Reporte de caso
Lesión autoinfligida y absceso cerebral secundario en un paciente con esquizofrenia
Self-inflicted injury and secondary cerebral abscess in a patient with schizophrenia
Lesión autoinfligida y absceso cerebral secundario en un paciente con esquizofrenia
Revista de Neuro-Psiquiatría, vol. 86, núm. 2, pp. 138-142, 2023
Universidad Peruana Cayetano Heredia

Recepción: 03 Enero 2023
Aprobación: 09 Junio 2023
Financiamiento
Fuente: Los autores declaran que el trabajo fue autofinanciado
Resumen: La lesión autoinfligida es un acto intencional de hacerse daño sin propósito suicida. El presente caso describe a un paciente esquizofrénico de 37 años de edad, que ha padecido 20 años con la enfermedad, y síntomas recientes de irritabilidad, agresividad, aislamiento, ideas de perjuicio y contaminación («tengo un estafilococo en mi cabeza»). Durante 10 años utilizaba varios objetos, incluido un bisturí con el que llegó a remover (extirpar) parte de la calota, ocasionando un edema vasogénico en la región córtico-fronto-parietal izquierda que produjo hemiparesia braquiocrural derecha y motivó su admisión. Luego de descartarse un accidente cerebrovascular o tumor cerebral, fue intervenido quirúrgicamente para la extracción de un absceso cerebral. Recibió varios fármacos antipsicóticos con respuesta parcial, y más tarde mejoró con la administración de paliperidona. En casos como este, es necesario un tamizaje, diagnóstico y tratamiento oportunos para evitar evolución y pronóstico tórpidos en pacientes esquizofrénicos con lesiones autoinfligidas y con historia de pobre respuesta y adherencia al tratamiento.
Palabras clave: conducta autolesiva, esquizofrenia, lesión cerebral traumática.
Abstract: Self-injury is the intentional act of causing harm to oneself, without suicidal purposes. This case report describes a 37-year-old schizophrenic patient, with a history of 20 years, and recent symptoms of irritability, aggressiveness, isolation, self-harm and contamination ideas ("I have a staphylococcus in my head"). For 10 years, he used a variety of objects to manipulate himself, among them a scalpel with which he extirpated part of the calotte, causing a vasogenic edema in the left cortico-fronto-parietal region that produced a right brachio-crural haemiparesis, the reason for his admission. After ruling out a stroke or a brain tumor, he underwent surgery for the removal of a brain abscess; he received several antipsychotic agents with only a partial response that later improved after being switched to paliperidone. In cases like this, it is necessary to conduct a timely screening, diagnosis and treatment in order to avoid a torpid evolution and prognosis in schizophrenic patients with long-standing self-inflicted injuries and a history of poor adherence and response to treatment.
Keywords: Self-Injurious Behavior, Schizophrenia, Brain Injuries, Traumatic.
CASO CLÍNICO
Se trata de un paciente varón de 37 años de edad, veterinario, soltero y con grado de instrucción superior. Durante la niñez y la adolescencia tuvo dificultad en el rendimiento académico, problemas de conducta, retraimiento social, abuso de bebidas alcohólicas y períodos de irritabilidad y agresividad. A los 24 años empezó a tener conductas desorganizadas: guardaba piezas de motores y diversas herramientas, y permanecía encerrado en su habitación manipulándolas. Descuidó su aseo personal, no se bañaba por semanas, además presentaba ideas delirantes de perjuicio respecto a su familia, ya que sentía que podían envenenarlo, por lo que él mismo preparaba sus alimentos.
A los 29 años, durante unos meses, trabajó en el transporte público de pasajeros; tuvo problemas con sus compañeros de trabajo, señala que lo amenazaban y querían robarle su ganado, por lo que llevaba un machete en su mochila cada vez que salía. Refirió que le pusieron un estafilococo en su cabeza, que tenía una sensación de un cuerpo extraño y se manipuló dicha zona. Como no desaparecía dicha sensación, continuó esta conducta durante casi un año, lo cual produjo una herida inicialmente pequeña en la región parietofrontal izquierda que la limpiaba con un hisopo. Con el transcurso del tiempo, esta herida fue aumentando de tamaño. Durante los últimos 2-3 años se manipulaba la herida con un bisturí bajo efecto de anestesia local que él mismo se aplicaba, lo que terminaba aumentando la lesión en tamaño y profundidad. Esta actividad le consumía gran parte de su tiempo, a veces horas.
Los últimos seis meses presentó mayor desorganización de la conducta: no se bañaba durante varios meses; envenenaba a los animales; su habitación lucía muy sucia; tenía baldes de agua mal oliente; guardaba cartuchos de escopeta con pólvora; tenía en construcción un arma de fuego muy rudimentaria; además de aislamiento social, risas inmotivadas y mayor agresividad.
