Reportes de caso
Seis casos consecutivos de sarcoma intracraneal primario en niños en dos instituciones privadas de Lima durante la pandemia del COVID-19
Six consecutive cases of primary intracranial sarcoma in children in two private institutions from Lima during COVID-19 pandemic
Seis casos consecutivos de sarcoma intracraneal primario en niños en dos instituciones privadas de Lima durante la pandemia del COVID-19
Revista de Neuro-Psiquiatría, vol. 86, núm. 1, pp. 68-76, 2023
Universidad Peruana Cayetano Heredia

Recepción: 21 Diciembre 2022
Aprobación: 20 Marzo 2023
Resumen: Objetivo: El presente artículo describe las características clínicas e imagenológicas de seis pacientes en edad pediátrica con diagnóstico de tumor cerebral atendidos en dos instituciones privadas de Lima durante la pandemia del COVID-19. Material y métodos: Estudio descriptivo de casos de tumor cerebral en pacientes menores de 18 años, atendidos en dos clínicas privadas de Lima, desde marzo 2020 a diciembre 2021. Resultados: Seis casos consecutivos de tumores intracraneales fueron detectados durante la mayor parte del primer año de la pandemia COVID-19 (periodo de octubre del 2020 a marzo del 2021), todos ellos con el diagnóstico de sarcoma intracraneal primario. Antes de la pandemia, el último sarcoma intracraneal primario en niños operado en las instituciones mencionadas ocurrió en junio del 2018 y fue el único caso de este tipo de tumor en el año. Conclusiones: Durante la pandemia de COVID-19, se encontró una inusual frecuencia de sarcoma intracraneal primario en niños en dos instituciones privadas de Lima.
Palabras clave: Sarcoma, sistema nervioso central, COVID-19 .
Abstract: Objective: The article describes the clinical and neuroimaging characteristics of six children with the diagnosis of brain tumor attended in two private institutions from Lima, during the COVID-19 pandemic. Material and methods: Descriptive study of cases of brain tumor in patients aged 18 and younger, followed at two private institutions in in Lima, from March 2020 to December 2021. Results: Six consecutive cases of intracranial tumors were detected during a large part of the COVID-19 pandemic’s first year (October 2020 to March 2021), all of them with diagnosis of primary intracranial sarcoma. Before the pandemic, the last primary intracranial sarcoma in children, operated in the mentioned institutions, occurred in June 2018 and was the only case that year. Conclusions: During the COVID-19 pandemic, an unusual frequency of primary intracranial sarcoma in children was found in two private institutions from Lima.
Keywords: Sarcoma, central nervous system, COVID-19 .
INTRODUCCIÓN
El mundo sufre actualmente los estragos de la pandemia del COVID-19, cuyo agente etiológico es el SARS-CoV-2. Los primeros casos de la actual pandemia del COVID-19 fueron detectados en Wuhan (China) en diciembre del 2019 (1). El primer caso de COVID-19 en el Perú fue diagnosticado el 6 de marzo del 2020 (2).
A pesar de las medidas tempranas de cuarentena nacional y otras restricciones, el Perú fue terriblemente impactado por la pandemia del COVID-19, alcanzando 1 200 muertes por millón de habitantes en febrero del 2021 (3). El sistema de salud público del Perú, que estuvo trabajando al límite de su capacidad por años, se saturó rápidamente debido a la atención de los pacientes con COVID-19. Esto llevó a muchos pacientes adultos y pediátricos buscar atención en el sistema privado de salud para el tratamiento de sus distintas dolencias, entre ellas las enfermedades neuroquirúrgicas como los tumores cerebrales. Sin embargo, es escasa la información en el Perú sobre la atención de los niños con diagnóstico de tumor cerebral durante la pandemia del COVID-19.
