PRESENTACIÓN DE CASO
Páncreas divisum en pancreatitis recurrente
Pancreatic divisum in recurrent pancreatitis
Páncreas divisum en pancreatitis recurrente
Revista Colombiana de Cirugía, vol. 40, no. 2, pp. 435-439, 2025
Asociación Colombiana de Cirugía
Received: 07 December 2023
Accepted: 29 February 2024
Published: 19 November 2024
Resumen
Introducción.: El páncreas divisum es un defecto común en la formación pancreática, ocasionado por una falla en la fusión de las yemas ventrales y dorsales, que provoca un drenaje inadecuado y una obstrucción transitoria del flujo con aumento de la presión intraductal y la distensión del conducto dorsal. En la población general su incidencia es de 2,9 % a 14 %. Existen tres tipos de variaciones en el páncreas divisum. El cuadro clínico es inespecífico, sin embargo, está asociado a pancreatitis crónica. Su diagnóstico en la mayoría de casos es incidental, siendo la colangiopancreatografía retrógrada endoscópica la modalidad de imagen de elección. El tratamiento es individualizado desde técnicas endoscópicas hasta intervenciones quirúrgicas.
Caso clínico.: Se describe el caso de una paciente de 61 años, con antecedentes de pancreatitis y hallazgo incidental de páncreas divisum en la tomografía computarizada de abdomen, con indicación de manejo endoscópico.
Resultados.: El páncreas divisum es la principal malformación congénita pancreática. Se caracteriza por una sintomatología inespecífica. Es importante el diagnóstico oportuno y el correcto enfoque, individualizando el tratamiento en cada caso.
Conclusiones.: En los pacientes con antecedente de pancreatitis a repetición, el páncreas divisum es un diagnóstico diferencial de importancia. Las técnicas endoscópicas son una alternativa útil en el tratamiento de esta patología.
Palabras clave: Páncreas divisum+ enfermedades pancreáticas+ pancreatitis+ anomalías congénitas+ colangiopancreatografía retrógrada endoscópica.
Abstract
Introduction.: Pancreas divisum is a common defect in pancreatic formation, caused by a failure in the fusion of the ventral and dorsal buds, which, causes inadequate drainage and a temporary flow obstruction with increased intraductal pressure and distention of the dorsal duct. In the general population, its incidence is 2.9% to 14%. There are three types of variations in the pancreas divisum. The clinical picture is nonspecific; however, it is associated with chronic pancreatitis. In most cases, its diagnosis is incidental, being the endoscopic retrograde cholangiopancreatography the imaging modality of choice. Treatment is individualized from endoscopic techniques to surgical interventions.
Clinical case.: The case of a 61-year-old female patient is described, with a history of pancreatitis and an incidental finding of pancreas divisum on abdominal computed tomography, with an indication of endoscopic management.
Results.: Pancreas divisum is the main congenital pancreatic malformation. It is characterized by nonspecific symptoms. Timely diagnosis and the correct approach are important, individualizing the treatment in each case.
Conclusions.: In patients with a history of repeated pancreatitis, pancreas divisum is an important differential diagnosis. Endoscopic techniques are a useful alternative in the treatment of this pathology.
Keywords: Pancreas divisum, pancreatic diseases, pancreatitis, congenital abnormalities, endoscopic retrograde cholangiopancreatography.
Introducción
El páncreas divisum es la anomalía congénita más común del páncreas 1-4, con una incidencia entre el 2,9 y el 14 % 2,5y hallazgos en autopsias entre 6 y 10 % 3. Es causado por una falta de fusión entre las yemas pancreáticas ventral y dorsal, siendo el conducto dorsal el canal principal de drenaje de las secreciones pancreáticas del cuerpo y la cola del páncreas 1,2. Se divide en 3 tipos: sin fusión en su totalidad (70 %), ausencia del conducto ventral (20-25 %) y páncreas divisum incompleto con una comunicación entre la yema ventral y dorsal (5-6 %) 3,4.
Su clínica es inespecífica. La pancreatitis ocurre en el 5 % de los pacientes con páncreas divisum 3. Existen diferentes estudios diagnósticos en el abordaje de los pacientes con sospecha de páncreas divisum, entre ellos la tomografía computarizada (TC), un método que permite evaluar el parénquima y el sistema ductal pancreático, aunque con baja sensibilidad.
