CÁNCER DIFERENCIADO DE TIROIDES DE TIPO FOLICULAR EN LA INFANCIA Y ADOLESCENCIA. A PROPÓSITO DE UN CASO.
DIFFERENTIATED THYROID CANCER TYPE FOLLICULAR IN CHILDHOOD AND ADOLESCENCE. A CASE REPORT.
CÁNCER DIFERENCIADO DE TIROIDES DE TIPO FOLICULAR EN LA INFANCIA Y ADOLESCENCIA. A PROPÓSITO DE UN CASO.
Revista Venezolana de Endocrinología y Metabolismo, vol. 14, núm. 2, pp. 137-143, 2016
Sociedad Venezolana de Endocrinología y Metabolismo
Recepción: 15 Septiembre 2015
Aprobación: 15 Mayo 2016
Resumen:
Objetivo: Presentación de un caso clínico de carcinoma folicular de tiroides en un adolescente, patología infrecuente en la población pediátrica y revisión de su manejo.
Caso clínico: Paciente masculino de 14 años de edad que consultó por presentar aumento de volumen en región anterior del cuello de rápido crecimiento, 3 meses de evolución, asociado a dolor persistente, disfonía y disfagia. Examen físico: Peso: 65 kg, Talla: 1,68 m, IMC: 23 kg/m2 Macrocefálico. Glándula tiroides aumentada de tamaño: 3x4 cm (3N), a expensas de lóbulo derecho, de consistencia aumentada y superficie lisa. No se palparon adenopatías. El ultrasonido (US) tiroideo reportó nódulo que midió 33 x 33 x 32 mm en el lóbulo derecho. Funcionalmente eutiroideo. El estudio citológico del nódulo mediante PAAF reportó neoplasia folicular. En abril del 2014 se le practicó tiroidectomía total, cuya biopsia reportó carcinoma folicular de tiroides mínimamente invasivo, de 4,7 x 4,6 x 3,8 cm. Esta neoplasia se clasificó como T3N0M0 (St I AJCC 2010 <45años), bajo riesgo de recurrencia (ATA 2009), se administró terapia metabólica con yodo radiactivo (150mCi).
Conclusión: El riesgo de recurrencia estimado concuerda con las características del bajo riesgo, sin embargo se decidió el manejo terapéutico tomando en cuenta el tamaño de la lesión (mayor de 4 cm) y la agresividad que muestra el cáncer diferenciado de tiroides en éste grupo etario, donde se observa con mayor frecuencia multifocalidad, invasión a la cápsula y metástasis a ganglios linfáticos regionales o a distancia, al momento del diagnóstico
Palabras clave: Carcinoma diferenciado de tiroides, niños y adolescentes, folicular, papilar, metástasis.
Abstract:
Objective: To present a case of follicular thyroid carcinoma in an adolescent, uncommon condition in the pediatric population and management review.
Clinical case: Male patient 14 years old who consulted for filing increased volume in anterior neck of rapid growth, 3 months of evolution associated with persistent pain, dysphonia and dysphagia. Physical exam: Weight: 65 kg, Height: 1.68 m, BMI 23 kg/m2. Macrocephalic. Enlarged thyroid gland size: 3x4 cm (3N) at the expense of right lobe, increased consistency and smooth surface. No lymph nodes were palpated. Ultrasound (US) reported thyroid nodule that measured 33 x 33 x 32 mm in the right lobe. Functionally euthyroid. The cytological study of the nodule FNA reported follicular neoplasm. In April 2014 he underwent total thyroidectomy whose biopsy reported minimally invasive follicular thyroid carcinoma, 4.7x 4.6x 3.8 cm. This neoplasm was classified as T3N0M0 (St I AJCC 2010 <45 years), low risk of recurrence (ATA 2009). Metabolic radioiodine therapy (150 mCi) was administered.
Conclusion: The estimated risk of recurrence is consistent with the characteristics of low risk, however the therapeutic management was decided taking into account the size of the lesion (greater than 4 cm) and aggressivity that shows the differentiated thyroid cancer in this group of age where more frequently is observed multifocality, invasion of the capsule and metastasis to regional lymph nodes or distant, at diagnosis.
