. Por este motivo podemos inclinar la balanza hacia el manejo conservador, disminuyendo procedimientos invasivos, potencialmente mórbidos y que requieren mayor infraestructura.
Si bien, pudo ser que por el tamaño de la muestra no se identificaran asociaciones estadísticas entre las distintas variables estudiadas, este estudio aporta al conocimiento científico generado en el país con los resultados de nuestra experiencia en el tratamiento de los pacientes con perforación de esófago cervical por cuerpos extraños.
Referencias
. Kim JD. Prognostic factors of esophageal perforation and rupture leading to mortality: A retrospective study. J Cardiothorac Surg. 2021;16:291. https://doi.org/10.1186/s13019-021-01680-y
. Toma EA, Oun M, Enciu O, Calu V, Miron A. The surgical management of acute esophageal perforation by accidentally ingested fish bone. Chirurgia (Bucur). 2018;113:156-61. https://doi.org/10.21614/chirurgia.113.1.156
. Vogel SB, Rout WR, Martin TD, Abbitt PL. Esophageal perforation in adults: Aggressive, conservative treatment lowers morbidity and mortality. Ann Surg. 2005;241:1016-23. https://doi.org/10.1097/01.sla.0000164183.91898.74
. Lambert RG, Angmorterh SK, Betancourt-Benjamin M, Rodriguez-Gonzalez M, Aboagye S, Ofori EK. Esophageal perforation by tilapia fish bone ingestion - A case report. Int J Surg Case Rep. 2020;71:23-6. https://doi.org/10.1016/j.ijscr.2020.04.054
. Tsalis K, Blouhos K, Kapetanos D, Kontakiotis T, Lazaridis C. Conservative management for an esophageal perforation in a patient presented with delayed diagnosis: A case report review of the literature. Cases J. 2009;2:6784. https://doi.org/10.4076/1757-1626-2-6784
. Hasimoto CN, Cataneo C, Eldib R, Thomazi R, de Camargo-Pereira RS, Minossi JG, et al. Efficacy of surgical versus conservative treatment in esophageal perforation: a systematic review of case series studies. Acta Cir Bras. 2013;28: 266-71. https://doi.org/10.1590/s0102-86502013000400006
. Biancari F, D’Andrea V, Paone R, Di Marco C, Savino G, Koivukangas V, et al. Current treatment and outcome of esophageal perforations in adults: Systematic review and meta-analysis of 75 studies. World J Surg. 2013;37: 1051-9. https://doi.org/10.1007/s00268-013-1951-7
. Søreide JA, Konradsson A, Sandvik OM, Øvrebø K, Viste A. Esophageal perforation: Clinical patterns and outcomes from a patient cohort of western Norway. Dig Surg. 2013;29: 494-502. https://doi.org/10.1159/000346479
. Abbas G, Schuchert MJ, Pettiford BL, Pennathur A, Landreneau J, Landreneau J, et al. Contemporaneous management of esophageal perforation. Surgery. 2009;146: 749-56. https://doi.org/10.1016/j.surg.2009.06.058
. Altorjay A, Kiss J, Vörös A, Bohák A. Nonoperative management of esophageal perforations. Is it justified? Ann Surg. 1997;225: 415-21. https://doi.org/10.1097/00000658-199704000-00011
. Chen M, Ling Y, Yang B. Management of late cervical esophageal perforation. Ulus Travma Acil Cerrahi Derg. 2010;16: 511-5.
