PRESENTACIÓN DE CASO
Actinomicosis apendicular simulando una tumoración intraabdominal. Reporte de caso
Appendiceal actinomycosis mimicking an intrabdominal tumor. A case report
Actinomicosis apendicular simulando una tumoración intraabdominal. Reporte de caso
Revista Colombiana de Cirugía, vol. 40, no. 3, pp. 624-630, 2025
Asociación Colombiana de Cirugía
Received: 02 February 2024
Accepted: 21 March 2024
Published: 04 December 2024
Resumen
Introducción.: La actinomicosis abdominal es una enfermedad rara, causada por un microorganismo grampositivo anaerobio, que afecta principalmente cavidades abiertas. Puede llegar a afectar en un 64 % de los casos el intestino delgado. Se caracteriza por la formación de abscesos y fístulas. Las manifestaciones clínicas son inespecíficas, pero una vez instaurada la enfermedad, puede manifestarse de manera similar a una lesión tumoral.
Caso clínico.: Paciente femenina de 85 años quien ingresó al área de urgencias por dolor abdominal de una semana de evolución, con localización principal en fosa ilíaca derecha, acompañado de náuseas y vómitos. A la exploración presentaba signos positivos apendiculares, con leucocitosis en sus laboratorios y cambios sugestivos de apendicitis y tiflitis en la tomografía computarizada.
Resultados.: Fue ingresada a laparotomía exploratoria donde se encontró marcada inflamación de aspecto tumoral a nivel del ciego y colon ascendente, con cambios fibrino-purulentos, apéndice cecal en estado de necrosis licuefactiva con pérdida de su morfología y perforación de su base. Se practicó hemicolectomía derecha, procedimiento de Hartmann y derivación de estoma de íleon distal. Tuvo una evolución posoperatoria tórpida y falleció.
Conclusión.: La actinomicosis abdominal es una enfermedad con incidencia muy baja en nuestro medio. Su diagnóstico es un reto, tanto por las manifestaciones clínicas inespecíficas como por el alto porcentaje de falsos negativos a la hora del diagnóstico. Se deben descartar otras causas de abdomen agudo antes de sospechar una actinomicosis abdominal.
Palabras clave: Apendicitis+ actinomicosis+ abdomen agudo+ perforación intestinal+ colectomía.
Abstract
Introduction.: Abdominal actinomycosis is a rare disease, caused by an anaerobic gram-positive microorganism, which mainly affects open cavities. It can affect the small intestine in 64% of cases. It is characterized by the formation of abscesses and fistulas. The clinical manifestations are nonspecific, but once the disease is established, it can manifest in a manner similar to a tumor lesion.
Clinical case.: An 85-year-old female was admitted to the emergency department due to abdominal pain that had been going on for a week, with the main location in the right iliac fossa, accompanied by nausea and vomiting. On examination she had positive appendiceal signs, with leukocytosis in her laboratories and changes suggestive of appendicitis and typhlitis in the computed tomography.
Results.: She was admitted to exploratory laparotomy where marked inflammation with a tumor-like appearance was found at the level of the cecum and ascending colon, with fibrino-purulent changes, cecal appendix in a state of liquefactive necrosis with loss of its morphology and perforation of its base. A right hemicolectomy, Hartmann procedure and distal ileum stoma diversion were performed. She had a torrid postoperative course and died.
Conclusion.: Abdominal actinomycosis is a disease with a very low incidence in our environment. Its diagnosis is a challenge, both due to non-specific clinical manifestations and the high percentage of false negatives at the time of diagnosis. Other causes of acute abdomen should be ruled out before abdominal actinomycosis is suspected.
Keywords: Appendicitis, actinomycosis, acute abdomen, intestinal perforation, colectomy.
Introducción
El apéndice cecal tiene una longitud promedio de 6-10 cm, por lo que, aunque su base se encuentra en la fosa iliaca derecha, la punta puede extenderse hasta el hueco pélvico. La apendicitis aguda se desarrolla por una obstrucción luminal, que puede ser debida a inflamación de la mucosa, hiperplasia linfoide o presencia de un fecalito. La obstrucción hace que la inflamación progrese a una supuración transmural, seguida de isquemia, necrosis y desarrollo de una perforación. Cuando el apéndice se encuentra inflamado, el epiplón puede cubrir y envolver al intestino para formar una masa inflamatoria 1.
