ALTERACIÓN EN LA FUNCIÓN E HISTOLOGÍA DE LA GLÁNDULA TIROIDES DE RATAS BIOU: WISTAR EXPUESTAS A MALATIÓN
ALTERATION ON FUNCTION AND HISTOLOGY OF THE THYROID GLAND OF RATS BIOU: WISTAR EXPOSED TO MALATHION
ALTERACIÓN EN LA FUNCIÓN E HISTOLOGÍA DE LA GLÁNDULA TIROIDES DE RATAS BIOU: WISTAR EXPUESTAS A MALATIÓN
Revista Venezolana de Endocrinología y Metabolismo, vol. 18, núm. 1, pp. 18-32, 2020
Sociedad Venezolana de Endocrinología y Metabolismo

Recepción: 15 Octubre 2019
Aprobación: 15 Diciembre 2019
Resumen:
Objetivo: Determinar la función e histología de la glándula tiroides de ratas BIOU: Wistar expuestas crónicamente a malatión en comparación con ratas no expuestas.
Métodos: Se estudiaron 20 ratas Wistar machos asignados al azar, 10 al Grupo Control y 10 al Expuesto. El Grupo Expuesto recibió la aplicación crónica de malatión inhalado una vez a la semana durante 2 horas por 14 semanas. El Grupo Control fue expuesto a un placebo (agua destilada). Fueron sacrificadas; se obtuvieron muestras séricas para tirotropina (TSH), tiroxina libre (T4L) y acetilcolinesterasa (AChE); se extrajo la glándula tiroides para el análisis por microscopia de luz y electrónica.
Resultados: Los niveles de AChE se encontraron significativamente más bajos (p=0,0001) y de T4L más altos (p=0,004) en el grupo expuesto; los niveles de TSH estuvieron más bajos, aunque no significativamente. Se encontró una correlación inversa significativa entre AChE y T4L (r=-0,522; p=0,018). Se evidenció hiperplasia folicular por microscopía de luz en el 70% del grupo expuesto, mientras que no hubo alteración en el grupo control (RR: 4,33; IC95%: 1,60-11,69; p=0,002). En el análisis por microscopia electrónica, las células foliculares del Grupo Expuesto mostraron marcado deterioro tisular, alteración nuclear y citoplasmática con disminución de las organelas. No se observaron alteraciones ultraestructurales en el Grupo Control.
Conclusión: La exposición crónica a malatión en ratas BIOU: Wistar produce incremento de las hormonas tiroideas y alteraciones histopatológicos en la glándula tiroides. Se deben realizar estudios al respecto en seres humanos, dado el uso indiscriminado de los pesticidas.
Palabras clave: Tiroides, Tirotropina, Tiroxina libre, Acetilcolinesterasa, Malatión.
Abstract:
Objective: To determine the function and histology of the thyroid gland of BIOU: Wistar rats chronically exposed to malathion compared with unexposed rats.
Methods: Twenty randomized male Wistar rats were studied, 10 to the Control Group and 10 to the Exposed. The Exposed Group received the chronic application of inhaled malathion once a week for 2 hours for 14 weeks. The Control Group was exposed to a placebo (distilled water). They were slaughtered. Serum samples were obtained for thyrotropin (TSH), free thyroxine (FT4) and acetylcholinesterase (AChE). The thyroid gland was removed for analysis by light and electron microscopy.
Results: AChE levels were found significantly lower (p = 0.0001) and FT4 levels higher (p = 0.004) in the exposed group; TSH levels were lower, although not significantly. A significant inverse correlation was found between AChE and T4L (r = -0.522; p = 0.018). Follicular hyperplasia was observed by light microscopy in 70% of the exposed group, while there was no alteration in the control group (RR: 4.33, 95%CI: 1.60-11.69; p = 0.002). In the electron microscopy analysis, the follicular cells of the Exposed Group showed marked tissue deterioration, nuclear and cytoplasmic alterations with decrease of the organelles. No ultrastructural alterations were observed in the Control Group.
Conclusion: Chronic exposure to malathion in BIOU: Wistar rats produces an increase in thyroid hormones and histopathological alterations in the thyroid gland. Studies in this regard should be carried out in humans, given the indiscriminate use of pesticides.
Keywords: Thyroid, Thyroid-Stimulating Hormone, Free Thyroxine, Acetylcholinesterase, Malathion.
INTRODUCCIÓN
En los últimos años, los estudios médicos se han centrado cada vez más en el papel de los disruptores endocrinos (DE) en la fisiopatología humana. Los DE se definen como "sustancias químicas exógenas o mezclas de sustancias químicas que puede interferir con la síntesis, secreción, transporte, metabolismo, unión al receptor o eliminación de hormonas endógenas, alterando los sistemas endocrino y homeostático1. Además, literatura científica sugiere que la mayoría de los DE son capaces de interferir en la regulación de la expresión genómica. De hecho, los cambios epigenéticos, como la metilación del ADN o las modificaciones en las histonas, parecen estar involucrados en los mecanismos relacionados con la alteración endocrina2.
