Resumen: El abordaje de pacientes intoxicados que presentan antecedentes de patología psiquiátrica supone un reto en la atención médica. La presencia de una patología dual puede conducir a que algunos síntomas somáticos sean desestimados y no se consideren como manifestación de una posible patología grave subyacente. Se reporta el caso de una paciente que, durante su hospitalización debida a un episodio depresivo, presentó una sobredosis incidental de opioides. Al recuperarse de ella, sin embargo, presentó comportamiento desorganizado e ideas delirantes, inicialmente atribuidas a la depresión. Estudios ulteriores demostraron una causa orgánica grave subyacente: lesión isquémica bilateral del globo pálido. Se analiza el cuadro clínico a la luz de la literatura pertinente, abordando los temas de delirium, espectro clínico debido a las lesiones del globo pálido y finalizando con una breve descripción sobre la sobredosis y neurotoxicidad por opioides. Frente a síntomas no concordantes con la evolución usual de una descompensación psicopatológica o una intoxicación por drogas, debe ahondarse en la exploración de posibles causas orgánicas, objetivo para el cual se sugiere considerar estudios de neuroimágenes en todo paciente que experimente una sobredosis de opioides y que posteriormente presente graves manifestaciones de una alteración cognitiva.
Palabras clave: Sobredosis de opioides, globo pálido, delirium, cuadro cerebrovascular, neurotoxicidad.
Abstract: The approach to intoxicated patients with a previous history of psychopathological manifestations represents a challenge to medical care. The presence of a dual pathology can lead to somatic symptoms being dismissed and not considered as possible manifestations of a serious underlying pathology. We report the case of a patient who, during her hospitalization for a depressive episode, presented an incidental opioid overdose. Upon recovery, she presented disorganized behavior and delusions, initially attributed to her depression. Further studies demonstrated, however, a serious underlying organic cause: A bilateral ischaemic injury of the globus pallidus. The clinical picture is analyzed in the light of the relevant literature, addressing the issues of delirium, clinical spectrum of globus pallidus lesions and ending with a brief description of opioid overdoses and neurotoxicity. Faced with symptoms that are not consistent with the usual course of a psychopathological decompensation or drug intoxication, possible organic causes should be delved into. It is suggested that neuroimaging studies be considered in any patient who suffers from an opioid overdose and who later presents severe cognitive alterations.
Keywords: Opiate overdose, globus pallidus, delirium, stroke, neurotoxicity.
Reportes de caso
¿Psicosis luego de sobredosis por opioides? Lesión isquémica bilateral del globo pálido como causa orgánica insospechada
¿Psychosis after opioid overdose? Bilateral globus pallidus ischaemic injury as an unsuspected organic cause

Recepción: 24 Agosto 2022
Aprobación: 19 Noviembre 2022
El abordaje de pacientes intoxicados que presentan antecedentes de patologías psiquiátricas supone un reto en la atención. La presencia de una patología dual puede llevar a que los síntomas somáticos descritos por los pacientes sean desestimados por el equipo tratante, se consideren erróneamente como secundarios a una descompensación del trastorno mental y no como la manifestación de una causa orgánica grave subyacente. En el siguiente reporte se ejemplifica la situación anterior, describiendo un caso de intoxicación aguda por opioides en el contexto de un trastorno depresivo y por uso de sustancias (TUS), que desarrolla síntomas psicóticos agudos, inicialmente considerados como consecuencia del episodio depresivo para más adelante demostrarse secundarios a un evento cerebrovascular, en el marco de la neurotoxicidad inducida por opioides.
Para la descripción y análisis del caso se recolectó la información clínica tanto de la fuente primaria como secundaria a partir de archivos clínicos. La revisión de la literatura se realizó mediante una búsqueda no estructurada en las bases de datos Pubmed, Ovid MEDLINE, Scielo, Redalyc, Google académico y Lilacs incluyendo los términos descriptores médicos: sobredosis de opioides, globo pálido, infarto cerebral, delirium, neurotoxicidad por opioides.