La incidencia de apendicitis de manera global es de 100 casos por 100.000 habitantes, en cambio, la apendicitis por actinomicosis tiene una incidencia de 0,3 a 1 pacientes al año por cada 100.000 habitantes 2,3. Las bacterias comúnmente asociadas con la apendicitis aguda son Firmicutes (37 %), Proteobacteria (24 %), Bacteroides (18 %) y Actinobacteria (16 %). En etapas tempranas de la apendicitis aguda los microorganismos aerobios son los más frecuentes, mientras en pacientes con apendicitis complicada, gangrena o perforación, se presentan mayormente Escherichia coli, Peptostreptococcus, Bacteroides fragilis y Pseudomona 4.
Las especies de actinomices provienen de la flora bacteriana de la cavidad oral, tracto digestivo superior y tracto genitourinario. Son bacterias anaerobias microfilicas Gram positivas, que se encuentran en el medio rural y urbano. Habitualmente producen una inflamación granulomatosa con producción de pus y formación de abscesos, seguido de necrosis extensa con depósito de tejido fibrinoide 5.
El objetivo de este artículo fue presentar el caso de una forma atípica de apendicitis aguda, simulando a una tumoración intraabdominal.
Caso clínico
Paciente femenina de 85 años, con antecedente de hipertensión arterial sistémica, enfermedad pulmonar obstructiva crónica e insuficiencia cardiaca congestiva, quien acudió al área de urgencias del Hospital General de Chihuahua Salvador Zubirán Anchondo, en Chihuahua, México, por cuadro clínico de dolor abdominal localizado en fosa iliaca derecha, de 8 días de evolución, acompañado de náuseas, vómito y fiebre no cuantificada. En los paraclínicos había leucocitosis (25.400 mm³) con neutrofilia (93 %), hemoglobina 12,6 g/dL y plaquetas 388.000 u/mcL. En la tomografía de abdomen reportaron tiflitis, cambios inflamatorios periapendiculares, en grasa del íleon y ciego y aumento de tamaño de ganglios mesentéricos a nivel de fosa iliaca derecha (Figura 1).

En la valoración por el cirujano de turno en urgencias la encuentra desorientada, con palidez de mucosas y piel seca, estertores audibles en ambos campos pulmonares, disminución de la peristalsis y resistencia muscular abdominal, con signos de irritación peritoneal, además de signos apendiculares como McBurney, Psoas, Blumberg y Rovsing. Por sospecha de una apendicitis aguda complicada, se pasó a la sala de operaciones para su manejo definitivo.
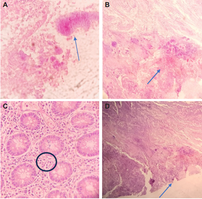
Se realizó laparotomía mediana en la que se observó marcada inflamación de aspecto tumoral a nivel del ciego y colon ascendente, con cambios fibrino-purulentos, apéndice cecal en estado de necrosis licuefactiva con pérdida de su morfología y perforación de su base (Figura 2). Se decidió practicar hemicolectomía derecha, procedimiento de Hartmann y derivación de estoma de íleon distal. En el postoperatorio mediato tuvo buena evolución clínica, y se continuó con terapia antimicrobiana a base de ceftriaxona y metronidazol por vía intravenosa.

En el informe de patología describen una apendicitis aguda abscedada, necrosada y perforada, presencia de bacilos Gram positivos del género actinomices en el interior de la lámina propia de ciego e íleon distal, con aspecto en gránulos de azufre; pared de ciego abscedado con zonas extensas de necrosis licuefactiva, peritonitis fibrino-purulenta, ganglios linfáticos con hiperplasia mixta sin datos de malignidad presentes (Figura 3).

En su día 4 de postoperatorio, presentó deterioro clínico, con alteración del estado neurológico y cognitivo, dificultad respiratoria, dolor abdominal a nivel de mesogastrio con una intensidad en la escala visual análoga (EVA) 8/10, acompañado de inestabilidad hemodinámica con requerimiento de norepinefrina para mantener una presión arterial media optima, con alteración en el patrón ventilatorio, hipoperfusión tisular y alargamiento del tiempo de llenado capilar.