Keywords: Differentiated thyroid carcinoma, children and adolescents, follicular, papillary, metastasis.
INTRODUCCIÓN
Los carcinomas de la glándula tiroides (CT) son neoplasias muy raras durante las primeras décadas de la vida, con una prevalencia del 4% de todas las neoplasias malignas en niños y adolescentes, y un incremento de nuevos casos del 1,8% en < 20 años reportado en los en Estados Unidos (EUA)1,2. Su incidencia ha venido aumentando especialmente en los adolescentes con edades comprendidas entre 15 y 19 años hasta un 5% según datos del departamento de vigilancia epidemiológica del Instituto Nacional de Cáncer de los EUA para el año 20152. La incidencia de malignidad de nódulos tiroideos diagnosticados en este grupo etario es del 20% al 26%3.
En la población general, la incidencia de CT varía de 0,2 a 5 casos por millón de personas/año, con lo que se convierte en la neoplasia endocrina más frecuente1-3. Entre las diferentes variedades de CT, el carcinoma papilar (CP) es la forma que más se presenta en edad pediátrica (90%)2-4; esporádicamente se observa el carcinoma folicular (CF) (5%), y menos a menudo, los carcinomas medular y anaplásico 1-4.
La etiología de los CT continúa siendo desconocida3, a pesar del establecimiento de factores asociados, como la exposición a radiación ionizante, así como la activación de la vía MAP - kinasa, predominante en el CP5. No obstante por su baja incidencia, los CT en edad pediátrica han suscitado gran interés, debido al incremento del número de niños que han recibido irradiación en cabeza y cuello, así como en mediastino superior por diversas causas, pues la radiación produce rupturas de la doble hebra del ADN, un precursor necesario para los reordenamientos del RET y TRK6; esta puede ser la razón por la cual la radiación se encuentra estrechamente relacionada con el desarrollo de los CP más que con los CF5,6. La etiología del CF está sujeta a los mismos factores que se describen para el carcinoma papilar5,6,7.
A diferencia de los adultos, el CT tiene una presentación más agresiva y en algunas ocasiones se encuentra extensión local (ganglios cervicales) y a distancia (metástasis pulmonares). A pesar de esta presentación clínica, las tasas de supervivencia de estos tumores son muy buenas, cercanas al 95% a los 15 años de seguimiento1-3,7.
Debido a la poca información y experiencias bibliográficas, se hace una revisión completa acerca de la presentación y el manejo del CDT específicamente del CF en la población pediátrica.
CASO CLÍNICO
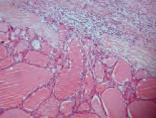
Paciente masculino de 14 años de edad que consultó por presentar aumento de volumen en región anterior del cuello de rápido crecimiento, de 3 meses de evolución, asociado a dolor persistente, disfonía y disfagia. Examen físico: Peso: 65 kg, Talla: 1,68 m, IMC: 23 kg/m2 Macrocefálico. Glándula tiroides aumentada de tamaño: 3x4 cm, tres veces más grande que el tamaño normal aceptado (3N), a expensas de lóbulo derecho, de consistencia aumentada y superficie lisa. No se palparon adenopatías. El ultrasonido (US) tiroideo reportó nódulo que midió 33 x 33 x 32 mm en el lóbulo derecho. Funcionalmente eutiroideo. El estudio citológico del nódulo mediante PAAF reportó neoplasia folicular. En abril del 2014 se le practicó tiroidectomía total, cuya biopsia describe en el estudio histológico una neoplasia compuesta por células foliculares con patrón microfolicular (Figura 1). Las células tumorales eran monomorfas, sin inclusiones ni hendiduras y con baja actividad mitótica. No se reconocieron cuerpos de Psammoma. Se identificó un foco de invasión que penetraba todo el espesor de la capsula. No se identificó invasión vascular ni perineural, concluyendo con la presencia de un Carcinoma Folicular de Tiroides mínimamente invasivo (CFTMI), sin angioinvasión, con reporte inmunohistoquímico que mostró positividad para tiroglobulina, citoqueratina y CD56, y negatividad para P53 con índice del Ki63 <1% (baja actividad mitótica).
