PRESENTACIÓN DE CASO
Quistes de la vía biliar: Experiencia de dos casos en una Unidad de Cirugía Hepatopancreatobiliar
Bile duct cysts: Experience of two cases in a Hepatopancreatobiliary Surgery Unit
Quistes de la vía biliar: Experiencia de dos casos en una Unidad de Cirugía Hepatopancreatobiliar
Revista Colombiana de Cirugía, vol. 40, no. 2, pp. 423-428, 2025
Asociación Colombiana de Cirugía
Received: 22 January 2024
Accepted: 04 April 2024
Published: 18 November 2024
Resumen
Introducción.: La vía biliar principal se forma de la confluencia de los conductos hepáticos izquierdo y derecho. A lo largo de la vía biliar pueden presentarse patologías benignas, como los quistes de la vía biliar, que tienen una incidencia del 1 %. Generalmente son diagnosticados en la infancia. Su cuadro clínico está asociado a un efecto obstructivo mecánico, que produce un cuadro colestásico, con ictericia, acolia, coluria y prurito generalizado. El tratamiento curativo es la resección quirúrgica; sin embargo, se debe individualizar cada paciente de acuerdo con la clasificación de la escala de Todani. El objetivo de este artículo fue describir dos casos con quistes en la vía biliar, en los cuales se realizó resección quirúrgica con bilioplastia.
Casos clínicos.: Se reportan los casos de dos pacientes que consultaron por dolor abdominal, en quienes se identificó un quiste de vía biliar, clasificados como Todani I subtipo C.
Resultados.: Se realizó manejo quirúrgico, ambos mediante técnica abierta, con adecuada evolución postquirúrgica.
Conclusión.: Los quistes del colédoco son anomalías congénitas benignas de la vía biliar. Son infrecuentes, con manifestaciones clínicas inespecíficas y en su mayoría son un hallazgo incidental. Los estudios radiológicos permiten delimitar el compromiso anatómico exacto. El tratamiento quirúrgico de los quistes del colédoco depende del grado de extensión y el compromiso de la vía biliar. La extirpación quirúrgica del quiste es el manejo ideal ya que permite disminuir las complicaciones asociadas, además del compromiso maligno posterior.
Palabras clave: Conducto colédoco+ conductos biliares+ enfermedades de los conductos biliares+ enfermedades de las vías biliares+ quiste del colédoco+ procedimientos quirúrgicos del sistema biliar.
Abstract
Introduction.: The main bile duct is formed from the confluence of the left and right hepatic ducts. Benign pathologies can occur along the bile duct, such as bile duct cysts, which have an incidence of 1%. They are generally diagnosed in childhood. Its clinical picture is associated with a mechanical obstructive effect, which produces a cholestatic picture, with jaundice, acholia, choluria and generalized pruritus. The curative treatment is surgical resection; however, each patient must be individualized according to the classification with the Todani scale. The objective of this article was to describe two cases with cysts in the bile duct, in which surgical resection with bilioplasty was performed.
Clinical cases.: The cases of two patients who consulted for abdominal pain are reported, in whom a bile duct cyst was identified, classified as Todani I subtype C.
Results.: Surgical management was performed, both using open technique, with adequate post-surgical evolution.
Conclusion.: Common bile duct cysts are benign congenital anomalies of the bile duct. They are rare, with non-specific clinical manifestations and are mostly an incidental finding. Radiological studies allow the exact anatomical involvement to be defined. Surgical treatment of common bile duct cysts depends on the degree of extension and compromise of the bile duct. Surgical removal of the cyst is the ideal management since it reduces associated complications, in addition to subsequent malignant involvement.
Keywords: Common bile duct, bile ducts, bile duct diseases, biliary tract diseases, choledochal cyst, biliary tract surgical procedures.
Introducción
Los quistes de la vía biliar son una rara anomalía congénita del árbol biliar, con una dilatación única o múltiple de los conductos intrahepáticos, extrahepáticos o ambos 1,2. Representan el 1 % de las enfermedades benignas de la vía biliar 3-5, con predominio en el sexo femenino. Se documenta en algunos grupos poblacionales una incidencia entre 1 por 100.000 y 150.000 nacidos vivos. Alrededor del 80 % de los casos son diagnosticados en la infancia.
