Carta al editor
A propósito del artículo “Bronconeumonía por COVID-19 en un adolescente de 18 años”
About the work “Bronchopneumonia due to COVID-19 in a 18 years adolescent”
A propósito del artículo “Bronconeumonía por COVID-19 en un adolescente de 18 años”
MEDISAN, vol. 25, núm. 4, pp. 833-837, 2021
Centro Provincial de Ciencias Médicas
Recepción: 20 Febrero 2021
Aprobación: 22 Abril 2021
Santi Spíritus, 20 de febrero 2021
Estimado editor:
Me dirijo a usted con el ánimo de congratular a los colegas autores del trabajo “Bronconeumonía por COVID-19 en un adolescente de 18 años”,1 publicado en esta revista en el volumen 24, número 4 del 2020, los cuales aluden al primer paciente con positividad por el SARS-CoV-2 asistido en el Hospital Pediátrico Docente Provincial José Martí Pérez de Sancti Spíritus a inicios del pasado año.
En el artículo se ofrece una excelente presentación cronológica de los episodios clínico-epidemiológicos, las pruebas diagnósticas realizadas y el tratamiento médico aplicado, así como de la evolución del paciente; además, a través de una discusión profunda, se argumentan todos los elementos aportados. De hecho, la descripción de un caso de esta índole supuso una contribución importante a la atención a pacientes con síntomas respiratorios agudos en dicho centro asistencial.
No obstante, las autoras de esta misiva consideran que también debería haberse incluido el conjunto de imágenes que condujeron al diagnóstico, como estrategia de enseñanza para los demás miembros del gremio que se enfrentaban a esta desconocida enfermedad.
Tal observación se basa en la importancia que ha tenido la imagenología, y en especial la rama de la radiología, en el diagnóstico y seguimiento de pacientes con la COVID-19.
Entre los estudios imagenológicos, la radiografía de tórax constituye la aproximación inicial para identificar características clínicas de procesos patológicos pulmonares, como parte del seguimiento médico en salas de urgencias y de terapia intensiva. Así, ante el reto que representa la pandemia de la COVID-19, se convierte en un estudio valioso, rápido, fácil y accesible en esos servicios, que revela como hallazgos más frecuentes la consolidación bilateral, la imagen en vidrio deslustrado bilateral, periférico y en los lóbulos basales, así como la ausencia de efusión pleural, los cuales aparecen conforme avanza la enfermedad.2
A pesar de que la radiografía de tórax no es específica, ha demostrado su utilidad como herramienta de cribado en el diagnóstico inicial de personas infectadas por el SARS-CoV-2 que acuden a urgencias. De acuerdo con la Guía de la Sociedad Británica de Imagen Torácica (BSTI, siglas en inglés de British Society of Thoracic Imaging),3 posee una función imprescindible en el informe radiológico, pues constituye la primera evaluación a pacientes presumiblemente contagiados con el virus; también guarda una estrecha correlación con los datos clínicos y de laboratorio, sobre todo en los casos más evolucionados, puesto que en los inicios de la enfermedad los rayos X de tórax suelen ser normales en hasta 20 % de los pacientes. En situaciones más graves ha sido fundamental para identificar complicaciones asociadas, como infecciones bacterianas y derrame pleural; igualmente ha sido muy útil cuando los pacientes no pueden ser transportados al servicio de radiodiagnóstico para realizar la tomografía computarizada.2-4
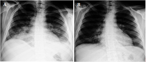
Sobre la base de lo planteado previamente, y gracias a la posibilidad de que la autora principal de esta epístola labora como especialista de imagenología en el mismo Hospital que los médicos investigadores del artículo en cuestión,1 se propone enriquecerlo con las radiografías realizadas a ese adolescente (fig.).

Desde el punto de vista radiológico, el paciente presentó características como las descritas en un estudio sobre niños afectados por la COVID-19, en quienes la consolidación pulmonar fue el signo más frecuente.5 Sin embargo, cabe destacar que este presentaba efusión pleural y distorsión del contorno cardiomediastinal, lo que sugiere la posible concomitancia de una infección bacteriana; si se clasificara según la BSTI, los hallazgos no estarían asociados a la COVID-19.
De ello se desprende la importancia de evaluar a cada paciente individualmente -su cuadro epidemiológico, los síntomas y comorbilidades- y de cumplir estrictamente el protocolo sanitario establecido en Cuba para la realización de la prueba de reacción en cadena de la polimerasa en tiempo real ante la existencia de infecciones respiratorias agudas graves.
Contribución de los autores
Mányeles Brito Vázquez: Conceptualización, curación de datos, análisis formal, investigación, metodología, administración del proyecto, recursos, supervisión, validación, visualización, redacción y revisión del borrador-original y la versión final. Participación: 50 %.
María de los Ángeles Vázquez Rodríguez: Conceptualización, curación de datos, análisis formal, investigación metodología, administración del proyecto, recursos, validación, redacción y revisión de la versión final. Participación: 50 %.
Referencias bibliográficas
Perdigón Portieles CJ, Balsain Mencias D. Bronconeumonía por COVID-19 en un adolescente de 18 años. MEDISAN. 2020 [citado 20/02/2021];24(4). Disponible en: http://scielo.sld.cu/scielo.php?script=sci_arttext&pid=S1029-30192020000400682&lng=es
Perdigón Castañeda GM, Mazón Ramírez JJ, De Anda Díaz B, García Cedillo DE. Importancia de la radiografía de tórax en la infección por sars-CoV-2. Aten Fam. 2020 [citado 20/02/2021];27:39-42. Disponible en: http://www.revistas.unam.mx/index.php/atencion_familiar/article/view/77317/68725
BSTI. Thoracic Imaging in COVID-19 Infection. Guidance for the reporting Radiologist British Society of Thoracic Imaging. London: BSTI; 2020 [citado 20/02/2021]. Disponible en: https://www.bsti.org.uk/media/resources/files/BSTI_COVID-19_Radiology_Guidance_version_2_16.03.20.pdf
Ramírez Gutiérrez de Velazco A, Vadillo Santos AC, Pérez Ladrón de Guevara P, Quiroz Castro O. COVID-19: historia actual de una pandemia y sus hallazgos clínico-radiológicos. Anales de Radiología México. 2020 [citado 20/02/2021];19(2):175-85. Disponible en: https://www.analesderadiologiamexico.com/frame_esp.php?id=102
Oterino Serrano C, Alonso E, Andrés M, Buitrago NM, Pérez Vigara A, Parrón Pajares M, et al. Pediatric chest x-ray in covid-19 infection. Eur J Radiol. 2020 [citado 20/02/2021];131. Disponible en: https://www.ncbi.nlm.nih.gov/pmc/articles/PMC7448740/
Notas de autor
*Autor para la correspondencia. Correo electrónico: manyeles.ssp@infomed.sld.cu
Declaración de intereses