Trabajos Originales
Diseño de una prueba diagnóstica casera para la detección de anticuerpos tipo IgG contra el virus de la hepatitis C: incorporación de la proteína de envoltura E2 y no estructural 2 (NS2)
Design of an in-house diagnostic test for IgG antibodies against hepatitis C virus detection: Incorporation of envelope protein E2 and non-structural protein 2 ( NS2)
Diseño de una prueba diagnóstica casera para la detección de anticuerpos tipo IgG contra el virus de la hepatitis C: incorporación de la proteína de envoltura E2 y no estructural 2 (NS2)
Investigación Clínica, vol. 58, núm. 2, pp. 154-167, 2017
Universidad del Zulia
Recepción: 08 Diciembre 2016
Aprobación: 27 Abril 2017
Resumen: Durante la infección por el virus de la hepatitis C (VHC), los anticuerpos específicos aparecen varias semanas posterior a la exposición, van dirigidos contra las diversas proteínas del virus incluyendo anticuerpos contra la envoltura viral (E2)y la proteína no estructural 2 (NS2). En este trabajo se diseñó un ensayo casero de ELISA que incorpora, además de NS3, NS5a, NS5b y el core, a las proteínas E2 y NS2 del VHC en sustitución de NS4, con el fin de evaluar su capacidad diagnóstica en comparación con un estuche comercial de 4ta generación. La validación de la prueba casera demostró una especificidad y sensibilidad similar a las obtenidas con el estuche comercial de 4ta generación (Biokit©), con un índice kappa igual a 0,969, al compararse con el mismo. Esto sugiere que la prueba diseñada podría utilizarse de manera segura para la detección de anticuerpos VHC específicos de tipo IgG para el diagnóstico de la hepatitis C y constituirse como una alternativa de producción nacional más económica.
Palabras clave: hepatitis C, VHC, E2, NS2, ELISA, diagnostico serológico.
Abstract: During hepatitis C (HCV) infection specific antibodies appear several weeks after exposure, including viral envelope (E2) and non-structural protein 2 ( NS2). In this work we designed an in-house ELISA assay, that incorporate beside NS3, NS5a, NS5b and core, the HCVE2 and NS2 proteins in substitution of NS4, in order to evaluate its diagnostic utility as compared to a fourth generation commercial kit. The in-house test demonstrated a specificity and sensitivity similar to those obtained with the commercial kit, with a kappa index equal to 0.969, when it was compared with the 4th generation commercial kit (BioelisaBiokit ©), suggesting that our test could be used for the diagnosis of specific IgG antibodies detection against hepatitis C and to become a more economic national alternative.
Keywords: hepatitis C, HCV, E2, NS2, ELISA, serological diagnosis.
INTRODUCCIÓN
El virus de la hepatitis C (VHC) es un ARN virus con tropismo por el hígado (1). Se estima que, a nivel mundial, alrededor de 170 millones de personas muestran evidencia de infección crónica por el VHC y que anualmente alrededor de 700.000 personas mueren a consecuencia de la infección por el VHC (2). Los síntomas durante la infección aguda son usualmente leves o puede ser asintomática, por lo que comúnmente pasa desapercibida y no es diagnosticada durante las fases iniciales de la infección. La eliminación espontánea o control de la infección ocurre solo en un 15-45% de los individuos infectados durante los 6 primeros meses, el resto de los individuos expuestos al virus, progresan hacia una infección crónica (3, 4). La infección crónica a su vez puede evolucionar hacia la fibrosis, cirrosis y el carcinoma hepatocelular (5). Las principales vías de trasmisión son las transfusiones sanguíneas, hemodiálisis, uso de drogas endovenosas por compartir jeringas contaminadas, hombres que tiene relaciones sexuales con hombres (6), la ruta materno-fetal (7) y la cosmética tal como el uso de tatuajes (8). La seroprevalencia a nivel mundial se ha clasificado en regiones de alta (>5%), mediana (2-4%) y baja prevalencia (<2%). Las zonas de alta prevalencia incluyen: Egipto 4,4-15,0% (9), Gabón 4,911,2% (10), entre otros países de bajos ingresos económicos, mientras que en los países con alto índice per cápita la prevalencia de la infección por VHC es baja (4). En América Latina la prevalencia se ha estimado entre 0,5% al 3,4% 11,12).
Los inmunoensayos para el diagnóstico de VHC han evolucionado a través del tiempo mediante la incorporación de nuevas proteínas del virus. El primer ensayo diseñado denominado de primera generación, contenía solo a la proteína no estructural 4 (NS4; (c100-3)), proteína que representa solo el 12% del genoma viral, en consecuencia, la sensibilidad fue muy baja, con un porcentaje de falsos positivos del 60% y una ventana serológica entre 12 a 26 semanas después de la exposición (13), lo que indica que NS4 por sí solo no es un buen marcador serológico.