Existen técnicas de diagnóstico invasivo, como la colangiopancreatografía retrógrada endoscópica (CPRE), que actualmente es el procedimiento de elección para el diagnóstico 1, pero puede ser sustituida en algunos pacientes por la colangiopancreatografia por resonancia magnética o la tomografía computarizada de detectores múltiples 1. Otra técnica disponible es la endosonografía, una opción que permite evaluar el parénquima y la morfología ductal pancreática, y determinar la funcionalidad ductal mediante la inyección de secretina, sin someter el paciente a los riesgos de la CPRE, incluida la pancreatitis aguda.
El tratamiento inicial en este tipo de patología es un manejo conservador y seguimiento médico estricto. La cirugía está reservada para los pacientes con fracaso en el tratamiento endoscópico, pacientes sintomáticos cuando hay un páncreas normal, o en caso de pancreatitis crónica y complicaciones locales.
El objetivo de este artículo fue presentar el caso de una paciente con un hallazgo incidental de páncreas divisum, asociado a episodios previos de pancreatitis, resaltando la importancia del diagnóstico diferencial, la sospecha clínica y la intervención terapéutica, para disminuir las complicaciones asociadas.
Caso clínico
Paciente femenina 61 años, con antecedentes de hipertensión arterial y pancreatitis recurrente, con el primer episodio cuatro años antes, recibiendo manejo farmacológico con colestiramina, quien consultó a urgencias en otra institución de menor nivel de atención por un cuadro clínico de malestar general, náuseas, episodios eméticos y deposiciones diarreicas. Allí le realizaron exámenes de laboratorio en los que documentaron elevación de reactantes de fase aguda, lactato deshidrogenasa y amilasa, y consideraron que cursaba con un nuevo cuadro de pancreatitis, por lo cual iniciaron esquema antibiótico y remitieron a nuestra institución. A su ingreso, persistía con elevación de reactantes fase aguda, leucocitosis, neutrofilia, aumento de los niveles de amilasa y lipasa, y perfil lipídico y CA 19-9 en rango de normalidad.
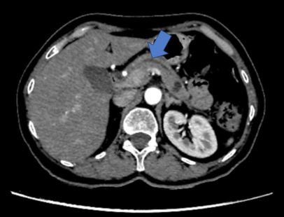
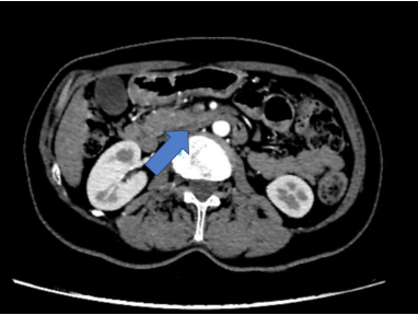
La ecografía abdominal inicial mostró una vesícula sin litiasis en su interior, sin dilatación de la vía biliar intra y extrahepática, y un páncreas de forma y tamaño conservado. Ante la persistencia de la sintomatología se indicó una TC de abdomen y pelvis, con hallazgos de páncreas de tamaño, contornos y densidad normal, pero en el cuerpo se identificaba una imagen hipodensa redondeada, de 12,8 mm de diámetro, de contornos levemente lobulados, aspecto quístico y, al parecer, en comunicación con el conducto pancreático principal (Figura 1), el cual se encontraba discretamente dilatado en toda su extensión, con un diámetro de 3 mm, y emergía directamente a la segunda porción del duodeno, configurando páncreas divisum como variante anatómica (Figura 2).


Fue valorada por el equipo de Cirugía hepatobiliar y dada la estabilidad hemodinámica, se decidió iniciar manejo conservador con analgésicos y cristaloides. En el posterior control paraclínico se evidenció mejoría significativa de los parámetros, sin requerir intervenciones adicionales. Durante su estancia, hubo resolución de la sintomatología, y se dio egreso al tercer día para seguimiento con estudios de extensión.
De forma ambulatoria se realizó ecoendoscopia biliopancreática que mostró el proceso uncinado y la cabeza del páncreas de características normales, un conducto pancreático de 1,7 mm con terminación en la papila menor, ámpula de Váter sin lesiones focales, colédoco en su porción suprapancreática con un diámetro de 5 mm, sin imágenes hiperecogénicas que proyectaran sombra acústica posterior compatibles con cálculos; el parénquima del cuerpo en zona proximal con presencia de quiste de 12 x 10 mm, con septo fino en su interior, sin áreas nodulares ni calcificaciones, sin apreciar comunicación con el conducto de Wirsung; y la cola del páncreas de características normales.
