Original/Investigación
Recepción: 10 Junio 2018
Aprobación: 09 Julio 2018
DOI: 10.4321/S0376-78922018000300004
Resumen
Introducción y Objetivo:
Realizar una clasificación de necrosis en colgajos cutáneos aleatorios (predispuesto a necrosis) según los hallazgos macroscópicos e histopatológicos, con o sin tratamiento para aumentar la supervivencia del colgajo, podría ser útil para analizar de forma global el colgajo y evaluar distintas modalidades para disminuir la necrosis.
Nuestro objetivo es evaluar si existe más de un patrón de necrosis cutánea del colgajo cutáneo aleatorio al séptimo día de postoperatorio realizando una clasificación de necrosis y comparar la efectividad de los métodos de retardo del colgajo y células madres derivadas de tejido adiposo (ASCs) con y sin precondicionamiento para aumentar la supervivencia del colgajo.
Material y Método: Utilizamos 40 ratas macho adultas sometidas a colgajo cutáneo aleatorio en el área dorsal de 2 x 8 cm agrupadas en control, RTC (retardo del colgajo), ASCs y ASCs-H (células madre derivadas de tejido adiposo precondicionadas con hipoxia). Realizamos cálculo del área, puntuación de necrosis y estudio histológico de los colgajos al séptimo día con hematoxilina-eosina, inmunohistoquímica con VEGF (factor de crecimiento endotelial vascular) y cuantificación del colágeno tipo I y III.
Resultados: Según la clasificación, el tipo 0 fue considerado como piel normal; tipo 0+ con cambio adaptativo reversible; tipo 1 necrosis menor con inflamación superficial; tipo 2 necrosis menor con inflamación profunda; y finalmente el tipo 3 necrosis en su grado máximo. La piel sana mantiene la coloración y textura elástica y blanda. A medida que progresa la necrosis cambia hacia un tono más oscuro, y la textura y consistencia van aumentando hasta tornarse acartonada y delgada. En los tipos 0+ y 1 observamos focos de reepitelización temprana al séptimo día, mientras que en estadios más avanzados la necrosis fue completa. El grupo de RTC presenta una menor puntuación y por lo tanto necrosis de menor grado respecto al resto de los grupos tratados. Por otra parte, el porcentaje global de necrosis fue menor en los grupos tratados con ASCs y ASCs-H respecto al grupo control (p ≤ 0.05)
Conclusiones: La clasificación y puntuación de necrosis parece ser un método adecuado para comprender la evolución de la necrosis del colgajo cutáneo aleatorio y como herramienta para investigación. La necrosis de bajo grado permitiría un afrontamiento conservador y expectante respecto a la de mayor grado. El grupo RTC presentó un puntuación menor al séptimo día con mayor capacidad de reepitelización, mientras que los tratamientos con ASCs y ASCs-H lograron una menor área de necrosis de forma global al séptimo día.
Palabras clave: Células madre, Colgajos aleatorios, Necrosis colgajos.
Background and Objective:
Perform a characterization and classification of necrosis in random skin flaps (predisposed to necrosis) according to the macroscopic and histopathological findings, with or without treatment to increase the survival of the flap, it could be useful to analyze in a global way the flap and evaluate different modalities for decrease necrosis.
Our aim is to evaluate if there is more than one skin cutaneous necrosis pattern of the random cutaneous flap on the seventh postoperative day, performing a necrosis classification and to compare the effectiveness of the flap delay and adipose tissue derived stem cells (ASCs) with and without preconditioning methods to increase the survival of the flap.
Methods: Forty adult male rats subjected to random skin flap in the dorsal area of 2 x 8 cm grouped into control group, RTC (flap delay), ASCs (adipose-derived stem cells) and ASCs-H (hypoxic preconditioning of adipose-derived stem cells), were used. Area calculation, necrosis score and histological study of flaps on the seventh day with hematoxylin-eosin, immunohistochemistry with VEGF (vascular endothelial growth factor) and quantification of type I and III collagen were performed.
Results: According to the classification of necrosis, type 0 was considered normal skin; type 0+ with reversible adaptive change; type 1 minor necrosis with superficial inflammation; type 2 minor necrosis with deep inflammation; and finally type 3 necrosis in its maximum degree. Healthy skin maintains coloring, elastic and soft texture. As necrosis progresses shifts towards a darker tone, texture and consistency increases until it becomes stiff and thin. In types 0+ and 1, foci of early re-epithelialization was observed on the seventh day, while more advanced in the classification stages, necrosis is complete. The group of RTC presents a lower score and therefore lesser degree of necrosis with respect to the rest of the treated groups. Moreover the overall percentage of necrosis was lower in the groups treated with ASCs and ASCs-H in the control group (p ≤ 0.05)
Conclusions: The classification and the score of necrosis seems to be a suitable method for understanding the evolution of skin flap necrosis and as a tool for research. Low-grade necrosis allows conservative and expectant confrontation with respect to higher grades. The RTC group presented a lower necrosis score on the seventh day with greater reepithelialization capacity, whereas treatment with ASCs and ASCs-H achieved a lower area of necrosis overall on the seventh day.