La evaluación bioquímica posterior a la cirugía evidenció una TSH de 26,1 IU/ml un valor de tiroglobulina sérica (Tg) de 1,5 ng/ml con anticuerpos AntiTg negativos. El ultrasonido de cuello postoperatorio no mostró alteraciones de sospecha.
Esta neoplasia se concluyó como un CFTMI T3N0M0, estadio I (AJCC 2010 <45años), bajo riesgo de recurrencia (ATA 2009)4 y se decidió administrar terapia metabólica con 150 mCi de yodo radiactivo (RAI), la cual se cumplió previa administración de rhTSH (Thyrogen®), con rastreo corporal total (RCT) post dosis ablativa con evidencia de captación del RAI en región anterior del cuello en relación con tejido tiroideo residual postquirúrgico.
DISCUSIÓN
El CF es una neoplasia maligna derivada de las células foliculares, que constituye menos del 8% de los CT en la edad pediátrica1,2,4. Su nombre proviene de su característica principal: la formación de estructuras foliculares5. Este tipo de CT es más común en regiones donde se observa alta incidencia de bocio endémico1-4, factor de riesgo inicialmente sugerido por Duffy en 19508, actualmente considerado determinante en la patogénesis de esta neoplasia, a diferencia del CP donde el papel de la radiación ionizante tiene un vínculo más claro en la historia natural de la enfermedad9.

Respecto a los datos epidemiológicos, la Asociación Americana de Tiroides (ATA) en su primera guía sobre el manejo de nódulos y cáncer diferenciado de tiroides en niños y adolescentes recientemente publicado9 y Lafranchy7, refieren que el CF tiene una incidencia anual ajustada por edad de 0,5% por millón de habitantes, siendo más frecuente en el sexo masculino, tendencia que discrepa del CP, con un incrementoenadolescentes, pudiendo estar asociado a neoplasias endocrinas múltiples (MEN) y con presentaciones clínicas de inicio tales como: tumoración cervical voluminosa, ganglios cervicales aumentados de tamaño o metástasis pulmonares.
La clínica inicial del caso presentado fue un nódulo tiroideo de gran tamaño, de crecimiento rápido, eufuncionante. Ello concuerda con la forma más frecuente de presentación (nódulo tiroideo único en 80% de los casos)1-3,7,9. Es importante realizar el perfil tiroideo (TSH, T4L y anticuerpos antitiroideos) a fin de descartar alteraciones funcionales y otras comorbilidades, que pueden determinar variaciones en las pautas del manejo7,9,10.
Francis y cols9 y Vali y cols11, en una amplia revisión de múltiples series, valoran que la ecografía es la primera prueba de tamizaje en el estudio del nódulo tiroideo y que se deben considerar como criterios de malignidad: nódulo único hipoecogénico, márgenes irregulares con crecimiento invasivo y micro-calcificaciones que acompañan al nódulo tiroideo entre otros. En nuestro paciente estaban presentes todos los antes mencionados.
El diagnóstico con PAAF no se realiza de forma rutinaria en niños debido a la baja incidencia de nódulos tiroideos aislados12. La PAAF guiada por ecografía permite aumentar la sensibilidad de la prueba13,14.
Recientemente se han desarrollado técnicas no invasivas, como el ultrasonido con elastografía el cual permite evaluar y predecir la malignidad del nódulo con mejor precisión que el ultrasonido convencional. Esta técnica pudiera contribuir cuando se tienen citologías indeterminadas, pero aún no se tienen estudios que permitan demostrar sensibilidad y especificidad en patología nodular tiroidea15. La ATA reporta para la PAAF una sensibilidad y especificidad del 83% y 92% respectivamente en CP, sin embargo su empleo para el diagnóstico de CF no es suficiente, por lo que en general son concluidas por los patólogos como: “atipia de significado incierto”, “lesión folicular”, “neoplasia folicular”, ó “sospechosa para neoplasia folicular”; debiendo realizarse la resección completa de la pieza operatoria para realizar el diagnóstico definitivo9,16.
