Artículos Originales
Recepción: 07 Octubre 2016
Aprobación: 18 Octubre 2016
Financiamiento
Fuente: ayuda del Plan Nacional de I+D+I 2008-2011
Fuente: Plan Estatal de I+D+I 2013-2016
Fuente: Instituto de Salud Carlos III (ISCIII) – Fondo Europeo de Desarrollo Regional
Fuente: Plan de Ciencia, Tecnología e Innovación 2013-2017 del Principado de Asturias
Fuente: Instituto Reina Sofía de Investigación Nefrológica
Fuente: Fundación Renal Íñigo Álvarez de Toledo
Fuente: RETIC RedInRen del ISCIII – Fondo Europeo de Desarrollo Regional
Fuente: Sociedad Asturiana Fomento Investigaciones Metabólicas
Fuente: beca de Investigación AMGEN-SEIOMM 2010
Nº de contrato: PI 09/00415, PI 10/0896 y PI13/00014
Nº de contrato: RD06/0016/1013, RD12/0021/1023 y RD16/0009
Nº de contrato: GRUPIN14-028
Resumen:
Introducción: En la enfermedad renal crónica (ERC) se producen alteraciones del metabolismo óseo y mineral que favorecen la calcificación de tejidos blandos. Alteraciones del sistema RANK/RANKL/OPG podrían estar favoreciendo la calcificación vascular, importante causa de morbimortalidad en la ERC.
Objetivo: Valorar en un modelo experimental in vivo de insuficiencia renal crónica el efecto de la progresión de la misma sobre la calcificación vascular y sobre la pérdida de hueso correlacionando estos cambios con alteraciones en el sistema RANK/RANKL/OPG, utilizando un sistema in vitro para confirmar los hallazgos encontrados.
Material y métodos: Se utilizaron dos modelos de calcificación vascular: un modelo in vivo en ratas con insuficiencia renal crónica alimentadas con dieta con diferente contenido en fósforo, y un modelo in vitro en células de músculo liso vascular (CMLV) sometidas a diferentes estímulos calcificantes.
Resultados: A las 20 semanas, un 50% de los animales con dieta alta en fósforo presentó calcificaciones aórticas que se acompañó de aumento en la expresión aórtica de RANKL. Por el contrario, la OPG disminuyó como consecuencia probablemente del componente inflamatorio.
A las 20 semanas en la tibia aumentó la expresión de RANKL y OPG, mientras que el aumento de OPG ocurrió en fases más tempranas.
En CMLV la adición de suero urémico y medio calcificante indujo un incremento del contenido de calcio y de la expresión de RANKL y OPG. La adición de OPG y el silenciamiento de RANK inhibieron este aumento.
Conclusiones: Nuestros resultados confirman la participación del eje RANK/RANKL/OPG en el proceso de calcificación vascular.
Palabras clave: RANK, RANKL, OPG, enfermedad renal crónica, calcificación vascular.
Abstract:
Introduction: In cases of chronic kidney disease (CKD), bone and mineral metabolism changes occur which favor soft tissue calcification. Alterations in the RANK/RANKL/OPG system could also favor vascular calcification, a major cause of morbidity and mortality in CKD.
Objective: In an in vivo experimental model of chronic renal failure progression, we assess the effect of CKD on vascular calcification and bone loss correlating these changes in the RANK/RANKL/OPG pathway. An in vitro system was used to confirm findings.
Material and Methods: Two models of vascular calcification were used: an in vivo rat model with chronic renal failure fed on a diet with different phosphorus content, and an in vitro model in vascular smooth muscle cells (VSMC) subjected to different calcifying stimuli.
Results: At 20 weeks, 50% of animals with a diet high in phosphorus presented aortic calcification accompanied by increased aortic expression of RANKL. In contrast, OPG decreased probably as a consequence of an inflammatory component.
At 20 weeks, expression of RANKL and OPG in the tibia increased, while the increase in OPG occurred at earlier stages.
In VSMC, the addition of uremic serum and calcification medium increased calcium content and expression of RANKL and OPG. The addition of OPG and silencing of RANK inhibited this increase.
Conclusions: Our results confirm RANK/RANKL/OPG system involvement in the vascular calcification process.
Keywords: RANK, RANKL, OPG, chronic kidney disease, vascular calcification.
