PRESENTACIÓN DE CASO
Empiema necessitatis en un postoperatorio tardío: Reporte de caso de una complicación poco frecuente
Empyema necessitatis in a late postoperative period: Case report of a rare complication
Empiema necessitatis en un postoperatorio tardío: Reporte de caso de una complicación poco frecuente
Revista Colombiana de Cirugía, vol. 40, no. 3, pp. 617-623, 2025
Asociación Colombiana de Cirugía
Received: 07 March 2024
Accepted: 04 April 2024
Published: 15 November 2024
Resumen
Introducción.: El empiema necessitatis es una complicación poco frecuente que se presenta en casos en donde no se trata de forma adecuada u oportuna un empiema por cualquier etiología. Se define como la extensión del empiema a tejidos blandos de la pared torácica, con compromiso del tejido celular subcutáneo y en ocasiones la piel.
Caso clínico.: Se presenta el caso de un hombre de 80 años, quien tras cuatro meses de una lobectomía por toracoscopia desarrolló síntomas constitucionales y dos abscesos en la pared torácica. Se confirmó un empiema necessitatis por tomografía computarizada, que fue tratado con decorticación por toracotomía. Adicionalmente se diagnosticó también un carcinoma escamocelular de pulmón.
Resultados.: En este caso el empiema necessitatis se presentó en el postoperatorio tardío de una lobectomía por toracoscopia, en un paciente frágil, con múltiples comorbilidades. El paciente se llevó a una decorticación quirúrgica, que es el tratamiento ideal en estos casos, asociado al inicio temprano de antibióticos.
Conclusiones.: Se debe conocer la historia natural del empiema, hacer un diagnóstico oportuno y un tratamiento adecuado para evitar complicaciones, tales como el empiema necessitatis, que aumenta la morbimortalidad de los pacientes. El inicio oportuno de antibiótico y la decorticación pleural, por toracoscopia o toracotomía, son los pilares del tratamiento.
Palabras clave: Empiema pleural+ infección persistente+ neoplasias pulmonares+ toracoscopia+ toracotomía+ complicaciones posoperatorias.
Abstract
Introduction.: Empyema necessitatis is a rare complication that occurs in cases where empyema due to any etiology is not adequately and timely treated. It is defined as the extension of the empyema to the soft tissue of the chest wall, with involvement of the subcutaneous cellular tissue and occasionally the skin.
Clinical case.: The case of an 80-year-old male, who after four months of a thoracoscopy lobectomy developed constitutional symptoms and two abscesses on the the chest wall is presented. Empyema necessitatis was confirmed by computed tomography, which was treated with decortication by thoracotomy. Additionally, a squamous cell carcinoma of the lung was also diagnosed.
Results.: In this case, empyema necessitatis occurred in the late postoperative period after a thoracoscopy lobectomy, in a fragile patient with multiple comorbidities. The patient underwent surgical decortication, which is the ideal treatment in these cases, associated with the early initiation of antibiotics.
Conclusions.: The natural history of empyema must be known, a timely diagnosis and adequate treatment must be made to avoid complications, such as empyema necessitatis, which increases morbidity and mortality to patients. Timely initiation of antibiotics and pleural decortication, by thoracoscopy or thoracotomy, are the cornerstones of treatment.
Keywords: Pleural empyema, persistent infection, lung neoplasms, thoracoscopy, thoracotomy, postoperative complications.
Introducción
El empiema es una complicación frecuente de la neumonía, con una mortalidad que varía del 10 al 27 % 1. Se define como la presencia de pus en la cavidad pleural o la presencia de bacterias en la tinción de Gram o el cultivo de un líquido pleural. Un 14 - 19 % de las neumonías desarrollan un derrame paraneumónico, y de estos, el 10 % progresa a empiema 2. Existen otras etiologías para desarrollar un empiema, tales como trauma, procedimientos quirúrgicos en el tórax, bacteriemia o la extensión de infecciones en otros sitios, como el cuello, el mediastino o el abdomen, entre otros 3. El tratamiento se basa en el inicio oportuno de antibióticos, y en ciertos casos, el drenaje del empiema, ya sea con toracocentesis y sistemas de drenaje pleural o con cirugía 4.