Se describen las características clínicas e imagenológicas de 6 casos en edad pediátrica con diagnóstico de tumor cerebral atendidos en dos instituciones privadas de Lima durante la pandemia del COVID-19, atendidos durante el periodo de octubre 2020 a diciembre 2021, todos ellos con diagnóstico histológico de sarcoma intracraneal primario, un tipo de tumor de diagnóstico infrecuente en niños. Se excluyeron pacientes sin diagnóstico histológico confirmatorio del tumor cerebral y aquellos con diagnóstico inicial de tumor cerebral previo a marzo del 2020. El estudio cuenta con revisión y aprobación del Comité de ética para la investigación de las clínicas San Pablo-Surco y Ricardo Palma.


CASOS CLINICOS
Desde el inicio de la pandemia del COVID-19 en marzo del 2020, se diagnosticaron y operaron en dos clínicas privadas de Lima seis tumores intracraneales, todos ellos con diagnóstico histológico de sarcoma intracraneal primario, cuyas características se resumen en la tabla 1.
Caso 1
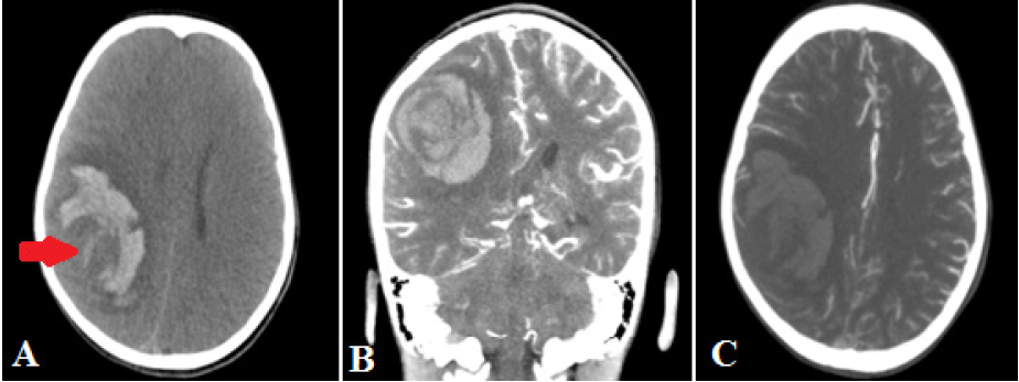
Paciente varón de 5 años ingresó a emergencia en octubre del 2020 por presentar irritabilidad, trastorno del sensorio progresivo, náuseas y vómitos en 3 oportunidades tras caída de cama. Al examen físico, el paciente presentaba un puntaje en la Escala de Coma de Glasgow (ECG) de 11, con pupilas isocóricas, fotorreactivas y hemiparesia izquierda. La tomografía cerebral sin contraste evidenció hemorragia intraparenquimal en la región fronto-parietal derecha de aspecto reciente con edema vasogénico con imagen de aspecto nodular en su interior; asimismo, la angiotomografía cerebral no mostraba malformación arteriovenosa asociada (figura 1). El paciente ingresó a la Unidad de Cuidados Intensivos Pediátricos, donde fue intubado y recibió medicación para neuroprotección. Ante condición clínica del paciente, se decidió realizar una intervención quirúrgica de emergencia para evacuación del hematoma intraparenquimal. Tras la craneotomía y apertura de la duramadre se evidenció una aparente lesión tumoral infiltrativa, cortico-subcortical sangrante con plano de clivaje parcialmente definido asociado a hematoma intraparenquimal. Se realizó una resección quirúrgica amplia de la lesión. No hubo complicaciones durante el intraoperatorio. El paciente cursó febril en el día 1 del postoperatorio. La tomografía cerebral sin contraste de control, en el día 2 del postoperatorio, no evidenció sangrado en el lecho operatorio de necesidad quirúrgica. Sin embargo, el paciente presentó ese día de manera súbita paro cardiorrespiratorio, falleciendo a pesar de las maniobras de reanimación. La muestra tumoral fue informada como sarcoma cerebral no diferenciado con inmunohistoquímica: vimentina positiva, receptor de progesterona negativo, EMA negativo, desmina negativo, actina negativa, CD99 negativo, GFAP negativo, p53 positivo, ki67 90%.

