Case Report
Received: 28 April 2024
Accepted: 30 May 2024
Published: 17 September 2024
DOI: https://doi.org/10.30944/20117582.2628
Abstract
Introduction.: Surgery remains the mainstay of treatment for most esophagogastric junction (EGJ) tumors. After the surgical resection of EGJ tumors, the anatomy of the esophageal hiatus of the diaphragm is severely altered, increasing the risk of postoperative hiatal hernia (HH). While HH is more often reported after esophagectomy, HH is a rare complication after laparoscopic total gastrectomy and occurs in only approximately 0.5% of patients.
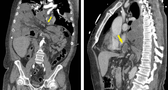
Clinical case.: A laparoscopic total gastrectomy with D2 lymphadenectomy was performed on a patient with an esophagogastric junction tumor. No intraoperative complications occurred and the patient had an uneventful postoperative course. Two months after the operation, the patient was admitted to the emergency room due to diffuse abdominal and chest pain, vomiting, and hematemesis. The chest and abdominal CT scan showed herniation of several bowel loops into the right hemithorax.
Results.: Due to hemodynamic instability, an emergent laparotomy was performed and the hiatal hernia was repaired with mesh. The patient recovered well from the operation and was discharged after 10 days.
Conclusions.: Clinical presentation is often non-specific and warrants a high level of suspicion. Elective surgical repair is recommended for large and/or symptomatic HH. Emergent repair might be needed for complicated HH with incarceration, strangulation, or bowel perforation. Overall, incarcerated HH after laparoscopic total gastrectomy is rare but should be considered in patients with abdominal pain or vomiting during the postoperative course. A prompt diagnosis and treatment are critical to obtain favorable outcomes.
Keywords: Esophagogastric junction, esophageal neoplasms, gastrectomy, minimally invasive surgical procedures, postoperative complications, hiatal hernia.
Resumen
Introducción.: La cirugía sigue siendo el pilar del tratamiento para la mayoría de los tumores de la unión esofagogástrica (UEG). Después de la resección quirúrgica de los tumores de la UEG, la anatomía del hiato esofágico se altera severamente, aumentando el riesgo de hernia hiatal (HH) postoperatoria. Mientras que la HH se informa con mayor frecuencia después de la esofagectomía, la HH es una complicación rara después de una gastrectomía total laparoscópica y ocurre en solo aproximadamente 0,5 % de los pacientes.
Caso clínico.: Se realizó una gastrectomía total laparoscópica con linfadenectomía D2 en un paciente con un tumor en la UEG. No presentó complicaciones intraoperatorias y cursó su postoperatorio sin incidentes. Dos meses luego de la operación, fue admitido en la sala de emergencias debido a dolor abdominal y torácico difuso, vómitos y hematemesis. La tomografía computarizada de tórax y abdomen mostró herniación de asas intestinales en el hemitórax derecho.
Resultados.: Debido a la inestabilidad hemodinámica, se realizó una laparotomía de emergencia y se reparó la hernia hiatal con malla. El paciente fue dado de alta después de 10 días.
Conclusiones.: La presentación clínica suele ser inespecífica y justifica un alto nivel de sospecha. Se recomienda la reparación quirúrgica electiva para HH grandes y/o sintomáticas. La reparación de emergencia puede ser necesaria para HH complicadas con encarcelamiento, estrangulación o perforación intestinal. Generalmente, una HH encarcelada después de la gastrectomía total laparoscópica es infrecuente, pero debe considerarse en pacientes con dolor abdominal o vómitos durante el curso postoperatorio. Un diagnóstico y tratamiento oportunos son críticos para obtener resultados favorables.
Palabras clave: Unión esofagogástrica, neoplasias esofágicas, gastrectomía, procedimientos quirúrgicos mínimamente invasivos, complicaciones posoperatorias, hernia hiatal.
Introduction
Despite advances in endoscopic and systemic therapies, surgery remains the mainstay treatment for most esophagogastric junction (EGJ) tumors 1. After the surgical resection of EGJ tumors, the anatomy of the esophageal hiatus is severely altered, increasing the risk of postoperative hiatal hernia (HH). While HH is more often reported after esophagectomy, with an estimated incidence of 0.4-19.4% 2, HH is a rare complication after laparoscopic total gastrectomy and occurs in only approximately 0.5% of patients 3.
