Trabajos Originales
Identification of Nef-HIV-1 domains involved in p22-phox interaction and superoxide production
Identificación del dominio de Nef-VIH-1 involucrado en la interacción con p22-phox y producción de superoxido
Identification of Nef-HIV-1 domains involved in p22-phox interaction and superoxide production
Investigación Clínica, vol. 57, no. 3, pp. 305-319, 2016
Universidad del Zulia
Received: 24 November 2015
Accepted: 26 May 2016
Abstract: Nef -HIV-1 has been shown to be involved in NADPH complex interaction and superoxide production. The aim of this work was to study the domains involved in the interaction between Nef and p22-phox. Two approaches were used: 1) in silico modelling, to determine the potential binding motifs and design Nef truncated forms and 2) functional assays. The results showed that GFPVT 68-72, FPDW 121-124 and REVLE 179-183 on Nef are critical for p22-phox (RPQIG 142-146 and PGGP 181-184) docking. However, only the region containing FPDW 121-124 on Nef is able to induce superoxide production. Understanding the molecular mechanisms involved in generating oxidative stress during HIV infection, is critical for therapeutic intervention, in order to minimize viral replication and dissemination.
Key word: Nef-HIV-1, p22-phox, superoxide production..
Resumen: Se ha evidenciado que Nef-VIH-1 está involucrado en la interacción con el complejo NADPH y la producción de superóxido. El objetivo de este trabajo fue identificar los dominios implicados en la interacción entre Nef y p22-phox. Se utilizaron dos estrategias: 1) análisis in silico para determinar los posibles motivos de unión y el diseño Nef formas truncadas y 2) ensayos funcionales. Los resultados mostraron que GFPVT 68-72, FPDW 121 a 124 y 179 a 183 REVLE de Nef son críticos para su unión con p22-phox (RPQIG 142-146 y 181-184 PGGP). Sin embargo, sólo la región que contiene FPDW 121-124 en Nef, es capaz de inducir la producción de superóxido. La comprensión de los mecanismos moleculares implicados en la generación de estrés oxidativo durante la infección por VIH, es crítico para la intervención terapéutica, con el fin de minimizar la replicación y la propagación viral.
Palabras clave: Nef-HIV-1, p22-phox, producción de superóxido..
INTRODUCTION
An increased oxidative stress has been described in chronically HIV-1-infected patients, associated with an elevated extracellular and intracellular reactive oxygen species (ROS) levels (1, 2). Elevated ROS production in HIV infected patients has been implicated in the acquired immune deficiency syndrome (AIDS) pathogenesis, and could be responsible for the inflammatory status. This may lead to chronic immune system activation (3), followed by a cellular dysfunction, cell death and loss of memory T cell response (4). In addition, T helper imbalance, related to premature regulatory T cells (Treg) response, and ultimately premature aging of the immune system because of a direct and quantitative shortening of telomere (5-7), has been observed. Altogether this inflammatory status results in a greatly disturbed immune response.
NADPH oxidase (NOX) family members are major cellular sources of ROS, they include seven proteins (NOX1-5 and DUOX1-2), each of these isoforms have a core catalytic subunit called NADPH oxidase (NOX) and dual oxidase (DUOX), and have five regulatory subunits. NOX2 NADPH oxidase is composed by functional transmembrane heterodimers, gp91phox and p22-phox (also known as cytochrome b558), and four regulatory cytosolic subunits p40-phox, p47-phox, p67-phox, and Rac2 (8).
Several HIV-1 proteins have been shown to be involved in ROS production and responsible to enhance the oxidative stress during disease progression, these include Nef (9, 10), Tat (11), gp120 (12) and Vpr (13). Nef is a 27-34 kDa myristoylated protein produced exclusively by HIV-1/2 and simian immunodeficiency virus, which plays a pivotal role in AIDS pathogenesis. Pro-oxidative Nef properties have been previously demonstrated in macrophages (14) hepatocytes (15), endothelial cells (16) and neutrophils (17). Several pathways could explain ROS modulation: 1) Nef can induce superoxide production by activating PAK (p21-activated kinase) in a Cdc42/Rac dependent manner (10); 2) Nef interacts with Hck (hemopoietic cell kinase) and can induce phosphorylation and membrane translocation of p47-phox (9); and 3) Nef interacts with p22-phox and could directly affect NOX2 NADPH-activity (17). Nevertheless, the molecular mechanism of the interaction among Nef and p22-phox is still unknown.
