Caso clínico
Urinotórax en una paciente con cáncer de pulmón y un segundo tumor primario
Urinothorax in a patient with lung cancer and a second primary tumor
Urinotórax en una paciente con cáncer de pulmón y un segundo tumor primario
MEDISAN, vol. 23, núm. 6, pp. 1082-1091, 2019
Centro Provincial de Ciencias Médicas
Recepción: 01 Abril 2019
Aprobación: 04 Septiembre 2019
RESUMEN: Se describe el caso clínico de una paciente de 51 años de edad con antecedente de neoplasia de pulmón derecho, para lo cual recibió tratamiento con quimioterapia. Aproximadamente 3 años después comenzó a presentar dolor tipo cólico en flanco y fosa lumbar izquierdos acompañado de caída del volumen urinario, por lo que fue atendida en el Hospital General Docente Dr. Juan Bruno Zayas Alfonso de Santiago de Cuba donde se le diagnosticó cáncer de cuello uterino, etapa IIIB. Se efectuó nefrostomía percutánea izquierda y el nivel del derrame pleural desapareció al transcurrir una semana. La paciente egresó con adecuada diuresis y cifras normales de creatinina; posteriormente se le indicó radioterapia contra el cáncer ginecológico.
Palabras clave: derrame pleural, urinotórax, cáncer de pulmón, cáncer ginecológico.
ABSTRACT: The case report of a 51 years patient with a history of neoplasm in the right lung is described, for which she received treatment with chemotherapy. Approximately 3 years later she began to present colic type pain in left flank and lumbar cavity accompanied by fall of the urinary volume, reason why she was assisted in Dr. Juan Bruno Zayas Alfonso Teaching General Hospital in Santiago de Cuba where she was diagnosed cervical cancer, stage IIIB. Left percutaneous nephrostomy was made and the level of pleural effusion disappeared within a week. The patient was discharged with appropriate diuresis and normal figures of creatinine; later on radiotherapy was indicated against the gynecological cancer.
Key words: pleural effusion, urinothorax, lung cancer, gynecological cancer.
Introducción
El urinotórax es una causa infradiagnosticada de pleuresía, atribuible al bajo índice de sospecha y la rápida resolución del cuadro, tras la descompresión de la vía urinaria. Las características bioquímicas del líquido pleural dependen de la orina y la modificación que esta sufre cuando pasa al espacio pleural. El diagnóstico estriba en una razón mayor a 1,0 de la creatinina del líquido pleural sobre la creatinina sérica.1
De hecho, el urinotórax se define como la presencia de orina en el espacio pleural. Fue descrito por Corriere et al2 en 1968; desde entonces son muy pocos los casos que se han publicado en la bibliografía médica. Está considerada como una rara causa de derrame pleural, secundaria generalmente a uropatía obstructiva. Probablemente no se diagnostica adecuadamente en la práctica clínica habitual por no tenerse en cuenta en el diagnóstico diferencial del derrame pleural.3
Entre sus causas se mencionan: uropatía obstructiva, traumatismo abdominal con afectación de la vía urinaria, procesos inflamatorios y/o malignos retroperitoneales, litotricia, nefrostomía no funcionante y biopsia renal. Desde el punto de vista de la fisiopatología, se produce a consecuencia de una fuga de orina al espacio perirrenal con formación de urinoma o sin ella y desde allí puede desplazarse al espacio pleural ipsilateral por 3 mecanismos: ruptura del urinoma al espacio pleural (fistula), absorción del urinoma a través de linfáticos subdiafragmáticos y movimiento de la orina a través del hiato o defectos diafragmáticos.4
Generalmente, en el cuadro clínico priman los síntomas urológicos; puede existir fiebre y dolor abdominal o lumbar, derrame pleural unilateral o bilateral con predominio del primero.5) El diagnóstico se basa en los resultados del rayos X de tórax, la ecografía renal y la tomografía axial computarizada (TAC) abdominal, así como la toracocentesis y el estudio del líquido pleural que determina el cociente creatinina pleural y creatinina sérica, el cual si resulta mayor que 1, avala dicho diagnóstico. EL tratamiento se basa en la desobstrucción técnica o quirúrgica de la vía urinaria.6 La recurrencia de un urinotórax indica que existen grandes probabilidades de presentar un sistema colector urinario inadecuadamente drenado, situación que deberá ser estudiada y tratada con inmediatez.
