Reporte de casos
Received: 23 April 2018
Accepted: 27 September 2018
DOI: https://doi.org/10.22209/IC.v59n4a05
Abstract: Dental transmigration is defined as the displacement of a tooth towards the opposite side of the arch with at least the crown having crossed the midline. This rare dental eruption anomaly (prevalence 0.1% to 0.41%) mainly affects the mandibular canines and its etiology is unclear. It is diagnosed by radiography, normally via a panoramic image. The available treatment options respond to the location of the affected tooth within the bone. They include periodic monitoring with radiographs, or, due to its complex nature, corrective measures involving an interdisciplinary team. Seven clinical cases are presented and the paper discussed how the patients’ treatments were influenced by different factors, such as position of the affected tooth, presence of other dental anomalies, and general oral cavity conditions.
Key words: canine tooth, tooth abnormalities, impacted tooth.
Resumen: La transmigración dental se define como el desplazamiento de un diente hacia el lado opuesto del arco con al menos la mitad de su corona cruzando la línea media. Es una anomalía dental de erupción poco frecuente (0,1% al 0,41% de prevalencia), que afecta principalmente a los caninos mandibulares y su etiología en ocasiones no es clara. El diagnóstico es radiográfico, por lo general a través de una ortopantomografía. Respecto a las opciones de tratamiento, estas suelen depender de la localización del diente afectado dentro del hueso. En algunas ocasiones se opta por mantener al paciente en observación y bajo controles radiográficos; en otras, cuando se decide corregirla, usualmente el tratamiento involucra un equipo interdisciplinario para su resolución debido a su complejidad. En este trabajo se presenta una serie de siete casos clínicos y se discute como influyeron factores como: la posición del diente afectado, la presencia de otras anomalías dentales y las condiciones generales de la cavidad oral, en la toma de decisión sobre la opción de tratamiento elegido por parte del paciente.
Palabras clave: canino, anomalías dentales, diente retenido.
INTRODUCTION
A tooth is considered to be in transmigration “when its eruption pattern has been altered and the tooth has been displaced to the opposite side of the arch, with at least half of the crown crossing the midline” (1). Transmigration is an infrequent eruption anomaly that occurs in an estimated 0.1 to 0.41% of patients, depending on the population (1-6). It is generally more frequent in women 1,4 and the mandibular canines are the most affected (1), although it has also been reported in the maxillary canines 5,7.
Patients with transmigrated teeth can also exhibit other associated anomalies, such as supernumerary teeth, agenesis, and impacted teeth (5,7,8). A genetic origin may explain transmigration (5,9), although other causes are known: blockage of eruption routes by supernumeraries or odontomas (2,10); cysts (2,8); anomalies of the lateral incisors (2); and problems of space (premature loss of deciduous teeth, retention of the deciduous canine, crowding or spacing) and abnormal emerging patterns such as ectopic eruption (8).
Transmigration is diagnosed using radiographs, especially panoramics, because some transmigrated teeth can be found quite far from their normal location within the dental arch (2,11,12). Mupparapu (2002) developed a classification for transmigrating mandibular canines based on a review of 127 cases in the literature (4). The classification uses five transmigration patterns. Type 1 is a canine in a mesio-angular position crossing the mandibular midline, be it labial or lingual to the incisors, with the crown crossing the midline. Type 2 is a horizontally impacted canine near the mandible’s inferior margin, but below the incisor apexes. Type 3 is an erupting canine that is mesial or distal to the opposite canine. Type 4 is horizontal impaction of the canine near the mandible’s inferior margin, below the apexes of the opposite premolars or molars. Finally, type 5 is a vertical canine on the midline, but with its axial axis crossing the midline; it is classified at this level independent of its eruption status. Type 1 transmigrations are the most frequent and type 5 the least (4).
Options for treating this dental anomaly include surgical removal, autotransplants, and surgical exposure with orthodontic traction (1,2,13). In many cases, no treatment is applied and the condition is simply monitored with periodic radiographs; however, as with any impacted tooth, there is a risk of cyst development or damage to neighboring structures, such as the roots of adjacent teeth (7,11).
CASE REPORTS
As a further contribution to the diagnosis and treatment of this condition, seven clinical cases are presented, including each patient’s clinical condition and the treatment plan developed for each case. Of the seven patients, four (57.14%) were male and the average age was 17.14 years ± 4.9 (the youngest was 12 years old and the oldest was 25 years old). A total of eight canines were transmigrated (seven mandibular and one maxillary), with four on each side (the maxillary canine was on the left). Of the seven mandibular canines, three were type 1 and four were type 2.
Only three of the eight canines (37.5%) were extracted; the remaining five were monitored. Of the mandibular canines, two of the three type 1 canines (66.67%) were extracted, and one of the four type 2 canines (75%) was extracted. Five of the seven patients (71.42%) exhibited associated dental anomalies, the most frequent being supernumerary teeth (n=3), followed by impaction of other teeth (n=2); one patient had three associated anomalies (Table I).