A: corte axial de tomografía cerebral sin contraste muestra hemorragia fronto-parietal derecha con imagen nodular en su interior (flecha roja), con desplazamiento de línea media y colapso de ventrículo lateral derecho. B: corte coronal de tomografía cerebral muestra hemorragia sin captación anormal de contraste. C: corte axial de angiotomografía cerebral no muestra malformación arteriovenosa asociada.
Caso 2
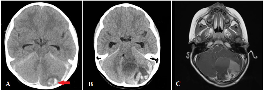
Paciente mujer de 4 años ingresó a emergencia en octubre del 2020 por presentar cefalea y náuseas tras haberse caído de cama aparentemente, no hubo pérdida de conciencia. Al examen físico, la paciente presentaba palidez, somnolencia, pupilas isocóricas, fotorreactivas, con puntaje en la ECG de 13, sin déficit motor. Se realizó tomografía cerebral sin contraste donde se evidenció un pequeño sangrado periférico en el hemisferio cerebeloso izquierdo sin efecto de masa. Esta imagen fue descrita como contusión hemorrágica cerebelosa izquierda (figura 2A). Paciente ingresó a la Unidad de Cuidados Intensivos Pediátricos para monitoreo neurológico. Paciente evolucionó sin complicaciones, siendo dada de alta a los dos días. Durante control por teleconsulta, se informó que la paciente había presentado cefalea y dolor cervical sin vómitos ni deterioro del sensorio, por este motivo se incrementó la dosis de analgésicos. Dos semanas después de ese control, la paciente volvió a emergencia por presentar cefalea súbita, un vómito y deterioro marcado del sensorio. Al examen físico, paciente se encontraba en sopor, presentando crisis epiléptica. Se tuvo que proceder a la intubación orotraqueal. En la tomografía cerebral sin contraste se evidenció una lesión de densidad heterogénea en hemisferio cerebeloso izquierdo, con sangrado asociado e importante efecto de masa que producía cierre del cuarto ventrículo y dilatación ventricular secundaria (figura 2B). Se realizó resonancia magnética cerebral donde se evidenció un proceso expansivo con componente hemorrágico, captador de contraste, localizado en el hemisferio cerebeloso izquierdo (figura 2C). Ante estado clínico del paciente se decidió intervenir quirúrgicamente de emergencia; se realizó una craneotomía suboccipital más resección de tumor cerebeloso, con colocación de drenaje ventricular externo occipital derecho. Se encontró en el acto operatorio un tumor grisáceo sangrante con pobre plano de clivaje y hematoma intraparenquimal asociado. Se realizó una resección quirúrgica amplia del tumor. No hubo complicaciones intraoperatorias. Después de la cirugía, la paciente evolucionó favorablemente, recuperando plenamente el estado de sensorio. Se retiró el drenaje ventricular externo tras comprobarse no hidrocefalia tras cierre de drenaje por más de 24 horas. La muestra tumoral fue informada por patología como sarcoma pleomórfico indiferenciado intracraneal primario con la siguiente inmunohistoquímica: PGFA negativo, desmina positivo focal, miogenina negativo, CD34 negativo, actina positivo focal, pérdida parcial ATRX, p53 positivo y sobre-expresado, OLIG-2 negativo. Con el diagnóstico histológico se activó el seguro oncológico particular del paciente siendo transferida a otra institución privada de salud a pedido de la familia para recibir quimioterapia y radioterapia.

A: Corte axial de tomografía cerebral de ingreso muestra aparente contusión hemorrágica cerebelosa izquierda (flecha roja) y sangrado tentorial. B: corte axial de tomografía cerebral sin contraste tras reingreso de paciente muestra masa de densidad heterogénea en hemisferio cerebeloso izquierdo con componente hemorrágico asociado a dilatación de cuernos temporales. C: corte axial de resonancia magnética cerebral con contraste donde se observa lesión captadora de contraste en hemisferio cerebeloso izquierdo que cierra cuarto ventrículo, compatible con un proceso expansivo con componente hemorrágico.