Dentro de los DE, los plaguicidas están entre las 12 peores sustancias químicas disruptoras de hormonas con las que el ser humano podría estar en contacto regularmente.. Lamentablemente el mercado mundial de los plaguicidas está en continuo crecimiento y con esto el incremento de su consumo. De hecho, se ha demostrado que el 35% de los alimentos consumidos tiene residuos de plaguicidas detectables por análisis de laboratorio4.
El uso de plaguicidas organofosforados y dentro de estos, el malation, es uno de los más difundidos tanto a nivel internacional, como en Venezuela, sin embargo, mundialmente, los organofosforados son frecuentemente relacionados con intoxicaciones agudas, y la afectación endocrinológica generalmente se sugiere con exposiciones crónicas a los mismos, y son frecuentemente alteraciones sub-diagnosticados. Aunque existe controversia, se ha indicado en estudios principalmente experimentales, que la exposición a organofosforados tiene un riesgo potencial de desarrollar enfermedades tiroideas, por lo que se considera un DE2,5,6. Los probables mecanismos subyacentes pueden incluyen diferentes vías fisiopatológicas, que pueden implicar al co-transportador de sodio yoduro, la enzima peroxidasa tiroidea, los receptores de las hormonas tiroideas y de la TSH, las proteínas de transporte, los mecanismos de absorción celular., afectación del aclaramiento de las hormonas tiroideas y alteración en la expresión del gen de las hormonas tioideas5.
El objetivo de este estudio fue determinar la función e histopatología de la glándula tiroides de ratas BIOU: Wistar expuestas crónicamente a malatión en comparación con ratas no expuestas, y colaborar así en esta área de investigación.
MATERIALES Y MÉTODOS
Ratas de experimentación:
Se realizó un estudio de investigación básica de tipo experimental en animales. Se utilizaron ratas machos línea BIOU: Wistar, con peso promedio de 300 g, suministradas por el Bioterio de la Universidad de Los Andes y fueron trasladados a la Facultad de Medicina de la Universidad de los Andes (Mérida, Venezuela), las cuales permanecieron en las instalaciones del Laboratorio de Farmacología y Toxicología durante todo el trabajo. Se ubicaron en sus respectivas jaulas (Fig. 1), se pesaron (g) y se les dio una semana como período de adaptación. Con respecto a las condiciones de alojamiento, las ratas se sometieron a ciclos constantes de 12 horas de luz y de oscuridad, manteniéndose a una temperatura de 22º-24ºC, con ventilación continua. La alimentación fue a libre demanda con ratarina y como bebida, se les suministró agua corriente a libre demanda y se les proveyó un ambiente tranquilo protegiéndolos de la contaminación sónica.
Se utilizó como Material tóxico el malatión, nombre comercial MALATHION 57%, cuyos componentes son malatión al 57% e ingredientes aditivo 43%, fabricado por Insecticidas Internacionales C.A. (INICA).

Procedimiento:
Se estudiaron 20 ratas, las cuales se distribuyeron al azar en 2 grupos de 10 ratas al Grupo Control y 10 al Grupo Expuesto. El tiempo y la frecuencia por semana de exposición al malatión en los animales de experimentación, así como la cantidad y preparación del mismo se hicieron de acuerdo a las instrucciones del fabricante a dosis equivalentes a las usadas por humanos en agricultura. El Grupo Expuesto fue sometido a la aplicación de malatión de manera inhalada, calculada de acuerdo al área de aplicación, tomando en cuenta que se aplica de 1 a 3 litros de malatión por hectárea. La dilución del malatión se hizo de acuerdo a las instrucciones, en una proporción de 1:100, por lo que se diluyó 1cc de malatión en 100 cc de agua destilada, y de acuerdo a las medidas del área, se aplicaron 4 cc de la dilución a través de una asperjadora, sobre la jaula.
Estas ratas fueron llevadas a una instalación al aire libre en su respectiva jaula donde quedaron expuestas durante dos horas. Luego fueron llevadas dentro de las instalaciones del laboratorio y fueron observadas diariamente vigilando signos de toxicidad aguda y por ende sufrimiento del animal. La exposición se hizo una vez a la semana por catorce semanas (crónica), tomándose las medidas de protección recomendadas al usuario dadas por el fabricante. Las ratas del Grupo Control fueron expuestas a un placebo (agua destilada) y de igual manera al aire libre por el mismo intervalo de tiempo.