La tomografía simple de abdomen reportó un absceso a nivel de fosa iliaca derecha con un volumen aproximado de 250 ml, por lo que reingresa a la sala de operaciones para drenaje del absceso intraabdominal y lavado peritoneal por hallazgo de liquido inflamatorio purulento. A pesar del manejo en la Unidad de Cuidados Intensivos, con soporte vasopresor y cambio de esquema antibiótico a base de ciprofloxacino y meropenem, continuó con deterioro de su estado respiratorio y hemodinámico, presentó paro cardiorrespiratorio que no respondió a maniobras de resucitación cardiovascular avanzada y fallece.
Discusión
La actinomicosis abdominal (AA) es una rara enfermedad granulomatosa crónica, causada por un microorganismo filamentoso Gram positivo de tipo anaerobio de la familia de los actinomicetos. En seres humanos este organismo afecta principalmente cavidades abiertas, con énfasis en la orofaringe, tracto gastrointestinal y genitourinario. La AA se caracteriza por la formación de abscesos y fistulas que se originan del daño a la mucosa del tracto digestivo, causando crecimiento contiguo a las barreras anatómicas 5.
La presencia de Actinomices llega a pasar desapercibida por largos periodos. Una vez instaurada la enfermedad, las manifestaciones clínicas son inespecíficas, causando una sintomatología similar a la presencia de una lesión tumoral. El dolor abdominal, fiebre y perdida de peso son las manifestaciones más frecuentes en casos de actinomicosis abdominal, como el presente caso.
En la revisión sistemática de Manterola C, et al. 6, en 2020, describen que las lesiones por AA fueron parecidas a tumores en un 62,8 % y localizados en el intestino delgado en el 64,4 %, con manifestaciones inflamatorias en el 26,1 %. La confirmación microbiológica es baja (17,9 %), muy probablemente por falta de sospecha diagnóstica. El diagnóstico de actinomicosis abdominal previo al procedimiento quirúrgico se presentó solo en el 10 % de los casos analizados. A pesar de utilizar medios de cultivo y de transporte especializados para el crecimiento de estos organismos anaerobios, se llega a presentar un 76 % de casos falso-negativos.
En este caso, la actinomicosis se manifestó como un cuadro de apendicitis aguda, simulando un abdomen agudo quirúrgico por los hallazgos clínicos y de imagen. En los hallazgos transoperatorios, se observó una necrosis caseosa del apéndice cecal y su base, además de una inflamación fibrino-purulenta del colon ascendente, por lo cual levantó sospecha de una probable tumoración intraabdominal. La decisión terapéutica fue realizar una hemicolectomía derecha.
Fue hasta la realización del diagnóstico histopatológico en el que se confirmó la etiología de la patología, con presencia de bacterias de la familia de actinomices a nivel del íleon distal y los característicos gránulos de azufre producidos por dicho microorganismo. En la Tabla 1 se resumen los casos de actinomicosis abdominal como causa de apendicitis aguda, del más antiguo al más reciente reportados en la literatura 3,7-14. La morbilidad reportada fue del 18,2 %, con una recurrencia del 1,0 % y una mortalidad del 2,2 %.

El desafío en el diagnóstico de la apendicitis aguda en Latinoamérica continúa siendo un reto, debido a que es frecuente la automedicación (hasta en el 65 %), lo que retrasa el diagnostico y puede ocasionar incremento de las complicaciones y mayor tiempo de estancia hospitalaria 15.
Conclusión
La sospecha diagnostica de la actinomicosis abdominal sigue siendo un gran reto debido a la relativa baja incidencia en nuestro medio. Se deben descartar antes otras causas de abdomen agudo quirúrgico previo a sospechar de manifestaciones intestinales por actinomices. Continúa siendo un reto diagnóstico la identificación de esta patología, debido a su baja incidencia y aparición atípica del cuadro clínico, además de su dificultad para aislar en medios de cultivo que requieren mayor complejidad para su procesamiento y la alta tasa de falsos negativos. Se debe realizar un abordaje apropiado, desde el interrogatorio y su correlación con los auxiliares diagnósticos para tener una sospecha diagnostica de la probable causa del dolor abdominal.