Sobre su etiología, se ha planteado una teoría que consiste en una alteración al momento de la unión del conducto colédoco y el pancreático alejada del duodeno, lo que ocasiona un canal común, con posterior reflujo de secreciones pancreáticas hacia la vía biliar, lo que de manera indirecta provocaría debilidad de las paredes y la formación de los quistes 1,4,5.
Sus manifestaciones clínicas se dan por el efecto mecánico obstructivo de la vía biliar y el efecto de masa en la estimulación de vías nerviosas sensitivas. Generalmente se presentan con dolor abdominal 2,5, asociado a ictericia, coluria, acolia y prurito generalizado; en otros casos, hay síntomas inespecíficos como malestar general, emesis, fiebre, escalofríos, distensión abdominal y sensación de masa abdominal 3,4.
El diagnóstico se basa en la sospecha clínica de una patología obstructiva del árbol biliar. Los paraclínicos incluyen la hiperbilirrubinemia a expensas de la bilirrubina directa, aumento de enzimas hepáticas canaliculares o, incluso, alteración del perfil pancreático 3,5. Inicialmente, la ecografía de abdomen es el método más utilizado y de mayor disponibilidad 5-7, en la cual se pueden encontrar dilataciones saculares de los conductos biliares 6. Como estudio de segunda línea, con una mayor sensibilidad y especificidad, está la tomografía computarizada de abdomen, la cual permite delimitar la extensión de la lesión, ayuda a planear los posibles abordajes quirúrgicos y hace sospechar patologías de origen maligno de estructuras adyacentes 5,6. Sin embargo, la resonancia magnética nuclear logra una mejor identificación de las estructuras anatómicas 8-10.
El tratamiento definitivo consiste en la resección quirúrgica 11-13, cuyo abordaje se realiza dependiendo de la clasificación de Todani (Figura 1) 14,15. El objetivo de este artículo fue presentar dos pacientes con diagnóstico de quiste de colédoco, tratados en la Unidad de Cirugía Hepatopancreatobiliar, Fundación Cardiovascular - Hospital Internacional de Colombia, Piedecuesta, Colombia, mediante resección de quiste más derivación bilioentérica, con adecuada evolución posoperatoria.

Caso clínico 1
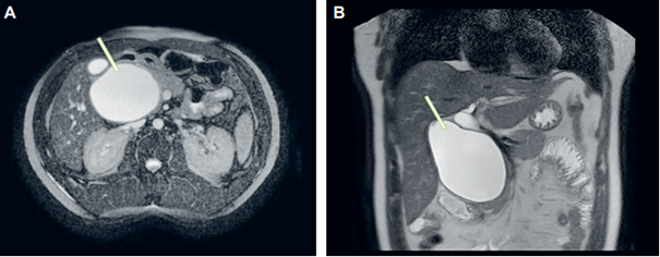
Paciente masculino de 35 años, sin antecedentes médicos, con cuadro clínico de 5 meses de evolución consistente en dolor abdominal, de predominio en hipocondrio derecho, que se irradiaba a espalda. Los paraclínicos mostraron leve leucocitosis, proteína C reactiva elevada, perfil hepático con hiperbilirrubinemia a expensas de la bilirrubina directa, fosfatasa y amilasa elevadas. En la colangiorresonancia se evidenció la presencia de un quiste del colédoco de tipo IC (Figura 2).

Posterior a la valoración por Cirugía hepatobiliar se consideró realizar un abordaje quirúrgico con resección del quiste del colédoco y la vesícula biliar, más reconstrucción de la vía biliar mediante derivación biliodigestiva por vía abierta. En el transoperatorio se halló un quiste del colédoco con compromiso desde el conducto hepático común hasta la zona intrapancreática, de aproximadamente 14 cm de diámetro, que adicionalmente comprometía la vena porta y la arteria hepática derecha (Figura 3). El procedimiento fue realizado sin complicaciones y el posoperatorio se desarrolló de manera adecuada, sin fístula postoperatoria, por lo cual se retiró el dren al tercer día postquirúrgico y se dio egreso al día siguiente.