En caso de no ofrecer un tratamiento oportuno, el empiema puede progresar a un empiema necessitatis, que se define como una extensión al tejido celular subcutáneo de la pared torácica e incluso a la piel, creando un absceso subcutáneo, que agrega morbimortalidad importante al paciente. El empiema se abre camino a través de los sitios de debilidad de la pared torácica como, por ejemplo, sitios de trauma o cirugía previos.
Antes de la aparición de los antibióticos y la adecuada comprensión de la fisiopatología del empiema, el empiema necessitatis era muy frecuente y presentaba altas tasas de mortalidad (66 %), pero ahora es una complicación muy poco frecuente y tiene muy baja mortalidad (0 - 5 %) 5. La etiología más comúnmente descrita es debida a infecciones por Mycobacterium tuberculosis y Actinomyces israelii, pero se han descrito otros gérmenes causales como el Staphilococcus aureus, Streptococcus pneumoniae, Streptococcus agalactiae o Aggregatibacter actimonycetemcomitans6-8.
Se desconoce la incidencia del empiema necessitatis por tratarse de una enfermedad muy poco frecuente. Por esa razón, es necesario tener presente sus características clínicas para poder hacer el diagnóstico e iniciar un tratamiento oportuno, para evitar así una mayor morbimortalidad en los pacientes. El objetivo de este artículo fue describir el caso de un paciente quien, tras un postoperatorio tardío de toracoscopia, en contexto de un carcinoma escamocelular de pulmón, desarrolló un empiema necessitatis.
Caso clínico
Paciente masculino de 80 años, residente en una zona urbana, con antecedentes de exfumador de 50 paquetes/año, enfermedad pulmonar obstructiva crónica (EPOC) oxígeno requirente, cardiopatía isquémica, reparo de aneurisma de aorta abdominal, dislipidemia y osteoporosis, hospitalizado en febrero de 2023 por presentar exacerbación infecciosa del EPOC. Realizaron tomografía computarizada (TC) de tórax en donde observaron nódulos en el lóbulo inferior izquierdo (LII), por lo que se hizo fibrobroncoscopia (FBC) y biopsia por aspiración (BA) con KOH, baciloscopia, Gram y cultivo, con resultados negativos, pero panel molecular con presencia de Pseudomona aeruginosa con genes de resistencia tipo KPC. Fue tratado y dado de alta de forma satisfactoria.
Posteriormente, como estudio de los nódulos pulmonares, en marzo de 2023 se practicó una tomografía por emisión de positrones con tomografía computarizada (PET/CT), en donde se evidenció una masa parahiliar derecha con adenopatías paraesofágicas. Por este resultado, en agosto del 2023 se decidió intervenir quirúrgicamente, realizando una lobectomía del lóbulo ácigos en el lóbulo superior derecho (LSD) y biopsia del nódulo del lóbulo inferior derecho (LID). El resultado de la patología del lóbulo ácigos mostró calcificación, necrosis y presencia de levaduras compatibles con Histoplasma y en la patología del LID no se detectaron anormalidades. En diciembre del 2023 se repitió un PET/CT para evaluar la evolución de los nódulos, y encontraron aumento en el tamaño de la masa parahiliar derecha y realce pleural.
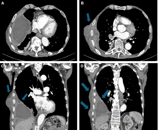
Consultó a nuestra institución por un cuadro de dos a tres semanas de astenia, adinamia, fiebre y pérdida de peso de 19 kg. Además, refería la aparición de dos masas dolorosas en zona lateral de la pared torácica derecha, desde hacía una semana (Figura 1). La ecografía reportó dos lesiones voluminosas con cambios inflamatorios, la menor de las lesiones con una clara comunicación con la cavidad pleural; ambas lesiones tenían líquido de aspecto complicado, probablemente material purulento, por lo que se sospechó un empiema necessitatis. Se solicitó una TC de tórax que informó un empiema derecho con comunicación a la pared torácica, que confirmó la presencia de un empiema necessitatis (Figura 2).


