Original/Series clínicas
Revisión de casos de schwannoma en la Unidad de Miembro Superior del Servicio de Cirugía Plástica de La Coruña, España
Case review of schwannoma at the Superior Member Unit, La Coruña Plastic Surgery Service, Spain
Revisión de casos de schwannoma en la Unidad de Miembro Superior del Servicio de Cirugía Plástica de La Coruña, España
Cirugía Plástica Ibero-Latinoamericana, vol. 44, núm. 3, pp. 313-318, 2018
Sociedad Española de Cirugía Plástica, Reparadora y Estética (SECPRE)
Recepción: 26 Julio 2018
Aprobación: 01 Septiembre 2018
Resumen
Introducción y Objetivo:
Los tumores derivados de las células de Schwann (schwannomas, neurinomas o neurilemomas) son los más frecuentes de los dependientes de tejido nervioso en el miembro superior. Frecuentemente se confunden con tumores de otra índole, principalmente con los derivados de tejido adiposo o lipomas. Aunque pueden compartir algunas características clínicas, existen ciertos síntomas específicos de los schwannomas que sugieren su diagnóstico y permiten realizar el tratamiento adecuado. En algunos casos, son necesarias técnicas microquirúrgicas para su extirpación y posterior reparación del nervio afectado. El presente trabajo pretende realizar una evaluación epidemiológica en nuestro medio, mediante revisión retrospectiva de casos, teniendo en cuenta la presentación clínica, el diagnóstico, el tratamiento y la evolución presentada tras el tratamiento mediante la existencia o no de secuelas.
Material y Método: Revisamos retrospectivamente 10 casos de schwannoma en miembro superior recogidos en el Servicio de Cirugía Plástica de La Coruña (España) a lo largo de 4 años. Evaluamos la edad, género, localización, signos clínicos, estudios electrofisiológicos, imágenes, tratamiento, seguimiento y secuelas. Realizamos el análisis mediante tablas comparativo-descriptivas.
Resultados: El 60% de la muestra fueron varones, con edad media de 47.5 años. El nervio mediano fue el más frecuentemente afectado. El dolor local y las parestesias los síntomas más frecuentes, con Tinel positivo en el 90% de los casos. El 30% de los pacientes presentó bloqueo nervioso (motor/sensitivo) en la electrofisiología y 2 casos discontinuidad del nervio. La escisión microquirúrgica bajo magnificación óptica fue el tratamiento de elección en el 80% de los casos; 20% necesitaron injerto de nervio sural para la reparación del nervio afectado. Con un seguimiento medio de 12 meses, el 80% de los casos no presentó secuelas tras el tratamiento.
Conclusiones: Los schwannomas suelen producir poca sintomatología y cuando lo hacen, la clínica suele ser local. Su origen más frecuente en nuestra serie fue el nervio mediano. El diagnóstico adecuado exige sospecha clínica y confirmación mediante resonancia magnética. Los tumores mal delimitados pueden incluir pequeños fascículos nerviosos que, a pesar de la magnificación óptica, resulta imposible identificar y conservar. En la medida de lo técnicamente posible se deben respetar los fascículos sanos, o en su defecto, reconstruir el fascículo nervioso para restablecer su continuidad.
Palabras clave: Nervio periférico+ Schwannoma+ Tumor miembro superior.
Background and Objective:
Tumors derived from Schwann cells (schwannomas, neurinomas or neurilemomas) are the most frequently nervous tissue tumors of the upper limb. They usually get confused with other kind of tumors, mainly those derived from adipose tissue also call lipomas. Although they may share some clinical characteristics, there are certainly some specific symptoms in schwannomas that allow making a correct differential diagnosis. In some cases, microsurgical techniques are necessary for its removal and subsequent reconstruction of the affected nerve. The present study carries out a retrospective epidemiological review of a series of cases in our center, considering the clinical presentation, diagnosis, treatment and the outcomes in terms of the presence or absence of sequelae.
