Casos Clínicos
PARAGANGLIOMA PRIMARIO FUNCIONANTE DE VESÍCULA SEMINAL
PRIMARY FUNCTIONAL PARAGANGLIOMA OF SEMINAL VESICLE
PARAGANGLIOMA PRIMARIO FUNCIONANTE DE VESÍCULA SEMINAL
Revista Venezolana de Endocrinología y Metabolismo, vol. 17, núm. 2, pp. 81-86, 2019
Sociedad Venezolana de Endocrinología y Metabolismo
Recepción: 01 Mayo 2019
Aprobación: 01 Julio 2019
Resumen:
Objetivo: Reportar un caso de paraganglioma funcional primario de vesícula seminal.
Caso clínico: Se trata de paciente masculino de 49 años de edad que presentaba cefalea episódica, palpitaciones y sudoración, acompañados de debilidad general, palidez de la piel y náuseas, sin signos de alarma, seguido por recuperación espontanea. Todos los síntomas empeoraban con la posición supina. En el examen físico solo se encontró aumento de la presión arterial, sin otras alteraciones. Los resultados de laboratorio mostraron que los valores urinarios de noradrenalina, metanefrina, ácido homovanílico y ácido vanilmandélico estaban aumentados. Las mediciones de cromogranina A y B fueron negativas. La prueba de supresión con clonidina mostró supresión insuficiente. Se detectó un tumor heterogéneo y bien circunscrito sólido en las imágenes de resonancia magnética que se originaba de la vesícula seminal derecha. Después del bloqueo adrenérgico, se realizó resección laparoscópica de la vesícula seminal derecha. La histopatología reveló neoplasia neuroendocrina. La caracterización inmunohistoquímica reveló la expresión de sinaptofisina y cromogranina. Todos estos hallazgos confirmaron el diagnóstico de paraganglioma primario de vesícula seminal.
Conclusión: Los paragangliomas, también conocidos como feocromocitomas extra-adrenales, son tumores raros que surgen del tejido de la cresta neural ubicado fuera de la glándula suprarrenal. Algunas veces tienen la capacidad de sintetizar, almacenar y secretar catecolaminas Los paragangliomas que aparecen en la vesícula seminal son extremadamente raros. La escisión quirúrgica sigue siendo el tratamiento estándar para los tumores localizados.
Palabras clave: Vesícula seminal, Paraganglioma, Feocromocitoma extra-adrenal, Tumor de la vesícula seminal.
Abstract:
Objective: To report a case of primary functional paraganglioma of seminal vesicle.
Clinical case: A 49-year-old male patient presented with episodic headache, palpitations, and sweating, accompanied by general weakness, pale skin, and nausea, with no warning signs, followed by spontaneous recovery. All symptoms worsened with the supine position. On physical examination only an increase in blood pressure was found, without any other alteration. Laboratory results showed that the values of urinary noradrenaline, metanephrine, homovanillic acid and vanillylmandelic acid were increased. Measurements of chromogranin A and B were negative. The suppression test with clonidine showed insufficient suppression. A heterogeneous and well-circumscribed solid tumor was detected in magnetic resonance imaging that originated from the right seminal vesicle. After an adrenergic block, laparoscopic resection of the right seminal vesicle was performed. Histopathology revealed neuroendocrine neoplasia. Immunohistochemical characterization revealed the expression of synaptophysin and chromogranin in tumoral cell nests. All these findings confirmed the diagnosis of primary paraganglioma of seminal vesicle.
Conclusion: Paragangliomas, also known as extra-adrenal pheocromocytoma, are rare tumors that arise from the neural crest tissue located outside the adrenal gland. Sometimes they have the ability to synthesize, store and secrete catecholamines. Paragangliomas that appear in the seminal vesicle are extremely rare. Surgical excision remains the standard treatment for localized tumors.
Keywords: Seminal vesicle, Paraganglioma, Extra-adrenal pheochromocytoma, Seminal vesicle tumor.
