Reportes de caso
Enfermedad de Behcet: Manifestaciones neurológicas y psiquiátricas observadas en dos pacientes en el Hospital Nacional Dos de Mayo (Lima, Perú)
Behcet disease: Neurological and psychiatric manifestations observed in two patients in the Dos de Mayo National Hospital (Lima, Perú)
Enfermedad de Behcet: Manifestaciones neurológicas y psiquiátricas observadas en dos pacientes en el Hospital Nacional Dos de Mayo (Lima, Perú)
Revista de Neuro-Psiquiatría, vol. 85, núm. 3, pp. 235-242, 2022
Universidad Peruana Cayetano Heredia

Recepción: 24 Marzo 2022
Aprobación: 04 Mayo 2022
Resumen: Se describen las manifestaciones neurológicas y psiquiátricas de dos pacientes con características clínicas de la enfermedad de Behcet, observados a lo largo de varias décadas. Se ilustra con imágenes la presencia de aftas orales y genitales recidivantes. Uno de ellos desarrolló trombosis de la vena femoral y en ambos hubo presencia de eritema nodoso. La evaluación oftalmológica determinó ausencia de uveitis en ambos pacientes y ceguera por maculopatía distrófica monocular sin signos de vasculitis retinal en la paciente mujer. Exámenes de laboratorio en sangre y en el líquido cerebro espinal evidenciaron pleocitosis linfocítica. El test cutáneo de patergia fue negativo. Asimismo, se determinó la ausencia de hallazgos compatibles con otras enfermedades autoinmunes. Durante el periodo de evaluación se correlacionaron las manifestaciones clínicas y los hallazgos en tomografía (TM) y resonancia magnética cerebral (RMC). Se explica igualmente la mielitis recidivante y su correlato con los resultados de la resonancia magnética medular (RMM). El tiempo de evaluación y seguimiento por consulta externa y durante la hospitalización en el paciente varón (73 años), que inició la enfermedad a los 35 años, fue de 34 años; la paciente mujer (50 años, inició su enfermedad a los 28 años y fue seguida por espacio de 8 años. Este proceso permitió comprender los diferentes factores mórbidos que influyeron en la grave evolución del cuadro clínico estudiado.
Palabras clave: Enfermedad de Behcet, neurológicas, psiquiátricas y mielitis recidivante.
Abstract: The neurological and psychiatric manifestations in two patients who met clinical criteria of Behcet's disease are observed and described throughout several decades. The presence of recurrent oral and genital canker sores is illustrated with images. One of the patients developed thrombosis of the femoral vein, and erythema nodosus was present in both. The ophthalmological evaluation showed absence of uveitis in both patients, and blindness by adult monocular dystrophic maculopathy without signs of retinal vasculitis in the female. Laboratory tests on blood and cerebrospinal fluid evidenced lymphocytic pleocytosis. The patergia skin test was negative. Likewise, laboratory tests determined an absence of findings compatible with other autoimmune diseases. Throughout the evaluation period, the clinical manifestations were correlated with the findings from tomography and brain magnetic resonance magnetic. Similarly, recurrent myelitis and its correlation with the results of medular magnetic resonance imaging are explained. The evaluation and follow-up period through outpatient consultation and hospitalization was prolonged: the 73-year-old male patient, who started the disease at age 35, was followed-up for 34 years; and the 50-year-old female patient, fell ill at the age of 28 and was followed-up for 8 years. This process allowed the understanding of the different morbid factors that influenced the serious evolution of the clinical picture.
Keywords: Behcet's disease, neurological, psyquiatric and recurrent myelitis.
