Trabajos Originales
Comparación de la detección y tipificación del virus del papiloma humano en muestras citológicas y de orina en pacientes del sexo femenino
Comparison of the detection and typing of human papilloma virus in cytological samples vs. urine samples in female patients
Comparación de la detección y tipificación del virus del papiloma humano en muestras citológicas y de orina en pacientes del sexo femenino
Investigación Clínica, vol. 58, núm. 2, pp. 107-118, 2017
Universidad del Zulia
Recepción: 11 Diciembre 2015
Aprobación: 23 Febrero 2017
Resumen: El cáncer de cuello uterino, es el segundo más frecuente en mujeres a nivel mundial; la infección por Virus de Papiloma Humano (VPH) de alto riesgo oncogénico, es el principal factor etiológico de esta malignidad. La identificación viral se logra mediante métodos moleculares sensibles y específicos como la reacción en cadena de la polimerasa (PCR), que generalmente utiliza hisopados cervicales o biopsias como material biológico. Debido a las complicaciones e incomodidad que implica la toma de estas muestras, se realizan estudios en otras más accesibles como la orina. Por lo que se realizó la detección y tipificación de VPH en muestras de hisopados endocervicales y de orina, se compararon los resultados obtenidos y se evaluó la efectividad del uso de esta última. La extracción del material genético se realizó con el estuche comercial AXYGEN. Para la detección y la tipificación viral se empleó la técnica de PCR en tiempo final. La positividad para VPH fue 68,6% en los hisopados cervicales y 62,9% en las muestras de orina de, valores similares y comparables a estudios previos. Así mismo, la concordancia obtenida entre los resultados de las muestras empleadas respecto a los tipos virales identificados fue “moderada” (k=0,609), encontrándose además valores altos de sensibilidad y especificidad de 83,3% y de 81,8% respectivamente al usar muestras de orina. Estos resultados apuntan a la posibilidad de desarrollar un diagnóstico efectivo para VPH empleando muestras de orina, ya que reducirían la intervención de personal adiestrado para su toma, costos y la incomodidad para las pacientes.
Palabras clave: VPH, orina, citología, endocervical, cuello uterino.
Abstract: Cervical cancer is the second most common cancer in women worldwide. Infection with high oncogenic risk Human Papillomavirus (HPV) is the main etiological factor of this malignancy. Viral identification is achieved by sensitive and specific molecular methods, such as polymerase chain reaction (PCR), which are generally used on cervical biopsies or swabs of biological material. Because of the complications and discomfort that taking these samples implies, studies are conducted with other samples obtained from less invasive methods, such as urine. Accordingly, detection and genotyping of HPV in endocervical swabs and urine were performed to compare results and to evaluate the effectiveness of using the latter samples. The genetic material was obtaining using the commercial kit Axygen. For viral detection and typing the conventional PCR technique was used. Positivity for HPV in cervical swabs was 68.6% and 62.9% in urine samples, similar values and comparable to previous studies. Likewise, the concordance obtained between the results of the samples used with respect to the identified viral types was “moderate” (k = 0.609), with high values of sensitivity and specificity of 83.3% and 81.8%, respectively, when urine samples were used. These results point to the possibility of developing an effective diagnosis for HPV using urine samples, because it would reduce the intervention of trained personnel, cost and discomfort for the patients
Keywords: HPV, urine, cytologyc, endocervical, uterine cervix.
INTRODUCCIÓN
El cáncer de cuello uterino (CCU), es el segundo más común en las mujeres en todo el mundo; se estima que causa alrededor de 500.000 muertes al año a nivel mundial, con una incidencia cercana a 40 por cada 100.000 mujeres en países en vía de desarrollo (1). En Venezuela, en el año 2013 fue la segunda causa de muerte por cáncer en la mujer, con una incidencia de 3.960 casos por 100.000 mujeres según las 15 primeras localizaciones, tasas estandarizadas y descritas según el riesgo porcentual de morir por cáncer, si se alcanzan los 74 años de edad, calculado según procedimiento de Day, Capote y col. (2) seguido de los cánceres localizados en colon, recto y ano con 1865 casos (datos oficiales de Capote y col., (2)). Según referencia del Ministerio del Poder Popular para la Salud se señala que, para el año 2013, murieron 1.623 mujeres por cáncer de cuello uterino, siendo la segunda causa de muerte por cáncer en la población femenina, después de las ocurridas por cáncer de mama que registran un total de 2.063 decesos por cada 100.000 mujeres (2). Los estudios sobre las causas y la patogénesis asociada al virus del papiloma humano (VPH) han aumentado rápidamente, debido a que la infección persistente con genotipos de alto riesgo del virus, se define como un factor fuertemente asociado al desarrollo de lesiones cervicales premalignas y malignas. El ADN viral se encuentra en más del 99% de las biopsias de carcinoma de células escamosas del cuello uterino, de estas el 70% corresponde a infecciones con genotipos de alto riesgo oncogénico (3).
