Caso Clínico
QUISTE BRANQUIAL COMO PRIMERA MANIFESTACIÓN DE CARCINOMA PAPILAR DE TIROIDES
BRANCHIAL CLEFT CYST AS FIRST MANIFESTATION OF PAPILLAR CARCINOMA
QUISTE BRANQUIAL COMO PRIMERA MANIFESTACIÓN DE CARCINOMA PAPILAR DE TIROIDES
Revista Venezolana de Endocrinología y Metabolismo, vol. 16, núm. 2, pp. 123-128, 2018
Sociedad Venezolana de Endocrinología y Metabolismo
Recepción: 01 Enero 2018
Aprobación: 01 Mayo 2018
Resumen:
Objetivo: Los quistes branquiales son la principal causa de masa quística lateral del cuello en el adulto joven; se presenta el manejo de esta patología que puede llegar a ser el debut de un carcinoma papilar de tiroides.
Caso clínico: Paciente femenina de 20 años de edad que consulta por tumoración laterocervical derecha de 2 cm de diámetro de un año de evolución. Se realiza exéresis de la lesión siendo el resultado anatomopatológico compatible con carcinoma papilar tiroideo ectópico en quiste branquial. Se realizó tiroidectomía total con vaciamiento ganglionar cervical funcional de los compartimentos VI bilateral y IIb, III, IV y Vb derechos. Se realizó biopsia extemporánea del compartimento III izquierdo para estadificar, la cual descartó malignidad. El estudio anatomopatológico de la pieza extirpada reveló carcinoma papilar de tiroides clásico en dos focos de 0,5 y 0,6 cm de eje máximo a nivel del lóbulo derecho con signos de invasión vascular y metástasis en 9 de los 18 ganglios de la cadena yugular interna derecha y en 1 de 3 de la cadena recurrencial. Recibió dosis ablativa con I131. Durante el postoperatorio se observó recidiva en una adenopatía del compartimento Va que requirió reintervención quirúrgica para completar el vaciamiento. Actualmente la paciente se encuentra en seguimiento, libre de enfermedad.
Conclusiones: A pesar de que resulta poco frecuente la aparición de un quiste branquial como primera manifestación de un carcinoma papilar de tiroides, se debe considerar esa posibilidad y llevar a cabo un adecuado diagnóstico diferencial.
Palabras clave: Quiste branquial, carcinoma papilar, microcarcinoma, metástasis ganglionar cervical.
Abstract:
Objective: Branchial cysts are the main cause of lateral neck cystic mass in young adults; the management of this pathology that may become the debut of a papillary thyroid carcinoma is presented.
Clinical case: A 20-year-old female patient consulted for a right laterocervical tumor with a diameter of 2 cm, of a year of evolution. The lesion was excised and the anatomopathological result was compatible with ectopic papillary thyroid carcinoma in the branchial cyst. Total thyroidectomy was performed with functional cervical lymph node dissection of the bilateral VI and right IIb, III, IV and Vb compartments. An extemporaneous biopsy of the left III compartment was performed for staging, which ruled out malignancy. The anatomopathological study of the excised piece revealed the presence of classical thyroid papillary carcinoma in two foci of 0.5 and 0.6 cm of maximum axis in the right thyroid lobe, with signs of vascular invasion and metastasis in 9 of the 18 nodes of the right internal jugular chain and in 1 of 3 of the recurrent chain. An ablative dose with 131I was indicated. During the postoperative period, recurrence was observed in an adenopathy of the Va compartment that required surgical reoperation to complete the lymphadenectomy. Currently the patient is in follow-up, free of disease.
Conclusions: Although the appearance of a branchial cyst as the first manifestation of a papillary thyroid carcinoma is rare, this possibility must be considered and an adequate differential diagnosis must be carried out.
Keywords: branchial cyst, papillary carcinoma, microcarcinoma, cervical lymph node metastasis.
INTRODUCCIÓN
Los quistes branquiales son una anomalía congénita que se puede encontrar en el adulto joven, principalmente entre la 2ª y la 3ª década de la vida1. La forma más frecuente de presentación es la de una masa indolora de crecimiento lento en el compartimento lateral del cuello, que habitualmente suele resultar benigna2. Es importante diferenciarlos en su diagnóstico de otras posibles causas de masa lateral en el cuello, tales como lipomas, quistes epidermoides, linfangiomas, linfadenitis e incluso metástasis de carcinoma papilar de tiroides3.
CASO CLÍNICO
Se presenta el caso de una paciente de 20 años de edad que consultó por tumoración laterocervical derecha de 2 cm de diámetro de un año de evolución, que fue aumentando progresivamente de tamaño. Se trataba de una masa móvil e indolora que no se asociaba con ningún tipo de sintomatología sistémica. La paciente fue valorada e intervenida quirúrgicamente por otorrinolaringología (ORL) llevándose a cabo la exéresis de la masa que se remitió a estudio. El resultado de anatomía patológica fue compatible con carcinoma papilar tiroideo ectópico en quiste branquial.