A nuestro paciente no se le realizó gammagrama porque en la valoración inicial no se observaron síntomas de hipertiroidismo y la TSH no estaba suprimida, conducta concordante con las recomendaciones de la guía de manejo del CDT publicadas en el 2009 por la ATA1, así como en la serie de Cáceres y cols17, donde el uso de la gammagrafía como método diagnóstico en el CDT durante el tamizaje inicial de la patología nodular en las últimas décadas ha disminuido. Para tal fin está indicada la PAAF1-3,7,9,16-20.
El Carcinoma Folicular de Tiroides (CF), se define como un tumor maligno de estirpe epitelial que muestra diferenciación folicular sin las características nucleares clásicas del CP, así mismo su malignidad se relaciona con la invasión vascular y capsular21. El CF está considerado en general más agresivo que el CP, aunque diversos estudios muestran que tienen pronóstico similar1-5,7,9,16,17,22.
Los CF se clasifican en: a) mínimamente invasivos sin invasión vascular, b) mínimamente invasivos con angioinvasión, c) ampliamente invasivos. La constatación de un único foco inequívoco de invasión vascular confirma el diagnostico de angioinvasión. El CF mínimamente invasivo (CFTMI) sin angioinvasión es un tumor que aparece completamente encapsulado y que se caracteriza histológicamente por la penetración microscópica de la capsula del tumor pero sin invasión vascular. La tasa de mortalidad específica varia de 0 al 11% y las recidivas y metástasis se presentan en un porcentaje bajo de pacientes23.
Los estudios de inmunohistoquímica en patología tiroidea tienen mayor utilidad en los casos donde hay que diferenciar un CP variante folicular vs un CF, ya que las células foliculares tiroideas son positivas para tiroglobulina, queratinas de bajo peso molecular, antígeno epitelial de membrana (EMA) y factor de transcripción tiroidea (TTF1)5,6. Algunos autores han sugerido la utilización de CD56 y P63 en este tipo de casos, ya que los carcinomas papilares tiroideos no expresan CD56 (0%), comparados con las neoplasias foliculares, que lo expresan en su totalidad (100%). Asimismo, el P63 se expresa focal y selectivamente hasta en el 70% de los CP, pero en ninguna de las neoplasias foliculares24.
En el estudio inmunohistoquímico de la lesión resecada en éste caso se documentó la positividad para CD56, con negatividad para P63, lo cual apoyó el diagnóstico de CF.
En los estudios moleculares de adultos con CF no es raro encontrar alteraciones del gen Ras (49%), así como rearreglos del gen PAX8-PPAR (36%)5,6,25. En la población pediátrica los eventos genéticos ligados a la patogénesis que dan lugar al CF pueden estar vinculados al síndrome de tumor hamartoma relacionado al PTEN, sobre todo en adolescentes con rasgos de macrocefalia, por lo que debe sospecharse mutación PTEN en dicha población con CF debiendo realizarse determinaciones moleculares para detectar si existe o no mutación de la línea germinal del PTEN9.
Respecto al tratamiento quirúrgico de los pacientes con carcinoma de tiroides, las opciones incluyen: tiroidectomía total (TT), tiroidectomía subtotal (dejando más del 2 % del parénquima tiroideo residual) y lobectomía más itsmectomía.
