Caso clínico
PARAGANGLIOMA TIROIDEO: REVISIÓN CLÍNICO-PATOLÓGICA. A PROPÓSITO DE UN CASO
THYROID PARAGANGLIOMA: CLINICAL-PATHOLOGICAL REVIEW. ABOUT A CASE.
PARAGANGLIOMA TIROIDEO: REVISIÓN CLÍNICO-PATOLÓGICA. A PROPÓSITO DE UN CASO
Revista Venezolana de Endocrinología y Metabolismo, vol. 16, núm. 1, pp. 47-52, 2018
Sociedad Venezolana de Endocrinología y Metabolismo
Recepción: 15 Noviembre 2017
Aprobación: 15 Enero 2018
Resumen:
Objetivo: Presentar el caso de una paciente con un paraganglioma tiroideo, tumor neuroendocrino muy raro que puede ser confundido con lesiones epiteliales, especialmente con carcinoma medular de tiroides.
Caso Clínico: Paciente femenina de 68 años de edad quien fue sometida a lobectomía tiroidea derecha a la edad de 59 años por un nódulo benigno y quien ahora acude por presentar una masa cervical derecha en el sitio del lóbulo tiroideo operado; en vista de crecimiento progresivo de la lesión es reintervenida. Tanto el patrón histológico como inmunohistoquímico fueron consistentes con un paraganglioma.
Conclusión: El manejo de esta enfermedad es poco practicado debido a su baja incidencia; el estudio inmunohistoquímico es esencial para el diagnóstico.
Palabras clave: Tumor tiroideo, paraganglioma de tiroides, paraganglioma cervical.
Abstract:
Objective: To present the case of a patient with a thyroid paraganglioma, very rare neuroendocrine tumor that can be confused with epithelial lesions, especially with medullary thyroid carcinoma.
Clinical case: We report the case of a 68 years old woman who underwent right hemithyroidectomy for a benign lesion at the age of 59 years. She came back with a right cervical enlargement in the same site. Because of progressive growth of the lesion the patient was reoperated. Both, the histologic pattern of the lesion and immunohistochemistry studies were consistent with paraganglioma.
Conclusion: The management of this disease is little known due to its low incidence. Immunohistochemistry study is essential for the diagnosis.
Keywords: Thyroid tumors, thyroid paraganglioma, cervical paraganglioma.
INTRODUCCIÓN
Los paragangliomas son neoplasias que se originan de las células neuroendocrinas que constituyen los ganglios del sistema nervioso autonómico. Por tanto, su ubicación anatómica puede variar desde la base del cráneo hasta el suelo de la pelvis. La incidencia de paragangliomas en cabeza y cuello oscila entre 1 y 3%, representando 0,012% de todos los tumores de esta región1,2,3,4.
En el glomus carotídeo, yugular, vagal, yugulotimpánico, laríngeo y orbitario están los ganglios que dan origen a los parangangliomas localizados en cabeza y cuello1,2,3,4. Se han descrito otras ubicaciones poco frecuentes, como en la glándula tiroides, siendo confundidos con nódulos tiroideos al examen clínico y ecográfico, lo cual conlleva a un manejo erróneo de esta patología1,2,5.
El paraganglioma primario tiroideo es extremadamente infrecuente. Hasta el año 2013 se habían reportado en la bibliografía 35 casos6,7,8,9,10. Registros más recientes publican una incidencia de 0,01% de todas las neoplasias tiroideas diagnosticadas anualmente en USA4. Se ha propuesto que se originan en el ganglio nervioso del nervio laríngeo recurrente, que se encuentra en estrecha relación con la cápsula tiroidea, por lo que al crecer se puede presentar como un nódulo intratiroideo.
Se expone un caso de paraganglioma único, esporádico y no funcionante con la inusual localización en el área adyacente al nervio laríngeo recurrente derecho en un paciente previamente sometido a lobectomía derecha. La intención es resaltar las características histopatológicas e inmohistoquímicas de la enfermedad, exhortando a su sospecha como diagnóstico diferencial en los casos donde las características histológicas sean poco compatibles con neoplasias tiroideas comunes.
CASO CLÍNICO
Paciente femenino de 68 años de edad quien acude a consulta, referida por endocrinólogo, debido a presentar desde hace 1 año tumoración en la región cervical anterior con una tasa de crecimiento mayor al 20% según seguimiento clínico y ecográfico semestral. Antecedente de hipotiroidismo controlado en tratamiento con levotiroxina 100 µg/día, tiroiditis de Hashimoto y nódulo tiroideo en lóbulo derecho con histología de hiperplasia folicular, el cual ameritó lobectomía derecha, cirugía realizada en otra institución 9 años previos a su enfermedad actual. Niega exposición a radiación y sus antecedentes familiares fueron sin importancia. Al examen físico se evidencia una masa sólida, bien delimitada, no dolorosa que se localiza en la región anterior del cuello, correspondiente al área del lóbulo tiroideo derecho y que crece hacia el área pretraqueal. No se palparon adenomegalias ni se evidenció alteración en la fonación.