Different functional domains involved in the membrane targeting, intracellular trafficking, and cell signaling (18) have been described in Nef protein. Thus delineating the molecular mechanisms of Nef and p22-phox interaction, is critical for identification of potential therapeutic targets. Therefore, the aim of this work was to map the structural and functional motif involved in Nef and p22-phox interaction, by using two approaches: 1) in silico modelling to determine the potential binding motifs that participate in the protein-protein interaction, and designing truncated forms of Nef protein and 2) functional assays, to map the involved domains. The results showed that GFPVT 68-72, FPDW121124 and REVLE 179-183 on Nef are critical for p22-phox (RPQIG 142-146 and PGGP 181184) docking, and only FPDW121-124 on Nef is necessary to induce superoxide production. Mapping of Nef domains responsible of the interaction with and activation of NOX2 NADPH oxidase complex could help to identify potential therapeutic targets that block this association in order to restore the functional activity of NOX2 NADPH oxidase complex, thereby minimizing the harmful effects and improving the physiological responses during HIV infection.
MATERIAL AND METHODS
Media and reagents
HRP-conjugated anti-goat, goat anti-HIVNef, rabbit anti-human-p22-phox and mou se anti-his, were all purchased from Santa Cruz Biotechnology Inc. (Santa Cruz, CA). Dihydrorhodamine-123 (DHR-123) was purchased from Molecular Probes, (Eugene, OR). HRP-conjugated anti-mouse and anti-rabbit antibodies were purchased from Pierce, Rockford, IL. NcoI, HindIII and T4 DNA ligase, were all purchased from New England Biolabs (Ipswich, MA, USA). Rodamine-conjugated anti-mou se and FITC-conjugated anti-mouse, were all purchased from Jackson ImmunoResearch Inc (West Grove, PA, USA).
In silico analysis of HIV-1 Nef and p22-phox association: Identification of potential binding motifs
Nef and p22-phox association was initially assessed by using molecular 3D modeling and protein-protein interaction analysis (docking). This approach was performed using bioinformatics servers. For Nef, a sequence previously reported, was used (17) (Figs. 1a and 1b) and for p22-phox analysis, both a sequence previously published (19) and cytoplasmic domain starting in Y 121 position, was explored (Figs. 1c and 1d). All FASTA files were processed online using the Phyre2 bioinformatics server (20). An intensive modeling algorithm was used to obtain 3D models in PDB format (Protein Data Bank). The PDB files which were obtained were processed in bioinformatics Cluspro2.0 server (21), the algorithm used for interaction was designed as follows: the p22-phox cytoplasmic domain was defined as the stationary receiver and the Nef protein, at full length or as functional domains were defined as the dynamic ligand. Models that had higher favoring energy or lower free energy (ΔG), and great steric feasibility, were selected.
Amino acids sequences and interacting motives were visualized by using ICM Browser software (Molsoft LLC, San Diego, CA, U SA).
Cloning and expression of truncated Nef-His protein
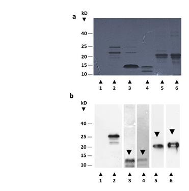
The Nef-His wild type used as a template was obtained by PCR from HIV delta R 8.2 pPTK, which contains HIV-1 genes. Primers used for cloning are shown in Table I and truncated forms (NefΔ) are detailed in Fig. 2. NefΔ’s were obtained by PCR from pet21d-Nef. Forward primers contained the NcoI restriction site while retaining the start codon; reverse primers contained HindIII restriction site. PCR products were cloned into the pET21d, which contained a c-terminal hexahistidine tag. Clones were sequenced to verify that the sequences were correct. Nef-His wild type and Nef-His truncated forms in pet21d were used to transform E. coli BL21-CodonPlus-RIPL, and protein purification was performed in sepharose Ni/nitrilotriacetic acid (NTA) column (BioRad). The presence of Nef and NefΔ proteins was monitored by electrophoresis and western blot. All proteins were further treated with an endotoxin binding column (Pierce LAL Chromogenic Endotoxin Quantitation Kit) and ultrafiltered (Amicon Ultra Unit) to remove buffer salts (22). Same batch was used for all assays.