Dos días antes de su hospitalización presentó hemiparesia faciobraquial derecha, por ello fue llevado a emergencia por sus familiares.
Examen clínico
El paciente ingresó con funciones vitales estables. Se evidenció herida en región frontoparietal izquierda de 5 X 5 cm aproximadamente, con exposición de la calota ósea. Asimismo, tenía la extremidad superior e inferior derecha con disminución de fuerza motora y movilidad. El resto del examen no fue resaltante.
En el examen mental se encontró a un paciente que aparentaba la edad referida, con mal aliño e higiene personal, suspicaz, reticente, poco colaborador, con ira contenida, establecía contacto visual por momentos, con ánimo irritable y afecto aplanado. Asimismo, presentaba lenguaje con velocidad y volumen disminuidos, tiempo de latencia de respuesta aumentada, pensamiento concreto con tendencia a la literalidad de expresiones, ideas delirantes de contaminación por estafilococo y de perjuicio por parte de familia y vecinos. Estaba orientado en las tres esferas (tiempo, lugar y espacio). Tenía alterados la atención, la concentración, la memoria inmediata, reciente y remota, los cálculos básicos y el juicio de la realidad; asimismo, estaba sin conciencia de la enfermedad.
Exámenes auxiliares y evolución
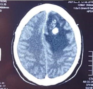
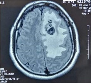
A su ingreso se le realizó al paciente una resonancia magnética cerebral (RMN) con contraste, donde se evidenció una lesión hipointensa a nivel frontal izquierdo con áreas hiperintensas en su interior que capta contraste en anillo y que se asocia a un extenso edema vasogénico (figura 1).

Por los hallazgos señalados, el paciente fue intervenido quirúrgicamente en el primer día de hospitalización. El resultado de anatomía patológica fue necrosis licuefactiva del tejido cerebral, formación de microabscesos y hemorragia reciente. No hubo neoplasia maligna. Asimismo, el dosaje de metabolitos en orina de cocaína y tetrahidrocanabinol, las pruebas inmunológicas y el examen de toxoplasmosis resultaron negativos.
Fue evaluado por neurología y se encontró hemiparesia braquiocrural derecha (3/5); se indicó terapia física de rehabilitación. Al quinto día postoperatorio, la hemiparesia mejoró (4/5). Continuó con delirios somáticos; estaba vendado y sentía un bulto en su cabeza; tenía ideas delirantes de perjuicio; se encontraba irritable y poco colaborador; había alteración de la atención, la concentración y el cálculo. Se inició tratamiento con risperidona 4 mg/día y se incrementó la dosis a 6 mg/día. Asimismo, se utilizó ácido valproico 500 mg/día hasta 1500 mg/día, este incremento fue progresivo. Además, recibió decanoato de haloperidol de 50 mg, y presentó síntomas extrapiramidales.
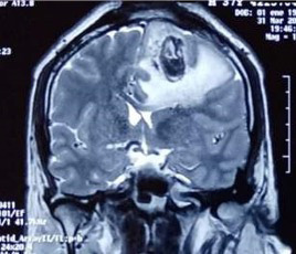
En la tomografía de control se encontraron signos de craniectomía (agujero de trepano) asociada a focos de aire en la región parietal izquierda, edema vasogénico y herniación cerebral parietal izquierda. Por esta razón fue reintervenido quirúrgicamente luego de tres semanas con buena evolución de la lesión (figuras 2 y 3).

Debido a la respuesta parcial del tratamiento se suspendió la risperidona y se agregó olanzapina 10 mg/día. Como no se obtuvo una respuesta adecuada, se cambió a clozapina 100 mg/día, aumentando progresivamente la dosis hasta 300 mg/día; además, recibió biperideno 2 mg/día. La sintomatología mejoró parcialmente y se recuperó completamente del déficit motor.
Luego de un mes de recibir tratamiento con clozapina presentó leucopenia de 2100 / mm3 (neutrófilos: 1092 / mm3) con posteriores controles semanales, y los valores se fueron normalizando a las dos semanas. Cabe mencionar que el paciente vivía a tres horas de la ciudad, por lo que la familia solicitó alternativas de tratamiento parenteral. Se le explicó a la familia estas otras alternativas farmacológicas y se cambió de medicación a paliperidona 150 mg / 1 ampolla intramuscular una vez al mes, con notable mejoría de los síntomas en controles posteriores, disminuyendo la ideas delirantes en un 80 %.

DISCUSIÓN
La esquizofrenia es un trastorno psicótico que puede ocurrir como un episodio único de enfermedad, aunque la mayoría de los pacientes tienen remisiones y recaídas; asimismo, para muchos pacientes la afección se vuelve crónica e incapacitante (1).