Posteriormente, se desarrollaron los ensayos de segunda generación, que incorporaron péptidos sintéticos del core (c22) del VHC y a la proteína NS3 (c33c, c100-3), lo que mejoró la especificidad y sensibilidad de la prueba y redujo la ventana serológica entre 11 a 25 semanas. Posteriormente, con los de tercera generación que incorporaron la proteína NS5, se redujo aún más la ventana serologica, entre 9 a 20 semanas (13). Más recientemente, los ensayos de cuarta generación incorporaron varias regiones de NS5 (NS5a y NS5b) mejorando la sensibilidad y especificidad y reduciendo entre 8 a 18 semanas la ventana serológica(14), esto sugiere que los anticuerpos anti-NS5 son los que aparecen en los estadios más tempranos posterior a la exposición, mientras que los anti-NS4 son más tardíos en aparecer y están presentes en un bajo porcentaje de los individuos expuestos, por lo que su utilidad diagnóstica aún no está bien determinada (15). A pesar de los avances en el diagnóstico de la infección por el VHC, se requieren nuevos ensayos que incorporen distintos antígenos, a fin de mejorar las herramientas diagnósticas actualmente disponibles.
Durante la infección por el VHC, se activan tanto la respuesta inmune humoral como la celular del hospedador; sin embargo, su papel en la protección y control de la replicación viral aún no está del todo esclarecido. Los anticuerpos contra las proteínas del virus aparecen varias semanas posterior a la exposición (16). Se ha reportado que los anticuerpos contra E2 están presentes en elevado porcentaje en la fase aguda de la infección (17, 18), razón por la cual en la actualidad son un foco de atención en el diseño de vacunas, debido a que algunos tienen actividad de neutralización (19). Adicionalmente, se ha reportado la estructura cristalográfica de E2 y la amplia posibilidad de anticuerpos neutralizantes que pudieran utilizarse con fines terapéuticos (20, 21). En adición a la envoltura, existe otra región NS2, poco explorada a pesar de ser un inmunógeno potente (22); sin embargo, su utilidad diagnóstica ha sido poco evaluada. En este trabajo se decidió diseñar un estuche diagnóstico casero que incorpora las proteína E2 y NS2 del VHC, además de NS3, NS5a, NS5b y el core, en sustitución de NS4, a fin de evaluar su capacidad diagnóstica en comparación con un estuche comercial de cuarta generación.
MATERIALES Y MÉTODOS
Selección de los pacientes
Se reclutaros 129 individuos para el estudio, 61 individuos seronegativos y 68 pacientes seropositivos, con diagnóstico previo de infección por el VHC. En el grupo control se incluyeron 5 pacientes con infección crónica por hepatitis B, 3 positivos a anticuerpos anti-nucleares (AAN) y 2 en hemodiálisis por insuficiencia renal crónica y en el grupo de pacientes, 3 individuos con un periodo de exposición aproximado de 100 días (1 por tatuaje y los otros dos por transfusiones sanguíneas). Todas las muestras fueron reevaluadas serológicamente mediante el uso del estuche comercial de la casa BioelisaHCV 4.0 (Biokit® S.A. Barcelona, España) de cuarta generación para la detección de IgG anti-VHC y mediante RT-PCR en tiempo real.
Expresión y purificación de proteínas recombinantes
Las secuencias del core, E2, NS2, NS3, NS5A y NS5B fueron clonadas en diferentes vectores de expresión (pET30a-core, pQE31-E2, pQE30-NS2, pET30a-NS3,pQE60-NS5a, pQE60-NS-5b),y analizadas mediante secuenciación, con el fin de corroborar la presencia de las secuencias codificantes de cada una de las proteínas virales en los diferentes plásmidos, que luego fueron utilizadas para transformar las E. coli mediante shock térmico. Las bacterias transformadas fueron cultivadas en medio líquido Luria Bertani Broth (LB, Sigma-Aldrich Co. LLC) (0,5% de NaCl, 1% de peptona, 0,5% de extracto de levadura, pH 7) suplementado con glucosa (0,1%), magnesio (1mM) y ampicilina/cloramfenicol (50µg/mL) para el caso de pQE31-E2, pQE30NS2, pQE60-NS5a, pQE60-NS5b) y kanamicina/cloranfenicol para el caso de pET30a-core y pET30a-NS3), hasta alcanzar una densidad óptica de 600nm, momento en que se le añadió isopropil-β-D-tiogalactósido (IPTG100ug/mL). Las bacterias fueron tratadas con buffer de lisis (1% de Tritón X100, 50mM de Tris pH 8, 150 mM de NaCl, 1 mM de EDTA, 1 mM de PMSF, 1 mM de DTT, y 2 µg/mL de leupeptina, 2 µg/ mL de aprotinina y 500 µg/mL de lisozima) y el homogenado bacteriano se sometió a sonicación, centrifugación y, finalmente, el sobrenadante clarificado a purificación por cromatografía de afinidad. La columna de afinidad al níquel fue lavada extensivamente con el fin de eliminar posible contaminación con proteínas de E coli. Las muestras resultantes de la expresión y purificación, fueron sometidas a electroforesis en un gel discontinuo de poliacrilamida al 10% bajo condiciones de desnaturalización (SDS-PAGE).