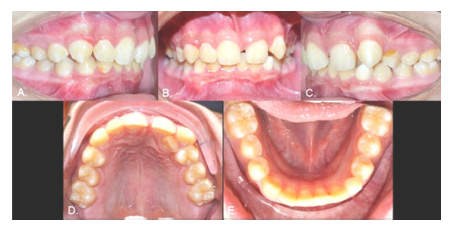
Case 1
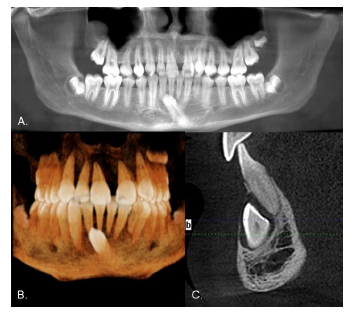
Male, 12 years old. Clinical examination revealed that the inferior left canine was the only primary tooth still present (Fig. 1). The panoramic radiograph showed that the 3.3 was in a type 1 transmigration (Fig. 2A). The cone beam computed tomography (CBCT) showed that the crown of the transmigrated canine was very close to the adjacent incisors’ roots (Figs. 2 B and C). Despite the recommendation for surgical removal or even orthodontic traction, the parents chose not to treat the transmigrated tooth and instead to follow up with periodic radiographs.


Case 2
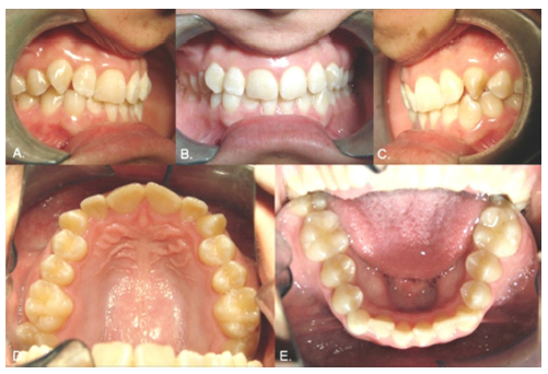
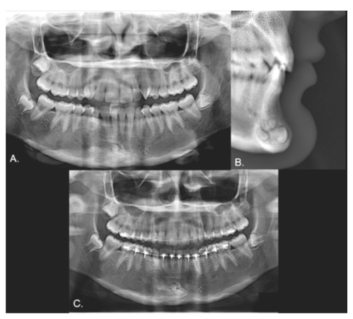
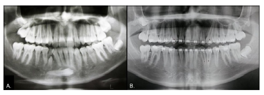
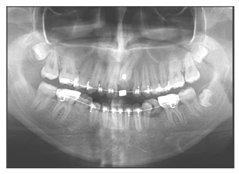
Female, 15 years old. As with Case 1, the inferior left canine was the only primary tooth remaining in the mouth (Fig. 3). The radiograph showed that the 3.3 exhibited a type 2 transmigration (Figs. 4, A and B). The tooth was located closer to the mandible edge than in Case 1, precluding the use of orthodontic traction, and it was decided to monitor the tooth. Dental protrusion was the initial reason for the appointment, and the patient requested orthodontic treatment of this condition. Because the 3.3 was far from the roots of the neighboring teeth, the orthodontist decided there would be no risk in moving teeth in this zone. To correct the protrusion, the first premolars were extracted (except for quadrant 3 since the 3.3 was transmigrated). The 3.3 would not be restored in this treatment since the 3.4 would take its place. The 1-year follow-up panoramic x-ray showed no significant changes (Fig. 4C).


