Reporte de caso
Hallazgos en imágenes por resonancia magnética de pacientes con tuberculoma intracraneal en un centro privado de Lima, Perú
Magnetic resonance imaging findings of patients with intracranial tuberculoma in a private center in Lima, Peru
Hallazgos en imágenes por resonancia magnética de pacientes con tuberculoma intracraneal en un centro privado de Lima, Perú
Revista de Neuro-Psiquiatría, vol. 86, núm. 4, pp. 329-334, 2023
Universidad Peruana Cayetano Heredia

Recepción: 07 Septiembre 2023
Aprobación: 26 Diciembre 2023
Financiamiento
Fuente: Autofinanciado
Resumen: Una de las formas del cuadro inflamatorio-infeccioso de la tuberculosis, problema mayor de salud pública en América Latina, Asia y África y con potencial extensión mundial, es la forma parenquimal tumoral en el encéfalo, conocida como granuloma tuberculoso o tuberculoma. Este cuadro condiciona comúnmente efectos de masa y edema perilesional, los cuales suelen confundirse con manifestaciones radiológicas de otros granulomas y masas neoplásicas, en especial, las de alto grado. Son por ello necesarios estudios minuciosos de carácter clínico, epidemiológico, exámenes de laboratorio y, sobre todo, de imágenes por resonancia magnética. Se comparten en este artículo algunas observaciones de imágenes de casos comprobados de granuloma tuberculoso en el encéfalo, en pacientes examinados en un centro privado de diagnóstico radiológico por resonancia magnética en Lima. Los hallazgos podrían ayudar en el diagnóstico relativamente temprano de casos, previniéndose así el avance de la enfermedad y sus consecuencias, así como el empleo de métodos diagnóstico-terapéuticos invasivos.
Palabras clave: Enfermedad granulomatosa crónica, tuberculoma, encéfalo, imágenes por resonancia magnética.
Abstract: One of the forms of the inflammatory-infectious condition of tuberculosis, a major public health problem in Latin America, Asia and Africa with a potential worldwide spread, is the parenchymal tumor form in the brain, known as tuberculous granuloma or tuberculoma. This form commonly induces a mass effect and perilesional edema, which are often confused with the radiological manifestations of other granulomas and neoplastic masses, especially high-grade ones. Therefore, it is necessary to conduct careful clinical and epidemiological studies, laboratory tests and, above all, magnetic resonance imaging explorations. In this article, we share some MRI observations of proven cases of tuberculous granulomas in the brain, in patients seen at an MRI diagnostic radiological center. The findings could help in a relatively early diagnosis of cases, thus preventing the progression of the disease with its well-known consequences, and the use of invasive diagnostic/therapeutic methods.
Keywords: Chronic granulomatous disease, tuberculoma, brain, magnetic resonance imaging.
INTRODUCCIÓN
La tuberculosis (TBC) es una enfermedad inflamatoria infecciosa causada por el Mycobacterium tuberculosis. Es un importante problema de salud pública en el mundo y es la segunda causa de muerte por enfermedades infecciosas. Asimismo, afecta principalmente a Latinoamérica, África y Asia. El incesante crecimiento de la globalización y de los viajes internacionales también contribuye a que más personas del mundo estén en riesgo de contraer esta enfermedad. La Organización Mundial de la Salud (1) refiere que probablemente la cuarta parte de la población mundial esté infectada con esta bacteria. La incidencia de la TBC es mayor en los países en desarrollo, pero en los industrializados también está aumentando. Además, se la observa asociada con el virus de la inmunodeficiencia humana (VIH) y con la resistencia a la terapia antituberculosa. Otro grupo de riesgo lo conforman las personas con adicción a las drogas, inmigrantes de zonas de alta prevalencia y las poblaciones que viven en hacinamiento.
La forma pulmonar de esta enfermedad tiende a ser el compromiso más común; sin embargo, la mayor morbimortalidad se da cuando daña al sistema nervioso central (SNC), que ocurre la mayoría de las veces por diseminación hematógena intracraneal a partir de un foco primario, generalmente de los pulmones. Las poblaciones pediátricas e inmunocomprometidas son los grupos principales susceptibles a la TBC del SNC, en donde la forma de presentación más frecuente es la de la meningitis tuberculosa. Algunas veces, el compromiso es parenquimal a base de formas tumorales de tamaño variable, conocidas como granulomas, que ocasionan el trastorno de la barrera hematoencefálica y causan edema vasogénico intersticial, que da importante efecto de masa. En el cerebro, se ubican frecuentemente en los lóbulos frontal, parietal y temporal. También comprometen estructuras subcorticales. Está compuesto por un conglomerado de fagocitos como un núcleo con linfocitos y células plasmáticas en la periferia, de origen y mecanismos fisiopatológicos aún no esclarecidos en su totalidad. Los síntomas y los signos están condicionados por su localización en el SNC. Aproximadamente, representa el 4 % de los casos en países desarrollados y el 30 % en los países en vías de desarrollo (2,3).