Una mujer en la quinta década de la vida, quien se encontraba hospitalizada en un centro de especializado en salud mental, es trasladada al servicio de urgencias de una clínica de alta complejidad por presentar de forma aguda alteración en el estado de consciencia y del patrón respiratorio asociado a la administración intrahospitalaria de metadona a dosis de 40mg por vía oral. Ante la sospecha de sobredosis de opioides se provee soporte ventilatorio y se administra naloxona 0.4mg por vía intravenosa, logrando mejoría del estado de consciencia, de la frecuencia respiratoria y la ventilación; sin requerir intervención en la vía aérea. Dentro de sus antecedentes destacan: trastorno depresivo, trastorno por uso de sustancias (TUS) (oxicodona y tramadol), dependencia a opioides, dolor crónico y cáncer de mama en remisión. No presenta factores de riesgo cardiovascular conocidos previamente. Su medicación crónica incluye: lidocaína en parches, carbonato de litio, pregabalina, duloxetina, metadona y clonazepam. Durante la hospitalización es valorada por psiquiatría quienes encuentran una paciente orientada, hipoactiva e hipoproséxica, de afecto ansioso con trasfondo depresivo y mal modulado, lenguaje claro y coherente, bradilalia y bradipsiquia, sin alteraciones en la sensopercepción, con juicio debilitado. Durante la estancia en unidad de cuidados especiales (UCE) presenta episodio de alteración súbita del estado de consciencia acompañado de sialorrea, con hallazgo de pupilas mióticas no reactivas, cianosis y desaturación (SaO2 40%), taquicardia de 148 latidos por minuto, ausencia de respuesta a estímulos dolorosos y movimientos anormales de las extremidades. Se indica manejo empírico con naloxona, pero en esta ocasión no hay recuperación del estado basal. Se preparan los elementos para asegurar la vía aérea pero el episodio resuelve espontáneamente, generando la sospecha de corresponder a una crisis sintomática aguda. Al mejorar el estado de consciencia se encuentra a la paciente tranquila, desorientada en tiempo, sin déficit neurológico focal. Es trasladada a la unidad de cuidados intensivos (UCI) para vigilancia estrecha, donde comienza a manifestar ideas autorreferenciales y paranoides, desorientación, alteración del ciclo sueño-vigila, alucinaciones visuales, agresividad con el personal de salud y sus cuidadores, al punto de requerir contención física y farmacológica. En valoraciones ulteriores por psiquiatría se encuentra a la paciente con actitud de extrañeza, inquietud motora y embotada, hipoproséxica, con pensamiento incoherente e ideas delirantes, juicio suspendido. Ante los síntomas psicóticos agudos y fluctuación del alertamiento se sospecha falla cerebral aguda o delirium, se inicia olanzapina, ácido valproico y se amplía en la búsqueda de una causa orgánica subyacente pues no es la evolución propia de un episodio depresivo. En el manejo multidisciplinario se incluyen a los equipos de neurología, toxicología y medicina intensiva.
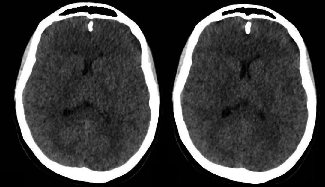
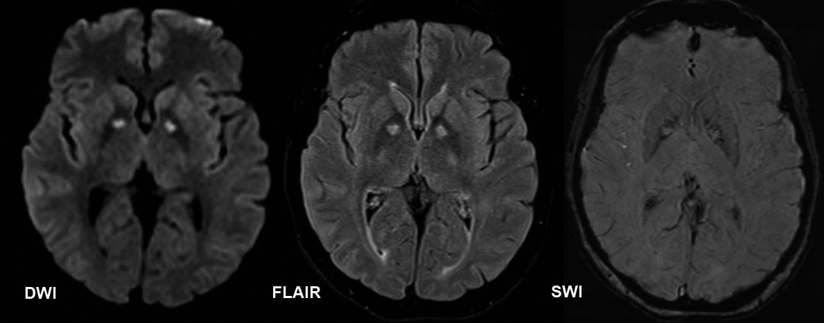
Los estudios de extensión no dan evidencia de alteración metabólica ni de infección intercurrente, una tomografía computarizada (TC) cerebral sin contraste no demuestra alteraciones (figura 1). Se realiza un video electroencefalograma de tres horas que demuestra trazado compatible con encefalopatía leve, sin evidencia de actividad irritativa focal. Se decide profundizar con una resonancia magnética cerebral en búsqueda de otros diferenciales; dicho estudio que se realiza 72 horas posteriores a la tomografía inicial, evidencia lesión isquémica subaguda bilateral en los globos pálidos (figura 2). En los días siguientes la paciente presenta empeoramiento de los síntomas ansiosos y afectivos, manifestando marcada inquietud motora e incapacidad para permanecer quieta, sugestivo de un cuadro de acatisia, el cual se modula con aumento de la dosis de antipsicótico y suspensión del antidepresivo. Progresivamente hay control de los síntomas, mejoría del afecto, regulación del ciclo sueño-vigila, sin presentar nuevas alteraciones de la sensopercepción ni ideas delirantes. Además, y llamativamente, el dolor crónico y la necesidad de consumo de opioides remiten completamente, permitiendo rápidamente el desmonte de la metadona, previamente iniciada para el manejo del TUS. Luego de aproximadamente tres semanas de tratamiento intrahospitalario, la paciente es dada de alta para continuar seguimiento por psiquiatría y toxicología de forma ambulatoria.