Al término de la exposición, previa anestesia inhalatoria con enfluorano al 1% durante aproximadamente 10 minutos, las ratas de cada grupo fueron sacrificadas. Se les practicó necropsia mediante una incisión quirúrgica a lo largo de la línea media ventral, explorando la cavidad torácica e intraperitoneal, se tomaron muestras de sangre a través de la vena cava para la determinación de la acetilcolinesterasa y para la determinación de TSH y T4 libre. Posteriormente se extrajo en bloque la glándula tiroides (Fig. 2A y 2B), la cual se lavó con solución fisiológica. Todas las glándulas tiroideas de las ratas del Grupo Control y del Grupo Expuesto se estudiaron por microscopía de luz, y 5 glándulas tiroides del Grupo Control y 5 del Grupo Expuesto se estudiaron por microscopía electrónica.


Para microscopía de luz, las muestras se fijaron con formol al 10% por 24 horas, luego se seccionaron en segmentos pequeños, máximo de 0,5 cm. A continuación se sumergieron los mismos en parafina y luego se realizaron los respectivos cortes con el microtomo. Los cortes se colocaron en agua tibia para su extensión y luego en un portaobjetos, posteriormente fueron coloreados con hematoxilina-eosina y finalmente analizadas con un microscopio de luz. Se estableció la presencia de alteraciones anatomopatológicas (hiperplasia, hipertrofia y degeneración maligna).
Para el análisis ultraestructural por microscopía electrónica, las muestras de tiroides fueron sumergidas en mezcla fijadora 3:3 (glutaraldehído al 3% más formaldehído al 3% en tampón cacodilato 0,1 M y pH 6,3)8 inmediatamente fueron seccionadas en bloques de aproximadamente 3 mm3, y mantenidas en esta solución fijadora a 4°C durante 12 horas, luego fueron lavadas con abundante tampón cacodilato 0,1 M y pH 6,3, para después ser postfijadas durante 18 horas en tetraóxido de osmio al 1% preparado en la misma solución tampón. Luego se lavaron nuevamente en solución tampón y se inició la deshidratación y la infiltración epoxídica del tejido.
Posteriormente, el material fue incluido en resina epoxídica y se llevó a una estufa a 60° C durante 48 horas, para garantizar la polimerización de la resina, lo cual permitió realizar cortes gruesos de 1 a 2 μm de espesor y cortes ultrafinos de 90 nm de espesor, para ser observados respectivamente, con microscopía de luz de alta resolución y microscopía electrónica de transmisión, después de haber sido contrastados los cortes gruesos con p-fenil-endiamina y los cortes ultrafinos con acetato de uranilo y citrato de plomo9-11. Los cortes fueron realizados utilizando un Ultramicrotomo Sorvall Porter-Blum MT2-B. Los cortes gruesos fueron analizados a través de un microscopio fotónico Polyvar Reichert Jung, con cámara fotográfica Infinity digitalizada; mientras que las secciones ultrafinas fueron observados con un microscopio electrónico de transmisión Hitachi H-7000. Las muestras fueron estudiadas por un especialista en microscopía electrónica, quien no tenía conocimiento sobre si la tiroides provenía del Grupo Control o del Expuesto.
La determinación de acetilcolinesterasa se llevó a cabo en el Laboratorio de Farmacología de la Facultad de Medicina, las muestras fueron procesadas por el método del Hidroxamato de Hestrin, modificado por Truhaut y Vernin12 y analizado por espectrofotometría a 520 nm. La cuantificación de la TSH y T4 libre se realizó en el Laboratorio de Hormonas del Servicio de Endocrinología del Instituto Autónomo Hospital Universitario de los Andes, mediante la técnica de quimioluminiscencia, para la TSH se usaron Kits de TSH cuantitativa de tercera generación de la casa comercial SIEMENS de Estados Unidos para analizadores IMMULITE con coeficientes de variación intraensayo entre 3,9 y 13,8% e interensayo entre 8 y 17,5%. Para la T4 libre se usaron kits comercial SIEMENS de Estados Unidos para analizadores IMMULITE con coeficientes de variación intraensayo entre 4,1 y 9,8% y variación total entre 5,2 y 12,1%
Análisis Estadístico:
Para el análisis de los datos se usó el programa estadístico SPSS para Windows Versión 20. Las variables continuas se presentaron en promedio ± desviación estándar y mediana (rango intercuartil); para la comparación se usó la Prueba de Mann Whitney. Se realizó una correlación de Spearman entre las variables estudiadas. Las variables cualitativas se presentaron en número absoluto y porcentaje; se estableció su asociación mediante la aplicación del test de Fisher y se determinó el riesgo relativo de alteración tiroidea por exposición a malatión. Se consideró un nivel de significación cuando el valor de p fue menor de 0,05.
RESULTADOS
Se analizaron 20 ratas Wistar, 10 expuestas y 10 controles; en la tabla I se presentan los valores de peso, acetilcolinesterasa y hormonas tiroideas en el grupo control y el grupo expuesto a malatión. Con respecto al crecimiento corporal, no se observaron diferencias significativas en el peso inicial y final del estudio, entre los animales del grupo control y el expuesto. Los niveles de acetilcolinesterasa se encontraron significativamente más bajos en el grupo expuesto (p=0,0001) en comparación a los del grupo control. Con respecto a las hormonas tiroideas, se observaron los niveles de T4 libre significativamente más altos en el grupo expuesto (p=0,004) y los niveles de TSH estuvieron más bajos que en el grupo control, aunque no llegaron a ser estadísticamente diferentes.
