Notas científicas
Detección de Escherichia coli productora de toxina-Shiga en bovinos asintomáticos del sur de Sonora, México
Detection of Shiga toxin-Producing Escherichia coli in asymptomatic cattle in the southern Sonora, Mexico
Detección de Escherichia coli productora de toxina-Shiga en bovinos asintomáticos del sur de Sonora, México
Ecosistemas y recursos agropecuarios, vol. 7, núm. 2, p. 00, 2020
Universidad Juárez Autónoma de Tabasco, Dirección de Investigación y Posgrado
Recepción: 14 Abril 2019
Aprobación: 06 Junio 2020
Financiamiento
Fuente: ITSON
Nº de contrato: 2018-1075
Descripción del financiamiento: Financiamiento ITSON del proyecto PROFAPI ITSON (2018-1075). A la Dra. Gracia Gómez Anduro (CIBNOR-México) por la donación de la cepa control E. coli O157:H7.
Resumen: La crianza de ganado bovino es vital para la producción de carne, que en México es una actividad esencial. El bovino es portador asintomático de Escherichia coli productora de toxina Shiga (STEC), y son considerados el principal reservorio y súper propagadores del serotipo O157:H7. Este representa el primer reporte sobre STEC O157:H7 detectada en heces de bovinos asintomáticos, criados para abasto de carne en el noroeste de México. El objetivo fue identificar el serotipo STEC O157:H7 en bovinos asintomáticos criados en el sur de Sonora, México empleando PCR multiplex para con ello avanzar en el entendimiento de su capacidad propagadora. La incidencia de la STEC O157:H7 fue del 3.1% y de STEC no O157 de 19.8%. Estos resultados sugieren que el ganado bovino es un reservorio primario de STEC en esta región del país; sin embargo, es necesario profundizar para establecer si el patógeno contamina otras matrices como agua o alimentos.
Palabras clave: Bovinos asintomáticos, México, O157:H7, STEC, súper propagadores.
Abstract: The breeding and fattening of cattle are necessary for the production of meat; in Mexico it is an essential activity. Cattle is an asymptomatic carrier of Shiga toxinproducing Escherichia coli (STEC), and they are considered the main reservoir and super-shedder of serotype O157: H7. The aim of this work was to identify the STEC O157: H7 serotype in asymptomatic cattle raised in southern Sonora, Mexico, using multiplex PCR in order to understand of its propagation capacity. The incidence of serotype O157:H7 was 3.1% and STEC non-O157 was 19.8%. These results suggest cattle as a primary reservoir of STEC in this region of the country; nonetheless, studies are still needed to establish whether excreted strains contaminate the food, environment and/or water streams.
Keywords: Asymptomatic bovines, Mexico, O157:H7, STEC, super-shedder.
Introducción
El ganado bovino es un reservorio natural de Escherichia coli productora de toxina Shiga (STEC) (Heredia and García 2018). E. coli STEC pertenece a un grupo zoonótico emergente de patógenos al humano, caracterizado por poseer dentro de su genoma los genes stx1 y stx2, responsables de codificar dos potentes verocitotoxinas llamadas toxina Shiga 1 (Stx1) y toxina Shiga 2 (Stx2), las cuales son reconocidas como su principal factor de patogenicidad (Schuller 2011, Terajima et al. 2017). Además, algunas STEC poseen factores de virulencia adicionales, como proteínas de adhesión a células epiteliales (eaeA) y/o toxinas de tipo hemolíticas (ehxA) (Soledad-Cadona et al. 2018).
La dosis infectiva de las STEC es de 5 a 100 células para el humano, pudiendo causar diarrea, colitis hemorrágica (CH), síndrome urémico hemolítico (SUH), y en casos severos la muerte (Amézquita-López et al. 2018, Joseph et al. 2020, Nguyen et al. 2016). El ganado es portador asintomático de un gran número de serotipos STEC, encontrándose principalmente en su tracto gastrointestinal y recto cuando estos tienen pocas horas de nacido, y hasta los primeros meses de vida (Callaway et al. 2013). Algunas STEC causan al bovino enfermedades gastrointestinales, por ejemplo, la STEC O26 (Blanchard 2012). Otros serotipos patógenos al humano como las STEC O157 y STEC O104 no provocan síntomas en el ganado (Shridhar et al. 2017, Swaggerty et al. 2018). El ganado bovino es capaz de excretar hasta 104 UFC (Unidades formadoras de colonia) de STEC por gramo de heces, las cuales son capaces de permanecer viables hasta por 90 días (Chase-Topping et al. 2008, Mir et al. 2020).