El delirium o falla cerebral aguda, es un síndrome neuropsiquiátrico grave que se caracteriza por la aparición aguda de déficits en la atención, el alertamiento y otros aspectos relacionados con la cognición. Por lo general, los pacientes evidencian alteraciones del estado de consciencia que fluctúan desde estados hipoactivos cercanos al coma hasta la marcada agitación psicomotora, usualmente acompañados de síntomas psicóticos altamente inquietantes como alucinaciones visuales y auditivas, desórdenes en la estructura del pensamiento e importantes variaciones del afecto (1). Es una patología frecuente en el ambiente hospitalario que se presenta en cerca del 80% de los pacientes que ingresan a las unidades de cuidados intensivos (1,2,3,4). Por tanto, el médico tratante debe tener un alto índice de sospecha ante la aparición aguda de alteraciones sutiles en el examen mental diario de sus pacientes. Para que ocurra el delirium, se requiere de la existencia de factores predisponentes como la edad avanzada, cambios involutivos cerebrales, noxas que afecten de forma crónica las estructuras del sistema nervioso central (por ejemplo, crisis convulsivas o consumo crónico de sustancias psicoactivas) y uno o varios factores que alteren de forma aguda la homeostasis cerebral tales como infecciones sistémicas, hipoxia, estados de choque, entre otros. La conjugación de los factores predisponentes y desencadenantes en el paciente susceptible desemboca en el síndrome clínico que subyace a una lesión orgánica grave, siendo esta una condición sine qua non para el diagnóstico. Como se demuestra en el caso reportado, coexistían diversos factores que facilitaron el desarrollo de alteraciones neuropsiquiátricas secundarias a una noxa cerebral o lesión isquémica del globo pálido bilateral, descubierto solamente cuando se identificó con claridad el cuadro de delirium y se avanzó en los estudios diagnósticos. Tristemente los desenlaces asociados al delirium son desalentadores: hasta un 20% persiste con algún grado de alteración de la cognición meses después, es un factor de riesgo para el declive cognitivo y progresión de la demencia en adultos mayores y se asocia con un riesgo mayor de morbimortalidad (1,2,4). En el caso reportado, una evaluación cognitiva de Montreal (MoCA test, por sus siglas en inglés) realizada previa al egreso evidenció un puntaje de 19/30 (función cognitiva anormal), con afectación de las áreas visoespaciales, de atención, abstracción y recuerdo diferido.
Ahora bien, con respecto a los pacientes usuarios de drogas de abuso, se conoce que están en mayor riesgo de sufrir ataques cerebrovasculares (isquémicos o hemorrágicos). El mayor riesgo se ha reportado con el uso de estimulantes como anfetaminas y la cocaína, siendo inusual que se presente esta complicación en las intoxicaciones por psico-miméticos incluyendo cannabis y los opioides. En relación con estos últimos, la mayoría de los eventos cerebrovasculares están asociados al consumo de heroína intravenosa, dado el riesgo de endocarditis y embolia de excipientes (5). Un estudio retrospectivo realizado en Irán y publicado en 2012, caracterizó los hallazgos tomográficos de los pacientes que consultaban por sobredosis de opioides, incluyendo 71 pacientes. Se reportó que el rendimiento para encontrar alteraciones intracraneanas en los pacientes con alteración mayor del estado de consciencia fue hasta del 20% (6). Con respecto a los hallazgos imagenológicos más frecuentemente encontrados en los pacientes que presentan intoxicaciones por opioides se incluyen: edema citotóxico, pseudo hemorragia subaracnoidea, leucoencefalopatía e infartos subcorticales (tabla 1) (7).
