PRESENTACIÓN DE CASO
Tumor de células yuxtaglomerulares. A propósito de un caso
Juxtaglomerular cell tumor. Case report
Tumor de células yuxtaglomerulares. A propósito de un caso
Revista Colombiana de Cirugía, vol. 40, no. 3, pp. 631-636, 2025
Asociación Colombiana de Cirugía
Received: 30 December 2023
Accepted: 14 March 2024
Published: 12 November 2024
Resumen
Introducción.: Los tumores de células yuxtaglomerulares, también denominados reninomas, representan una causa poco frecuente de hipertensión arterial secundaria en la población pediátrica. Se sospechan ante la presencia de cifras tensionales elevadas, refractarias al manejo farmacológico, con elevación de renina plasmática e hipopotasemia. El objetivo de este artículo fue presentar el caso de una paciente de 17 años con diagnóstico de tumor de células yuxtaglomerulares, tratado con cirugía preservadora de nefronas.
Caso clínico.: Paciente que cursó con crisis hipertensiva y en el estudio de causas secundarias se identificó elevación de la renina plasmática e hipopotasemia, que persistió luego del ajuste de la terapia antihipertensiva. Los estudios imagenológicos identificaron una lesión renal izquierda, nodular y sin extensión a estructuras adyacentes.
Resultados.: Fue llevada a tumorectomía usando ecografía intraoperatoria y se resecó una lesión de la cara posterior del polo inferior renal, cuya biopsia por congelación fue negativa para células blásticas. La patología quirúrgica y el análisis inmunohistoquímico fueron compatibles con tumor de células yuxtaglomerulares. En el postoperatorio temprano desarrolló un urinoma, que fue manejado mediante tutorización urinaria con catéter doble J.
Conclusiones.: Aunque se trata de una etiología infrecuente para hipertensión secundaria, debe ser considerado entre los diagnósticos diferenciales de hipertensión renina-dependiente. Se ha reconocido la resección quirúrgica como el manejo estándar, con intervenciones que van desde la nefrectomía abierta hasta la cirugía preservadora de nefronas mínimamente invasiva, con la que se logra, posteriormente, el control de las cifras tensionales.
Palabras clave: Neoplasias renales+ aparato yuxtaglomerular+ hipertensión+ hipopotasemia+ nefrectomía.
Abstract
Introduction.: Juxtaglomerular cell tumors, also called reninomas, represent a rare cause of secondary arterial hypertension in the pediatric population. They are suspected in the presence of high blood pressure levels, refractory to pharmacological treatment, with elevated plasma renin and hypokalemia. The objective of this article is to present a case of a juxtaglomerular cell tumor, treated with nephron-sparing surgery.
Clinical case.: A 17-year-old female patient presented with a hypertensive crisis and in the study of secondary causes, elevated plasma renin and hypokalemia were identified, which persisted after adjustment of antihypertensive therapy. Imaging studies identified a left kidney lesion, nodular and without extension to adjacent structures.
Results.: Patient underwent tumorectomy using intraoperative ultrasound. A lesion was resected from the posterior aspect of the renal lower pole, whose frozen biopsy was negative for blast cells. Surgical pathology and immunohistochemical analysis were compatible with juxtaglomerular cell tumor. In the early postoperative period, an urinoma developed, which was managed by urinary tutoring with a double J catheter.
Conclusions.: Although it is an uncommon etiology for secondary hypertension, it should be considered among the differential diagnoses of renin-dependent hypertension. Surgical resection has been recognized as the standard of management, with interventions ranging from open nephrectomy to minimally invasive nephron-sparing surgery, which subsequently achieves control of blood pressure levels.
Keywords: Kidney neoplasms, juxtaglomerular apparatus, hypertension, hypokalemia, nephrectomy.
Introducción
Los tumores de células yuxtaglomerulares, también denominados reninomas, representan una causa poco frecuente de hipertensión arterial secundaria en la población pediátrica. Se sospechan ante la presencia de cifras tensionales elevadas y refractarias al manejo farmacológico, sumado a hallazgos como la actividad incrementada de renina plasmática y la hipopotasemia, que son características asociadas al cuadro clínico. Adicionalmente, el hallazgo imagenológico de una masa renal constituye un elemento que eleva la sospecha diagnóstica 1.
