Caso clínico
Hernia inguinal gigante en un adulto
Giant inguinal hernia in an adult
Hernia inguinal gigante en un adulto
MEDISAN, vol. 25, núm. 4, pp. 907-915, 2021
Centro Provincial de Ciencias Médicas
Recepción: 05 Octubre 2020
Aprobación: 16 Marzo 2021
RESUMEN: Se describe el caso clínico de un paciente de 58 años de edad con antecedentes personales de insuficiencia cardiaca congestiva mal controlada, quien acudió a emergencias del Hospital Luis Bernaza de Guayaquil, Ecuador, por presentar dolor abdominal difuso, constipación y masa inguinoescrotal gigante. Se realizan los estudios pertinentes y se diagnostica una hernia inguinoescrotal gigante con pérdida de domicilio, sin datos de obstrucción intestinal. Se empleó la técnica de Goñi Moreno durante 12 días para aumentar el diámetro de la cavidad abdominal y regresar el contenido del saco a su lugar. Se efectuó laparotomía exploratoria y hernioplastia con resultado satisfactorio y seguimiento por consulta externa durante 2 meses, sin alteraciones.
Palabras clave: adulto, hernia inguinal gigante, hernia inguinoescrotal gigante, neumoperitoneo, técnica de Goñi Moreno.
ABSTRACT: The case report of a 58 years patient with personal history of a poor controlled congestive heart failure is described, who went to the emergency service of Luis Bernaza Hospital in Guayaquil, Ecuador, due to a diffuse abdominal pain, constipation and giant inguinoescrotal mass. The pertinent studies were carried out and a giant inguinoescrotal hernia is diagnosed with home loss, without data of intestinal obstruction. The Goñi Moreno technique was used during 12 days to increase the diameter of the abdominal cavity and return the content from the sack to its place. An exploratory laparotomy and hernioplastia were carried out with satisfactory result and follow up in the outpatient department during 2 months, without alterations.
Key words: adult, giant inguinal hernia, giant inguinoescrotal hernia, pneumoperitoneum, Goñi Moreno technique.
Introducción
Las hernias inguinales gigantes son aquellas que se extienden por debajo del punto medio de la parte interna del muslo mientras el paciente está de pie.1 Esta afección es poco común, pero influye en la calidad de vida del paciente, puesto que afecta su movilidad. Además, causa retención urinaria, disuria, obstrucción intestinal y problemas dermatológicos, tales como dermatitis y ulceraciones.2,3
El control de esta enfermedad es complejo, debido a que la mayoría de los pacientes presentan comorbilidades que alteran, en gran medida, los anillos herniarios y depósitos de colágeno, lo cual es atribuible a diversos factores.4 En la actualidad, no se cuenta con un tratamiento estandarizado, debido a la baja incidencia de esta afección. Los pacientes que la presentan son tratados con diferentes técnicas, entre las cuales figuran: neumoperitoneo progresivo (técnica de Goñi-Moreno), resecciones intestinales, separación de componentes y toxina botulínica.1,5 El riesgo de recurrencia de dicha enfermedad es particularmente alto, pues llega hasta 30,0 % de recidiva.6
Caso clínico
Se presenta el caso clínico de un paciente de 58 años de edad, con antecedentes personales de hipertensión arterial, diabetes mellitus e insuficiencia cardiaca congestiva; todas con largo periodo de evolución y control inadecuado. Este paciente acude a emergencias del Hospital Luis Bernaza de Guayaquil, Ecuador, por presentar cuadro clínico de un año de evolución con masa en la región inguinal derecha, que ha aumentado de tamaño hasta llegar a la incapacidad funcional; hace alrededor de un mes presentó dolores abdominal e inguinal difusos y cambios en la coloración de la zona escrotal con lesiones descamativas. También refiere constipación con aproximadamente 2 días de evolución.
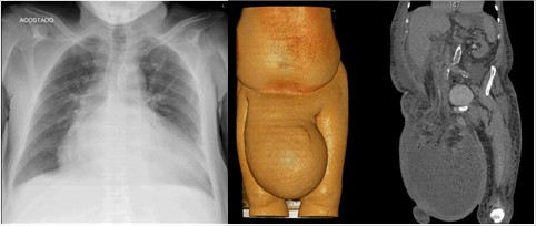
Al examen físico se palpan campos pulmonares crepitantes bilaterales en región basal, ruidos cardiacos arrítmicos sin ruidos agregados, masa inguinal gigante que sobrepasa la rodilla (40 x 29 cm aproximadamente), con áreas descamativas en región escrotal y aparente contenido líquido, poco reductible (fig.1).

En los laboratorios de ingreso se obtuvo: proteínas totales 5,8 g/dL, albumina 2,7 g/dL, péptido natriurético de 11992,00 pg/mL, lo cual denota un cuadro de insuficiencia cardiaca reagudizada; anemia con hemoglobina 11,4 mg/dL y hematocrito 33,8%. Los exámenes restantes estuvieron dentro de parámetros normales.