Introducción
La calcificación vascular es un proceso en el que las células del músculo liso vascular (CMLV) y otras poblaciones de células del vaso sanguíneo sufren una transformación y comienzan a asemejarse a osteoblastos [1]. Este proceso está regulado de manera semejante a la mineralización del hueso, encontrándose implicadas diversas proteínas óseas [2,3,4]. Los osteoblastos son células responsables de la formación de hueso que además regulan la actividad de los osteoclastos y, por tanto, juegan un papel importante en la homeostasis del calcio (Ca) y del fósforo (P) [5]. Los osteoblastos secretan el ligando del receptor activador de NF-κB (RANKL) que se une a su receptor (RANK) en los precursores osteoclásticos promoviendo su formación, activación y supervivencia [6,7]. Además, los osteoblastos secretan osteoprotegerina (OPG), que actúa como un receptor soluble señuelo de RANKL e inhibe la unión de este ligando a su receptor transmembrana RANK. Existen numerosas evidencias científicas que relacionan el sistema RANK/RANKL/OPG con las calcificaciones vasculares, pudiendo tratarse de un importante sistema autocrino/paracino implicado en el proceso. La vía por la que RANKL promovería la calcificación sería a través de la unión a su receptor RANK con la consecuente activación de la vía alternativa de NF-κB y de la proteína morfogénica ósea 4 (BMP4) [8], la cual ha sido implicada en la transición osteogénica de las CMLV [9,10].
La enfermedad renal crónica (ERC) se caracteriza por producir cambios en el metabolismo óseo y mineral que favorecen la calcificación de tejidos blandos y vasos. Alteraciones en la expresión génica del sistema RANK/RANKL/OPG podrían estar favoreciendo la calcificación vascular, una de las principales causas de mortalidad en la ERC. Resulta de interés investigar las diferencias en la regulación del sistema RANK/RANKL/OPG en hueso y vaso para poder así diseñar estrategias dirigidas a proteger el hueso sin tener efectos negativos sobre la calcificación vascular.
Por tanto, los objetivos de este trabajo fueron: a) valorar en un modelo de rata el efecto de la ERC y dietas con diferente contenido en P sobre la calcificación vascular, cuantificada mediante análisis de contenido de Ca, y sobre la densidad mineral ósea (DMO), cuantificada mediante densitometría ósea; b) correlacionar estos cambios con alteraciones en la expresión génica del sistema RANK/RANKL/OPG en arterias y huesos de estos animales; y c) utilizar un sistema in vitro para confirmar los hallazgos encontrados in vivo.
Materiales y métodos
Estudios in vivo: Modelo de calcificación vascular
El protocolo fue aprobado por el Comité Ético de Experimentación Animal de la Universidad de Oviedo.
El estudio se realizó con ratas Wistar macho (n=55) de 4 meses de edad (350-400 g). La intervención quirúrgica, previa anestesia con isoflurano por vía inhalatoria, consistió en la inducción de insuficiencia renal crónica (IRC) (7/8) en un solo acto quirúrgico. Se realizó nefrectomía completa del riñón derecho y a continuación nefrectomía subtotal del riñón izquierdo, mediante incisión lateral. Con este procedimiento se conserva aproximadamente la cuarta parte de la masa renal. Las ratas con IRC se dividieron en dos grupos: uno, IRC C, alimentado con dieta para roedores estándar con un contenido normal de P (0,6% P, 0,6% de Ca, y contenido de proteína 20%; Panlab, Barcelona, España), y el otro, IRC P, alimentado con una dieta con alto contenido en P (0,9% P, 0,6% de Ca, y contenido de proteína 20%; Panlab). El estudio duró 20 semanas (IRC 20C e IRC 20P), tiempo necesario para inducir calcificaciones vasculares. Se incluyó igualmente un grupo Sham (n=10) que fue seguido hasta la semana 20. También se realizaron evaluaciones intermedias a lo largo del estudio, con sacrificios a las 8 y 12 semanas (IRC 8C, IRC 12C, IRC 8P e IRC 12P). Veinticuatro horas antes del sacrificio, las ratas se alojaron en jaulas metabólicas y recibieron dieta y agua ad libitum. Se sacrificaron usando como anestesia CO2, y se extrajeron muestras de suero para su análisis. De cada rata se extrajo la aorta abdominal descendente hasta la bifurcación de las crestas ilíacas y se dividió en tres porciones: el primer fragmento se utilizó para la extracción de RNA, el segundo fragmento para determinar el contenido de Ca, y el tercer fragmento se incluyó en parafina para estudios futuros.
En el momento del sacrificio se extrajeron las dos tibias. La izquierda se conservó en alcohol para medir la densidad mineral ósea (DMO). La tibia restante se congeló a -80ºC hasta su procesamiento para el estudio de la expresión génica.
