Caso clínico
Abdomen agudo obstructivo por hernia diafragmática crónica postraumática
Obstructive acute abdomen due to postraumatic chronic diaphragmatic hernia
Abdomen agudo obstructivo por hernia diafragmática crónica postraumática
MEDISAN, vol. 25, núm. 1, pp. 160-169, 2021
Centro Provincial de Ciencias Médicas
Recepción: 03 Septiembre 2019
Aprobación: 29 Octubre 2020
RESUMEN : Se describe el caso clínico de un paciente de 37 años de edad, que acudió al Servicio de Emergencia del Hospital General Docente de Riobamba, en Ecuador, con manifestaciones clínicas e imagenológicas que permitieron diagnosticarle un abdomen agudo obstructivo por hernia diafragmática crónica postraumática, por lo que el tratamiento fue quirúrgico. Teniendo en cuenta la evolución satisfactoria del paciente se le dio el alta hospitalaria 10 días después de la operación. Se mantuvo con seguimiento durante 3 meses sin presentar complicaciones.
Palabras clave: abdomen agudo, hernia diafragmática, obstrucción intestinal, toracotomía.
ABSTRACT : The case report of a 37 years patient that went to the Emergency Service of the Teaching General Hospital of Riobamba, in Ecuador, is described. He presented clinical and imaging signs that led to the diagnosis of an obstructive acute abdomen due to postraumatic chronic diaphragmatic hernia, reason why the treatment was surgical. Taking into account the patient’s favorable clinical course he was discharged from the hospital 10 days after the surgery and received follow-up care during 3 months without presenting complications.
Key words: acute abdomen, diaphragmatic hernia, intestinal obstruction, thoracotomy.
Introducción
La hernia diafragmática postraumática es una lesión que ocurre como consecuencia de traumatismos cerrados o penetrantes en el abdomen y el tórax. Se define como el paso de vísceras abdominales a la cavidad torácica, a través de discontinuidad del diafragma. Entre los factores que más inciden se encuentran los accidentes del tránsito, las heridas por armas blanca y de fuego, así como las lesiones por asta de toros en España.1,2
Por su parte, las hernias constituyen una de las causas que con mayor frecuencia generan obstrucción intestinal y provocan la aparición de abdomen agudo, de manera que si el paciente no es atendido oportunamente puede presentar complicaciones hemodinámicas que ponen en peligro su vida.2,3
Se describen varios tipos de hernias abdominales, entre las cuales la diafragmática postraumática es una de las menos frecuentes, con una incidencia entre 0,8 y 1,6 % y una proporción hombre/mujer de 4:1; asimismo, alrededor de 30 % se manifiesta tardíamente, entre 24 horas y 50 años posterior al trauma.4,5
Se plantea que ante la rotura diafragmática los síntomas son inespecíficos, pero entre los más comunes figuran: dolor abdominal, disnea variable, dolor torácico ligero o moderado y hematuria; mientras que al examen físico se detecta sensibilidad abdominal anormal y disminución del murmullo vesicular del lado afectado.6
Hoy día se cuenta con criterios para el diagnóstico cuando se sospecha la existencia de una hernia diafragmática postraumática, entre los que se destacan los propuestos por Gravier y Freearke, a saber: antecedentes de herida penetrante o trauma cerrado del tórax inferior o hemiabdomen superior, obstrucción intestinal asociada a trauma previo o a cambios radiográficos en la base pulmonar izquierda y obstrucción del intestino delgado en pacientes sin henias abdominales, o cicatrices quirúrgicas o de colon en personas jóvenes.7
El diagnóstico es complejo y muchas veces dicha hernia no puede ser detectada debido al grado de afectación, por lo cual los estudios imagenológicos resultan de gran ayuda. El método más utilizado es la radiografía de tórax, aunque la tomografía axial computarizada, la laparoscopia y la toracoscopia aportan mayor número de elementos y, a su vez, permiten explorar la intensidad y la magnitud del daño.2,7
La principal complicación relacionada con la hernia diafragmática traumática es la obstrucción intestinal que genera un abdomen agudo, de ahí que el tratamiento quirúrgico es fundamental para minimizar el riesgo. Entre las técnicas se utilizan la reducción de la hernia, el drenaje pleural y la restauración del defecto diafragmático. La reparación primaria es el tratamiento de elección, siempre que las condiciones locales y sistémicas del paciente lo permitan.1,3
Teniendo en cuenta lo infrecuente que resultan las hernias diafragmáticas postraumáticas, las complicaciones que generan y la escasez de estudios que analicen lo relacionado con esta afectación, las autoras consideraron importante compartir el presente caso con la comunidad científica en general.