Human blood samples and isolation of polymorphonuclear leukocytes (PMNs)
Peripheral blood samples were obtained from 10 healthy subjects. The experimental protocol was approved by the Ethics Committee of The University of Los Andes, and written informed consent was obtained from all the subjects. PMNs were obtained as previously described (23). Citrated venous blood was mixed with 6% dextran solution (mol. wt 500•000) and incubated at room temperature for 30 min. Leucocyte-enriched supernatant was collected, diluted with RPMI-1640 and layered on Ficoll-Hypaque (1077, Sigma, St Louis, MO, USA). After density gradient centrifugation at 400 g for 30 min, PMN were obtained from the bottom. Red blood cells contained in PMN pellets were eliminated by hypotonic lysis using cold distilled water.
| NefΔ12 | forward [5’-ccccatgggtggcaagtggtcaaaaagt-3'] | reverse [5’-ggaagcttctcttcctcctcttgtgct-3'] |
| NefΔ14 | forward [5’-ccccatgggtggcaagtggtcaaaaagt-3'] | reverse [5’-cgaagcttcttttcttttaaaaagtggcta-3'] |
| NefΔ36 | forward [5’-ggccatgggagcaatcacaagtagcaa-3'] | reverse [5’-gcaagcttgtagcaccatccaaaggtcag-3'] |
| NefΔ38 | forward [5’-ggccatgggagcaatcacaagtagcaa-3'] | reverse [5’-ccaagcttgcagttcttgaagtactccggat-3'] |
Superoxide production
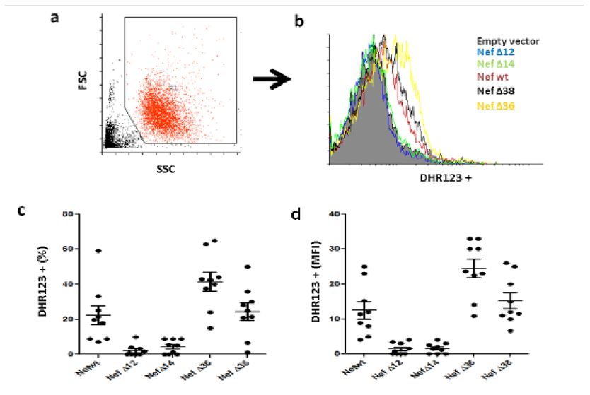
Flow cytometry analysis of neutrophil respiratory burst activity was measured using a modification of a previously published method (24). Briefly, freshly isolated neutrophils (1×106 cells/mL) were preloaded with DHR-123 (1μmol/L) at 37°C for 15min. Afterwards, cells were incubated with Nef-His and NefΔ. A curve doses/response was established by using 50ng/mL up to 500ng/mL. ROS production was induced from 100ng/mL and a doses response manner. We choose 500ng/mL as the most optimal response (25, 26), during 60 min at 37˚C. Cells were analyzed on a FACScan flow cytometer (Becton Dickinson, San Jose, CA). A total of 10,000 events were collected from each sample.


Statistical analysis
Data concerning superoxide production is presented as means ± SD. The significance of differences between variables were calculated by ANOVA, p<0.05 was considered statistically significant.
RESULTS
Computational simulation revealed three docking sequences in Nef HIV-1 protein
Compromises of the functionality of phagocytic cells, favoring the reactivation and development of opportunistic infections throughout AIDS progression during HIV-1 infection have been described. Nef protein can affect the innate immune system by impairing oxidative burst in HIV-1 patients (9, 27, 28). Nef is expressed early in the viral replication cycle and has a significant role in viral replication and pathogenesis. Even though no significant enzymatic functions have been reported, interactions with several host cellular proteins such as p21-activated kinase 2 (Pak2) (29), Vav (30) and p22phox (17), have been demonstrated. The aim of this work was to identify Nef-HIV-1 structural domains involved in p22-phox interaction. Constructs were designed through the progressive removal of a functional domain and their adjacent fragments (Figs. 2a-e). Bioinformatics analysis showed multiple 3D models of p22-phox-Nef interaction, with favoring energetic states and less ΔG (Fig. 3). These analysis shows that the myristoylation area and dimerization domain, apparently are not involved with p22-phox interaction (Figs. 3a and 3c). In addition, the presence of the SH3 binding domain (Fig. 3b), and C-terminal portion (Fig. 3d), increase the chance of interaction between both proteins, sugges ting multiple docking sites between Nef-HIV-1 and p22-phox, likewise to PACS-1/PACS-2 and Nef interaction (31).