En México la crianza y engorda de ganado bovino con fines de exportación representa una actividad con gran demanda y rentabilidad. En el 2017 se registró una producción de 842 372 cabezas de ganado; reportando este mismo año el estado de Sonora una producción de 321 133 cabezas de ganado bovino, lo que lo posicionó como el estado con mayor producción del país (SIAP 2018). Por lo que el alto número de producción de cabezas de ganado bovino en el estado podría significar un riesgo de infección zoonótica para los habitantes.
En México el estudio de propagadores STEC como lo es el reservorio bovino, ha sido escasamente abordado en la última década (Amézquita-López et al. 2012, Navarro et al. 2018). El objetivo de este estudio fue identificar el serotipo STEC O157:H7 en bovinos asintomáticos criados en el sur de Sonora, México empleando PCR multiplex para con ello avanzar en el entendimiento de su capacidad propagadora.
Materiales y métodos
Durante el año 2018 se realizó un muestreo a conveniencia de 60 bovinos, en dos hatos ganaderos dedicados a la crianza de ganado para la producción de carne de exportación y nacional, de los cuales el 50% se encontraban registrados en el Sistema Nacional de Identificación Individual de Ganado (SINIIGA), en el municipio de Cajeme, Sonora. Las razas muestreadas fueron Charolais, Simental Charbray, Simbrah y sus cruzas; la edad osciló entre 6 y 24 meses. De cada animal se colectaron de manera aséptica aproximadamente 100 g de heces fecales del recto, para luego conservarse en doble empaquetado en recipientes estériles con cierre hermético en refrigeración a 4 °C, hasta su análisis en el laboratorio (OIE 2018). El aislamiento y caracterización bioquímica de cepas sospechosas STEC se realizó de acuerdo con el Bacteriological Analytical Manual-FDA (Feng et al. 2017), con modificaciones, consistente en enriquecimiento de 25 g de muestra en 225 mL de buffer de fosfatos butterfield que se incubaron a 37 ± 1 °C por 24 h, seguido de diluciones seriadas (hasta 10-4). Posteriormente se sembraron 50 µL de las diluciones 10-2 y 10-4 en placas de agar Rainbow® O157 (Biolog, cat. 80102) mediante estría por agotamiento. Las colonias típicas STEC a partir del agar Rainbow® O157 (azules y/o negras) se inocularon en caldo tripticasa de soya (Oxoid LTD, cat. CM0129), posteriormente las cepas fueron criopreservadas en glicerol 20% a -70 °C en el Laboratorio de Investigación en Microbiología Molecular del Instituto Tecnológico de Sonora.
La morfología de los aislados se determinó por medio de tinción de Gram, y la prueba del indol en papel filtro no. 1 (WhatmanTM , cat. 1001125) impregnado con 0.9 mL de reactivo de Kovac (Sigma-Aldrich, cat. 1092930100). La capacidad de producción de la enzima β-D-glucuronidasa (GUD) se determinó tomando 1 mL de caldo Escherichia coli-MUG (Oxoid LTD, cat.1791486), que se inoculó con 10 µL del cultivo que se incubaron por 24 h a 37 ± 1 ºC; para luego observar por fluorescencia (azul) bajo luz UV. La extracción de ADN genómico se realizó con el DNeasy® Blood and Tissue kit (Qiagen®, cat.69504) protocolo para bacterias Gram-negativas. La concentración y pureza del ADN se evaluó con espectrofotómetro Nanodrop 2000c (ThermoFisher Scientific) y la integridad se verificó por electroforesis. Para el análisis por PCR se utilizó como control positivo ADN genómico de E. coli O157:H7 (cepa CIBNOR-México) y como control negativo ADN de la E. coli ATCC 25922.
La PCR multiplex (mPCR) se estandarizó de acuerdo con lo indicado por Feng et al. (2017) con modificaciones. Se utilizaron oligonucleótidos para amplificar los genes stx1 y stx2; otro par de oligonu-cleótidos para amplificar un fragmento del gen γ - eaeA; un par para amplificar una región específica del gen uidA; y un par para amplificar un fragmento del gen ehxA (Tabla 1). Los genes stx1 y stx2 participan en la producción de toxina Shiga 1 y 2. El gen γ - eaeA amplifica un fragmento del gen de la proteína intimina de la membrana plasmática externa. Los oligonucleótidos +93 uidA amplifican una región específica del gen de la enzima β -glucuronidasa (uidA) que contiene el polimorfismo de nucleótido simple +93. Los oligonucleótidos ehxA amplifican un fragmento del gen de la toxina hemolisina.