En cuanto a la relación entre los niveles de acetilcolinesterasa y las concentraciones de T4 libre y TSH (Fig. 3), se encontró una correlación inversa significativa entre acetilcolinesterasa y T4 libre (r=0,522; p=0,018), esto es, en la medida que disminuyen los niveles de acetilcolinestera, se incrementan los de T4 libre. No se encontró correlación significativa entre los niveles de acetilcolinesterasas y los de TSH

Datos en X±DE y Mediana (Rango intercuartil). Prueba Mann-Whitney:
* p=0,004**

Hallazgos histopatológicos a la microscopía de luz
En el estudio histopatológico con microscopía de luz (Fig. 4), se evidenció hiperplasia folicular de tipo focal en seis muestras (60%) e hiperplasia difusa en una muestra del grupo expuesto (10%), en total, se observó un 70% de hiperplasia, mientras que en las muestras del grupo control no se observaron alteraciones histopatológicas. Esta asociación de exposición a malatión con hiperplasia folicular mostró una alta significancia estadística (Test de Fisher: p=0,002) y demostró un riesgo (Riesgo relativo) 4,33 veces mayor de presentar hiperplasia tiroidea en aquellas ratas expuestas a malatión, en comparación con las ratas control (IC95%: 1,60-11,69). No se observaron otras alteraciones como hipertrofia o degeneración maligna.

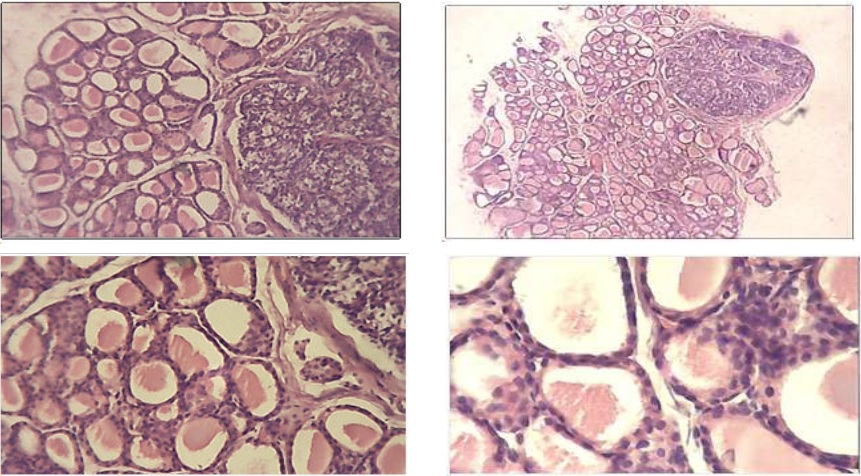
En la Fig. 5 se muestran las fotografías de algunos cortes del estudio histopatológico de la glándula tiroides de las ratas del grupo control, donde se observan células foliculares normales, sin alteraciones histológicas, y se evidencia el típico epitelio folicular tiroideo cúbico simple de morfología normal.

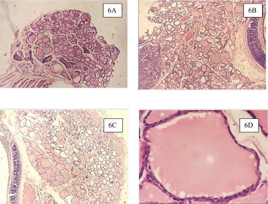
En la Fig.6, se muestran las fotografías de algunos cortes histológicos de la glándula tiroides de las ratas del grupo expuesto que presentaron hiperplasia folicular de tipo focal, con aumento de 10X y de 40X. Se observan los lúmenes glandulares que contienen cantidades variables de coloide y el epitelio folicular tiroideo (tirocitos) aplanado, debido a la hiperplasia coloidea.

En las Fig.7A y 7B, se muestran las fotografías de algunos cortes histológicos de la glándula tiroides de una de las ratas del grupo expuesto que presentó hiperplasia folicular de tipo difusa, con aumento de 10X y de 40X. Se observan los lúmenes glandulares que contienen abundante cantidad de coloide y el epitelio folicular tiroideo (tirocitos) aplanado en todos los folículos debido a la hiperplasia coloidea


Hallazgos histopatológicos en el análisis ultraestructural de la glándula tiroides por microscopía electrónica
Las 5 muestras de tiroides del grupo expuesto a malatión a quienes se les realizó el estudio celular de microscopía electrónica tenían hiperplasia al microscopio de luz, y todas presentaron alteraciones ultraestructurales. El estudio celular tiroideo proveniente del grupo control no mostró alteraciones.
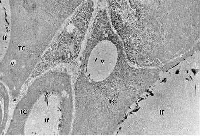
Las células foliculares del Grupo Control (Fig.8) muestran las características citotípicas de un epitelio cúbico, con núcleo redondeado con cromatina densa. Se evidencian numerosas microvellosidades apicales cortas y en el citoplasma se observan abundantes mitocondrias y retículo endoplásmico rugoso.

