Resumen: Los granulomas infecciosos y no infecciosos del encéfalo constituyen un constante desafío en su diagnóstico, dado que, desde el punto de vista clínico, muestran síntomas y signos, exámenes auxiliares e imágenes de características muy similares, razón por la cual demoran el tratamiento y demandan un diagnóstico histopatológico certero. Solo en estos últimos tiempos, con avances de la experiencia clínica, la epidemiología y las nuevas técnicas de resonancia magnética, se vislumbra la posibilidad de un diagnóstico no invasivo. Las formas infecciosas se encuentran en su mayoría en regiones de América Latina, Asia y África, aun cuando, debido a las migraciones y la globalización, también se están presentando de manera creciente en el resto del mundo. El presente trabajo describe las entidades que producen los granulomas más frecuentes y el apoyo diagnóstico que actualmente dispensan las imágenes de resonancia magnética.
Palabras clave: enfermedad granulomatosa crónica, tumores cerebrales, imagen por resonancia magnética.
Abstract: Infectious and non-infectious brain granulomas are a constant diagnostic challenge as, from the clinical point of view, present symptoms and signs, auxiliary tests, and images of very similar characteristics, delaying treatment and demanding an accurate histopathological diagnosis. Only recently, based on clinical experience, epidemiology, and new magnetic resonance techniques, the possibility of a non-invasive diagnosis is most likely. The infectious variants are more frequently found in regions of Latin America, Asia, and Africa, even though, due to migrations and globalization, they are also increasingly appearing in the rest of the world. The present work describes the entities that produce granulomas more frequently, and the diagnostic support currently provided by magnetic resonance images.
Keywords: Granulomatous disease chronic, cerebral tumors, magnetic resonance imaging.
Artículo de revisión
Características imagenológicas actuales de resonancia magnética en los granulomas cerebrales más frecuentes
Current magnetic resonance imaging characteristics of the most frequent granulomas of the brain

Recepción: 05 Mayo 2023
Aprobación: 27 Junio 2023
Numerosas enfermedades inflamatorias infecciosas y no infecciosas afectan al encéfalo del sistema nervioso central (SNC), el que responde, con trastorno de la barrera hematoencefálica y edema vasogénico intersticial, algunas veces ocasionando tumores de diferentes tamaños conocidos como granulomas. La palabra «granuloma» proviene de las palabras latinas grān .um) lat. 'grano', 'semilla' + -ul- lat. 'pequeño' + -ō-ma gr. 'tumor'; y fue utilizada por primera vez por Virchow en 1860 (1).
Un granuloma es un proceso expansivo y crónico, no neoformativo, que consiste en la agregación de macrófagos, y que está rodeado por leucocitos mononucleares, sobre todo linfocitos y células plasmáticas. Los granulomas antiguos se desarrollan dentro de un anillo de fibroblastos y tejido conectivo, formando un tejido de granulación que se distribuye en cinco capas: zona central (necrosis y calcificación distrófica), empalizada de macrófagos (células epitelioides, células gigantes multinucleadas de Langhans), corona linfocitaria y de células plasmáticas, capa de tejido de granulación y cápsula fibrosa (2). Se piensa que la formación de granulomas es un paso crítico en respuesta al retraso fisiológico de la respuesta inmunitaria que impide la propagación de microorganismos nocivos e infecciosos (2). Los granulomas se clasifican, de acuerdo a la causa subyacente, en granulomas infecciosos y no infecciosos. Dentro de los primeros están la tuberculosis, las infecciones por hongos (aspergilosis, candidiasis, criptococosis, coccidioidiosis) y las parasitarias (toxoplasmosis, cisticercosis, echinococosis, chistosomiasis, paragonimus). Dentro de los no infecciosos se tiene la sarcoidosis, la granulomatosis de Wegener, la histiocitosis, el granuloma eosinofílico, el colesteatoma, el granuloma de colesterol y la angeítis granulomatosa (3).