Marcadores bioquímicos
Urea, creatinina, Ca y P séricos se midieron usando un analizador automático multicanal Hitachi 717 (Boehringer Mannheim, Berlín, Alemania). La parathormona (PTH) sérica fue medida por ELISA (Immutopics, San Juan Capristano, EE.UU.) siguiendo los protocolos del fabricante.
Densitometría ósea
La DMO se midió en tibia a tres niveles: octavo proximal, siete/octavos distal y tibia total, con un densitómetro radiológico digital de doble energía Hologic QDR-1000 (Hologic, Bedford, EE.UU.) equipado con un programa específico para animales pequeños.
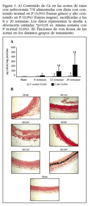
Análisis de calcificación aórtica
La calcificación de la aorta abdominal de las ratas fue analizada mediante dos métodos: el contenido total de Ca y tinción de von Kossa.
Para determinar el contenido total de Ca, un fragmento de la aorta abdominal (el cm próximo a la bifurcación ilíaca) se homogeneizó con un Ultraturrax (OmniHT) en HCl 0,6 N. Después de agitar a 4°C durante 24 horas las muestras se centrifugaron. El contenido de Ca se determinó en el sobrenadante por el método de la o-cresolftaleína complexona (Sigma-Aldrich, San Luis, EE.UU.), y el pellet se resuspendió en tampón de lisis (125 mM Tris y 2% de SDS, pH 6,8) para la extracción de proteínas y cuantificación por el método de Lowry (Bio-Rad, Hércules, EE.UU.). El contenido de Ca se normalizó expresándose como µg de Ca por mg de proteína.
Para llevar a cabo la tinción de von Kossa, otro fragmento de la aorta abdominal se incluyó en metacrilato de metilo (Sigma-Aldrich). Cinco secciones de 5 mm de espesor se obtuvieron utilizando un Polycut S Micrótomo (Reicher-Jung, Heildelberg, Alemania) y se tiñeron siguiendo el método de von Kossa.
Estudio de expresión génica
La extracción de RNA se realizó mediante el método del tiocianato de guanidinio-fenol-cloroformo. El DNA copia (cDNA) se sintetizó usando el kit “High capacity” (Applied Biosystems, Foster City, EE.UU.). La expresión génica de RANK, RANKL y OPG se analizó por PCR en tiempo real (qPCR) en el equipo ABI Prism 7000 de Applied Biosystems. Para cada una de las PCRs se utilizaron ensayos assay on-demand diseñados por Applied Biosystems que emplean oligos específicos y sondas Taqman fluorescentes. Para la cuantificación y normalización se utilizó la expresión del gen constitutivo GAPDH.
Estudios in vitro: Cultivo primario de células de músculo liso vascular (CMLV)
Se utilizaron CMLV procedentes de cultivo primario de explantes de aortas de ratas Wistar sanas de 2 meses de edad, sacrificando a 12 ratas y usando como anestesia CO2. Se extrajeron las aortas abdominales y se introdujeron en PBS frío con 100 unidades/mL de penicilina y 100 mg/mL de estreptomicina (Biochrom AG, Berlín, Alemania). Después de lavar abundantemente con PBS frío, las aortas se cortaron longitudinalmente; se eliminó la capa endotelial cuidadosamente y posteriormente se cortaron en fragmentos (explantes) de 2 a 3 mm2. Los explantes se colocaron en placas de cultivo de seis pocillos (Sigma-Aldrich) pretratadas con fibronectina (10 mg/cm2; Sigma-Aldrich). Una vez colocados los explantes, se les añadió 1 mL de DMEM (Dulbecco's Modified Eagle Medium, Biochrom AG) suplementado con 20% suero bovino fetal (FBS) (Biochrom AG). El medio se renovó cada 2 días. Cuando las células alcanzaron la subconfluencia, los fragmentos de tejido se eliminaron y las células se separaron enzimáticamente (0,25% de tripsina y EDTA 1 mM).
Las células se sembraron con una densidad de 105 células por placa de cultivo (Sigma-Aldrich) con DMEM suplementado con FBS (10%). Las células obtenidas por este método se identificaron como CMLV por los siguientes criterios: (1) las células crecen en el patrón característico de valle y colina; y (2) la inmunotinción fue positiva para alfa actina (mAb de Sigma-Aldrich).
Se utilizaron células entre los pases 2 y 8, utilizando tres pocillos por condición y realizándose los experimentos por triplicado.