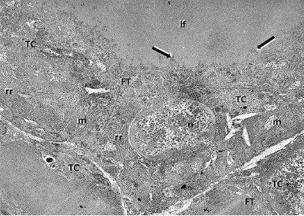
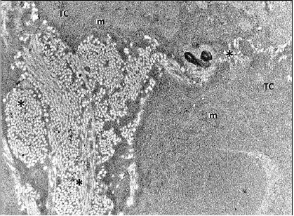
En las células foliculares del Grupo Expuesto se evidencian disminución de la altura del epitelio folicular, núcleos de contornos irregulares, retracción nuclear con aumento de la dimensión de la cisterna perinuclear y cromatina dispersa. Es notable la disminución de las organelas celulares en el citoplasma folicular. En algunas muestras del Grupo Expuesto se observó marcado deterioro tisular con pérdida de la organización celular que en algunos casos degeneró en atrofia celular, además de infiltración de tejido fibroso en los espacios interfoliculares. Otros hallazgos consistentes fueron la presencia de vacuolas intracitoplasmáticas y ausencia de vellosidades apicales (Figs. 9 A, B, C y D).




DISCUSIÓN
La exposición aguda y subaguda a organofosforados como el malatión, uno de los plaguicidas más usados en el estado Mérida, Venezuela, se ha asociado en la mayoría de los estudios experimentales en ratas, a alteración de los niveles de las hormonas tiroideas y de sus celulas13-16, sin embargo, los resultados de estudios en los humanos, tanto de exposición aguda como crónica, siguen siendo contradictorios5,17,18. En la revisión de la literatura, no se encontraron estudios de exposición crónica a malatión y su relación con hormonas tiroideas, en ratas. En nuestro estudio experimental con ratas se considera que la intoxicación con malatión del grupo expuesto fue efectiva, ya que como se esperaba, los niveles de acetilcolinesterasa fueron menores que en el grupo expuesto; esto se debe a que el malatión desarrolla su toxicidad a través de la fosforilación de la enzima acetilcolinesterasa en las terminaciones nerviosas, sin embargo también es capaz de inhibir la acetilcolinesterasa eritrocitaria, la plasmática y la hepática, formando una unión estable e irreversible, quedando la enzima inhabilitada para su función normal, lo que produce la disminución de su actividad19,20.
En el estudio histopatológico con microscopía de luz se demostró que seis ratas presentaban hiperplasia folicular focal y una rata presentaba hiperplasia difusa en el grupo expuesto a malatión (70%) y ninguna en el grupo no expuesto, lo que resultó en una asociación significativa y un alto riesgo de alteración histopatológica de la tiroides con la exposición a malatión. Esta alteración es debida al efecto del malatión por vía inhalatoria ya que fue la única situación diferente entre los dos grupos de ratas. No se encontraron estudios de intoxicación crónica inhalatoria con malatión en animales de experimentación para comparar nuestros resultados, sin embargo, existe un estudio con intoxicación por vía oral y con un seguimiento mayor. Este estudio del Instituto Nacional de Cáncer de Bethesda21 en donde expusieron a ratas Wistar tanto machos como hembras con malatión por vía oral durante aproximadamente 80 semanas a dosis bajas y altas, y observadas por las siguientes 33 semanas para demostrar su posible carcinogenicidad, se encontró que hubo 3 carcinomas de células foliculares y un adenoma de células foliculares en el grupo de ratas hembras expuesta a dosis altas de malatión y 3 casos de hiperplasia de células foliculares en el grupo de dosis bajas de malatión (grupo de 50 ratas hembras cada uno). La incidencia de estos tumores fue estadísticamente significativo (p=0,026). Nuestro estudio demostró resultados similares al uso de bajas dosis de malatión que resultaron en hiperplasia folicular.
El mecanismo fisiopatológico por el cual el malatión ejerce su acción sobre las células foliculares no está claro22, sin embargo una teoría que puede explicar los hallazgos histopatológicos es la acción agonista de estos compuestos químicos sobre los receptores de TSH6,7. Las células foliculares expresan receptores para la TSH, éstos al ser estimulados son capaces de inducir no solo el crecimiento de las células foliculares, sino también de modificar la modulación del metabolismo del iodo dentro de las células foliculares, la síntesis y la secreción de las hormonas tiroideas23. El estudio de Ghisari y cols24, demostró que el malatión era capaz no solo de incrementar la proliferación celular de los cultivos celulares in vitro sino también era capaz de inducir la transactivación del receptor de aril hidrocarburo (AhR), un factor de transcripción ligando dependiente. Este receptor es miembro de la familia de los receptores esteroideos y es un factor de transcripción activado por ligandos que controla la expresión de múltiples genes. La activación del AhR por un ligando, induce desplazamiento de las proteínas chaperonas hsp90 (heat shock proteins 90), posteriormente puede inducir la formación de un heterodímero con el translocador nuclear de AhR (ARNT) para formar el complejo Ligando–AhR–ARNT. Este heterodímero se transloca al núcleo para unirse a regiones específicas del ADN para regular la velocidad de trascripción de genes específicos. Los cambios en la expresión génica conducen a alteraciones de los procesos celulares y sus funciones25.