Diseño del ensayo inmunoenzimático
Las placas de microtitulación se sensibilizaron con 2 µg/mL de cada una de las proteínas recombinantes, resuspendidas en 50 mM de Buffer Na2CO3 (1M, pH 9,6). La incubación se lle-vó a cabo a 4°C durante toda la noche. La placa se bloqueó con PBS-BSA al 0,5 % a 4°C durante toda la noche. Los sueros se diluyeron 1:20 en solución bloqueante y se incubaron durante 45 minutos a 37°C. Los lavados (6 en total), se realizaron con TBS-TWEEN 20 al 0,05%. El anticuerpo secundario conjugado a peroxidasa de rábano (HRP) dirigido contra la IgG humana diluido 1:5000 en solución bloqueante, se incubó durante 45 min a 37°C; luego de 6 lavados, el revelado de la placa se realizó con TMB y la reacción se detuvo con 100 µL de H2SO4 1N. La densidad óptica se midió con un espectrofotómetro KAYTORT-2100C empleando una longitud de onda de 450 nm.
Determinación de la carga viral mediante RT-PCR en tiempo real
Las muestras de suero de los pacientes evaluadas en el estudio fueron almacenadas en -80 ° C hasta el momento de su análisis. Para la extracción del ARN del VHC, se utilizó el método de columnas utilizando un estuche comercial para purificación de ADN y ARN Viral (AxygenScientific, Inc. San Francisco, CA. USA) y el ARN eluído de la columna fue sometido a RT-PCR en tiempo real, utilizando el estuche RT-PCRKAPASYBR® FASTOne-StepqRT-PCR Universal (KapaBiosystems, Wilmington, MA USA). La amplificación en tiempo real se llevó a cabo en un sistema detector de fluorescencia en tiempo real de cuatro colores Chromo4™ (BioRad). En paralelo se utilizó un estándar de concentración conocida (ACURRUN 325, BBIDiagnostic, Boston USA) para establecer una curva de regresión lineal y obtener la concentración expresado en Unidades/mL.
Análisis estadístico
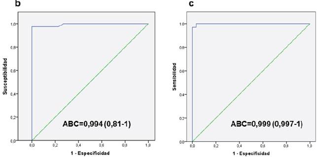
El análisis estadístico, así como los de correlación lineal y los gráficos se realizaron con los programas SPSS versión 21 (IBM Corporation, New York, US), Excel 2010 (Microsoft Corporation, Redmond, US) y Graph Pad Prism versión 5 & Quickcalcs (Graph Pad Software Inc, La Jolla, USA). La valoración diagnóstica del inmunoenzimático, se realizó mediante la determinación de los parámetros de validez y seguridad para pruebas diagnósticas tales como sensibilidad, especificidad y valores predictivos, los que se calcularon estableciendo inicialmente puntos de corte a partir de la evaluación de las curvas operador-receptor (ROC), esto permitió, además determinar el área bajo la curva como indicador de la capacidad diagnóstica del test utilizado y los múltiples pares sensibilidad, 1-especificidad. Se determinó el punto de corte con el índice de Youden bajo la fórmula IY=sensibilidad+especificidad-1 y se tomó el valor más cercano a 1; se clasificaron los resultados obtenidos con el inmunoensayo para cada una de las muestras según el índice de Youden en positivo y negativo.
RESULTADOS
Obtención de e2, Ns2, Ns3, Ns5a, Ns5B y core
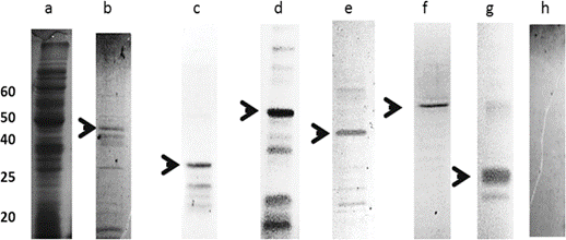
Las 6 proteínas recombinantes fueron purificadas mediante cromatografía de afinidad al níquel. En la Fig. 1 se muestra una imagen representativa de un lisado total de un homogenado bacteriano, a partir del cual se procedió a realizar la purificación de las proteínas recombinantes con 6 residuos de histidina (Fig. 1a), las imágenes de las 6 proteínas posterior a su purificación (Fig. 1b-g) y el producto de la purificación de un vector vacío (Fig. 1h) como control de la pureza del proceso de purificación. Las proteínas obtenidas mostraron estar acordes con el peso molecular estimado, basados en el análisis de cada una de las secuencias obtenidas (ver Tabla I). E2 y NS3 (Fig. 1b y 1d) muestran bandas adicionales de menor tamaño asociado un nivel de proteólisis durante su purificación. Las concentraciones de cada una de ellas se calcularon mediante la aplicación del coeficiente de extinción molar (M-1. cm-1).