Key words: Stem cells, Random flaps, flap necrosis.

Introducción
La realización de colgajos cutáneos locales con vascularización aleatoria es un procedimiento muy común y conveniente usado en Cirugía. Pero la necrosis parcial o completa del colgajo sigue siendo una de las principales complicaciones.(1) El aporte vascular es el factor más importante y determinante para la supervivencia de un colgajo, y se entiende por tanto que una de las complicaciones quirúrgicas más frecuentes en el área de la Cirugía Plástica se deba a problemas circulatorios.
Los colgajos cutáneos aleatorios son ampliamente utilizados en Cirugía Reconstructiva. Presentan la ventaja de no tener que identificar una arteria principal para su diseño puesto que su vitalidad está determinada por los plexos, y por ende, su complejidad quirúrgica es menor. Su desventaja radica principalmente en que solo permiten obtener una extensión máxima de tejido de 2:1, que es la proporción que el tejido tolera sin evolucionar a isquemia y necrosis..(2,3) Esta descripción puede ser de ayuda para diseñar un colgajo con vascularización aleatoria, pero no necesariamente un pedículo más ancho va a aumentar el área de vitalidad del colgajo. Esto se explica por una segunda variable que es la presión de perfusión. Existe una caída progresiva de la presión a medida que aumenta la distancia desde la base del colgajo. Si esta distancia es muy extensa y la caída de la presión es muy pronunciada, llega hasta un punto de no retorno que implica la oclusión de las arteriolas a nivel del plexo subdérmico y la necrosis subsecuente del tejido.(4) Una caída del índice de presión por debajo del 25% podría predecir necrosis.(2) Finalmente, la vitalidad del colgajo va a depender de la severidad de la isquemia, del estrés oxidativo durante el período de reperfusión, de los niveles de expresión de los distintos mediadores de la inflamación y de sustancias vasoactivas y de la tolerancia celular para evitar un daño celular irreversible, resultando en necrosis del colgajo.
Al séptimo día de realización, un colgajo cutáneo aleatorio extremadamente largo respecto a su anchura, es decir, con una proporción mayor a 1:2 respecto al pedículo, evolucionará a necrosis inevitablemente a menos que se realice un tratamiento específico para aumentar la vitalidad del colgajo. Es por ello que se han realizado numerosos estudios hasta el momento buscando diferentes formas y procedimientos con el fin de disminuir el área de necrosis; entre ellos encontramos métodos; farmacológicos (simpaticolíticos, vasodilatadores, bloqueadores de los canales de calcio, anticoagulantes, secuestro de radicales libres); la administración de agentes proangiogénicos como el VEGF (factor de crecimiento endotelial vascular); las terapias genéticas a través de vectores adenovirales; el retardo de colgajo y el tratamiento con células madre..(5,6)
El retardo del colgajo viene siendo uno de los procedimientos más ampliamente utilizados en Cirugía Reconstructiva y con más evidencia sobre sus beneficios y su superioridad respecto a otras variadas opciones farmacológicas..(7-9) Por su parte, el tratamiento con células madre ha resultado prometedor y llama la atención un efecto potencial global. A diferencia de los métodos farmacológicos que actúan frente a un factor específico (angiogénesis, vasodilatación, simpaticolíticos, secuestro de radicales libres, inhibición de prostaglandinas, etc.), estas células en teoría, por su capacidad de diferenciación en múltiples linajes celulares, tendrían una función que abarcaría en forma más global la fisiopatología del colgajo.(10) Existen distintas fuentes de obtención de células madre; últimamente la más atractiva tanto por su accesibilidad como por preservar sus características propias, son las células madre derivadas de tejido adiposo adultas (ASCs). Además, recientemente se han podido potenciar mediante un precondicionamiento con hipoxia. La exposición a hipoxia a un nivel no letal aumenta significativamente la tolerancia celular y presenta una mejora en las propiedades regenerativas de las células madre, a través de características de mejoramiento en la sobrevida, en los efectos paracrinos con una obtención de un mejor soporte trófico, mejor tolerancia en el sitio de lesión después de ser administradas, aumento de la proliferación y capacidad de migración a regiones isquémicas o alrededor de un tejido infartado..(11,12) Por ello, resultaría interesante comparar el retardo de colgajo, que es un proce- dimiento superior a muchos métodos farmacológicos, con el tratamiento con células madre con y sin precondicionamiento para aumentar la supervivencia en colgajo cutáneo aleatorio en ratas.