Por microscopía electrónica en la glándula tiroides se evidenciaron cambios ultraestructurales en las células foliculares, tanto a nivel nuclear, como a nivel citoplasmático con alteración de las organelas y presencia de lesiones vacuolares. Por otra parte, se observó en algunas muestras pérdida de la organización celular e incluso atrofia celular. Estos cambios ultraestructurales degenerativos en la tiroides de las ratas expuestas a malatión, además de los mecanismos descritos anteriormente, pueden ser condicionados por múltiples factores englobándose en un denominador común, el estrés oxidativo. Es muy bien conocido el papel que juegan las especies reactivas de oxígeno en una variedad de fenómenos biológicos, tales como mutación, carcinogénesis, procesos degenerativos e inflamatorios y en el desarrollo del envejecimiento celular26. Diversos estudios experimentales en ratas han demostrado aumento en la generación de radicales libres y alteración en los sistemas antioxidantes, conllevando entre otros efectos, a incrementos de la formación de radicales superóxidos y peroxidación lipídica condicionando daño celular en diferentes tejidos posterior a la exposición aguda, subaguda o subcrónica a malatión27-32 . Por otra parte la presencia de fibras de colágeno entre los folículos tiroideos podría estar relacionado también a la peroxidación lipídica que podría incrementar la síntesis de colágeno mediante la estimulación de las células epiteliales tiroideas33.
Estos hallazgos ultraestructurales en la tiroides han sido documentados en otros estudios similares en animales de experimentación con exposición aguda a metamidofos22y exposición subaguda a clorpirifós33, ambos del grupo de los organofosforados, pero no se encontraron reportes en exposición crónica con malatión.
Por otra parte, en nuestro estudio se evidenció claramente que las ratas con exposición crónica de 14 semanas con malatión mostraron una concentración significativamente mayor de T4 libre sérico, en comparación con las ratas no expuestas, con una menor concentración de TSH, aunque no estadísticamente significativa. De acuerdo a la regulación del eje hipotálamo-hipófisis-tiroides23, se podría suponer que las altas concentraciones de T4 libre en el grupo expuesto estarían ejerciendo su retroalimentación negativa sobre TSH; habría que aumentar el tiempo de exposición para determinar si esta diferencia en los niveles de TSH con el grupo no expuesto llegaría a ser estadísticamente significativa. Existen pocos estudios para comparar nuestros resultados; en el estudio de Akhtar y cols13, la exposición diaria por 21 días, subaguda, a malatión por vía oral en ratas albinas macho, produjo alteración en las hormonas tiroideas, pero, contrario a nuestros hallazgo, se observó disminución de las concentraciones de T4 libre y elevación de los niveles de TSH de manera significativa (p<0.01), sin producir cambios en la composición corporal del animal. Sin embargo, este estudio utilizó la alimentación forzada para la administración del malatión, lo cual puede aumentar la secreción de la hormona corticosterona en respuesta al estrés34, e inducir en ese sentido cambios en la secreción de TSH, e incremento del metabolismo y aclaramiento de la misma35,36.
En otro estudio realizado por Satar y cols14, sobre el efecto de la intoxicación aguda por organofosforados (metamidofos) en las hormonas tiroideas en ratas Wistar macho, se encontró que los niveles de T3, T4 y TSH fueron significativamente más bajos (p <0,01) en el grupo expuesto con respecto al grupo control, mientras que aquellos grupos de ratas expuestas que recibieron posteriormente el antídoto atropina + pralidoxima, mostraron incremento de la TSH, en concordancia a la resolución de la intoxicación, quedando demostrado en este estudio que la intoxicación aguda por organofosforado puede producir síndrome eutiroideo enfermo e hipotiroidismo. Dichos resultados también difieren con respecto a nuestro estudio.
El estudio en ratas Wistar preñadas realizado por Taxvig y cols37, quienes expusieron diariamente durante dos semanas por sonda oral a dosis baja y alta de una mezcla de plaguicidas que incluye: bitertanol, propiconazol, cipermetrina, terbutilazina y malatión, reveló que los niveles séricos de T4 eran significativamente mayores en el grupo de alta dosis con respecto a baja dosis, esa misma tendencia se observó con los niveles de T3, sin embargo esta no fue significativa. A pesar de que en este estudio se utilizó una mezcla de plaguicidas y la exposición fue oral, se demostró, al igual que en nuestro estudio, que la exposición de estos plaguicidas pueden llevar también a hiperfunción tiroidea.