Ensamblaje del ensayo de elIsa
Como fase inicial del estudio se determinó el porcentaje de individuos que presentaban anticuerpos específicos contra las proteínas E2 y NS2. Para ello fueron previamente analizados 26 pacientes y 10 controles, evidenciándose que un mayor número de individuos seropositivos presentaron anticuerpos contra E2 (50%: 13/26) en comparación con NS2 (23%: 6/26). Dos de los 6 individuos positivos para NS2, no presentaron anticuerpos contra E2, lo que indica que en conjunto ambas proteínas son capaces de identificar al 57,6 % de individuos seropositivos para el VHC. Ninguno de los individuos seronegativos mostró anticuerpos contra ninguna de estas proteínas.
Posteriormente se procedió a establecer la validez, especificidad y sensibilidad del ensayo serológico casero a través del análisis de muestras en paralelo con el estuche comercial Bioelisa de cuarta generación. Tal y como se muestra en la Fig. 2, el ensayo casero logró diferenciar entre los individuos expuestos y no expuestos al VHC (Fig. 2a). El punto de corte determinado con el índice de Youden fue de 0,2385 para el ensayo comercial y de 0,4890 para el ensayo casero, con un nivel de especificidad del 100% y sensibilidad del 98% para el estuche comercial, comparado con una especificidad de 97 % y 100% de sensibilidad para el estuche casero. Adicionalmente, se obtuvo un valor predictivo positivo de 100% y valor predictivo negativo de 96% para el estuche comercial, mientras que para el estuche casero se obtuvo un valor predictivo positivo de 97% y un valor predictivo negativo de 100% (Tabla II).
Se evaluó la capacidad diagnóstica de la prueba determinando parámetros de validez y seguridad como sensibilidad, especificidad y valores predictivos; para ello, se determinó el punto de corte a través del análisis de discriminación de señales con curvas ROC y del índice de Youden y se estimó el área bajo la curva como un indicador adicional de la capacidad diagnóstica de ambas pruebas (Figs. 2b y 2c), se evidenció que el área bajo la curva (ABC) de ambas pruebas es cercana a 1, ABC=0,994 (0,81-1) para el estuche comercial y ABC=0,999 (0,997-1) para el estuche casero, indicando que la prueba casera tiene una elevada capacidad discriminatoria para diferenciar entre los individuos expuestos y no expuestos al virus, comparable al estuche comercial de cuarta generación.

| e2 | Ns2 | Ns3 | Ns5a | Ns5B | Core | |
| PM (KDa)aproximado | 40 | 27 | 54 | 40 | 66 | 25 |
| CEM (M-1. cm-1) | 2,255 | 2,191 | 0,873 | 1,555 | 1,429 | 1,344 |
| Concentración final(μg/mL) | 990 | 900 | 801 | 733 | 915 | 1000 |
La concordancia entre los resultados obtenidos con la prueba casera y el estado serológico conocido de los individuos, se comparó con el índice Kappa y con la prueba chi cuadrado.
La evaluación de la concordancia entre la prueba comercial y los valores conocidos mostró un índice Kappa de 0,965 asociado a un valor de chi cuadrado estadísticamente significativo (p<0,001) (IC95%: intervalo de confianza del 95%.); de igual modo, para la prueba casera el Índice Kappa fue de 0,969 asociado a un valor de chi cuadrado estadísticamente significativo (p<0,001) (IC95%: intervalo de confianza del 95%). Ninguno de los individuos con infección por hepatitis B, positivos a AAN o en diálisis, mostraron reactividad a la prueba (resultados no mostrados). Los títulos de anticuerpos detectados no se correlacionaron con los niveles de carga viral de los pacientes (R= 0,0045; p= 0,3). Se ha reportado que el tiempo promedio de detección de anticuerpos para el VHC es alrededor de 80-100 días post infección, tiempo determinado a través del seguimiento de individuos sometidos a transfusiones sanguíneas (23). En el presente trabajo, tres de los individuos estudiados se encontraban en fase aguda. Uno de ellos fue infectado posterior a la colocación de tatuaje, (13 semanas previas a la toma de la muestra) y los otros dos, posterior a la colocación de hemoderivados contaminados con un tiempo de incubación aproximado de 14 semanas. En todos los casos, tanto el estuche casero como el comercial lograron detectar anticuerpos en cada uno de estos individuos en la muestra inicialy luego de 6 meses de la exposición (segunda muestra) (Fig. 3). La presencia de anticuerpos fue detectada en todos los individuos dentro de los 100 días post-exposición, tanto en la prueba casera como en la comercial, lo que podría sugerir que la ventana serológica en ambas pruebas es similar; sin embargo, se requieren estudios adicionales para determinar con precisión la ventana serológica de la prueba casera propuesta en este estudio.