. Gupta NM, Kaman L. Personal management of 57 consecutive patients with esophageal perforation. Am J Surg. 2004;187: 58-63. https://doi.org/10.1016/j.amjsurg.2002.11.004
. Kaman L, Iqbal J, Kundil B, Kochhar R. Management of esophageal perforation in adults. Gastroenterology Res. 2010;3: 235-44. https://doi.org/10.4021/gr263w
. Liao F, Zhu Z, Pan X, Li B, Zhu Y, Chen Y, et al. Safety and efficacy of nonoperative treatment in esophageal perforation caused by foreign bodies. Clin Transl Gastroenterol. 2022;13: e00451. https://doi.org/10.14309/ctg.0000000000000451
. Shaker H, Elsayed H, Whittle I, Hussein S, Shackcloth M. The influence of the ‘golden 24-h rule’ on the prognosis of oesophageal perforation in the modern era. Eur J Cardiothorac Surg. 2010;38: 216-22. https://doi.org/10.1016/j.ejcts.2010.01.030
. Boo SJ, Kim HU. Esophageal foreign body: Treatment and complications. Korean J Gastroenterol. 2018;72: 1-5. https://doi.org/10.4166/kjg.2018.72.1.1
. Pla V, Cuesta MA, van den Broek WT. Tratamiento de las perforaciones del esófago torácico. Cir Esp. 2005;77: 327-31. https://doi.org/10.1016/s0009-739x(05)70865-4
. Braghetto I, Rodríguez A, Csendes A, Korn O. Perforación esofágica. Experiencia clínica y actualización del tema. Rev Med Chile. 2005;133: 1233-41. https://doi.org/10.4067/s0034-98872005001000014
. Rabat SK, Sridhar A, Makda A, Aloysius MM. Fish hook as foreign body: Not all foreign bodies can be fished out of the esophagus with endoscopy alone. Cureus. 2022;14: e28164. https://doi.org/10.7759/cureus.28164
. Bladergroen MR, Lowe JE, Postlethwait RW. Diagnosis and recommended management of esophageal perforation and rupture. Ann Thorac Surg. 1986;42: 235-9. https://doi.org/10.1016/s0003-4975(10)62725-7
. Ambe P, Weber SA, Schauer M, Knoefel WT. Swallowed foreign bodies in adults. Dtsch Arztebl Int. 2012;109: 869-75. https://doi.org/10.3238/arztebl.2012.0869
. Lin AY, Tillman BN, Thatcher AL, Graves CR, Prince ME. Comparison of outcomes in medical therapy vs surgical intervention of esophageal foreign bodies. Otolaryngol Head Neck Surg. 2018;159: 656-61. https://doi.org/10.1177/0194599818778277
. Vallböhmer D, Hölscher AH, Hölscher M, Bludau M, Gutschow C, Stippel D, et al. Options in the management of esophageal perforation: analysis over a 12-year period. Dis Esophagus. 2010;23: 185-90. https://doi.org/10.1111/j.1442-2050.2009.01017.x
. Sugawa C, Ono H, Taleb M, Lucas CE. Endoscopic management of foreign bodies in the upper gastrointestinal tract: A review. World J Gastrointest Endosc. 2014;6: 475-81. https://doi.org/10.4253/wjge.v6.i10.475
. Brinster CJ, Singhal S, Lee L, Marshall MB, Kaiser LR, Kucharczuk JC. Evolving options in the management of esophageal perforation. Ann Thorac Surg. 2004; 77: 1475-83. https://doi.org/10.1016/j.athoracsur.2003.08.037
. Garcés-León HM, Rodríguez-Asensio JH, Adauto MA, Quintana ED, Ramírez-Arráez BL. Esofagotomía y cierre primario por cuerpo extraño en esófago superior. Rev Argent Cir. 2022;114: 355-8. http://dx.doi.org/10.25132/raac.v114.n4.1526
. Valsangiácomo P, Ruso L. Perforación esofágica por cuerpo extraño. Rev Chil Cir. 2017;69: 192-3. https://doi.org/10.1016/j.rchic.2016.10.015
. Betancourt-Jiménez F, Solórzano-Loor W, Chacón-López L. Perforación esofágica por ingestión de espina de pescado: A propósito de un caso. Rev Med UCSG. 2013;9: 229-33.
. Nazario-Dolz AM, Hernández-Cumbá S, Pineda-Chacón J. Perforación esofágica cervical en un anciano diabético. Medisan. 2016;20: 1001.
. Pulido J, Sanchez A, Moreno A. Una espina en un pajar: Espina de pescado alojada en la tiroides. Rev Colomb Cir. 2020;35: 491-7. https://doi.org/10.30944/20117582.484
. Quiroz F, Pérez M, García A, Mosquera MR. Cuerpo extraño en el esófago. Revisión de 500 casos. Rev Colomb Cir. 1997;2: 112-6.
Notes
Author notes
aCorrespondencia: Fernando M. Ulloa-Gordon, Calle 10 # 18-75, Bogotá, D.C., Colombia. Teléfono: +57 3164681388 Dirección electrónica: fmulloa@fucsalud.edu.co
Conflict of interest declaration