NOTA CLÍNICA
Resumen: Presentamos el caso de una niña de nueve años que presenta una tumoración del músculo esternocleidomastoideo en el contexto de un traumatismo con diagnóstico definitivo de piomiositis. El texto repasa la sintomatología, las pruebas complementarias y el tratamiento, así como los principales diagnósticos diferenciales.
Palabras clave: Piomiositis, Staphylococcus aureus, Ecografía, Absceso muscular.
Abstract: We report the case of a nine-year-old girl who presents a post-traumatic sternocleidomastoid swelling with final diagnosis of pyomyositis. Symptomatology, diagnostic tests, treatment and main differential diagnosis are reviewed.
Key words: Pyomyositis, Staphylococcus aureus, Ultrasonography, Muscle abscess.
INTRODUCCIÓN
La piomiositis es una infección aguda que afecta al músculo esquelético estriado, acompañada en ocasiones de abscesificación. Generalmente está causada por Staphylococcus aureus y habitualmente tiene un curso clínico subagudo que retrasa el diagnóstico. La resonancia magnética (RM) es la técnica más sensible para el diagnóstico, sobre todo en estadios precoces. El tratamiento es médico, mediante antibioterapia, pudiendo acompañarse de drenaje en los casos complicados o de mala evolución.
CASO CLÍNICO
Se trata de una niña de nueve años que acude a la consulta de su centro de salud por una tumoración cervical izquierda de dos días de evolución, sin fiebre. Como antecedente, destaca un traumatismo directo en la misma región una semana antes con el manillar de un patinete. En la exploración presenta una tumoración de 4 cm, blanda y móvil, sin signos inflamatorios adyacentes y dolorosa a la palpación. Es diagnosticada de adenitis laterocervical, iniciando tratamiento con amoxicilina-clavulánico oral.
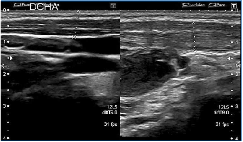
Tras una semana es revisada en consulta, persistiendo el dolor y la tumoración, esta vez indurada, sin otros síntomas acompañantes (Fig. 1), por lo que es derivada a Urgencias de su hospital de referencia, donde se le realiza una ecografía en la que se visualiza una lesión abscesificada subyacente al músculo esternocleidomastoideo (ECM), decidiéndose su ingreso para administrar tratamiento antibiótico intravenoso. Reexplorando a la paciente, se palpa el músculo ECM izquierdo engrosado en toda su extensión, por lo que se decide repetir la ecografía cervical de forma bilateral. El informe indica la presencia de un engrosamiento del músculo ECM izquierdo con respecto al derecho, con alteración de la ecogenicidad, visualizándose dos focos hipoecoicos intramusculares compatibles con piomiositis, así como la presencia de un absceso subyacente de 1,6 × 2,7 cm (Fig. 2).


La paciente permanece en tratamiento intravenoso con cloxacilina y clindamicina durante siete días, presentando una mejoría progresiva de la clínica, y se da de alta en tratamiento con clindamicina oral.
La paciente es nuevamente revisada en consulta 15 días después, presentando a la exploración la persistencia de la tumoración cervical izquierda, aunque de menor tamaño. Se le realiza una nueva ecografía cervical bilateral donde ya no se observan datos sugestivos de piomiositis, pero sí la persistencia del absceso subyacente al músculo, aunque con una reducción significativa de su tamaño. Se mantiene el tratamiento durante cuatro semanas, presentando buena evolución hasta la total resolución del cuadro.
DISCUSIÓN
La piomiositis fue descrita por primera vez por Scriba en 18551 y se conoce comúnmente como piomiositis tropical, debido a que tradicionalmente la mayoría de los casos ocurren en pacientes que viven en áreas tropicales. Sin embargo, en las últimas dos décadas se ha observado un incremento notable del número de casos en países de clima templado como el nuestro, especialmente en pacientes con factores de riesgo como la inmunosupresión (sobre todo por el virus de la inmunodeficiencia humana) o la malnutrición2.