Asímismo, los granulomas pueden clasificarse en función de su apariencia microscópica en no necrotizante y necrotizante. Los granulomas no necrotizantes, como la sarcoidosis, la enfermedad de berilio, la neumonitis por hipersensibilidad, las reacciones a fármacos, la lepra tuberculoide, la enfermedad de Crohn y otras, serían indicativos de etiología no infecciosa. Los granulomas necrotizantes suelen ser generalmente característicos de las enfermedades como la tuberculosis, por hongos, por nódulos reumatoideos, la granulomatosis de Wegener, los granulomas necrobióticos postquirúrgicos y otros. La necrosis generalmente leve se puede observar en los granulomas de la sarcoidosis (2,3). Debido al comportamiento casi común en diversas lesiones, los estudios de imágenes habituales pueden resultar inespecíficos para identificar a un patógeno en particular, más aún para categorizar las lesiones como infecciosa, inflamatoria, inmunológica, neoformativa o vascular (4).
Con el presente escrito se busca aportar información contributaria al diagnóstico con base en experiencias clínicas, imágenes de alta resolución y nuevos protocolos por resonancia magnética (RM).
La tuberculosis (TBC) es un problema de salud pública mundial que representa la segunda causa de muerte por enfermedades infecciosas (5). Es causada por el Mycobacterium tuberculosis, con menos frecuencia de otras micobacterias. La TBC pulmonar tiende a ser la forma más común; sin embargo, la mayor morbilidad y mortalidad se producen con la infección del encéfalo. La infección tuberculosa del SNC es causada por diseminación hematógena intracraneal a partir de un foco primario, en la mayoría de los casos de los pulmones (6). Entre el 5 y 15 % de las TBC extrapulmonares corresponden al compromiso del SNC, y la forma de presentación más frecuente es la meningitis tuberculosa (7,8). Las de compromiso parenquimal son menos frecuentes, aunque se encuentran mayormente en pacientes infectados con el VIH, como oportunista, que puede darse con o sin meningitis. En los últimos años, la TBC se ha agudizado en los países no industrializados y ha reaparecido en los desarrollados, asociada a la pandemia del síndrome de inmunodeficiencia adquirida (sida). Asimismo, ha aumentado la resistencia a la terapia antituberculosa (6). La incidencia de TBC del SNC alcanza hasta el 10 % en pacientes con infección por VIH vs. tuberculosos sin infección por VIH (7). Según la Organización Mundial de la Salud (OMS), la TBC causa la muerte del 11 % de los pacientes con sida. Otros grupos de riesgo son los drogadictos por vía endovenosa, los inmigrantes de zonas de alta prevalencia y la población en hacinamiento. La inmunosupresión por VIH es el factor de riesgo más importante para que la TBC pase de latente a activa (7,9).
Los hallazgos clínicos del tuberculoma están determinados por su localización, en la que predominan el nivel infratentorial en niños y el nivel supratentorial en adultos (como en las neoplasias). Se ubican preferentemente en los lóbulos frontal y parietal. Se describen también en la región selar, tronco cerebral, tálamo, ganglios basales, ángulo pontocerebeloso, vía óptica, región pineal, ventrículos y otros. Los síntomas y signos más comunes son cefalea, convulsiones, déficit neurológico focal, edema de papila y síntomas de hipertensión endocraneana.
La aparición de distintos tuberculomas intracraneales se atribuye a la naturaleza evolutiva de la lesión granulomatosa. Durante la etapa de inflamación granulomatosa crónica, se puede observar depósito de colágeno a lo largo de una cápsula y contenido de material caseoso.
Los tuberculomas intramedulares son raros y constituyen solo el 0,2-0,5 % de todas los tuberculomas del SNC. Entre los pacientes con TBC espinal, el 55 % tiene comprometido el cuerpo vertebral; el 39 %, lesiones granulomatosas intraespinales sin que se vea afectado el hueso; y solo el 7 %, lesión intramedular que se manifiesta con cuadro subagudo de compresión medular. La combinación de tuberculomas intramedulares e intracraneales es extremadamente rara (10).
El diagnóstico diferencial de tuberculoma cerebral incluye neurocisticercosis, toxoplasmosis, histoplasmosis, blastomicosis, neoplasias primarias y metastásicas (11,12). Durante esta fase, la lesión en la RM se presenta con el gadolinio como un intenso anillo periférico, que puede explicarse por la hipervascularidad vista con el microscopio (4, 13).