Case 3
Female, 18 years of age. The inferior right primary canine was still present (Fig. 5). Radiography showed that the 4.3 was in type 2 transmigration and showed the presence of at least three supernumerary teeth near the 4.3 (Fig. 6, A and B). The patient was referred to a maxillofacial surgeon to evaluate the possibility of surgical extraction, but the proximity of the 4.3 to the mandible edge made this possibility untenable. As in Case 2, the space between the transmigrated tooth and its neighbors allowed for orthodontic manipulation. The option of opening a space and rehabilitating the transmigrated canine was offered to the patient, who accepted. The 2-year follow-up panoramic x-ray showed no significant changes (Fig. 6C).


Case 4
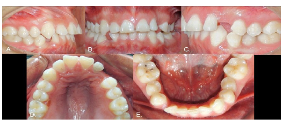
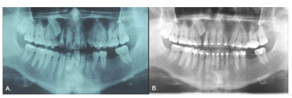
Male, 25 years of age. Both the 2.3 and 4.3 were absent, with corresponding gaps, and the 2.2 was microdontic (Fig. 7). The radiograph showed that both missing teeth were in transmigration (Fig. 8A) and the inferior one was a type 2 transmigration. The patient decided on monitoring for both teeth to allow orthodontic treatment to open the spaces and then restore the errant canines to their places. The 2.5-year follow-up panoramic x-ray showed no significant changes (Fig. 8B).


Case 5
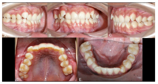
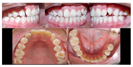
Male, 12 years of age. During clinical examination in preparation for orthodontic treatment, the inferior right primary canine was found to be present (Fig. 9). The radiograph showed the 4.3 to be in type 2 transmigration and that a supernumerary tooth was reabsorbing the root of the previously- mentioned primary canine (Fig. 10A). After the treatment options were explained, the patient decided for surgical removal of the 4.3. A restorative dentist found that the supernumerary tooth had a crown and root sufficiently large to be used in a fixed prosthesis. It could therefore be maintained and treated with prosthetics instead of using a dental implant or bridge. The primary 4.3 was extracted and a space opened for future restoration using orthodontics (Fig. 10B).


Case 6
Male, 22 years of age. This patient was missing various teeth. He requested a treatment evaluation during which the 1.3, 3.3, and 3.6 were found to be absent (Fig. 11). The patient indicated that the 3.6 had been extracted due to dental caries. The radiograph showed that the 1.3 was impacted and that the 3.3 was in type 1 transmigration. In addition, the 2.2 exhibited root resorption of half the root. The distal face was more severe, suggesting that during eruption the 2.3 had damaged the adjacent root (Fig. 12A). Due to the proximity of the 3.3 to the incisor roots, it was suggested that it be removed, to which the patient agreed (Fig. 12B). Orthodontic treatment of the 1.3 was initiated to later surgically expose it and move it into the dental arch.


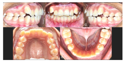
Case 7
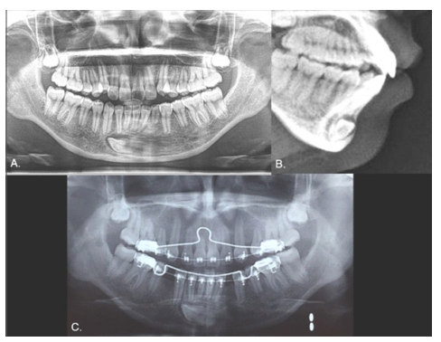
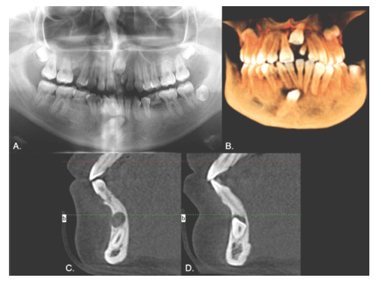
Female, 16 years of age. The 1.5, 2.1, 3.5, 4.3, and 4.5 teeth were missing, and the inferior right primary canine and two primary second molars were still present (Fig. 13). The radiograph showed that the 4.3 was in type 1 transmigration, the 1.5, 3.5, and 4.5 exhibited agenesis, and the 2.1 was impacted and had an associated supernumerary tooth (Fig. 14A). The simultaneous presence of supernumeraries and agenesis is a very rare (0.33%) condition known as concomitant hypo-hyperdontia (14). As in Case 6, the 4.3 was near the roots of neighboring teeth and the CBCT revealed a lesion that extended from the right deciduous canine to the left lateral incisor, almost as if showing the path that the transmigrated canine had followed (Fig. 14, B-D), so it was extracted. The 2.1 was surgically exposed and a post attached to it to allow its movement with orthodontics. The gap for the 1.5 was to be closed using orthodontics, but the spaces for the inferior premolars were to be maintained for later rehabilitation with dental implants (Fig. 15).