| Prueba comercial elIsa IgG anti VHC | Prueba casera elIsa IgG anti VHC | ||||||
|---|---|---|---|---|---|---|---|
| evaluación de la prueba IgG anti-VHC | |||||||
| Hepatitis C + | Hepatitis C - | Total | Hepatitis C + | Hepatitis C - | Total | ||
| Positivo | 67 | 0 | 67 | Positivo | 68 | 2 | 70 |
| Negativo | 1 | 61 | 62 | Negativo | 0 | 59 | 59 |
| Total | 68 | 61 | 129 | Total | 68 | 61 | 129 |
| Validez y seguridad de la prueba IgG anti-VHC (IC95%) | |||||||
| Sensibilidad | Especificidad | Valor predictivo positivo | Valor predictivo negativo | Sensibilidad | Especificidad | Valor predictivo positivo | Valor predictivo negativo |
| 98% | 100% | 100% | 96% | 100% | 97% | 97% | 100 % |
| (87-100%) | (85-100%) | (92-100%) | (77-100%) | (95-100%) | (89-100%) | (90-100%) | (94-100%) |
DISCUSIÓN
En este estudio se desarrolló y validó una prueba casera para el diagnóstico serológico de la hepatitis C, constitutivo de 6 proteínas recombinantes, dentro de las cuales se destacan la proteína de envoltura rE2; las no estructurales rNS2, rNS3, rNS5A, y rNS5B y rCore del VHC. La validación de la prueba casera demostró especificidad y sensibilidad similares a las obtenidas con el estuche comercial, con un índice kappa igual a 0,969, al compararse con un estuche comercial de Biokit©, esto sugiere que la misma pudiera utilizarse de manera segura para la detección de anticuerpos VHC específicos de tipo IgG, para el diagnóstico de la hepatitis C, y constituirse como una alternativa nacional más económica que los estuches comerciales importados.
El genoma del VHC codifica para al menos 10 diferentes proteínas: E1, E2/NS1, p7, NS2, NS3, NS4A, NS4B, NS5A, NS5B y el core (24).
En la actualidad las pruebas inmunoenzimáticas (ELISAS) de tercera y cuarta generación son ampliamente utilizadas para el diagnóstico serológico en muchos laboratorios. Las primeras utilizan péptidos sintéticos de regiones conservadas del core, NS3, NS4 y NS5; la sensibilidad estimada de este ensayo es del 98,9% y la especificidad del 100%, mientras que las de cuarta generación han incorporado a NS4B y NS5A, con el fin de mejorar su sensibilidad y especificidad (24). Una de las características resaltantes de la prueba casera es el uso de proteínas recombinantes en sustitución de péptidos sintéticos para conservar los determinantes antigénicos conformacionales y la detección de anticuerpos dirigidos contra estas porciones fundamentales en el reconocimiento antigénico y que predominan en la respuesta inmune humoral (25), y son los que, de manera predominante, se han caracterizado durante la infección por VHC (26). El punto de corte del estuche casero fue mayor al estuche comercial; sin embargo, logró diferenciar a los individuos seropositivos de los controles con la misma eficiencia, sensibilidad y especificidad del estuche comercial. Un punto de corte mayor pudiera estar asociado a condiciones menos astringentes de los búferes utilizados en el estuche casero o a trazas de contaminación con proteínas de E coli.

La proteína No structural 2 (NS2) del VHC es requerida para el procesamiento de la poliproteína y la formación de la partícula infecciosa (27), maduración viral del VHC y posterior egreso del virus de la célula infectada 28,29). NS2 posee una porción que se ancla a la membrana (aminoácidos[aa] 1 a 93) y sirve de andamio para el ensamblaje de las proteínas estructurales y no estructurales, mientras que la porción citosólica (NS2 pro; aa 94 a 217) es donde se ubica el dominio de proteasa 30. Aunque no ha sido del todo explorado, los anticuerpos contra NS2 se han detectado durante la fase aguda (31), por lo que pudiera ser uno de los candidatos para acortar la ventana serológica de los estuches diagnósticos. En este estudio se detectaron anticuerpos contra NS2 en 6 de 26 individuos analizados, sin embargo, son necesarios nuevos estudios para evaluar la cinética de aparición de los anticuerpos anti NS2 durante la fase aguda de la infección y así determinar con exactitud su utilidad para el diagnóstico de la infección por el VHC en fases tempranas.
Las proteínas de envoltura E1 y E2 juegan un papel importante en el tropismo viral y la entrada al hepatocito, a través de la unión a sus receptores SR-B1, CD81, Claudina y Occludina (32) y son inmunogenos potentes, evidenciado por el hecho de activar respuesta de memoria, caracterizada por la presencia de linfocitos B de memoria inducidos por la proteína E2 identificado en más del 90% de los individuos evaluados, lo que se correlaciona con la presencia de anticuerpos específicos contra E2 (33). Asimismo, los estudios demuestran que mientras más temprano sea el inicio de la respuesta humoral (34) y contra diversos epítopes con actividad contra la proteína de envoltura 2 (E2), existe mayor probabilidad de un mejor control de la replicación viral, incluso en aquellos individuos con infección crónica(35).