Inducción de la calcificación en CMLV
Para analizar la calcificación inducida por la uremia y conocer la implicación del sistema RANK/RANKL/OPG, se utilizaron dos condiciones diferentes.
Para la primera condición, los cultivos de CMLV se trataron con DMEM suplementado con 15% de suero de rata urémico (un conjunto de sueros de ratas con IRC de 8 semanas que contiene 10,8 mg/dL de Ca, 6,7 mg/dL de P, y 898 pg/mL de PTH). Como condición control se usó DMEM con 15% de suero de ratas sanas (un grupo de sueros que contiene 10,4 mg/dL de Ca, 3,6 mg/dL de P y 25 pg/mL de PTH).
En una segunda condición, para confirmar el efecto del P, las CMLV se cultivaron con medio calcificante: DMEM F12+0,1% de albúmina bovina sérica (BSA) con 2 mM de Ca y 3 mM de P. Se utilizó como condición control DMEM F12+0,1% de BSA. En ambos casos, la deposición de Ca se determinó a 4 y 8 días después de la adición de los estímulos.
El efecto de OPG (100 pM), del silenciamiento del receptor RANK (concentraciones crecientes entre 100 pM y 100 nM) se testó en CMLV en las que se indujo calcificación con DMEM F12+0,1% de BSA con 2mM de Ca y 3 mM de P.
Estudio de expresión génica
Se procedió de la misma manera que se detalló en el apartado de estudios in vivo.
Producción e infección lentiviral/Silenciamiento de RANK mediante shRNA
El gen RANK se silenció en las CMLV mediante horquillas pequeñas de RNA (shRNA), las cuales se clonaron en un vector basado en lentivirus (FSVsi). En él se introdujeron shRNAs cuya diana era TTAGCTGAGGATGCTGAGGAT y secuencias scramble. Todos ellos se cotransfectaron con los elementos de embalaje del virión (VDV-G) en un cultivo de células 293T mediante polietilenimina. Se produjeron partículas infecciosas cultivando las células 3-4 días en medio para CMLV. A continuación, el medio se centrifugó a 1.000 g durante 5 min y el sobrenadante se adicionó a un cultivo de CMLV, sustituyéndose por el medio convencional tras una noche de incubación. Por último, las CMLV se recogieron tras 4 días y se comprobó el silenciamiento de RANK con qPCR y Western Blot.
Western Blot
Después de la transferencia, las membranas se incubaron durante 12 horas con anticuerpos anti-RANK (1:1.000, Cells Signaling Technology, Danvers, EE.UU.), y anti-tubulina (01:10.000, Sigma-Aldrich). La unión del anticuerpo secundario se detectó con el kit de detección para Western Blot ECL Advance (Amersham Bioscience, Buckinghamshire, Reino Unido) y con el sistema de modelo de imágenes VersaDoc 4000 (Bio-Rad).
Análisis estadístico
Para el análisis estadístico de los resultados se empleó el programa SPSS 17.0. En el caso de variables con distribución normal la comparación de los grupos de tratamiento se realizó por medio del análisis ANOVA con el test de Bonferroni. En el caso de variables con distribución no normal, se utilizó el test Kruskal-Wallis.
Resultados
1. Bioquímica
En los grupos que recibieron la dieta con alto contenido en P (IRC 8P, IRC 12P, IRC 20P) se observó un discreto empeoramiento de la función renal con respecto a sus controles (IRC 8C, IRC 12C, IRC 20C), el cual se agravó a las 20 semanas (Tabla 1). En el grupo de dieta con P alto el Ca sérico disminuyó significativamente sólo en la semana 20 (IRC 20P), mientras el P sérico se incrementó en todos los grupos con dieta alta en P, particularmente a las 20 semanas de tratamiento. De forma paralela al P, la PTH se incrementó a medida que aumentó el tiempo de tratamiento, siendo estadísticamente significativa a partir de la semana 12 y en particular en la semana 20, donde se observó un hiperparatiroidismo secundario severo (Tabla 1).

2. Estudio densitométrico
Si bien hubo un discreto descenso en la DMO de los grupos de animales con dieta alta en P respecto a sus controles en todos los sectores estudiados, éste sólo fue significativo a las 20 semanas (Tabla 2). Predominaron las pérdidas a nivel distal, donde hay mayor contenido de hueso cortical, sobre las pérdidas a nivel proximal (Tabla 2).