Las directrices de la ATA 20159 y la experiencia de otros centros1-4,7,17,20,22 manifiestan que la TT con disección selectiva de los ganglios linfáticos (cuando estén afectos) es el tratamiento a seguir dado el aumento de la incidencia de enfermedad multifocal y bilateral en la población pediátrica con CP, sin embargo en CF el diagnóstico oncológico pre quirúrgico no se establece por las características citológicas de la PAAF, ya que serán reportadas como atipias de significado incierto (Bethesda 3) en nódulos de alto riesgo por características ecográficas sospechosas de malignidad (TIRADS 4 y 5) tal como el caso objeto de ésta publicación, pudiéndose practicar lobectomía más itsmectomia9. Sin embargo la ATA en su guía de manejo de CDT en niños recomienda especialmente para CF la práctica de TT si el tamaño tumoral es mayor de 4 cm, a pesar de PAAF con resultados indeterminados tal como ocurrió con nuestro paciente, donde se consideró en consenso con el equipo quirúrgico una conducta más radical en virtud del tamaño tumoral, el crecimiento acelerado asociado a criterios ecográficos sugestivos de malignidad, y la inminente sospecha del diagnóstico de CF, que como ha sido revisado, presenta dificultades para el diagnóstico anatomopatológico requiriendo el apoyo de la inmunohistoquímica y de estudios moleculares5,6,24-26. Del mismo modo, en los casos donde hay ausencia de invasión ganglionar macroscópica se recomienda una disección central, ya que el 75% de estos pacientes presentan metástasis en esta zona25,26. Las complicaciones postquirúrgicas descritas con más frecuencia son: hipoparatiroidismo (4,5-17%); parálisis del nervio recurrente laríngeo (1,3- 6%); Síndrome de Horner (0,4%); infección del sitio operatorio (0,1%)7,12,16,27.
El objetivo del iodo radiactivo (RIA) es destruir focos malignos de enfermedad microscópica y residual28,29, por lo que tradicionalmente desde su introducción en 1946 hasta la guía de manejo de CDT publicada en 2009 por Cooper y cols16 se recomendó su uso después de TT en todos los pacientes, independientemente del riesgo8,17,28,30.
Actualmente, con fines de disminuir los posibles riesgos a largo plazo asociados a la terapia metabólica en pacientes pediátricos Francis y cols5, proponen clasificar y evaluar según el riesgo de recurrencia (bajo, intermedio y alto) a las 12 semanas posterior al tratamiento quirúrgico, y así decidir la indicación de tratamiento ablativo con I131, la cual está reservada para pacientes con riesgo intermedio y alto, los cuales deberán seguirse a largo plazo con Tg estimulada, TSH suprimida y rastreos corporales con I123.
Recomiendan el I123 para rastreos corporales debido a que éste radiofármaco es un emisor gamma puro con una vida media corta (13,22 horas) y con una energía de 159KeV que tiene mayor afinidad con el sistema de detección (gammacámara) por lo que las imágenes obtenidas son de mayor calidad diagnóstica9,27.
Los CF son considerados más agresivos que los CP. Estas neoplasias generalmente se diagnostican en estadios avanzados y poseen menor sobrevida global y libre de enfermedad26,29. En la población pediátrica el CF posee un mejor pronóstico, puesto que la progresión observada en los adultos a formas indiferenciadas es poco vista7,31. Las metástasis a los ganglios linfáticos son poco comunes (10%), cifra mucho menor que la observada en el CP (50%)26, pero las metástasis a distancia son más comunes (30%), al ser comparadas con el CP (15%)29,31. Finalmente, en los CF se han encontrado algunos factores que se asocian a un peor pronóstico, tales como: tumor voluminoso, invasión vascular extensa y extensión extratiroidea31,32.
CONCLUSIONES
El diagnóstico de CF debe realizarse de forma inequívoca, ya que las características histológicas son predictoras del pronóstico. Puede tener diseminación hematógena en la presentación inicial, con metástasis a pulmón o hueso. Cuando se compara con el CP, se encuentran diferencias en cuanto al manejo, por lo que a pesar de ser infrecuente (8% de todos los CT), debe tomarse en cuenta en las pautas de tratamiento la conducción por un equipo multidisciplinario, ya que en pacientes con PAAF indeterminadas (Bethesda 3) un tamaño tumoral mayor de 4cm debe conducir a la realización de una tiroidectomía total, y si el hallazgo histopatológico confirma el diagnóstico de malignidad, debe administrarse terapia metabólica adyuvante con I131. La evaluación de estos casos debe ser complementada con estudios genéticos en busca de mutaciones de la línea germinal del PTEN, en adolescentes con macrocefalia o antecedentes familiares de síndrome de tumor hamartoma.