INTRODUCCIÓN
El paraganglioma es un tumor neuroendocrino raro de los tejidos blandos que surge de la cresta neural y representa 0,01% de todas las neoplasias. El diagnóstico se basa principalmente en la morfología histopatológica1. Los paraganglios simpáticos prototípicos son médula suprarrenal y órgano de Zuckerkandl. Aquellos de origen parasimpático típicos incluyen los del cuerpo carotideo. Otros paraganglios son microscópicos y tienen ubicaciones variables1,2. En algunos casos pueden producir y liberar un exceso de catecolaminas, llevando al desarrollo de hipertensión intermitente o permanente, sudoración episódica, cefalea y palpitaciones3.
Los paragangliomas pueden aparecer en sitios inusuales, como riñones, uretra, vejiga urinaria, próstata, cordón espermático, vesícula biliar, útero y vagina4. Sin embargo, existen muy pocos casos reportados de tumores de este tipo en vesícula seminal5,6. Se presenta un caso de paraganglioma funcionante de vesícula seminal.
CASO CLÍNICO
Se trata de un paciente masculino de 49 años quien consultó por presentar cefaleas, palpitaciones y sudoración episódicas, acompañadas de enrojecimiento facial, debilidad generalizada, palidez cutánea y nauseas, las cuales ocurrían 2 - 3 veces por semana sin ningún signo de alarma, seguido por recuperación espontanea. Todos los síntomas empeoraban cuando se encontraba en posición supina. El paciente había sido diagnosticado por hipertensión arterial 3 años antes del inicio de la sintomatología, tratada con inhibidores de la enzima convertidora de angiotensina. Negaba antecedentes personales o familiares de enfermedad endocrina.
Al examen físico se encontraron valores de presión arterial de 220 - 160 mm de Hg y 120 - 90 mm de Hg de presión arterial sistólica y diastólica, respectivamente. El resto del examen físico no mostró alteraciones. La frecuencia cardiaca fue de 85 latidos x minuto y pulso regular. La tomografía computada no mostró tumoraciones en glándula suprarrenal o región para-espinal, pero si demostró una lesión compatible con ganglio linfático aumentado de tamaño que se localizó en el lado posterior derecho de la vejiga y cercana a la vesícula seminal derecha. Las imágenes de resonancia magnética mostraron un tumor sólido, heterogéneo y bien circunscrito en la vesícula seminal derecha, que medía 42 milímetros de longitud, bien diferenciado de las paredes del recto y vejiga. En vista de los hallazgos clínicos y radiológicos, fueron solicitadas las pruebas de laboratorio. Los valores de las pruebas tiroideas estaban dentro de límites normales. Los valores de noradrenalina urinaria (95 µg/24 horas, valor normal hasta 20 µg/24 horas), metanefrina urinarias (400 µg/24 horas, valor de referencia de 25 – 312 µg/24 horas), ácido homovanílico (25 µg/mg de creatinina, valor de referencia de 1 – 10 µg/mg de creatinina) y ácido vanilmandélico (6,5 mg/24 horas, valor de referencia de 1.8 – 6.7 mg/24 horas) estaban aumentados. Las mediciones de cromogranina A y B fueron negativas y los valores urinarios de ácido 5-hidroxindolacético y cortisol libre estaban dentro de límites normales. La prueba de supresión con clonidina mostró supresión insuficiente. Las concentraciones de los marcadores tumorales (antígeno carcinoembriogénico, CA-125 y Ca 19-9), junto al antígeno prostático específico, estaban dentro de límites normales.
Después de ser sometido a tratamiento con fenoxibenzamina por 3 semanas, el paciente fue sometido a resección laparoscópica tanto de la vesícula seminal y como de la tumoración, con bloqueo alfa- y beta adrenérgico concomitante. La pared rectal adyacente a la lesión no estaba afectada y no había evidencias de invasión a órganos vecinos ni linfadenopatías locales.