En los adultos, el 70 % son supratentoriales, mientras que en los niños el 70 % son infratentoriales. Esto es similar a lo que ocurre en las neoplasias, con las que suele confundirse (4,5).
Las neoplasias intracraneales constituyen un grupo muy heterogéneo y de polimorfismo. Las primarias más frecuentes en adultos incluyen: meningiomas, gliomas y pituitarios. Las secundarias o metástasis más frecuentes son las siguientes: pulmón, mama, riñón y piel (6,7).
Hay varios aspectos que dificultan el diagnóstico del tuberculoma, tales como el cuadro clínico, el compromiso oportunista por inmunocompetencia, la ausencia de contacto conocido en la epidemiologia, de TBC pulmonar previa conocida y de otros signos sistémicos de la enfermedad (8).
Con el advenimiento y el desarrollo de las imágenes por resonancia magnética (RM), se ha mejorado el diagnóstico diferencial de las formaciones expansivas intracraneales, en donde los tuberculomas suelen ser iso a hipointensos respecto a la materia gris en la secuencia T1W, e hiperintensos en las secuencias T2W y FLAIR. Ello sin mostrar restricción en la secuencia ponderada en difusión (DWI), salvo si hay necrosis licuefactiva central, como ocurre en el caso de la complicación por un absceso. Tras la administración del gadolinio («contraste»), exhiben captación en anillo o de una masa conglomerada o de forma heterogénea (9,10). En la espectroscopía del encéfalo, se observa la elevación del pico de lípidos tal vez por necrosis; y en algunos casos hay elevación de la aguja de colina, tal vez por gliosis (10). Se ha observado un pico singular a nivel de 3,8 ppm en la mayoría de tuberculomas, que correspondería al pico del guanidinoacetato (Gua), ausente en los tumores malignos, lo que podría ser un marcador diferencial importante. Los índices más altos de Cho/Cr y mI/Cr se darían en las lesiones malignas (11). Por otro lado, se ha señalado a la secuencia Amide Proton Transfer (APT) como un biomarcador de imagen muy valioso en el diagnóstico diferencial con los tuberculomas, a fin de separar a las neoplasias de alto y bajo grado, detectando a los de alto grado sin captación y a los de bajo grado que realzan como falsos positivos. Además, ayudaría a dirigir las biopsias de forma más precisa, distinguir los casos de recurrencia y los cambios postratamiento (12,13).
Se presenta este artículo para señalar algunas observaciones en estudios por RM de casos comprobados de tuberculomas en forma de masa y no caseoso, que puedan contribuir para su diagnóstico diferencial sobre todo con procesos neoplásicos de alto grado. No es nuestra intención lograr diferencias específicas con otras formas granulomatosas infecciosas que requieren de casuísticas mayores y de metodología más compleja.
MÉTODOS
En forma retrospectiva, revisamos los informes y las imágenes por RM de 50 pacientes con tuberculomas del encéfalo, en su forma de granuloma no caseoso. De los cuales solo se seleccionaron 20, debido a la seguridad de la inclusión de solo casos comprobados por histopatología, según respuesta al requerimiento previo de información precisa al respecto. Los casos seleccionados se dieron entre los años 2002 y 2022, y fueron referidos para el examen e informe al centro privado de Resonancia Magnética SA (RESOMASA), de Lima, Perú. Utilizando un escáner de RM de 1.5 Tesla, se aplicó el estudio precontraste: en plano axial T1W, T2W, FLAIR (secuencia de recuperación de inversión atenuada por líquido), DWI. Después de la aplicación de gadolinio se obtuvo la secuencia ponderada en T1W en los tres planos. En algunos casos se hizo espectroscopia, sin un propósito determinado. Se registró su número, ubicación, dimensiones y otras características.
RESULTADOS
De los casos revisados, la mayoría correspondía a un rango de edad entre 23 y 60 años. Respecto al sexo, 11 eran de mujeres y 9 eran de hombres. Todas las lesiones eran supratentoriales y rodeadas de extenso edema: 6 frontales, 4 frontoparietales, 5 parietales, 4 temporales y 1 multifocal (frontal y temporal). Según la dimensión, después del realce con gadolinio, los tuberculomas se clasificaron de la siguiente manera: de menor (< 2,5 cm), mediano (entre 2,5 y 5 cm) y mayor (> 5 cm) tamaño. Así pues, 6 eran de menor tamaño, 6 eran medianos y 8 tenían tamaño mayor. En ninguno se observó anomalías intracraneales asociadas a otras formas de la enfermedad.