Caso clínico
Se describe el caso clínico de una paciente de 51 años de edad, con antecedentes patológicos personales de neoplasia de pulmón derecho, variedad histológica tipo adenocarcinoma moderadamente diferenciado, etapa IIIB, quien recibió tratamiento con quimioterapia sistémica (4 ciclos con paclitaxel y carboplatino) y radioterapia al tórax, de lo cual se obtuvo la respuesta evolutiva de enfermedad estable. Se mantuvo en seguimiento y recibió la vacuna antiidiotípica Racotumomab, según el protocolo sugerido para su uso. Aproximadamente 3 años después comenzó a presentar dolor tipo cólico en flanco y fosa lumbar izquierdos acompañado de caída del volumen urinario.
Al examen físico se encontraron las siguientes alteraciones:
- Mucosas: ligeramente hipocoloreadas y húmedas
- Sistema respiratorio: tipo respiratorio abdominal (invertido, por tratarse de una mujer) disminución de la expansibilidad torácica en el tercio inferior del hemitórax izquierdo, frecuencia respiratoria 25 / minutos (taquipnea)
Palpación: disminución de la expansibilidad torácica y vibraciones vocales abolidas en el tercio inferior del hemitórax izquierdo
Percusión: matidez en el tercio inferior del hemitórax izquierdo
Auscultación: murmullo vesicular disminuido globalmente, abolido en el tercio inferior del hemitórax izquierdo
- Sistema urinario
Palpación: puntos pielorrenoureterales posteriores izquierdos, costo vertebral y costo muscular dolorosos
Puño percusión: dolorosa en fosa lumbar izquierda
Teniendo en cuenta los resultados antes expuestos se decide ingresar a la paciente para realizar los siguientes estudios complementarios y procedimientos:
Hemograma completo
Hemoglobina: 103 g/L; hematocrito: 0,34 l/L
Leucocitos: 11,0 x 109/L ; neutrofilos: 88 % ; linfocitos: 10 %; eosinófilos: 2 %
Plaquetas: 292 x 109/L
Velocidad de sedimentación globular (VSG): 41 mm/h
Lactato deshidrogenasa (LDH):137 U/L
Glucemia: 6,2 mmol/L
Proteínas totales: 61 g/L; albumina: 27 g/L ; globulinas: 34 g/L
Transaminasa glutámico pirúvica (TGP): 27 U/L
Transaminasa glutámico-oxalacética (TGO): 20 U/L
Gammaglutamiltransferasa (GGT): 32 U/L
Fosfatasa alcalina: 232 U/L
Bilirrubina total: 3,6 mmol/L; directa: 3,5 mmol/L ; indirecta: 0,1mmol/L
Coagulograma: coágulo retráctil
Tiempo de sangrado: 1 min; tiempo de coagulación: 7 1/2 min
Calcio: 2,2 mmol/L
Fósforo: 1,1 mmol/L
Serología VDRL: negativa
Creatinina: 250 u mol/L (inicial)
Creatinina: 169 u mol/L (evolutiva)
Creatinina: 115 u mol/L (evolutiva)
Ácido úrico: 352 mmol/L
Filtrado glomerular. 54,5mL/m2sc/1,73
Orina: aspecto claro; leucocitos 2-3 x c; hematíes 0 x c; epitelios planos
Cistoscopia: se introduce cistoscopio de fibra óptica por la uretra con cierta dificultad por levantamiento de la vertiente posterior del cuello vesical, gran compresión extrínseca de la cara posterior de la vejiga, que deforma el trígono y no permite visualizar los meatos ureterales.
Rectosigmoidoscopia: se introduce rectosigmoidoscopio flexible y se observa mucosa de colon sigmoides y recto de aspecto normal, así como canal del ano con dilataciones venosas congestivas.