Caso 3
Paciente mujer de 6 años ingresó al servicio de emergencia en diciembre del 2020 por presentar dos días antes del ingreso cefalea y malestar general. El día del ingreso, la paciente presentó dolor abdominal con náuseas y vómitos a repetición. Al examen físico, la paciente presentaba un puntaje en la ECG de 13, respondía órdenes simples verbales, estaba pálida, con mucosas secas, ojos hundidos y un llenado capilar de dos segundos. El abdomen estaba blando, con leve dolor difuso a la palpación profunda. Se realizó una tomografía de abdomen donde se observó el apéndice cecal con ausencia de contenido de aire y leve incremento de la densidad de su grasa a nivel distal, con sospecha de apendicitis. Sin embargo, la paciente presentó también deterioro progresivo del sensorio estando en el servicio de emergencia indicándose tomografía cerebral sin contraste donde se evidenció hidrocefalia obstructiva debido a un proceso expansivo de fosa posterior de densidad heterogénea, con componente hemorrágico (figura 3A). Se realizó drenaje ventricular externo de emergencia a nivel frontal derecho obteniéndose líquido cefalorraquídeo a presión incrementada. La paciente pasó a la Unidad de Cuidados Intensivos Pediátricos. Se indicó una resonancia magnética cerebral donde se observó un proceso expansivo infratentorial de componente sólido y quístico, con sangrado asociado, captador de contraste, ubicado en vermis cerebeloso con extensión a pedúnculos y hemisferios cerebelosos adyacentes con compresión del acueducto de Silvio y el cuarto ventrículo (figura 3B y 3C).
Tras la resonancia magnética, la paciente cursó con bradicardia sostenida, indicándose intervención quirúrgica que consistió en craneotomía suboccipital con abordaje paravermiano derecho y resección de tumor, el cual era de color grisáceo, vascularizado, con plano de clivaje parcialmente definido. Se realizó una resección quirúrgica amplia de la lesión tumoral, sin complicaciones intraoperatorias. La paciente evolucionó favorablemente tras intervención quirúrgica recuperando completamente el estado del sensorio. Se operó nuevamente para retirar el drenaje ventricular externo y colocar un sistema de derivación ventriculoperitoneal de presión media contoured pediátrico; no hubo complicaciones perioperatorias. La muestra quirúrgica fue informada como sarcoma fusocelular intracraneal de alto grado con la siguiente inmunohistoquímica: pérdida de la expresión nuclear del ATRX, expresión nuclear focal del MyoD1, P53 positivo intenso y difuso nuclear, ki-67 80%. Tras el diagnóstico histológico, se activó el seguro oncológico particular del paciente siendo transferida a otra institución privada a pedido de la familia para recibir quimioterapia y radioterapia.

A: corte axial de tomografía cerebral sin contraste muestra sangrado a nivel de cuarto ventrículo con dilatación de cuernos temporales de los ventrículos laterales. B: corte axial de resonancia magnética cerebral con contraste evidencia proceso expansivo de fosa posterior con captación heterogénea de contraste. C: corte sagital de resonancia magnética cerebral con contraste muestra proceso expansivo dependiendo de vermis cerebeloso que produce severa compresión del cuarto ventrículo y dilatación del sistema ventricular.