3. Efecto in vivo de la uremia y la sobrecarga de P sobre calcificación vascular, actividad ósea y sistema RANK-RANKL-OPG
Si bien el contenido en Ca de las aortas de los animales alimentados con dieta con contenido en P normal se vio ligeramente afectado por la uremia, a partir de la semana 12 de IRC la administración de una dieta con alto contenido en P aumentó el contenido en Ca de forma significativa de forma tiempo-dependiente respecto al grupo Sham. Los animales que recibieron la dieta con P elevado incrementaron el contenido aórtico de Ca respecto a sus respectivos controles a partir de la semana 12, magnificándose este efecto en la semana 20. A pesar del incremento generalizado del contenido en Ca aórtico, la tinción de von Kossa reveló calcificaciones visibles en la aorta en solo el 50% de los animales con dieta con alto contenido en P (Figura 1).
Paralelamente al incremento del contenido de Ca se produjo una elevación de la expresión de RANKL en la aorta (Figura 2A). La expresión de RANK no mostró diferencias a lo largo de la evolución de la IRC (Figura 2B), mientras que la OPG disminuyó en todos los grupos urémicos, particularmente en los que recibieron dieta con P elevado (Figura 2C).
En las tibias se observó un incremento de la expresión de RANKL y OPG en la semana 20 del grupo que recibió dieta con P elevado (Figuras 3A, 3C). La expresión de OPG también se incrementó en todos los grupos que recibieron dieta con P elevado, destacando el aumento observado en la semana 20. Por el contrario, la expresión de RANK se mantuvo similar en todos los grupos.



4. Efecto in vitro de la uremia y la sobrecarga de P sobre la calcificación vascular y el sistema RANK-RANKL-OPG
El suero urémico indujo un incremento significativo del contenido de Ca a los 4 y 8 días (Figura 4A). Se produjo un incremento significativo de la expresión de RANKL (a los 4 y 8 días) y OPG (a los 8 días de tratamiento) (Figuras 4B, 4C y 4D).
Las CMLV tratadas con medio calcificante (DMEM F12, 2 mM de Ca, 3 mM de P) mostraron un incremento significativo del contenido de Ca tiempo dependiente (Figura 5A). De manera paralela aumentó la expresión de RANKL y OPG (Figuras 5B, 5C y 5D).


5. Efecto in vitro de la adición de OPG sobre la calcificación inducida por el suero urémico
Para confirmar la idea de que el incremento de la expresión de RANKL es responsable del aumento contenido en Ca en CMLV tratadas con suero urémico, se adicionó al medio de cultivo 100 pM de OPG, lo que produjo un descenso significativo de la misma (Figura 6).

6. Efecto in vitro del silenciamiento de RANK sobre la calcificación inducida por el suero urémico
Del mismo modo, el silenciamiento del receptor RANK mediante la técnica de shRNA redujo de manera significativa el contenido de Ca de las CMLV tratadas con suero urémico (Figura 7).

Discusión
La ERC, una enfermedad caracterizada por una pérdida progresiva de la función renal, conlleva la aparición de múltiples complicaciones y alteraciones del sistema cardiovascular. Para simular la ERC hemos utilizado el modelo animal con IRC habitual de nuestro laboratorio.
De acuerdo con lo observado en los marcadores bioquímicos analizados, el desarrollo de IRC se acompañó de alteraciones en el metabolismo óseo y mineral que se agravaron con la hiperfosforemia y el desarrollo de hiperparatiroidismo secundario. Es bien reconocido que este último aumenta el recambio óseo, afectando negativamente primero y de forma más severa al hueso cortical (siete/octavos de la tibia o zona distal) que al trabecular (octavo de la tibia o zona proximal), hecho corroborado en nuestros animales. Si bien la PTH es capaz de estimular la expresión de OPG, como se demuestra en las tibias de los animales con IRC con hiperfosforemia severa, esta hormona es también capaz de inducir la expresión de RANKL en los osteoblastos [11], pudiendo ser este gen responsable del descenso en la DMO registrado en el estudio densitométrico.
El sistema RANK/RANKL/OPG también se ha asociado a la calcificación vascular. La primera evidencia de su implicación en este proceso deriva del estudio con ratones nulos para OPG que presentaban, además de una severa disminución de DMO y alta incidencia de fracturas, calcificaciones de las arterias aorta y renales [12].
La OPG tiene la habilidad de inhibir la actividad osteoclástica y por tanto de prevenir la aparición de calcificación vascular. De hecho, en nuestro modelo in vitro, la calcificación vascular inducida por suero urémico se vio atenuada al añadir OPG.