Se decidió hacer toracocentesis, donde se drenó abundante material purulento (540 ml) y se tomó cultivo, con reporte de Staphylococcus aureus meticilino-sensible (SAMS), por lo que se inició manejo con cefazolina. Fue valorado por cirugía de tórax y se programó para decorticación por videotoracoscopia derecha, pero fue necesario convertir a toracotomía lateral por el amplio compromiso inflamatorio, que dificultaba la adecuada disección del tejido. Se identificó atrapamiento del pulmón, principalmente del LID y cavidad con material purulento escaso, con presencia de dos granulomas abscedados en piel y tejido celular subcutáneo, en los sitios de la toracoscopia previa de agosto; se encontró además un nódulo pulmonar de aproximadamente 2 cm en LID, friable a la manipulación, con aspecto de granuloma de caseificación. Durante la disección se evidenciaron múltiples laceraciones pulmonares, que requirieron resección en cuña de LID y de segmento anterior del LSD. Se realizaron neumorrafias múltiples y lavado de la cavidad, y se dejaron dos sondas a tórax. Durante el procedimiento tuvo sangrado importante, por lo que requirió transfusión de hemoderivados.
Tras el procedimiento se trasladó a la unidad de cuidados especiales (UCE) donde presentó una pobre evolución, con choque con requerimiento de vasopresores, falla respiratoria con requerimiento de intubación orotraqueal, y finalmente fallece. La patología del nódulo pulmonar resecado reportó un carcinoma escamocelular, moderadamente diferenciado; la de la cuña pulmonar, una neumonía aguda con abscedación focal, tejido de granulación y cambios reparativos asociados. Los cultivos definitivos de micosis profundas y micobacterias fueron negativos.
Discusión
El empiema necessitatis, también conocido como empiema necessitans, es una rara complicación de un empiema crónico no tratado adecuadamente, en donde el pus de la cavidad invade estructuras adyacentes, más comúnmente la pared torácica, aunque también se ha descrito invasión al pericardio, las vértebras, el esófago o el retroperitoneo 9.
La forma de presentación más usual es la aparición de una tumefacción en la región lateral de la pared torácica, con una zona fluctuante que en ocasiones puede drenar espontáneamente y que obliga a descartar infecciones de tejidos blandos. Usualmente se presenta con síntomas inespecíficos como fiebre, pérdida de peso o sudoración nocturna. Pueden encontrarse adenopatías regionales asociadas y, ocasionalmente existen síntomas respiratorios como la tos, el dolor pleurítico o la disnea 10. Los síntomas constitucionales se empiezan a desarrollar generalmente de uno a dos meses previos a la aparición de la masa en la pared torácica. Las formas de presentación más agudas se han relacionado con bacterias piógenas 11.
Se han descrito algunos factores de riesgo para desarrollar un empiema necessitatis, como la diabetes mellitus, las enfermedades pulmonares o cardiovasculares, las neoplasias, la inmunosupresión, el alcoholismo o la desnutrición 10. Las etiologías más comunes son la neumonía necrotizante y la tuberculosis (pulmonar o pleural), pero también se puede generar tras un trauma o un procedimiento quirúrgico en el tórax, como en el presente caso. Así, los microorganismos más comúnmente aislados son Mycobacterium tuberculosis y Actinomyces israelii, aunque se han descrito otros, dentro de los cuales se encuentra el Staphilococcus aureus, tanto meticilino sensible como resistente 6.
En una revisión de la literatura por Nakamura T, et al. 12, se identificaron 15 pacientes con empiema necessitatis por Staphylococcus aureus meticilino resistente, de los cuales el 40 % tuvo hemocultivos positivos. Todos fueron tratados con antibiótico (vancomicina y daptomicina) y drenaje. Resaltan que algunos pacientes tuvieron metástasis piógenas y desarrollaron osteomielitis por este germen, que fue de muy difícil tratamiento. Los casos causados por hongos son raros y generalmente el paciente tiene algún factor predisponente como inmunodeficiencia, uso de antibióticos de amplio espectro, enfermedades neoplásicas, tuberculosis, trauma o cirugía previos. En los casos complicados, que son refractarios al manejo, es preciso tener presente gérmenes menos comunes como el Aspergillus fumigatus13.
Entre los diagnósticos diferenciales se incluyen algunas neoplasias torácicas o cutáneas, granulomatosis con poliangitis, sarcoidosis, endocarditis infecciosa o embolización séptica 5.