Dentro de las características, se observó que los tuberculomas de pequeño y moderado tamaño mostraban el predominio del edema vasogénico, lo cual dio efecto de masa, en algunos con colapso de las cavidades ventriculares y del espacio de los surcos corticales. Fenómeno similar se encontró en otros casos de granulomas de etiología inespecífica. El tuberculoma, así como el resto de los procesos granulomatosos infecciosos, siempre capta la sustancia paramagnética de contraste (gadolinio). En la mitad de los casos, se observó una o más pequeñas captaciones periféricas, casi lineales, adyacentes a la masa captadora a la que se le llama «vaso o cola centinela», tal vez por vasculitis focal y/o trayectoria vascular. Ello es más difícil de observar en las masas captadoras de gran tamaño. También se la observó en otros granulomas no específicos y en ninguno de neoplasia. En cuatro casos que se realizó la espectroscopía, se observó la elevación de la aguja de lípidos, probablemente por necrosis. En tres de ellos, había leve a moderada elevación del pico de la colina, tal vez por gliosis.
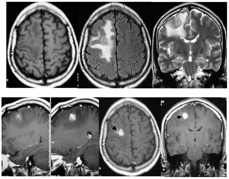
Acompañamos la presente comunicación con imágenes de RM en las que se grafica el «vaso centinela» a nivel frontal derecho (figura 1), fronto-parietal derecho (figura 2) y fronto-temporal derecho (figura 3).

Imágenes de RM sin gadolinio en corte axial en T1 y Flair, y en corte coronal en T2. RM con gadolinio: cortes sagital, axial y coronal. Se observa un granuloma frontal derecho, cortico-subcortical, con gran edema perilesional y masa captadora. La flecha señala un «vaso centinela» captador.

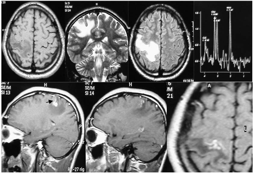
Imágenes de RM sin gadolinio: corte axial en T1 y FLAIR, y corte coronal en T2. RM con gadolinio: cortes sagital y axial. Se observa un granuloma fronto-parietal derecho con aspecto similar al anterior, un edema vasogénico y la flecha señala a un vaso captador. Una secuencia de espectroscopía muestra la leve elevación del pico de la colina

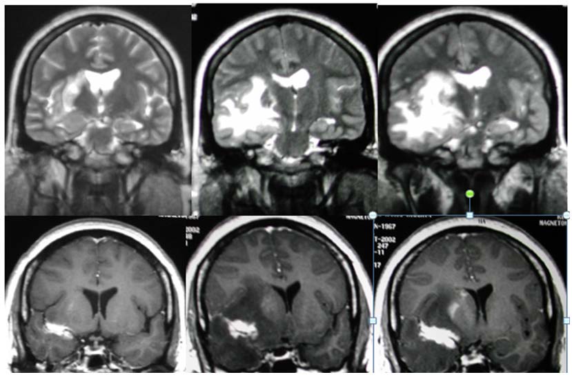
Imágenes de RM sin gadolinio: cortes coronales en T2. RM con gadolinio: cortes coronales en T1 Se observa una formación granulomatosa captadora, fronto-temporal derecha adyacente al valle silviano derecho con gran edema perilesional. También se observa, de modo adyacente y lateral, la forma captadora de un vaso o cola, ya mencionada
DISCUSIÓN
Es conocido el polimorfismo clínico e imagenológico del compromiso del SNC por la TBC. Entre estas formas, el tuberculoma es de difícil diagnóstico diferencial por la apariencia de las imágenes y, sobre todo, por la similitud con las neoplasias de alto grado, como el glioblastoma (14-16). Asimismo, en el diagnóstico diferencial también se asemeja a otras afecciones, como granulomas, infecciones y otras neoplasias (17).
