Reporte de caso
Disabling proximal-distal quadriparesis as initial symptom of dermatomyositis: a case report
Cuadriparesia proximal-distal discapacitante como síntoma inicial de dermatomiositis: reporte de caso
Disabling proximal-distal quadriparesis as initial symptom of dermatomyositis: a case report
Revista de Neuro-Psiquiatría, vol. 88, núm. 2, pp. 168-175, 2025
Universidad Peruana Cayetano Heredia

Recepción: 13 Abril 2024
Aprobación: 24 Febrero 2025
Abstract: Dermatomyositis is considered a rare disease that affects the quality of life of patients. Herein, we described the case of a 48-year-old man with initial neuromuscular symptoms of disabling proximal-distal quadriparesis. He had an antinuclear antibody speckled pattern and elevated levels of creatine kinase and transaminases. Muscle magnetic resonance imaging revealed muscle edema and fatty atrophy in the pelvic girdle and shoulder girdle muscles. Electromyography showed signs of abundant denervation—predominantly proximal muscles and small-amplitude polyphasic motor units. Muscle biopsy revealed perivascular inflammation and perifascicular atrophy, CD3- and CD4-positivity, with CD8-positivity to a lesser extent than CD4 positivity, and CD20-negativity. He received induction treatment with methylprednisolone and cyclophosphamide and maintenance treatment with prednisone and azathioprine. He showed favorable progress at 1 year of follow-up, exhibiting adequate muscle strength and functional independence. Thus, this presentation and the associated systemic manifestations should be considered for timely management and improvement of the functional prognosis of patients.
Keywords: neuromuscular manifestations, muscle weakness, myositis, dermatomyositis, Latin America.
Resumen: La dermatomiositis es considerada una enfermedad rara que afecta la calidad de vida de las personas que la padecen. En el presente caso se reporta la manifestación inicial de sintomatología neuromuscular atípica de un adulto varón de 48 años, con clínica de cuadriparesia próximo-distal discapacitante. Se identificó ANA 1/2560 patrón moteado, elevación de CK y transaminasas. En la resonancia magnética muscular, se apreció edema muscular y atrofia de grasa en músculos de la cintura pélvica y escapular. La electromiografía evidenció signos de denervación en abundante cantidad, con predominio de músculos proximales y unidades motoras polifásicas de pequeña amplitud. En la biopsia muscular, se reportó inflamación perivascular y atrofia perifascicular, CD3 y CD4 positivos con CD8 positivo en menor grado que CD4, y CD20 negativo. El paciente recibió tratamiento de inducción con metilprednisolona y ciclofosfamida, y mantenimiento con prednisona y azatioprina, presentando una evolución favorable al año de seguimiento, con fuerza muscular adecuada e independencia funcional. Es importante tener en consideración esta presentación atípica y las manifestaciones sistémicas asociadas para un manejo oportuno y mejora del pronóstico funcional de los pacientes.
Palabras clave: manifestaciones neuromusculares, debilidad muscular, dermatomiositis, América Latina..
INTRODUCTION
Inflammatory myopathies, collectively known as “myositis,” are heterogeneous disorders that affect skeletal muscle, are characterized by muscle inflammation, and often involve other organs, including the skin, lungs, heart, and joints (1).
Since Bohan and Peter first described the original classification and diagnostic criteria for polymyositis (PM) and dermatomyositis (DM) in 1975, notable progress has been made in understanding the heterogeneous nature of these diseases (1, 2).
Currently, five main types of myositis are widely recognized: DM, immune-mediated necrotizing myositis, sporadic inclusion body myositis, superimposed myositis (including antisynthetase syndrome), and PM. The discovery of autoantibodies, specifically associated with characteristic clinical phenotypes, has played a key role in understanding inflammatory myopathies (1, 3).
Furthermore, the European Alliance of Rheumatology Associations and the American College of Rheumatology (EULAR/ACR) has developed new classification criteria for idiopathic inflammatory myopathies in both adult and juvenile forms and their main subgroups. The new 2017 EULAR/ACR classification criteria provide a score indicating the likelihood of having myositis, which is essential for including comparable patients in studies. This provides investigators with flexibility in inclusion criteria for different types of studies (4).