Ante la presencia de los hallazgos clínicos descritos, se puede realizar inicialmente una radiografía de tórax, en donde se observan hallazgos compatibles con derrame pleural y signos de loculación, lo que aumenta la sospecha de un empiema 14. El diagnóstico definitivo se puede realizar con una ecografía de la lesión en la piel, que va a mostrar una colección subcutánea con una clara comunicación al espacio pleural, pero la TC de tórax es la ayuda diagnóstica que mayor rendimiento tiene y que más datos aporta, ya que puede confirmar la presencia de un empiema, puede mostrar claramente la comunicación del líquido con la pared torácica, así como también el engrosamiento pleural, los infiltrados parenquimatosos, u otros hallazgos importantes, como la presencia de nódulos o masas pulmonares 11,15.
En una serie de 9 casos descrita por Akgül AG, et al. 9, encontraron que todos los pacientes con empiema necessitatis tuvieron alguna patología pulmonar como antecedente (tuberculosis pulmonar tratada, neumonía previa, pleuritis crónica o derrame pleural tratado), todos los pacientes se presentaron con un absceso en la pared torácica y todos requirieron algún tipo de drenaje. Los hallazgos más comunes en la TC fueron las atelectasias, infiltrados en el parénquima pulmonar, engrosamiento pleural y la colección con líquido loculado con una comunicación al tejido celular subcutáneo. En 5 pacientes se confirmó la presencia de Mycobacterium tuberculosis y un paciente se diagnosticó con carcinoma escamocelular de pulmón 9.
El paciente de este caso tenía el antecedente de una lobectomía y resección en cuña por toracoscopia y cuatro meses después empezó a presentar síntomas constitucionales, que finalmente se acompañaron de la aparición de dos masas en la pared torácica. De forma intraoperatoria se evidenció que el empiema se había fistulizado a la piel a través de las cicatrices de la toracoscopia previa.
El tratamiento de esta patología se basa en la administración oportuna de antibióticos de amplio espectro, seguido del drenaje del líquido para controlar el foco infeccioso y poder enviar muestras para cultivo de bacterias aerobias e idealmente anaerobias. Siempre se deben realizar estudios específicos para descartar la tuberculosis pulmonar o pleural, ya que es la causa más común y, según el caso, estudiar la presencia de micosis profundas 11. Tras el drenaje inicial, el paciente puede mejorar significativamente, pero la mayoría de los pacientes va a requerir drenaje quirúrgico ya que la presencia de loculaciones es común.
La cirugía se basa en la decorticación pleural por toracoscopia o toracotomía, con drenaje y lavado de toda la cavidad 9. No hay ninguna contraindicación para realizar el procedimiento por toracoscopia, aunque puede existir una dificultad técnica por un proceso inflamatorio crónico e importante, que limita la visualización, obligando a convertir la cirugía a una toracotomía, como en el presente caso. Incluso a pesar de haber tenido que realizar un abordaje por vía abierto en nuestro paciente, las laceraciones pulmonares fueron frecuentes debido al engrosamiento marcado de la pleura visceral y el sangrado fue abundante, obligando a transfundir tanto glóbulos rojos enteros como plaquetas.
Este paciente tuvo una evolución postoperatoria tórpida, con hipotensión, desaturación y taquicardia a las 32 horas del postoperatorio, desarrollando una falla ventilatoria franca con necesidad de intubación orotraqueal e inicio de vasopresor, que lo llevó a fallecer de forma súbita. Las hipótesis de esta muerte tan temprana y de evolución tan rápida es que haya desarrollado un síndrome coronario agudo, ya que el paciente tenía antecedente de enfermedad coronaria no revascularizada; o un tromboembolismo pulmonar en un postoperatorio de una cirugía mayor, en donde requirió transfusión masiva de hemoderivados y que probablemente haya desarrollado un estado protrombótico. En el cultivo definitivo se aisló un S. aureus meticilino sensible y en la patología final del nódulo pulmonar se identificó un carcinoma escamocelular.
