Caso clínico
Síndrome de Barré-Lieou en un anciano
Barre-Lieou syndrome in an elderly
Síndrome de Barré-Lieou en un anciano
MEDISAN, vol. 23, núm. 5, pp. 942-950, 2019
Centro Provincial de Ciencias Médicas
Recepción: 17 Septiembre 2018
Aprobación: 14 Mayo 2019
RESUMEN: Se describe el caso clínico de un anciano de 85 años de edad a quien se le diagnosticó síndrome de Barré-Lieou en el Hospital Provincial General Docente Dr. Antonio Luaces Iraola de Ciego de Ávila, por lo cual fue atendido en consultas multidisciplinarias. Mediante la radiografía contrastada del esófago se observó compresión extrínseca de su tercio distal por grandes osteofitos cervicales anteriores, así como estrechamiento anterior y posterior desde la cuarta hasta la séptima vértebras cervicales; asimismo, las imágenes de la resonancia magnética de cráneo y columna cervical permitieron comprobar la presencia de complejos disco-osteofitos de vértebras cervicales con edema óseo, de carácter compresivo. Se comenta sobre el tratamiento empleado y se ofrecen las sugerencias terapéuticas de los expertos en el tema.
Palabras clave: anciano, síndrome de Barré-Lieou, síndrome del simpático vertebral posterior, arteria vertebral.
ABSTRACT: The case report of a 85 years elderly to whom the Barré-Lieou syndrome was diagnosed in Dr. Antonio Luaces Iraola Teaching General Provincial Hospital in Ciego de Ávila is described, reason why he was assisted in multidisciplinary visits. By means of the contrasted x-ray of the esophagus, extrinsic compression of his distal third was observed caused by huge anterior cervical osteophytes, as well as early and posterior narrowing of the fourth to the seventh cervical vertebrae; also, the magnetic resonance images of skull and cervical spine allowed to check the presence of disk-osteophytes complexes of cervical vertebrae, with bony edema, of compressive character. It is commented on the used treatment and the therapeutic indications of experts in the topic are offered.
Key words: elderly, Barré-Lieou syndrome, posterior vertebral sympathetic syndrome, vertebral artery.
Introducción
El síndrome de Barré-Lieou, también conocido como síndrome de la arteria vertebral, síndrome cervicocraneal, síndrome cervicoencefálico, enfermedad de la columna cervical alta, jaqueca cervical o síndrome del simpático cervical posterior, es una rara condición descrita independientemente por el neurólogo francés Dr. Jean Alexander Barré en 1926 y por su discípulo chino, Dr. Yong Choen Lieou en 1928, con vasoconstricción refleja en el sistema vértebro-basilar, la arteria auditiva interna, presión externa excesiva del segmento vertebral y alteraciones del flujo sanguíneo normal.1,2,3,4 Estos doctores enumeraron una variedad de síntomas y signos originados más por acción irritativa, que ocasionaban isquemia de la arteria vertebral, que por acción compresiva vascular, causada por los fenómenos osteofíticos.5,6
Al respecto, en la bibliografía médica consultada para la elaboración de este artículo no se encontraron casos publicados en Cuba. Teniendo en cuenta que es un síndrome de excepcional aparición, que puede confundirse con otras afecciones más frecuentes, y por el escaso conocimiento que poseen sobre este los estudiantes de medicina y algunos médicos noveles, se comparten estos hallazgos con comunidad médica en general con el fin de ampliar el nivel de conocimientos sobre esta enfermedad y perfeccionar la calidad científica de los investigadores.
Caso clínico
Se describe el caso clínico de un anciano de 85 años de edad, con antecedentes de diabetes mellitus desde hacía más de 40 años, para la cual llevaba tratamiento con glibenclamida e insulina lenta, y glaucoma de ángulo estrecho hacía 4 años aproximadamente, de manera que se mantenía con seguimiento en las consultas de Medicina Interna y Neuroftalmología. Se le diagnosticó retinopatía avanzada y recibió múltiples tratamientos que incluían laserterapia.
En los últimos 6 años ha venido presentando disfagia, con empeoramiento progresivo, y ha padecido episodios de cefalea pulsátil recurrente, intensa, que alterna en las regiones frontoparietal derecha e izquierda, con proyección ocular bilateral, de difícil alivio con analgésicos. Durante las crisis presenta manifestaciones clínicas variadas, entre las cuales figuran: desorientación, agresividad, agitación psíquica, confusión mental, vértigo, vómito, trastornos del equilibrio, ansiedad, depresión, disminución de la concentración y de la memoria, así como manifestaciones vasomotoras, fatiga, dolor ocular y en la nuca, vahídos, acúfenos, hipoacusia, escotoma, visión borrosa, hipersensibilidad corneal, limitación de los movimientos de la columna y exacerbación del cuadro neurológico en posiciones específicas, todo lo cual se ha hecho más frecuente en los últimos 6 meses.