En nuestro estudio, cuya forma de exposición controlada fue por vía inhalatoria y por contacto en simulación de la mayoría de las exposiciones crónicas en los seres humanos, se evidenció un perfil hormonal tiroideo con tendencia a la hiperfunción tiroidea. En el estudio de Goldner y cols., donde se evaluaron las conyugues de trabajadores agrícolas que utilizan plaguicidas, se evidenció una prevalencia de enfermedades tiroideas en general de 12,5%, con una prevalencia para el hipotiroidismo de 6,9% y del hipertiroidismo 2,1%, y queda entredicho que la propensión a desarrollar las diferentes patologías tiroideas pudiera depender de la predisposición individual de cada ser humano. A pesar de que este estudio en ratas se intentó simular la forma de exposición crónica en los humanos, los resultados no son extrapolables en los mismos.
En nuestro estudio se demostró que la exposición inhalatoria crónica (14 semanas) a malatión en ratas BIOU: Wistar puede producir incremento de la actividad secretora de las hormonas tiroideas y conllevar a cambios histopatológicos en la glándula tiroides. Así, es preocupante en humanos el uso indiscriminado de los plaguicidas, sin las medidas mínimas generales de protección, que pueden producir efectos deletéreos en la salud individual y en quienes los rodean. Se recomiendan realizar estudios epidemiológicos en humanos expuestos a organofosforados y determinar su potencial efecto como disruptor endocrino.
REFERENCIAS BIBLIOGRÁFICAS
1. Kabir ER, Rahman MS, Rahman I. A review on endocrine disruptors and their possible impacts on human health. Environ Toxicol Pharmacol 2015;40:241-258.
2. Lauretta R, Sansone A, Sansone M, Romanelli F, Appetecchia M. Endocrine disrupting chemicals: effects on endocrine glands. Front Endocrinol 2019;10:1-7.
3. Colborn T. Neurodevelopment and endocrine disruption. Environ Health Perspect 2004;112:944-949.
4. Martinez DB, Papadopoulos V. Mechanisms mediating environmental chemical-induced endocrine disruption in the adrenal gland. Front Endocrinol 2015;6:1-12.
5. Goldner WS, Sandler DP, Yu F, Hoppin JA, Kamel F, LeVan TD. Pesticide use and thyroid disease among women in the Agricultural Health Study. Am J Epidemiol 2010;171:455-464.
6. Schug TT, Janesick A, Blumberg B, Heindel JJ. Endocrine disrupting chemicals and disease susceptibility. J Steroid Biochem Mol Biol 2011;127:204-215
7. Boas M, Feldt-Rasmussen U, Skakkebæk NE, Main KM. Environmental chemicals and thyroid function. Eur J Endocrinol 2006;154:599-611
8. Palacios-Prü EL, Mendoza-Briceño RV. An unusual relationship between glial cells and neuronal dendrites in olfactory bulbs of Desmodus rotundus. Brain Res 1972;36: 404-408.
9. Watson HL. Staining of tissue sections for electron microscopy with heavy metals. J Biophys Biochem Cytol 1958;4:475-478.
10. Reynolds ES. The use of lead citrate at high pH as an electron opaque stain electron microscopy. J Cell Biol 1963;17:208-212.
11. Sato T. A modified method for lead staining of thin sections. J Electron Microsc. 1967;16:133.
12. Thruhaut R, Vernin H. Micromethode de determination de L / Activité Cholinetérasique dans le sang total. Les Cahiers de Notes Documentaires Juillet 1964;1.
13. Akhtar N, Kayani SA, Ahmadt MM, Shahab M. Insecticide-induced changes in secretory activity of the thyroid gland in rats. J Appl Toxicol 1996;16:397-400.
14. Satar S, Satar D, Kirim S, Leventerler H. Effects of acute organophosphate poisoning on thyroid hormones in rats. Am J Ther 2005;12:238-242.
15. De Angelis S, Tassinari R, Maranghi F, Eusepi A, Di Virgilio A, Chiarotti F, Ricceri L, Venerosi Pesciolini A, Gilardi E, Moracci G, Calamandrei G, Olivieri G, Mantovani A. Developmental exposure to chlorpyrifos induces alterations in thyroid and thyroid hormone levels without other toxicity signs in Cd1 mice. Toxicological Sciences 2009;108:311-319
16. Leemans M, Couderq S, Demeneix B, Fini JB. Pesticides with potential thyroid hormone-disrupting effects: a review of recent data. Front Endocrinol 2019;10:1-29.
17. Miranda de Contreras L. Efectos de la exposición crónica a plaguicidas en los trabajadores agrícolas de Bailadores, Municipio Rivas Dávila, Estado Mérida, Venezuela Avances en Biomedicina. 2013; doi: 148.215.1.176/articulo.oa?id=331330397013
18. Goldner WS, Sandler DP, Yu, Shostrom V, Hoppin JA, Kamel Freya, LeVan TD. Hypothyroidism and pesticide use among male private pesticide applicators in the Agricultural Health Study. J Occup Environ Med 2013;55:1171-1178.