El objetivo de este artículo fue presentar el caso de una paciente de 17 años con diagnóstico de tumor de células yuxtaglomerulares, tratado con cirugía preservadora de nefronas.
Caso clínico
Paciente de 17 años, de sexo femenino, sin antecedentes personales relevantes, a quien en consulta rutinaria se le identificaron cifras tensionales elevadas (206/183 mmHg) y, con diagnóstico de crisis hipertensiva, iniciaron manejo antihipertensivo con nifedipino. Por persistencia de cifras tensionales elevadas, se adicionó clonidina y prazosina.
Como parte de los estudios para causas secundarias de hipertensión arterial, se realizó ecografía Doppler renal, que no demostró estenosis de las arterias renales en las porciones evaluadas. En los laboratorios se encontraron niveles bajos de potasio sérico (3,2 mEq/L), elevación de renina total mayor de 500 ng/mL (VR: 0,04 - 4,4 ng/mL) e incremento de la actividad plasmática de renina de 9,43 ng/mL/h (VR: 0,2 - 1,6 ng/mL/h), con valores urinarios de adrenalina 2,3 µg/24h (VR: 0,5 - 20 µg/24h), noradrenalina 21,4 µg/24h (VR: < 100 µg/24h), metanefrina 65 µg/24h (VR: 30 - 180 µg/24h) y normetanefrina 120 µg/24h (VR: 103 - 390 µg/24h).
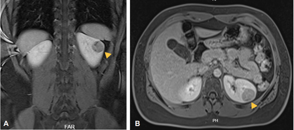
Se solicitó resonancia magnética nuclear (RMN) de abdomen contrastada que reportó una lesión nodular y sólida en el riñón izquierdo, heterogénea, ligeramente hipointensa en los pulsos T2, en T1 con algunas áreas de señal líquida local, con bordes definidos y aproximadamente 27x22 mm en el plano axial, con refuerzo progresivo de la lesión tras la administración del contraste endovenoso, sin compromiso de estructuras adyacentes (Figura 1).

En la valoración multidisciplinaria (pediatría, cirugía pediátrica, nefrología pediátrica y oncológica pediátrica) se definió el beneficio de la cirugía, por lo que fue llevada a resección quirúrgica por laparotomía, con el apoyo de ecografía intraoperatoria. En esta intervención se identificó un tumor localizado en la cara posterior del polo inferior renal, de consistencia dura y bordes definidos, de 3x3 cm (Figura 2). La biopsia por congelación informó de una masa de células bien diferenciadas, sin presencia de células blásticas. En el postoperatorio temprano desarrolló un urinoma, que fue manejado mediante tutorización urinaria con catéter doble J.

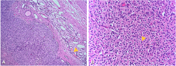
El análisis patológico reportó una tumoración circunscrita que empuja el parénquima renal y no sobrepasa la cápsula (Figura 3), compuesta por células poligonales a redondas, uniformes, con borde celular bien definido, tamaño pequeño, escaso citoplasma eosinófilo y ausencia de nucleolos, que se disponen en nidos y áreas focales con estroma edematoso, paucicelular, con células de citoplasma amplio y claro hacia esta región, se reconocen algunos capilares ramificados hacia la periferia y se observan túbulos renales atrapados.

El estudio inmunohistoquímico reportó positividad fuerte y difusa para CD34 y CD117, sin inmunoexpresión para PAX8, CKAE1/AE3, b-catenina, vimentina, melanosoma y MART1.
En el seguimiento postquirúrgico a un mes, se documentó descenso de la renina total a 0,26 µg/mL (VR: 0,04 - 4,4 ng/mL) y normalización del potasio sérico en 4,1 mEq/L. Luego de dos meses fue llevada a retiro de catéter doble J por cistoscopia. A pesar de la intervención descrita, a los seis meses de seguimiento, continuó con necesidad de tratamiento antihipertensivo en cantidad y dosis prequirúrgicas, para mantener cifras tensionales en rango de normalidad.