Biopsia de cuello uterino: carcinoma epidermoide no queratinizante de cuello uterino
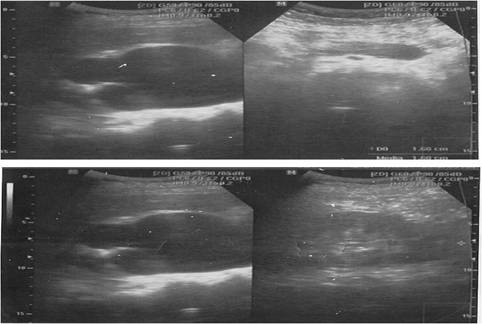
Ecografía renal (fig. 1): marcada ureterohidronefrosis derecha, con escaso parénquima de 8 mm. Ureteropielocaliectasia izquierda donde el tercio superior del uréter medía 13 mm y la pelvis renal 26 mm.

Características del líquido pleural
- Citoquímico
Color: amarillo
Aspecto: turbio
Rivalta: positivo
Células: 120 x 106/L
Neutrofilos: 60 %
Linfocitos: 40 %
Creatinina: 261 umol/L
Glucosa: 6,2 mmol/L
Proteínas: 37 g/L
LDH: 141u/L
- Citológico: negativo de células neoplásicas
- Bacilo ácido alcohol resistente (BAAR): no se observan
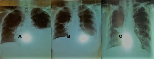
- Radiografía de tórax
A) Inicial: Opacidad tumoral parahiliar derecho y pleuresía izquierda de mediana cuantía
B) Postoracocentesis, 2 días posteriores a la nefrostomía percutánea izquierda: opacidad tumoral parahiliar derecho y disminución de la pleuresía izquierda de mediana cuantía
C) 7 días posteriores a la nefrostomía percutánea izquierda: opacidad tumoral parahiliar derecho y desaparición de la pleuresía izquierda (fig. 2)

Criterios de exudado de Light7
- Proteínas del liquido pleural/ Proteínas del suero > 0,5
Caso clínico 37 / 61 = 0,6
-LDH del liquido pleural/ LDH del suero > 0,6
Caso clínico 141 / 137 = 1,0
- LDH del liquido pleural > 2/3 LDH del suero
Caso clínico 141 > 91,3
Criterio diagnóstico de urinotórax
Índice A/B >1
A) Creatinina en el líquido pleural: 261 umol/L
B) Creatinina en sangre: 169 umol/L
Caso clínico 261/169 = 1,54
Se efectuó cateterismo ureteral con catéter doble J donde se encontraron meatos ureterales abiertos pero deformados, situación que impidió el éxito del procedimiento. Posteriormente, se realizó una nefrostomía percutánea izquierda por considerar el riñón derecho afuncional y mejoró de inmediato el volumen urinario. También se efectuó toracocentesis izquierda para estudio del líquido pleural y se evacuaron aproximadamente 100 mL de líquido amarillo, espumoso, no fétido. Teniendo en cuenta lo anterior se diagnosticó un cáncer de cuello uterino, etapa IIIB y se concluyó como una pleuresía izquierda de mediana cuantía producida por un urinotórax e insuficiencia renal obstructiva secundaria a carcinoma epidermoide no queratinizante de cuello uterino con compresión y posible infiltración a vejiga.
A las 48 horas de realizada la nefrostomía percutánea izquierda, el nivel del derrame pleural disminuyó considerablemente hasta que transcurrida aproximadamente una semana desapareció. La paciente egresó con adecuada diuresis y cifras normales de creatinina; posteriormente se le indicó radioterapia contra el tumor ginecológico y presentó un índice de Karnosfky (IK) de 80 % / ECOG 1 (Grupo de Oncología Cooperativa del Este).
Comentarios
Clásicamente, el urinotórax se ha descrito como un trasudado; en algunos casos los criterios de Light7 lo clasifican como exudado, debido a los altos niveles de LDH y proteínas, así como la tinción de Rivalta positiva en el líquido pleural,8 como ocurrió en este caso.
El principal parámetro bioquímico aceptado en el diagnóstico del urinotórax es la razón mayor a 1,0 de creatinina en el líquido pleural sobre la creatinina sérica. En esta paciente se confirmó la presencia de un exudado pleural y se consideró que el origen del urinotórax pudo ser secundario a la obstrucción de la vía urinaria por el cáncer ginecológico que en su evolución produjo compresión e infiltración de la vejiga urinaria y ocasionó una insuficiencia renal obstructiva.