Khatri et al. (14) revisaron el aspecto por RM de varias formas de presentación del tuberculoma. Con la de la forma no caseosa, nuestros casos tenían aspecto similar. Los autores precitados mencionan que la TBC intracraneal tiene «muchas caras» en el aspecto de las imágenes, y concluyeron que la evaluación de cuidados de la RM, el uso apropiado de técnicas modificadas y los avances recientes, junto con una correlación clínico-radiológica adecuada, permiten el tratamiento clínico oportuno. Los hallazgos de Ibrahim et al. (18), en un estudio realizado en Somalia, con una casuística mayor y con el uso de registros hospitalarios retrospectivamente, diagnosticaron a los tuberculomas por RM con características similares a los nuestros (comprobados por un estudio histopatológico) y no mencionan el hallazgo del «vaso centinela». En nuestros casos, la prueba de difusión no aportó anotación de compromiso alguno; sin embargo, se ha señalado que hay hiperperfusión en los granulomas y en algunos casos de neoplasia maligna (9). En nuestro estudio, la prueba de perfusión no estaba contemplada en el protocolo. Si bien tuvimos escasos estudios por espectroscopía por RM, la elevación del pico de lípidos señalada es similar a lo mencionado, como la posibilidad de un tuberculoma (11). El aspecto de mejor cuadro clínico de los pacientes con granuloma en el momento del examen por RM también fue señalado por Varela et al. (19), mediante un estudio histopatológico después de la resección de masa en el lóbulo frontal derecho. En ningún caso se ha encontrado la observación del «vaso centinela» que se hallaría en todos los granulomas infecciosos, según lo que mencionamos.
CONCLUSIÓN
Si bien la casuística es limitada por el número de casos, debido al celo en la exclusión, ya que se aceptaron solo casos comprobados histológicamente de granulomas de origen tuberculoso, se resalta en este estudio el predominio del edema perilesional y el hallazgo de un vaso captador que denominamos «vaso centinela». Sugerimos estudios con casuística más amplia para encontrar hallazgos por imágenes que diferencien a otros granulomas infecciosos. Creemos que la RM es un método de diagnóstico por imagen adecuado para diferenciar entre granulomas y neoplasias de alto grado. Así, el diagnóstico temprano y el tratamiento específico evitarían la posibilidad de mayores consecuencias neurológicas y el empleo del procedimiento quirúrgico. No encontramos en la literatura casuísticas amplias con estudio histopatológico comprobado. Tampoco hallamos el diagnóstico diferencial de proceso granulomatoso infeccioso específico y de otras patogenias.
Agradecimientos
Ninguno.
REFERENCIAS BIBLIOGRÁFICAS
1. World Health Organization. Global tuberculosis report 2022 [Internet]. Geneva: WHO; 2022. Disponible en: https://www.who.int/teams/global-tuberculosis-programme/tb-reports/global-tuberculosis-report-2022
2. Da Rocha AJ, Maia AC, Ferreira NP, Amaral LL. Granulomatous diseases of the central nervous system. Top Magn Reson Imaging [Internet]. 2005; 16(2): 155-187. Disponible en: https://journals.lww.com/topicsinmri/fulltext/2005/04000/granulomatous_diseases_of_the_central_nervous.4.aspx
3. Perez-Malagon CD, Barrera-Rodriguez R, Lopez-Gonzalez MA, Alva-Lopez LF. Diagnostic and neurological overview of brain tuberculomas: a review of literature. Cureus [Internet]. 2021; 13(12): e20133. Disponible en: https://www.cureus.com/articles/78621-diagnostic-and-neurological-overview-of-brain-tuberculomas-a-review-of-literature#!/
4. Adams DO. The granulomatous inflammatory response. A review. Am J Pathol [Internet]. 1976; 84(1): 164-192. Disponible en: https://pubmed.ncbi.nlm.nih.gov/937513/
5. Merchant SA, Shikh MJS, Nadkarni P. Tuberculosis conundrum-current and future scenarios: a proposed comprehensive approach combining laboratory, imaging, and computing advances. World J Radiol [Internet]. 2022; 14(6): 114-136. Disponible en: https://www.wjgnet.com/1949-8470/full/v14/i6/114.htm
6. Contreras LE. Epidemiología de tumores cerebrales. Rev Med Clin Condes [Internet]. 2017; 28(3): 332-338. Disponible en: https://www.enfermeriaaps.com/portal/wp-content/uploads/2017/06/EPIDEMIOLOG%C3%8DA-DE-TUMORES.pdf