Methods: We retrospectively reviewed 10 cases of schwannoma in the upper member collected in the Plastic Surgery Service of La Coruña (Spain) over the last 4 years. We describe age, gender, location, clinical signs, electrophysiological studies, images, treatment, follow-up and sequelae. We perform the analysis using comparative-descriptive tables.
Results: Sixty percent of the sample were men, the median age was 47.5 years, and the median nerve was the most frequently affected. Local pain and paresthesias were the most frequent symptoms, with Tinel sign in 90% of the cases. Thirty percent of patients had nerve block (motor / sensitive) in electrophysiology study. Two cases presented discontinuity of the nerve. The microsurgical excision under optical magnification was the choice for treatment in 80% of the cases and 20% needed a sural nerve graft for repairing the affected nerve. With a mean follow-up of 12 months, 80% of the cases did not present sequelae after treatment.
Conclusions: Schwannomas usually produce limited symptomatology and when they do, are oftenly local symptoms. The most frequent origin was the median nerve. The adequate diagnosis requires clinical suspicion and confirmation by magnetic resonance. Those ill-defined tumors may include small nerve fascicles that, despite of optical magnification, are impossible to identify and preserve. As far as it is technically possible, healthy fascicles should be respected or if not, reconstructed to restore its continuity.
Key words: Peripheral nerve, Shcwannoma, Upper limb tumour.

Introducción
Los tumores derivados de las células de Schwann (schwannomas, neurinomas o neurilermomas), son tumores benignos con crecimiento localmente expansivo(1) cuya etiología permanece incierta. A diferencia de lo que sucede con los tumores neurofibromatosos, los schwannomas se expanden a partir de un fascículo nervioso inicial respetando, en la mayoría de las ocasiones, los restantes fascículos sanos del nervio que son desplazados hacia la periferia del tumor.(2) Aunque son frecuentes en los nervios de gran longitud, como los de las extremidades, no son exclusivos de ellos pudiendo encontrarse también en sitios raros y con clínica que asemeja a otros tumores locales específicos de ciertas zonas, como por ejemplo, de los párpados.(3)
Se componen característicamente de 2 tipos tisulares. Existen unas áreas también llamadas de Antoni tipo A, en donde hay células fusiformes con núcleos organizados en fascículos entrelazados de forma lineal o en empalizadas, conocidos como cuerpos de Verocay. Las células tienen bordes citoplasmáticos indistinguibles y no hay axones. El tejido de Antoni tipo B consiste en una fina malla de tejido gelatinoso y microquístico con células de Schwann muy separadas. En estas áreas también se presentan macrófagos cargados de lípidos, vasos sanguíneos dilatados con paredes hialinas gruesas, hemorragias, y en ocasiones áreas hialinas calcificadas. Las células de Merkel están incrementadas en la epidermis sobre los neurilemomas. El porcentaje de estas zonas en cada neurilemoma es variable.(4) Si bien predominan las formas de presentación en un solo nervio periférico, pueden aparecer también de manera multifocal..(5-7)
Estos tumores suelen encontrarse muy bien delimitados, pero incluso bajo visión óptica magnificada (microscopio) pueden, en ciertos casos, dar la falsa impresión de estar encapsulados. Su localización más frecuente es en la cabeza y en el cuello así como en las zonas de flexión de las extremidades, siendo más prevalentes en las superiores que en las inferiores.(8) Están descritas también algunas localizaciones atípicas, como en la axila..(9,10)
La sintomatología de estos tumores de crecimiento lento puede estar ausente o presentarse en forma de tumoración con parestesias y/o dolor local o irradiado.(11) A la exploración física encontramos de forma típica una tumoración redondeada u ovalada, móvil en sentido transversal pero no longitudinal con respecto al eje del nervio. Su diámetro mayor no suele superar los 10 cm y en algunas ocasiones se asocia a la clínica presencia de signo de Tinel positivo (cuando el nervio es sensitivo o mixto, pero no cuando es motor puro) (Fig. 1).