Además, se realizaron otros exámenes, tales como radiografía de tórax, que mostró aumento marcado de silueta cardiaca compatible con insuficiencia cardiaca y tomografía axial computarizada de la región abdominal y miembro inferior, la cual evidenció gran masa inguinoescrotal que medía 41 x 29 cm con anillo herniario grande y aparente contenido de asas intestinales, líquido en probable relación con ascitis, así como colon ascendente (fig.2).

Se procede a realizar el control y estabilización en el paciente de la insuficiencia cardiaca congestiva reagudizada y se logra mejoría en parámetros clínicos. Se efectúan exámenes de laboratorio el día 18 de su internación, que permiten realizar valoraciones cardiológicas y anestésicas favorables hacia la colocación de la válvula para neumoperitoneo progresivo e intervención quirúrgica. Posteriormente se procedió a realizar la inserción del catéter para neumoperitoneo en la fosa iliaca izquierda mediante técnica de Seldinger, para lo cual se insufló la cavidad abdominal diariamente con 600 mL de O2 hasta llegar a 7,8 litros de O2, esto mostró un aumento notable de la pared abdominal.
Luego, se decidió realizar la reparación del defecto con doble vía de acceso; primero se efectuó una laparotomía exploratoria por incisión supra-infra-media umbilical, para lo cual se aspiró el líquido ascítico --cerca de 11 litros-- hasta lograr la observación del defecto herniario de aproximadamente de 6 x 3 cm con protrusión a saco herniario de mesenterio, íleon y colon ascendente parcialmente adherido al saco. También, se realizó incisión parainguinal derecha; se disecó el saco herniario; se liberaron las adherencias y se logró introducir asas intestinales y meso en la cavidad abdominal. Se procedió a reparar el gran defecto herniario mediante la técnica de Warren modificada, con malla de polipropileno de 15 x 15 cm y se cerró la aponeurosis de ambas incisiones con polipropileno 1- 0 (fig. 3).

El periodo posoperatorio transcurrió satisfactoriamente. El paciente estuvo en observación durante un día y luego pasó a la sala general. A los 10 días se indicó el alta médica por el especialista en cardiología.
Comentarios
Tal como se ha visto, la hernia inguinoescrotal gigante afecta la calidad de vida de quienes la presentan, puesto que imposibilitan las caminatas, producen dificultad para la micción, dermatitis y ulceración en la región escrotal debido a un estrechamiento de la pared del escroto. También afectan la vida sexual, pues en la mayoría de los pacientes el pene queda oculto en el escroto.5 En ocasiones pueden complicarse y producir una obstrucción intestinal por encarcelación o estrangulamiento de las asas intestinales, aunque dentro del contenido también se encuentra peritoneo en su mayoría; siendo más difícil hallar el estómago, los riñones, los ovarios, la vejiga y los uréteres.6
Existen 3 problemas principales en estas hernias gigantes:4
Para evitar estos problemas se deben realizar técnicas que preparan la cavidad abdominal, entre ellas se encuentra el neumoperitoneo progresivo preoperatorio o técnica de Goñi Moreno, que se realiza con el objetivo de aumentar el espacio de la cavidad abdominal para evitar el síndrome compartimental abdominal en el periodo posoperatorio inmediato, causado por una reducción forzada del contenido herniario. 7,8 Dicho procedimiento se realiza mediante la introducción de un catéter venoso central dentro de cavidad o un dren de Jackson-Prat en la unión del tercio externo con los 2 tercios internos de una línea imaginaria entre la espina iliaca anterosuperior izquierda y el ombligo, con el fin de introducir aire dentro de la cavidad abdominal para expandirla. Este procedimiento se puede realizar de 1 a 3 semanas antes de la cirugía con volúmenes entre 500 a 2000 cc de aire ambiente y, en dependencia de la necesidad, hasta un total de 20 litros.8,9,10
La citada técnica tiene contraindicaciones, tales como infección abdominal, afecciones cardiacas descompensadas, pequeño cuello de la hernia y estrangulación. También presenta limitaciones, puesto que se requiere de hospitalización preoperatoria prolongada y que el aire insuflado se dirija al saco herniario.8,9
Cabe agregar que esta enfermedad, debido a su escasa incidencia y difícil control, es de gran importancia para el cirujano joven, quien debe conocer las posibilidades terapéuticas; aunque cada vez es más difícil encontrarla en este medio debido al tratamiento oportuno que se realiza a los pacientes con hernias inguinales.
La atención a los pacientes con hernias inguinales gigantes debe ser vista de una manera holística, donde intervengan diferentes servicios para lograr un periodo posoperatorio óptimo.10
Aunque es infrecuente encontrar pacientes con hernias inguinales gigantes en la actualidad, estos pueden ser tratados de manera eficaz con cuidados y planeamiento prequirúrgico adecuado. Debido a la baja incidencia de esta afección, no existe gran cantidad bibliografía acerca del tema. El examen imagenológico pertinente es la tomografía axial computarizada con reconstrucción, que permite establecer el diámetro del defecto y el contenido del saco herniario para determinar la vía de acceso y la actitud a seguir. La atención a los pacientes con esta enfermedad puede realizarse mediante diferentes métodos preoperatorios para aumentar la cavidad abdominal, a fin de reintroducir su contenido en esta e impedir que se produzca el síndrome compartimental abdominal posquirúrgico.