Caso clínico
Se describe el caso clínico de un paciente de 37 años de edad, quien acudió al Servicio de Emergencias del Hospital General Docente de Riobamba, en la República de Ecuador, porque desde hacía 17 horas había comenzado con dolor abdominal de tipo cólico, de moderada intensidad (6 puntos en la escala visual análoga del dolor) y de localización difusa, acompañado de vómitos, inicialmente con restos de alimentos y luego con contenido bilioso, además de fiebre, cefalea y malestar general. Por otra parte, llevaba alrededor de 24 horas sin tener deposiciones.
Durante el interrogatorio se obtuvo como dato significativo el antecedente de trauma toracoabdominal abierto, desde hacía 7 meses, a causa de una cornada de toro; también refirió que posterior a esto comenzó a presentar episodios de tos seca no productiva y ligera dificultad respiratoria.
Examen físico
Febrícula, temperatura axilar de 37,5 °C
Frecuencia cardiaca: 101 latidos por minuto
Frecuencia respiratoria: 26 respiraciones por minuto
Aparato respiratorio: tórax expandido, con murmullo vesicular audible solo en el ápice del pulmón izquierdo y cicatriz de 3 cm en la región escapular, asociada al trauma antes referido
Abdomen: distendido, timpánico, suave, doloroso a la palpación superficial y profunda de forma difusa, con cicatrices de unos 2 cm en el hipocondrio izquierdo y ambos flancos, como secuelas del trauma
Ruido hidroaéreo: aumentado en tono y frecuencia, con aspecto metálico
Exámenes complementarios
Se indicó biometría hemática, química sanguínea, perfil hepático, pancreático y electrolitos, entre los cuales fue significativa la presencia de leucocitosis (12,70/mm3) con neutrofilia de 78,4 %; el resto de los resultados se encontraban entre los parámetros normales.
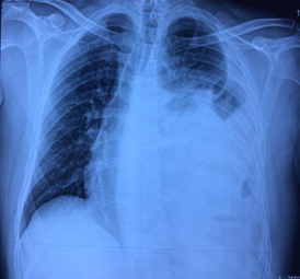
Radiografía anteroposterior de tórax: Se observó una imagen compatible con hernia diafragmática en el hemitórax izquierdo (Fig. 1).

El resultado anterior se ratificó mediante la tomografía axial computarizada simple (Fig. 2) y contrastada de tórax (Fig. 3).


Según los resultados de los estudios imagenológicos y el cuadro clínico se indicó valoración por cirugía general y cardiotorácica.
A las 20 horas de evolución el dolor se había incrementado (intensidad de 9 en la escala visual análoga), y aparecieron otros síntomas como abdomen tenso, vómitos de color amarillento, palidez generalizada, fiebre de 38,6 °C y presencia de líquido fecaloide por sonda nasogástrica.
Con estos elementos se llegó al diagnosticó definitivo de abdomen agudo obstructivo por hernia diafragmática crónica postraumática.
Se decidió realizar tratamiento quirúrgico, consistente en toracotomía lateral izquierda de 20 cm para la reparación de la hernia diafragmática, colocación de los órganos abdominales en la posición correspondiente, así como de los tubos torácicos.