Superoxide production is correlated with Gibbs free energy (ΔG)
p22-phox works as an adaptor protein between the membrane and the cytoplasmic components of the enzymatic complex (17) , thus each truncated Nef protein was tested in order to determine whether the SH3 region or c-terminal were involved to mediate functional change in NOX2 NADPH-oxidase. NefΔ proteins were generated by PCR amplification and cloning in pet21d vector. Recombinant plasmids obtained were used to transform E coli RIPL and finally recombinant truncated proteins (NefΔ) were expressed and tested by electrophoresis (Fig. 4a) and western blot (Fig. 4b). NefΔ proteins were used to induce superoxide production in PMNs from healthy individuals. Fig. 5 shows that Nef wt, NefΔ38 and NefΔ36 significantly increased superoxide production in freshly isolated neutrophils as compared to unstimulated cells (Figs. 5a-d, p<0.05), Interestingly, NefΔ36 which is lacking of the second PAK2 binding domain and REVLE 179-183 domain sequence is able to double the production of superoxide regarding Nef wt and NefΔ38 (Figs. 5c and 5d). Superoxide production was correlated with a lower Gibbs ΔG of interaction (y = -0,0808x + 122,62, R² = 0,9875). Since GFPVT 68-72 sequence is present both in NefΔ36 and NefΔ14, which did not induce superoxide production, and REVLE 179-183 sequence is present only in NefΔ38, we suggest that GFPVT 68-72 and REVLE 179-183 are probably involved in protein docking and FPDW 121-124 sequence is involved in superoxide production.

DISCUSSION
Data obtained from functional and in silico analysis in the present study, showed how sequences (GFPVT 68-72, FPDW121-124 and REVLE 179-183) on Nef are critical for p22-phox (RPQIG 142-146 and PGGP 181-184) docking and for superoxide production (FPDW121-124). Another interesting finding from this study was that removal of REVLE 179-183 in C-terminal portion, doubled superoxide production, when neutrophils were exposed to Nef Δ36, suggesting that this domain possible exert an steric interference in binding of Nef and p22-phox, and the fully activation of the NADPH oxidase complex.

The ability of Nef to alter several cellular pathways by acting as an adaptor protein and a manipulator of protein trafficking, signal transduction and apoptotic pathways has been previously described. Several sequences in Nef have been reported to be involved in interact with host proteins, for example: 1) a hydrophobic patch of 10 residues encompassing W57, L58, G96, R106, I109 and L110 residues, interact with cytoplasmic tail of CD4 (32); 2) the cluster of two glutamic acids (E154, E155) that precedes the di-leucine motif, is also involved in modulation of endocytic traffic(33); 3) bipartite site on Nef formed by the EEEE 62-65 on the N-terminal domain and W113 in the core domain are critical for interaction with phosphofurin acidic cluster sorting protein-1 (PACS-1) and PACS-2, which is supposed to mediate retention of MHC-I in the trans-Golgi (31) (18); 4) a leucine-based motif (E/D160 xxxLL165 ), found in the C-terminal flexible loop of HIV-1 Nef, is involved in recruitment of clathrin-associated adaptor protein (AP) complexes that participate in vesicular transport within the endocytic pathway (3437); 5) N-myristoylation of Nef is required for its association with cellular membranes (18); 6) a polyproline (PQVPLR 72-77) motif is required for interactions with cellular proteins containing SH3 domains, (38), such as tyrosine kinases of the Src family, cytoplasmic tail of CD4, Hck and Vav, and is central to Nef ability to induce cellular activation (30); 7) two arginines at the N-terminus of helix α4 of Nef (R105, R106) are required for its interaction with Pak (39), and PxxP motif itself appears to be required for the activation of Pak via the recruitment of Vav, but does not participate directly in the interaction between Nef and Pak (39); and 8) hydrophobic motif composed of W 13, V 16, and M 20 interacts with mu-1A at the tyrosine motif-binding site (40). In this study multiple docking sites between Nef and p22-phox were shown. The amino acids next to polyproline motif and C-terminal PAK2 binding domain, are involved with establishment of Nef/ p22-phox docking; meanwhile FPDW 121-124 sequence is most likely responsible for superoxide production.