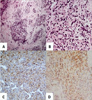
El examen macroscópico demostró que la vesícula seminal era de color marrón, tenía superficie lisa, consistencia suave y medía 48 x 21 x 20 milímetros. Al corte se observó nódulo sólido, bien circunscrito, pardo y liso, que medía 38 milímetros en su eje mayor. La evaluación microscópica del tumor reveló nidos confluentes bien definidos de células cuboidales separadas por septos fibrosos vasculares sin evidencia de invasión vascular, figuras mitóticas o necrosis. Las células tumorales individuales tenían núcleo central grande y nucléolos pequeños con citoplasma eosinofílico granular. Los márgenes quirúrgicos estaban libres de tumor. Estos hallazgos llevaron a la posibilidad diagnóstica de una neoplasia neuroendocrina. Los estudios inmunohistoquímicos demostraron que las células tumorales eran inmunorreactivas a cromogranina, sinaptofisina y enolasa neuronal específica con inmunotinción negativa para las queratinas (AE1 / AE3, CK7 y CK8 / 18), calretinina o TTF-1. También se observó inmunotinción a la proteína S-100 de algunas células sustentaculares (figura 1). El índice Ki-67 fue inferior al 2%. En vista de los hallazgos clínicos, histopatológicos e inmunohistoquímico se concluyó con el diagnóstico de paraganglioma de vesícula seminal derecha.

A) Imagen de campo de mediano de los nódulos tumorales delineados por estroma fi broso y capilares en patrón de Zeballen. B) Imagen de campo de alto poder de las células individuales con abundante citoplasma. C) Inmunotinción positive a sinaptofi sina. D) Inmunotinción positiva de la proteína S100 positiva de algunas células sustentaculares.
Después de la cirugía, el paciente se recuperó rápidamente y sin complicaciones. Los síntomas autonómicos desaparecieron y la presión arterial volvió a la normalidad, por lo que la terapia antihipertensiva fue suspendida. Los valores de metanefrinas regresaron a la normalidad a las 4 semanas. Todos los estudios de imágenes a los 6 y 12 meses no mostraron recidivas locales o metástasis a distancia. El paciente no ha presentado síntomas durante el seguimiento de 18 meses.
DISCUSIÓN
Los paragangliomas son neoplasias neuroendocrinas extra-adrenales que surgen en los ganglios parasimpáticos o simpáticos y, en ocasiones, también son conocidos como feocromocitomas extra-adrenales. Se definen por su sitio de aparición y si son o no funcionales desde el punto de vista bioquímico, es decir, por su capacidad de sintetizar, almacenar y secretar catecolaminas. Los paragangliomas parasimpáticos están casi exclusivamente en cuello y base del cráneo, surgiendo principalmente del cuerpo carotideo. Aquellos de origen simpático aparecen en cualquier lugar del cuerpo7. Cerca del 85% de los tumores son intraabdominales, 12% intratorácicos y 3% cervicales. Además, alrededor del 10% de los casos están asociados con síndromes hereditarios y 50% de los tumores se originan en la bifurcación aórtica. En el tracto genitourinario, la vejiga urinaria es el sitio más frecuente de aparición (79%), seguido por uretra (12%), pelvis (4%) y uréter (3%)8.
La histogénesis de los paragangliomas en el cordón espermático es desconocida, aunque se ha propuesto que los nidos de paraganglios dentro del cordón espermático pueden ser secundarios a alteraciones de la embriogénesis. El origen desde las vesículas seminales se puede explicar por esta teoría, ya que las células de las que surgen la vesícula seminal están presentes en el conducto caudal de Wolff y el seno urogenital4.
Las manifestaciones clínicas dependen de la secreción de catecolaminas, tamaño y localización de los paragangliomas. En los tumores no funcionales, el diagnóstico puede hacerse en etapas avanzadas debido a la presentación asintomática, síntomas inespecíficos o como un incidentaloma. La hipersecreción de catecolaminas por tumores funcionales produce hipertensión paroxística o persistente, palpitaciones, cefalea e hiperhidrosis. Incluso puede conducir a complicaciones cardiovasculares letales, como shock y crisis hipertensiva9. La liberación de catecolaminas puede precipitarse por eventos incitantes de acuerdo a su ubicación, como la micción en los casos de paragangliomas de vejiga, actividad sexual y manipulación, biopsia o resección del tumor7,10. Por estas razones, cualquier manipulación del tumor debe ser suave y lo más breve posible para evitar los efectos que produce la liberación de catecolaminas. En el presente caso el tumor era funcional, ya que el paciente mostró manifestaciones asociadas a la hipersecreción de catecolaminas cuando pasaba a la posición supina.