El VPH comprende un gran grupo de más de 100 tipos virales pertenecientes a la familia de los Papillomaviridae (4). Alrededor de 40 genotipos son transmitidos vía contacto sexual o por contacto directo entre humanos, los virus infectan la piel y las mucosas tanto genital como oral, produciendo una de las enfermedades de transmisión sexual más comunes en el mundo (5).
En los últimos 20 años se han caracterizado más de 100 genotipos los cuales se discriminan de acuerdo a la similitud de su ADN, usando sondas de genotipos virales de VPH conocidos mediante técnicas de hibridación molecular. Con base a su capacidad oncogénica, los distintos VPH se han agrupado en tipos de alto riesgo oncogénico, como 16, 18, 31, 33, 35, 39, 45, 51, 52, 56, 58, 59, 66 y 68, asociados con cáncer invasivo y lesiones intraepiteliales escamosas de bajo y alto grado (LIEBG y LIEAG); y tipos de bajo riesgo oncogénico como 6, 11, 42, 43 y 44, asociados principalmente con verrugas genitales, LIEBG y papilomatosis respiratoria recurrente (6).
Cada genotipo de VPH actúa como una infección independiente, con diferentes grados de riesgo oncogénico. Nuevas investigaciones han conducido a una mejor prevención y estrategias de manejo clínico, incluyendo las pruebas de detección viral y vacunas mejoradas. Los nuevos modelos orientados por la relación entre el VPH y la carcinogénesis cervical, deberían promover una base fuerte en conjunto con los modelos morfológicos más antiguos basados en la citología e histología, ya que se cuenta con los avances de la biología molecular, los cuales aportan una herramienta esencial para la detección temprana de infección por el virus (7).
Dada la asociación entre CCU y VPH, son importantes todos los estudios que permitan mejorar o facilitar la detección viral así como también, evaluar el tipo de muestra biológica utilizada. Se planteó entonces como objetivo del presente trabajo la detección viral en muestras de orina, con la finalidad de simplificar la toma de la muestra, apuntando a la posibilidad de desarrollar un diagnóstico efectivo ya que proporcionaría un medio de detección viral, de menor costo e incomodidad para la paciente y en el que no es indispensable la intervención de personal adiestrado y de equipos específicos para la toma de la muestra (5)
PACIENTES Y MÉTODOS
La investigación se realizó con pacientes, iniciadas sexualmente y que espontáneamente acudieron a la consulta del servicio de Dermatología de Infecciones de Transmisión Sexual (I.T.S) del Hospital Universitario de Caracas (HUC) durante el período 14/01/2001 al 09/07/2013. A cada paciente se le realizó una encuesta recopilando datos socioeconómicos, de igual manera se les solicitó firmar un consentimiento informado para expresar su aprobación para participar voluntariamente en el estudio; ambos documentos fueron previamente aprobados por el Comité de Bioética del HUC. Los datos clínicos se obtuvieron a partir de las historias médicas. Los criterios de exclusión para el estudio fueron embarazo e infección por VIH.
Las muestras a procesar correspondieron a hisopados de la región del endocervix y orinas de 35 pacientes, con diagnóstico clínico de infección por VPH, descrito así por el médico dermatólogo de guardia, mediante su evaluación y en algunos casos aplicando la prueba de Schiller (de los datos suministrados al laboratorio por cada muestra no se señalan los tipos de lesiones intraepiteliales presentados por el mismo, sino únicamente la localización de la toma de la muestra). Se evaluaron igualmente 18 pacientes sin lesiones aparentes al examen clínico, con edad superior a 14 años; las menores de esta edad contaron con la aprobación de su representante legal, y haber iniciado su vida sexual previo al estudio. Las muestras citológicas y de orina fueron transportadas y almacenadas a 4°C y -20°C respectivamente hasta su procesamiento.