Nef has been shown to be in equilibrium between monomeric and oligomeric forms, the critical residues of so far proposed HIV-1 Nef homodimers interface are L 100, I101, R105, R106, I109, L112, W113, and H116 (41). However, the existence of one or more different dimerization domains has not been excluded (42) and it has been proposed that F 121 and D 123 (FPDW121-124) are part of another dimerization interface (42, 43) and are involved in MHC-I downregulation, by acting in conjunction with P 78 to bind the MHC-I to AP-1 (41).
A previous study also shows that HTQGYFPDW 116-124 Nef epitope elicited CD8 T cell interferon-responses in long-term nonprogressors, whereas progressors did not maintain an specific CD8 T cell response to this epitope, suggesting an exhausted phenotype of CD8 T cells in progressors, who also show an enhanced level of expression of inhibitory receptor“programmeddeath1”(PD-1). The authors suggest that preservation of HTQGYFPDW 116-124 Nef epitope-specific T cell responses is associated with a more benign clinical course of infection (44). Taking together, these findings suggest that this Nef sequence is not only an adaptive immune response modulator, but also is involved in regulation of innate immunity, through the modulation of oxidative stress.
GPF68-70 residues near to PQVPLR, also have been suggested to be necessary for Nef/ activated PAK2 complex formation and MHC-I downregulation (45). G68 and F70 are part of a bend in the Nef that allows the polyproline helix to be placed in the complex near the YXXL binding site of AP-1 μ 1 and mediate MHC-I downregulation. Specifically, GPF68-70 are three highly conserved residues that form a loop between the polyproline helix and the tetra-glutamate segment EEEE 62-65 (46). These sequences are separated from the PQVPLR binding site, and would hardly interact with SH3 domain, but instead with a different region of SH3 domain containing protein (45).
The mechanism through which, Nef reaches the intracellular compartment in phagocytes cells is currently unknown, perhaps an endocytosis process may be involved, a previous study immunofluorescence shows that Nef and p22-phox can colocalize intracellularlly (16). C-terminal portion of p22-phox contains PRR domain (proline-rich region) ((47), which is capable to interact with SH3 domains in p47phox, this interaction critical to both membrane recruitment of p47-phox and oxidase activation. Substitution of G for P 156 (P156Q) in the p22phox PRR (a mutation found in a patient with Chronic granulomatous disease (CGD)) (48) or substitution of P 152 and R 158 in the p22 phox PRR (49) avoid activation of the complex. The flanking PRR region in p22-phox (amino acids 161-164), adopts an α -helix (50), and is involved in full activation of the phagocyte oxidase, by fortifying the interaction with the p47-phox SH3 domain. RIG 142-146 and PGGP 181-184 are nearby from this SH3 binding domain; but there is no study that assigns a functional activity to p22-phox. Thus, further work is required to determinate the role of RPQIG 142-146 and PGGP 181-184 in PRR domain activation, p47phox interaction or superoxide production. The density of potential protein/protein interaction domains displayed suggests that Nef is capable of initiating complex host cell associations in which two host cell proteins are brought together to achieve new interactions within the infected cell, hence the studies of these mechanisms are crucial to future considerations and perhaps will reveal new mechanisms of viral-host interaction.
The mechanism through which Nef, that is produced intracellularly in infected cells, may be also present extracellularly and exert effects, just as demonstrated in this and previous studies, is currently unknown and require future investigation, perhaps an endocytosis process of the protein may be involved since p22 and Nef can colocalize intracellularly (17). Unraveling the complex interactions between Nef and the multiple host cell proteins involved in these Nef activities, opens the possibility of foreseeing a new strategy to target HIV pathogenesis by blocking Nef-p22phox, which is certainly promising.
ACKNOWLEDGMENT
This work was supported by Grant CDCHTA-ULA M-1061-15-07-B.
REFERENCES
1. Elbim C, Pillet S, Prevost MH, Preira A, Girard PM, Rogine N, Hakim J, Israel N, Gougerot-Pocidalo MA. The role of phagocytes in HIV-related oxidative stress. J Clin Virol 2001;20:99-109.
2. Salmen S, Berrueta L. Immune Modu lators of HIV Infection: the role of reac tive oxygen species. J Clin Cell Immunol 2012;3:121.