Discusión
La hipertensión arterial en la edad pediátrica, definida como un aumento del 20 % de la tensión arterial por encima del percentil 95 de acuerdo con la edad, sexo y talla, es una entidad poco usual, que obliga a examinar la presencia de causas secundarias. Dentro de la etiología de la hipertensión arterial secundaria, los tumores de células yuxtaglomerulares constituyen una causa poco frecuente.
A menudo se presentan en pacientes adolescentes o adultos jóvenes, con una historia de síntomas sugestivos de hipertensión arterial severa por un largo periodo de tiempo, como cefalea, malestar general, fatiga, poliuria y polidipsia 2. Sin embargo, en este caso la paciente cursó con cefalea leve, sin otros síntomas. Trnka P, et al. 3, reportaron el caso de una paciente con cefalea intensa y persistente, en quien no obstante, la hipertensión arterial fue diagnosticada después de varias consultas, por lo que se hace notable la importancia de toma rutinaria de tensión arterial en la población pediátrica, con lo cual se podría lograr un diagnóstico más oportuno.
Gu WJ, et al. 4, describieron una serie de seis casos de reninoma, con un tiempo de duración desde la sintomatología hasta el diagnóstico y manejo, de entre 16 días hasta 8 años, con la característica pobre respuesta al manejo farmacológico antihipertensivo. En el presente caso, la paciente se manifestó con cefalea leve y crisis hipertensiva un año antes de establecerse la sospecha clínica del tumor de células yuxtaglomerulares, y el manejo quirúrgico fue realizado en pocos días después.
En cuanto al diagnóstico, se ha descrito el beneficio de la resonancia magnética, especialmente para la detección de lesiones pequeñas, gracias a su alta resolución con el contraste 5. La implementación de citología por aspiración con aguja fina puede llevar a un falso diagnóstico de carcinoma de células renales y favorecer la diseminación tumoral, por lo que no debería considerarse como herramienta diagnóstica preoperatoria; en la mayoría de los casos de reninoma reportados, el diagnostico se ha confirmado después de la cirugía 6.
El diagnóstico definitivo se realizó con la patología quirúrgica, basados en los hallazgos histopatológicos característicos con tinción básica y con análisis de inmunohistoquímica. Si bien son similares a lo descrito por otros autores, como Miranda-Torricelli FC, et al. 7, también se han publicado casos sin un patrón específico e inconsistentes en el análisis de inmunohistoquímica, y otros con características atípicas, como la invasión de las estructuras adyacentes, pleomorfismo y morfología rabdoide 8. El análisis por microscopía electrónica se caracteriza por la presencia de protogránulos romboides y gránulos maduros redondeados dentro de las células lesionales 9; no obstante, dicha técnica no pudo ser lograda en nuestra institución.
El estándar de manejo implica la resección quirúrgica, puntualmente la nefrectomía parcial (cirugía preservadora de nefronas), que ha sido descrita con varias alternativas, que van desde el abordaje por vía abierta, pasando por la cirugía mínimamente invasiva laparoscópica, hasta la cirugía robótica. Es una intervención diferente a la requerida para neoplasias como el tumor de Wilms, en la que se realiza una nefrectomía total, idealmente con técnica mínimamente invasiva 10. Como parte del manejo quirúrgico se ha descrito el pinzamiento arterial segmentario, lo cual disminuye la isquemia en el parénquima renal remanente, comparado con el pinzamiento completo de la arterial renal. Adicionalmente, la implementación de la ecografía intraoperatoria permite reconocer los márgenes de resección 11.
Finalmente, si bien se consiguió la normalización de los valores séricos de potasio y renina luego de la intervención, en el seguimiento a los seis meses, no pudo ser logrado el retiro del tratamiento antihipertensivo, dato opuesto a la mayoría de los reportes en la literatura. No se consideró que fuera debido a una resección incompleta puesto que se trataba de una lesión de bordes definidos, con características macroscópicas (e imagenológicas) diferentes al tejido renal vecino.