La prevalencia de la esquizofrenia es aproximadamente un 1 %, lo que significa que más o menos 1 de cada 100 personas desarrollará la enfermedad a lo largo de su vida (2). Se ha visto que la proporción de pacientes que presentan autolesiones deliberadas es, aproximadamente, de 18,4 %, desde el primer episodio psicótico hasta su primera evaluación psiquiátrica (3, 4).
Se ha demostrado que las beta-endorfinas ejercen efectos analgésicos después de estímulos nociceptivos en pacientes con esquizofrenia, además de una mayor sensibilidad al dolor agudo y una menor sensibilidad al dolor crónico (5-7). Sin embargo, el paciente se inyectaba anestésicos locales.
La dopamina y el glutamato parecen ser los neurotransmisores involucrados en esta hipoalgesia, pues participan en las vías neuronales del dolor y en aquellas relacionadas con la fisiopatología de la esquizofrenia (8). Específicamente, se postula una neurotransmisión dopaminérgica incrementada en el estriado, lo que se correlacionaría con la agudización de la psicosis, que es cuando acontecen usualmente las automutilaciones. En cuanto a las automutilaciones, la neurobiología involucra la patología psiquiátrica de base y es mucho más compleja e implica además desregulación serotoninérgica, gabaérgica y de opioides endógenos (9).
Estudios recientes con electroencefalograma y resonancia magnética funcional demuestran, con relación a los mecanismos neurales de la sensibilidad al dolor en pacientes con esquizofrenia, que estos tienen una menor percepción al dolor en comparación con los controles sanos.
Los cambios estructurales en el cerebro se muestran en la disminución del volumen de la materia gris en la circunvolución temporal superior, incluida la corteza auditiva primaria, así como la reducción del volumen en la corteza prefrontal dorsolateral, lo que sugiere que las interacciones frontotemporales defectuosas pueden contribuir a que la experiencia de las alucinaciones sea involuntaria. En las alucinaciones de tipo visceral y cenestopática se ha descrito afectación diencefálica, límbica y de la corteza parietal e insular (10, 11).
Respecto a la psicopatología de las tendencias instintivas, la propensión a lesionar el propio cuerpo se muestra como una tendencia infantil exagerada, sobre todo en oligofrénicos, quienes siguen los impulsos de una manera primitiva de modo incomprensible (12).
En el caso reportado, resalta la presentación atípica de las autolesiones deliberadas en un paciente con diagnóstico reciente de esquizofrenia. La literatura reporta casos similares como el descrito por Peschel et al. (13), quienes en su reporte de caso mencionan a un paciente con esquizofrenia que se manipuló repetidamente la frente con una aguja de tejer y que provocó hemorragia extensa en el hemisferio izquierdo del cerebro. Chen et al. (14) reportan un caso de un varón de 55 años con diagnóstico de esquizofrenia que presentó delirio de cuerpo extraño persistente, por lo que se autolesionó la cabeza con un martillo, además se observó un defecto craneal frontoparietal izquierdo con hemiparesia derecha que posteriormente desarrolló un absceso cerebral profundo. Asimismo, Andereggen et al. (15) describen un caso de un paciente con esquizofrenia paranoide que se introdujo un clavo en la región nasal que llegó a la región frontal, por lo cual fue sometido a una craneotomía.
Es necesario resaltar que el paciente de nuestro caso tuvo un diagnóstico tardío y un seguro de salud público con acceso a medicación muy básica, por lo que la familia tuvo que asumir los gastos de la medicación que no era cubierta por el seguro.
Por otra parte, el tratamiento con paliperidona a una dosis de 150 mg en ampollas produjo una notable mejoría en el paciente, quien fue intervenido quirúrgicamente de manera rápida y oportuna dentro de las primeras 24 horas de su ingreso, lo que ayudó a disminuir la morbimortalidad.
Como ilustra el caso presentado, en un paciente con esquizofrenia con conducta de automutilación de larga data, con una pobre respuesta terapéutica y adherencia al tratamiento, resultan necesarios un tamizaje, un diagnóstico y un tratamiento oportunos en salud mental para evitar una tórpida evolución y pronóstico.
Agradecimientos
Ninguno.