La evaluación ecográfica concluye la presencia de un nódulo en el lecho tiroideo derecho con las siguientes características: heterogéneo, hipoecoico, de bordes bien definidos y dimensiones de 23 x 16 mm (figura 1) sin microcalcificaciones, flujo doppler periférico positivo y ausencia de adenomegalias cervicales (figura 2).
Se practica punción aspiración con aguja fina (PAAF) dirigida por eco, cuyo estudio citológico reporta material insuficiente para evaluación en dos oportunidades. En vista del crecimiento acelerado del nódulo, evidenciado en el seguimiento ecográfico semestral, y otras características de sospecha ya mencionadas, se decide practicar extracción del tumor con biopsia peroperatoria. De los hallazgos intraoperatorios resalta la presencia de un nódulo de aspecto macroscópico sugestivo de tejido tiroideo de 25 x 15 mm paratraqueal derecho en íntima relación con el nervio laríngeo recurrente derecho. El resultado de la biopsia peroperatoria fue diferido.
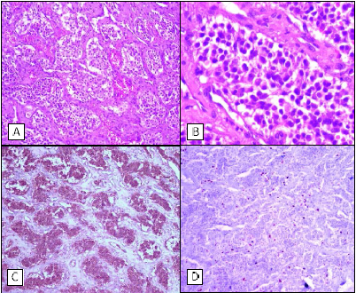
Histopatológicamente se observó una neoplasia de patrón organoide en el cual las células se distribuyen en nidos separados por tabiques de tejido conectivo con abundantes vasos capilares. Las células tienen límites citoplasmáticos poco definidos, el citoplasma es amplio, eosinófilo, granular y algunas células presentan citoplasma ligeramente basofílico. Los núcleos son hipercromáticos, redondos y pleomórficos, algunas células presentan multinucleación. No se observaron mitosis típicas ni atípicas. No se evidenció tejido tiroideo remanente. El estudio inmunohistoquímico resultó negativo para TTF-1, citoqueratina AE1/AE3 (CK AE1/AE3) y antígeno carcinoembrionario (CEA). Fueron positivos cromogranina A, sinaptofisina en células neoplásicas y proteína S100 en células sustentaculares (figura 3) Todos estos hallazgos morfológicos e inmunohistoquímicos corresponden a paraganglioma.



En el seguimiento postoperatorio se realizan las evaluaciones clínicas pertinentes, siendo negativa la determinación de catecolaminas en orina y la presencia de masas sospechosas en la tomografía contrastada de tórax, abdomen y pelvis. No se realizaron pruebas de cribado familiar, sin embargo al interrogatorio no hay datos de sospecha para enfermedad hereditaria. En base a esto se concluye el diagnóstico de paraganglioma único, esporádico y no funcionante..
DISCUSIÓN
El Paraganglioma primario de tiroides es un tumor neuroendocrino infrecuente. Este es el primer caso documentado en nuestra experiencia y la poca casuística disponible en la literatura universal, confirman la rareza de la enfermedad.
La mayoría de los casos reportados son en adultos, con rango de edades entre 25 y 78 años, y una media que varía de 47 a 50 años según la serie. El sexo femenino es el más afectado con una relación de 5,3:1 con respecto al masculino9. Clínicamente la mayoría de los pacientes presentan una masa asintomática y única en la región cervical. Se ha descrito que 14% de los pacientes cursan con tumores múltiples localizados en el cuerpo carotídeo y/o en el ganglio vagal, por lo que es importante investigar enfermedad múltiple en todos los casos3,11,12,13,14.
No existen reportes de casos diagnosticados por estudios de imágenes. El ultrasonido con efecto doppler reporta una lesión nodular, sólida, hipoecoica, bien delimitada de tamaño variable e hipervascularizada, características que lo hacen indistinguible de las neoplasias tiroideas comunes. El CT-PET, TAC y gammagrafía tiroidea no son estudios de rutina, y sus hallazgos tampoco permiten distinguirles de otras neoplasias tiroideas15,16.
Debido a que el paraganglioma tiroideo es una neoplasia muy infrecuente clínicamente no se sospecha y el diagnóstico es realizado por el espécimen de resección del tumor4. La PAAF no suele ser de utilidad diagnóstica ya que es frecuentemente confundido con carcinoma medular de tiroides17.