Como han descrito algunos autores, se ha observado una relación directa entre la calcificación y el aumento de RANK/RANKL/OPG a nivel óseo. La bajada de OPG en tejido aórtico inducida en nuestro modelo animal por la uremia está en consonancia con lo referido por otros autores. Mientras RANKL fue claramente detectable en pacientes con estenosis aórtica calcificada, los niveles de OPG no eran detectables [13]. Estos descensos de OPG a nivel aórtico por la uremia podrían deberse al proceso de inflamación durante la calcificación que cursa con descensos en OPG [14,15].
Algunos autores han descrito la calcificación vascular como un proceso activo y regulado por diversos factores. Las CMLV en las primeras etapas del proceso de calcificación sufren un cambio de su fenotipo y empiezan a expresar marcadores osteogénicos, que permitirían la mineralización de la matriz extracelular. Una de estas proteínas es RANKL, cuya expresión es abundante en osteoblastos. Tanto en las aortas y tibias de las ratas como en las CMLV se ha producido un aumento en la expresión de RANKL, agravado por el aumento de P en la dieta. En nuestro trabajo se muestra la relación directa existente entre el aumento en la calcificación y el incremento de RANKL. Los osteoblastos secretan RANKL, proceso que puede revertirse por acción de OPG, proteína que secuestra RANKL inhibiendo así la formación de osteoclastos al impedir que RANKL se una a su receptor RANK. El silenciamiento de RANK en nuestro modelo in vitro de calcificación con suero urémico inhibió el proceso de calcificación al impedir la unión del RANKL al RANK.
Otros estudios también han demostrado que la expresión de RANKL se incrementa en áreas calcificadas [16,17,18], como sucedió en las aortas de los animales estudiados. Mientras que en hueso un incremento de RANKL favorece la desmineralización por un aumento de la actividad osteoclástica, en los vasos estimula la osteogénesis y, por tanto, la calcificación [19]. De hecho, Kindle L y cols. sugieren que las células endoteliales del vaso producen un microambiente favorable a la formación de tejido calcificado, estimulando la migración y adhesión de monocitos a través del endotelio que pueden diferenciarse en osteoclastos en presencia de RANKL [20]. Recientemente se ha demostrado que CMLV incubadas en medio calcificante al que se añade RANKL incrementan su contenido de Ca y la actividad fosfatasa alcalina, mientras que la coincubación con OPG es capaz de inhibir la calcificación inducida por RANKL [8].
La hipótesis de que el sistema RANK/RANKL/OPG podría explicar parte de la relación existente entre osteoporosis y calcificación vascular se basa en múltiples estudios epidemiológicos que han puesto de manifiesto la asociación entre metabolismo óseo y vascular, constatando que la disminución de masa ósea y aumento de las fracturas se asocia con mayor prevalencia y progresión de calcificaciones vasculares en población general y en poblaciones de riesgo [21,22,23,24,25,26], encontrándose entre estas últimas los enfermos con ERC.
La vía de Wnt es una vía de señalización intracelular que participa en la formación de hueso. Debido a las similitudes entre la formación ósea y la calcificación, se ha sugerido que la inactivación de la vía de Wnt podría atenuar el proceso de la calcificación, como así ha sido descrito por varios autores [27,28,29]. Datos de nuestro grupo, en el mismo modelo experimental, han mostrado un incremento en la expresión génica de inhibidores de la vía de Wnt en el grupo de animales con calcificación vascular, sugiriendo un mecanismo protector de la progresión de la calcificación [30]. Por otro lado, no debemos olvidar que un balance negativo de los inhibidores de la calcificación, como la fetuina A, podría igualmente favorecer el proceso de calcificación [31,32].
Nuestros resultados in vivo indican la participación del eje RANK/RANKL/OPG en la calcificación vascular y en cambios en DMO como consecuencia de la ERC y de estímulos que favorecen la primera. Además, en nuestro modelo in vitro, la adición de OPG así como el silenciamiento de RANK redujeron la calcificación, indicando que el sistema RANK/RANKL/OPG actúa en dicho proceso, abriendo las puertas a nuevas investigaciones en esta área. Debido a su importancia en la regulación del recambio óseo, los miembros del eje RANK/RANKL/OPG podrían ser utilizados en un futuro como biomarcadores útiles en la evaluación de la función ósea en pacientes con ERC.