Caso 4
Paciente mujer de 9 años ingresó a emergencia en enero del 2021 por presentar el día del ingreso cefalea, vómitos y trastorno del sensorio. Al examen físico, la paciente estaba pálida, con puntaje en la ECG de 12 y tenía tono muscular disminuido. La tomografía cerebral de ingreso evidenciaba hemorragia de localización frontobasal izquierda y la angiotomografía cerebral mostraba una aparente malformación vascular asociada . La paciente ingresó a la Unidad de Cuidados Intensivos Pediátricos para monitoreo neurológico. Se indicó resonancia magnética cerebral donde se evidenció un hematoma frontal izquierdo de localización basal, el informe de radiología sugería malformación vascular rota sin descartar proceso expansivo oculto . Se indicó panangiografía cerebral, sin embargo, la paciente de manera súbita presentó mayor deterioro de sensorio, la tomografía cerebral en ese momento evidenció un mayor edema cerebral sin incremento en las dimensiones del hematoma. Se indicó cirugía de emergencia realizándose una craneotomía fronto-temporal izquierda más evacuación de hematoma. Se encontró un edema cerebral severo que mejoró parcialmente con la evacuación del hematoma. No hubo complicaciones intraoperatorias. Tras cirugía, la paciente se mantuvo intubada y en neuroprotección hasta su transferencia a un hospital de EsSalud a pedido de la familia, donde fue operada nuevamente. El informe de patología de la muestra obtenida en esta última intervención quirúrgica fue neoplasia maligna de alto grado, PGAF negativo, Ki-67 70%, p53 positivo, consistente con sarcoma primario del sistema nervioso.
Caso 5
Paciente mujer de 6 años ingresó a emergencia en febrero del 2021 después de presentar dos episodios de desviación de la mirada. Tenía como antecedente trauma craneal dos días antes al ingreso. Al examen físico, la paciente presentaba con puntaje en la ECG de 15, con pupilas isocóricas, fotorreactivas, sin déficit motor. En la tomografía cerebral sin contraste se evidenció hipodensidad cortico-subcortical a nivel occipital derecho . Paciente fue hospitalizada para monitoreo y completar estudios de neuroimágenes. La resonancia magnética de cerebro evidenció proceso expansivo cortico-subcortical occipital derecho, redondeado, captador de contraste . La paciente cursó con cefalea y náuseas durante la hospitalización. Se planteó tratamiento quirúrgico, sin embargo, los padres solicitaron traslado del paciente a un hospital del Seguro Social Peruano (EsSalud) para la intervención quirúrgica. De acuerdo a la historia clínica, el diagnóstico histológico de la lesión fue sarcoma cerebral recibiendo radiocirugía como parte del manejo complementario.
Caso 6
Paciente varón de 5 años ingresó a emergencia en marzo del 2021 por presentar pérdida de conciencia mientras estaba jugando. Al examen físico, el paciente presentaba un puntaje en la ECG de 9, con respuesta pobre al dolor, hipoventilando. Se procedió a la intubación orotraqueal y pasó a la Unidad de Cuidados Intensivos Pediátricos. En la tomografía cerebral sin contraste se evidenció edema digitiforme a nivel parietal izquierdo . La resonancia magnética cerebral mostró un proceso expansivo parasagital parietal izquierdo, captador de contraste con lesión adyacente sugerente de cavernoma . El reporte de radiología mencionó además áreas de necrosis y sangrado no reciente intratumoral. El paciente estuvo intubado y en ventilación mecánica hasta la intervención quirúrgica, la cual consistió en una craneotomía más resección de tumor. Se encontró en el acto operatorio un proceso expansivo subcortical grisáceo, vascularizado, con pobre plano de clivaje. Se realizó una resección quirúrgica amplia del tumor, sin complicaciones intraoperatorias. Tras la intervención quirúrgica, el paciente evolucionó favorablemente sin déficit neurológico. El informe de patología fue sarcoma cerebral con la siguiente inmunohistoquímica: myoD1 ocasional células positivas, GFAP negativo, S100 negativo, vimentina positiva, EMA negativo, receptor de progesterona negativo, desmina ocasionales células positivas, actina negativa, CD34 negativo, p53 positivo, Ki 67 75%. El paciente fue transferido a otra institución privada a pedido de la familia tras activación de seguro particular oncológico para recibir quimioterapia y radioterapia.
DISCUSIÓN
El presente estudio muestra una inusual frecuencia de casos de sarcoma intracraneal primario en niños atendidos en la Clínica Ricardo Palma y en la Clínica San Pablo-Surco durante la pandemia del COVID-19.