En la RM cerebral, los tuberculomas muestran lesiones realzadas en anillo después de la administración de contraste, que es heterogénea al igual que en un glioma y dependerá de la fase de evolución de las lesiones (7,8,13). La afectación de los pares craneales, el resultado de infiltración meníngea difusa, la localización preferentemente basilar y las lesiones tanto supratentoriales e infratentoriales contribuyen en el diagnóstico de la TBC (13,14-17). En casos de leptomeningitis tuberculosa, el contraste paramagnético en la RM muestra generalmente un engrosamiento meníngeo. Las imágenes de transferencia de magnetización que muestra el menor contenido proteico del tuberculoma y el nuevo protocolo de imágenes de transferencia de protones de amida ayudarían para la difícil diferenciación de tuberculomas de gliomas de alto grado (18). La intervención quirúrgica estaría indicada cuando exista incertidumbre diagnóstica, gran efecto de masa y mala respuesta a la prueba terapéutica (19).

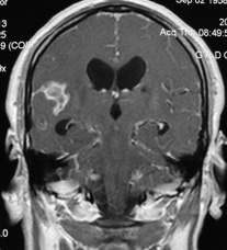
En la figura 1, se presenta la imagen de una RM en corte coronal, ponderada en TW-1, con gadolinio que muestra captación leptomeningea por meningitis, un granuloma tuberculoso adyacente al valle silviano derecho y la expansión de los ventrículos laterales por hipertensión endocraneana.
La infección invasiva del SNC por el hongo Aspergillus, pese a los avances en el diagnóstico y tratamiento en los últimos años, sigue siendo una de las causas más importantes de morbilidad y mortalidad en los individuos con sida o en aquellos que reciben terapia inmunosupresora debido a un curso frecuentemente fulminante (mortalidad cerca del 100 % en inmunocomprometidos) (20,21).
El patógeno asociado a la aspergilosis diseminada es el Aspergillus fumigatus. Clínicamente, la infección primaria a menudo comienza en las vías respiratorias o los senos paranasales; y por diseminación hematógena puede llegar a infectar al SNC. En la RM los aspergilomas se ven isointensos en T1, extremadamente hipointensos en T2 y captan dando un brillo homogéneo e intenso (20). Las imágenes potenciadas en difusión muestran restricción de la difusión debido a pus intracavitaria o a infarto por invasión intravascular. Las características imagenológicas son definidas como lesiones con realce en anillo en núcleos basales, tálamo y cuerpo calloso. En la neuroespectroscopía se evidencia aumento del índice colina-creatinina, disminución de N-acetil-L-aspartato (NAA) y pico de lactato (20). El diagnóstico definitivo es, por lo general, histopatológico (21).
La figura 2 corresponde a una imagen axial por RM en T1-W, que muestra masa en parte medial adyacente al polo temporal izquierdo con extensión al seno paranasal adyacente de un aspergiloma.

Tomado de Siddiqui et al. (14).
La criptococosis es una enfermedad infecciosa de origen micótico causada por el hongo ambiental encapsulado Cryptococcus neoformans, con una importante morbilidad y mortalidad en pacientes inmunosuprimidos en todo el mundo; ocupa el segundo lugar como agente oportunista micótico después de la Candida albicans. Su incidencia se ha incrementado notablemente desde la década de los ochenta, afectando al 6-8 % de los pacientes con sida. Este microorganismo afecta primordialmente al pulmón. La afección del SNC es la forma más común de criptococosis extrapulmonar y la causa mortal más frecuente (22).
En el SNC la cefalea aislada es el síntoma más común; se puede manifestar como una lesión intracraneal ocupante de espacio (defecto neurológico focal o crisis epilépticas) (22) o intramedular (23). La patología más común encontrada en los criptococomas es la hidrocefalia comunicante o no comunicante, que causa generalmente hipertensión endocraneana (22).
En la RM se encuentran desde meningitis, caracterizada por la presencia de realce meníngeo y leptomeníngeo, hasta masas intraparenquimatosas, como criptococomas (hallazgo muy poco común) con predilección en los ganglios basales y regiones periventriculares, con o sin atrofia cerebral cortical (22,23). Generalmente, el diagnóstico definitivo es el histopatológico.