Este trabajo consiste en evaluar si existe más de un patrón de necrosis cutánea del colgajo al séptimo día de postoperatorio realizando una clasificación de necrosis basada en características macroscópicas e histopatológicas. Si presenta alguna utilidad clínica o si puede ser utilizada por otros autores como herramienta de estudio de vitalidad de colgajos, y comparar la efectividad de estos métodos en el aumento de la supervivencia del colgajo predispuesto a necrosis en su zona distal.
Material y método
El presente trabajo fue aprobado por el Comité de Bioética sobre investigación en animales de la Facultad de Medicina de la Universidad de Chile.
Diseño de estudio
Empleamos 40 ratas Sprague-Dawley machos, de peso entre 300-500 gr. intervenidas bajo las normas bioéticas del ICBM (Instituto de Ciencias Biomédicas) para la experimentación con animales de laboratorio. Las ratas fueron anestesiadas con ketamina 80 mg/kg y xilacina 8 mg/kg vía intramuscular. Preoperatoriamente se les administró penicilina benzatina 40.000 U/Kg intramuscular. Tras la anestesia los animales fueron intervenidos según el grupo perteneciente, aleatorizadas en 4 grupos: grupo control (n=10); grupo intervenido mediante retardo del colgajo (RTC) (n=10); grupo intervenido con células madre derivadas de tejido adiposo adultas (ASCs) (n=10); y grupo intervenido con células madre derivadas de tejido adiposo adultas precondicionadas con hipoxia (ASCs-H) (n=10) (Fig. 1).

Técnica quirúrgica
Rasuramos la región dorsal. En condiciones de asepsia y antisepsia, colocamos los animales en posición de decúbito ventral y dibujamos un rectángulo cuyo margen craneal está a nivel de la cintura escapular y el caudal a nivel de la cintura pélvica. Realizamos la incisión del colgajo con bisturí nº 23. Elevamos el colgajo con una anchura de 2 cm conservando su pedículo craneal y una longitud de 8 cm, de grosor que involucre piel y tejido celular subcutáneo. Luego colocamos en el lecho una lámina de silicona (Parafilm M®) previamente sumergida en alcohol de 70° y luego sometida a luz ultravioleta durante 15 minutos, de 1 mm de grosor, con una anchura y longitud que cubra totalmente el lecho; la fijamos utilizando sutura de catgut 4-0 en sus 4 esquinas. Posteriormente, reposicionamos el colgajo suturándolo cuidadosamente con nylon 4-0 (Fig. 2).

Grupo retardo del colgajo
En este grupo de animales, tras incidir el colgajo, lo suturamos inmediatamente en su posición sin realizar elevación del mismo. Posteriormente, al quinto día de post-operatorio, realizamos el procedimiento detallado en el apartado de técnica quirúrgica.
Grupo ASCs y ASCs-H
Tras la obtención de ASCs de la misma rata según apartado que detallamos más adelante, inyectamos 0.1 ml de concentrado de ASCs o ASCs-H, según corresponda, en 10 zonas igualmente distribuidas desde la zona craneal hacia caudal y de forma subcutánea.
Obtención de ASCs
Fraccionamos el tejido adiposo del área abdominal de la rata y lo lavamos con solución buffer-fosfato 1x (DPBS, GIBCO®, Cod: 14190144), digerido con colagenasa tipo II al 0.15% (Sigma-Aldrich®, Cod: C6885) durante 60 minutos a 37 ºC y neutralizado con medio de cultivo (DMEM, GIBCO®, Cod:11995) 10% de suero bovino fetal (FBS, GIBC®O, Cod: 10270), 1% antibióticos y antimicóticos (Antibiotic-Antimycotic 100X, GIBCO®, Cod: 15240). Posteriormente lo centrifugamos durante 10 minutos a 1200 G. El pellet obtenido se resuspende en medio de cultivo y se analiza. Mantenemos las ASCs en condiciones de normoxia (21%O2 - 5%CO2), mientras que a las ASCs-H, en la mitad del proceso de expansión, se les realiza tripsinización (0.25% Trypsin-EDTA (1X), GIBCO®, Cod:25200) para luego colocarlas en DMEM preparado que ha sido sometido a hipoxia durante 24 horas en una cámara de hipoxia (modular incubator chamber). Tras 72 horas en estas condiciones (2% O2-5% CO2) se tripsinizan nuevamente para realizar el conteo celular con hemocitómetro. Posteriormente se colocan en un volumen total de 1 ml para su administración en el colgajo.