Exámenes complementarios
Hemoglobina: 12,2 g/L; leucocitos 6,0x109/L; colesterol: 2,6 mmol/L; triglicéridos: 1,6 mmol/L; transaminasa glutámico pirúvica: 4,5 U/L; creatinina: 81 mmol/L; ácido úrico: 269 mmol/L.
Ecografía abdominal y renal: Se observó aorta ateromatosa, de buen calibre, además de quiste en polo superior de riñón derecho de 10,4x9,1 cm, que crecía hacia afuera.
Ecocardiograma: Contractilidad cardíaca global y segmentaria conservadas, cambios degenerativos de la aorta.
Tomografía axial computarizada simple de cráneo: Signos de atrofia cerebral difusa.
Tomografía axial computarizada simple de cráneo (3 años después): Imagen hipodensa de 26x29 mm en la región temporoparietal derecha, signos de atrofia cerebral y calcificaciones de la glándula pineal y de los plexos coroideos. Impresión diagnóstica: accidente vascular isquémico antiguo.
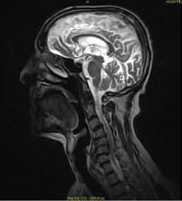
Resonancia magnética nuclear de cráneo y de columna cervical, secuencias sagital, transversal y mielocoronal: Se observaron cambios en la intensidad de señales a nivel de la sustancia blanca periventricular y en centros semiovales, sugestivo de isquemia en esos territorios, además de aumento de los espacios subaracnoideos corticales, compatible con atrofia cortical, con dilatación ventricular compensatoria y cambios osteodegenerativos con formación de osteofitos marginales cervicales anteriores y posteriores, estrechamiento de los espacios intervertebrales y deshidratación de los discos. Por otra parte, se visualizaron complejos disco-osteofitos en las vértebras C3, C4 y C5, que comprimían la columna de líquido, y en C5, C6 y C7, que provocaban supresión de esta. En secuencia de mielo existía borramiento total derecho e izquierdo, además de imagen hipointensa en cuerpos vertebrales C6 y C7, compatible con edema óseo y compresión anterior del saco dural, con estenosis del canal (Fig.1.).
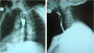
Esofagograma: El esófago cervical se encontraba opacificado en toda su extensión, con compresión extrínseca en su tercio distal por osteofitos anteriores de gran tamaño en las vértebras C4, C5, C6 y C7; también se observó estrechamiento anterior y posterior desde C4-C7 y esófago torácico opacificado totalmente con diámetro normal hasta su entrada en el estómago (Fig.2.).


El paciente recibió una atención multidisciplinaria y se discutió el caso en conjunto con especialistas en Otorrinolaringología, Gastroenterología, Ortopedia y Neurocirugía. Se indicó tratamiento combinado con varios ciclos de los medicamentos siguientes:
Analgésicos no opioides: metamizol sódico-300 mg (600 mg cada 8 horas)
Analgésicos opioides: codeína- 30 mg (30 mg cada 4 horas) y tramadol -50 mg (100 mg diario)
Antiinflamatorios no esteroideos: indometacina-25 mg (150 mg diario) e ibuprofeno- 400 mg (entre 200 y 400 mg cada 8 horas)
Esteroides: prednisolona-20 mg (inicialmente 60 mg diario con ajuste posterior de la dosis)
Ansiolíticos: medazepam- 10 mg (20 mg diario)
Antidepresivos tricíclicos: amitriptilina-25 mg (dosis única por la noche al acostarse)
Antieméticos: domperidona-10 mg (30 mg diario)
Antihistamínicos: meclizina clorhidrato-25 mg (50 mg diario)
Anticolinérgicos: metilbromuro de homatropina una cucharadita (0,30 mg cada 6 horas)
También se emplearon otras alternativas terapéuticas como fisioterapia con magnetoterapia y técnicas de acupuntura
Aunque la opción quirúrgica es una decisión definitiva que ofrece resultados clínicos favorables, se valoró colectivamente el alcance de riesgo o beneficio y se decidió diferir este proceder, teniendo en cuenta la edad avanzada del paciente, el padecimiento de enfermedades crónicas y el deterioro de su salud. Actualmente el anciano se encuentra estable y evoluciona con crisis de agudización de los síntomas ya descritos, que cada vez se hacen más frecuentes y difíciles de controlar. Finalmente se le diagnosticó síndrome de Barré-Lieou.
Comentarios
La arteria vertebral es el primer ramo de la arteria subclavia izquierda, que parte hacia arriba en el espacio existente entre los músculos escaleno anterior y largo del cuello. Se dirige hacia el agujero transverso de la sexta vértebra cervical y se eleva a través de los agujeros transversos hasta la membrana occipitoatlantoidea posterior; después de perforarla penetra en el cráneo por el agujero magno. En la cavidad craneal las arterias vertebrales, izquierda y derecha se unen en la línea media y se fusionan en un solo tronco arterial impar cerca del borde posterior del puente, el tronco basilar.