Los hallazgos intraoperatorios coinciden con un nódulo inmerso en el parénquima tiroideo o adyacente al mismo bajo la cápsula tiroidea. Debido a la naturaleza benigna de estas lesiones la lobectomía es el tratamiento de elección18,19. La biopsia peroperatoria es un recurso frecuentemente empleado, sin embargo los artículos de revisión informan de 22 casos de paragangliomas con biopsia por corte congelado donde sólo 1 del total de los casos propuso el diagnóstico intraoperatorio de paraganglioma, siendo el resto de los casos con diagnóstico diferido5, similar a nuestro caso.
Histológicamente el tumor está rodeado por una fina cápsula fibrosa. Está formado por dos tipos de células: las principales y las células sustentaculares3. Las células principales del paraganglioma tiroideo, al igual que otros parangangliomas de otras localizaciones, expresan inmunomarcaje positivo para cromogranina A, sinaptofisina, enolasa neural específica y son negativos para citoqueratinas, hormona paratiroidea, calcitonina y CEA. Las células sustentaculares expresan proteína ácido gliofibrilar y proteína S1003.
Los diagnósticos diferenciales incluyen neoplasias foliculares, carcinoma renal de células claras metastásico, tumor neuroendocrino metastásico, carcinoma medular de tiroides, tumor trabecular hialinizante y proliferación paratiroidea intratiroidea3,17. Las características histológicas de las neoplasias foliculares son distintas al paraganglioma, las células foliculares se disponen en folículos, trabéculas, sólidos, microfolículos y otros patrones histológicos. Además, son positivas para el inmunomarcaje de tiroglobulina, TTF-1 y citoqueratinas de bajo peso molecular3.
El carcinoma renal de células claras es uno de los tumores que con mayor frecuencia hacen metástasis en la glándula tiroides. La información clínica y estudios de imagen son útiles para precisar la presencia de un tumor renal. Histológicamente son células de amplio citoplasma claro y núcleos redondos con nucléolos, en patrón sólido, alveolar y acinar, con trama vascular delgada. Estos tumores son negativos para marcadores tiroideos, marcadores neuroendocrinos y expresan citoqueratina, CD10 y vimentina3.
Los carcinomas neuroendocrinos metastásicos tienen una histología similar pero el tipo de crecimiento es invasivo, son multifocales, presentan formación de rosetas y son positivos para CEA3.
El tumor hialinizante trabecular, también llamado adenoma hialinizante trabecular y adenoma tipo paraganglioma de tiroides, es una neoplasia originada de las células foliculares que tiene un patrón trabecular con abundantes capilares que asemeja a neoplasias neuroendocrinas. Sin embargo, las células son de citoplasma eosinófilo claro con nucléolos y están dispuestas en islas separadas por tabiques de material hialino. Esta neoplasia es positiva para los marcadores tiroideos y clásicamente negativa para marcadores neuroendocrinos3. Se han descrito adenomas tipo paraganglioma de tiroides con cromogranina A y enolasa neuronal específica positivas, en cuyos casos el diagnóstico diferencial es más difícil4.
Existe una variante tipo paraganglioma del carcinoma medular de tiroides en cuyo caso es importante realizar el diagnóstico diferencial. Histológicamente las células son poligonales, de bordes citoplasmáticos bien definidos, citoplasma eosinófilo finamente granular y núcleos redondos a ovales; se distribuyen en trabéculas o nidos separadas de finos vasos capilares. El carcinoma medular de tiroides presenta inmunomarcaje positivo fuerte para citoqueratinas, calcitonina, cromogranina, sinaptofisina y CEA, y es negativo para tiroglobulina y TTF-1. Los paragangliomas son negativos para citoqueratinas, TTF-1, calcitonina y CEA3. Además muestran positividad para s100 en las células sustentaculares4.
La proliferación paratiroidea intratiroidea es positivo para citoqueratina AE1/AE3, hormona paratiroidea y cromogranina A; y es negativo para tiroglobulina y calcitonina3.
Los criterios de malignidad son los mismos aplicados en paragangliomas de otras localizaciones. En estos casos suelen metastizar a ganglios linfáticos regionales, así como a pulmón, hígado, hueso y piel. Existen paragangliomas primarios de pulmón y de piel, que pueden presentarse como múltiples tumores sin considerarse enfermedad metastásica, debido a su buen pronóstico. Sin embargo, el comportamiento biológico impredecible de algunos casos justifica que se realice seguimiento clínico prolongado3,4.
En el seguimiento de estos casos está descrito que el 14% cursa con tumores múltiples por lo cual se deben realizar el rastreo corporal con meta-yodo-bencilguanidina o la TAC cervico-abdomino-pélvica. Es necesaria la determinación repetida de metanefrinas y catecolaminas fraccionadas en el volumen de orina acidificada y recolectada en 24 horas para confirmar la posible producción hormonal8.