Llama la atención que la mayoría de los pacientes con schwannomas son remitidos para tratamiento bajo diagnóstico erróneo,(12) como por ejemplo lipoma, quiste sinovial o neurofibroma (los más frecuentes). Con la ayuda de pruebas complementarias, como la tomografía computarizada (TC), se pueden obtener imágenes sugestivas del tumor, pero en muchos casos con escasa resolución. La ecografía carece de especificidad teniendo únicamente valor para delimitar el tamaño de la neoformación.(13)
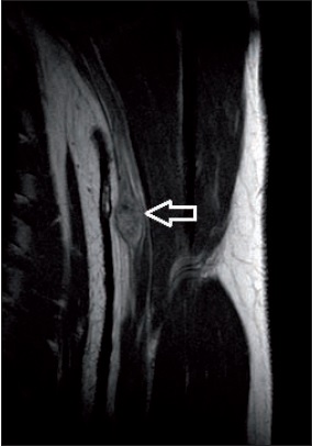
La resonancia magnética (RM) es el método electivo de exploración. Puede distinguir perfectamente las características de la tumoración y su relación con el propio nervio afectado y permite observar si interrumpe o no su continuidad (Fig. 2). En las imágenes de cortes transversales, las zonas hipointensas en secuencia T2 tienen correlación histológica con las zonas tipo Antoni A (cuerpos de Verocay). Aunque no es necesario para el diagnóstico, mediante la inyección intravenosa de contraste se puede tener una idea aproximada del grado de vascularización tumoral.(14)

El tratamiento quirúrgico debe hacerse bajo magnificación óptica y disección microquirúrgica, realizando exéresis del tumor y procurando respetar los fascículos adyacentes no afectados(4,7,8) (Fig. 3)

En este trabajo llevamos a cabo una revisión retrospectiva de 10 casos de schwanoma en cualquier nervio periférico de la extremidad superior, localización más frecuente de este tipo de tumor neurogénico, analizando distintas variables que pueden resultar de interés, como el tamaño, la localización, frecuencia, sintomatología, tratamiento, complicaciones y secuelas, entre otras.
Material y Método
Durante un periodo de 4 años fueron tratados quirúrgicamente 10 schwannomas de extremidad superior en el Servicio de Cirugía Plástica y Reparadora del Complejo Hospitalario Universitario de La Coruña, en La Coruña, España; todos ellos en nervios sensitivos o mixtos (sensitivo y motor), distribuidos en 6 varones y 4 mujeres, con edades comprendidas entre los 29 y 66 años (edad media 47.5 años) (Tabla I). Recogimos todos los casos operados por el mismo equipo quirúrgico constituido por 3 cirujanos y analizamos diferentes variables para intentar determinar la relación existente entre el tamaño del tumor, la sintomatología del paciente, la necesidad de pruebas de imagen complementarias para el diagnóstico, los resultados obtenidos con el tratamiento quirúrgico bajo magnificación óptica de todos los pacientes, y si fue posible en todos los casos la conservación de los fascículos no afectados por la tumoración.