Discusión
Con la variación anatómica del páncreas, la mayor parte de la secreción pancreática drena a través del conducto de Santorini. Alrededor del 5 % de los pacientes con páncreas divisum presentan pancreatitis 3 y se define la pancreatitis aguda recurrente como dos o más episodios de pancreatitis aguda, con posterior resolución completa de los síntomas y la alteración de los paraclínicos 5.
Generalmente es asintomático y sus manifestaciones están asociadas al inadecuado drenaje pancreático y el aumento de las presiones intraductales. De acuerdo con sus manifestaciones, se han dividido en diferentes grupos: #1, síntomas mínimos; #2, pancreatitis recurrente o dolor abdominal sin otra causa; #3, pancreatitis crónica; #4, pancreatitis crónica y dolor; y #5, otras complicaciones.
La evaluación y la terapia adecuada son cruciales porque los pacientes con pancreatitis aguda recurrente que no reciben tratamiento evolucionan a pancreatitis crónica. En el caso presentado se observó la relación directa entre los cuadros de pancreatitis y el hallazgo de páncreas divisum, el cual se diagnosticó de forma incidental mediante las imágenes diagnósticas. Se debe destacar que, a pesar de que la tomografía computarizada es un método con baja sensibilidad, permitió hacer el diagnóstico rápidamente en nuestro paciente.
En los casos sugestivos con estudios no concluyentes, la confirmación definitiva se debe realizar mediante CPRE. El tratamiento farmacológico será individualizado, según la clasificación otorgada en cada paciente. En los pacientes del grupo 1 el tratamiento es médico; en pacientes de los grupos 2 a 4 se procede a realizar papilotomía endoscópica de la papila menor y, en aquellos pacientes sin respuesta, se recomienda la pancreaticoduodenectomía parcial (Whipple) 3,6,7. Nuestro paciente respondió a las medidas médicas instauradas por lo que no se consideró realizar intervenciones invasivas adicionales.
Conclusiones
El páncreas divisum es una malformación pancreática común. El diagnóstico temprano del páncreas divisum permite un abordaje oportuno, el cual debe ser individualizado para cada paciente, enfocado a disminuir el riesgo de complicaciones. El manejo endoscópico es el tratamiento ideal en muchos casos. En todo paciente con pancreatitis aguda recidivante es importante descartar la presencia de páncreas divisum.
Referencias
Rana SS, Bhasin DK, Sharma V, Rao C, Singh K. Role of endoscopic ultrasound in the diagnosis of pancreas divisum. Endosc Ultrasound. 2013;2:7-10. https://doi.org/10.7178/eus.04.003
Michailidis L, Aslam B, Grigorian A, Mardini H. The efficacy of endoscopic therapy for pancreas divisum: A meta-analysis. Ann Gastroenterol. 2017;30:550-8. https://doi.org/10.20524/aog.2017.0159
Schneider L, Müller E, Hinz U, Grenacher L, Büchler MW, Wener J. Pancreas divisum: A differentiated surgical approach in symptomatic patients. World J Surg. 2011;35:1360-6. https://doi.org/10.1007/s00268-011-1076-9
DiMagno MJ, Wamsteker EJ. Pancreas divisum. Curr Gastroenterol Rep. 2011;13:150-6. https://doi.org/10.1007/s11894-010-0170-8
Betin C, Pelletier AL, Vullierme MP, Bienvenu T, Rebours V, Hentic O, et al. Pancreas divisum is not a cause of pancreatitis by itself but acts as a partner of genetic mutations. AM J Gastroenterol. 2012;107:311-7. https://doi.org/10.1038/ajg.2011.424
Pina LN, Tejedor MP, Carles G, Alle L, Sarotto L. ¿Tiene el páncreas divisum un rol determinante en la pancreatitis aguda? Rev Cir. 2017;69:459-66. http://dx.doi.org/10.1016/j.rchic.2017.05.005
Nieto JA, Rodríguez SJ. Manejo de la pancreatitis aguda: Guía de práctica clínica basada en la mejor información disponible. Rev Colomb Cir. 2010;25:76-96.
Notes
Author notes
aCorrespondencia: Gianmarco Camelo-Pardo, Calle 155A # 23 - 58, Floridablanca, Colombia. Teléfono: +57 3103272079. Dirección electrónica: gianmarconacional@hotmail.com
Conflict of interest declaration