Agradecimientos
Este trabajo ha sido posible gracias a la financiación obtenida por la beca AMGEN-SEIOMM 2010 para promover la investigación. Este trabajo ha sido también parcialmente financiado con ayuda del Plan Nacional de I+D+I 2008-2011, Plan Estatal de I+D+I 2013-2016, Instituto de Salud Carlos III (ISCIII) – Fondo Europeo de Desarrollo Regional (PI 09/00415, PI 10/0896 y PI13/00014), Plan de Ciencia, Tecnología e Innovación 2013-2017 del Principado de Asturias (GRUPIN14-028), Fundación para el Fomento en Asturias de la Investigación Científica Aplicada y la Tecnología (FICYT), Instituto Reina Sofía de Investigación Nefrológica, Fundación Renal Íñigo Álvarez de Toledo, RETIC RedInRen del ISCIII – Fondo Europeo de Desarrollo Regional (RD06/0016/1013, RD12/0021/1023 y RD16/0009), por la Sociedad Asturiana Fomento Investigaciones Metabólicas.
Referencias
Jono S, Shioi A, Ikari Y, Nishizawa Y. Vascular calcification in chronic kidney disease. J Bone Miner Metab. 2006;24:176-81.
Bostrom K, Watson KE, Horn S, Wortham C, Herman IM, Demer LL. Bone morphogenetic protein expression in human atherosclerotic lesions. J Clin Invest. 1993;91:1800-9.
Giachelli CM, Bae N, Almeida M, Denhardt DT, Alpers CE, Schwartz SM. Osteopontin is elevated during neointima formation in rat arteries and is a novel component of human atherosclerotic plaques. J Clin Invest. 1993;92:1686-96.
Shanahan CM, Cary NR, Metcalfe JC, Weissberg PL. High expression of genes for calcification-regulating proteins in human atherosclerotic plaques. J Clin Invest. 1994;93:2393-402.
Boyce BF, Xing L. Biology of RANK, RANKL, and osteoprotegerin. Arthritis Res Ther. 2007;9(Suppl.1):S1.
Kong YY, Feige U, Sarosi I, Bolon B, Tafuri A, Morony S, et al. Activated T cells regulate bone loss and joint destruction in adjuvant arthritis through osteoprotegerin ligand. Nature. 1999;402:304-9.
Lacey DL, Timms E, Tan HL, Kelley MJ, Dunstan CR, Burgess T, et al. Osteoprotegerin ligand is a cytokine that regulates osteoclast differentiation and activation. Cell. 1998;93:165-76.
Panizo S, Cardus A, Encinas M, Parisi E, Valcheva P, López-Ongil S, et al. RANKL increases vascular smooth muscle cell calcification through a RANK-BMP4-dependent pathway. Circ Res. 2009;104:1041-8.
Hayashi K, Nakamura S, Nishida W, Sobue K. Bone morphogenetic protein-induced MSX1 and MSX2 inhibit myocardin-dependent smooth muscle gene transcription. Mol Cell Biol. 2006;26:9456-70.
Mikhaylova L, Malmquist J, Nurminskaya M. Regulation of in vitro vascular calcification by BMP4, VEGF and Wnt3a. Calcif Tissue Int. 2007;81:372-81.
Heckt T, Keller J, Peters S, Streichert T, Chalaris A, Rose-John S, et al. Parathyroid hormone induced expression and proteolytic processing of Rankl in primary murine osteoblasts. Bone. 2016;92:85-93.
Bucay N, Sarosi I, Dunstan CR, Morony S, Tarpley J, Capparelli C, et al. Osteoprotegerin-deficient mice develop early onset osteoporosis and arterial calcification. Genes Dev. 1998;12:1260-8.
Kaden JJ, Bickelhaupt S, Grobholz R, Haase KK, Sarikoç A, Kiliç R, et al. Receptor activator of nuclear factor kappaB ligand and osteoprotegerin regulate aortic valve calcification. J Mol Cell Cardiol. 2004;36:57-66.
Crotti T, Smith MD, Hirsch R, Soukoulis S, Weedon H, Capone M, et al. Receptor activator NF kappaB ligand (RANKL) and osteoprotegerin (OPG) protein expression in periodontitis. J Periodontal Res. 2003;38:380-7.
Haynes DR, Barg E, Crotti TN, Holding C, Weedon H, Atkins GJ, et al. Osteoprotegerin expression in synovial tissue from patients with rheumatoid arthritis, spondyloarthropathies and osteoarthritis and normal controls. Rheumatology (Oxford). 2003;42:123-34.
Min H, Morony S, Sarosi I, Dunstan CR, Capparelli C, Scully S, et al. Osteoprotegerin reverses osteoporosis by inhibiting endosteal osteoclasts and prevents vascular calcification by blocking a process resembling osteoclastogenesis. J Exp Med. 2000;192:463-74.