| Paciente/ Género/ Edad | Nervio/ Nivel | Clínica | Tamaño/Tinel | Tiempo de evolución | Bloqueo neurológico |
|---|---|---|---|---|---|
| 1/M/34 | C6 (supraclavicular.) | Hipoestesia | 4.2 cm + | 6 meses | Ninguno |
| 2/V/46 | Mediano alto | Dolor Parestesias | 2.7 cm + | 1 año | Parcial motor: FPL/ FCR/FDP |
| 3/V/33 | Cubital/brazo | Presión Parestesia | 3 cm + | 14 meses | Ninguno |
| 4/M/62 | Digital en 4º dedo | Parestesia | 0.8 cm + | 16 meses | Ninguno |
| 5/V/56 | Mediano bajo | Dolor nocturno | 1.7 cm + | 9 meses | Parcial sensitivo |
| 6/V/44 | Mediano alto | Presión | 5 cm - | 14 meses | Ninguno |
| 7/M/66 | Radial alto | Dolor/Paresia motora | 2.3 cm + | 16 meses | Parcial motor (ECR) |
| 8/V/29 | Digital en 4º dedo | Parestesias | 0.9 cm + | 6 meses | Ninguno |
| 9/M/47 | Mediano bajo | Ninguno | 1.1 cm + | 18 meses | Ninguno |
| 10/V/58 | Cubital alto | Dolor | 3.2 cm + | 29 meses | Ninguno |
Para poder determinar estas premisas, recogimos en la historia clínica de los pacientes las siguientes variables que posteriormente relacionamos mediante tablas de contingencia: género, edad, nervio afectado y su localización, tamaño del schwannoma, clínica presentada en el momento del diagnóstico, diagnósticos diferenciales o erróneos, presencia de signo de Tinel, presencia de bloqueo del impulso nervioso (clínica y/o mediante exploración electro-mio-neurográfica antes y después de la cirugía), integridad anatómica del nervio valorada durante la intervención quirúrgica, tipo de cirugía realizada (exéresis/reparación), y evolución de los pacientes, como mínimo, durante un periodo de 6 meses. Algunos casos requirieron un seguimiento más largo, pero no se realizó reintervención en ningún caso.
RESULTADOS
Todos los schwannomas se localizaron en la extremidad superior, con un tiempo de evolución hasta el momento del diagnóstico de 14 meses de media (entre 6 a 29 meses). La irradiación del signo de Tinel en sentido distal al percutir el nervio permitió, en casi la totalidad de los casos (n=9), establecer una sospecha muy aproximada de la localización del tumor. En la mayoría de los casos (n= 8), el síntoma que llevó a los pacientes a consultar fue la aparición de una tumoración palpable con dolor local a la presión y/o parestesias.
El 70% de la muestra (n=7) no presentaba ningún tipo de bloqueo neurológico en el electromiograma prequirúrgico, a excepción de 2 casos en los que era clínicamente evidente una pérdida motora parcial, y otro caso más con una pérdida parcial sensitiva y hallazgos electromiográficos compatibles. El nervio mediano fue el más frecuentemente afectado, encontrando el tumor en 4 de los 10 casos, el nervio cubital en 2 y los colaterales digitales en 2. Solo encontramos 1 caso de tumor a nivel de la raíz C6 y otro en el nervio radial.
Durante la intervención, realizada sistemáticamente bajo microscopio quirúrgico, se encontraron 2 casos en los que no fue técnicamente posible separar y conservar los fascículos sanos identificados (Tabla II). Se realizó entonces una reconstrucción microquirúrgica fascicular mediante injertos de nervio sural, con una longitud de 4.5 cm por fascículo.
| Paciente | Integridad nervio | Tratamiento | Control/meses | Resultado |
|---|---|---|---|---|
| 1/M/34 | SI | Escisión microquirúrgica (EM) | 6 | Asintomático |
| 2/V/46 | NO | EM + injerto nervio | 14 | Parcial motor FPL |
| 3/V/33 | SI | EM | 17 | Asintomático |
| 4/M/62 | SI | EM | 21 | Asintomático |
| 5/V/56 | SI | EM | 6 | Asintomático |
| 6/V/44 | SI | EM | 10 | Asintomático |
| 7/M/66 | NO | EM + injerto nervioso | 24 | Paresia parcial |
| 8/V/29 | SI | EM | 4 | Asintomático |
| 9/M/47 | SI | EM | 6 | Asintomático |
| 10/V/58 | SI | EM | 12 | Asintomático |
En nuestra serie, el schwannoma más pequeño tenía un diámetro de 0.8 cm (caso nº 4), y se localizó en el nervio colateral cubital del cuarto dedo. El tumor de mayores dimensiones, 5 x 3.5 x 2.5 cm, se encontró en el nervio mediano a la altura del antebrazo (caso nº 6). El valor medio del tamaño de la tumoración encontrada en nuestros casos fue de 2.9 cm (entre 0.8 y 5 cm)
Histológicamente, las formas Antoni A y B fueron las más frecuentemente encontradas (n=6). En 3 ocasiones un tipo Antoni A puro, y solamente 1 caso se trató de un tipo Antoni B. Durante la búsqueda específica de estructuras axonales, en estrecha relación de proximidad con el tejido tumoral (tinciones de inmunohistoquímica), encontramos solo en 1 caso (el nº 2) la total desaparición del fascículo de origen, algo realmente infrecuente en este tipo de tumor. Es posible que esto sucediera por degeneración waleriana asociada a la compresión crónica y permanente del nervio.