3. Elbim C, Pillet S, Prevost MH, Preira A, Girard PM, Rogine N, Matusani H, Ha kim J, Israel N, Gougerot-Pocidalo MA. Redox and activation status of monocytes from human immunodeficiency virus-in fected patients: relationship with viral load. J Virol 1999;73:4561-4566.
4. Cummins NW, Badley AD. Mechanisms of HIV-associated lymphocyte apoptosis: 2010. Cell Death Dis 2010;1:e99.
5. Amarnath S, Dong L, Li J, Wu Y, Chen W. Endogenous TGF-beta activation by re active oxygen species is key to Foxp3 induc tion in TCR-stimulated and HIV-1-infected human CD4+CD25-T cells. Retrovirology 2007;9:57.
6. Antons AK, Wang R, Oswald-Richter K, Tseng M, Arendt CW, Kalams SA, Unut maz D. Naive precursors of human regula tory T cells require FoxP3 for suppression and are susceptible to HIV infection. J Im munol 2008;180:764-773.
7. Pollicita M, Muscoli C, Sgura A, Bia sin A, Granato T, Masuelli L, Mollace V, Tanzarella C, Del Duca C, Rodinò P, Perno CF, Aquaro S. Apoptosis and telo meres shortening related to HIV-1 induced oxidative stress in an astrocytoma cell line. BMC Neurosci 2009;10:51.
8. Jiang F, Zhang Y, Dusting GJ. NADPH oxidase-mediated redox signaling: ro les in cellular stress response, stress tole rance, and tissue repair. Pharmacol Rev 2011;63:218-242.
9. Olivetta E, Mallozzi C, Ruggieri V, Pie traforte D, Federico M, Sanchez M. HIV-1 Nef induces p47(phox) phosphorylation leading to a rapid superoxide anion relea se from the U937 human monoblastic cell line. J Cell Biochem 2009;106:812-822.
10. Vilhardt F, Plastre O, Sawada M, Suzuki K, Wiznerowicz M, Kiyokawa E, Trono D, Krause KH. The HIV-1 Nef protein and phagocyte NADPH oxidase activation. J Biol Chem 2002;277:42136-42143.
11. Song HY, Ryu J, Ju SM, Park LJ, Lee JA, Choi SY, Park J. Extracellular HIV-1 Tat enhances monocyte adhesion by up-re gulation of ICAM-1 and VCAM-1 gene expression via ROS-dependent NF-kappaB activation in astrocytes. J Exp Mol Med 2007;39:27-37.
12. Agrawala L, Louboutina J-P, Marusi cha E, Reyes BAS, Van Bockstaeleb EJ, Strayera DS. Dopaminergic neurotoxici ty of HIV-1 gp120: Reactive oxygen spe cies as signaling intermediates. Brain Res 2010;1306:116-130.
13. Deshmane SL1, Mukerjee R, Fan S, Del Valle L, Michiels C, Sweet T, Rom I, Khalili K, Rappaport J, Amini S, Sawa ya BE. Activation of the oxidative stress pathway by HIV-1 Vpr leads to induction of hypoxia-inducible factor 1α expression. J Biol Chem 2009;284:11364-11373.
14. Olivetta E, Pietraforte D, Schiavoni I, Minetti M, Federico M, Sanchez M. HIV-1 Nef regulates the release of supe roxide anions from human macrophages. Biochem J 2005;390:591-602.
15. Park IW, Fan Y, Luo X, Ryou MG, Liu J, Green L, He JJ. HIV-1 Nef is transferred from expressing T cells to hepatocytic cells through conduits and enhances HCV repli cation. PLoS One 2014;9:e99545.
16. Wang T, Green LA, Gupta SK, Kim C, Wang L, Almodovar S, Flores SC, Pru dovsky IA, Jolicoeur P, Liu Z, Clauss M. Transfer of intracellular HIV Nef to endo thelium causes endothelial dysfunction. PLoS One 2014;9:e91063.
17. Salmen S, Colmenares M, Peterson DL, Reyes E, Rosales JD, Berrueta L. HIV-1 Nef associates with p22-phox, a compo nent of the NADPH oxidase protein com plex. Cell Immunol 2010;263:166-171.
18. Geyer M, Fackler OT, Peterlin BM. Structure-function relationships in HIV-1 Nef. EMBO Rep 2001;2:580-585.
19. Dahan I, Issaeva I, Gorzalczany Y, Si gal N, Hirshberg M, Pick E. Mapping of functional domains in the p22(phox) subu nit of flavocytochrome b(559) participa ting in the assembly of the NADPH oxi dase complex by “peptide walking”. J Biol Chem 2002;277:8421-8432.