Durante el procedimiento quirúrgico se observó la presencia de intestino grueso, epiplón y estómago en la cavidad torácica; asimismo, se comprobó rotura diafragmática de aproximadamente 3 cm en el borde anterolateral izquierdo y colapso del pulmón de ese mismo lado. Todas estas alteraciones anatomofuncionales se corrigieron mediante este proceder.
La evolución posoperatoria fue favorable, se mantuvo con antibiótico por 7 días (3 g diarios de cefazolina), analgesia (30 mg de ketorolaco, por vía intramuscular durante 3 días), protección gástrica con 40 mg diarios de omeprazol por 10 días, medidas de soporte nutricional e hidratación.
Teniendo en cuenta la evolución satisfactoria del paciente se le dio el alta hospitalaria 10 días después de la intervención quirúrgica, totalmente asintomático y con resultados normales de los estudios imagenológicos de control. Se mantuvo con seguimiento por 3 meses, sin presentar recidiva o complicaciones.
Comentarios
La hernia diafragmática postraumática se presenta como un desplazamiento de los órganos de la cavidad abdominal hacia la cavidad torácica, a través de la rotura del diafragma, generalmente como resultado de un trauma torácico o abdominal. El diagnóstico y tratamiento constituyen un reto para los profesionales de la salud; en tanto, las complicaciones que puede generar llegan a poner en peligro la vida de los pacientes.8
En el caso presentado, la anamnesis constituyó un elemento vital, pues mediante esta se conoció lo relacionado con un traumatismo toracoabdominal abierto, atribuible a una cornada de toro 7 meses antes de que aparecieran los síntomas.
La presencia tardía de manifestaciones clínicas es una peculiaridad de estos procesos; sin embargo, el paciente refería afectaciones como tos y dificultad para respirar desde hacía algún tiempo.
Se describe que la hernia diafragmática postraumática crónica se caracteriza por síntomas leves recurrentes que se manifiestan desde la ocurrencia del trauma hasta su complicación, momento en el que el paciente demanda de servicios médicos.5,9
El paciente en cuestión, desarrolla un período de latencia durante 6 meses, con síntomas respiratorios como consecuencia del trauma, hasta que deviene obstrucción intestinal a causa del movimiento de los órganos abdominales hacia el hemitórax izquierdo.
La hernia diafragmática postraumática en fase de complicación, ocurre meses o años después de la lesión, y está dada principalmente por la presencia de vómitos, obstrucción intestinal, isquemia o hemorragia digestiva, dificultad respiratoria crónica, desviación del mediastino, triada de Borchardt (dolor abdominal superior, flatulencia y dificultad para instalar una sonda nasogástrica) y ruidos intestinales intratorácicos.9
En este paciente los resultados de los estudios imagenológicos fueron determinantes para establecer el diagnóstico definitivo y la causa. Resulta válido destacar que este tipo de hernia se diagnostica inicialmente por el método clínico; sin embargo, el examen de elección es la radiografía de tórax, luego se ratifica mediante la tomografía axial computarizada simple y, por último, a través de la tomografía contrastada.1,4
La confirmación del diagnóstico se realiza durante el acto quirúrgico. En este paciente se comprobó la presencia de órganos abdominales en el interior de la cavidad torácica, lo cual fue corregido inmediatamente. La herniación se produjo a través de una abertura de 3 cm en el diafragma, como consecuencia del referido trauma 7 meses atrás.
Tal como se ha visto, es común que la hernia diafragmática se presente en el hemidiafragma izquierdo, cuyas características anatomofisiológicas lo hacen más sensible en esta porción con respecto al lado derecho; mientras que en traumas cerrados y penetrantes se afectan mayormente el estómago, el epiplón y el colon,4,10) lo cual fue similar en este paciente.