Método de cuantificación de isquemia y necrosis del colgajo aleatorio
A la semana de la intervención quirúrgica llevamos a cabo la eutanasia de los animales con solución de eutanasia 0.1 ml administrada a nivel intratorácico. Tomamos imágenes digitales del colgajo a una distancia estandarizada para su posterior análisis en computadora mediante el programa ImageJ 1.45s. Categorizamos las zonas en áreas necróticas y área total, manteniendo como bordes los límites del colgajo. Expresamos los resultados en áreas de necrosis en relación al área total del colgajo. Además, identificamos distintos grados de necrosis en el colgajo cutáneo aleatorio al séptimo día de postoperatorio tomando en cuenta características al examen físico y cambios histopatológicos. Realizamos una clasificación de necrosis otorgando una puntuación del 0 al 3 desde piel sana hasta colgajo con necrosis de mayor grado. Por último, obtuvimos una puntuación de necrosis multiplicando el área de necrosis y la puntuación según la clasificación.
Estudio microscópico
Obtuvimos secciones de tejido de 4 zonas de proximal a distal, a 1, 3, 5 y 7 cm aproximadamente desde la base del colgajo, y categorizados en zonas 1, 2, 3 y 4 respectivamente (Fig. 3). Se fijaron en Duboscq Brasil durante 6 horas y luego se mantuvieron en alcohol de 70°. Posteriormente fueron embebidas en parafina y cortadas transversalmente con micrótomo. Realizamos tinciones de hematoxilina/eosina (HE), Tricrómico de Masson y Picro-Sirius para la observación de colágeno tipo I y III con luz polarizada y análisis computacional con el programa Image-Pro® Plus Version 6.0 para evaluación de la proporcionalidad de colágeno I/III. Con la tinción Picro-Sirius con luz polarizada, las fibras de colágeno gruesas y organizadas presentan birrefringencia intensa en color rojo correspondiente al colágeno tipo I, mientras que en verde claro se observa el colágeno tipo III con birrefringencia más débil.(13,14) (Fig. 4). Para el estudio cualitativo de células endoteliales y revascularización realizamos tinción inmunohistoquímica con anti-VEGF (factor de crecimiento endotelial vascular) 1:500 (Santa Cruz Biotechnology®, Santa Cruz, CA).


Análisis estadístico
Utilizamos la prueba estadística de T de Student empleando significancia estadística p ≤ 0.05 y con el software MedCalc 12.5.
RESULTADOS
Clasificación de necrosis del colgajo cutáneo aleatorio
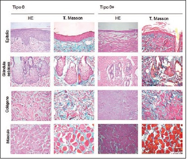
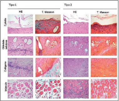
Durante el desarrollo del trabajo, al séptimo día de postoperatorio observamos grados variables de necrosis en el colgajo cutáneo aleatorio en los distintos grupos. Clasificamos esos grados de necrosis tomando en cuenta características al examen físico como la coloración y textura y correlacionamos con los cambios histopatológicos. De esta forma clasificamos distintos grados de necrosis que especificamos en la Tabla I. De esta forma, consideramos el tipo 0 como piel normal, mientras que el tipo 3 correspondió a la necrosis en su grado máximo. El examen físico de la piel sana mantiene la coloración y textura elástica y blanda. A medida que va progresando la necrosis, comienza a cambiar hacia un tono más oscuro a la vez que la textura y consistencia van aumentando hasta tornarse acartonada y delgada. Correlacionamos esto directamente con un adelgazamiento progresivo de la dermis, atrofia del epitelio asociada a focos de desprendimiento, atrofia y necrosis de los anexos cutáneos, presencia de células fantasmas (células sin su núcleo), homogenización e hipereosinofilia del tejido conectivo,(15) presencia de infiltrado inflamatorio superficial y profundo y disminución del número de vasos sanguíneos (Fig. 5). De esta manera, aparte de realizar la medición correspondiente al área de necrosis, le otorgamos una puntuación del 0 al 3 (tipo 0=0 / tipo 0+=0 / tipo 1=1 / tipo 2=2 y tipo 3=3) para analizar de mejor forma los cambios isquémicos/necróticos mediante tinción de HE y Tricrómico de Masson (Fig. 6-8) y análisis de la proporcionalidad de colágeno tipo I y III mediante el programa Image-Pro Plus 6 (Fig, 9 y 10). Por último, realizamos la tinción de VEGF para evaluar la presencia de vasos de neoformación (Fig. 11).