Extracción del material genético
Para los hisopados se realizó el desprendimiento de las células exfoliadas de la región del endocervix colocando los viales que contenían los hisopos en un agitador Vortex por 5 min. La suspensión de células se trasvasó a un tubo de microcentrifuga de 2 mL y se centrifugó a 20.000g por 5 min, se descartó el sobrenadante y se inició el procesamiento con el precipitado, mediante el estuche “ADN-Kit Axygen Biosciences” según las indicaciones de la casa comercial.
Las muestras de orina se centrifugaron a 20.000g durante 1 hora para sedimentar las células. El sedimento se lavó con 400μL PBS 1X y se centrifugó por 15 min a 20.000g. Se resuspendió el sedimento en 200μL de PBS 1X o solución salina y se trasvasó a un tubo de Eppendorf, para llevar a cabo la extracción de ácidos nucleicos, empleando el estuche comercial ADN-Kit Axygen Biosciences, siguiendo las especificaciones de la casa comercial (8).
Detección de VPH mediante PCR convencional con iniciadores My09/11
La detección del genoma viral se llevó a cabo mediante PCR con iniciadores genéricos MY09/MY11, que reconocen la región consenso L1 del genoma viral, para obtener un producto de amplificación de 450 pb (9,10). Se utilizaron los iniciadores PC04/GH20 para amplificar simultáneamente un fragmento del gen humano de β-globina, como control interno de la integridad y calidad del ADN y ausencia de inhibidores de la PCR, a fin de obtener un producto de 268 pb (11). Se incluyó, además, un control negativo (mezcla de reacción + agua destilada). Aproximadamente 1 µg del ADN extraído, fue añadido a la mezcla de reacción [ 0,4 µL dN-TP´s (100 mM); 0,2 µL de cada primer (100 mM); 6 µL de buffer Taq 10X; 4 µL de MgCl2 (50 mM); 0,5 µL (2,5 U) de Taq DNA polimerasa (Invitrogen); H2O libre de nucleasas hasta un volumen final de 40 µL ] y amplificado en un termociclador eppendorf [ Ciclos: 4 min a 94 ºC, 40 X (15 seg a 94 ºC, 30 seg a 55 ºC, 45 seg a 72 ºC ) y una extensión final de 7 min a 72 ºC] (9-11).
Tipificación de VPH
Las muestras positivas en la detección viral con los iniciadores MY09/11 fueron tipificadas mediante PCR múltiple, empleando los iniciadores descritos por Sotlar y col. (13), método que permite identificar los siguientes tipos virales: 6/11 (334 pb) de bajo riesgo oncogénico, 16 (457pb), 18 (322 pb) y 33 (398 pb) de alto riesgo oncogénico (Tabla I). Para ello, se agregaron 3 µL del ADN de cada muestra a la mezcla de reacción, la cual consistió de [ 0,4 µL de dNTP´s (100mM), 1,6 µL del coctel de iniciadores (100mM 0,2µL de cada iniciador), 0,5 µL (2,5U) de Taq DNA polimerasa (Invitrogen), 4 µL de MgCl2 (50mM), 6,5 µL de Buffer de Taq (10X) y 27 µL de H2O libre de nucleasas hasta un volumen final de 40 µL] y amplificados en un termociclador eppendorf [Ciclos: 4 min a 94 ºC, 35 X (30 seg a 94 ºC, 45 seg a 56 ºC, 45 seg a 72 ºC ) y una extensión final de 4 min a 72 ºC] descrito por Sotlar y col. (13).
Electroforesis
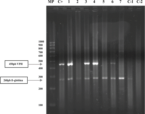
Los productos de las amplificaciones se visualizaron mediante electroforesis en geles de agarosa al 2%, buffer TBE 1X (Invitrogen), teñidos con SYBR Safe 1X (Invitrogen), a 100V por 45 minutos aproximadamente (Figs. 1 y 2). Luego fueron expuestos a luz ultravioleta, para registro fotográfico en una cámara de visualización ChemiDoc™ XRS+ (Bio-Rad) (13).