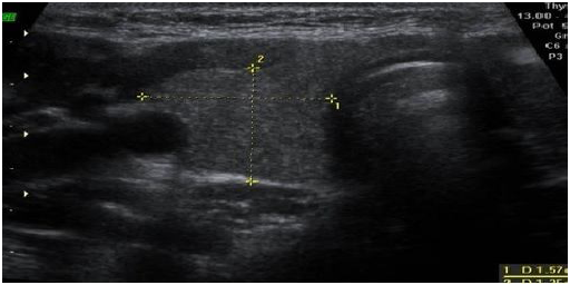
Se completó estudio con ecografía tiroidea que demostró la presencia de 2 nódulos sólidos en el lóbulo tiroideo derecho, el primero de ellos de 5 mm con calcificaciones groseras en su interior, y el segundo localizado en su porción inferior, de 6 mm de diámetro hipoecoico. Se observaron también múltiples adenopatías de aspecto patológico en cadena laterocervical derecha, una de ellas de 16 mm de aspecto necrótico quístico (Figura 1). En el compartimento laterocervical y hueco supraclavicular izquierdo se observaron imágenes ganglionares hipoecoicas de tamaño no significativo.

Ante el resultado en la biopsia de carcinoma papilar de tiroides, ya sea primario o ectópico, con metástasis ganglionares, se decidió no realizar punción aspiración con aguja fina (PAAF), pues la tiroidectomía total en este caso era necesaria independientemente de su resultado. Se intervino quirúrgicamente a la paciente realizándose una tiroidectomía total con vaciamiento ganglionar cervical funcional del compartimento VI bilateral y de los compartimentos IIb, III, IV y Vb derechos. Se realizó biopsia extemporánea del compartimento III izquierdo para estadificar, que descartó malignidad, por lo que no se realizó vaciamiento de dicho compartimento. El estudio anatomopatológico de la pieza extirpada reveló la presencia de carcinoma papilar de tiroides clásico en dos focos, de 0,5 y 0,6 cm de eje máximo a nivel del lóbulo tiroideo derecho, con signos de invasión vascular y metástasis en 9 de los 18 ganglios de la cadena yugular interna derecha y en 1 de 3 de la cadena recurrencial (Figura 2). Tras la intervención quirúrgica la paciente recibió una dosis ablativa con I131 (89,65 mCi), y posteriormente se completó el estudio con rastreo corporal en el cual no se observaron focos patológicos a distancia atribuibles a enfermedad metastásica.

A los 7 meses, en el seguimiento en consultas externas, no se observaron alteraciones significativas en los niveles de tiroglobulina sérica pero sí en los niveles de anticuerpos antiglobulina: 91 UI/mL (rango 0-115). En la exploración física, se detectó una adenopatía sospechosa de malignidad en el compartimento V. Se realizó ecografía de control observándose una adenopatía laterocervical derecha de 9 mm, hipoecoica y discretamente heterogénea. Se completó estudio mediante PAAF, cuyo resultado fue compatible con metástasis de carcinoma papilar de tiroides. Ante dicho resultado se decidió intervención quirúrgica realizándose un vaciamiento ganglionar cervical del compartimento Va del lado derecho. Dado que las pruebas de imagen previas a la intervención quirúrgica descartaban la presencia de adenopatías sospechosas del lado izquierdo, no se actuó sobre dichos grupos ganglionares. El estudio histológico informó la presencia de metástasis por carcinoma papilar de tiroides de 3,25 mm (sin rotura capsular) en una de 16 adenopatías aisladas.
Actualmente está recibiendo 125 mcg de levotiroxina al día con lo que se obtiene supresión de TSH=0,07 μU/mL. Se encuentra en seguimiento clínico, ecográfico y analítico con controles de tiroglobulina y anticuerpos antitiroglobulina consiguiendo negativización de ambos.
DISCUSIÓN
A pesar de que la aparición de un quiste branquial como primera manifestación de un carcinoma papilar de tiroides resulta poco frecuente, existen estudios que exponen que se han encontrado hasta un 11% de tumores de tiroides en pacientes cuyo diagnóstico principal era un quiste branquiall4.
La mayoría de los autores ha relacionado la presencia de metástasis en un quiste branquial con un tumor primario de tiroides diagnosticado, o en su defecto, con un carcinoma oculto donde el tumor primario no esté demostrado5. A lo largo de la revisión de la literatura se encuentra mucha controversia, pues otros autores defienden la posibilidad de que se trata de un carcinoma de tiroides directamente a nivel del quiste branquial por la existencia de tejido ectópico6. En nuestro caso, se comprueba mediante estudio anatomopatólogico, que se trata de una estructura de naturaleza quística compatible con un quiste branquial con metástasis de un carcinoma papilar oculto de tiroides.