Podemos distinguir entre la piomiositis primaria, cuando se produce por diseminación hematógena sin un foco o puerta de entrada, y la secundaria, cuando se origina a partir de heridas penetrantes, úlceras por decúbito, extensión de infecciones desde tejidos vecinos o por una bacteriemia en el contexto de otro foco infeccioso3. En una serie publicada en el 2000 por Gubbay4, se encuentra antecedente de un traumatismo local en la zona donde posteriormente se desarrolla el absceso en el 25% de los casos. Así, se postula que, en pacientes con bacteriemia transitoria asintomática, la lesión traumática focal facilitaría el asentamiento de los microorganismos en el tejido previamente dañado2.
Las zonas más afectadas suelen ser los músculos de los miembros inferiores (cuádriceps femoral y glúteos) y del tronco (psoas-iliaco), siendo muy infrecuente la afectación del ECM, como es el caso presentado2,3.
El microorganismo que con más frecuencia ocasiona esta entidad es S. aureus, que se identifica en el 90% de los casos en países tropicales y en el 75% en aquellos de clima templado. Le sigue Streptococcus pyogenes, que es responsable del 1-5% de los casos, provocando en ocasiones un cuadro más agudo y grave, acompañado de necrosis muscular. Otras bacterias también implicadas son Streptococcus pneumoniae y diversas enterobacterias y hongos como Candida albicans, que deberíamos valorar ante situaciones de mala evolución2,3,4,5,6.
El cuadro clínico típico de la piomiositis puede dividirse en tres etapas:
Estadio I o etapa invasora: fiebre variable, escasa tumefacción local con o sin eritema, dolor leve e hipersensibilidad mínima a la palpación. Suele pasar inadvertido. Si se intenta aspirar la lesión no se obtendrá pus. Solo un 2% de los pacientes la presentan cuando consultan.
Estadio II o etapa supurativa: entre 10 y 21 días más tarde. Suele existir leucocitosis elevada y fiebre, con mayor tumefacción e hipersensibilidad local. Si se intenta aspirar la lesión, probablemente se obtendrá pus, pues el absceso generalmente ya se ha formado.
Estadio III o etapa séptica: puede aparecer sepsis, eritema, dolor intenso a la palpación y fluctuación. Además, es la etapa donde pueden ocurrir las complicaciones que incluyen endocarditis, abscesos cerebrales, neumonía, pericarditis, shock, artritis séptica y fallo renal agudo7.
Es más frecuente el diagnóstico durante la etapa II, debido a que los síntomas clínicos y analíticos son inespecíficos al inicio. En la mayoría de las ocasiones encontraremos la creatinofosfocinasa (CPK) en valores normales, lo que nos ayudará al diagnóstico diferencial con otros procesos en los que sí se altera, mientras que su ascenso nos hará sospechar cuadros más evolucionados con destrucción muscular2,8. Los hemocultivos ofrecen una rentabilidad cercana al 10% en las piomiositis tropicales y algo superior, en torno al 35%, en las de clima templado. Por otra parte, el cultivo del exudado en caso de drenaje de la lesión antes del inicio del tratamiento médico puede ser de ayuda para realizar una antibioterapia dirigida5,7.
Respecto a las pruebas de imagen, la RM es la técnica de elección puesto que nos permite delimitar la lesión, así como detectar inflamación muscular incluso antes de que se formen abscesos; sin embargo, la ecografía por su bajo coste, inocuidad y amplia distribución, excepto en las etapas iniciales, permite detectar abscesos y puede ser suficiente para realizar un diagnóstico definitivo, como en nuestro caso8,9.
El diagnóstico diferencial principal de la piomiositis debe realizarse con cuadros que afectan al músculo, como la fascitis necrotizante, la gangrena gaseosa y las miositis virales, o con entidades que presentan un cuadro clínico similar, como trombosis venosa profunda, hematomas musculares, apendicitis, artritis séptica de cadera, enfermedad de Perthes, osteomielitis, adenitis infecciosa o sarcoma de tejidos blandos, entre otros2,3,4,5,6,7.