20. Kelley LA, Sternberg MJ. Protein structure prediction on the Web: a case study using the Phyre server. Nat Protoc 2009;4:363-371.
21. Comeau SR, Gatchell DW, Vajda S, Ca macho CJ. ClusPro: a fully automated al gorithm for protein-protein docking. Nu cleic Acids Res 2004;32:W96-99.
22. Liu S, Tobias R, McClure S, Styba G, Shi Q, Jackowski G. Removal of endoto xin from recombinant protein preparations. Clin Biochem 1997;136:43-49.
23. Salmen S, Montes H, Soyano A, Her nández D, Berrueta L. Mechanisms of neutrophil death in human immunode ficiency virus-infected patients: role of reactive oxygen species, caspases and map kinase pathways. Clin Exp Immunol 2007;150:539-545.
24. Woodman RC, Newburger PE, Anklesa ria P, Erickson RW, Rae J, Cohen MS, Curnutte JT. A new X-linked variant of chronic granulomatous disease characteri zed by the existence of a normal clone of respiratory burst-competent phagocytic cells. Blood 1995;85:231-241.
25. Creery D, Angel JB, Aucoin S, Weiss W, Cameron WD, Diaz-Mitoma F, Ku mar A. Nef protein of human immuno deficiency virus and lipopolysaccharide induce expression of CD14 on human mo nocytes through differential utilization of interleukin-10. Clin Diagn Lab Immunol 2002;9:1212-1221.
26. Okada H, Takei R, Tashiro M. HIV-1 Nef protein-induced apoptotic cytolysis of a broad spectrum of uninfected human blood cells independently of CD95(Fas). FEBS Lett 1997;414:603-606.
27. Pitrak D. Neutrophil deficiency and dys function in HIV-infected patients. Am J Health Syst Pharm 1999;56:S9-S16.
28. Olivetta E, Tirelli V, Chiozzini C, Sca zzocchio B, Romano I, Arenaccio C, Sanchez M. HIV-1 Nef impairs key func tional activities in human macrophages through CD36 downregulation. PLoS One 2014;9:e93699.
29. Agopian K, Wei BL, Garcia JV, Gabuzda D. A hydrophobic binding surface on the human immunodeficiency virus type 1 Nef core is critical for association with p21-ac tivated kinase 2. J Virol 2006;80:3050-3061.
30. Fackler OT, Luo W, Geyer M, Alberts AS, Peterlin BM. Activation of Vav by Nef induces cytoskeletal rearrangements and downstream effector functions. Mole cular Cell 1999;3:729-739.
31. Dikeakos JD, Thomas L, Kwon G, Elfe rich J, Shinde U, Thomas G. An interdo main binding site on HIV-1 Nef interacts with PACS-1 and PACS-2 on endosomes to down-regulate MHC-I. Mol Biol Cell 2012;23:2184-2197.
32. Grzesiek S, Stahl S, Wingfield P, Bax A. The CD4 determinant for downregulation by HIV-1 Nef directly binds to Nef. Map ping of the Nef binding surface by NMR. Biochemistry 1996;35:10256-10261.
33. Piguet V, Schwartz O, Le Gall S, Trono D. The downregulation of CD4 and MHC-I by primate lentiviruses: a paradigm for the modulation of cell surface receptors. Im munol Rev 1999;168:51-63.
34. Bresnahan P, Yonemoto W, Ferrell S, Wi lliams-Herman D, Geleziunas R, Greene W. A dileucine motif in HIV-1 Nef acts as an internalization signal for CD4 downre gulation and binds the AP-1 clathrin adap tor. Curr Biol 1998;8:1235-1238.
35. Craig H, Pandori M, Guatelli J. Inte raction of HIV-1 Nef with the cellular di leucine-based sorting pathway is required for CD4 down-regulation and optimal vi ral infectivity. Proc Natl Acad Sci USA 1998;95:11229-11234.
36. Greenberg M, DeTulleo L, Rapoport I, Skowronski J, Kirchhausen T. A di leucine motif in HIV-1 Nef is essential for sorting into clathrin-coated pits and for downregulation of CD4. Curr Biol 1998;8:1239-1242.