El diagnóstico diferencial de los quistes branquiales suele ser complicado, ya que a pesar de las pruebas de imagen, es necesario realizar una biopsia que permita confirmar el diagnóstico. La punción con aguja fina (PAAF) constituye una herramienta rápida y sencilla que puede ayudar en estos casos. Sin embargo, debido a la estructura quística que presentan estas lesiones, no siempre la PAAF es diagnóstica puesto que su precisión puede variar, con una tasa de falsos negativos entre el 50 a 67%7. Por lo tanto, tal y como se ha presentado en el caso, es conveniente realizar una biopsia escisional que pueda resultar diagnóstica y terapéutica.
El pronóstico de los pacientes en los que se encuentra carcinoma a nivel de un quiste branquial sin evidencia de tumor primario después de una tiroidectomía total, en general es bueno, ya que la mera extirpación del quiste branquial podría ser el único tratamiento8. Sin embargo, si existe evidencia de carcinoma tiroideo primario, la base del tratamiento será la tiroidectomía total con vaciamiento ganglionar y tratamiento con radioiodo, si el riesgo de recurrencia así lo requiere9. En el caso que se presenta, la presencia de adenopatías sospechosas de enfermedad metastásica halladas, tanto en la ecografía como durante la cirugía, obligó a realizar un vaciamiento ganglionar derecho, así como asociar tratamiento con yodo radioactivo después de la cirugía. Cabe destacar la importancia de la determinación conjunta de tiroglobulina y anticuerpos antitiroglobulina en el seguimiento postoperatorio, ya que estos últimos, pueden alterar el resultado de la determinación de tiroglobulina, incluso cuando las concentraciones de anticuerpos no son muy elevadas10. En nuestro caso se observó elevación en los niveles de anticuerpos (91 UI/mL) que se negativizaron tras la exéresis de la adenopatía en el compartimento Va.
Se han descrito escasos casos similares al presentado a lo largo de la literatura en los últimos años4,6,9,11, todos ellos describen el caso de una paciente mujer, entre 30-40 años de edad, con una masa cervical lateral cuyo origen resultó ser un microcarcinoma papilar de tiroides (MPT). En todos los casos, la intervención quirúrgica llevada a cabo fue tiroidectomía junto con linfadenectomía central bilateral y linfadenectomía homolateral yugular. La mayoría de las guías recomiendan un vaciamiento ganglionar central en aquellos pacientes con metástasis ganglionar cervical al diagnóstico, pues el 35% de los pacientes que tienen afectación macroscópica en la cirugía tienen una probabilidad de afectación ganglionar microscópica del 80%12. El vaciamiento cervical bilateral queda reservado para casos de alto riesgo, como tumor bilateral, tumor primario de gran tamaño o cercano al istmo tiroideo, extensión extracapsular, invasión de tejidos vecinos o presencia de linfadenopatías de gran tamaño13.
Cabe destacar que estudios recientes14,19 han puesto de manifiesto que los MPT pueden tener poder metastásico ganglionar y los han clasificado en dos subgrupos, incidentales y no incidentales. Los incidentales son aquellos casos cuyo diagnóstico se ha realizado tras el estudio anatomopatológico de una cirugía tiroidea por lesión benigna, y los no incidentales, cuando su diagnóstico se ha obtenido previo a la intervención quirúrgica mediante una biopsia14. El caso presentado pertenece a la segunda categoría, y según diversos estudios14,15,16,17,18,19, se trata de tumores más agresivos, asociados con mayor frecuencia a metástasis ganglionares locorregionales al momento del diagnóstico y a una alta tasa recurrencias. Debido a las diferencias clínicas que se pueden observar entre los dos subgrupos descritos, existe controversia sobre si realmente se trata de diferentes formas de presentación de una misma enfermedad o si se trata de dos entidades con diferente fisiopatología19.
CONCLUSIÓN
A pesar de que resulta poco frecuente la aparición de un quiste branquial como primera manifestación de un MPT, se debe considerar esa posibilidad y llevar a cabo un adecuado diagnóstico diferencial. Además, es conveniente realizar una biopsia escisional para llegar a su diagnóstico y evitar así falsos negativos. Es importante individualizar el tratamiento según las características de cada caso, teniendo en cuenta el comportamiento incierto y agresivo que pueden llegar a tener los MPT. En los casos de MPT no incidentales, el tratamiento podría plantearse con la misma estrategia que para el carcinoma papilar clásico.
REFERENCIAS BIBLIOGRÁFICAS
1. Nahata V. Branchial cleft cyst. Indian J Dermatol 2016;61:701.
2. Gaszyńska E, Gaszyński T, Arkuszewski P. Diagnosis and treatment of cervical branchial cleft cysts based on the material from the Department of Cranio-Maxillofacial Surgery, Medical University in Łódź and literature review. Przegląd Chirurgiczny 2012;547-550.