Las pruebas bioquímicas para el diagnóstico de paragangliomas funcionales incluyen medición de las concentraciones urinarias de catecolaminas, que incluyen determinaciones de ácido vanilmandélico, normetanefrina y metanefrina. La evidencia sugiere que la medición de las concentraciones de metanefrina libres en plasma y metanefrina urinaria fraccionadas son las pruebas más sensibles para la detección o exclusión de la liberación excesiva de catecolaminas por estos tumores10,11.
Las imágenes de tomografía computada y resonancia magnética tienen valores similares de sensibilidad (90-100%) y especificidad (70-80%). La especificidad de la exploración con 123I-metaiodobenzilguanidina puede llegar a 95-100%, pero su uso en la práctica clínica cotidiana es limitado. Tanto la gammagrafía de receptores de somatostatina como la tomografía por emisión de positrones son útiles para el diagnóstico de enfermedad multifocal, metastásica y tumoraciones ocultas12.
El diagnóstico definitivo se basa en hallazgos histopatológicos e inmunohistoquímicos. Aunque desde el punto de vista histológico el paraganglioma puede ser similar al quimiodectoma o feocromocitoma, el patrón alveolar redondeado típico (patrón de Zellballen) puede ser menos evidente en estos tumores extra-adrenales. La mayoría son hipervasculares debido a la red de capilares y anastomosis de tipo endocrino que se extiende a través del tejido fibroso que rodea los nidos celulares. La inmunotinción positiva a sinaptofisina y cromogranina A, en forma simultánea se considera diagnóstica. Las células tumorales también son inmunopositivas en forma difusa a los marcadores neuroendocrinos y a la enolasa neuroespecífica5.
Los paragangliomas y feocromocitomas pueden ocurrir de manera esporádica o asociados a varios síndromes tumorales hereditarios, incluidas la neoplasia endocrina múltiple tipo 2 (con mutaciones de la línea germinal RET), enfermedad de von Hippel-Lindau, neurofibromatosis tipo 1 y síndrome de feocromocitoma-paraganglioma. Este último síndrome es la afección hereditaria más frecuente con manifestaciones de paragangliomas y es causada por mutaciones en los genes SDHB, SDHC o SDHD. Este se caracteriza por la aparición familiar de fecocromocitoma o paraganglioma, generalmente en edad temprana y muchas veces multifocal. Los tumores con la mutación SDHB muestran mayor riesgo de recurrencia y frecuencia de malignidad6.
Los paragangliomas tienen una tasa de crecimiento promedio de 1 milímetro por año y el tiempo necesario para duplicar su tamaño es de 4,2 años13. La resección quirúrgica es el tratamiento principal, ya que estos tumores no responden bien a la quimio-radioterapia2. La mortalidad perioperatoria es superior al 30% en ausencia de preparación preoperatoria suficiente (bloqueadores alfa- y beta-adrenérgico y bloqueadores de los canales de calcio para evitar los efectos de la liberación excesiva de catecolaminas), generalmente debida a diagnóstico indefinido. Esta tasa puede disminuir a menos del 3% si existe preparación adecuada14. La resección laparoscópica es un tratamiento quirúrgico efectivo, ya que magnifica la estructura anatómica para una extracción más fácil, acompañada con disminución del trauma y la perdida hemática, menor cantidad de días de hospitalización, menor dolor, curación más rápida y recuperación temprana6. El pronóstico depende de múltiples factores, como tipo de cirugía, tamaño del tumor, margen quirúrgico, atipia celular, presencia de necrosis, metástasis a ganglios linfáticos e invasión de vasos sanguíneos. La resección completa del tumor es clave para evitar recaídas y aumentar las tasas de supervivencia2.
Los paragangliomas suelen ser tumores benignos7. No obstante, no siempre es posible predecir el pronóstico. La distinción entre aquellos benignos y malignos representa un desafío diagnóstico. Los parámetros clínicos propuestos para predecir malignidad incluyen elevadas concentraciones de metabolitos urinarios de catecolaminas, como ácido vanilmandélico y dopamina, localización extra-adrenal, tumor gran tamaño e hipertensión postoperatoria persistente. Los hallazgos histopatológicos de necrosis, invasión vascular y/o capsular y gran cantidad de mitosis también pueden indicar riesgo de malignidad. El único parámetro aceptado actualmente para definir malignidad es la presencia de metástasis en sitios no cromafines5. Los sitios metastásicos más comunes son ganglios linfáticos, pulmones, hígado y huesos. La resección quirúrgica de las lesiones metastásicas es el tratamiento primario15. Los controles periódicos y el seguimiento de por vida son importantes debido a la probabilidad de progresión y metástasis.