DISCUSSION
Dental transmigration is a complex phenomenon with various treatment options. The risks and benefits of each possible treatment need to be evaluated before deciding on which treatment to pursue. Derived from our experience in dealing with these seven cases, Table II displays the advantages and disadvantages of each approach that we recommended to our patients. Of the seven cases reported here, the patients chose either monitoring/observation or extraction; this is similar to the choices made in four previously reported cases (15). None of the patients opted for orthodontic traction, possibly due to its difficulty, risks, and treatment time. This paper recommends investigating if the Mupparapu classification might help in choosing among the treatment options for these patients.
Regarding diagnosis, CBCT is recognized as the best method to evaluate impacted teeth (2). However, there is not a consensus regarding the reasons that would justify CBCT as the first-line tool to evaluate this condition (16) and even less support for using CBCT for transmigrated canines. Some authors claim that the use of CBCT is indicated when: a) conventional radiography does not provide sufficient information (17); b) it is important to have a precise location and a tridimensional position of the impacted canine (16); and c) it is necessary to evaluate the root resorption of adjacent teeth (16-18). Since all the subjects in this report were orthodontic patients, the diagnostic was done with a routine panoramic x-ray; two of them had CBCT scans, which in those cases allowed a better view of the tooth location and assessment of the health condition of adjacent structures, just as the literature review suggests.