DM is a systemic autoimmune disease classified as immune-mediated myopathy and characterized by muscle inflammation and dermal involvement. It is frequently accompanied with proximal muscle weakness and systemic involvement of other organs and systems (2, 3).
DM is considered a rare disease that affects the quality of life of patients. It has an estimated incidence of 1.0-15 per million inhabitants and a prevalence of 1.2-21 per 100,000 inhabitants, although higher rates have been reported considering the current EULAR/ACR diagnostic criteria. Mortality associated with DM is related to its systemic involvement (5).
Herein, we reported the case of a patient with atypical muscle weakness as initial neuromuscular symptom of DM and conducted a review of the literature. This manuscript was prepared following the CARE Guidelines for case reports (6), and written informed consent was obtained from the patient prior to preparation of this report.
CASE PRESENTATION
Herein, we reported the case of a self-sufficient 48-year-old man without any notable personal or family pathological history. He was admitted to the emergency room of a national reference hospital in Peru 1 month after the detection of clinical symptoms. These symptoms involved symmetrical weakness of the four limbs in proximal and distal regions—predominantly in the lower limbs—showing difficulty climbing stairs, raising the arms, and reporting associated spontaneous muscle pain.
The patient’s condition progressed, and he had difficulty getting out of bed and swallowing solid foods and did not show any changes in sensitivity. In addition, the medical report mentioned a slight decrease in osteotendinous reflexes in 4 extremities. He was hospitalized with an erroneous presumptive diagnosis of Guillain–Barré syndrome and received treatment with intravenous human immunoglobulin. There were no compatible albumin-cytological dissociation data in the lumbar puncture performed and the electromyography and creatine kinase (CK) results of said hospitalization were not obtained. The patient reported a slight improvement, especially distally, requiring the assistance of another person to walk and perform activities of daily living.
Diffuse hyperpigmented dermal lesions on the face and changes in the skin color of upper limbs and back appeared 3 months after the onset of symptoms. Subsequently, he presented with a new deterioration of muscle function and worsening of symptoms; moreover, he reported increased muscle weakness in the lower limbs. His symptoms were as severe as those in the beginning, again reporting difficulty getting out of bed and increasing dysphagia to solids. Therefore, he was hospitalized in the General Neurology Service, to carry out more diagnostic studies and reconsider the patient's erroneous initial diagnosis.
Musculoskeletal evaluation revealed severe symmetrical proximal-distal quadriparesis (Medical Research Council Scale score of 2/5 in all four limbs) and the absence of synovitis. The patient also presented dyspnea progressively to medium efforts. No alterations in deep tendon reflexes, sensitivity, and sphincter function or other neurological changes were reported. The evaluation of the cranial nerves was normal except the evaluation of the nauseous reflex which was altered. At the dermatological level, centripetal perinasal facial erythema and peripheral hyperpigmentation in the genial region, upper limbs, and back were reported (Figure 1), along with a slight erythema on the knees.

Figure 1. Dermatological findings in the patient. A) Facial erythema. Perinasal centripetal facial erythema and peripheral hyperpigmentation in the facial region. B) Gottron’s sign. Macules and erythematous patches on the extensor surface of the knee joint. C) Shawl sign. Photodistributed erythematous poikiloderma in the upper back and neck.
An electromyography study was conducted, which showed normal conduction velocity, decreased amplitude in the motor action potential, normal amplitude in the sensory action potential of the nerves, early interference pattern, signs of abundant denervation with predominance of proximal muscles, and polyphasic motor units of small amplitude. The final diagnosis was severe myopathy with signs of active denervation.