El sarcoma intracraneal primario o sarcoma primario del sistema nervioso central constituye un tipo de tumor raro en la edad pediátrica; los primeros reportes corresponden a Bailey en 1929 y Bucy en 1931 (4). De acuerdo a la última clasificación de tumores del sistema nervioso central de la Organización Mundial de la Salud, los sarcomas pertenecen al grupo de los tumores mesenquimales, no meningoteliales, de diferenciación incierta (5). De este grupo de cuatro entidades, tres han sido recientemente incorporados en la clasificación actual: el tumor mesenquimal intracraneal con fusión positiva FET-CREB, el sarcoma con re-arreglo CIC y el sarcoma intracraneal primario con mutación DICER1.La incidencia estimada para el sarcoma intracraneal primario en la población pediátrica peruana es de 0,19 casos por 100 000 niños (6).
De acuerdo a Al-Gahtany et al., el sarcoma intracraneal primario en niños se caracteriza por ser supratentorial, con índice de proliferación (Ki-67) alto, diseminación en líquido cefalorraquídeo de 40% y menor sobrevida si el diagnóstico se da en el primer año de vida (7). En el presente estudio el paciente de menor edad fue de 4 años y no se pudo determinar la diseminación en líquido cefalorraquídeo debido a que los pacientes siguieron el manejo por oncología en otras instituciones después de la cirugía. En otra serie de casos de sarcoma intracraneal primario en niños, Benesch et al. encontraron una sobrevida general a los 5 años de 74 % y una sobrevida libre de progresión a los 5 años de 47 %, puntualizando el manejo multimodal que incluye resección tumoral total, quimioterapia y radioterapia temprana para lograr un control tumoral sostenido (8). Sin embargo, Lafay-Cousin et al. observaron una sobrevida libre de progresión de 100% a los 5 años en pacientes con resección quirúrgica total o parcial que recibieron radiación local y quimioterapia que consistía en ifosfamida, carboplatino y etopósido; este grupo de pacientes se caracterizaba por la localización del tumor en el hemisferio cerebral derecho, presentación hemorrágica y un 37,5% de los casos tenía neurofibromatosis tipo 1 (9). Siguiendo un esquema similar de quimioterapia (ifosfamida, carboplatino, etopósido) y radioterapia, la sobrevida libre de progresión de enfermedad a los 2 años fue del 79% en los pacientes peruanos, sugiriéndose una mayor agresividad del curso clínico del sarcoma intracraneal primario con mutación DICER1 (6). Maher et al. publicaron una serie casos de sarcoma intracraneal primario en pacientes menores de 21 años, donde la sobrevida libre de progresión a los 5 años fue del 21% (10).
Como se mencionó previamente, la presentación imagenológica inicial en cuatro de los seis casos de sarcoma intracraneal primario fue la hemorragia intracraneal, similar a la observada por Lafay-Cousin et al. donde el sangrado cerebral de presentación aguda fue observado en 7 de 8 pacientes (9). Se postula que el mayor riesgo de sangrado de estos tumores se debe a un probable origen en las células mesenquimales de la adventicia de los vasos sanguíneos cerebrales (11). Se encontró en el presente estudio que dos pacientes tenían anormalidades vasculares asociadas a los tumores, hallazgo imagenológico observado en otro estudio donde incluso se inició un plan de trabajo para el diagnóstico de malformación vascular similar a lo ocurrido con el Caso 4 descrito (10). Se desconoce si la presencia de estas lesiones vasculares aumenta el riesgo de sangrado. Se ha descrito que el sarcoma intracraneal primario con mutación DICER1 puede ocurrir en pacientes con neurofibromatosis tipo 1, enfermedad que está asociado con la enfermedad de Moyamoya, aneurismas cerebrales y vasos cerebrales ectásicos o estenóticos (12,13).