19. Fernández DG, Mancipe LC, Fernández DC. Intoxicación por organofosforados. Rev Fac Med 2010;18:84-92.
20. Savorío IE, Mora M, Durán MP. Intoxicación por organofosforados. Revista Medicina Legal de Costa Rica 2019;36:110-117.
21. Division of Cancer Cause and Prevention. Carcinogenesis Testing Program.. Bioassay of Malathion for Possible Carcinogenicity. Program Toxicol Natl Tech Rep Ser 1979;192:1-87
22. Satar D, Satar S, Mete UO, Suchard JR, Topal M, Karakoc E, Kaya M. Ultrastructural changes in rat thyroid tissue after acute organophosphate poisoning and effects of antidotal therapy with atropine and pralidoxime: A single-blind, ex vivo study. Curr Ther Res Clin Ex 2008;69:334-342.
23. Salvatore D, Davies TF, Schlumberger MJ, Hay ID, Larsen PR. Thyroid physiology and diagnostic evaluation of patients with thyroid disorders. En: Melmed Shlomo, Polonsky Kenneth S, Larsen P Reed, Kronenberg Henry M. Williams Textbook of Endocrinology. 12th edition. Philadelphia: Elsevier Saunders; 2011 pp:327-361
24. Ghisari M, Long M, Tabbo A, Bonefeld-Jørgensen EC. Effects of currently used pesticides and their mixtures on the function of thyroid hormone and aryl hydrocarbon receptor in cell culture. Toxicol Appl Pharmacol 2015;284:292-303.
25. Miller–Pérez C, Sánchez–Islas E, Mucio–Ramírez S, Mendoza–Sotelo J, León–Olea M. Los contaminantes ambientales bifenilos policlorinados (PCB) y sus efectos sobre el sistema nervioso y la salud. Salud Ment 2009;32:335-346.
26. Soltaninejad K, Abdollahi M. Current opinion on the science of organophosphate pesticides and toxic stress: A systematic review. Med Sci Monit 2009;15:75-90
27. Ahmed RS, Seth V, Pasha ST, Banerjee BD. Influence of dietary ginger (Zingiber officinales Rosc) on oxidative stress induced by malathion in rats. Food Chem Toxicol 2000;38:443-450.
28. Ayub S, Verma J, Das N. Effect of endosulfan and malathion on lipid peroxidation, nitrite and TNF-alpha release by rat peritoneal macrophages. Int Immunopharmacol 2003;3:1819-1828.
29. Akhgari M, Abdollahi M, Kebryaeezadeh A, Hosseini R, Sabzevari O. Biochemical evidence for free radical-induced lipid peroxidation as a mechanism for subchronic toxicity of malathion in blood and liver of rats. Hum Exp Toxicol 2003;22:205-211.
30. Brocardo PS, Pandolfo P, Takahashi RN, Rodrigues AL, Dafre AL. Antioxidant defenses and lipid peroxidation in the cerebral cortex and hippocampus following acute exposure to malathion and/or zinc chloride. Toxicology 2005;207:283-291.
31. Possamai FP1, Fortunato JJ, Feier G, Agostinho FR, Quevedo J, Wilhelm Filho D, Dal-Pizzol F. Oxidative stress after acute and sub-chronic malathion intoxication in Wistar rats. Environ Toxicol Pharmacol 2007;23:198-204.
32. Trevisan R, Uliano-Silva M, Pandolfo P, Franco JL, Brocardo PS, Santos AR, Farina M, Rodrigues AL, Takahashi RN, Dafre AL. Antioxidant and acetylcholinesterase response to repeated malathion exposure in rat cerebral cortex and hippocampus. Basic Clin Pharmacol Toxicol 2008;102:365-369.
33. Shady Abeer M, Noor El-Deen Fayroz I. Effect of chlorpyrifos on thyroid gland of adult male albino rats. Egypt J Histol 2010;33: 441-450.
34. Vandenberg LN, Welshons WV, Vom Saal F, Toutain PL, Peterson Myers J. Should oral gavage be abandoned in toxicity testing of endocrine disruptors? Environmental Health 2014;13:46 doi: 10.1186/1476-069X-13-46.
35. Bousquet WF, Rupe BD, Miya TS: Endocrine modification of drug responses in the rat. J Pharmacol Exp Ther 1965;147:376-379.
36. Pollack GM, Browne JL, Marton J, Haberer LJ: Chronic stress impairs oxidative metabolism and hepatic excretion of model xenobiotic substrates in the rat. Drug Metab Dispos 1991;19:130-134.
37. Taxvig C, Hadrup N, Boberg J, Axelstad M, Bossi R, Bonefeld-Jørgensen EC, Vinggaard AM. In vitro - in vivo correlations for endocrine activity of a mixture of currently used pesticides. Toxicol Appl Pharmacol 2013;272:757-766.