La toxoplasmosis es una zoonosis parasitaria causada por el protozoario Toxoplasma gondii. Hay tres formas parasitarias: trofozoíto (taquizoíto), quiste y ooquiste. La infección se transmite de la madre al feto, o al ingerir ooquistes presentes en heces de gatos o alimentos contaminados, los cuales después de completar el ciclo entero epitelial, en una primoinfección, se almacenan en los diversos tejidos, de preferencia el nervioso y el muscular, como taquizoitos. En el paciente con inmunodeficiencia, al romperse los quistes, el parásito invade las astroglias y microglías ocasionando una necrosis focal, con gran aumento de los parásitos y pobre respuesta inflamatoria periférica (24). Corresponde a la infección oportunista del SNC, más habitual en los pacientes con sida; afecta hasta a un 50 % de los pacientes que no reciben profilaxis, la mayoría de los casos como latente recurrente, que puede manifestarse como una encefalitis necrotizante multifocal, que afecta a los ganglios basales y a la sustancia blanca subcortical (25).
Los síntomas y signos son inespecíficos: cefalea, fiebre, déficits neurológicos variables y convulsiones. En las personas inmunocompetentes el curso suele ser menos maligno y autolimitado. En las personas inmunodeprimidas se suele presentar encefalitis subaguda necrotizante y mielopatía. En los individuos con sospecha de toxoplasmosis cerebral se recomienda la evaluación seriada del curso clínico e imagenológico, con el objetivo de hacer el diagnóstico diferencial de un linfoma primario cerebral, ya que el tratamiento y el pronóstico de ambas enfermedades es muy diferente (26). La prueba definitiva es la biopsia cerebral, con la cual se demuestra la presencia de trofozoítos intracelulares. El examen del líquido cefalorraquídeo es inespecífico (24,25).
La RM detecta tanto imágenes antiguas como recientes. En T2, pueden dar focos de señales heterogéneas que se confunden con el edema periférico. En T1, se observan zonas hipointensas rodeadas de un halo hipointenso correspondiente al edema periférico (25), que miden entre 1 y 3 cm de diámetro, múltiples en el 85 % de los casos. Captan en anillo la sustancia paramagnética gadolinio. Tienen efecto de masa y se rodean de edema vasogénico, en forma variable. El mayor compromiso es profundo, a nivel de los núcleos basales (75-88 %) y subcortical. El compromiso hemorrágico es raro (25).
En la figura 3, se observa la imagen axial en RM, que muestra compromiso cerebral a base de forma captadora en anillo y rodeado de edema a nivel de los ganglios basales de un paciente inmunodeprimido por VIH/sida.

La neurocisticercosis es una infestación parasitaria causada por los quistes larvarios del céstodo Taenia solium que afecta con mayor frecuencia al SNC y que constituye un serio problema de salud pública en diferentes países de América Latina, África y Asia. Ocurre cuando el paciente se convierte, accidentalmente, en el huésped intermediario de dicho parásito. La presencia de este puede ocasionar edema, gliosis, aracnoiditis, ependimitis granular y cuadros pleomórficos debido a diferencias individuales y a la respuesta inmune o no del huésped (27,28). La epilepsia es el cuadro clínico más frecuente de la neurocisticercosis, que se observa en el 50 % a 80 % de los casos (27).
Los quistes de la cisticercosis en el parenquima nervioso suelen ser pequeños, pero también pueden ser grandes. Se ubican preferentemente en el límite cortical cerebral y en los núcleos basales. Los cisticercos subaracnoideos generalmente son pequeños si son subcorticales o pueden alcanzar tamaños mayores de 5 cm si están a nivel de las cisternas en la base del cráneo. Los cisticercos ventriculares pueden ser pequeños o grandes, usualmente son únicos y se localizan en el IV ventrículo (27,28).