REFERENCIAS BIBLIOGRÁFICAS
1. Soares-Weiser K, Maayan N, Bergman H, Davenport C, Kirkham AJ, Grabowski S, et al. First rank symptoms for schizophrenia. Cochrane Database Syst Rev [Internet]. 2015; 1(1): CD010653. Disponible en: https://www.cochranelibrary.com/cdsr/doi/10.1002/14651858.CD010653.pub2/full
2. Sadock BJ, Sadock VA, Ruiz P. Sinopsis de psiquiatría. 11. ed. Barcelona: Wolters Kluwer Health; 2015.
3. Cortez-Vergara C, Tirado-Hurtado BC, Núñez-Moscoso P, Cruzado L. Automutilaciones en pacientes psicóticos: informe de dos casos inusuales. Rev Neuropsiquiatr [Internet]. 2012; 75(3): 101-105. Disponible en: https://revistas.upch.edu.pe/index.php/RNP/article/view/1228
4. Challis S, Nielssen O, Harris A, Large M. Systematic meta-analysis of the risk factors for deliberate self-harm before and after treatment for first-episode psychosis. Acta Psychiatr Scand [Internet]. 2013; 127(6): 442-454. Disponible en: https://onlinelibrary.wiley.com/doi/10.1111/acps.12074
5. Girard M, Plansont B, Bonnabau H, Malauzat D. Experimental pain hypersensitivity in schizophrenic patients. Clin J Pain [Internet]. 2011; 27(9): 790-795. Disponible en: https://journals.lww.com/clinicalpain/Abstract/2011/11000/Experimental_Pain_Hypersensitivity_in.7.aspx
6. Urban-Kowalczyk M, Pigońska J, Śmigielski J. Pain perception in schizophrenia: influence of neuropeptides, cognitive disorders, and negative symptoms. Neuropsychiatr Dis Treat [Internet]. 2015; 11: 2023-2031. Disponible en: https://www.dovepress.com/pain-perception-in-schizophrenia-influence-ofnbspneuropeptides-cogniti-peer-reviewed-fulltext-article-NDT
7. Zhou L, Bi Y, Liang M, Kong Y, Tu Y, Zhang X, et al. A modality-specific dysfunction of pain processing in schizophrenia. Hum Brain Mapp [Internet]. 2020; 41(7): 1738-1753. Disponible en: https://onlinelibrary.wiley.com/doi/10.1002/hbm.24906
8. Paquet A, Plansont B, Labrunie A, Malauzat D, Girard M. Past pain experience and experimentally induced pain perception. Issues Ment Health Nurs [Internet]. 2017; 38(12): 1013-1021. Disponible en: https://www.tandfonline.com/doi/abs/10.1080/01612840.2017.1354103?journalCode=imhn20
9. James G, Blakeley CJ, Hashemi K, Channing K, Duff M. A case of self-inflicted craniocerebral penetrating injury. Emerg Med J [Internet]. 2006; 23(5): e32. Disponible en: https://emj.bmj.com/content/23/5/e32
10. Craig AD. How do you feel? Interoception: the sense of the physiological condition of the body. Nat Rev Neurosci [Internet]. 2002; 3(8): 655-666. Disponible en: https://www.nature.com/articles/nrn894
11. Bär KJ, Gaser C, Nenadic I, Sauer H. Transient activation of a somatosensory area in painful hallucinations shown by fMRI. Neuroreport [Internet]. 2002; 13(6): 805-808. Disponible en: https://journals.lww.com/neuroreport/Abstract/2002/05070/Transient_activation_of_a_somatosensory_area_in.14.aspx
12. Delgado H. Curso de Psiquiatría. 6. ed. Lima: Fondo Editorial de la Universidad Peruana Cayetano Heredia; 1993. Disponible en: https://psicologiaen.files.wordpress.com/2016/10/delgado-curso-de-psiquiatria.pdf
13. Peschel O, Betz P, Eisenmenger W. Self-mutilation with needles. Med Sci Law [Internet]. 1997; 37(2): 175-178. Disponible en: https://journals.sagepub.com/doi/10.1177/002580249703700215
14. Chen TH, Yang DY, Chen ST, Wang YC, Yeh CH, Huang CY, et al. Combined therapeutic treatment for traumatic skull defect with brain abscess in a schizophrenic patient. J Neuropsychiatry Clin Neurosci [Internet]. 2013; 25(2): E22-E24. Disponible en: https://neuro.psychiatryonline.org/doi/full/10.1176/appi.neuropsych.12030066
15. Andereggen L, Biétry D, Kottke R, Andres RH. Intracranial foreign body in a patient with paranoid schizophrenia. J Craniofac Surg [Internet]. 2017; 28(7): e685-e687. Disponible en: https://journals.lww.com/jcraniofacialsurgery/Abstract/2017/10000/Intracranial_Foreign_Body_in_a_Patient_With.93.aspx
Notas de autor
Correspondencia: Diashania Gibaja Reyes. Correo electrónico: diasania@hotmail.com
Declaración de intereses
Enlace alternativo
https://revistas.upch.edu.pe/index.php/RNP/article/view/4565/5118 (pdf)