| Iniciadores | Secuencia 5´→3 |
|---|---|
| MY09 | CGT CCA AGA GGA TAC TGA TC |
| MY11 | GCA CAG GGA CAT AAT AAT GG |
| PC04 | CAA CTT CAT CCA CGT TCA CC |
| GH20 | GAA GAG CCA AGG ACA GGT AC |
| F-HPV-16 | CAC AGT TAT GCA CAG AGC TGC |
| R-HPV-16 | CAT ATA TTC ATG CAA TGT AGG TGT A |
| F-HPV-18 | CAC TTC ACT GCA AGA CAT AGA |
| R-HPV-18 | GTT GTG AAA TCG TCG TTT TTC A |
| F-HPV-33 | ACT ATA CAC AAC ATT GAA CTA |
| R-HPV-33 | GTT TTT ACA CGT CAC AGT GCA |
| F-HPV-6/11 | TGC AAG AAT GCA CTG ACC AC |
| R-HPV-6/11 | TGC ATG TTG TCC AGC AGT GT |
Pruebas estadísticas
Se determinaron los valores de sensibilidad y especificidad de la detección viral al usar muestras de orina. Para ello se emplearon pruebas estadísticas (programa SPSS 2.0) y las ecuaciones descritas en Fernández y Díaz (14). Se compararon los resultados obtenidos en las muestras de orina con los hisopados endocervicales para evaluar sensibilidad y concordancia de la detección viral. Para la evaluación de la sensibilidad y concordancia se emplearon pruebas estadísticas (prueba del índice K y de chicuadrado) usando el programa SPSS 2.0.
RESULTADOS
Se estudiaron 53 mujeres, de estas, 35 correspondieron a pacientes diagnosticadas con VPH mediante examen clínico ginecológico, en algunos casos por prueba de Schiller, pero es importante destacar que dentro de los datos suministrados al laboratorio por cada muestra de paciente, no se señalaron los tipos de lesiones intraepiteliales, sino únicamente la localización de la toma de la muestra; adicionalmente, se tomaron muestras a 18 mujeres sin lesiones visibles al examen clínico, lo cual permitió evaluar la utilidad de las muestras de orina en la detección de infecciones latentes o subclínicas. La edad promedio de las pacientes fue de 23,8 ± 11,41 años; los 20 años cumplidos fue la edad más observada. La actividad tabáquica estuvo presente en un 37,2% de los casos y el consumo de alcohol en un 74,3%. La edad de menarquia mostró un promedio de 12,20 ± 1,66 años; los 12 años fue la edad más frecuente 37,1% de las pacientes.

El número de parejas sexuales tuvo un valor promedio de 2,52 ± 1,37; 2 parejas fue el valor más frecuente, en un periodo de 6 meses a un año.
En cuanto al estado civil de las pacientes infectadas, se encontró que el 91,4% era soltera, y el 8,6% casada; en esta última categoría se asumió una pareja estable.
En la población de mujeres estudiadas con un diagnóstico clínico de infección por VPH, la prevalencia general de infección por este virus fue de 68,6% en las muestras de hisopado cervical y 62,9% en las muestras de orina (Tabla II). Entre las pacientes positivas para VPH en hisopados cervicales, 45,8% presentó VPH de bajo riesgo oncogénico (genotipos 6 y/u 11), 4,1% de alto riesgo oncogénico (genotipo 16) y 50% sin positividad para los genotipos de VPH estudiados (Tabla II).
De las pacientes positivas para VPH en muestras de orina 36,36% presentó VPH de bajo riesgo oncogénico (genotipos 6 y/u 11), 9,09% de alto riesgo oncogénico genotipo 16, 4,54% de alto riesgo para los genotipos 18 y 33, 9,09% infección mixta (VPH de bajo y alto riesgo oncogénico 6 y/u 11 y 16) y 36,36% no tipificables con los genotipos de VPH incluidos en este estudio (Tabla II).
Un 57% de las mujeres con diagnóstico clínico ginecológico de infección por VPH, presentó positividad en ambos tipos de muestras utilizadas para la detección molecular de este virus (Fig. 1). De este porcentaje, se determinaron las pacientes positivas en las que coincidió el genotipo de VPH, obteniéndose una correspondencia del 40% para los genotipos identificados en los que se incluyen los genotipos 6 y/u 11 de bajo riesgo oncogénico y 16 de alto riesgo oncogénico.

Del grupo de pacientes que no presentó lesiones sugestivas de infección por VPH al examen clínico, la prevalencia general de infección por este virus en ambos tipos de muestras fue del 33,3% lo cual resalta la utilidad de técnicas moleculares en la detección de infecciones subclínicas y la importancia de usar procedimientos que permitan la identificación directa del genoma viral.