INTRODUCCIÓN
La enfermedad de Behcet (EB) es considerada como una enfermedad autoinmune, que compromete los vasos sanguíneos de numerosos sistemas, esto es, una vasculitis multisistémica de etiología desconocida caracterizada por úlceras orales, genitales y uveítis. Se afirma que entre 5 - 30% de los pacientes desarrollan manifestaciones neurológicas y en un 5% constituye la manifestación inicial, cifras que van en aumento debido al avance de las técnicas de neuroimagen. Sin embargo, su etiología es aún desconocida. La manifestación neurológica reportada en la literatura con mayor frecuencia es la cefalea (1). También las lesiones parenquimatosas y no parenquimatosas, como los trastornos piramidales, signos deficitarios por lesión cortical y los trastornos cognitivos y/o de la conducta. Se ha descrito la presencia de trastorno bipolar o paranoide y, en ocasiones, indiferencia y apatía hacia la enfermedad. La ansiedad y la depresión son los síntomas psiquiátricos más frecuentes, con una incidencia de hasta 86% y mayor prevalencia que en otros trastornos autoinmunes (2). La enfermedad afecta por igual a varones y mujeres usualmente se asocian al desarrollo de otras patologías autoinmunes como el eritema nodoso y la tromboflebitis no infecciosa. El compromiso neurológico o Neuro-Behcet (NB) se presenta con mayor incidencia en la juventud (26- 27 años). Debemos precisar que el NB no es una nueva entidad clínica, sino las manifestaciones neurológicas de una enfermedad sistémica producida por lesiones a nivel de los vasos sanguíneos. El estado clínico está en correlación o debiera ajustarse a los criterios diagnósticos según el International Consensus Recommendation (ICR) (3). El propósito de este manuscrito es poner en evidencia la enfermedad en toda su integridad en el tiempo, las manifestaciones clínicas de la enfermedad de Behcet generales y las complicaciones neurológicas y psiquiátricas, así como la gravedad de las mismas en dos pacientes evaluados y estudiados bajo el punto de vista del comportamiento clínico, mostrar las manifestaciones en su totalidad, ilustrarlas con imágenes, informar de los resultados de laboratorio, investigados en sangre , en el líquido cerebroespinal y las neuroimágenes que permiten comprender las alteraciones neurológicas y psiquiátricas desarrolladas a través del seguimiento clínico de dos enfermos con NB en el curso de varias décadas.
Caso clínico 1
Varón de 72 años, natural de Ica, primaria completa, comerciante, casado, 5 hijos. Su enfermedad se inicia a la edad de 35 años quejándose de cefaleas pulsátiles sin tener características clínicas de alguna de las variantes de la migraña. Estuvo en esta condición por el tiempo de 5 meses. En ese período presentó lesiones aftosas en los labios y la cavidad oral, así como a nivel escrotal. No recibió tratamiento médico. Utilizó analgésicos y soluciones para las lesiones bucales. En ese período habría presentado cuatro episodios de aftas orales e inguinales.
Las crisis de cefalea aumentaron en intensidad y coincidió con la aparición de una crisis epiléptica generalizada. En estas condiciones se produce su internamiento con fecha 22 de agosto de 1987. Se verificó las lesiones aftosas mencionadas, presencia de nódulos cutáneos dolorosos en las regiones tibiales, meningismo aséptico, después de estudio del líquido cefalorraquídeo en el que se constató pleocitosis linfocítica de 170 células. La evaluación clínica completa por sistemas fue normal. Su estado mental se encontraba normal. La exploración del fondo del ojo fue de características normales. En ningún momento de la historia de la enfermedad se produjeron y/o se constataron manifestaciones indicativas de uveítis externa o interna. El estudio tomográfico del cerebro sin alteraciones y en la analítica sanguínea sin anomalías. Salió de alta con los diagnósticos de EB, meningoencefalitis aséptica, eritema nodoso y desorden convulsivo. Se medicó con prednisona 60 mg/día durante 26 días con reducción progresiva al remitir las lesiones de las mucosas de la boca y los escrotos. Se creyó conveniente no prescribir medicación anticonvulsivante. El paciente regresó a la consulta después de 6 años, debido a que continuaba con los episodios de cefalea, de variable intensidad y frecuencia, siempre de tipo pulsátil que eran tratados con antinflamatorios no esteroideos y derivados de la ergotamina, sin tener mayor éxito. En ese periodo este síntoma se asoció a crisis epilépticas parciales simples, generalizadas y parciales compleja; estas últimas acompañadas de automatismos manuales, faciales, más complejas en las que efectuaba caminatas de variable duración, mantenía buen tono muscular y en ocasiones el término de la crisis consistía en contracción de piernas con “pataleo”. Recibió tratamiento con carbamazepina 800 mg/día. Al parecer continuó con las lesiones aftosas que eran tratadas con prednisona automedicadas y lograba mejoría. Además, presentaba episodios de desorden de pánico acompañado de ansiedad intensa y depresión. Los disturbios del sueño se acompañaban de estados delusivos alucinatorios. La valoración psiquiátrica instaló tratamiento con antidepresivos y trifluoperazina. Su estado cognitivo y desorden distímico fueron valorados mediante los test: Mini cognitivo de Folstein (23/30) y la Escala de Hamilton para la depresión (4/20) indicativos de declinación cognitiva y depresión acentuada. El resto de la exploración neurológica que incluyeron el lenguaje puso en evidencia disartria e incoordinación de miembros, así como la marcha zigzagueante, pares craneales normales, función motora y sensitiva sin alteraciones. Presencia de reflejos de prehensión manuales y succión oral. En el mes de septiembre del 2004 presentó dolor y tumefacción en el miembro inferior izquierdo. Un estudio con Eco-Doppler permitió confirmar el diagnóstico clínico de trombosis venosa profunda del miembro inferior izquierdo. Después de 9 años fue internado debido a la persistencia de las cefalea y crisis epilépticas. En esta oportunidad se constataron las lesiones cicatrizales crónicas de las aftas escrotales y los signos del eritema nodoso. Una segunda evaluación oftalmológica consignó: disminución de la agudeza visual OD: 20/30 OI: 20/40 y en el fondo del ojo: signos de esclerosis vascular, la mácula y la retina de caracteres normales (figura 1). En su estado neurológico agravado: bradipsíquico, episodios de letargo, indiferencia afectiva, severo defecto intelectual a expensas de la atención, registro, memoria, y fenómeno ecolálico persistente. Signos de prehensión manual intenso, succión y búsqueda oral. Permanecía postrado, desconectado con su entorno, en mutismo y gatismo.

