IMÁGENES EN CIRUGÍA
Colecistitis enfisematosa: Una variante infrecuente de la colecistitis
Emphysematous cholecystitis: An uncommon variant of cholecystitis
Colecistitis enfisematosa: Una variante infrecuente de la colecistitis
Revista Colombiana de Cirugía, vol. 40, no. 2, pp. 389-392, 2025
Asociación Colombiana de Cirugía
Received: 18 November 2024
Accepted: 30 November 2024
Published: 13 December 2024
Palabras clave: Colecistitis enfisematosa, colelitiasis, enfermedades de la vesícula biliar, diagnóstico por imagen, tomografía computarizada, colecistectomía
Keywords: Emphysematous cholecystitis, cholelithiasis, gallbladder diseases, diagnostic imaging, computed tomography, cholecystectomy
La colecistitis enfisematosa es una variante infrecuente de la colecistitis aguda, caracterizada por la presencia de gas en la pared o la luz de la vesícula biliar, como consecuencia de la proliferación de bacterias productoras de gas 1,2. En la fisiopatología, la isquemia de la pared vesicular favorece la invasión bacteriana por microorganismos como Escherichia coli, Clostridium spp y Klebsiella spp1,3. Afecta predominantemente a hombres entre los 50 y 70 años, con factores de riesgo como diabetes mellitus o enfermedad aterosclerótica 1,4. El diagnóstico se sospecha por dolor en hipocondrio derecho y fiebre, y se confirma mediante estudios de imagen, como la tomografía computarizada, que detecta el gas con alta precisión 1,3. Se asocia con alta mortalidad (15-20 %), por sus complicaciones, que incluyen gangrena, perforación vesicular y peritonitis 5. El tratamiento consiste en antibioterapia dirigida a bacterias anaerobias y Gram negativas y colecistectomía temprana, laparoscópica o vía abierta dependiendo de la estabilidad hemodinámica del paciente 3. La detección temprana y el manejo adecuado son esenciales para reducir la mortalidad y mejorar el pronóstico 3,4.
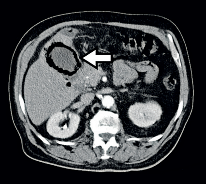
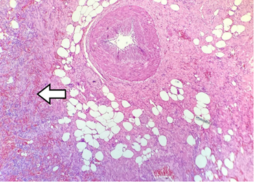
Se presenta el caso de un hombre de 84 años, con antecedentes de hipertensión arterial controlada y enfermedad pulmonar obstructiva crónica, quien consultó por dolor tipo cólico en el hemiabdomen superior, exacerbado por la ingesta de alimentos, irradiado al área periumbilical. Al examen físico había dolor en el hipocondrio derecho, masa palpable y signo de Murphy positivo. Los paraclínicos mostraron leucocitosis leve y transaminasas discretamente elevadas. La ecografía no identificó la vesícula biliar, por lo que se realizó una tomografía computarizada que mostró gas en la pared vesicular y el segmento V del hígado (Figura 1), sugiriendo colecistitis enfisematosa con posible ruptura. Durante la cirugía laparoscópica se identificó un plastrón inflamatorio, por lo que se optó por convertir a cirugía vía abierta; así se encontró una perforación en el tercio inferior de la vesícula y contenido fibrinopurulento (Figura 2). El paciente evolucionó favorablemente, recibiendo alta tras seis días. El análisis histopatológico confirmó inflamación severa, necrosis focal y hemorragia reciente en la pared vesicular (Figura 3).



Referencias
Escobar F, Vega NV, Valbuena EI. Colecistitis enfisematosa, revisión bibliográfica y presentación de tres casos. Rev Colomb Cir. 2015;30:106-11. https://doi.org/10.30944/20117582.322
López-Grove R, Aineseder M, Orta R, Mullen E, Spina JC. Tomografía computada y resonancia magnética en la patología de la vesícula biliar: Más allá de la litiasis. Rev Argent Radiol. 2022;86:251-61. https://doi.org/10.24875/RAR.M22000017
Safwan M, Penny SM. Emphysematous cholecystitis: A deadly twist to a common disease. J Diagn Med Sonogr. 2016;32:131-7. https://doi:10.1177/8756479316631535
Drago MJ, Lagos H, Graneros L, Todeschini H, Sarotto LE. Colecistitis enfisematosa: Manejo satisfactorio por vía laparoscópica. Prensa Med Argent. 2021;107:349-52.
García-Hevia A, Maragno C, Brizuela J, Fernández P, Canga V, Obeid J. Abordaje integral de la colecistitis enfisematosa: Una serie de casos. Acta Gastroenterol Latinoam. 2023;53:175-80. https://doi.org/10.52787/agl.v53i2.314
Notes
Author notes
aCorrespondencia: Jhony Alexander Gualteros-Jurado, Carrera # 14-22 norte 34, Barrio Laureles. Armenia, Colombia. Teléfono: +57 3117103579. Dirección electrónica: jhonygualteros@gmail.com
Conflict of interest declaration