Los anticuerpos contra E2 han sido a su vez clasificados como no-neutralizantes, con limitada capacidad de neutralización y con amplia capacidad de neutralización (36), y de mediar ADCC(17), estos últimos se han detectado tanto en la fase aguda como en la fase crónica; de ahí la importancia de incorporarlos como una herramienta serológica, con utilidad para el diagnóstico y pronóstico de la infección. Así, la presencia de los anticuerpos dirigidos contra la envoltura, en especial contra la proteína E2, con función de neutralización y con una amplitud de respuesta elevada contra diversos epitopes, no se asocia con reducción de la carga viral, pero si con una menor probabilidad a desarrollar cirrosis o fibrosis hepática (37).
Estudios recientes indican que los antígenos de envoltura pueden detectar la presencia de anticuerpos de manera eficiente y comprable con los estuches comerciales en individuos expuestos a la infección por el VHC (38-40), este reconocimiento es independiente del genotipo, y están presentes en más del 80% de los individuos en fase crónica(18, 41), lo que sugiere su importancia tanto en la detección, control y progresión de la infección por el VHC.
La amplificación molecular del ARN del VHC por PCR es uno de los indicadores más sensibles durante de infección aguda, sin embargo, las pruebas serológicas para la detección de la infección por VHC corresponden a la primera línea de pruebas que se utilizan para el tamizaje y diagnóstico de la infección por VHC, ya que la presencia de anticuerpos en el suero es el reflejo de una infección aguda, crónica o curada (24). La infección crónica, a su vez, puede progresar de manera silente hacia la cirrosis o carcinoma hepatocelular, y la detección de anticuerpos con fines diagnósticos, es una herramienta fundamental para definir estrategias terapéuticas que permitan detener la progresión de la enfermedad en este grupo de pacientes (4, 42). Es por ello que el diseño de herramientas diagnósticas eficientes es indispensable para el manejo de estos pacientes, de ahí la importancia de disponer de herramientas confiables. Los resultados de este estudio validan la aplicación de un nuevo ensayo serológico con una concordancia del 100% con los ELISAS de cuarta generación.
Son necesarios estudios adicionales para determinar con precisión la ventana serológica de esta prueba con respecto a los ensayos tradicionales, así como también la utilidad de nuevos antígenos que pudieran contribuir a la detección más temprana de la exposición al virus, en especial porque la presencia de IgM anti VHC es muy variable y no ha mostrado ser de utilidad para determinar exposición temprana al VHC (43). Finalmente, es necesario ampliar la evaluación hacia otros grupos de individuos tales como los pacientes inmunocomprometidos con el fin de evaluar su desempeño y, de esta manera, proponerlo como una alternativa válida y de utilidad para nuestro país.
REFERENCIAS
1. Choo QL, Kuo G, Weiner AJ, Overby IR, Bradley DW, Houghton M. Isolation of a cDNA clone derived from a blood-borne non-A, non-B viral hepatitis genome. Science 1989; 244: 359-362.
2. WHO Hepatitis C. Fact sheet, updated July 2016.
3. Westbrook RH, Dusheiko G. Natural history of hepatitis C. J Hepatol 2014; 61: S58-S68.
4. Lanini S, Easterbrook PJ, Zumla A, Ippolito G. Hepatitis C: global epidemiology and strategies for control. Clin Microbiol Infect 2016; 22: 833-838.
5. Perz Jf, Alter MJ. The coming wave of HCV-related liver disease: dilemmas and challenges. J Hepatol 2006;44: 441-443.
6. Terrault NA, Dodge JL, Murphy EL, Tavis JE, Kiss A, Levin TR, Gish RG, Busch MP, Reingold al, Alter MJ. Sexual transmission of hepatitis C virus among monogamous heterosexual couples: the HCV partners study. Hepatology 2013; 57: 881-889.
7. Benova L, Mohamoud YA, Calvert C, Abu-Raddad LJ. Vertical transmission of hepatitis C virus: systematic review and meta-analysis. Clin Infect Dis 2014; 59: 765-773.
8 . Luma HN, Eloumou SA, Malongue A, Temfack E, Noah DN, Donfack-sontsa O, Ditah LC. Characteristics of anti-hepatitis C virus antibody-positive patients in a hospital setting in Douala, Cameroon. Int J Infect Dis 2016; 45: 53-58.
9. Abd Elrazek ae, Bilasy SE, Elbanna AE, Elsherif AE. Prior to the oral therapy, what do we know about HCV-4 in Egypt: a randomized survey of prevalence and risks using data mining computed analysis. Medicine 2014; 93: e204.
