Casos clínicos. Cardiología
Miocardiopatía hipertrófica: pistas en el electrocardiograma
Hypertrophic cardiomyopathy: clues in the electrocardiogram
Miocardiopatía hipertrófica: pistas en el electrocardiograma
Pediatría Atención Primaria, vol. XXV, no. 99, pp. e101-e104, 2023
Asociación Española de Pediatría de Atención Primaria
Resumen: Continuamos con la serie de casos clínicos en Cardiología Pediátrica revisando los motivos de consulta frecuentes en las consultas de Pediatría de Atención Primaria, presentados de forma breve y práctica y tratando de mostrar la utilidad del electrocardiograma, método diagnóstico del que disponemos en Atención Primaria. En esta ocasión se presenta el caso de un adolescente de 15 años que acude a consulta de Cardiología para valoración por detección de un soplo cardiaco. Se discuten los hallazgos electrocardiográficos, ecográficos y la orientación en el manejo de este paciente.
Palabras clave: Electrocardiograma, Hipertrofia ventricular, Miocardiopatía.
Abstract: We continue with the series of clinical cases in Pediatric Cardiology reviewing the frequent reasons for consultation in Primary Care Pediatrics, presented in a brief and practical way and trying to show the usefulness of the electrocardiogram, a diagnostic method available in Primary Care. In this issue we present the case of a 15-year-old adolescent who attended a cardiology consultation for evaluation of a heart murmur. We discuss the electrocardiographic and echographic findings and the orientation in the management of this patient.
Key words: Cardiomyopathy, Electrocardiogram, Ventricular hypertrophy.
CASO CLÍNICO
Acude a consulta un adolescente de 15 años remitido desde Urgencias por la detección de un soplo cardiaco durante una consulta por fiebre y odinofagia. No presenta antecedentes médico-quirúrgicos personales de interés, ni antecedentes familiares de cardiopatía. Refiere vida activa, hace deporte sin fatiga ni disnea. Refiere no haber presentado dolor torácico, ortopnea, edemas o síncopes.
A la exploración física presenta buen estado general. Peso 87 kg y talla 175 cm. Tensión arterial en miembro superior derecho 121/74 mmHg, frecuencia cardiaca 90 lpm. Tórax normoconfigurado. Auscultación cardiaca rítmica, soplo sistólico eyectivo I/VI en borde esternal izquierdo con 2.º tono normal. Abdomen blando, depresible, sin masas ni megalias. Pulsos femorales normales.
Se realiza un electrocardiograma (Fig. 1):

Ritmo sinusal (onda P positiva en I, II y aVF) a 110 latidos por minuto.
El eje del QRS es normal, situándose entre 0° y 90° (al ser positivo en I y aVF).
El complejo QRS es de duración (2 mm = 0,08 s) y morfología normal), sin ondas Q patológicas, puesto que la profundidad de las ondas Q están dentro de los límites normales y son estrechas (menos de 0,03 s).
Onda P normal.
Intervalo PR de 3,5 mm (0,14 s), normal (límites normales para 15 años entre 0,10 y 0,18 s).
El intervalo QT corregido por frecuencia cardiaca mediante la fórmula de Bazett (resulta de dividir el intervalo QT en segundos por la raíz cuadrada del intervalo RR previo también en segundos) es de 0,43 s, normal.
Presenta voltajes marcadamente aumentados sugestivos de crecimiento de ventrículo izquierdo (R en V6 24 mm, S en V2-3 22 mm). Los hallazgos sugestivos de hipertrofia ventricular izquierda son: R en V6 >p98, S en V1 >p98, onda Q >4 mm en V5 o V6, R en V1 por debajo de percentil 5 o desviación del eje a la izquierda (cumple varios de los criterios). En la Tabla 1 se adjuntan los valores de la media y el p98 (en mm) según la edad de los voltajes de las ondas R y S1.

Además, se aprecia una alteración inespecífica pero significativa de la repolarización con T bifásica/negativa de V4 a V6 y negativa en III y aVF. La onda T en las derivaciones precordiales normalmente son negativas de V1 a V3, desde los 7 días hasta aproximadamente los 10 años, y positivas siempre en V5 y V6. El hallazgo de ondas T negativas en las precordiales izquierdas es anormal y se debe investigar.
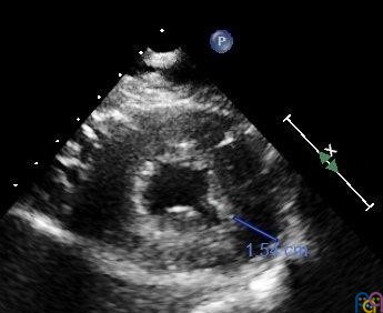
Ante estos hallazgos se realiza una ecocardiografía donde destaca una hipertrofia del ventrículo izquierdo con septo interventricular con engrosamiento medioseptal hasta 13 mm (Z + 4,3) (Fig. 2). No dilatación de cavidades con función biventricular conservada. Tractos de salida libres, sin obstrucción del tracto de salida del ventrículo izquierdo. El resto de la anatomía y función cardiaca no presenta alteraciones.