La pandemia del COVID-19 produjo en la primera y segunda ola un colapso del sistema de salud público del Perú, haciendo que muchos pacientes peruanos optaran por el sistema privado para el tratamiento de sus problemas de salud. Esto podría explicar una mayor frecuencia de casos de niños con tumor cerebral atendidos en la Clínica San Pablo-Surco y la Clínica Ricardo Palma durante la pandemia del COVID-19; sin embargo, se atendió solamente tumores cerebrales con diagnóstico anatomopatológico de sarcoma intracraneal primario. De otro lado, el sarcoma intracraneal primario es un tumor maligno raro en niños siendo los más frecuentes el astrocitoma pilocítico, el meduloblastoma, el ependimoma y el astrocitoma difuso con una incidencia de 0,91 , 0,40 , 0,29 y 0,24 por 100 000 personas respectivamente (14). Es interesante que siendo de mayor frecuencia en la población pediátrica estos tipos de tumor maligno primario del sistema nervioso central, no hayan sido diagnosticados en la Clínica San Pablo-Surco y en la Clínica Ricardo Palma durante el periodo de la pandemia del COVID-19 que abarca este estudio. Lo más probable es que esta inusual frecuencia de casos de sarcoma intracraneal primario en niños sea resultado de la saturación del sistema de salud público que llevó a los padres a solicitar atención para sus hijos en instituciones privadas para el tratamiento de sus distintas dolencias, entre ellas las patologías neuroquirúrgicas como los tumores cerebrales.
No existe actualmente evidencia que el SARS-CoV-2 tenga un rol en la patogénesis de los tumores cerebrales. Se ha encontrado una mayor expresión de genes relacionados con los receptores ANPEP y ENPEP del coronavirus en el glioblastoma multiforme, el tumor cerebral primario maligno más frecuente (15). Aunque es pronto para valorar el impacto a largo plazo del COVID-19 en el sistema nervioso central, se ha observado un aumento del riesgo de enfermedad cerebrovascular, desórdenes de memoria, desórdenes de cognición, migraña, convulsiones entre otras secuelas neurológicas en pacientes después de un año de haber tenido COVID-19 (16). Sin embargo, Chen et al. encontraron que proteínas del SARS-CoV-2 y dos medicamentos utilizados en los pacientes con COVID-19, la azitromicina y el mesilato de nafamostat, inducían la reactivación lítica del herpesvirus asociado al sarcoma de Kaposi (virus herpes humano 8), uno de los mayores virus oncogénicos humanos (17). Además, este artículo sugiere que aquellos pacientes portadores del herpesvirus asociado al sarcoma de Kaposi que se encuentran en áreas endémicas de exposición al COVID-19 o han recibido cierta medicación por esta enfermedad podrían estar en riesgo a desarrollar cáncer asociado a virus.
Entre las limitaciones del estudio se incluye que, salvo el análisis de inmunohistoquímico, no se realizó ninguna intervención adicional ni análisis molecular a las muestras de tumor. Asimismo, los pacientes continuaron con la quimioterapia y radioterapia complementaria al tratamiento quirúrgico en otras instituciones, motivo por el cual se desconoce el esquema y las dosis de quimioterapia y radiación administradas.
En conclusión, el presente estudio muestra una inusual frecuencia de casos en niños de sarcoma intracraneal primario en dos clínicas de Lima durante la pandemia del COVID-19 probablemente debida a la saturación del sistema de salud público peruano. De otro lado, la revisión bibliográfica muestra diferencias en el resultado al tratamiento en las diferentes series de casos de sarcoma intracraneal primario en niños, el cual se deba probablemente a causas genéticas, heterogeneidad en el tipo de sarcoma diagnosticado y a diferencias en el tratamiento usado. Con la nueva clasificación de tumores del sistema nervioso central del año 2021 de la Organización Mundial de la Salud se podrá estandarizar mejor el tratamiento de acuerdo al tipo de sarcoma intracraneal primario diagnosticado.
REFERENCIAS BIBLIOGRÁFICAS
1. Worobey M. Dissecting the early COVID-19 cases in Wuhan. Science. 2021;374(6572):1202–4.
2. Cáceres-Bernaola U, Becerra-Núñez C, Mendívil-Tuchía de Tai S, Ravelo-Hernández J. Primer fallecido por COVID-19 en el Perú. An Fac Med. 2020;81(2):201-4.