10. Nyakeriga AM, Fichtenbaum CJ, Goebel J, Nicolaou SA, Conforti I, Chougnet CA. Engagement of the CD4 receptor affects the redistribution of Lck to the immunological synapse in primary T cells: implications for T-cell activation during human immunodeficiency virus type 1 infection. J Virol 2009; 83: 1193-1200.
11. Alvarado-Mora MV, Pinho JR. Epidemiological update of hepatitis B, C and delta in Latin America. Antivir Ther 2013; 18: 429-433.
12. Sulbarán MZ, Montaño I, Sulbarán y, Loureiro CL, Flores CR, Farías Y, Maldonado A, Guillen G, Rangel H, Pujol F. Molecular characterization of hepatitis C virus in patients referred to a reference laboratory of public health, University Hospital “Antonio Patricio de Alcala”, Cumani, Venezuela. Invest Clin 2016; 57: 13-24.
13. Marwaha N, Sachdev S. Current testing strategies for hepatitis C virus infection in blood donors and the way forward. World J Gastroenterol 2014; 20: 2948-2954.
14. Gupta E, Bajpai M, Choudhary A. Hepatitis C virus: Screening, diagnosis, and interpretation of laboratory assays. Asian J Transfus Sci 2014; 8: 19-25.
15. Dondog B, Schnitzler P, Michael KM, Clifford G, Franceschi S, Pawlita M, Waterboer T. Hepatitis C virus seroprevalence in mongolian women assessed by a novel multiplex antibody detection assay. Cancer Epidemiol Biomarkers Prev 2015; 24: 1360-1365.
16. Logvinoff C, Major Me, Oldach D, Heyward S, Talal A, Balfe P, Feinstone SM, Alter H, Rice CM, McKeating JA. Neutralizing antibody response during acute and chronic hepatitis C virus infection. Proc Natl Acad Sci USA 2004; 101: 10149-10154.
17. Nattermann JSA, Leifeld L, Langhans B, Schulz M, Inchauspé G, Matz B, Brackmann HH, Houghton M, sauerbruch T, spengler U. Serum antibodies against the hepatitis C virus E2 protein mediate antibody-dependent cellular cytotoxicity (ADCC). J Hepatol 2005;42: 499-504.
18. Yuki N, Hayashi N, Kasahara A, Hagiwara H, Mita E, Ohkawa K, Katayama K, fusamoto H, Kamada T. Quantitative analysis of antibody to hepatitis C virus envelope 2 glycoprotein in patients with chronic hepatitis C virus infection. Hepatology 1996; 23: 947-952.
19. Dowd KA, Netski DM, Wang XH, Cox al, Ray SC. Selection pressure from neutralizing antibodies drives sequence evolution during acute infection with hepatitis C virus. Gastroenterology 2009; 136: 2377-2386.
20. de Jong YP, Dorner M, Mommersteeg MC, Xiao JW, Balazs AB, Robbins JB, Winer By, Gerges S, Vega K, Labitt RN, Donovan BM, Giang e, Krishnan a, Chiriboga L, Charlton MR, Burton DR, Baltimore D, Law M, Rice CM, Ploss a. Broadly neutralizing antibodies abrogate established hepatitis C virus infection. Sci Transl Med 2014; 6: 254ra129.
21. Shin EC, Sung PS, Park SH. Immune responses and immunopathology in acute and chronic viral hepatitis. Nat Rev Immunol 2016;16: 509-523.
22. Gorzin Z, Gorzin AA, Tabarraei A, Behnampour N, Irani S, Ghaemi a. Immunogenicity evaluation of a DNA vaccine expressing the hepatitis C virus non-structural protein 2 gene in C57BL/6 mice. Iran Biomed J 2014; 18: 1-7.
23. Ré V, Gallego s, Treviño e, Barbás G, Domínguez C, Elbarcha O, Bepre H, Contigiani M. Evaluation of five screening tests licensed in Argentina for detection of hepatitis C virus antibodies. Mem Inst Oswaldo Cruz 2005; 100: 303-307.
24. LI HC, Lo SY. Hepatitis C virus: Virology, diagnosis and treatment. World J Hepatol 2015; 7: 1377-1389.
25. Augustin T, Cehlar O, Skrabana R, Majerova P, Hanes J. Unravelling viral camouflage: approaches to the study and characterization of conformational epitopes. Acta Virol 2015; 59: 103-116.
26. Edwards VC, Tarr AW, Urbanowicz RA, Ball JK. The role of neutralizing antibodies in hepatitis C virus infection. J Gen Virol 2012; 93: 1-19.
27. Bartenschlager R, Lohmann V, Penin F. The molecular and structural basis of advanced antiviral therapy for hepatitis C virus infection. Nat Rev Microbiol 2013; 11: 482-496.
28. YI M, Ma Y, Yates J, Lemon SM. Trans-complementation of an NS2 defect in a late step in hepatitis C virus (HCV) particle assembly and maturation. PLoS Pathog 2009;5: e1000403
29. De la Fuente C, Goodman Z, Rice CM. Genetic and functional characterization of the N-terminal region of the hepatitis C virus NS2 protein. J Virol 2013; 87: 4130-4145.