El seguimiento postoperatorio medio fue de 12 meses (entre 4 y 24 meses) con la mayoría de los pacientes asintomáticos en el momento del alta (n=8), con desaparición de la clínica y del signo de Tinel antes de 3 meses tras la intervención. Solo en 2 casos (los que requirieron reparación mediante injerto nervioso) persistía una paresia parcial a los 12 meses de la cirugía. En estos casos, el electroneurograma postquirúrgico informó de alteración en la velocidad de conducción en los axones del nervio afectado. Uno de los casos presentó recuperación y desaparición progresiva de los síntomas en las consultas sucesivas, aproximadamente a los 2 años de la intervención, normalizando también el trazado del electroneurograma. Solo 1 paciente (el nº 1) presentó secuelas permanentes sin recuperación total de la paresia (Tabla II).
Discusión
El origen de los schwannomas benignos solitarios o multifocales es la célula de Schwann. Se trata del tumor neurogénico de nervio periférico más frecuente, cumpliéndose esta premisa especialmente en el miembro superior, acorde con la casuística encontrada en esta revisión.
En nuestra serie de casos, los pacientes fueron clínicamente diagnosticados de forma errónea y derivados a la consulta de Cirugía Plástica con diagnósticos equivocados, siendo los más frecuentes: lipomas, quistes sinoviales o neurofibromas, acorde con lo expuesto en la literatura.(12) Por su frecuencia, es importante tener presente la sospecha de este tipo de tumor ante la presencia de una tumoración en la extremidad superior.
La teoría expone que histológicamente no deberían existir axones en el centro del tejido tumoral, y por lo tanto ser posible su extirpación quirúrgica sin inducir daño a los fascículos sanos del nervio afectado.(7,8,15) En nuestra serie, sin embargo, la extirpación total manteniendo intacto el nervio periférico solo fue posible en el 80% de los casos. En 2 casos se encontró infiltración de algún o algunos fascículos vecinos, siendo técnicamente imposible la separación de la tumoración del tejido sano y llegando a necesitar incluso la reparación mediante injertos nerviosos por la afectación casi completa del cordón nervioso.
Su etiología es desconocida, aunque están descritos algunos casos aislados de posible asociación con neurofibromatosis tipo 1.(16) En nuestros pacientes no encontramos ningún tipo de asociación con otros tumores de tipo neurogénico o de otra índole.
Como se describe en la literatura, en muchas ocasiones este tipo de tumores son objeto de diagnósticos erróneos.(12) En nuestra serie, 7 casos (70%) fueron remitidos para tratamiento tras ser intervenidos inicialmente por sospecha de neurofibroma (n=2), lipoma (n=2), ganglión (n=2) y absceso axilar (n=1). En la mayoría de los casos, los diagnósticos falsos se realizaron por una insuficiente e inadecuada exploración clínica, pese a que en 1 de ellos se había realizado una TC y en otros 2 una ecografía. Estos estudios fueron informados por Radiología como masas quísticas compatibles con quistes sinoviales.