Dhore CR, Cleutjens JP, Lutgens E, Cleutjens KB, Geusens PP, Kitslaar PJ, et al. Differential expression of bone matrix regulatory proteins in human atherosclerotic plaques. Arterioscler Thromb Vasc Biol. 2001;21: 1998-2003.
Jono S, Nishizawa Y, Shioi A, Morii H. 1,25-Dihydroxyvitamin D3 increases in vitro vascular calcification by modulating secretion of endogenous parathyroid hormone-related peptide. Circulation. 1998;98:1302-6.
Collin-Osdoby P. Regulation of vascular calcification by osteoclast regulatory factors RANKL and osteoprotegerin. Circ Res. 2004;95:1046-57.
Kindle L, Rothe L, Kriss M, Osdoby P, Collin-Osdoby P. Human microvascular endothelial cell activation by IL-1 and TNF-alpha stimulates the adhesion and transendothelial migration of circulating human CD14+ monocytes that develop with RANKL into functional osteoclasts. J Bone Miner Res. 2006;21:193-206.
Naves M, Rodriguez-Garcia M, Diaz-Lopez JB, Gomez-Alonso C, Cannata-Andia JB. Progression of vascular calcifications is associated with greater bone loss and increased bone fractures. Osteoporos Int. 2008;19:1161-6.
Hak AE, Pols HA, van Hemert AM, Hofman A, Witteman JC. Progression of aortic calcification is associated with metacarpal bone loss during menopause: a population-based longitudinal study. Arterioscler Thromb Vasc Biol. 2000;20:1926-31.
Kado DM, Browner WS, Blackwell T, Gore R, Cummings SR. Rate of bone loss is associated with mortality in older women: a prospective study. J Bone Miner Res. 2000;15:1974-80.
Boukhris R, Becker KL. Calcification of the aorta and osteoporosis. A roentgenographic study. JAMA. 1972;219:1307-11.
Schulz E, Arfai K, Liu X, Sayre J, Gilsanz V. Aortic calcification and the risk of osteoporosis and fractures. J Clin Endocrinol Metab. 2004;89:4246-53.
Rodriguez-Garcia M, Gomez-Alonso C, Naves-Diaz M, Diaz-Lopez JB, Diaz-Corte C, Cannata-Andia JB. Vascular calcifications, vertebral fractures and mortality in haemodialysis patients. Nephrol Dial Transplant. 2009;24:239-46.
Shalhoub V, Shatzen E, Henley C, Boedigheimer M, McNinch J, Manoukian R, et al. Calcification inhibitors and Wnt signaling proteins are implicated in bovine artery smooth muscle cell calcification in the presence of phosphate and vitamin D sterols. Calcif Tissue Int. 2006;79:431-42.
Woldt E, Terrand J, Mlih M, Matz RL, Bruban V, Coudane F, et al. The nuclear hormone receptor PPARgamma counteracts vascular calcification by inhibiting Wnt5a signalling in vascular smooth muscle cells. Nat Commun. 2012;3:1077.
Deng D, Diao Z, Han X, Liu W. Secreted frizzled-related protein 5 attenuates high phosphate-induced calcification in vascular smooth muscle cells by inhibiting the wnt/ss-catenin pathway. Calcif Tissue Int. 2016;99:66-75.
Roman-Garcia P, Carrillo-Lopez N, Fernandez-Martin JL, Naves-Diaz M, Ruiz-Torres MP, Cannata-Andia JB. High phosphorus diet induces vascular calcification, a related decrease in bone mass and changes in the aortic gene expression. Bone. 2010;46:121-8.
Westenfeld R, Schafer C, Smeets R, Brandenburg VM, Floege J, Ketteler M, et al. Fetuin-A (AHSG) prevents extraosseous calcification induced by uraemia and phosphate challenge in mice. Nephrol Dial Transplant. 2007;22:1537-46.
Rattazzi M, Bertacco E, Del Vecchio A, Puato M, Faggin E, Pauletto P. Aortic valve calcification in chronic kidney disease. Nephrol Dial Transplant. 2013;28:2968-76.
Notas de autor
Correspondencia: Manuel Naves Díaz - Servicio de Metabolismo Óseo y Mineral - Hospital Universitario Central de Asturias - Edificio FINBA, Planta primera F1.1 (Aula 14) - Avenida de Roma, s/n - 33011 Oviedo (España) Correo electrónico: manuel@hca.es
Información adicional
Conflicto de intereses: Los autores declaran no tener conflictos de intereses.
Enlace alternativo