Laboratory tests were conducted to search for systemic causes, which yielded an antinuclear antibody (ANA) speckled pattern (1/2560) and elevated levels of fibrinogen, C-reactive protein, CK, lactate dehydrogenase, and transaminases. Any other systemic diseases, including infectious or neoplastic causes, were ruled out (Table 1).
| Test | Results |
| Blood count | Normal |
| Liver function markers | |
| Glutamic oxalacetic transaminase (GOT) | 480 IU/L (NV: 5.0-40.0 U/L) |
| Glutamic pyruvic transaminase (GPT) | 370 IU/L (NV: 7.0-56.0 U/L) |
| Creatine kinase (CK) | 11 968 U/L (NV: 30-200 U/L) |
| Lactate dehydrogenase (LDH) | 1216 U/L (NV: 115-225 U/L) |
| Kidney function markers | Normal |
| Thyroid hormones: T3, T4L, TSH | Normal |
| Thyroid antibodies | Negative |
| Serum protein electrophoresis | Negative |
| Oligoclonal bands | Negative |
| IgG, IgA, and IgM | Negative |
| Antinuclear antibodies (ANA) | 1/2560 speckled pattern (NV: <1/80) |
| Ena-Screen, ANCA-Screen | Negative |
| Tumor markers: CEA, CA 125, CA 15-3, AFP, CYFRA 21.1 | Negative |
| HIV chemiluminescence | Negative |
| Syphilis serological test | Negative |
| Toxoplasmosis, rubella, cytomegalovirus, herpes simplex tests | Negative |
Skin and muscle biopsies were performed, which revealed hyperkeratosis, epidermal atrophy, presence of mild perivascular lymphocytic infiltrate in the superficial dermis, and chronic nonspecific dermatitis. Muscle biopsy showed perivascular inflammation and perifascicular atrophy. The patient showed CD3- and CD4-positivity—with CD8-positivity to a lesser extent than CD4-positivity—and CD20-negativity in the immunohistochemistry study, indicating the diagnosis of DM and being hospitalized in the Rheumatology Service for the final treatment of the patient.
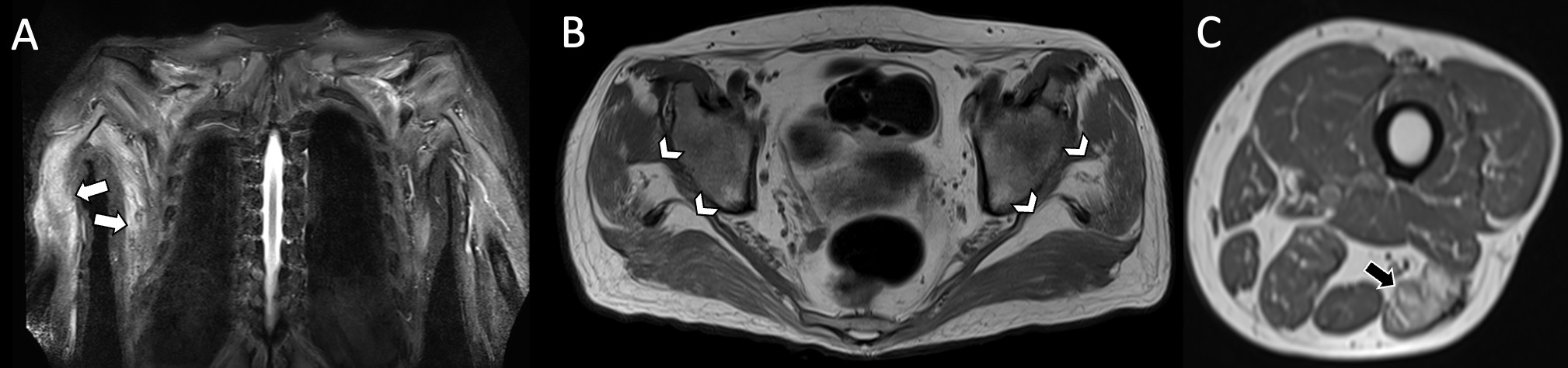
Complementary tests were conducted to determine the systemic involvement of the disease. Abdominal ultrasound revealed hepatomegaly. Solid neoplasms were ruled out via computed tomography (CT). Holter echocardiography results were negative for heart disease and kidney function with normal proteinuria values, and tumor and infectious markers showed negative results. Respiratory function tests showed a severe restrictive lung pattern. Shoulder and pelvic girdle Magnetic Resonance Imaging (MRI) revealed muscle edema and fatty atrophy in pelvic girdle muscles, along with significant muscle edema in the high shoulder girdle (Figure 2).