Como también se describe en la literatura, la prueba diagnóstica que ofrece más seguridad es la RM. En la secuencia T2 las imágenes hipointensas tienen su correlación histológica con las zonas Antoni A. Mediante inyección de contraste intravenoso se puede incluso obtener una valoración muy aproximada del grado de vascularización tumoral, no siendo habitualmente necesario para el diagnóstico salvo que exista alguna duda con otros diagnósticos diferenciales. Por lo tanto, la RM es la prueba de elección tanto para confirmar el diagnóstico como para planificar el tipo de cirugía..(13,14) En nuestra serie, se realizó RM de rutina a los 10 pacientes. Pueden darse casos en los que la RM no resulte absolutamente clarificadora; en esas raras circunstancias se puede realizar una punción-biopsia diagnóstica guiada por ecografía.(14) En nuestra serie no fue necesario recurrir a este procedimiento en ningún caso.
La disección microquirúrgica de los schwannomas y el meticuloso estudio de las muestras, dejaron ver que estos tumores se originan, de acuerdo con su patogenia, en el interior fascicular.(8) Sin embargo, según pudimos comprobar en nuestros casos, a medida que se desarrolla y crece el tumor, pequeños fascículos vecinos pueden ser incluidos en la pseudocápsula tumoral, sin que exista una verdadera cápsula. Es por ello que durante la disección y escisión microquirúrgica se pueden apreciar uno o más fascículos nerviosos en contacto íntimo con el tumor, sin que técnicamente sea posible separarlos y conservarlos durante la cirugía. Esta situación ocurrió en algunos de nuestros casos, siendo necesario resecar la totalidad del nervio y proceder a su reparación mediante injertos de nervio sural.
No nos fue posible determinar, por los hallazgos en la exploración y anamnesis iniciales, si las pérdidas de función neurológica descritas estuvieron originadas por la destrucción directa del tejido nervioso causada por el propio schwannoma, o si por el contrario la clínica estuvo motivada por efecto de una neuropatía comprensiva secundaria al tumor, aunque creemos que la segunda razón podría tener más peso. Una apreciación destacable en nuestros casos es que el mayor tamaño del tumor no se correspondió con una clínica más manifiesta. En la tumoración de mayor tamaño (caso nº6, con 5 cm en el nervio mediano alto), la sintomatología presente era únicamente sensación de presión; mientras que, en tumoraciones pequeñas, como las de los colaterales de los dedos (casos nº 4 y 8), la sintomatología existente era más acusada. Sin embargo, encontramos también tumores pequeños que no producían ningún tipo de sintomatología (caso nº 9, en nervio mediano a nivel de la muñeca). Observando la Tabla I podemos deducir que la sintomatología no parece estar relacionada con el tamaño de la tumoración, sino probablemente con la localización y la capacidad de compresión respecto al conflicto espacial contenido - continente.
Está comprobado que defectos parciales de los nervios periféricos pueden ser causa de síndromes dolorosos y aparición de neuromas; por tanto resulta deseable en todos los casos restablecer la continuidad en base a criterios funcionales.(11,15,17) En nuestra serie fue necesario efectuar en 2 casos una reconstrucción de los fascículos dañados mediante la interposición de injertos nerviosos.
Conclusiones
A pesar de existir grandes masas ocupantes de espacio a nivel intraneural (en nuestra serie con tamaño de hasta 5 cm), los schwannomas pueden producir escasa sintomatología y cuando lo hacen la clínica es local. Los síntomas parecen estar asociados a la localización o existencia de compresión perilesional y no al tamaño de la tumoración.
Errar el diagnóstico en primera instancia es frecuente debido a que los pacientes consultan con profesionales poco habituados a este tipo de patología. El diagnóstico correcto exige la sospecha clínica, generalmente por parte del especialista, que debe ser confirmada por RM. La TC y la ecografía no ofrecen suficiente fiabilidad diagnóstica y pueden provocar gastos innecesarios.
Aunque se trata de tumoraciones benignas pueden comprometer al nervio en su totalidad produciendo gran afectación o secuelas, dependiendo de si dicho nervio es sensitivo, motor o mixto. Cuando exista una lesión total del nervio, sobre todo cuando este es motor o mixto, debería plantearse la viabilidad de la reconstrucción microquirúrgica del fascículo nervioso afectado.