Para el tratamiento quirúrgico se proponen técnicas abiertas o convencionales y de mínima invasión, mediante el acceso torácico y abdominal, encaminadas a disminuir el contenido visceral y enmendar el daño diafragmático. La toracotomía se considera la vía de elección cuando la hernia es crónica, con preferencia a acceder por el tórax según posible desarrollo de adherencias entre los órganos herniados e intratorácicos. Este proceder permite la restitución de los órganos abdominales a su localización original, la supresión del saco herniario y la restauración del diafragma.7
La evolución del paciente fue satisfactoria, lo que no resta importancia a las complicaciones que pudieran haberse presentado y llevarlo, incluso, a la muerte. De esta forma se considera importante realizar un adecuado seguimiento a todos los afectados por trauma abdominal o torácico, abiertos o cerrados, con la finalidad de detectar oportunamente cualquier anomalía.
Referencias bibliográficas
Puente Azpitarte V de la, Regueiro Martín AC, Sanchez-Migallón Jiménez ME, Vallejo Carrasco M. Hernias diafragmáticas traumáticas: revisión de la literatura a propósito de un caso. Rev Complutense Ciencias Veterinarias. 2017 [citado 31/07/2019];11(1):164-9. Disponible en: https://core.ac.uk/download/pdf/81229560.pdf
Jay Bayeux JD, Martínez Artiles NS, Ridal González J. Hernia diafragmática postraumática en un anciano. MEDISAN. 2016 [citado 29/06/2019];20(6). Disponible en: http://scielo.sld.cu/scielo.php?script=sci_arttext&pid=S1029-30192016000600011
Lazo Cabrera JM, Esquijarosa Roque BM, Amado García A. Hernia diafragmática congénita izquierda de manifestación tardía. Rev Ciencias Médicas de Pinar del Río. 2018 [citado 03/08/2019]; 22(3):614-22. Disponible en: http://www.revcmpinar.sld.cu/index.php/publicaciones/rt/printerFriendly/3571/html
Farooq Ahmad G, Nabi Lone G, Chowdhary M, Lone H. The characteristics and surgical approach in post-traumatic diaphragmatic hernia: a single center experience. Bull Emerg Trauma. 2013 [citado 04/08/2019];1(3):108-11. Disponible en: https://www.ncbi.nlm.nih.gov/pmc/articles/PMC4779170/
Vargas Soto I. Hernia diafragmática post-traumatica. Rev Méd Universidad de Costa Rica. 2014 [citado 03/08/2019];8(1). Disponible en: https://revistas.ucr.ac.cr/index.php/medica/article/view/14977
Beltrán MA. Presentación tardía de hernia diafragmática traumática con necrosis gástrica: revisión de la literatura científica. Rev Colombiana Cir. 2013 [citado 25/07/2019];28(1):54-63. Disponible en: http://www.scielo.org.co/scielo.php?script=sci_arttext&pid=S2011-75822013000100007&lng=en&nrm=iso&tlng=es
Olivera Fajardo D, Estepa Pérez JL, Santana Pedraza T, Carillo Pérez M. Hernia diafragmática traumática. Presentación de un caso. MediSur. 2015 [citado 28/07/2019];13(6):807-11. Disponible en: http://scielo.sld.cu/scielo.php?script=sci_arttext&pid=S1727-897X2015000600015
Petrone P, Asensio J, Marini C. Diaphragmatic injuries and post-traumatic diaphragmatic hernias. Curr Probl Surg. 2017 [citado 25/07/2019];54(1):11. Disponible en: https://pubmed.ncbi.nlm.nih.gov/28212818/
Vázquez Minero JC, Arriola Navas JM, Quiroga Arias VE, Cervantes Silva Y. Ruptura diafragmática postraumática de presentación tardía. A propósito de dos casos. Neumol Cir Torax. 2018 [citado 29/06/2019];77(2):151-6. Disponible en: https://www.medigraphic.com/cgi-bin/new/resumen.cgi?IDARTICULO=80482
Liu S, Dai M, Ye B , Zhao Z , Shi Y, Peng L. Diaphragmatic hernia as a rare complication of colonoscopy: case report and literature review. Medicine (Baltimore). 2018 [citado 30/07/2019];97(3). Disponible en: https://pubmed.ncbi.nlm.nih.gov/29505005/
Notas de autor
*Autor para la correspondencia. Correo electrónico: umsmwork74@gmail.com
Declaración de intereses