Figure 2. MRI without contrast. A) Coronal fat-saturated T2-weighted image of the shoulder girdle shows diffuse edema of the muscle groups, most evident in the right triceps and latissimus dorsi muscles. B) Axial T1-weighted image without fat saturation of the pelvic girdle shows atrophy and fat replacement of the muscle groups, most evident in the gluteus medius and maximus muscles on both sides. C) The lower sections also show atrophy and fatty replacement of the posterior muscular compartments of both thighs, most evident in the long head of the left biceps femoris.
The patient presented with aspiration pneumonia during his hospital stay and received empirical antibiotic therapy. Subsequently, he started intravenous immunosuppressive treatment with methylprednisolone (500 mg) for 3 days and then initiated the first cycle of cyclophosphamide (800 mg) due to severe muscular and pulmonary involvement.
The patient was discharged after 2 months of hospitalization, and five additional monthly cycles of treatment with outpatient cyclophosphamide were scheduled, after which he was started on prednisone (5 mg) every 12 h and azathioprine (50 mg) every 12 h. Furthermore, physical therapy was indicated, showing favorable clinical progress at 1 year of follow-up and functional independence with complete muscle strength (Medical Research Council Scale score of 5/5 in all four limbs).
DISCUSSION
Neuromuscular symptoms of disabling proximal-distal quadriparesis were reported in this case, within the context of acute muscular paralysis in a patient with a final diagnosis of DM.
Acute muscle paralysis leads to regular emergency consultation and is defined as a “clinical syndrome characterized by acute muscle weakness that progresses over weeks.” The diagnostic possibilities include motor neuron disease, polyneuropathies, and myopathies, with Guillain-Barré syndrome being the most frequent diagnosis (7). In this case, owing to their frequency and characteristics, the patient’s initial symptoms of disabling proximal-distal quadriparesis without symptoms of systemic disease were compatible with a diagnosis of possible acute demyelinating polyneuropathy (Guillain-Barré syndrome). Therefore, the patient began treatment with immunoglobulin during his first emergency consultation, with temporary improvement in symptoms, which led to inadequate diagnosis and management of the patient.
DM is an inflammatory myopathy with specific skin characteristics, which may occur before, together with, or—less frequently—after the onset of muscle weakness, as observed in our case. Symmetrical proximal skeletal muscle weakness is described as a typical neuromuscular symptom in this condition and is present in 90% of cases, although there is a variant known as “amyopathic DM” in which skin lesions appear without any clinical evidence of muscle disease. Myalgias and associated muscle tenderness or pain are observed in 25-50% of cases, which could be an important factor within the appropriate clinical context (8).
Muscles with the highest involvement include deltoids, hip muscles, and neck flexors. Distal muscle weakness tends to be milder than proximal muscle weakness and is generally not disabling. In general, muscle weakness is a gradual course lasting from weeks to months of onset, even though cases of abrupt onset have been reported, according to the extent of proximal muscle involvement (9).
The physician must also conduct a systematic evaluation of all patients with acute muscle paralysis and suspicion of DM, including the skin, nails, and scalp. The joints can also be affected by arthritis, and alterations in the heart and lungs should be carefully assessed (7, 8).
The diagnosis of DM is made in clinical practice based on clinical manifestations supported by complementary studies such as the measurement of serum CK level. Measurement of other serum muscle enzymes—including aldolase, glutamic oxalacetic transaminase, glutamic pyruvic transaminase, and lactate dehydrogenase—significantly increases the chances of diagnosing myositis, especially in patients with active disease and normal CK levels (9).