Es necesario advertir al paciente antes de la intervención, dejar constancia por escrito y firmada en un consentimiento preoperatorio donde quede claro que, pese a la realización de una técnica correcta, la existencia de secuelas permanentes es una posibilidad.
Bibliografía
1. Galán-Suárez RM, PÉrez-Franco PA, Ortega-Trejos SV. Schwannoma del nervio mediano:enfoque diagnostic y terapéutico, a propósito de un caso. Cir plást iberolatinoam. 2017;43(4):419-424.
2. Rinaldi E. Neurilemomas and neurofibromas of the upper limb. J Hand Surg. 1983;8(5 Pt 1):590-593.
3. Moretti E, Cal I, Galetto M, Lattante R. Schwannoma de párpado. Cir plást iberolatinoam 2012;38(3):279-283.
4. Murata Y, Kumano K, Ugai K, Ijichi A, Taomoto K, Tani M. Neurilemmomatosis. Br J Dermatol. 1991;125(5):466-468.
5. Gago Vidal B., Casteleiro Roca P., Fernández Gómez, F. Lagos Varela JV. Schwannomatosis de la mano:a propósito de un caso. Revista Maphre Mutua [Internet]. Disponible en:http://www.mapfre.com/fundacion/html/revistas/trauma/v22n1/pag02_05_res.html
6. Sarabia JM, Nicolás G, Carrillo FJ. Schwannomas múltiples de nervio mediano:descripción de un caso. Rev Esp Cir Ortopédica Traumatol. 53(2):120-122.
7. White NB. Neurilemomas of the extremities. J Bone Joint Surg Am. 1967;49(8):1605-1610.
8. Das Gupta TK, Brasfield RD, Strong EW, Hajdu SI. Benign solitary Schwannomas (neurilemomas). Cancer. 1969;24(2):355-366.
9. Aranda M, J F, Larriba Jaime A, Aznárez A, M J. Schwannoma del nervio radial, una localización inusual. Caso clínico. Rev Soc Andal Traumatol Ortop. 2002;22 (2):214-216.
10. Iglesias Porto E, Quiroga Martínez J, Pérez Moreiras MI, González López R. Schwannoma axilar:una localización poco habitual. Cir Esp. 2012;90(8):e29-e29.
11. Kececi Y, Gurler T, Gundogan H, Bilkay U, Cagdas A. Benign giant schwannoma located in the upper arm. Ann Plast Surg. 1997;39(1):100-102.
12. Rockwell GM, Thoma A, Salama S. Schwannoma of the hand and wrist. Plast Reconstr Surg. 2003;111(3):1227-1232.
13. Kumar AJ, Kuhajda FP, Martinez CR, Fishman EK, Jezic DV, Siegelman SS. Computed tomography of extracranial nerve sheath tumors with pathological correlation. J Comput Assist Tomogr. 1983;7(5):857-865.
14. Cerofolini E, Landi A, DeSantis G, Maiorana A, Canossi G, Romagnoli R. MR of benign peripheral nerve sheath tumors. J Comput Assist Tomogr. 1991;15(4):593-597.
15. Lebreton E, Merle M, Maneaud M, Foucher G, Schwartz N, Michon J. [Schwannoma of the peripheral nerves. Their localization and treatment]. Ann Chir Plast Esthet. 1985;30(4):309-315.
16. Moreno Atanasio E, Capellas Sanz L, Tinoco González J, Martínez Escudero C. Neurofibromatosis y schwannoma. A propósito de un caso. Revisión de la literatura. Rehabilitación. 2005;39(2):81-84.
17. Kang HJ, Shin SJ, Kang ES. Schwannomas of the upper extremity. J Hand Surg Edinb Scotl. 2000;25(6):604-607.
Notas de autor
Dirección del autor Dr. Edgar Mauricio Avellaneda Oviedo Servicio de Cirugía Plástica Complejo Hospitalario Universitario de La Coruña C/ As Xubias de Arriba S/N 15009 La Coruña, España Correo electrónico: mauroavellaneda@yahoo.com
Declaración de intereses