La RM facilita el diagnóstico de la neurocisticercosis ya que permite visualizar el número y la localización de los parásitos, así como su estadio evolutivo, el cual depende fundamentalmente del grado de viabilidad de los cisticercos. La RM expone mejor a los quistes intraventriculares, a los subaracnoideos, sobre todo a los de la base del cráneo, e identifica muy bien al escólex, en las secuencias T2 (22,24). Las lesiones quísticas vesiculares (quistes viables) dan señal igual al líquido cefalorraquídeo (LCR), no captan el contraste y no están rodeadas de edema. Menos frecuente pueden observarse cientos de ellos tanto en el espacio intra como en el extracraneal, denominado cisticercosis miliar (29). Cuando ocurre el fenómeno degenerativo del quiste (vesicular coloidal), da captación anular y muestra el edema periférico de grado variable (30,31). En el estadio tardío (granuloma cisticercósico), los quistes se vuelven iso o hiperintensos en RM en relación con el parénquima, y pueden captar el contraste en forma nodular o anular (quiste no viable). Las calcificaciones por lo general son pequeñas, únicas o múltiples, y raramente grandes (27,28,29). La RM muestra el compromiso de la hipertensión endocraneana dada por hidrocefalia, obstructiva por quiste intraventricular o comunicante por las leptomeninges basales o por aracnoiditis, captadoras de la sustancia paramagnética de contraste (30).
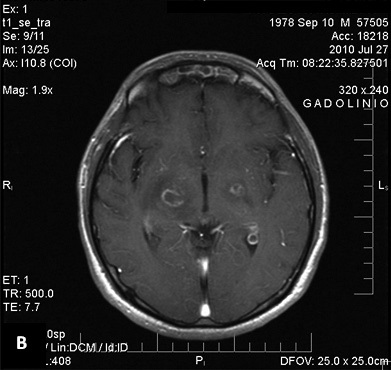
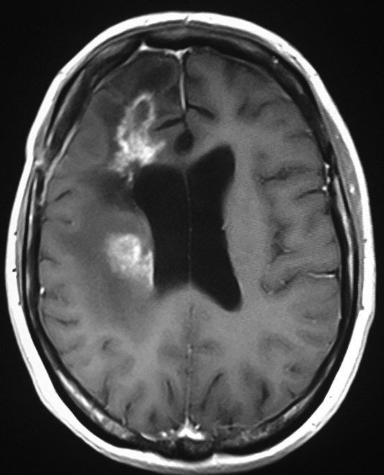
En la figura 4, se observa en la imagen axial del cerebro por RM un cisticerco vesicular coloidal frontal anterior derecho y otro frontal posterior del mismo lado, captador en anillo y rodeado de edema.

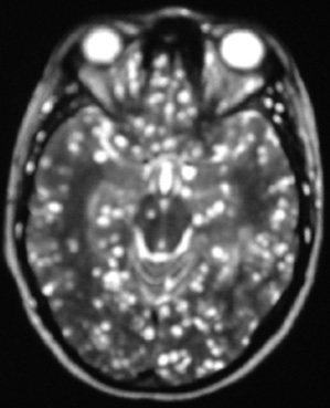
La figura 5, correspondiente a una imagen axial de RM en protocolo T2, muestra numerosos cisticercos extra e intracraneanos, incluso en cuencas orbitarias, como cisticercosis miliar en una mujer joven del interior del Perú.

La sarcoidosis constituye una enfermedad multisistémica idiopática granulomatosa no infecciosa, que no es muy conocida en nuestro medio por ser casi inexistente o confundida o mal diagnosticada; esta enfermedad afecta fundamentalmente a adultos jóvenes (32). Puede dañar a cualquier parte del SNC y la afectación neurológica ha sido estimada en alrededor del 5 % (33,34). Se evidencian dos modelos principales de enfermedad granulomatosa intracraneal: la leptomeningitis basilar crónica y el nódulo sarcoide parenquimatoso. La forma de presentación más frecuente es la primera con afección de los nervios craneales, la glándula pituitaria y el hipotálamo. Se comprometen, asimismo, los nervios craneales (50-75 %), la parenquimatosa (50 %), la meníngea (10-20 %); también se presenta el compromiso medular y polineuropatía periférica (15 %), miopatías (15 %), hidrocefalia (10 %), endocrinopatía (10-15 %), lesión tumoral (5-10 %), encefalopatía/vasculopatía (5-10 %) y crisis epilépticas (5-10 %) (33-35).