Electromyography is a useful indicator of myopathic changes, which are extremely sensitive but generally not specific to myopathies. It is also used to differentiate the disease from other entities, such as polyneuropathies or motor neuron diseases. The main abnormalities include a decrease in the mean duration and amplitude of motor unit potentials (short duration and low amplitude) or an increase in the percentage of polyphasic motor unit potentials. There is also a condition known as “neuropathy associated with DM,” which is believed to be caused by the compromise due to the attack on the membrane that causes muscle and nerve damage. Demyelinating patterns associated with DM have also been detected, which could be caused by the role that complement plays in myelin degradation. In the literature, this condition is known as “neuromyositis” and has been reported since 1890 (10).
MRI has become the imaging method of choice for examining soft-tissue muscle abnormalities as it efficiently visualizes and quantifies inflammation, fatty infiltration, calcification, and changes in muscle size. It also locates pathological changes in specific muscle groups (11).
More than 50% of all patients with idiopathic inflammatory myopathies have uniquely defined autoantibodies, some of which are specific to myositis, while others are simply associated with myositis. These are generally known as myositis-specific autoantibodies (MSA) and myositis-associated autoantibodies (MAA), respectively. MAA includes autoantibodies against various nuclear and cytoplasmic antigens. Antinuclear antibodies (ANA) present in myositis are not particularly associated with any specific subgroup of diseases, while MSAs that target antigens of the protein synthesis pathway (e.g., aminoacyl transfer RNA [tRNA] synthetases and signal recognition particles) and nuclear components (e.g., nuclear helicase [Mi-2]) are often associated with distinct groups and subgroups of clinical diseases (11).
Regarding DM, five specific autoantibodies (including Mi-2, TIF-1γ, NXP-2, MDA-5, and SAE) are known, which have been associated with distinct clinical phenotypes and, in some cases, serve as useful prognostic markers. The anti-Mi-2 antibody was the first myositis-specific autoantibody reported in 1985 and is associated with classic DM skin features, mild to moderate muscle involvement, a good prognosis with a favorable response to steroids, and a low risk of malignancy (12). The anti-TIF-1γ antibody in DM is highly associated with malignancy in adult DM, mild muscle involvement, and severe photosensitive skin disease (12, 13). Anti-NXP-2 antibodies are found in up to 25% of juvenile DM cases and are associated with the development of subcutaneous calcifications, classic skin rash, mild to moderate muscle involvement, peripheral edema, and an increased risk of malignancy in adults (12). Anti-MDA-5 antibodies are reported in Asian patients with DM and are associated with severe skin rash and frequently develop a rapidly progressive form of interstitial lung disease (13). Antibodies against SAE are the least common specific autoantibodies (10%); these patients may initially present with amyopathic DM, severe rash, and a high incidence of dysphagia (12, 13).
Muscle biopsy is important for the diagnosis of inflammatory myopathies and is a critical method when excluding other myopathies. The specific features of DM include loss of capillaries, changes in capillary morphology, capillary necrosis with deposition of complement products (e.g., membrane attack complex) on vessel walls, and rarely, muscle infarctions. Perifascicular atrophy is another specific, although late, histopathological finding. Inflammatory infiltrates are typically characterized by perivascular distribution and are dominated by a high percentage of CD4 T cells and macrophages at inflammation sites, with occasional occurrence of B cells (11, 14).
It is important to recognize the importance of clinical history, physical examination, and the association with paraclinical tests through this case. First, recognizing the wide variety of differential diagnoses presented in patients with acute muscle weakness as well as physical examinations in the case of DM is essential for detecting the pattern of weakness and skin involvement. The use of paraclinical tests is also important, because elevations in CK levels at the onset of the condition would have initially indicated a myopathic condition (15). Furthermore, the use of all available diagnostic means is rarely required to reach an adequate diagnosis and treatment—as observed in the case of our patient who obtained histopathological confirmation with the presence of perivascular lymphocytic infiltrates in the superficial dermis. Muscle magnetic resonance imaging also made it possible to detect edema, which is a sign of active inflammatory activity, in addition to atrophy. Muscle MRI is a useful technique not only for diagnosis but also for the monitoring of both acquired and hereditary myopathies (16, 17).