De este grupo, en aquellas muestras correspondientes a hisopados cervicales el 16,6% presentó VPH de bajo riesgo oncogénico, 11% de alto riego oncogénico y 5,5% fue negativo para los genotipos evaluados. En las muestras de orina se encontró que el 5,6% presentó VPH de bajo riesgo oncogénico y 27,8% fue negativo para los genotipos ensayados en este estudio.
Se obtuvo una significancia estadística con el test de Chi-cuadrado en la detección molecular en muestras de orina e hisopado cervical, y un índice Kappa, en el que se evalúa concordancia de los resultados obtenidos de la detección y tipificación de VPH, de p= 0,01 y k=0,609 respectivamente; IC=95% según la escala de referencia cualitativa planteada por Molinero y col. (15).
| Frecuencia de Infección por VP | H | |
| Hisopados Cervicales% | Muestras de Orina% | |
| Positivos | 68,8 | 62,9 |
| Negativos | 31,4 | 37 |
| Genotipos | ||
| 6/11 | 45,8 | 36,36 |
| 16 | 4,2 | 9,09 |
| 18 | - | 4,54 |
| 33 | - | 4,54 |
| 6/11 y 16 | - | 9,09 |
| NT | 50 | 36,36 |
DISCUSIÓN
Aunque se han necesitado alrededor de 20 años para establecer la asociación causal entre el cáncer cervical y la infección persistente por VPH, en la actualidad la relación entre la infección por este virus y esta malignidad es ampliamente conocida y por ello, se han desarrollado pruebas de detección del ADN del VPH de alto y bajo riesgo para mejorar la eficiencia, precisión y efectividad en la detección oportuna del cáncer cervical, como estrategia de prevención secundaria (12).
La edad y factores de riesgo como menarquia temprana, consumo de alcohol, tabaco, uso de anticonceptivos, sexarquia temprana con conductas de más de una pareja sexual en un periodo de 6 meses a un año, son considerados por autores como Walboormers y col. (16), Bosch y col. (17), Moreno y col. (18) y Hildesheim y col. (19), cofactores en el riesgo a desarrollar CCU.
Las discrepancias en la positividad entre las muestras de un mismo paciente, pueden ser consecuencia del tipo de muestra evaluada, la distribución o ubicación del virus y la carga viral al momento de la toma de la muestra (20). La similitud de resultados de esta investigación fue menor a la obtenida por Stanczuk y col. (8) quienes trabajaron con 43 pacientes a las que se le tomaron hisopados cervicales y muestras de orina y obtuvieron un 79% y por Alameda y col. (21) que hallaron un 80% de similitud al trabajar con hisopados cervicales y muestras de orina de 50 pacientes con diagnóstico clínico de lesiones intraepiteliales escamosas de alto y bajo grado. La diferencia entre estos valores de ambas muestras y el reportado en el presente estudio, puede atribuirse a diferencias en las características de las poblaciones estudiadas, el grado de las lesiones y/o la metodología empleada en cada estudio.
En cuanto al porcentaje de detección, al comparar con otros estudios, como el de Yerena y col. (22) quienes evaluaron 123 pacientes y reportaron un 12,2% de positividad para el virus, con resultados de citología normal, el de Torrella y col. (Citado por Yerena y col.) (22) un 17% y el de Carrillo y col., con 23,1%, se observa que tales valores se encuentran por debajo del obtenido en el presente estudio (23).
En relación a los resultados de distintos trabajos sobre detección de VPH con muestras de orina, hay gran variabilidad, que incluye valores negativos. Al comparar el porcentaje de detección de VPH con muestras de orina, obtenido en este estudio, con otros trabajos, como el de Tanzi y col. (24), se considera como un valor menor, ya que los investigadores reportaron un porcentaje de detección de 64,5%. Por otro lado, Alameda y col. (25), al evaluar 50 muestras de orina de mujeres de Barcelona, España, con una edad promedio de 36 años, obtuvieron un 22% de positividad para ADN de VPH, mediante PCR con iniciadores MY09/MY11 (25); de igual manera, Sellors y col. (26) evaluaron 200 muestras de orina de mujeres en Hamilton, Canadá, con un promedio de edad de 31,5 años, referidas por anormalidades en la citología cervical y encontraron positividad del 35% para el ADN del virus .