El 30% de los paragangliomas cervicales son hereditarios por lo cual realizar pruebas de cribado familiar son bien justificadas en todos los casos12. La alteración genética más relacionada con el desarrollo de paragangliomas cervicales es la mutación de los genes SDHA, SDHC los cuales codifican para la síntesis de la enzima Succinato Deshidrogenasa. También deben realizarse estudios genéticos para las enfermedades de Von Hippel-Lindau y Neurofibromatosis tipo 19.
CONCLUSIÓN.
El paraganglioma tiroideo es un tumor infrecuente, por lo cual su sospecha clínica es baja. Los métodos utilizados de rutina para el estudio de masas cervicales son poco efectivos para su diagnóstico siendo la inmunohistoquímica indispensable en todos los casos. La cirugía es el tratamiento de elección.
REFERENCIAS BIBLIOGRÁFICAS
1. Kliwer KE, Wen DR, Cancilla PA, Cochran AJ. Paragangliomas: assessment of prognostic by histologic, immunohistochemical and ultrastructural techniques. Hum Pathol 1989;20:29-39.
2. Aydoğan Bİ, Dizbay Sak S, Güllü S. Cervical paraganglioma mimicking thyroid nodule: A rare clinical case. Case Rep Endocrinol 2016;2016:1-3.
3. Lee S, Policarpio-Nicolas M. Tryroid paraganglioma. Arch Pathol Lab Med [Internet]. 2015 [Consulta 24 agosto 2017];139:1062-1067.
4. Feghaly J, Astras G, Loizou M, Panayiotou G, Mooradian A. Primary paraganglioma of the thyroid gland: clinical and immunohistological analysis with review of literature. Euro Med J [Internet]. 2016 [Consulta 26 agosto 2017];1:101-106.
5. Ferri E, Manconi R, Armato E, Ianniello F. Primary paraganglioma of thyroid gland: a clinic pathologic and inmunohistoquemical study with review of the literature. Acta Otorhinolaryngol Ital 2009;92:97-102.
6. Van Miert PJ. The treatment of chemodectomas by radiotherapy. Proc R Soc Med 1964;57:946-951.
7. Yano Y, Nagahama M, Sugino K, ItoKu, Kameyama K, ItoKo. Paraganglioma of the thyroid: report of a male case with ultrasonographic imagings, cytologic, histologic and immunohistochemical features. Thyroid 2007;17:575-578.
8. Tiong HY, White SA, Roop L, Furness PN, Nicholson ML. Paraganglioma-an unusual solitary nodule of the thyroid. Eur J Surg Oncol 2000;26:720-721
9. Yu BH, Sheng WQ, Wang J. Primary paraganglioma of thyroid gland: A clinicopathologic and Immnohistochenmical analysis of three cases with review of literature. Head Neck Pathol 2013;7:373-380.
10. Kronz JD, Argani P, Udelsman R, Silverberg L, Westra WH. Paraganglioma of the thyroid: two cases that clarify and expand the clinical spectrum. Head Neck 2000;22:621-625.
11. Cayot F, Bastien H, Justrabo E, Mottot C, Cuisenier J, Bruchon Y, Cabanne F. Multiple paragangliomas of the neck localized in the thyroid region. Papillary thyroid cancer associated with parathyroid adenoma. Sem Hop 1982;58:2004-2007.
12. Haegert DG, Wang NS, Farrer PA, Seemayer TA, Thelmo W. Non-chromaffin paragangliomatosis manifesting as a cold thyroid nodule. Am J Clin Pathol 1974;61:561-570.
13. Hughes JH, El-Mofty S, Sessions D, Liapis H. Primary intrathyroidal paraganglioma with metachronous carotid body tumor: report of a case and review of the literature. Pathol Res Pract 1997;193:791-796.
14. Napolitano L, Francomano F, Angelucci D, Napolitano AM. Thyroid paraganglioma: report of a case and review of the literature. Ann Ital Chir 2000;71:511-514
15. Schmit GD, Gorman B, van Heerden JA, Gharib H. Inferior laryngeal paraganglioma mimicking a primary thyroid tumor. Endocr Pract 2006;12:432-435.
16. Foppiani L, Marugo A, Del Monte P, Sartini G, Bandelloni R, Marugo M, Bernasconi D. Thyroid paraganglioma manifesting as hot toxic nodule. J Endocrinol Invest 2005;28:479-480
17. Imge B,.Dizbay S., Güllü S. Cervical paraganglioma mimicking thyroid nodule: A rare clinical case. Case Rep Endocrinol [Internet]. 2016 [Consulta 30 agosto 2017]; 2016:1-3.
18. De Vries EJ, Watson CG. Paraganglioma of the thyroid. Head Neck 1989;11:462-465.
19. LaGuette J, Matias-Guiu X, Rosai J. Thyroid paraganglioma: A clinicopathologic and immunohistochemical study of three cases. Am J Surg Pathol 1997;2:748-753.
Notas de autor