Al realizar el análisis de la proporcionalidad de los colágenos I y III, observamos en condiciones normales y en el colgajo con cambios atróficos sin necrosis, un aumento en la proporcionalidad del colágeno I. También una disminución del colágeno I a expensas de un aumento del colágeno III a medida que progresa la necrosis, siendo estadísticamente significativo en los tipos 2 y 3 respecto al tipo 0 (Fig. 10).
Tomando en cuenta la puntuación descrita en la clasificación de necrosis, el área de necrosis obtenida se multiplicó según el tipo de necrosis. En la Fig. 12 ilustramos cómo obtuvimos la puntuación total tomando en cuenta características macroscópicas mediante inspección y palpación que corroboramos con el análisis histopatológico.

Obtuvimos una puntuación total en el grupo control de 96.5 +/- 56.93; grupo retardo de colgajo de 47.39 +/- 43.88 (p ≤ 0.05) respecto al control; grupo ASCs 57.92 +/- 34.66; y por último grupo ASCs-H con una puntuación total de 58.34 +/- 23.86 (Fig. 13).

Separando los datos según el tipo de necrosis, encontramos que existe un patrón similar de porcentaje de necrosis en los grupos control y en los grupos tratados con células madre, encontrando un porcentaje mayor de necrosis tipo 2 seguido de necrosis tipo 3 y en menor cuantía necrosis tipo 1. Por otra parte, en el grupo de retardo de colgajo observamos en mayor porcentaje necrosis tipo 1, seguida de necrosis tipo 2 con ausencia de necrosis tipo 3 (Fig. 14). En el grupo de retardo de colgajo pudimos constatar en algunos casos, al séptimo día, reepitelización completa tras haber presentado necrosis tipo 1. En los tipos 0+ y 1 observamos focos de reepitelización temprana al séptimo día, mientras que en estadios más avanzados la necrosis fue completa, por lo que es de esperar cierre por segunda intención (Fig. 15).


Supervivencia y necrosis del colgajo cutáneo aleatorio
Medimos el área de necrosis considerando los tipos del 1 al 3 respectivamente en la totalidad de los grupos. En el grupo control obtuvimos un porcentaje de necrosis en promedio de 45.63% +/- 18.27. En el grupo de retardo del colgajo al quinto día de postoperatorio de la primera intervención pudimos constatar que ninguno de los colgajos presentó signos de isquemia ni de necrosis. Tras su elevación y reposición en el segundo tiempo quirúrgico, al séptimo día de postoperatorio constatamos un porcentaje de necrosis en promedio de 32.72% +/- 24.75. En el grupo ASCs administramos en promedio 9.95 x 106+/- 7.3 x106 células/ml, con 8.80 +/-1.81 días de cultivo, al séptimo día constatamos en promedio 28.73% de necrosis con una desviación estándar de 16.31, siendo este valor estadísticamente significativo respecto al grupo control (p = 0.04). Por último, en el grupo ASCs-H administramos en promedio 1.5 x107 +/- 1.5 x 107 células/ml, con 9.8 +/-1.93 días de cultivo al séptimo día constatando en promedio 27.99% de necrosis con una desviación estándar de 10.08 (p= 0.01 respecto al grupo control) (Fig. 16).

Discusión
En la práctica clínica, los colgajos cutáneos aleatorios se pueden realizar sin inconvenientes cuando su proporción largo y ancho es de 1.5:1 a 2:1. Pero cuando es necesario utilizar colgajos de una extensión mayor, la necrosis distal es una de las complicaciones esperables.(16) Hasta donde hemos podido conocer, no existe en la literatura una clasificación de necrosis en los colgajos cutáneos aleatorios. Nuestra clasificación identificó 5 tipos, desde piel de colgajo sin alteraciones hasta necrosis en su máxima expresión. Pudimos observar cambios en las distintas estructuras, como en el epitelio, glándulas sebáceas, dermis, composición y organización del colágeno, presencia de vasos sanguíneos, infiltrado inflamatorio y trofismo de la capa muscular estriada. En la piel normal se reconocen 2 tipos de colágeno predominantes: el tipo I de fibras gruesas y organizadas, de gran fuerza tensil y resistencia elástica, y el tipo III de fibras delgadas y no organizadas en menor cantidad que el tipo I.(17) La proporción de colágeno tipo I/III en adulto en el trabajo de Cheng y col.(18) es de 2.46+/- 0.15, similar a lo encontrado en piel de colgajo sin necrosis y con cambio adaptativo reversible, 2.11 +/- 2.78 y 2.48 +/- 2.13 respectivamente. Esta proporción cambia especialmente durante la fase temprana de cicatrización de las heridas debido a que los fibroblastos comienzan a producir activamente colágeno tipo III. Ya para la segunda semana, el colágeno tipo I nuevamente comienza a ser producido principalmente por los fibroblastos.