Exámenes de laboratorio
El hemograma, la hemoglobina, el hematocrito, revelaron anemia microcítica carencial. La fórmula leucocitaria normal. El recuento plaquetario, el perfil de coagulación, la glucosa basal, el perfil hepático, los electrolitos y los perfiles tiroideos fueron normales. Finalmente el estudio ecocardiográfico y las pruebas para detección de enfermedad autoinmune mediante anticuerpos antinucleares (ANA) y anticuerpos anti citoplasmáticos (ANCA) no reactivos. La investigación de laboratorio para otras variantes de enfermedades autoinmunes, igualmente no reactivas. Por esa época no se podía determinar la concentración de interleukina-6 (IL6) en el LCR, indicativo de actividad de la enfermedad.
Investigación con neuroimágenes
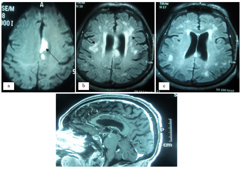
Con el propósito de determinar el compromiso grave del estado neurológico del paciente, que explicara los severos defectos cognitivos, los trastornos comportamentales y los diferentes tipos de epilepsia que habían acaecido durante décadas del desarrollo de la enfermedad, se efectuaron estudios con tomografía cerebral, resonancia magnética del cerebro y estudio angiográfico del sistema carotídeo y vertebro-basilar. Figura 2


Caso clínico 2
Paciente de 50 años, nació en Lima, primaria completa, conviviente, cinco hijas sanas. A la edad de 22 años viaja a Buenos aires con fines de trabajo en labores domésticas. A la edad de 28 años presenta lesiones aftosas de localización en la mucosa oral, en las regiones vulvo-vaginales y los glúteos, dolorosas y recidivantes cada cuatro meses, durante seis años. Fue diagnosticada de infección por herpes simple tipo 2 y tratada con acyclovir 1,200 mg/día durante 10 días sin mejoría de las lesiones. Estuvo en Perú a la edad de 34 años y consultó en el Hospital Dos de Mayo donde se constata las lesiones aftosas anteriormente mencionadas (figura 4). Estas lesiones se distanciaron en su presentación reactivándose cada seis meses. Al año de su permanencia, nota marcada disminución de la agudeza visual en el ojo derecho y al año del inicio de esta molestia se encontraba en ceguera. La evaluación oftalmológica en ese momento determinó ceguera del ojo derecho y una agudeza visual de 20/40 en el izquierdo. El fondo del ojo pudo visualizarse sin dificultades, debido a que los medios eran transparentes, por ausencia de uveítis anterior y posterior, en el área macular derecha, lesión cicatrizial atrófica, con reacción fibrosa y acúmulos de pigmento, que abarca toda el área macular hasta las arcadas vasculares superior e inferior que impresiona el desarrollo de maculopatía distrófica del adulto. En el izquierdo se aprecia imágenes que corresponden a “drusas “en la mácula como marcadores del inicio de la maculopatía en mención. (figura 5). No signos de vasculitis.