Referencias
1. Prasad ML, Vyas M, Horne M, Virk R, Morotti R, Liu Z, Tallini G, Nikiforova M, Christison-Lagay E, Udelsman R, Catherine D, Nikiforov Y. NTRK fusion oncogenes in pediatric papillary thyroid carcinoma in Northeast United States. Cancer 2016; 122:1097-1107.
2. Dzodic R, Buta M, Markovic I, Gravilovic D, Matovic M, Djurisic I, Milovanovic Z, Pupic G, Tabic S, Besic N. Surgical management of well-differentiated thyroid carcinoma in children and adolescents: 33 years of experience of a single institution in Serbia. Endocrine J 2014; 61:1079-1086.
3. Breuer C, Tuggle C, Solomom D, Pediatric Thyroid Disease: When is Surgery Necessary, and Who Should be Operating on Our Children? J Clin Res Pediatr Endocrinol 2013, 5:79-85.
4. Szligal DV, Setian N, Passos LD, Lima TM, Manna TD, Kupperman H, Damiani D. Thyroid carcinoma in children and adolescents--review of six cases. J Pediatr Río J 2001; 77:45-48. Disponible en: http://dx.doi.org/10.1590/S0021-75572001000100012.
5. D’Avanzo A, Treseler P, Ituarte PH, Wong M, Streja L, Greenspan FS, Siperstein AE, Duh QY, Clark OH. Follicular thyroid carcinoma: histology and prognosis. Cancer 2004; 100:1123-1129.
6. Decaussin-Petruci M, Deladoey J, Hafdi-Nejari Z, Sassolas G, Borson-Chazot F, Abu-Khudir R, Fusco A, Descotes F, Cournoyer S, Sartelet H. Expression of CD133 in differentiated thyroid cáncer of young patients.J Clin Pathol 2015; 68:434-440.
7. LaFranchi SH. Inaugural Management Guidelines for Children with Thyroid Nodules and Differentiated Thyroid Cancer: Children are not small adults.Thyroid 2015; 25:713-715.
8. Duffy BJ Jr, Fitzgerald PJ. Thyroid cancer in childhood and adolescence; a report on 28 cases. Cancer 1950; 3:1018-1032.
9. Francis GL, Waguespack SG, Buer AJ, Angelos P, Benvenga S, Cerutti JM, Dinaver CA, Hamilton J, Hay ID, Luster M, Parisi MT, Rachmiel M, Thompson GB and Yamashita S. Management guidelines for children with thyroid nodules and differentiated thyroid cancer. Thyroid 2015; 7:716-759.
10. Monte O, Calliari LE, Kochi C, Scalisse NM, Marone M, Longui CA. [Thyroid carcinoma in children and adolescents]. Arq Bras Endocrinol Metabol 2007; 51:763-768. Portuguese.
11. Vali R, Rachmiel M, Hamilton J, El Zein M, Waserman J, Conostantini DL, Charron M, Daneman A. The role of ultrasound in the follow-up of children with differentiated thyroid cancer. Pediatr Radiol 2015; 45:1039-1045.
12. Lo CY Chan WF, Lam KY, Wan KY. Follicular thyroid carcinoma: the role of histology and staging systems in predicting survival. Ann Surg 2005; 242:708-715.
13. Roach JC, Heller KS, Dubmer S, Sznyter LA. The Value of Frozen Section Examinations in determining the extent of thyroid surgery in patients with indeterminate fine-needle aspiration cytology. Arch Otolaryngol Head Neck Surg 2002; 128:263-267.
14. Chang SH, Joo M, Kim H. Fine needle aspiration biopsy of thyroid nodules in children and adolescents. J Korean Med Sci 2006; 21:469-473.
15. Mehrmohammadi M, Song P, Meixner D, Fazzio R, Chen S, Greenleaf JF, Fatemi M, Alizad A. Comb-Push Ultrasound Shear Elastography (CUSE) for Evaluation of Thyroid Nodules: Preliminary In Vivo Results. IEEE Trans Med Imaging 2015; 34:94-106.
16. Cooper DS, Doherty GM, Haugen BR, Kloos RT, Lee SL, Mandel SL. Revised American Thyroid Association management guidelines for patients with thyroid nodules and differentiated thyroid cancer. Thyroid 2009; 19:1167-1214.