Caso clínico 2
Paciente femenina de 64 años, sin antecedentes médicos, con historia de dolor en hemiabdomen superior, tipo cólico, irradiado a hipocondrio derecho y espalda. Fue valorada en otra institución donde se documentó un perfil hepático con hiperbilirrubinemia a expensas de la bilirrubina indirecta y una colangiorresonancia con un quiste del colédoco con efecto masa y dilatación de la vía biliar, por lo cual fue remitida a nuestra institución.
El servicio de Cirugía hepatobiliar indicó la necesidad de llevar a cirugía para una exploración de vías biliares por vía abierta y resección del quiste de colédoco con reconstrucción mediante derivación biliodigestiva. Durante el procedimiento encontraron un quiste de colédoco con compromiso desde el conducto común hasta la región intrapancreática, de aproximadamente 12 cm de diámetro, que generaba compresión de la vena porta, dilatación de venas tributarias y de la vía biliar intrahepática (Figura 4). En el posoperatorio tuvo una evolución clínica favorable y egresó al quinto día postquirúrgico.

Discusión
La clasificación de los quistes de la vía biliar se describió por primera vez en 1959 y ha tenido diferentes modificaciones. En 1977 se publicó la clasificación de Todani 16, la cual está vigente actualmente. Esta clasificación está orientada al diagnóstico de acuerdo con la localización y el compromiso de la vía biliar. El tipo I presenta una dilatación quística del colédoco con la vía biliar intrahepática normal, esférica (Ia), segmentaria (Ib) o fusiforme (Ic); el tipo II es un divertículo del conducto hepático común o colédoco; el tipo III, también conocido como coledocele, tiene una dilatación del colédoco intrapancreático en la pared del duodeno; el tipo IV consiste en una dilatación quística intrahepática y/o extra hepática de los conductos biliares, que se divide en IVa (compromiso de la vía biliar intra y extrahepática) y IVb (compromiso de la vía biliar extrahepática); finalmente, el tipo V, o enfermedad de Caroli, consiste en una dilatación quística de los conductos biliares intrahepáticos con la vía extrahepática normal 10,11.
El quiste de tipo I se ha observado con mayor frecuencia en población joven (65-84 %), seguido de los quistes de tipo IV (6-30 %). Sus manifestaciones clínicas son variables y se puede presentar con ictericia, dolor abdominal o sensación de masa a nivel de hipocondrio derecho, además de otros síntomas como náuseas y vómito 12,13. También se relaciona con coledocolitiasis, pancreatitis, ruptura del quiste, colangitis y colangiocarcinoma. Existen reportes de transformación maligna entre el 2,5 % y el 17,5 %, que aumenta directamente con la edad, por lo que es tan importante el diagnóstico temprano y una resección oportuna.
En los paraclínicos se pueden encontrar niveles elevados en transaminasas, bilirrubinas, amilasa o lipasa. Es crucial el diagnostico imagenológico, inicialmente mediante ecografía, ya que es una técnica útil y que no genera ningún tipo de riesgo para los pacientes. La estadificación se hace mediante tomografía computarizada o resonancia magnética, para confirmar el grado de extensión o el compromiso anatómico 13-15.
El tratamiento debe ser individualizado, de acuerdo con el tipo de quiste, aunque generalmente se debe realizar resección del quiste y reconstrucción bilioentérica directa al duodeno o mediante hepático-yeyunostomia en Y de Roux 14,15.
Conclusión
Los quistes del colédoco son anomalías congénitas benignas de la vía biliar, intra o extrahepática, que se asocian a la unión anormal pancreatobiliar durante el desarrollo embriológico. Las imágenes diagnósticas son fundamentales en determinar el tipo según la clasificación de Todani. El tratamiento quirúrgico de los quistes del colédoco depende del grado de extensión y el compromiso de la vía biliar, siendo la resección del quiste y la hepático-yeyunostomía el tratamiento de elección.