Los genotipos 6/11 (45,8% hisopados cervicales y 36,36% orinas) para la categoría de bajo riesgo oncogénico y 16 (4,2% hisopados cervicales y 9,09% orinas) de alto riesgo oncogénico fueron detectados con mayor frecuencia, correspondiendo con los trabajos realizados en Venezuela por Correnti y col. (27) y otros de distintos países como los de Muñoz y col. (28), Suarez y col. (29), Ghaffari y col. (30) y Aedo y col. (31), quienes han identificado primordialmente genotipos de bajo riesgo oncogénico en su estudio, al igual que lo reportado por Scucces y Paneccasio (32) quienes obtuvieron un 25% de detección de virus de bajo riesgo oncogénico. Cabe resaltar que se debe tomar en cuenta que hubo un porcentaje de pacientes que resultaron positivas para VPH de alto riesgo oncogénico, por lo que es recomendable una vigilancia más activa respecto a esos casos específicamente (33).
Los resultados sugieren que existe una alta probabilidad de determinar eficazmente la presencia o ausencia de ADN de VPH en muestras de orina, ya que se obtuvieron valores por encima del 80%. Estos son similares a los reportados por Tanzi y col. (24) quienes obtuvieron una sensibilidad del 98,6%, una especificidad del 97,4% en la detección de ADN del VPH en orina en un trabajo donde también usaron hisopados de cuello uterino.
La diferencia en el porcentaje de la detección de VPH empleando muestras de orina es ligeramente menor al obtenido con los hisopados cervicales. Sin embargo, según las pruebas estadísticas aplicadas, se obtuvo una similitud moderada entre ambos tipos de muestras. Esta diferencia pudiera eliminarse aplicando variaciones metodológicas como por ejemplo, utilizando un volumen mayor de la muestra de orina. A este respecto, el trabajo de Vorsters y col. (20) consistió en una recopilación de 41 estudios donde se describen volúmenes de colecta de orina que van desde 400-600 mL para la obtención aproximada de 200µL de células descamadas del canal uretral compactas en un sedimento. Los autores señalaron que al aumentar el volumen de orina para el estudio, se pudieran mejorar los porcentajes de detección viral en este tipo de muestra y, por ende, se lograría una mayor estimación de dependencia y concordancia en los resultados.
Además de la muestra estudiada compuesta por pacientes del género femenino con historia de VPH, también se evaluó una muestra constituida por mujeres sin hallazgo clínicos y/o citológicos sugestivos de infección por VPH y sin antecedentes de la misma. En dicha muestra se encontró 33,3% de positividad para el ADN del virus tanto en muestras de orina como en hisopados cervicales, lo que indica la existencia de posibles infecciones latentes en pacientes que se muestran sanas al examen clínico. Trabajos como la recopilación de Vorsters y col. (20), señalan la importancia de incorporar la detección del ADN viral en programas de pesquisa junto con la citología convencional, por considerar que ello contribuiría con la detección de infecciones subclinicas y esto, a su vez, incrementaría la eficiencia de programas de control y prevención, además de contribuir con la correcta vigilancia de pacientes y el éxito de los tratamientos.
Los resultados observados son alentadores puesto que existe similitud entre los obtenidos con cada tipo de muestra, apuntando así a la posibilidad de usar muestras de orina como método alternativo o de apoyo para la detección de la infección viral, en mujeres con poca atención ginecológica o con limitaciones culturales y religiosas, así como en regiones geográficas de difícil acceso. En tal sentido, el uso de este tipo de muestra pudiera convertirse en una variante útil en la detección de infección por VPH y el cribado de CCU, ya que presenta las siguientes ventajas: no necesita la intervención de personal adiestrado para su recolección, es un procedimiento indoloro, de bajo costo para el paciente y no invasivo. Estas investigaciones permitirán evaluar el potencial del uso de muestras de orina en la detección de VPH, así como la posibilidad de su uso en programas de salud y de cribado del CCU. Es importante mencionar que en Venezuela no existen estudios sobre el uso de muestras de orina para la detección de VPH, pudiendo ser este, referencia en investigaciones futuras.
AGRADECIMIENTOS
Este trabajo fue financiado por el Ministerio del Poder Popular de Ciencia y Tecnología a través del Proyecto Misión Ciencia LPL-2007001088.
Al Profesor Armando Rodríguez por los análisis estadísticos realizados al trabajo y al Dr. L. Capote y su grupo de trabajo por las estadísticas de mortalidad por cáncer, actualizadas para 2013, último reporte nacional hasta la fecha.
REFERENCIAS
1. Steben M, Duarte E. Human papillomavirus infection: epidemiology and pathophysiology. J Ginecol Oncol 2007; 107: S2-S5.