17. Cáceres F, Vancells M, Cruz O, Laguna A, Perez N, Montaner A, Lerena J, Morales L, Ribó JM.Carcinoma de tiroides en pediatria:seguimiento a 30 años. Cir Pediatr 2010; 23:229-235.
18. Collini P, Massimino M, Fagundes S, et al. Papillary Thyroid Carcinoma of Childhood and Adolescence: A 30-years’ Experience at the Istituto Nazionale Tumori in Milan. Pediatr Blood Cancer 2006; 46:300-306.
19. Demidchik Y, Demidchik E, Reiners C, et al. Comprehensive clinical assessment of 740 cases of surgically treated thyroid cancer in children of Belarus. Ann Surg 2006; 243: 525-532.
20. Wang L, Xiang M, Ye B, Hu H, Shen C, Ma Y, Jiao Y, Wu H. Differentiated thyroid cancer in children: a series of 29 cases. Zhonghua Er Bi Yan Hou Tou Jing Wai Ke Za Zhi 2015; 50:573-578.
21. Goldstein NS, Czako P, Neill JS. Metastatic minimally invasive (encapsulated) follicular and Hurthle cell thyroid carcinoma: a study of 34 patients. Mod Pathol 2000; 13:123-130.
22. Enomoto Y, Enomoto K, Uchino S, Shibuya S, Watanabe S, Noguchi S. Clinical Features, Treatment, and Long- Term Outcome of Papillary Thyroid Cancer in Children and Adolescents Without Radiation Exposure. World J Surg 2012; 36:1241–1246.
23. Diez JJ, Oleaga A, Alvarez C, Martin T, Galofré JC. Guia clinica para el manejo de pacientes con carcinoma diferenciado de tiroides de bajo riesgo. Endocrinol Nutr 2015; 62:57-72.
24. El Demellawy D, Nasr A, Alowami S. Application of CD56, P63 and CK19 immunohistochemistry in the diagnosis of papillary carcinoma of the thyroid. Diagn Pathol 2008; 3:5.
25. Di Cristofaro J, Silvy M, Lanteaume A, Marcy M, Carayon P, De Micco C. Expression of tpo mRNA in thyroid tumors: quantitative PCR analysis and correlation with alterations of ret, Braf , ras and pax8 genes. Endocr Relat Cancer 2006; 13:485-495.
26. Pacini F, Schlumberger M, Dralle H, Elisei R, Smit JW, Wiersinga W, et al. European consensus for the management of patients with differentiated thyroid carcinoma of the follicular epithelium. Eur J Endocrinol 2006; 154:787-803.
27. Tracy ET, Roman SA. Current management of pediatric thyroid disease and differentiated thyroid cáncer. Oncology 2016; 28:37-42.
28. Wartofsky L, Sherman SI, Gopal J, Schlumberger M, Hay ID. Therapeutic controversy: the use of radioactive iodine in patients with papillary and follicular thyroid cancer. J Clin Endocrinol Metab 1998; 83:4195-203.
29. Goldfard M, Sener S. Comparison of radioiodine utilization in adolescent and young adult and older thyroid cancer patients. Endocr Pract 2014; 20:405-411.
30. Haymart MR, Muenz DG, Steward AK, Griggs JJ, Benerge M. Disease Severity and Radioactive Iodine Use forThyroid Cancer. J Clin Endocrinol Metab 2013; 98:678-686.
31. Diez JJ, Oleaga A, Alvarez C, Martin T, Galofré JC. Guia clinica para el manejo de pacientes con carcinoma diferenciado de tiroides de bajo riesgo. Endocrinol Nutr 2015; 62:57-72.
32. Park S, Jeong JS, Ryu HR, Lee CR, Park JH, Kang SW, Jeong JJ, Nam KH, Chung WY an Park CL. Differentiated thyroid carcinoma of children and adolescents: 27-Year Experience in the Yonsei University Health System. J Korean Med Sci 2013; 28: 693-669. Disponible en: http://dx.doi.org/10.3346/jkms.2013.28.5.6.
Notas de autor
docrahem87unefm@gmail.com