Contribución de los autores
Dr. Pedro Marin Castro: Conceptualización y diseño de la investigación; búsqueda de información; obtención de los datos; análisis e interpretación de los resultados; redacción del borrador original; revisión, corrección y edición del documento final; visualización (50 %)
Dr. Juan Carlos Bermeo: Obtención de datos; autor de las imágenes; revisión de documentos, procesamientos de datos y revisión del artículo (50 %)
Referencias bibliográficas
Momiyama M, Mizutani F, Yamamoto T, Aoyama Y, Hasegawa H, Yamamoto H. Treatment of a giant inguinal hernia using transabdominal pre-peritoneal repair. JSCR. 2016 [citado 27/09/2020]; 9: 1-3. Disponible en: https://academic.oup.com/jscr/article/2016/9/rjw159/2412957
Begliardo FL, Arias PM, Corpacci M, Albornoz PD, Lerda AF. Tratamiento de la hernia inguinoescrotal gigante con pérdida de domicilio: un desafío quirúrgico. Rev Hispanoam Hernia. 2018 [citado 28/09/2020]; 6 (2): 96-9. Disponible en: https://www.sohah.org/wp-content/uploads/rehah/v6i2/08_NC_Hernia_Begliardo.pdf
Muas DJ. Manejo multimodal de la eventración gigante. Rev Hispanoam Hernia. 2018 [citado 29/09/2020]; 6 (1): 3-10. Disponible en: https://www.sohah.org/wp-content/uploads/rehah/v6i1/03_OR_Hernia_Derlin.pdf
Trakarnsagna A, Chinswangwatanakul V, Methasate A, Swangsri J, Phalanusitthepha C, Parakonthun T, et al. Giant inguinal hernia: Report of a case and reviews of surgical techniques. Int J Surg Case Rep. 2014 [citado 30/09/2020]; 5 (11): 868 - 72. Disponible en: https://www.ncbi.nlm.nih.gov/pmc/articles/PMC4245684/
Granel Villach L, Gamón Giner RL, Fortea Sanchís C, Gómez Beltrán F, Salvador Sanchís JL. Neumoperitoneo preoperatorio para el tratamiento de la hernia inguinal gigante: revisión de nuestra experiencia. Rev Hispanoam Hernia. 2014 [citado 27/09/2020]; 2 (4): 133-8. Disponible en: https://www.elsevier.es/es-revista-revista-hispanoamericana-hernia-357-articulo-neumoperitoneo-preoperatorio-el-tratamiento-hernia-S2255267714000395
Catalá Forteza J, Araque Pascual X, Ruiz Mascarrilla S, Valderas Martinez G, Pujol Riqué M, Robres Puig J. Adaptación al servicio de radiología de la técnica Goñi-Moreno: neumoperitoneo progresivo pre-operatorio en la reparación de hernias gigantes de pared abdominal con pérdida de domicilio. SERAM. 2015 [citado 28/09/2020]; 1: 1 - 36.
Palmisano EM, Pérez Grassano A, Schmid ML. Combinación de toxina botulínica A y neumoperitoneo preoperatorio progresivo abreviado como técnica adyuvante para la reparación de grandes hernias de la región inguinal. Reporte de un caso. Rev Hispanoam Hernia. 2017 [citado 30/09/2020]; 5 (4); 164-7. Disponible en: https://www.sohah.org/wp-content/uploads/rehah/v5i4/07_NC_Hernia_Palmisano.pdf
Cuminal L, Rousset P, Passot G, Caillot JL, Valette PJ, Muller A. Image-guided preoperative progressive pneumoperitoneum for large incisional hernia repair. Diagn Interv Imaging. 2017; 98 (6): 507-9.
Bansod PY, Gedam BS, Sadriwala QS, Akhtar M. Scrotal abdomen: Case of giant inguinal hernia - A case report. India. JSM Gen Surg Cases Images. 2017 [citado 30/09/2020]; 2 (1): 1022-5. Disponible en: https://www.jscimedcentral.com/GeneralSurgery/generalsurgery-2-1022.pdf
Arias PM, Roque Cervetti MR, Pasarín MA, Albornoz PD, Cacciavillani G. Neumoperitoneo preoperatorio en eventración subcostal gigante. Rev Hispanoam Hernia. 2016 [citado 30/09/2020]; 4 (4): 157-61. Disponible en: https://www.sohah.org/wp-content/uploads/rehah/v4i4/original/original3.pdf
Notas de autor
*Autor para la correspondencia. Correo electrónico: pedro.mc91md@gmail.com
Declaración de intereses