Conclusiones
El tumor de células yuxtaglomerulares o reninoma es una entidad poco frecuente, que causa hipertensión arterial secundaria renina-dependiente, la cual puede ser refractaria al manejo farmacológico y requiere una intervención quirúrgica para la resección de la lesión, en la que deben estar involucrados grupos entrenados en urología pediátrica. La hipertensión secundaria no tratada culmina en complicaciones como insuficiencia cardíaca, insuficiencia renal crónica y enfermedad cerebrovascular. La detección de una causa secundaria brinda la oportunidad de convertir una enfermedad incurable en una potencialmente curable. Incluso cuando no se puede lograr la curación, el reconocimiento y el tratamiento tempranos pueden prevenir el daño a los órganos blanco, reducir la carga socioeconómica y mejorar la calidad de vida.
Referencias
. Kim JH, Kim JH, Cho MH, Park E, Hyun HS, Ahn YH, et al. Reninoma: a rare cause of curable hypertension. Korean J Pediatr. 2019;62:144-7. https://doi.org/10.3345/kjp.2018.06926
. Daniele A, Sabbadin C, Costa G, Vezzaro R, Battistel M, Saraggi D, et al. A 10-year history of secondary hypertension: A challenging case of renin-secreting juxtaglomerular cell tumor. J Hypertens. 2018;36:1772-4. https://doi.org/10.1097/HJH.0000000000001774
. Trnka P, Orellana L, Walsh M, Pool L, Borzi P. Reninoma: An uncommon cause of renin-mediated hypertension. Front Pediatr. 2014;2:89. https://doi.org/10.3389/fped.2014.00089
. Gu WJ, Zhang LX, Jin N, Ba JM, Dong J, Wang DJ, et al. Rare and curable renin-mediated hypertension: A series of six cases and a literature review. J Pediatr Endocrinol Metab. 2016;29:209-16. https://doi.org/10.1515/jpem-2015-0025
. Faucon AL, Bourillon C, Grataloup C, Baron S, Bernadet-Monrozies P, Vidal-Petiot E, et al. Usefulness of magnetic resonance imaging in the diagnosis of juxtaglomerular cell tumors: A report of 10 cases and review of the literature. Am J Kidney Dis. 2019;73:566-71. https://doi.org/10.1053/j.ajkd.2018.09.005
. Gottardo F, Cesari M, Morra A, Gardiman M, Fassina A, Dal Bianco M. A kidney tumor in an adolescent with severe hypertension and hypokalemia: An uncommon case - Case report and review of the literature on reninoma. Urol Int. 2010;85:121-4. https://doi.org/10.1159/000314339
. Miranda-Torricelli FC, Marchini GS, Colombo JR, Ferreira-Coelho R, Nahas WN, Srougi M. Nephron-sparing surgery for treatment of reninoma: A rare renin secreting tumor causing secondary hypertension. Int Braz J Urol. 2015;41:172-6. https://doi.org/10.1590/S1677-5538.IBJU.2015.01.23
. Hagiya A, Zhou M, Hung A, Aron M. Juxtaglomerular cell tumor with atypical pathological features: Report of a case and review of literature. Int J Surg Pathol. 2020;28:87-91. https://doi.org/10.1177/1066896919868773
. Friedman K, Wallis T, Maloney KW, Hendrickson RJ, Mengshol S, Cadnapaphornchai MA. An unusual cause of pediatric hypertension. J Pediatr. 2007;151:206-12. https://doi.org/10.1016/j.jpeds.2007.04.015
. Guerrero-Villota JC, Dueñas-Dasilva MF, Dueñas-Ramirez JC, Armando-Idrobo A. Abordaje mínimamente invasivo del tumor de Wilms unilateral: un reporte de caso y revisión de la literatura. Rev Colomb Cir. 2022;37:330-7. https://doi.org/10.30944/20117582.921
. John A, Cohen P, Catterwell R. Robot-assisted partial nephrectomy with selective arterial clamping for an endophytic juxtaglomerular cell tumour: A case report. ANZ J Surg. 2023;93:415-7. https://doi.org/10.1111/ans.17859
Notes
Author notes
aCorrespondencia: Cristhian David Arroyave-Durán, Calle 4 # 34 - 28, Apt 204, Cali, Colombia. Teléfono: +57 3128515573 Dirección electrónica: cristhian.arroyave@correounivalle.edu.co
Conflict of interest declaration