(19) Respecto a la proporción del colágeno tipo I y III en la porción distal del colgajo, observamos una disminución significativa en la necrosis tipo 1 respecto a la 2; esto concuerda considerando que en este último tipo existe una necrosis mayor de los anexos cutáneos asociada a homogenización del colágeno en la totalidad de la dermis atrófica. En comparación al tipo 1 que presenta esta homogenización e hipereosinofilia del colágeno solo en forma superficial, presentando inmediatamente bajo esta vasos de neoformación e infiltrado inflamatorio superficial y una dermis que no presenta alteración en el colágeno ni en su proporción. Por lo tanto, es de esperar que en algunas zonas sea posible evidenciar desprendimiento de esta capa necrótica y reepitelización temprana al séptimo día, lo cual no es esperable si la necrosis abarca todo el espesor de la dermis, con escasa presencia de vasos sanguíneos a nivel de la dermis y presencia de infiltrado inflamatorio profundo a nivel de la hipodermis, como ocurre en la necrosis menor con infiltrado inflamatorio profundo (tipo 2). Por lo tanto, es esperable que del tipo 2 evolucione al tipo 3 y consecuentemente a desprendimiento total de la dermis para posterior cierre por segunda intención, siendo este proceso considerablemente más lento que el anterior. De otra forma, en la práctica, la presencia de necrosis tipo 1 permite un manejo más conservador y de expectación a diferencia del manejo más agresivo necesario en la necrosis de mayor grado.
Tomando en consideración lo anterior, pudimos confeccionar una puntuación de necrosis que considera aspectos macroscópicos, histopatológicos y el área de necrosis. Este nuevo método parece ser adecuado para analizar de forma complementaria la efectividad de distintos tratamientos, ya que presenta la ventaja de poder analizar de forma global el colgajo.
Esta clasificación parece ser un método adecuado para entender la evolución de la necrosis del colgajo cutáneo y como método complementario para analizar la efectividad de distintos tratamientos, ya que considera los aspectos histopatológicos además del área de necrosis en forma global.
Respecto a la técnica de retardo de colgajo, es uno de los procedimientos más utilizados en Cirugía Reconstructiva y con más evidencia sobre sus beneficios, así como sobre su superioridad respecto a varias opciones farmacológicas..(7-9) Aun es controvertido el tiempo necesario de espera desde la primera intervención quirúrgica a la elevación del colgajo. Comúnmente se ha utilizado un intervalo que va desde los 7 a los 14 días.(20) Holzbach y col.(21) concluyen que el quinto día posterior a la realización del retardo de colgajo es el tiempo óptimo para ser elevado y transferido por mostrar mejores resultados de supervivencia en comparación a retardos de colgajo de 3 a 7 días respectivamente, explicado por un aumento en la expresión de VEGF y de la densidad microvascular; es por ello que en este trabajo utilizamos 5 días de retardo. En el presente trabajo presentamos una mayor disminución de la puntuación de necrosis dada una mayor proporción de necrosis tipo 1 respecto a la necrosis tipo 2 con ausencia de necrosis tipo 3. Este dato es interesante ya que no hemos encontrado literatura respecto a esta modalidad de clasificación de necrosis, y por lo tanto, probablemente de mayor utilidad en comparación al análisis del área de necrosis en forma global. Además, precisamente este grupo fue el que presentó mayores casos de ausencia de necrosis al séptimo día por presentar mayor capacidad de reepitelización completa; por lo tanto, podría traducirse en un manejo más expectante. Por el contrario, tomando en consideración solamente el área de necrosis en forma global, el tratamiento con células madre resulta ser superior en forma no significativa al grupo de retardo del colgajo.
En relación a las células madre, resulta una opción terapéutica prometedora para el tratamiento de reparación y regeneración de tejidos. En la actualidad se pueden obtener de distintos tejidos con características similares a las originalmente aisladas de médula ósea. Así es como las células madre derivadas de tejido adiposo adultas cobran importancia, ya que se encuentran en forma abundante, son de fácil acceso y es posible lograr diferen-
ciación celular de distintos linajes mesodérmicos como tejido adiposo, osteogénico, condrogénico y miogénico.(22) En este trabajo logramos obtener células madre derivadas de tejido adiposo adultas de la zona ínguino-abdominal de ratas.