Esta “pequeña” lesión isquémica bilateral a nivel de los ganglios basales puede generar la falsa impresión de corresponder a una lesión menor. Sin embargo, como se pudo evidenciar con la evolución clínica en el presente caso, la afectación simultánea de estas estructuras se asocia con daños importantes en múltiples funciones mentales superiores. En la literatura se reporta que las alteraciones del globo pálido se han asociado con enfermedades neuropsiquiátricas como trastornos de ansiedad, síndrome de Tourette, déficit de atención, distonías adquiridas, acatisia y otras alteraciones del movimiento de tipo extrapiramidal; además de relacionarse con alteraciones en las vías de la recompensa y de las emociones placenteras (12,13,14,15,16). Con respecto a la neuroanatomía funcional, se conoce que estas estructuras se dividen en los segmentos externo e interno y junto con el putamen constituyen los núcleos lenticulares. Tienen una importante relación con el tálamo, hipotálamo y sustancia negra; ejerciendo funciones de control y modulación sobre las vías que regulan los comportamientos intencionados, la coordinación, la cognición, el afecto y varias vías sensitivas cortico-medulares, sobre todo aquellas que involucran la propiocepción (13,17,18). Son áreas de alta densidad axonal, actuando como centro de conjunción de vías de neurotransmisión por dopamina, glutamato y GABA (13,18). Dada la complejidad de los circuitos neuronales que confluyen a nivel subcortical, ganglio basal y talámico, usualmente se requiere una lesión bilateral y sincrónica para general alteraciones clínicamente evidentes (16,19,20,21); presentándose de esta forma y con cierta frecuencia en escenarios de choque profundo y sostenido, así como en situaciones de hipoxia grave descritas durante la intoxicación por monóxido de carbono, cocaína, heroína y otros opioides (12,13,20,21). Por lo anterior, dicha lesión representa un diagnóstico diferencial de especial relevancia en los pacientes quienes luego de una sobredosis por opioides, desarrollan de forma aguda síntomas cognitivos, afectivos y/o motores no explicados por el efecto de las sustancias exógenas involucradas.
Como dato de especial relevancia en este reporte dada la lesión cerebral evidenciada, se ha descrito que entre el 5 a 10% de los usuarios de heroína pueden presentan lesiones isquémicas en el globo pálido (8,9). Inclusive, en estudios por autopsias, se ha reportado que hasta el 10% de los pacientes que sufren de adicción a opioides presentan lesiones de tipo hipóxico isquémicas bilaterales en los globos pálidos (10). Considerando la baja sensibilidad de la tomografía simple para identificar lesiones isquémicas cerebrales (11), las imágenes obtenidas mediante resonancia magnética cerebral son fundamentales para llegar a un diagnóstico en estos casos.

Con respecto a la sobredosis por opioides, esta se ha definido como el síndrome clínico secundario a la exposición a una dosis tóxica de opioides que incluye depresión del estado de consciencia, bradipnea y respiraciones superficiales, hipoxia y miosis (22,23). El manejo inicial y urgente de estos pacientes incluye el abordaje y estabilización en paralelo de la vía aérea, la ventilación y circulación; apoyado en el uso de naloxona, un antagonista opioide de corta acción, de preferencia por vía intravenosa y a dosis de 0,4mg, titulando a dosis repetidas cada 2 a 3 minutos de acuerdo con la aparición de reflejos protectores de la vía aérea y la respuesta del esfuerzo ventilatorio, cuya recuperación y frecuencia mayor a 12 veces por minuto debe tomarse como principal meta terapéutica y no la reversión completa de la alteración de la consciencia pues se corre el riesgo de generar un síndrome de abstinencia y convulsiones (22,24). Si bien el manejo inicial adecuado es una intervención que salva la vida, es importante recalcar que un cerebro que sobrevive a una sobredosis no resulta indemne. Una reciente revisión sistemática de la literatura que incluyó 79 estudios acerca de los efectos neurocognitivos que resultan de la sobredosis por opioides, encontró que las lesiones por hipoxia-anoxia a nivel cerebral pueden aparecer tan pronto como en los primeros 3 a 6 minutos, son de gran variedad e incluyen diagnósticos de encefalopatía y leuco encefalopatía, amnesia, ataque cerebrovascular isquémico; asociándose a alteraciones del comportamiento, conductas extrañas e inapropiadas, abulia, agitación, disquinesias, manía, confusión y desorientación (23).