3. Schwalb A, Seas C. The COVID-19 Pandemic in Peru: What Went Wrong?. Am J Trop Med Hyg. 2021;104(4):1176–8.
4. Hsü YK. Primary intracranial sarcomas. Arch Neurol Psychiatry. 1940;43(5):901–24.
5. Louis DN, Perry A, Wesseling P, Brat DJ, Cree IA, Figarella-Branger D, et al. The 2021 WHO Classification of Tumors of the Central Nervous System: a summary. Neuro Oncol. 2021;23(8):1231–51.
6. Diaz Coronado RY, Mynarek M, Koelsche C, Mora Alferez P, Casavilca Zambrano S, Wachtel Aptowitzer A, et al. Primary central nervous system sarcoma with DICER1 mutation—treatment results of a novel molecular entity in pediatric Peruvian patients. Cancer. 2022;128(4):697–707.
7. Al-Gahtany M, Shroff M, Bouffet E, Dirks P, Drake J, Humphreys R, et al. Primary central nervous system sarcomas in children: clinical, radiological, and pathological features. Child’s Nervous System. 2003;19(12):808–17.
8. Benesch M, von Bueren AO, Dantonello T, von Hoff K, Pietsch T, Leuschner I, et al. Primary intracranial soft tissue sarcoma in children and adolescents: a cooperative analysis of the European CWS and HIT study groups. J Neurooncol. 2013;111(3):337–45.
9. Lafay-Cousin L, Lindzon G, Taylor MD, Hader W, Hawkins C, Nordal R, et al. Successful treatment of primary intracranial sarcoma with the ICE chemotherapy regimen and focal radiation in children. J Neurosurg Pediatr. 2016;17(3):298–302.
10. Maher OM, Khatua S, Mukherjee D, Olar A, Lazar A, Luthra R, et al. Primary intracranial soft tissue sarcomas in children, adolescents, and young adults: single institution experience and review of the literature. J Neurooncol. 2016;127(1):155–63.
11. McDonald P, Guha A, Provias J. Primary intracranial fibrosarcoma with intratumoral hemorrhage: neuropathological diagnosis with review of the literature. J Neurooncol. 1997;35(2):133–9.
12. Lee JC, Villanueva-Meyer JE, Ferris SP, Sloan EA, Hofmann JW, Hattab EM, et al. Primary intracranial sarcomas with DICER1 mutation often contain prominent eosinophilic cytoplasmic globules and can occur in the setting of neurofibromatosis type 1. Acta Neuropathol. 2019;137(3):521–5.
13. Terry AR, Jordan JT, Schwamm L, Plotkin SR. increased risk of cerebrovascular disease among patients with neurofibromatosis type 1. Stroke. 2016;47(1):60–5.
14. Adel Fahmideh M, Scheurer ME. Pediatric Brain Tumors: Descriptive Epidemiology, Risk Factors, and Future Directions. Cancer Epidemiology, Biomarkers & Prevention. 2021;30(5):813–21.
15. Chen A, Zhao W, Li X, Sun G, Ma Z, Peng L, et al. Comprehensive oncogenic features of coronavirus receptors in glioblastoma multiforme. Front Immunol. 2022;13:840785.
16. Xu E, Xie Y, Al-Aly Z. Long-term neurologic outcomes of COVID-19. Nat Med. 2022;28(11):2406–15.
17. Chen J, Dai L, Barrett L, James J, Plaisance-Bonstaff K, Post SR, et al. SARS-CoV-2 proteins and anti-COVID-19 drugs induce lytic reactivation of an oncogenic virus. Commun Biol. 2021;4(1):682.
Notas
Notas de autor
Correspondencia: Dr. Rolando Lovatón-Espadín. Clínica Ricardo Palma-Departamento de Neurocirugía Avenida Javier Prado Este 1066, San Isidro 15036, Lima, Perú Celular: 51957355740 Correo electrónico: rolandolova@hotmail.com
Declaración de intereses
Enlace alternativo
https://revistas.upch.edu.pe/index.php/RNP/article/view/4468/5004 (pdf)