Uno de los mayores problemas del tratamiento con células madre es que una gran proporción de estas células mueren en el sitio trasplantado isquémico, situación que podría reducir su eficacia.(16) Es por ello que optamos por potenciar estas células en hipoxia al (2% O2 y 5% CO2). La expresión del factor inducible a hipoxia (HIF-1α) contribuiría a la activación de genes proangiogénicos, genes promotores de la migración celular, genes antioxidantes y protectores de la apoptosis con mayor tolerancia al trasplante en zonas isquémicas.(23)
Administramos estas células a nivel subcutáneo inmediatamente después de la reposición del colgajo. Observamos una disminución significativa del área de necrosis en los grupos ASCs y ASCs-H (28.73%+/- 16.31 y 27.99% +/- 10.08 respectivamente) respecto al grupo control, sin diferencia estadística entre ellos; por lo tanto, serían superiores al método de retardo de colgajo de 5 días tomando en consideración solamente el área de necrosis en forma global. Estos datos son distintos a los publicados por Wang y col.,(16) quienes realizan el mismo diseño de colgajo para la administración subcutánea de células madre mesenquimales de médula ósea (BM-MSCs) y BM-MSCs precondicionadas con hipoxia (BM-MSCs-H) (1% 02 y 5% CO2) a concentraciones de 4 x 106 células en 0.5 ml DMEM_LG (bajo en glucosa) obteniendo un porcentaje de área de necrosis en el control de 75.5%, ASCs 54.3% y ASCs-H 35.6%, presentando en estos 2 últimos grupos diferencia significativa. Cabe destacar que en el presente trabajo administramos el doble de células en el grupo ASCs, lo cual podría explicar su menor porcentaje de necrosis pero no explicaría la similitud en los resultados en relación al ASCs-H.
Por otra parte, en ambos grupos tratados con células madre no hubo diferencias de proporcionalidad de los tipos de necrosis respecto al control, presentando mayor proporción de necrosis tipo 2 seguida de necrosis tipo 3, contrario a lo encontrado en el grupo de retardo de colgajo con un aumento significativo de necrosis tipo 1 y con ausencia de necrosis tipo 3.
Conclusiones
Por lo tanto, las ASCs y en mayor medida las ASCs-H, disminuyen significativamente el área de necrosis del colgajo cutáneo aleatorio pero sin encontrar diferencia estadística entre ellas. La técnica de retardo de colgajo de 5 días, a pesar de no presentar disminución significativa en el área de necrosis, muestra un colgajo de menor grado de necrosis al séptimo día con mayor capacidad de reepitelización respecto al resto de los grupos. Estos hallazgos permiten un enfoque distinto frente al colgajo de retardo en la práctica clínica, ya que utilizando la clasificación de necrosis, permiten optar por un enfrentamiento más conservador y de expectación al estar frente a una necrosis de menor grado (tipo 1). La administración de estas células en colgajos cutáneos aleatorios en humanos podría ser una opción terapéutica para disminuir el área de necrosis, pero al ser predominantemente de mayor grado (tipo 2 y 3), no poseen capacidad de reepitelización temprana, sino por el contrario, esta zona requeriría ser manejada mediante desbridamientos, curaciones para cierre por segunda intención, colgajos o injertos. Finalmente, la clasificación de necrosis de colgajo cutáneo aleatorio permite entender la evolución de la necrosis de manera más global en los colgajos cutáneos aleatorios y podría ser utilizada por otros autores como herramienta para estudios futuros.
Agradecimientos
A los Dres. David Lemus y Estefanía Flores por la revisión y corrección de este documento para optar al Grado de Máster en Ciencias Biomédicas con mención en Morfología. A Francisco Cortés, Irma Orellana y Alondra Donoso por la preparación de cortes y tinciones histológicas y a Heriberto Coloma, por el cuidado de los animales en el bioterio.
Bibliografía
1. Chung KI, Kim HK, Kim WS, Bae TH. The effects of polydeoxyribonucleotide on the survival of random pattern skin flaps in rats. Arch Plast Surg. 2013;40(3):181-186.
2. Giunta RE, Holzbach T, Taskov C, Holm PS, Brill T, Busch R, Gansbacher B, Biemer E. Prediction of flap necrosis with laser induced indocyanine green fluorescence in a rat model. Br J Plast Surg. 2005;58(5):695-701.
3. McGregor IA, Morgan G. Axial and random pattern flaps. Br J Plast Surg. 1973;26:202-213.
4. Baker SR, Swanson NA. Local flaps in facial reconstruction. 3ra edición. Chapter 2:Skin Flap Physiology. Mosby Elsevier, Philadelphia, PA;2014, Pp. 14-29.
5. Mobley SR, Glassberg MK, Luebke A, Perlyn CA, Davis RE. Expression of endothelin 1 in rat random-pattern skin flaps treated with topical nifedipine. Arch Facial Plast Surg. 2003;5(1):78-82.
6. Kryger Z, Zhang F, Dogan T, Cheng C, Lineaweaver WC, Buncke HJ. The effects of VEGF on survival of a random flap in the rat:examination of various routes of administration. Br J Plast Surg. 2000;53(3):234-239.