En la figura 3 se esquematizan los componentes clínicos del síndrome de neurotoxicidad inducida por opioides. Esquema de construcción propia de los autores con base en las referencias (7,25,26,27,28).

A lo anterior debe sumarse la posibilidad de concurrencia del síndrome de neurotoxicidad inducida por opioides, el cual corresponde a una variedad de síntomas y signos característicos que se manifiestan en los pacientes que han estado expuestos a este tipo de medicamentos tanto de forma aguda como crónica (figura 3). Se asocia a cualquier tipo de opioide, pero es más frecuente cuando estos generan metabolitos activos como morfina, meperidina, codeína, hidromorfona o metadona. Las poblaciones con mayor riesgo de sufrir este síndrome son los adultos mayores, los niños, las personas con déficit cognitivo y aquellas con historia de trastorno por uso de sustancias (26). No se conoce con certeza cuál es la fisiopatología subyacente a este síndrome, se cree que es de origen multifactorial y que se explica por la acumulación de metabolitos activos, acción sobre receptores NMDA en el sistema límbico y efectos deletéreos sobre la autorregulación vascular y trofismo cerebral. El manejo usual incluye la disminución de la dosis, rotación del opioide y en algunos casos la suspensión de estos (25,26,27).
Dadas las consideraciones clínicas, toxicológicas y fisiopatológicas ya descritas, se considera altamente plausible que en el caso reportado las alteraciones del estado de alertamiento, comportamentales, del contenido del pensamiento y de las funciones cognitivas superiores, se correspondan a la manifestación de una lesión cerebral global y multifactorial, enmarcada en cuadro de delirium secundario a una lesión isquémica bilateral ganglio-basal de etiología inusual por sobredosis de opioides, ocurriendo en un cerebro vulnerable, a su vez favorecida por un síndrome de neurotoxicidad por opioides. Como aspecto positivo y de forma acorde con lo reportado en la literatura (11), la llamativa rápida mejoría en el dolor crónico y en la dependencia de opioides puede corresponderse a un efecto colateral y benéfico de la lesión isquémica y bilateral del globo pálido, ya que estos centros pueden modular los comportamientos de adicción al estar involucrados en los mecanismos de recompensa.
La valoración de todos los pacientes aguda y críticamente enfermos, en especial aquellos con antecedente de un trastorno por uso de sustancias y/o patología psiquiátrica, requiere un ejercicio profundo de empatía que reduzca los sesgos culturales y personales, con el fin de brindar la mejor atención posible desde un punto de vista ético y científico. Frente a los síntomas no concordantes con la evolución usual de una descompensación de patología mental o una intoxicación, debe ahondarse en las posibles causas orgánicas que expliquen el cuadro clínico. Con base a la revisión de la literatura y la experiencia clínica reportada, se sugiere considerar la realización de una neuroimagen a todo paciente que sufra una sobredosis de opioides y que posteriormente presente una alteración grave de su cognición, conservando un bajo umbral para ampliar los estudios ante la persistencia del déficit. En dichos casos, la imagen de elección será la resonancia magnética.
https://revistas.upch.edu.pe/index.php/RNP/article/view/4371/4906 (pdf)
Los autores extendemos un especial agradecimiento a la paciente y sus familiares por permitirnos divulgar su caso en favor de la construcción científica.
Correspondencia: Juan Luis Vélez-Leal. Dirección: Calle 9A Sur #29-95, 703. Medellín, Antioquia, Colombia. Correo electrónico: velezl.juan@gmail.com. Contacto: 57 (604) 311 78 71, Celular: +57 314 887 81 30.