Ante el diagnóstico de miocardiopatía hipertrófica no obstructiva (confirmado por la ecocardiografía) asintomática, se solicita estudio genético, ergometría, holter y resonancia cardiaca para estratificación de riesgo. Además, por ahora, se desaconseja la realización de deporte de competición hasta completar todas las pruebas; puede mantener el recreativo. Se recomienda también estudio familiar.
COMENTARIOS
La miocardiopatía hipertrófica (MCH) se define por la presencia de aumento del grosor de la pared del ventrículo izquierdo que no se puede explicar únicamente por condiciones de carga anómalas (anomalías valvulares, hipertensión, cardiopatías congénitas)2.
La prevalencia de MCH en niños es desconocida, pero los estudios poblacionales indican una incidencia anual de 0,3-0,5 por 100 000 habitantes3. En adultos es bastante frecuente, 1/600 pacientes (dada la gran heterogeneidad de la enfermedad y su diagnóstico puramente fenotípico).
Aproximadamente el 40-60% de los casos se debe a un rasgo autosómico dominante causado por mutaciones en genes de proteínas sarcoméricas cardiacas. El resto de los casos se deben a causas genéticas y no genéticas como los errores congénitos del metabolismo, enfermedades neuromusculares o mitocondriales, uso de fármacos, etc.
El diagnóstico de MCH requiere la detección de engrosamiento de la pared del VI que mayor de 2 desviaciones estándar por encima de la media (z-score >2). En un adulto, la MCH se define por un grosor de la pared ≥15 mm en uno o más segmentos miocárdicos del VI, determinado por cualquier técnica de imagen (o >13 con antecedentes familiares)3. A su vez, la ecocardiografía permite valorar otros parámetros como la función sistólica y diastólica, la obstrucción del tracto de salida del ventrículo izquierdo o el patrón de hipertrofia, entre otros.
El electrocardiograma puede mostrar datos de hipertrofia de ventrículo izquierdo junto con anomalías en la repolarización, así como ondas Q patológicas, por lo que se recomienda su realización en todos los pacientes con sospecha de MCH. Estas alteraciones en el electrocardiograma pueden preceder a las alteraciones en la ecocardiografía4.
El pronóstico es variable, dependiente en gran medida de la causa de la hipertrofia. La forma de manifestación inicial en muchos adolescentes y adultos jóvenes es la muerte súbita, por lo que es fundamental la estratificación del riesgo de muerte súbita que se realiza teniendo en cuenta factores clínicos y ecocardiográficos, la respuesta de la presión arterial al ejercicio, la presencia de taquicardia ventricular no sostenida o los antecedentes personales y familiares previos de parada cardiorrespiratoria y arritmias.
El manejo y tratamiento de estos pacientes depende de muchos factores, sobre todo de la presencia de síntomas y de obstrucción del tracto de salida del ventrículo izquierdo. Los betabloqueantes son el tratamiento de primera elección ante la presencia de síntomas, reservándose el tratamiento quirúrgico (miectomía) o la ablación septal con alcohol para casos muy seleccionados sin respuesta al tratamiento farmacológico.
Este caso es importante por las alteraciones visibles en el ECG y que no pueden pasar desapercibidas para un pediatra: criterios de hipertrofia del ventrículo izquierdo y ondas T negativas en V5-V6.
References
Pérez-Lescure Picarzo J. Guía rápida para la lectura sistemática del ECG pediátrico. Rev Pediatr Aten Primaria. 2006;8(3):19-26.
Moak JP, Kaski JP. Hypertrophic cardiomyopathy in children. Heart. 2012;98(14):1044–54.
Elliott PM, Anastasakis A, Borger MA, Borggrefe M, Cecchi F, Charron P, et al. Comentarios a la guía de práctica clínica de la ESC 2014 sobre el diagnóstico y manejo de la miocardiopatía hipertrófica. Una vision crítica desde la cardiología española. Rev Esp Cardiol. 2015;68(1):4-9.
Centeno F, Alcalde C. Miocardiopatías. Pediatr Integral. 2016;XX(8):548-58.
Glossary
ECG: electrocardiograma
MCH: miocardiopatía hipertrófica.
Referencia para citar este artículo:
CONFLICTO DE INTERESES
RESPONSABILIDAD DE LOS AUTORES