Referencias
Stringer MD. Acute appendicitis. J Paediatr Child Health. 2017;53:1071-6. https://doi.org/10.1111/jpc.13737
Echevarria S, Rauf F, Hussain N, Zaka H, Farwa UE, Ahsan N, et al. Typical and atypical presentations of appendicitis and their implications for diagnosis and treatment: A literature review. Cureus. 2023; 15:e37024. https://doi.org/10.7759/cureus.37024
Obuz E, Arslan RS, Kucuk S. An unusual cause of phlegmonous appendicitis, actinomycosis: A case report. Gastroenterol Hepatol Open Access. 2019;10:104-6. https://doi.org/10.15406/ghoa.2019.10.00365
Moris D, Paulson EK, Pappas TN. Diagnosis and management of acute appendicitis in adults: A review. JAMA. 2021;326:2299-2311. https://doi.org/10.1001/jama.2021.20502
Wagenlehner FME, Mohren B, Naber KG, Männl HFK. Abdominal actinomycosis. Clin Microbiol Infect. 2003;9:881-5. https://doi.org/10.1046/j.1469-0691.2003.00653.x
Manterola C, Grande L, Riffo-Campos AL, Salgado C, Otzen T. Clinical aspects of abdominal actinomycosis: a systematic review. ANZ J Surg. 2020;90:1465-8. https://doi.org/10.1111/ans.16141
Kwak JH, Won EJ, Choi EH, Jung SE, Kim HY. Periappendiceal actinomycosis presenting as acute appendicitis. J Korean Assoc Pediatr Surg. 2015;21:7-10. https://doi.org/10.13029/jkaps.2015.21.1.7
Liu K, Joseph D, Lai K, Kench J, Ngu MC. Abdominal actinomycosis presenting as appendicitis: Two case reports and review. J Surg Case Report. 2016;2016:rjw068. https://doi.org/10.1093/jscr/rjw068
Gómez-Torres GA, Ortega-García OS, Gutiérrez-López EG, Carballido-Murguía CA, Flores-Ríos JA, López-Lizarraga CR, et al. A rare case of subacute appendicitis, actinomycosis as the final pathology reports: A case report and literature review. Int J Surg Case Rep. 2017;36:46-9. https://doi.org/10.1016/j.ijscr.2017.04.033
Wheatley L, Lonne M, Bennnet J, Patel B. Actinomycosis of the appendix. Arch Surg Clin Res. 2018;2:29-30. https://doi.org/10.29328/journal.ascr.1001020
Heiranizadeh N, Moghimi M, Soltani HR, Samadzadeh G. Acute appendicitis secondary to actinomycosis gastrointestinal infection - A case report. Clin J Surg. 2020;3:1-4.
Torun BC, Gök AFK, İlhan M, Yeğen G, Başaran S, Ertekin C, et al. A rare cause of acute abdominal pain: Actinomyces infection of colon mimicking a malignant neoplasm due to intrauterine device. Ulus Travma Acil Cerrahi Derg. 2022;28:537-40. https://doi.org/10.14744/tjtes.2020.45672
Completo S, Veríssimo M, Pereira AMG, França I, Lemos PS. Appendicular actinomycosis: Behind the curtains of appendicitis. Cureus. 2022;14:e29709. https://doi.org/10.7759/cureus.29709
Bohara S, Khadka M, Bhat PS, Syangtang P, Karki B, Shrestha B, et al. Appendicular actinomycosis: The first reported case of an uncommon finding of a common ailment from Nepal. Clin Case Rep. 2023;11:e7996. https://doi.org/10.1002/ccr3.7996
Ávila MJ, García-Acero M. Apendicitis aguda: Revisión de la presentación histopatológica en Boyacá, Colombia. Rev Colomb Cir. 2015;30:125-30. https://doi.org/10.30944/20117582.338
Notes
Author notes
aCorrespondencia: Norman Alejandro Rendón-Mejía, Departamento de Cirugía General, Hospital General de Chihuahua Salvador Zubirán Anchondo, Avenida Prolongación Teófilo Borunda 510, Colonia, El Bajo, 31200 Chihuahua, México. Teléfono: +526142460488. Dirección electrónica: norman-rendon@hotmail.com
Conflict of interest declaration