La complicación neurológica más frecuente es la neuropatía craneal, que afecta fundamentalmente a los nervios II, III, IV, V, VI y VII, ya sea individualmente o en combinación. La alteración de la visión, el compromiso oculomotor y la parálisis facial periférica ocurren frecuentemente. Puede ser la presentación inicial, acompañada o no de meningitis (33,34). El papiledema, secundario a inflamación meníngea, puede llevar a la atrofia del nervio óptico, por lo que el retraso en el diagnóstico de sarcoidosis puede resultar en pérdida visual irreversible. En la neuropatía óptica dolorosa debe considerarse la neuritis óptica desmielinizante como diagnóstico diferencial (33,34).
La afección del parénquima cerebral es común. Las lesiones granulomatosas supratentoriales son más comunes que las infratentoriales, a menudo asintomáticas, y se asocian a aracnoiditis extensa, aunque puede presentarse con una disfunción cerebral focal o un aumento de la presión intracraneal. Ocasiona manifestaciones inespecíficas como dolores de cabeza, letargo, convulsiones y ceguera.
En la RM se puede observar, en la sustancia blanca cerebral a nivel de la transición de la sustancia blanca-gris, hiperintensidad en el protocolo de T2W y de la recuperación de inversión atenuada de fluido (FLAIR), difícil de distinguir de la esclerosis múltiple. Se puede evidenciar realce giriforme difuso o localizado de la leptomeninge basal, basilar, de la región hipotalámica y de los espacios de Virchow-Robin. Es frecuente la hidrocefalia obstructiva o comunicante. De hecho, la neurosarcoidiosis puede simular al sida y a cualquier tipo de tumor intracraneal (35-37).
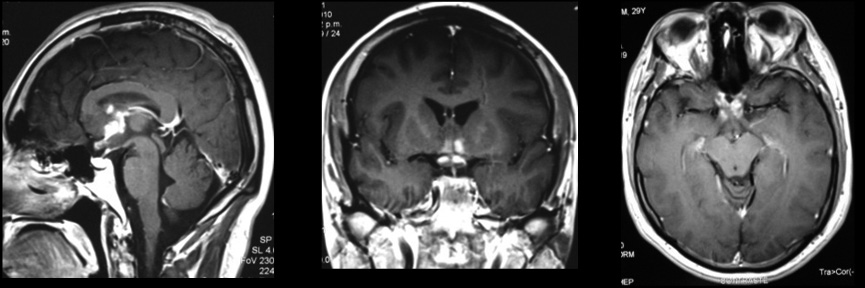
En la figura 6, que muestra una RM en TW-1 con gadolinio en corte sagital, coronal y axial del cerebro, se observan múltiples pequeños focos captadores conglomerados en región hipotalámica quiasmática y porción prequiasmática de nervios ópticos, en un varón de 29 años con disminución progresiva de la visión y hemianopsia bitemporal. Corresponde al primer caso de neurosarcoidosis diagnosticado por RM en el país, comprobado histológicamente (32).

La granulomatosis de Wegener (GW) es una vasculitis de vasos de mediano y pequeño calibre. Está considerada dentro de las vasculitis necrotizantes junto a la poliarteritis nudosa (PAN), poliangeítis microscópica (PAM) y síndrome de Churg-Strauss (SCS). La GW y el SCS, además de presentar vasculitis, comparten la característica de desarrollar lesiones granulomatosas extravasculares (38). El compromiso neurológico ocurre en un 22 % a 54 % de los pacientes. Lo más frecuente es la neuropatía periférica, especialmente la mononeuritis múltiple, mientras que en la afectación del SNC ocurre solo en un 2 % a 8 % de los casos. Los anticuerpos antineutrófilos con patrón citoplásmico (ANCA-c) y dirigidos contra la proteinasa 3 presentan una sensibilidad de 95 % y una especificidad de 98 % cuando la forma generalizada se encuentra en actividad (38). La edad media en que se presenta esta enfermedad es la cuarto y quinta década de la vida (39).