2. Capote L. Tasas de Mortalidad por Cáncer en Venezuela. Fuente: ANUARIO DE MORTALIDAD M.P.P.S. Programa de Oncología. Registro Central de Cáncer. Venezuela. (Publicado en 2016). 2013.
3. Anuario de mortalidad MPPs año 2009. http:www.mpps.gob.ve/index.php. Anuario 2009. Anuarios.
4. Steben M. Clinical manifestations and diagnosis of HPV-related disease. J Obstet Gynaecol Can 2007; 29, S11-S14.
5. Stalin E, Castillo J. Detección del virus del papiloma humano (VPH) por el método de reacción en cadena de la polimerasa (PCR). Asociación Mexicana de Bioquímica Clínica, AC.2004: 29(75): 1-2.
6. D’Hauwers K, Depuydt C, Bogers J, stalpaert M, Vereecken A, Wyndaele JJ, Tjalma W. Urine versus brushed samples in human papillomavirus screening: study in both genders. Asian J Androl 2007; 9(5):705-710.
7. Herrero R, Castle P, Schiffman M, Bratti M, Hildesheim A, Morales J, Alfaro M, Sherman Me, Wacholder A, Chen S, Rodriguez AC, Burk RD. Epidemiology profile of type-specific human papillomavirus infection and cervical neoplasia in Guanacaste, Costa Rica. J Infect Dis 2005; 191:1796-1807.
8. Stanczuk G. Detection of human papillomavirus in urine and cervical swabs from patients with invasive cervical cancer. J Med Virol 2003; 71: 110-114.
9. Schiffman M, Castle P, Jeronimo J, Rodríguez A, Wacholder S. Human papillomavirus and cervical cancer. Lancet 2007; 370: 890-907.
10. Manos M, Ting y, Wright D, Lewis A, Broker T y Wolinsky S. The use of polymerase chain reaction amplification for the detection of genital human papillomavirus. Cancer Cells 1989; 7:209-214.
11. Bosch FX, Manos MM, Muñoz N, Sherman M, Jansen AM, Peto J, Schiffman MH, Moreno V, Kurman R, Shah KV. Prevalence of human papilloma virus in cervical cancer: a perspective. International biological study on cervical cancer Study Group. J Natl Cancer Inst 1995; 87: 796-802.
12. Cañadas M, Lloveras B, Lorincz A, Ejaraue M, Font R, Bosch F, San José S. Evaluación de las técnicas de detección del VPH en los programas de cribado para cáncer de cuello uterino. Salud Pública Méx 2006; 48(5): 373-378.
13. Sotlar K, Diemer D, Dethleffs A, Hack y, Stubner A, Vollmer N, Menton S, Menton M, Dietz K, Wallwiener D, Kandolf R, Bültmann B. Detection and typing of human papillomavirus by nested multiplex PCR. J Clin Microbiol 2004; 42(7): 3176 3184.
14. Fernández P, Díaz P. Pruebas diagnósticas: Sensibilidad y especificidad. Unidad de Epidemiología Clínica y Bioestadística. Complejo Hospitalario Universitario de la Coruña (España). Cad Aten Primaria 2003; 10: 120-124.
15. Molinero L. Medidas de concordancia para variables cualitativas. Asociación de la sociedad española de hipertensión, Liga Española para la lucha contra la Hipertensión Arterial, 2001. En: bioestadística@ alceingenieria.net. Actualizado Diciembre 2001.
16. Walboomers JM, Jacobs MV, Manos MM, Bosch FX, Kummer Ja, Shah KV, Snijders PJ, Peto J, Meijer CJ, Muñoz N. Human papillomavirus is a necessary cause of invasive cervical cancer worldwide. J Pathol 1999; 189(1): 12-19.
17. Bosch F, de Sanjose s. Chapter 1. Human papillomavirus and cervical cancer Burden and assessment of causality. J Natl Cancer Inst Monographs 2003; 31:3-13.
18. Moreno V, Bosch FX, Muñoz N, Meijer CJ, Shah KV, Walboomers JM, Herrero R, Franceschi S. Effect of oral contraceptives on risk of cervical cancer in women with human papillomavirus infection: the IARC Multicentric Case-Control Study. Lancet 2002; 359(9312): 1085-1092.