Clinical case
A 55-year-old male patient with history of obesity (Body Mass Index [BMI] of 60 kg/m2) had an esophagogastroduodenoscopy as preoperative evaluation for bariatric surgery. He presented a 10 cm tumor infiltrating the lesser curvature of the stomach and the esophagogastric junction. The endoscopic biopsy revealed a poorly differentiated adenocarcinoma with signet-ring cells. Clinical staging was assessed with endoscopic ultrasound and PET-CT and determined it was a T2 N1 tumor. After multidisciplinary evaluation, perioperative chemotherapy with FLOT along with a laparoscopic total gastrectomy was decided.
A laparoscopic total gastrectomy with D2 lymphadenectomy was performed. No intraoperative complications occurred and the patient had an uneventful postoperative course.
Two months after the operation, the patient was admitted to the emergency department due to diffuse abdominal and chest pain, vomiting, and hematemesis. The chest and abdominal CT scan showed herniation of several bowel loops into the right hemithorax [Figure 1]. Due to hemodynamic instability, an emergent laparotomy was performed finding severely distended small bowel with a hiatal hernia containing approximately 70 cm of small bowel herniated into the mediastinum. The esophageal hiatus was further opened in order to reduce the intestine to the abdomen. As the small bowel slowly recovered vitality, intestinal resection was not deemed necessary. The pillars of the diaphragm were then closed with interrupted stitches of non-absorbable suture, and the hiatal closure reinforced with a mesh. The patient recovered well from the operation and was discharged 10 days later.

Discussion
Surgical widening of the hiatus, pre-existing hiatal hernia, crus compromise, high abdominal-thoracic pressure gradient, low BMI or excessive weight loss, transhiatal approach, and neoadjuvant therapy are some of the described risk factors for HH 2,3 Elective surgical repair is recommended for large and/or symptomatic HH 4. Emergent repair might be needed for complicated HH with incarceration, strangulation, or bowel perforation.
Clinical presentation is often non-specific and warrants a high level of suspicion. Dyspnea, abdominal pain, nausea, and/or vomiting are typical symptoms of incarcerated HH. Mortality rates rise to 10-80% in cases of intestinal necrosis due to delayed diagnosis and treatment 2,3. Several surgical techniques have been proposed to prevent or lower the risk of HH after esophagectomy or total gastrectomy, such as closure of the hiatus, reinforcement with mesh, fixation of the gastric conduit to the crus or omentopexy 2,3. Open or minimally invasive surgery can be used for the management of complicated HH, depending on the experience of the surgical team and the hemodynamic status of the patient.
Overall, incarcerated HH after laparoscopic total gastrectomy is rare but should be considered in patients with abdominal pain or vomiting during a postoperative course. A prompt diagnosis and treatment are critical to obtain favorable outcomes.
References
Smyth EC, Nilsson M, Grabsch HI, van Grieken NC, Lordick F. Gastric cancer. Lancet. 2020;396:635-48. https://doi.org/10.1016/S0140-6736(20)31288-5
Hanna AN, Guajardo I, Williams N, Kucharczuk J, Dempsey DT. Hiatal hernia after esophagectomy: An underappreciated complication? J Am Coll Surg. 2020;230:700-7. https://doi.org/10.1016/j.jamcollsurg.2019.12.009
Ito E, Ohdaira H, Nakashima K, Suzuki N, Imakita T, Tsutsui N, Yoshida M, Kitajima M, Suzuki Y. Crus incision without repair is a risk factor for esophageal hiatal hernia after laparoscopic total gastrectomy: a retrospective cohort study. Surg Endosc. 2017;31:237-44. https://doi.org/10.1007/s00464-016-4962-2
Arraut Gámez RE, Pérez Salcedo FR, Cárdenas Chávez XF, Flórez Restrepo S, Cerro Martínez CP, Caballero Hernández CJ, et al. Hernia hiatal abordaje diagnóstico, complicaciones y manejo. Ciencia Latina. 2023;7:7300-14. https://doi.org/10.37811/cl_rcm.v7i3.6719
Notes
Author notes
aCorresponding author: María Gracia Alvarez-Jurado, Department of Surgery, Hospital Alemán of Buenos Aires, Av. Pueyrredón 1640, Buenos Aires, Argentina. Office: +54 91148277000, E-mail: gracia_alvarez@hotmail.com
Conflict of interest declaration