3. Agaton-Bonilla FC, Gay-Escoda C: Diagnosis and treatment of branchial cleft cysts and fistulae. A retrospective study of 183 patients. Int J Oral Maxillofac Surg 1996;25:449-452.
4. Seven H, Gurkan A, Cinar U, Vural C, Turgut S. Incidence of occult thyroid carcinoma metastases in lateral cervical cysts. Am J Otolaryngol 2004;25:11-17.
5. Coleman SC, Smith JC, Burkey BB, Day TA, Page RN, Netterville JL. Long-standing lateral neck mass as the initial manifestation ofwell-differentiated thyroid carcinoma. Laryngoscope 2000;110:204-249
6. Nakagawa T, Takashima T, Tomiyama K. Differential diagnosis of a lateral cervical cyst and solitary cystic lymph node metastasis of occult thyroid papillary carcinoma. J Laryngol Otol 2001;115:240-242.
7. Gourin CG, Johnson JT. Incidence of unsuspected metastases in lateral cervical cysts. Laryngoscope 2000;110:1637-1641.
8. Sidhu S, Lioe TF, Clements B. Thyroid papillary carcinoma in lateral neck cyst: missed primary tumour or ectopic thyroid carcinoma within a branchial cyst? J Laryngol Otol 2000;114:716-718.
9. Ruhl DS, Sheridan MF, Sniezek JC. Papillary thyroid carcinoma in a branchial cleft cyst without a thyroid primary: navigating a diagnostic dilemma. Case Rep in Otolaryngol; 2013. Article ID 405342.
10. Spencer C. Clinical utility of thyroglobulin antibody (TgAb) measurements for patients with differentiated thyroid cancers (DTC). J Clin Endocrinol Metab 2011;96:3615-3627.
11. Torres-Morientes LM, Tavarez-Rodríguez JJ, Mena-Domínguez E, Bauer M, Benito-Orejas JI, Moráis-Pérez D. Metástasis quística papilar versus carcinoma tiroideo ectópico en un quiste branquial. Rev Soc Otorrinolaringol Castilla León Cantab La Rioja 2012;3:190-193.
12. Boucai L, Bernet V, Shaha A, Shindo ML, Stack BC, Tuttle RM. Surgical considerations for papillary thyroid microcarcinomas. J Surg Oncol 2017;9999:1-6.
13. Ohshima A, Yamashima H, Noguchi S, Uchino S, Watanabe S, Toda M, Koike E, Takatu K, Yamashita H. Indications for bilateral modified radical neck dissection in patients with papillary carcinoma of the thyroid. Arch Surg 2000;135:1194-1198.
14. Provenzale MA, Fiore E, Ugolini C, Torregrossa L, Morganti R, Molinaro E, Miccoli P, Basolo F, Vitti P. “Incidental” and “non incidental” thyroid papillary microcarcinomas are two different entities. Eur J Endocrinol 2016;174:813-820.
15. Pazaitou-Panayiotou K, Capezzone M, Pacini F. Clinical features and therapeutic implication of papillary thyroid microcarcinoma. Thyroid 2007;17:1085-1092.
16. Elisei R1, Molinaro E, Agate L, Bottici V, Masserini L, Ceccarelli C, Lippi F, Grasso L, Basolo F, Bevilacqua G, Miccoli P, Di Coscio G, Vitti P, Pacini F, Pinchera A. Are the clinical and pathological features of differentiated thyroid carcinoma really changed over the last 35 years? Study on 4187 patients from a single Italian institution to answer this question. J Clin Endocrinol Metab 2010;95:1516-1527.
17. Baudin E, Travagli JP, Ropers J, Mancusi F, Bruno-Bossio G, Caillou B, Cailleux AF, Lumbroso JD, Parmentier C, Schlumberger M. Microcarcinoma of the thyroid gland. The Gustave-Roussy Institute experience. Cancer 1998;83:553-559.
18. Roti E, Rossi R, Trasforini G, Bertelli F, Ambrosio MR, Busutti L, Pearce EN, Braverman LE, Degli Uberti EC. Clinical and histological characteristics of papillary thyroid microcarcinoma: results of a retrospective study in 243 patients. J Clin Endocrinol Metab 2006;91:2171–2178.
19. Mehanna H, Al-Maqbili T, Carter B, Martin E, Campain N, Watkinson J, McCabe C, Boelaert K, Franklyn JA. Differences in the recurrence and mortality outcomes rates of incidental and nonincidental papillary thyroid microcarcinoma: a systematic review and meta-analysis of 21329 person-years of follow-up. J Clin Endocrinol Metab 2014;99:2834-2843.
Notas de autor
mariajes.sj@gmail.com