CONCLUSIÓN.
Los paragangliomas extra-adrenales son tumores neuroendocrinos raros. En el tracto genitourinario, la vejiga urinaria es el sitio más común para paraganglioma. El paraganglioma primario de la vesícula seminal es extremadamente raro, pero es importante tenerlos en cuenta como diagnósticos diferenciales. Deben tenerse en cuenta las complicaciones asociadas con la hipersecreción de catecolaminas producidas por el tumor.
Referencias
1. Parmar K, Chandna A, Kumar S. Retroperitoneal paraganglioma: a chameleon masquerading as an adrenal pheochromocytoma. Ann R Coll Surg Engl 2019;101:e62-e65.
2. Thelen J, Bhatt AA. Multimodality imaging of paragangliomas of the head and neck. Insights Imaging 2019;10:29.
3. Hamidi O. Metastatic pheochromocytoma and paraganglioma: recent advances in prognosis and management. Curr Opin Endocrinol Diabetes Obes 2019;26:146-154.
4. Gupta R, Howell RS, Amin MB. Paratesticular paraganglioma: a rare cause of an intrascrotal mass. Arch Pathol Lab Med 2009;133:811-813.
5. Alharbi B, Al-Ghamdi A. Primary paraganglioma of seminal vesicle. Int J Surg Case Rep 2013;4:822-824.
6. Alvarenga CA, Lopes JM, Vinagre J, Paravidino PI, Alvarenga M, Prando A, Castilho LN, Soares P, Billis A. Paraganglioma of seminal vesicle and chromophobe renal cell carcinoma: a case report and literature review. Sao Paulo Med J 2012;130:57-60.
7. Galeano-Valle F, Donis-Sevillano E. Right hypoglossal nerve palsy due to jugular paraganglioma. Aten Primaria 2019;51:320-321.
8. Hanji AM, Rohan VS, Patel JJ, Tankshali RA. Pheochromocytoma of the urinary bladder: a rare cause of severe hypertension. Saudi J Kidney Dis Transpl 2012;23:813-816.
9. Gu YW, Poste J, Kunal M, Schwarcz M, Weiss I. Cardiovascular manifestations of pheochromocytoma. Cardiol Rev 2017;25:215-222.
10. Yi C, Han L, Yang R, Yu J. Paraganglioma of the renal pelvis: a case report and review of literature. Tumori 2017;103:e47-e49.
11. van Berkel A, Rao JU, Lenders JW, Pellegata NS, Kusters B, Piscaer I, Hermus AR, Plantinga TS, Langenhuijsen JF, Vriens D, Janssen MJ, Gotthardt M, Timmers HJ. Semiquantitative 123I-metaiodobenzylguanidine scintigraphy to distinguish pheochromocytoma and paraganglioma from physiologic adrenal uptake and its correlation with genotype-dependent expression of catecholamine transporters. J Nucl Med 2015;56:839-846.
12. Türkkan A, Kuytu T, Bekar A, Yildirim S. Nuances to provide ideas for radiologic diagnosis in primary spinal paragangliomas: report of two cases. Br J Neurosurg 2019;33:210-212.
13. Jansen JC, van den Berg R, Kuiper A, van der Mey AG, Zwinderman AH, Cornelisse CJ. Estimation of growth rate in patients with head and neck paragangliomas influences the treatment proposal. Cancer 2000;88:2811-2816.
14. De Palma A, Lorusso M, Di Gennaro F, Quercia R, Pizzuto O, Garofalo G, Fiorella A, Maiolino E, Nex G, Schiavone M, De Iaco G, Gentile A, Lastilla G, Loizzi M, Resta L. Pulmonary and mediastinal paragangliomas: rare endothoracic malignancies with challenging diagnosis and treatment. J Thorac Dis 2018;10:5318-5327.
15. Yuan M, Xu C, Yang G, Wang W. Pediatric paraganglioma of the posterior mediastinum: A case report and review of literature. Medicine (Baltimore) 2018;97:e11212.