La RM presenta mayor sensibilidad para el estudio del compromiso meníngeo y muestra un engrosamiento focal o difuso de la duramadre que realza tras la administración del contraste (40,41). Se observan dos distintos patrones de distribución: a) afectación meníngea, con engrosamiento dural focal y realce adyacentes con enfermedad de órbita, nasal o senos paranasales, que representa una invasión directa por el proceso granulomatoso; y b) afección parenquimal. La GW afecta en el cerebro a la corteza, a la sustancia blanca o a ambos, mimetizando una distribución vascular. Pueden ocurrir múltiples infartos y lesiones inespecíficas en sustancia blanca con intensidad intermedia a alta en imágenes ponderadas en T2 y FLAIR. Otras formas de vasculitis pueden involucrar al SNC, como la enfermedad de Behcet, la poliarteritis nodosa, el lupus eritematoso sistémico, entre otros. La mayoría de estas enfermedades pueden producir vasculitis sistémica (42).
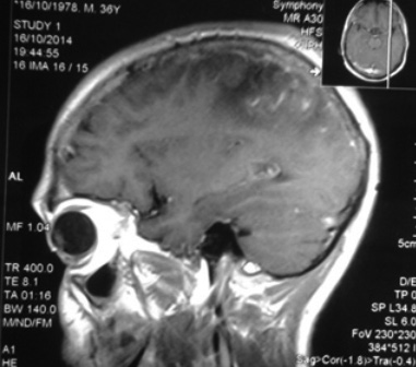
En la figura 7 se tiene un corte sagital por RM con gadolinio, que muestra una lesión córtico-subcortical captadora y difusa, rodeada de edema en el lóbulo parietal izquierdo de un caso de GW comprobado (40).

La vasculitis granulomatosa intracraneal es una angeítis desconocida en la que la formación granulomatosa puede ser un componente minoritario de la enfermedad (38). Como la angiografía es menos invasiva que la biopsia cerebral, se realiza previamente primera, y suelen encontrarse los clásicos hallazgos angiográficos de vasculitis, como la alternancia de dilataciones y el estrechamiento de los vasos sanguíneos (42).
Así como la forma de pseudotumor de la esclerosis múltiple (43), hay otras formas tumorales con aspecto de granulomas, como se observa en otras infecciones bacterianas, micóticas, parasitarias, a cuerpo extraño (44), entre otras. En el diagnóstico diferencial se debe tener en cuenta la neoplasia, el absceso, la hematoma en reabsorción y la radionecrosis (26).
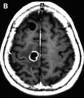
En la figura 8, se aprecia una imagen de RM en corte axial en T1-W y con gadolinio de cerebro, que muestra dos lesiones captadoras en anillo irregular e incompleto, rodeadas de edema y adyacentes a la pared ventricular en el lóbulo frontal derecho, correspondientes a formas pseudotumorales de esclerosis múltiple.

En la patología del encéfalo, hay formaciones tumorales correspondientes a granulomas de difícil diagnóstico etiopatogénico, entre las cuales las inflamatorias a nivel del encéfalo son las más frecuentes en países de América Latina, África y Asia. Por ello, generalmente se requiere del examen histopatológico final por un método invasivo.
La tuberculosis y la neurocisticercosis son las entidades más frecuentes en las regiones mencionadas, que responden a fenómenos epidemiológicos y socioculturales. Dentro de las inflamatorias infecciosas, los tuberculomas cerebrales ocasionan una mortalidad alta si no se hace el diagnóstico y el tratamiento temprano. La toxoplasmosis es la parasitosis más frecuente en pacientes inmunocomprometidos, se presenta con lesiones múltiples del encéfalo, cuyo compromiso es de predominio de los ganglios basales. Las no infecciosas serían menos frecuentes, de compromiso universal y homogénea, como la neurosarcoidosis, que tiene predilección por la leptomeníngea de la base craneal, que compromete más a los nervios craneanos, al diencéfalo y al tallo pituitario.
Junto con las técnicas habituales y protocolos relativamente recientes de RM, como el de FLAIR, tenemos más herramientas para la valoración inicial y el seguimiento de la patología tumoral del encéfalo, sin recurrir al diagnóstico diferencial invasivo final. Si bien en otras partes del mundo los granulomas de origen inflamatorio son de rara ocurrencia, las migraciones y la globalización en general también las harán presentes y el número aumentará.
https://revistas.upch.edu.pe/index.php/RNP/article/view/4568/5122 (pdf)
Ninguno.
Correspondencia: Conrado Castro Magluff. Correo electrónico: ccastromagluff@yahoo.com


Tomado de Siddiqui et al. (14).