El tratamiento va a estar relacionado directamente con el estadio al diagnóstico, de forma que en estadios precoces la antibioterapia intravenosa puede ser suficiente sin necesidad de drenaje. Inicialmente debe instaurarse un tratamiento con buena cobertura frente a S. aureus, siendo de elección la cloxacilina o una cefalosporina de primera generación. En caso de sospechar una infección estreptocócica, la mejor opción sería la penicilina G. Por otro lado, para pacientes con mal estado general o inmunocomprometidos, la antibioterapia ha de ser más amplia, cubriendo microorganismos anaerobios y gramnegativos, añadiendo a la cloxacilina clindamicina y un aminoglucósido.
En estos casos la duración total de la antibioterapia no está bien establecida, y debe guiarse por el estadio al diagnóstico, así como la evolución clínica, analítica y radiológica, recomendándose al menos entre 3-6 semanas.
En los casos que requieran drenaje, generalmente se realizará guiado por ecografía y tendrá tanto una finalidad terapéutica como para el diagnóstico microbiológico, ayudando a establecer la antibioterapia más apropiada2,4.
CONCLUSIÓN
La piomiositis es una infección infrecuente en niños y de difícil diagnóstico precoz. Puede afectar a cualquier músculo, aunque predomina en los miembros inferiores y es importante tener en cuenta los factores de riesgo o antecedentes traumáticos. La prueba diagnóstica de mayor utilidad es la RM, sin embargo, si hay absceso, la ecografía suele ser suficiente y sirve de guía para el drenaje en los casos requeridos. El tratamiento depende del estadio al diagnóstico de la infección, instaurándose en todos los casos antibioterapia antiestafilocócica y estreptocócica por vía parenteral.
BIBLIOGRAFÍA
1. Scriba J. Beitrag zun aetiologie der myositis acute. Dtsch Z Chir. 1885;22:497.
2. Llorente Otones L, Vázquez Román S, Íñigo Martín G, Rojo Conejo P, González Tomé MI. Piomiositis en los niños: no solo una enfermedad tropical. An Pediatr (Barc). 2007;67:578-81.
3. Moralejo-Alonso L, Alonso-Claudio G. Piomiositis. Med Clin (Barc). 2005;125:666-70.
4. Gubbay A, Isaacs D. Pyomiositis in children. Pediatr Infect Dis J. 2000;19:1009-12.
5. Cavagnaro F, Rodríguez J, Eugenia Arancibia M, Walker B, Espinoza A. Piomiositis en niños. Reporte de dos casos. Rev Chilena Infectol. 2013;30:81-5.
6. Rodríguez Ogando A, Fernández López T, Huerta Aragonés J, Navarro Patiño N, Bertó Portoles J, Navarro Gómez ML, et al. Piomiositis primaria en un niño: difícil diagnóstico inicial. A propósito de un caso y revisión de la bibliografía. Acta Pediatr Esp. 2008;66:464-7.
7. Baddour LM, Keerasuntornpong A. Pyomyositis. En: UpToDate [en línea] [consultado el 14/07/2016]. Disponible en Disponible en http:// www.uptodate.com/contents/pyomyositis
8. Rubben SG. Ultrasonography of musculoskeletal infections in children. Eur Radiol. 2004;14:65-77.
9. Mitsionis G, Manoudis G, Lykissas M, Sionti I, Motsis E, Gerogoulis A, et al. Pyomyositis in children: early diagnosis and treatment. J Ped Surg. 2009;44:2173-8.
Glosario
CPK: creatinfosfocinasa
ECM: músculo esternocleidomastoideo
RM: resonancia magnética.
Notas
Notas de autor
Manuel Vargas Pérez: vargasperezm@gmail.com
Declaración de intereses