Para entonces la paciente no presentó artralgias ni signos inflamatorios en las articulaciones y su estado general era bueno. En junio del 2015, desarrolló en forma aguda, en un período de dos horas aproximadamente paraplejía fláccida, precedida de parestesias desde la región umbilical hasta la planta de los pies, de minutos de duración. Al examen neurológico se constató debilidad braquial moderada con definida paraplejía, acompañada de hiperreflexia y signos de Hoffmann y Babinski bilaterales. La exploración de la sensibilidad fue normal en todas sus formas. Internada en estas condiciones en el Departamento de Enfermedades Infecciosas y Tropicales del Hospital Dos de Mayo. Se conformó una junta médica quienes decidieron realizar biopsia de mucosa bucal y de un nódulo con eritema nudoso siendo reportado los hallazgos como indicativos de vasculitis linfocitaria, que permitió concluir con el diagnóstico de EB y mielopatía por vasculitis. Se efectuaron estudios en sangre y en el líquido cefalorraquídeo para descarte de enfermedad autoinmune frecuente en la mujer y mediante la reacción de cadena polimerasa (PCR) la infección por herpes, virus I-II y HTLVI-II. Los resultados analíticos fueron negativos. En el LCR los niveles de glucosa fueron normales, aumento de albúmina y pleocitosis linfocitaria. La prueba de patergia fue negativa. Finalmente, el estudio de neuroimágenes mediante la Resonancia Magnética de la médula espinal en T1 y en T2 mostraron mielopatía isquémica filiforme con extensión cervicodorsal (figura 6).

Durante dos meses de internamiento, recibió tratamiento con Azatioprina 100 mg diarios y sesiones de fisioterapia, que permitió una evolución favorable, al grado de caminar independientemente con la ayuda de muletas. El medicamento fue tomado durante ocho meses consecutivos; sin embargo, por dificultades económicas tuvo que ser suspendido. En agosto del 2016 reingresa por emergencia del hospital por la misma sintomatología del primer episodio. En esta oportunidad también presentó paraplejía fláccida acompañada de signo de Babinski bilateral con hiperreflexia en los cuatro miembros sin trastornos objetivos de la sensibilidad en todas sus formas. El examen neurológico completo no mostró alteraciones adicionales. Se medicó con baclofeno, para los espasmos flexores; prednisona 80 mg/día y azatioprina 150 mg/día hasta el día de su alta, después de 45 días de internamiento. Por razones ajenas, no se supo más de la paciente.
DISCUSIÓN
No existe la menor duda con respecto al diagnóstico de EB en ambas presentaciones, al referirnos a las manifestaciones aftosas, así como a las asociaciones con patología vascular autoinmune en los miembros inferiores. Los resultados en el LCR (pleocitosis linfocítica con proteinorraquia), igualmente los trastornos neurológicos encefálicos y medulares permiten conceptuar, en ambos casos, como afectos de NB. En el paciente varón la cefalea crónica, las diferentes formas de epilepsia, los trastornos progresivos de la función cognitiva hasta llegar a la demencia, la distimia depresiva, alternante con episodios de euforia, delirio paranoide, constituyeron las manifestaciones neurológicas y psiquiátricas que complementadas con los hallazgos en las neuroimágenes TEM y RMC, que muestran lesiones compatibles con angiopatía vascular isquémica crónica, constituyen el subgrupo parenquimatoso de la enfermedad (NB) (4), desarrollados en el lapso de 34 años. Debemos de precisar que los hallazgos en el líquido cefalorraquídeo y los de las neuroimágenes son similares a los descritos en la literatura.
En la paciente mujer las manifestaciones neurológicas consistieron en el desarrollo agudo de enfermedad medular estratégica comprometiendo la región cervicodorsal en forma de una mielopatía de distribución longitudinal filiforme, afectando los tractos piramidales. Este compromiso neurológico se presentó después de siete años y fue precedida por las lesiones aftosas orales y genitales y el desarrollo de lesión correspondiente a eritema nodoso. De aquí se concluye que la mielitis tuvo un prolongado tiempo para presentarse, y de otro lado su recidiva al año y dos meses con las mismas características. Finalmente, durante todo el tiempo de la enfermedad no hubo manifestaciones neurológicas que indicaran compromiso del parénquima encefálico.
Un hallazgo adicional, fueron las manifestaciones de la pérdida de visión monocular derecha y la presencia de “ drusas maculares “ en el izquierdo, que podrían estar relacionadas con distrofia macular viteliforme del adulto o la enfermedad de Best, autosómica dominante, caracterizada por el acúmulo de lipofucsina en el epitelio pigmentario como consecuencia de la alteración de una proteína transmembrana de calcio, debido a mutaciones en el gen BEST1 localizado en el cromosoma 11 (5).