30. Jirasko V, Montserret R, Lee JY, Gouttenoire J, Moradpour D, Penin f, Bartenschlager R. Structural and functional studies of nonstructural protein 2 of the hepatitis C virus reveal its key role as organizer of virion assembly. PLoS Pathog 2010; 6: e1001233.
31. Zhang ZX, Chen M, Sonnerborg A, Sallberg M. Antigenic structure of the complete nonstructural (NS) 2 and 5 proteins of hepatitis C virus (HCV): anti-HCV NS2 and NS5 antibody reactivities in relation to HCV serotype, presence of HCV RNA, and acute HCV infection. Clin Diagn Lab Immunol 1994; 1: 290-294.
32. Ploss a, Evans MJ. Hepatitis C virus host cell entry. Curr Opin Virol 2012; 2: 14-19.
33. Boisvert M, Zhang W, Elrod eJ, Bernard NF, Villeneuve JP, Bruneau J, Marcotrigiano J, Shoukry NH, Grakoui A. Novel E2 glycoprotein tetramer detects hepatitis c virus-specific memory B cells. J Immunol 2016; 197: 4848-4858.
34. Pestka JM, Zeisel MB, Bläser E, Schürmann P, Bartosch B, Cosset FL, Patel AH, Meisel H, Baumert J, Viazov S, Rispeter K, Blum He, Roggendorf M, Baumert TF. Rapid induction of virus-neutralizing antibodies and viral clearance in a single-source outbreak of hepatitis C. Proc Natl Acad Sci U S A 2007; 104: 6025-6030.
35. Osburn WO, Snider AE, Wells BL, Latanich R, Bailey JR, Thomas DL, Cox AL, Ray SC. Clearance of hepatitis C infection is associated with the early appearance of broad neutralizing antibody responses. Hepatology 2014; 59: 2140-2151.
36. Law M, Maruyama T, Lewis J, Giang E, Tarr AW, Stamataki Z, Gastaminza P, Chisari FV, Jones IM, fox RI, Ball JK, McKeating Ja, Kneteman NM, Burton DR. Broadly neutralizing antibodies protect against hepatitis C virus quasispecies challenge. Nat Med 2008; 14: 25-27.
37. Swann Re, Cowton VM, Robinson MW, Cole SJ, Barclay ST, Mills PR, Thomson EC, Mclauchlan J, Patel AH. Broad anti-hepatitis C virus (HCV) antibody responses are associated with improved clinical disease parameters in chronic HCV infection. J Virol 2016; 90: 4530-4543.
38. Fazlalipour M, Keyvani H, Monavari SH, Mollaie HR. Expression, purification and immunogenic description of a hepatitis C virus recombinant CoreE1E2 protein expressed by yeast pichia pastoris. Jundisha pur J Microbiol 2015;8: e17157.
39. Kania D, Bekalé AM, Nagot N, Mondain AM, Ottomani L, Meda N, Traoré M, Ouédraogo JB, Ducos J, Van de Perre P, Tuaillon e. Combining rapid diagnostic tests and dried blood spot assays for pointof-care testing of human immunodeficiency virus, hepatitis B and hepatitis C infections in Burkina Faso, West Africa. Clin Microbiol Infect 2013;19: E533-E541.
40. Carlos MP, Yamamura Y, Vu Q, Conzen K, Anderson DE, Torres JV. Humoral immunity to immunodominant epitopes of Hepatitis C virus in individuals infected with genotypes 1a or 1b. Clin Immunol 2004; 111: 22-27.
41. Zampino R, Marrone A, Durante Mangoni E, Santarpia L, Sica A, Tripodi MF, Utili R, Ruggiero G, Adinolfi LE. Anti-envelope 1 and 2 immune response in chronic hepatitis C patients: effects of hepatitis B virus co-infection and interferon treatment. J Med Virol 2004; 73: 33-37.
42. Bruno S, Di Marco V, Iavarone M, Roffi L, Crosignani A, Calvaruso V, Aghemo A, Cabibbo G, Viganò M, Boccaccio V, Craxí A, Colombo M, Maisonneuve P. Survival of patients with HCV cirrhosis and sustained virologic response is similar to the general population. J Hepatol 2016; 64: 1217-1223.
43. Kamili s, Drobeniuc J, Araujo AC, Hayden TM. Laboratory diagnostics for hepatitis C virus infection. Clin Infect Dis 2012; 55: S43-S48.
Notas de autor
* Autor de Correspondencia: Siham Salmen Halabi, Instituto de Inmunologia, Universidad de Los Andes. Avenida 16 de Septiembre, Edificio Louis Pasteur, Sector campo de Oro, Mérida 5101, Venezuela. Correo Electronico: salmensiham9@gmail.com. Fax: +58 2742403187.