In contrast to previous reports (1,4), most of the cases presented here were male patients. The patient age ranged from 12 to 25 years of age, indicating that transmigration is present even in younger patients, even though their teeth have had less time to migrate through the bone and cross the midline.
Transmigrated mandibular canines were present in all seven cases, which coincides with the literature, but a transmigrated maxillary canine was also present. The patient with the affected maxillary canine (Case 4) exhibited inferior transmigration and was the only patient with a double transmigration. Superior canines are rarely (0.2%) involved in transmigration (19), possibly because the space between the oral cavity roof and the nasal cavity floor is less than that in the mandible. Also, the roots of the superior incisors are longer than those of the inferiors, further reducing the available space and making transmigration less likely (5).
Based on the Mupparapu (2002) classification (4), 42.85% of the mandibular canines presented here were type 1 and 57.15% were type 2; this is the inverse of the expected pattern since type 1 transmigration is the most frequent. Even though the present sample was small, it suggests the possibility that the sample population’s ethnicity could have some effect on type frequency. Samples from a much broader range of ethnic groups would be needed to determine if this is the case.
In terms of chosen treatment, most of the type 1 transmigrations presented here were treated by extraction, whereas almost all the type 2s were kept under observation. The fact that the type 2 transmigrated teeth were closer to the mandible edge is the main reason that they were not extracted. Also of note is that none of the transmigrated canines were treated with orthodontics, although many of the patients were treated with orthodontics and/or restoration to resolve the malocclusion caused by the absence of the transmigrated canine. This aspect is important to consider when discussing treatment planning and cost with dental transmigration patients.
Most of the patients (71.42%) exhibited other dental anomalies in addition to transmigrated canines. Supernumeraries were present in three cases: two were associated with the transmigrated teeth and the third was associated with an impacted superior central incisor. Some studies indicate that supernumeraries can block other teeth and cause impaction (3), which could make it one of the etiological causes of transmigration (10). The presence of genetic anomalies, such as microdontia and dental agenesis (20), could support the idea that transmigration has a hereditary component (5,9); Case 7, with three associated anomalies (including concomitant hypohyperdontia), is a clear example of this.
Finally, the seven cases presented here confirm that dental transmigration is a complex condition, the resolution of which demands interdisciplinary analysis because it commonly requires surgical, orthodontic, and/ or dental restoration treatments. Even when the final decision is to monitor the transmigrated tooth, patients still undergo treatment to rehabilitate the missing tooth and often to resolve other associated dental anomalies.
This article does not contain any studies with human or animal subjects performed by the any of the authors.
REFERENCES
1. Aktan AM, Kara S, Akgunlu F, Malkoc S. The incidence of canine transmigration and tooth impaction in a Turkish subpopulation. Eur J Orthod 2010; 32: 575-581.
2. Dalessandri D, Parrini S, Rubiano R, Gallone D, Migliorati M. Impacted and transmigrant mandibular canines incidence, aetiology, and treatment: a systematic review. Eur J Orthod 2017; 39: 161-169.
3. Herrera-Atoche JR, Morales-Diaz SM, Colome-Ruiz GE, Escoffie-Ramirez M, Orellana MF. Prevalence of dental anomalies in a Mexican population. Dent 3000 2014; 2: 1-5.
4. Mupparapu M. Patterns of intra-osseous transmigration and ectopic eruption of mandibular canines: review of literature and report of nine additional cases. Dentomaxillofac Radiol 2002; 31: 355-360.
5. Aydin U, Yilmaz HH, Yildirim D. Incidence of canine impaction and transmigration in a patient population. Dentomaxillofac Radiol 2004; 33: 164-169.
6. Gündüz K, Çelenk P. The incidence of impacted transmigrant canines: a retrospective study. Oral Radiol 2010; 26: 77-81.
7. Shapira Y, Kuftinec MM. Unusual intraosseous transmigration of a palatally impacted canine. Am J Orthod Dentofacial Orthop 2005; 127: 360-363.
8. Camilleri S. Double transmigration and hyperdontia. Angle Orthod 2007; 77: 742-744.
9. Peck S. On the phenomenon of intraosseous migration of nonerupting teeth. Am J Orthod Dentofacial Orthop 1998; 113: 515-517.
10. Taguchi Y, Kurol J, Kobayashi H, Noda T. Eruption disturbances of mandibular permanent canines in Japanese children. Int J Paediatr Dent 2001; 11: 98-102.
11. Tarsariya VM, Jayam C, Parmar YS, Bandlapalli A. Unusual intrabony transmigration of mandibular canine: case series (report of 4 cases). BMJ Case Rep 2015. doi: 10.1136/bcr-2014-205398.
12. Bhullar MK, Aggarwal I, Verma R, Uppal AS. Mandibular canine transmigration: report of three cases and literature review. J Int Soc Prev Community Dent 2017; 7: 8-14.
13. Umashree N, Kumar A, Nagaraj T. Transmigration of mandibular canines. Case Rep Dent 2013. doi: 10.1155/2013/697671.
14. Varela M, Arrieta P, Ventureira C. Non-syndromic concomitant hypodontia and supernumerary teeth in an orthodontic population. Eur J Orthod 2009; 31: 632-637.
15. Aktan AM, Kara S, Akgunlu F, Isman E, Malkoc S. Unusual cases of the transmigrated mandibular canines: report of 4 cases. Eur J Dent 2008; 2: 122-126.
16. Pico CL, do Vale FJ, Caramelo FJ, CorteReal A, Pereira SM. Comparative analysis of impacted upper canines: panoramic radiograph vs cone beam computed tomography. J Clin Exp Dent 2017; 9: e1176-1182.
17. Eslami E, Barkhordar H, Abramovitch K, Kim J, Masoud MI. Cone-beam computed tomography vs conventional radiography in visualization of maxillary impacted-canine localization: A systematic review of comparative studies. Am J Orthod Dentofacial Orthop 2017; 151: 248-258.
18. Bertl MH, Frey C, Bertl K, Giannis K, Gahleitner A, Strbac GD. Impacted and transmigrated mandibular canines: an analysis of 3D radiographic imaging data. Clin Oral Investig. 2018; 22: 2389-2399.
19. Aras MH, Buyukkurt MC, Yolcu U, Ertas U, Dayi E. Transmigrant maxillary canines. Oral Surg Oral Med Oral Pathol Oral Radiol Endod 2008; 105: e48-52.
20. Baccetti T. A controlled study of associated dental anomalies. Angle Orthod 1998; 68: 267-274.
Author notes
Corresponding author: José Rubén Herrera-Atoche, Calle 61-A No. 492-A Costado Sur del Parque de la Paz por Avenida Itzáes, Col. Centro, 97000. Mérida, Yucatán, México. Telephone: +52 999 9240508 Ext. 117. Fax: 52 999 9239253. E-mail: jose.herrera@correo.uady.mx