19. Hildesheim A, Herrero R, Castle PE, Wacholder s, Bratti MC, sherman Me, Lorincz AT, Burk RD, Morales J, Rodriguez AC, Helgesen K, Alfaro M, Hutchinson M, Balmaceda I, Greenberg M, Schiffman M. HPV co-factors related to the development of cervical cancer: results from a population-based study in Costa Rica. Br J Cancer 2001; 84(9): 1219-1226.
20. Vorsters a, Micalessi I, Bilcke J, Ieven M, Bogers J, Van Damme P. Detection of human papillomavirus DNA in urine. A review of the literature. Eur J Clin Microbiol Infect Dis 2012; 31:627-640.
21. Alameda F, Bellosillo B, Fusté P, Musset M, Mariñoso Ml, Mancebo G, Lopez-Yarto MT, Carreras R, Serrano S. Human papillomavirus detection of in urine samples: an alternative screening method. J Low Genit Tract Dis 2007; 11(1):5-7.
22. Yerena C, Miñón A, Ortiz R, Ramírez J. Detección del virus del papiloma humano por PCR anidada con MY09/11 y GP5+/6+, en muestras endocervicales de pacientes con Papanicolaou normal, de la ciudad de Xalapa, Veracruz, México. Disponible en line: http://www.medigraphic.com/medi-artemisa. 2009; 34: 65-66.
23. Carrillo A, Mohar A, Meneses A. Usefulness of combining universal oligonucleotides in detecting human papillomavirus in cervical cancer and premalignant lesions. Salud Pública Mex 2004; 46: 7-11.
24. Tanzi E, Bianchi S, Fasolo M, Frati E, Mazza F, Martinelli M, Colzani D, Beretta R, Zappa A, Orlando G. High Performance of a new PCR-based urine assay for HPV-DNA detection and genotyping. J Med Virol 2013; 85: 91-98.
25. Alameda F, Bellosillo B, Fusté P, Musset M, Mariñoso M, Mancebo G, Lopez M, Carreras R. Human papillomavirus detection in urine samples: an alternative screening method. J Low Genit Tract Dis 2007; 11(1):5-7.
26. Sellors J, Lorincz a, Mahony J, Mielzynska I, Lytwyn a, Roth P, Howard M, Chong S, Daya D, Chapman W, Chernesky M. Comparison of self-collected vaginal, vulvar and urine samples with physician-collected cervical samples for human papillomavirus testing to detect high-grade squamous intraepithelial lesions. Can Med Assoc J 2000; 163(5): 513-518.
27. Correnti M, Medina F, Cavazza M, Rennola A, Ávila M, Fernandes A. Human papillomavirus (HPV) type distribution in cervical carcinoma, low-grade, and high-grade squamous intraepithelial lesions in Venezuelan women. Gynecol Oncol 2011; 121(3):527-531.
28. Muñoz M, Mendoza Ja, Téllez L, Noguera M, Moret O, López M, Toro M. Detección de VPH-16 y 18 en muestras de cerviz de mujeres que acuden a centros de la ciudad de MéridaVenezuela. Rev Biomed 2003; 14(2):61-68.
29. Suárez C, Mijares A, Marrero L, Briceño J. Tipificación del VPH en cáncer de cuello uterino. Rev Venez Oncol 2006; 18: 221-225.
30. Ghaffari S, Sabokbar T, Mollahajian H, Dastan J, Ramezanzadeh F, ensani F, yarandi F, Mousavi-Jarrahi A, Mohagheghi Ma, Moradi A. Prevalence of human papillomavirus genotypes in women with normal and abnormal cervical cytology in Iran. Asian Pac J Cancer Prev 2006; 7(4):529-532.
31. Aedo S, Melo A, García P, Guzmán P, Capurro I, Roa J. Detección y tipificación de virus papiloma humano en lesiones preneoplásicas del cuello uterino mediante PCR-RFLP. Rev Med Chile 2007; 135(2):167-173.
32. Scucces M, Paneccasio a. Lesión intraepitelial cervical asociada a virus papiloma humano. Rev Obstet Ginecol Ven 2001; 61(2):101-107.
33. Salazar E. Detección del virus de papiloma humano en pacientes con lesiones intraepiteliales escamosas de cuello uterino. Rev Obstet Ginecol Ven 2007; 67(1): 4754.
Notas de autor
* Autor de Correspondencia: Yrneh Prado. Instituto de Oncología y Hematología-MPPS. Caracas-Venezuela. Correo electrónico: yrneh90@hotmail.com