37. Laguette N, Bregnard C, Benichou S, Basmaciogullari S. Human immunodefi ciency virus (HIV) type-1, HIV-2 and si mian immunodeficiency virus Nef prote ins. Mol Asp Med 2010;31:418-433.
38. Haller C, Rauch S, Fackler OT. HIV-1 Nef employs two distinct mechanisms to modulate Lck subcellular localization and TCR induced actin remodeling. PLoS One4. 2007;2:e1212.
39. Fackler O, Lu X, Frost J, Geyer M, Jiang B, Luo W, Abo A, Alberts AS, Peterlin BM. P21-activated kinase 1 plays a critical role in cellular activation by Nef. Mol Cell Biol. 2000;20:2619-2627.
40. Iijima S, Lee YJ, Ode H, Arold ST, Ki mura N, Yokoyama M, Sato H, Tanaka Y, Strebel K, Akari H. A noncanonical mu-1A-binding motif in the N terminus of HIV-1 Nef determines its ability to downregulate major histocompatibility complex class I in T lymphocytes. J Virol 2012;86:3944-3951.
41. Kwak YT, Raney A, Kuo LS, Denial SJ, Temple BR, Garcia JV, Foster JL. Self-association of the Lentivirus protein, Nef. Retrovirology 2010;7:77.
42. Poe JA, Smithgall TE. HIV-1 Nef dimeri zation is required for Nef-mediated recep tor downregulation and viral replication. J Mol Biol 2009;394:329-342.
43. Liu LX, Heveker N, Fackler OT, Arold S, Le Gall S, Janvier K, Peterlin BM, Dumas C, Schwartz O, Benichou S, Be narous R. Mutation of a conserved resi due (D123) required for oligomerization of human immunodeficiency virus type 1 Nef protein abolishes interaction with human thioesterase and results in impair ment of Nef biological functions. J Virol 2000;74:5310-5319.
44. Navis M, Schellens IM, van Swieten P, Borghans JA, Miedema F, Kootstra NA, van Baarle D, Schuitemaker H. A nonprogressive clinical course in HIV-in fected individuals expressing human leu kocyte antigen B57/5801 is associated with preserved CD8+ T lymphocyte responsive ness to the HW9 epitope in Nef. J Infect Dis. 2008;197:871-879.
45. Kuo LS, Baugh LL, Denial SJ, Watkins RL, Liu M, Garcia JV, Foster JL. Over lapping effector interfaces define the multi ple functions of the HIV-1 Nef polyproline helix. Retrovirology 2012;9:47.
46. O’Neill E, Kuo LS, Krisko JF, Tomchick DR, Garcia JV, Foster JL. Dynamic evo lution of the human immunodeficiency vi rus type 1 pathogenic factor, Nef. J Virol 2006;80:1311-1320.
47. Leto T, Adams A, de Mendez I. Assem bly of the phagocyte NADPH oxidase: binding of Src homology 3 domains to pro line-rich targets. Proc Natl Acad Sci USA 1994;91:10650-10654.
48. Dinauer MC, Pierce EA, Erickson RW, Muhlebach TJ, Messner H, Orkin SH, Seger RA, Curnutte JT. Point mutation in the cytoplasmic domain of the neutrophil p22-phox cytochrome b subunit is associa ted with a nonfunctional NADPH oxidase and chronic granulomatous disease. Proc Natl Acad Sci U S A 1991;88:11231-11235.
49. Nobuhisa I, Takeya R, Ogura K, Ueno N, Kohda D, Inagaki F, Sumimoto H. Ac tivation of the superoxide-producing pha gocyte NADPH oxidase requires co-ope ration between the tandem SH3 domains of p47phox in recognition of a polyproline type II helix and an adjacent alpha-helix of p22phox. Biochem J 2006;396:183-192.
50. Yuzawa S, Suzuki N, Fujioka Y, Ogura K, Sumimoto H, Inagaki F. A molecular mechanism for autoinhibition of the tan dem SH3 domains of p47phox, the regu latory subunit of the phagocyte NADPH oxidase. Genes Cells 2004;9:443-456.
Author notes
Corresponding author: Siham Salmen Halabi. Avenida 16 de Septiembre, Edificio Louis Pasteur, Sector campo de Oro, Mérida 5101, Venezuela. Fax: +58 2742403187. E-mail: sihamsa@ula.ve., s almensiham9@gmail.com.