En estudios recientes y en otros textos consultados se describe que las neoformaciones osteofíticas vertebrales comprimen y deforman el vaso e irritan las terminaciones simpáticas, de modo que ocasionan vasoconstricción. Este fenómeno es el mecanismo fisiopatogénico que explica la aparición del síndrome de Barré-Lieou. Por otra parte se señala que también pueden contribuir otros factores, tales como la placa de ateroma y anomalías de la arteria vertebral y de su anastomosis con otros territorios, además de varios síntomas que incluyen: vértigo, tinnitus, vómito, entumecimiento, acaloramiento y edema facial, obstrucción nasal, disfonía, pérdida de la voz, congestión nasal, parestesias, palpitaciones, lagrimeo, visión borrosa, cefalea, hipomnesia, nistagmo, así como manifestaciones dolorosas en la faringe, la nariz, el oído y en la arcada dental.7,8,9,10
Dadas las condiciones anteriores, se han propuesto diferentes opciones terapéuticas para los afectados, tales como analgésicos, antiinflamatorios, anestésicos, psicofármacos, simpaticolíticos, correcciones posturales, masajes y magnetoterapia, varios de ellos usados en el caso presentado, aunque generalmente solo ofrecen una mejoría transitoria.
Algunos expertos en el tema refieren que el tratamiento definitivo para las personas que padecen este síndrome es la proloterapia, que fortalece los ligamentos que estabilizan las vértebras cervicales y favorece la desaparición de los síntomas gradualmente.7 El tratamiento quirúrgico es una decisión terapéutica del personal especializado, quien siempre valorará el riesgo-beneficio.
El síndrome de Barré-Lieou, poco difundido en la bibliografía médica actual, debe sospecharse en personas con afectaciones relacionadas con enfermedades de la columna cervical. La correcta observación de la variedad de síntomas que estas ocasionan y la realización de estudios imagenológicos de alta definición son de gran valor para el diagnóstico. Se insiste en el estudio de esta entidad nosológica para que casos como este no pasen inadvertidos.
Referencias bibliográficas
1. Cossu G, Terrier LM, Destrieux Ch, Velut S, Francois P, Zemmoura I, et al. Arcuate foramen: "Anatomical variation shape or adaptation legacy?". Surg Radiol Anat. 2019 [citado 02/08/2018]; 41:583-8. Disponible en: https://link.springer.com/article/10.1007%2Fs00276-019-02186-y
2. Valda Rodrigo J, Benito Orejas JI, Alonso Vielba-Varea J. Revisión sobre el vértigo cervical. Rev ORL. 2018 [citado 12/08/2018]; 9(2):97-104. Disponible en: https://dialnet.unirioja.es/servlet/articulo?codigo=6487578
3. Sun Y, Muheremu A, Tian W. Atypical symptoms in patients with cervical spondylosis: Comparison of the treatment effect of different surgical approaches. Medicine (Baltimore). 2018 [citado 12/08/2018]; 97(20):1-4. Disponible en: https://www.ncbi.nlm.nih.gov/pmc/articles/PMC5976300/
4. Takahashi S. Importance of cervicogenic general dizziness. J Rural Med. 2018 [citado 12/08/2018]; 13(1):48-56. Disponible en: https://www.ncbi.nlm.nih.gov/pmc/articles/PMC5981019/
5. Barré JA. Sur un syndrome sympathique cervical postérieur et sa cause frequente, l' arthrite cervicale. Revue Neurologique, Paris.1926;1:1246-8.
6. Peng B. Cervical vertigo: historical reviews and advances. World Neurosurg. 2017 [citado 12/08/2018]; 109:347-50. Disponible en: https://www.sciencedirect.com/science/article/pii/S1878875017317904
7. Leiserson R. Cervico-cefaleas: diagnóstico y tratamiento. IntraMed J. 2013 [citado 12/08/2018]; 2(2):1-8.
8. Shin S, Kim J, Yu A, Sik Seo H, Shin MR, Hong SU, et al. Can a traditional Korean manual therapy be a complementary and alternative strategy for cervicogenic dizziness? A study protocol for a randomized controlled trial. Evidence-Based Complementary Alternative Med. 2018 [citado 12/08/2018]; 2018:1-9. Disponible en: http://downloads.hindawi.com/journals/ecam/2018/1062593.pdf
9. Tanaka N, Atesok K, Nakanishi K, Kamei N, Nakamae T, Kotaka S, et al. Pathology and treatment of traumatic cervical spine syndrome: whiplash injury. Adv Orthop. 2018 [citado 12/08/2018];2018. Disponible en: https://www.hindawi.com/journals/aorth/2018/4765050/abs/
10. Li Y, Peng B. Pathogenesis, diagnosis, and treatment of cervical vertigo. Pain Physician. 2015 [citado 12/08/2018];18(4). Disponible en: https://www.ncbi.nlm.nih.gov/pubmed/26218949
Notas de autor
*Autor para la correspondencia. Correo electrónico: jorgej@infomed.sld.cu