Dado el antecedente del cáncer de pulmón y la presencia de un derrame pleural de reciente aparición, la posibilidad de progresión de la enfermedad neoplásica pulmonar perdió fuerza al detectarse la dilatación de ambos riñones, lo cual permitía sospechar la presencia de un factor obstructivo a nivel de vejiga. Al examinarse el sistema ginecológico se encontró una causa que permitió explicar todo el cuadro clínico, la presencia de un cáncer de cuello uterino que posiblemente infiltraba la vejiga urinaria.
Los resultados de la biopsia de cérvix y los estudios del líquido pleural permitieron confirmar el diagnóstico sospechado. Este diagnóstico de un segundo cáncer puede ser debido a múltiples causas, entre las cuales figuran: efectos adversos a largo plazo de los tratamientos (quimioterapia y radioterapia), factores ambientales ligados al estilo de vida (dieta, tabaco y alcohol), exposiciones a carcinógenos y contaminantes relacionados con el tipo de ocupación, factores propios del huésped (genéticos, inmunológicos, hormonales e infecciosos) y, evidentemente, la edad, que incrementó el riesgo natural de padecer otro tumor.
Cuando se analizan las causas del derrame pleural, el urinotórax puede pasar fácilmente desapercibido, para que esto no suceda se necesita un elevado nivel de sospecha. En pacientes con derrame pleural y una alteración reciente o actual de la vía urinaria, esta causa debe ser activamente tomada en cuenta; también en casos sometidos a procederes quirúrgicos urológicos, ginecológicos y resección de tumores intraperitoneales, su detección permite establecer un adecuado tratamiento y evitar complicaciones. (9,10
Referencias bibliográficas
1. Ferreira J, Gouveia R, Mateus A, Cruz P, Oliveira C, Carvalho JM, et al. Urinothorax - an uncommon complication following renal transplantation: a case report. Port J Nephrol Hypert. 2015 [citado 08/12/2018]; 29 (4): 70-5. Disponible en: http://www.scielo.mec.pt/pdf/nep/v30n1/30n1a09.pdf
2. Corriere JN, Miller WT, Murphy JJ. Hydronephrosis as a cause of pleural effusion. Radiology. 1968 [citado 08/12/2018]; 90 (1): 79-84. Disponible en: https://pubs.rsna.org/doi/10.1148/90.1.79
3. Casallas A, Castaneda Cardona C, Rosselli D. Urinothorax: Case report and systematic review of the literature. Urol Ann. 2016 [citado 08/12/2018]; 8(1): 91-4. Disponible en: http://www.urologyannals.com/temp/UrolAnn8191-3120563_084005.pdf
4. Toubes ME, Lama A, Ferreiro L, Golpe A, Álvarez Dobaño JM, González Barcala FJ, et al. Urinothorax: a systematic review. J Thorac Dis. 2017 [citado 08/12/2018]; 9 (5). Disponible en: http://dx.doi.org/10.21037/jtd.2017.04.22
5. Saseedharan S, Pathrose EJ, Kubal V, Pandhare A. Unusual diagnosis of urinothorax: a case report. Chest Disease Reports. 2016 [citado 08/12/2018]; 4 (1). Disponible en: https://www.pagepressjournals.org/index.php/chest/article/view/6001/5997
6. Wunderle K, Kim S, Chiovaro J. Urinothorax: A rare case of pleural effusion. J Gen Intern Med. 2017; 32 (9):1058-9.
7. Light RW. Clinical practice. Pleural effusion. N Engl J Med. 2002; 346 (25):1971-7.
8. Gupta R, Singh P. Urinothorax - A rare cause of pleural effusion. Jk Science. 2014 [citado 08/12/2018]; 16 (2). Disponible en: https://www.jkscience.org/archives/volume162/casereport2.pdf
9. Chandra A, Pathak A, Kapur A, Russia N, Bhasin N. Urinothorax: A rare cause of severe respiratory distress. Indian J Crit Care Med. 2014; 18 (5): 320-2.
10. Abdel Rahman AM. Urinothorax: a rare ?nding after urinary intervention. Clin Respir J. 2017; 11 (4): 529-31.
Notas de autor
*Autor para la correspondencia. Correo electrónico: fmf72114@gmail.com