Adicionalmente, para las cepas que presentaron el perfil molecular del serotipo O157:H7 (Feng et al. 2017), se determinó la presencia de los antígenos O157 (gen rfB) y H7 (gen fliCH7) para confirmar su identidad como O157:H7 (Ateba and Mbewe 2011, Thapa et al. 2012).
La reacción de PCR se llevó a cabo en 25 µL, las concentraciones utilizadas fueron 0.32 µM de cada iniciador (Tabla 1), buffer 1X (-MgCl2), 3 mM de MgCl2, 0.6 mM de dNTPs (Invitrogen, cat.10297018), 1.25 U de Taq DNA polimerasa recombinante (Invitrogen, cat.11615010), 1 µL de ADN (15 - 20 ng µL 1) y agua ultra pura (Invitrogen, cat.10977015). La PCR se realizó con el programa siguiente: desnaturalización inicial a 94 °C por 4 min, 31 ciclos (desnaturalización a 94 °C por 30 s, anillamiento a 62.5 °C por 30 s y extensión a 72 °C por 1 min), y una extensión final a 72 °C por 7 min, en un termociclador Labnet (modelo TC9610). Los fragmentos amplificados se visualizaron mediante electroforesis en gel de agarosa al 2%, utilizando buffer TAE 0.5 X y teñido con bromuro de etidio (0.33 mg mL-1). El tamaño de los amplicones se observó bajo luz UV en fotodocumentador MiniBis Pro (DNR BioImaging Systems).
Resultados y discusión
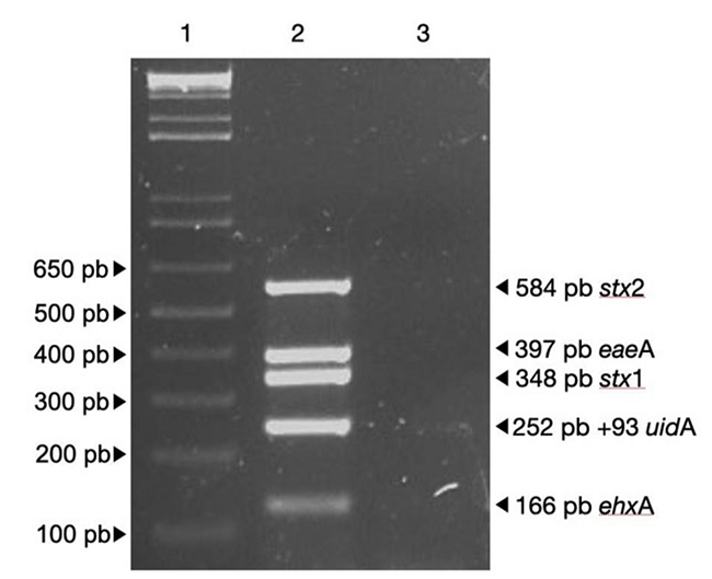
Una cepa sospechosa se identifica como STEC O157:H7 cuando presenta el perfil molecular establecido en la Figura 1 (Feng et al. 2017). Los iniciadores para los genes de virulencia stx1, stx2 y ehxA utilizados permiten detectar su presencia en todos los serotipos de E. coli enterohemorrágica (EHEC), por lo que es un método adecuado para establecer la presencia de STEC a partir de cultivos puros (Feng and Monday 2000). A partir de las heces de 17 bovinos asintomáticos se aislaron en agar Rainbow® O157, 131 cepas STEC sospechosas; este chromagar permite recuperar hasta un 70% de otras STEC no O157 (Zelyas et al. 2016).

El 100% (131 cepas) fueron bacilos cortos Gram negativos, el 93.1% (122 cepas) indol positivos y el 54.4% (71 cepas) fueron Escherichia coli-MUG positivos. El estudio molecular diferenció cuatro grupos de STEC establecidos por la presencia de los genes de patogenicidad (stx1, stx2, γ-eaeA, ehxA, +93 uidA y rfB) (Tabla 2), siendo este el primer reporte en México en presentarse con esta propuesta.