Referencias
Elmasry AI, Ali SM, Neama DA, Marzooq AM. Choledochal cyst in pregnancy: A case report. Cureus. 2022;14:e29774. https://doi.org/10.7759/cureus.29774
Maneepairoj N, Burasakarn P, Thienhiran A, Fuengfoo P, Linananda S, Hongjinda S. Choledochal cysts type VI: biliary cyst of the cystic duct with connecting to right anterior sectoral bile duct: A case report. J Surg Case Rep. 2022;2022:rjac126. https://doi.org/10.1093/jscr/rjac126
de Albuquerque VVML, De Macedo FP, Costa KG, Nunes ZRS, da Silva Junior RA. Choledochal cyst- unusual presentation in the adult phase: Case report. Int J Surg Case Rep. 2020;70:33-6. https://doi.org/10.1016/j.ijscr.2020.03.014
Mrowiec S, Jabłońska B, Baron J, Gajda M, Stelmach A, Zemła P, et al. A giant biliary cyst of Todani IA in a young woman: A case report. Medicine (Baltimore). 2021;100:e24022. https://doi.org/10.1097/MD.0000000000024022
Mayorga-Garcés A, Mayorga-Garcés H. Actualización en el diagnóstico y tratamiento de los quistes de colédoco. Revista Andaluza de Patología Digestiva. 2018;41:280-4.
Umar J, Kudaravalli P, John S. Caroli disease. Updated 2023 Jul 31. In: StatPearls [Internet]. Treasure Island (FL): StatPearls Publishing; 2023 Jan.
Brown ZJ, Baghdadi A, Kamel I, Labiner HE, Hewitt DB, Pawlik TM. Diagnosis and management of choledochal cysts. HPB (Oxford). 2023;25:14-25. https://doi.org/10.1016/j.hpb.2022.09.010
Baison GN, Bonds MM, Helton WS, Kozarek RA. Choledochal cysts: Similarities and differences between Asian and Western countries. World J Gastroenterol. 2019;25:3334-43. https://doi.org/10.3748/wjg.v25.i26.3334
Abbey P, Kandasamy D, Naranje P. Neonatal jaundice. Indian J Pediatr. 2019;86:830-41. https://doi.org/10.1007/s12098-019-02856-0
Pastor P, Ocaña J, González A, Nuñez J, García A, García JC, et al. Manejo quirúrgico de los quistes de colédoco: análisis retrospectivo y comparativa histórica. Cir Esp. 2022:100:39-45. https://doi.org/10.1016/j.ciresp.2020.10.003
Serin KR, Ercan LD, Ibis C, Ozden I, Tekant Y. Choledochal cysts: Management and long-term follow-up. Surgeon. 2021;19:200-6. https://doi.org/10.1016/j.surge.2020.06.013
Cazares J, Koga H, Yamataka A. Choledochal cyst. Pediatr Surg Int. 2023;39:209. https://doi.org/10.1007/s00383-023-05483-1
Rodrigues BS, da Silva MO, de Abreu BFBB, Duarte ML, Duarte ER. Choledochal cyst. Medicina (B Aires). 2023;83:180.
Piskin E, Ustuner MA, Oter V, Aydin O, Ozgun YM, Colakoglu MK, et al. Single-center results of choledochal cysts in Turkish population. Arch Iran Med. 2021;24:43-7. https://doi.org/10.34172/aim.2021.07
Sánchez JA, Gómez S, Morales C, Hoyos SI. Quistes del colédoco. Rev Colomb Cir. 2015;30:296-305. https://doi.org/10.30944/20117582.379
Todani T, Watanabe Y, Narusue M, Tabuchi K, Okajima K. Congenital bile duct cysts Classification, operative procedures, and review of thirty-seven cases including cancer arising from choledochal cyst. Am J Surg. 1977;134:263-9. https://doi.org/10.1016/0002-9610(77)90359-2
Notes
Author notes
aCorrespondencia: Gianmarco Camelo-Pardo, Calle 155A # 23 - 58, Urbanización el Bosque, Floridablanca, Colombia. Teléfono: +57 3103272079. Dirección electrónica: gianmarconacional@hotmail.com
Conflict of interest declaration