7. Barker JH, Frank J, Bidiwala SB, Stengel CK, Carroll SM, Carroll CM, van Aalst V, Anderson GL. An animal model to study microcirculatory changes associated with vascular delay. Br J Plast Surg. 1999;52(2):133-142.
8. Lopez JL, Nieto CS, Garcia PB, Orteja JM. Evaluation of angiogenesis in delayed skin flaps using a monoclonal antibody for the vascular endothelium. BR J Plast Surg. 1995, 479-486.
9. Kubulus D, Roesken F, Amon M, Rücker M, Bauer M, Bauer I, Menger MD. Mechanism of the delay phenomenon:tissue protection is mediated by heme oxygenase-1. Am J Physiol Heart Circ Physiol. 2004;287(5):H2332-2340.
10. Rebelatto CK, Aguiar AM, Moretão MP, Senegaglia AC, Hansen P, Barchiki F, Oliveira J, Martins J, Kuligovski C, Mansur F, Christofis A, Amaral VF, Brofman PS, Goldenberg S, Nakao LS, Correa A. Dissimilar differentiation of mesenchymal stem cells from bone marrow, umbilical cord blood, and adipose tissue. Exp Biol Med (Maywood). 2008;233(7):901-913.
11. Yu SP, Wei Z, Wei L. Preconditioning strategy in stem cell transplantation therapy. Transl Stroke Res. 2013;4(1):76-88.
12. Liu S, Zhou J, Zhang X, Liu Y, Chen J, Hu B, Song J, Zhang Y. Strategies to Optimize Adult Stem Cell Therapy for Tissue Regeneration. Int J Mol Sci. 2016;17(6).pii:E982.
13. Montes GS, Junqueira LC. The use of the Picrosirius-polarization method for the study of the biopathology of collagen. Mem Inst Oswaldo Cruz. 1991;86(3):1-11.
14. Kamath VV, Satelur K, Komali Y, Krishnamurthy SS. Image analyses of collagen types and thickness in oral submucous fibrosis stained with picrosirius red under polarizing microscope. J Orofac Sci. 2013;5:123-127.
15. Vasilenko T, Slezák M, NovotnýM, KováčI, DurkáčJ, TomkováI, Torma N, Vrzgula A, Lenhardt L, Levkut M, Gál P. Pre- and/or postsurgical administration of estradiol benzoate increases skin flap viability in female rats. Aesthetic Plast Surg. 2013;37(5):1003-1009.
16. Wang JC, Xia L, Song XB, Wang CE, Wei FC. Transplantation of hypoxia preconditioned bone marrow mesenchymal stem cells improves survival of ultra-long random skin flap. Chin Med J (Engl). 2011;124(16):2507-2511.
17. Borquez P. Estudio inmunohistoquímico del colágeno tipo II y tipo III en la piel de pacientes con hernia inguinal primaria. Rev Chil Cir, 2005;57:489-494.
18. Cheng W, Yan-Hua R, Fang-Gang N, Guo-An Z. The content and ratio of type I and III collagen in skin differ with age and injury. African Journal of Biotechnology. 2011;10(13):2524-2529.
19. Ponrasu T, Suguna L. Efficacy of Annona squamosa on wound healing in streptozotocin-induced diabetic rats. Int Wound J. 2012;9(6):613-623.
20. Lineaweaver WC, Lei MP, Mustain W, Oswald TM, Cui D, Zhang F. Vascular endothelium growth factor, surgical delay, and skin flap survival. Ann Surg., 2004;239(6):866-873.
21. Holzbach T, Neshkova I, Vlaskou D, Konerding MA, Gansbacher B, Biemer E, Giunta RE. Searching for the right timing of surgical delay:angiogenesis, vascular endothelial growth factor and perfusion changes in a skin-flap model. J Plast Reconstr Aesthet Surg. 2009;62(11):1534-1542.
22. Mizuno H. Adipose-derived stem cells for tissue repair and regeneration:ten years of research and a literature review. J Nihon Med Sch. 2009, 76(2):56-66..
23. Salceda S, Caro J. Hypoxia-inducible factor 1alpha (HIF-1alpha) protein is rapidly degraded by the ubiquitin-proteasome system under normoxic conditions. Its stabilization by hypoxia depends on redox-induced changes. J Biol Chem. 1997, 5;272(36):22642-22647,
Notas de autor
Dirección del autor Dr. Miguel Luis Obaíd García Laboratorio Embriología Comparada Universidad de Chile. Sede Norte Av. Independencia 1027, Santiago, Chile Correo electrónico: miguel.obaid.g@gmail.com
Declaración de intereses