Treatment of inflammatory myopathies remains a challenge. The low prevalence, wide phenotypic heterogeneity, and variable course of these diseases make the evaluation of different treatment approaches difficult, which explains the absence of standardized therapeutic guidelines. For these reasons, treatment should be multidisciplinary and managed by experienced physicians; moreover, it should be administered with caution in older patients (14).
Glucocorticoids are first-line drugs for the treatment of inflammatory myopathies but are rarely used as monotherapy due to their side effects. Prednisone is the most commonly used drug and is generally started at a dose of 0.5 to 1 mg/kg per day up to a maximum dose of 80 to 100 mg per day. In severe cases, daily intravenous pulses of methylprednisolone (500 mg to 1 g per day for 3-5 days) may be used initially. Prednisone is continued for 4-6 weeks and then tapered. Neither the initial dose nor the rate at which corticosteroid treatment should be tapered have been adequately studied; therefore, treatment is based on clinical judgment (18).
Other immunosuppressive drugs used for treating inflammatory myopathies include methotrexate (10-25 mg per week orally or subcutaneously) and azathioprine (2-3 mg/kg per day) in patients with normal thiopurine methyltransferase activity, along with mycophenolate mofetil (2-3 g per day divided into two doses), cyclosporine (3-4 mg/kg per day), tacrolimus (0.06 mg/kg per day), and intravenous immunoglobulins. These drugs are typically used as glucocorticoid-sparing agents since the time of diagnosis (14, 18).
Cyclophosphamide may be helpful in patients with severe systemic commitment including interstitial lung disease; however, rituximab is most used in patients who are refractory to traditional oral immunosuppressive drugs. Intravenous immunoglobulin has been tested in several investigations, including a randomized placebo-controlled trial in patients with DM. It is a good adjuvant to any line of myositis treatment, but it is most commonly used for refractory DM, cancer-associated myositis, dysphagia, PID, and in case of infection or pregnancy (8, 14).
In this case, the initial clinical manifestation of disabling proximal-distal quadriparesis weakness was notable. After 3 months of treatment with immunoglobulins, the patient presented again with a worsening of symptoms. We believe that the initial response of immunoglobulin is also part of the treatment of DM, usually at doses of 1-2 mg/kg, with maintenance treatment every 2 months (19). The fact that only one cycle of immunoglobulin was initially administered, without subsequent maintenance treatment, may explain the patient’s initial improvement with subsequent relapse.
CONCLUSION
We report the case of a patient with disabling proximal-distal quadriparesis as an initial symptom of acute muscle weakness in DM. The diagnosis of this condition is challenging due to its gradual systemic presentation. It is important to take into consideration this presentation in the appropriate clinical context and the associated systemic manifestations for timely management and improvement of patients’ functional prognosis.
REFERENCES
1. Senécal J-L, Raynauld J-P, Troyanov Y. Editorial: A new classification of adult autoimmune myositis. Arthritis Rheumatol [Internet]. 2017; 69(5): 878-884. Available from: https://doi.org/10.1002/art.40063
2. Sun Y, Li DF, Zhang YL, Liang X, Li TF. Characterisation of disease patterns of dermatomyositis with different initial manifestations. Int J Gen Med [Internet]. 2022; 15: 6519-6528. Available from: https://doi.org/10.2147/IJGM.S372658
3. Bogdanov I, Kazandjieva J, Darlenski R, Tsankov N. Dermatomyositis: current concepts. Clin Dermatol [Internet]. 2018; 36(4): 450-458. Available from: https://doi.org/10.1016/j.clindermatol.2018.04.003