El gen stx2 se detectó en el 19.1% (25 cepas), mientras que el gen stx1 en el 6.9% (5 cepas). El 3.1% (4 cepas) presentaron el gen rfB y el gen fliCH7. Un aspecto importante a resaltar en las cepas positivas a STEC O157:H7 es que generalmente se encuentran vinculadas a afecciones clínicas graves, como diarrea con sangre y SUH en humanos. Por lo que varios estudios han seleccionado los genes de los antígenos O157 y H7 como marcadores genéticos para la identificación de STEC O157:H7 mediante PCR (Ateba and Mbewe 2011, Bertrand and Roig 2007, Thapa et al. 2012).
Algunos autores sugieren que la STEC O157:H7 puede ser excretada en las heces por manadas de terneros hasta en un 4% (McCabe et al. 2019); en el presente estudio solo se detectó el serotipo O157:H7 en el 1.6% de las muestras. Así mismo, el bovino es reportado como portador de cepas STEC no-O157 con índices del 0 al 60% dependiendo de la zona geográfica (Farrokh et al. 2013, Shridhar et al. 2017), en el presente estudio la raza Simbrah presentó el mayor índice de excreción de STEC no O157 con un 16.6% (Tabla 3). No existen reportes previos de STEC O157:H7 en el estado de Sonora; solamente se había reportado la presencia de la STEC O104 en heces de bovinos (Navarro et al. 2018), sin embargo nuestros resultados demuestran la presencia de STEC O157:H7 y STEC no O157, lo que sugiere que el contacto con las heces de bovinos asintomáticos pueden significar un riesgo hacia la población en esta región del país.

Este es el primer reporte de la presencia de STEC O157:H7 en heces de bovinos asintomáticos en el Noroeste de México. Se identificaron 4 cepas STEC O157:H7 y 26 cepas STEC no O157, lo que sugiere que pueden constituir un vector importante de contaminación de otras matrices, sin embargo, esto deberá ser demostrado en estudios posteriores.
Literatura citada
Amézquita-López B, Quiñones B, Cooley B, León-Félix, J, Castro-del Campo N, Mandrell E, Jiménez, M, and Chaidez C (2012) Genotypic analyses of shiga toxinproducing Escherichia coli O157 and Non-O157 recovered from feces of domestic animals on rural farms in Mexico. PLOS ONE7: e51565. DOI: 10.1371/journal.pone.0051565.
Amézquita-López B , Soto-Beltrán M, Lee G, Yambao J, Quiñones B (2018) Isolation, genotyping and antimicrobial resistance of Shiga toxin-producing Escherichia coli. Journal of Microbiology, Immunology and Infection 51: 425-434.
Ateba C, Mbewe M (2011) Detection of Escherichia coli O157:H7 virulence genes in isolates from beef, pork, water, human and animal species in the northwest province, South Africa: public health implications. Research in Microbiology 162: 240-248.
Bertrand R, Roig B (2007) Evaluation of enrichment-free PCR-based detection on the rfbE gene of Escherichia coli O157 application to municipal wastewater. Water Research 41: 6-1280.
Blanchard P (2012) Diagnostics of dairy and beef cattle diarrhea. The veterinary clinics of north America. Food Animal Practice 28: 443-464.
Callaway T, Edrington T, Loneragan G, Carr M, Nisbet D (2013) Shiga toxin-producing Escherichia coli (STEC) ecology in cattle and management based options for reducing fecal shedding. Agriculture, Food and Analytical Bacteriology 3: 39-69.
Chase-Topping M, Gally D, Low C, Matthews L, Woolhouse M (2008) Super-shedding and the link between human infection and livestock carriage of Escherichia coli O157. Nature Reviews Microbiology 6: 904-912.
Farrokh C, Jordan K, Auvray F, Glass K, Oppegaard H, Raynaud S, Thevenot D, Condron R, Reu K De , Govaris A, Heggum K, Heyndrickx M, Hummerjohann J, Lindsay D, Miszczycha S, Moussiegt S, Verstraete K, and Cerf O (2013) Review of Shigatoxin-producing Escherichia coli (STEC) and their significance in dairy production. International Journal of Food Microbiology 162: 190-212.
Feng P, Monday S (2000) Multiplex PCR for detection of trait and virulence factors in enterohemorrhagic Escherichia coli serotypes. Molecular and Cellular Probes 14: 333-337.