7. McNeill KA. Epidemiology of brain tumors. Neurol Clin [Internet]. 2016; 34(4): 981-998. Disponible en: https://www.sciencedirect.com/science/article/abs/pii/S0733861916300366?via%3Dihub
8. Salaskar AL, Hassaneen W, Keenan CH, Suki D. Intracranial tuberculoma mimicking brain metastasis. J Can Res Ther [Internet]. 2015; 11: 653-656. Disponible en: https://journals.lww.com/cancerjournal/fulltext/2015/11030/intracranial_tuberculoma_mimicking_brain.63.aspx
9. Carrillo RA. Conceptos modernos en radiología e imagen de tumores cerebrales. Acta Médica Grupo Ángeles [Internet]. 2016; 14(Supl. 1): S27-S32. Disponible en: https://www.medigraphic.com/pdfs/actmed/am-2016/ams161e.pdf
10. Kioumehr F, Dadsetan MR, Rooholamini SA, Au A. Central nervous system tuberculosis: MRI. Neuroradiology [Internet]. 1994; 36(2): 93-96. Disponible en: https://link.springer.com/article/10.1007/BF00588067
11. Morales H, Alfaro D, Martinot C, Fayed N, Gaskill-Shipley M. MR spectroscopy of intracranial tuberculomas: a singlet peak at 3.8 ppm as potential marker to differentiate them from malignant tumors. Neuroradiol J [Internet]. 2015; 28(3): 294-302. Disponible en: https://journals.sagepub.com/doi/10.1177/1971400915592077
12. Brenes Castro JM, Lozano Martínez GA, Castells Buchle S, Matellini Mosca SB, Tintaya Ytusaca SB, Méndez Escalante SJ, et al. ¿Para qué sirve el APT? Usos y aplicaciones de la secuencia APT en tumores del SNC. Seram [Internet]. 2022; 1(1). Disponible en: https://piper.espacio-seram.com/index.php/seram/article/view/9424
13. Kulanthaivelu K, Jabeen S, Saini J, Raju S, Nalini A, Sadashiva N, et al. Amide proton transfer imaging for differentiation of tuberculomas from high-grade gliomas: preliminary experience. Neuroradiol J [Internet]. 2021; 34(5): 440-448. Disponible en: https://journals.sagepub.com/doi/10.1177/19714009211002766
14. Khatri GD, Krishnan V, Antil N, Saigal G. Magnetic resonance imaging spectrum of intracraneal tubercular lesion: one disease many faces. Pol J Radiol [Internet]. 2018; 83: e524-e535. Disponible en: https://www.polradiol.com/Magnetic-resonance-imaging-spectrum-of-intracranial-tubercular-lesions-one-disease-many-faces,126,34716,0,1.html
15. Gastón Jaimovich S, Driollet Laspiur S, Figurelli S, Guevara M, Gardella J. Tuberculoma que simula una neoplasia cerebral. Sugerencias diagnósticas y terapéuticas. Neurol Arg [Internet]. 2013; 5(1): 30-33 Disponible en: https://www.sciencedirect.com/science/article/abs/pii/S185300281200095X?via%3Dihub
16. Ostrom QT, Gittleman H, Xu J, Kromer C, Wolinsky Y, Kruchko C, et al. CBTRUS statiscal report: primary brain and other central nervous system tumors diagnosed in the United States in 2009-2013. Neuro Oncol [Internet]. 2016; 18(Suppl 5): vl-v75. Disponible en: https://academic.oup.com/neuro-oncology/article/18/suppl_5/v1/2590014
17. Cardenas G, Soto-Hernández JL, Orozco RV, Guevara-Silva E, Revuelta R, Amador JL. Tuberculous brain abscesses in immunocompetent patients: management and outcome. Neurosurgery [Internet]. 2010; 67(4): 1081-1087. Disponible en: https://journals.lww.com/neurosurgery/abstract/2010/10000/tuberculous_brain_abscesses_in_immunocompetent.38.aspx
18. Ibrahim IG, Osman AA, Shikhow MG, Celik C, Mutlu E, Hassan Qalaf MS, et al. Magnetic resonance imaging findings of intracraneal tuberculoma patients in a tertiary hospital in Mogadishu, Somalia: a retrospective study. Ann Med Surg (Lond) [Internet]. 2022; 78: 103812. Disponible en: https://journals.lww.com/annals-of-medicine-and-surgery/fulltext/2022/06000/magnetic_resonance_imaging_findings_of.109.aspx
19. Varela A, Orellana F, García MB, Martínez C, Torres R, Herrera P, et al. Granulomas del encéfalo. A propósito de un caso. Rev Chil Neuroc [Internet]. 2018; 44(2): 154-159. Disponible en: https://revistachilenadeneurocirugia.com/index.php/revchilneurocirugia/article/view/28
Notas de autor
Correspondencia: Conrado Castro Magluff. Correo electrónico: ccastromagluff@yahoo.com
Declaración de intereses
Enlace alternativo
https://revistas.upch.edu.pe/index.php/RNP/article/view/5182/5493 (pdf)