4. Bottai M, Tjärnlund A, Santoni G, Werth VP, Pilkington C, de Visser M, et al. EULAR/ACR classification criteria for adult and juvenile idiopathic inflammatory myopathies and their major subgroups: a methodology report. RMD Open [Internet]. 2017; 3(2): e000507. Available from: https://doi.org/10.1136/rmdopen-2017-000507
5. Kronzer VL, Kimbrough BA, Crowson CS, Davis III JM, Holmqvist M, Ernste FC. Incidence, prevalence, and mortality of dermatomyositis: a population-based cohort study. Arthritis Care Res [Internet]. 2023; 75(2): 348-355. Available from: https://doi.org/10.1002/acr.24786
6. Gagnier JJ, Kienle G, Altman DG, Moher D, Sox H, Riley D. The CARE Guidelines: Consensus-based clinical case reporting guideline development. Glob Adv Health Med [Internet]. 2013; 2(5): 38-43. Available from: https://doi.org/10.7453/gahmj.2013.008
7. Nayak R. Practical approach to the patient with acute neuromuscular weakness. World J Clin Cases [Internet]. 2017; 5(7): 270-279. Available from: https://doi.org/10.12998/wjcc.v5.i7.270
8. Malik A, Hayat G, Kalia JS, Guzman MA. Idiopathic inflammatory myopathies: clinical approach and management. Front Neurol [Internet]. 2016; 7: 64. Available from: https://doi.org/10.3389/fneur.2016.00064
9. Manousakis G. Inflammatory myopathies. Continuum [Internet]. 2022; 28(6): 1643-1662. Available from: https://doi.org/10.1212/con.0000000000001179
10. Nguyen TP, Bangert C, Biliciler S, Athar P, Sheikh K. Dermatomyositis-associated sensory neuropathy: a unifying pathogenic hypothesis. J Clin Neuromuscul Dis [Internet]. 2014; 16(1): 7-11. Available from: https://doi.org/10.1097/cnd.0000000000000048
11. Firestein GS, Budd RC, Gabriel SE, McInnes IB, O’Dell JR. Firestein & Kelley’s textbook of rheumatology, 2-volume set. 11th ed. Filadelfia, PA: Elsevier-Health Sciences Division; 2020.
12. Goyal NA. Immune-mediated myopathies. Continuum [Internet]. 2019; 25(6): 1564-1585. Available from: https://doi.org/10.1212/con.0000000000000789
13. DeWane ME, Waldman R, Lu J. Dermatomyositis: clinical features and pathogenesis. J Am Acad Dermatol [Internet]. 2020; 82(2): 267-281. Available from: https://doi.org/10.1016/j.jaad.2019.06.1309
14. Selva-O’Callaghan A, Pinal-Fernandez I, Trallero-Araguás E, Milisenda JC, Grau-Junyent JM, Mammen AL. Classification and management of adult inflammatory myopathies. Lancet Neurol [Internet]. 2018; 17(9): 816-828. Available from: https://doi.org/10.1016/s1474-4422(18)30254-0
15. Sena P, Gianatti A, Gambini D. Dermatomyositis: clinicopathological correlations. G Ital Dermatol Venereol [Internet]. 2018; 153(2): 256-264. Available from: https://doi.org/10.23736/s0392-0488.18.05836-4
16. Venturelli N, Tordjman M, Ammar A, Chetrit A, Renault V, Carlier RY. Contribution of muscle MRI for diagnosis of myopathy. Rev Neurol [Internet]. 2023; 179(1-2): 61-80. Available from: https://doi.org/10.1016/j.neurol.2022.12.002
17. Caetano AP, Alves P. Advanced MRI patterns of muscle disease in inherited and acquired myopathies: what the radiologist should know. Semin Musculoskelet Radiol [Internet]. 2019; 23(3): e82-e106. Available from: https://doi.org/10.1055/s-0039-1684022
18. Dalakas MC. Inflammatory muscle diseases. N Engl J Med [Internet]. 2015; 372(18): 1734-1747. Available from: https://doi.org/10.1056/nejmra1402225
19. Gandiga PC, Ghetie D, Anderson E, Aggrawal R. Intravenous immunoglobulin in idiopathic inflammatory myopathies: a practical guide for clinical use. Curr Rheumatol Rep [Internet]. 2023; 25(8): 152-168. Available from: https://doi.org/10.1007/s11926-023-01105-w
Notes
Notas de autor
Corresponding author: Miguel A. Vences, e-mail: mavences@ucvvirtual.edu.pe
Información adicional
redalyc-journal-id: 3720
Enlace alternativo
https://revistas.upch.edu.pe/index.php/RNP/article/view/5357/6184 (pdf)