Feng P , Weagnant S, Jinneman K (2017) Diarrheagenic Escherichia coli. In: Bacteriological analytical manual (BAM). Food and Drug Administration Publishers. New Hampshire, USA. pp: 1-30.
Heredia N, García S (2018) Animals as sources of food-borne pathogens: A review. Animal Nutrition 4: 250-255.
Joseph A, Cointe A, Mariani Kurkdjian P, Rafat C, Hertig A (2020) Shiga Toxin-associated hemolytic uremic syndrome: A narrative review. Toxins 12: 67. Doi: 10.3390/toxins12020067.
McCabe E, Burgess C, Lawal D, Whyte P, Duffy G (2019) An investigation of shedding and super-shedding of Shiga toxigenic Escherichia coli O157 and E. coli O26 in cattle presented for slaughter in the Republic of Ireland. Zoonoses and Public Health 66: 83-91.
Mir R, Brunelle W, Alt P, Arthur M, Kudva T (2020) Supershed Escherichia coli O157:H7 Has potential for increased persistence on the rectoanal junction squamous epithelial cells and antibiotic resistance. International Journal of Microbiology 2020 Article ID 2368154. Doi 10.1155/2020/2368154 2368154.
Navarro A, Cauich-Sánchez P, Trejo A, Gutiérrez A, Díaz S, Díaz C, Cravioto A, Eslava C (2018) Characterization of diarrheagenic strains of Escherichia coli isolated from cattle raised in three regions of Mexico. Frontiers in Microbiology 9 Article 2373. Doi: 10.3389/fmicb.2018.02373.
Nguyen T, Van Giau V, Vo K (2016) Multiplex PCR for simultaneous identification of E. coli O157:H7, Salmonella spp. and L. monocytogenes in food. 3 Biotech 6: 205. Doi: 10.1007/s13205-016-0523-6.
OIE (2018) Escherichia coli verocitotoxigenica. In: Manual de las pruebas de diagnóstico y de las vacunas para los animales terrestres. https://www.oie.int/es/normas/manual-terrestre/acceso-en-linea/. Fecha de consulta: 17 de enero de 2019
Schuller S (2011) Shiga toxin interaction with human intestinal epithelium. Toxins 3: 626-639
Shridhar P, Siepker C, Noll L, Shi X, Nagaraja T, Bai J (2017) Shiga toxin subtypes of non-O157 Escherichia coli serogroups isolated from cattle feces. Frontiers in Cellular and Infection Microbiology 7: 121. Doi: 10.3389/fcimb.2017.00121.
SIAP (2018) Atlas Agroalimentario. Servicio de Información Agroalimentaria y Pesquera. https://nube.siap.gob.mx/gobmx_publicaciones_siap/pag/2018/Atlas-Agroalimentario-2018. Fecha de consulta: 07 de enero de 2019.
Soledad-Cadona J, Bustamante A, González J, Mariel-Sanso A (2018) Pathogenicity islands distribution in Non-O157 Shiga toxin-producing Escherichia coli (STEC). Genes 9(2): 81. Doi: 10.3390/genes9020081.
Swaggerty C, Corcionivoschi N, Ricke S, Callaway R (2018) The first 30 years of Shiga toxin-producing Escherichia coli in cattle production: incidence, preharvest ecology, and management. In: Ricke SC , Atungulu GG, Rainwater CE, Park SH (ed). Food and feed safety systems and analysis. Academic Press. pp: 117-131.
Terajima J, Izumiya H, Hara-Kudo Y,Ohnishi M (2017) Shiga toxin (verotoxin)-producing Escherichia coli and foodborne disease: A review. Food Safety 5: 35-53
Thapa S, Reum Han A, Mo Cho J, Hur J (2012) Multiplex PCR and DNA array for the detection of Bacillus cereus, Staphylococcus aureus, Listeria monocytogenes, Escherichia coli O157:H7 and Salmonella spp. targeting virulence-related genes. Annals of Microbiology 63: 725-731
Zelyas N, Poon A, Patterson-Fortin L, Johnson R, Lee W, Chui L (2016) Assessment of commercial chromogenic solid media for the detection of non-O157 Shiga toxin-producing Escherichia coli (STEC). Diagnostic Microbiology and Infectious Disease 85: 302-308
Notas
Notas de autor
*Autor de correspondencia:ernesto.cantu@itson.edu.mx