El compromiso de la médula espinal reportada en la literatura, como mielitis transversa multifocal, constituye una forma de mal pronóstico (6). En la presente investigación con seguimiento clínico de los pacientes, la mujer afectada desarrolló dos episodios de mielitis filiforme, con compromiso motor exclusivo, no encontrada en la literatura revisada.
CONCLUSIONES
Hemos presentado dos pacientes afectados por la EB, seguidos en sus manifestaciones neurológicas y psiquiátricas, en uno de ellos varón en quien se desarrolló a lo largo de tres décadas de la enfermedad numerosas manifestaciones neurológicas y psiquiátricas, consignadas en la descripción clínica del enfermo. De otro lado tuvimos la oportunidad de secuenciar el comportamiento clínico en una paciente mujer que en el desarrollo de su enfermedad por dos oportunidades presentó en forma aguda compromiso de la médula espinal. En ambos hubo la presencia de aftas orales y en los genitales. Ninguno presentó uveítis. El apoyo para los diagnósticos de NB fueron el empleo de las neuroimágenes y el estudio del líquido céfalo -raquídeo. Consideramos que el seguimiento clínico de los enfermos nos permite valorar la gravedad de la enfermedad. Desconocemos en la literatura revisada sobre seguimiento de casos de NB en años de la enfermedad. En el Perú el NB se ha observado en seis oportunidades en el periodo comprendido entre 1,996-2,017. El primer reporte de esta enfermedad fue efectuado por Visaga Maribel et al, como forma pediátrica (7). Alzamora Barrios Blanca contribuyó con pacientes estudiados en el Hospital Arzobispo Loayza (8) y Roberto A. Molina et al., con el reporte de un caso (9).
REFERENCIAS BIBLIOGRÁFICAS
1. Fountain EM, Dhurandar A. Neuro-Behcet’s disease: An unusual cause of headache. J. Gen Intern Med. 2014;29:956-960.
2. Siva A, Özdogan H, Yazici H. Headache, neuro-psychiatric and computerized tomography findings in Behçet's syndrome. En: Lehner T, Barnes CG, editors. Recent Advances in Behçet's Disease. London: Royal Society of Medicine Service; 1986. pp. 247–254
3. Kalra S, Silman A, Akman-Demir G, et al. Diagnosis and management of Neuro-Behçet's disease: international consensus recommendations. J Neurol. 2014; 261(9):1662-76. doi: 10.1007/s00415-013-7209-3
4. Talarico R, Palagini L, d´Ascanio A, Elefante E, Ferrari C, Stagnaro C, et al. Epidemiology and management of neuropsychiatric disorders in Behçet's syndrome. CNS Drugs. 2015; 29(3):189-96. doi: 10.1007/s40263-015-0228-0
5. Espinosa-Barberi G, Galván FJ, Rodriguez P, Viera D, Medina R. Estudio multimodal y diagnóstico diferencial de la distrofia macular viteliforme. Arch Soc Canar Oftal. 2019;30:103-108.
6. Albakaye M, Zahlan S, Louhab N, Kissani N. Acute transverse mielitis revealing neurobehcet disease. Rev Neurol. 2014;170(2):144-146.
7. Visaga M, Campos P, Bancalari E, Romero F, Hernández H, Berrocal A, et al. Neurobehcet pediátrico: Presentación de un caso y revisión de la literatura. Rev Med Hered. 1996; 7(4): 178-181. DOI: 10.20453/rmh.v7i4.513
8. Alzamora B, Martínez F. Enfermedad de Behcet: Estudio clínico y tratamiento en el Hospital Arzobispo Loayza. Rev Med Hered. 2001;12(2): 58-64. DOI: 10.20453/rmh.v12i2.668
9. Molina R, Huerta A, Alva C, et al. Enfermedad de Neuro-Behcet en Perú: reporte de un caso y revisión de la literatura. Medware. 2017; 17(5):e6978 doi: 10.5867/medwave.2017.05.6978
Notas de autor
Correspondencia: Marco A. Castañeda Reyna. Servicio de Neurología, Hospital Nacional Dos de Mayo Jirón Moquegua 3655. San Martín de Porres, Lima, Perú Teléfono: 51 987185856. Correo electrónico: marcocastanedareyna@gmail.com
Enlace alternativo
https://revistas.upch.edu.pe/index.php/RNP/article/view/4332/4880 (pdf)