Conclusiones
El empiema es una patología frecuente a la que se enfrentan los médicos generales, internistas y cirujanos, que puede tener una mortalidad importante en ciertos pacientes. Es necesario saber identificarlo de forma temprana y tratarlo de manera oportuna para evitar complicaciones tales como el empiema necessitatis, aunque actualmente tiene una incidencia muy baja debido al uso extendido de antibióticos. Estos pacientes requieren un tratamiento agresivo, con antibióticos de amplio espectro y drenaje oportuno del empiema, casi siempre de forma quirúrgica, ya que son frecuentes las loculaciones, la inflamación y la fibrosis pleural.
Referencias
. Reichert M, Hecker M, Witte B, Bodner J, Padberg W, Weigand MA, et al. Stage-directed therapy of pleural empyema. Langenbecks Arch Surg. 2017;402:15-26. https://doi.org/10.1007/s00423-016-1498-9
. Addala DN, Bedawi EO, Rahman NM. Parapneumonic effusion and empyema. Clin Chest Med. 2021;42:637-47. https://doi.org/10.1016/j.ccm.2021.08.001
. Sanabria AE. Empiema pleural postraumático: Una entidad diferente. Rev Colomb Cir. 1998;13:207-14.
. Godfrey MS, Bramley KT, Detterbeck F. Medical and surgical management of empyema. Semin Respir Crit Care Med. 2019;40:361-74. https://doi.org/10.1055/s-0039-1694699
. Moh IH, Lee YK, Kim HJ, Jung HY, Park JH, Ahn HK, et al. Empyema necessitatis in a patient on peritoneal dialysis. Tuberc Respir Dis (Seoul). 2014;77:94-7. https://doi.org/10.4046/trd.2014.77.2.94
. Crouch A, Lay J, Neeki A, Dong F, Neeki M. Spontaneous rupture of empyema necessitans in the emergency department. Cureus. 2021;13:e14822. https://doi.org/10.7759/cureus.14822
. Molina V, Arlandis M, Chiner E. Empiema necessitatis por Corynebacterium jeikeium: Preguntas del s. XIX, respuestas del s. XXI. Arch Bronconeumol. 2018;54:53-4. https://doi.org/10.1016/j.arbres.2017.06.015
. Senent C, Betlloch I, Chiner E, Llombart M, Moragón M. Tuberculous empyema necessitatis. A rare cause of cutaneous abscess in the XXI century. Dermatol Online J. 2008;14:11.
. Akgül AG, Örki A, Örki T, Yüksel M, Arman B. Approach to empyema necessitatis. World J Surg. 2011;35:981-4. https://doi.org/10.1007/s00268-011-1035-5
. Gerlach G, Garrity RE, Izquierdo-Pretel G, Buitrago E. Empyema necessitatis: A rare complication of empyema. Cureus. 2023;15:e48973. https://doi.org/10.7759/cureus.48973
. Kono SA, Nauser TD. Contemporary empyema necessitatis. Am J Med. 2007;120:303-5. https://doi.org/10.1016/j.amjmed.2006.09.019
. Nakamura T, Ishikawa K, Murata N, Sato K, Kitamura A, Mori N, et al. Empyema necessitans caused by methicillin-resistant Staphylococcus aureus: A case report and literature review. BMC Infect Dis. 2024;24:157. https://doi.org/10.1186/s12879-024-09062-0
. Benjanuwattra J, Leelaviwat N, Guerin C, Patel PU, Mekraksakit P, Nugent K. Empyema necessitans as a rare manifestation of Aspergillus fumigatus infection. Proc (Bayl Univ Med Cent). 2022;35:193-4. https://doi.org/10.1080/08998280.2021.2008219
. Rendón-García MA, Giraldo JA. Empiema necessitatis: Reporte de un caso. Med UPB. 2020;39:71-4. https://doi.org/10.18566/medupb.v39n1.a10
. Amado S, Gómez JS. Empiema necessitatis. Acta Med Colomb. 2013;38:28-31. https://doi.org/10.36104/amc.2013.229
Notes
Author notes
aCorrespondencia: Santiago Barrantes-Moreno, Carrera 43C # 1-75, Medellín, Colombia. Teléfono: +57 3113699321. Dirección electrónica: santiago.barrantes@upb.edu.co
Conflict of interest declaration