Resumen:
Objetivo: Se presenta un caso de dermatitis autoinmune por progesterona.
Caso clínico: Mujer de 28 años de edad que acudió por presentar erupción eritematosa crónica, pruriginosa desde hace aproximadamente 2 años. La lesión aparecía de forma cíclica justo antes del ciclo menstrual que duraba 3 - 4 días y desaparecía espontáneamente a los 1- 2 días siguientes a la menstruación. El examen físico mostró lesión en forma de placa eritematosa de color uniforme en hombro derecho. La biopsia demostró dermatoepidermitis con hemorragia dérmica intersticial e infiltración de linfocitos perivasculares y presencia de eosinófilos. El análisis de inmunofluorescencia directa de la zona perilesional fue negativo. La prueba de sensibilidad a la progesterona con inyección intradérmica mostró reacción eritematosa local. Los resultados obtenidos fueron considerados como positivos. Todos estos hallazgos permitieron realizar el diagnóstico de dermatitis autoinmune por progesterona. Se indicó tratamiento con agonistas de la hormona liberadora de gonadotropina por 3 meses con mejoría marcada.
Conclusión: La dermatitis autoinmune por progesterona es una afección en la que el ciclo menstrual se asocia con una serie de hallazgos cutáneos como eritema multiforme, eccema, urticaria, angioedema y anafilaxia inducida por progesterona. Estos pueden confundirse frecuentemente con otras formas de dermatosis. Ocurre de 3 a 10 días antes del inicio de la menstruación y desaparece a los 2 días. La patogenia es desconocida. El diagnóstico debe confirmarse por pruebas cutáneas para identificar la respuesta inflamatoria característica. El tratamiento es la inhibición de la secreción de progesterona por supresión de la ovulación.
Palabras clave:Dermatitis autoinmune por progesteronaDermatitis autoinmune por progesterona,progesteronaprogesterona,menstruaciónmenstruación,ciclo menstrualciclo menstrual,dermatosisdermatosis.
Abstract:
Objective: A case of autoimmune progesterone dermatitis is presented.
Clinical case: Twenty-eight years old woman who presented with a chronic itchy rash for approximately 2 years. The lesion appeared cyclically just before the menstrual cycle lasting 3-4 days and spontaneously disappeared 1-2 days after menstruation. Physical examination showed an erythematous plaque-like lesion of uniform color on the right shoulder. The biopsy showed dermatoepidermitis with interstitial dermal hemorrhage and infiltration of perivascular lymphocytes and the presence of eosinophils. Direct immunofluorescence analysis of the perilesional area was negative. The progesterone sensitivity test with intradermal injection showed a local erythematous reaction. The results obtained were considered as positive. All these findings allowed the diagnosis of progesterone autoimmune dermatitis to be made. Treatment with gonadotropin-releasing hormone agonists was indicated for 3 months with marked improvement.
Conclusion: Progesterone autoimmune dermatitis is a condition in which the menstrual cycle is associated with a series of skin findings, such as erythema multiforme, eczema, urticaria, angioedema, and progesterone-induced anaphylaxis. These can often be confused with other forms of dermato sis. It occurs 3 to 10 days before the start of menstruation and disappears after 2 days. The pathogenesis is unknown. The diagnosis must be confirmed by skin tests to identify the characteristic inflammatory response. Treatment is inhibition of progesterone secretion by suppression of ovulation.
Keywords: Autoimmune progesterone dermatitis, progesterone, menstruation, menstrual cycle, dermatosis.
CASO CLÍNICO
DERMATITIS AUTOINMUNE POR PROGESTERONA.
AUTOIMMUNE PROGESTERONE DERMATITIS.

Recepción: 15 Mayo 2020
Aprobación: 15 Agosto 2020
La dermatitis autoinmune por progesterona es una enfermedad rara causada por una respuesta autoinmune a la progesterona en mujeres durante la edad fértil1. Las lesiones cutáneas y mucosas cíclicas aparecen periódicamente durante la fase lútea del ciclo menstrual en estrecha relación con el aumento de las concentraciones de progesterona1,2,3. Las mujeres con lesiones cutáneas eccematosas a menudo son diagnosticadas erróneamente como dermatitis eccematoide o alérgica de contacto, lo que lleva a retrasos en el tratamiento específico1. Se presenta un caso de dermatitis autoinmune por progesterona.
Se trata de mujer de 28 años de edad, nuligesta, quien acudió a la consulta por presentar erupción eritematosa crónica, pruriginosa y recurrente, localizada en hombro derecho desde hacía aproximadamente 2 años. La lesión cutánea aparecía de forma cíclica justo antes del ciclo menstrual, variando en intensidad, que duraba 3 a 4 días y desaparecía espontáneamente a los 1- 2 días siguientes a la menstruación. Había sido diagnosticada inicialmente como dermatitis por contacto y tratada con diferentes fármacos tópicos y parenterales con escasa mejoría del cuadro clínico. Negaba antecedentes del uso de hormonas, métodos anticonceptivos o algún otro medicamento. También negaba antecedentes personales o familiares de enfermedades alérgicas.
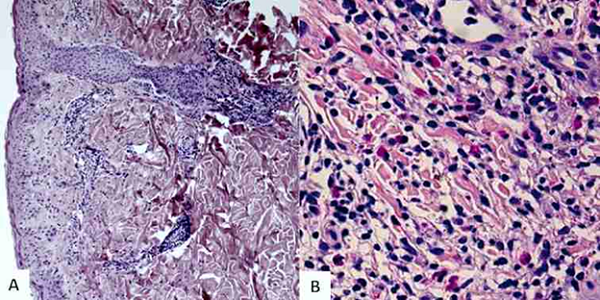
El examen físico era normal, con evidencia de lesión en forma de placa eritematosa de color uniforme de aproximadamente 4 centímetros de diámetro ubicada en el hombro derecho (figura 1). El resto del examen físico y la ecografía pélvica estaban dentro de límites normales. No se encontraron otros síntomas sistémicos asociados, sugestivos de condiciones autoinmunes. Las pruebas de laboratorio, incluida hematología completa, funcionalismo renal y hepático, electrolitos y glucemia en ayunas, estaban normales. Las pruebas de coagulación, función tiroidea y de detección de enfermedades autoinmunes no mostraron anomalías. La concentración de progesterona fue 12 ng/mL durante la fase lútea. La biopsia de la zona eritematosa demostró dermatoepidermitis con hemorragia dérmica intersticial, infiltración de linfocitos perivasculares y presencia de eosinófilos, sin otras alteraciones (figura 2). El análisis de inmunofluorescencia directa de la zona perilesional fue negativo.
Basado en antecedentes y hallazgos clínicos del eritema en momentos específicos del ciclo menstrual, fue realizada la prueba de sensibilidad a la progesterona con inyección intradérmica de 0,1 mg de gestodeno en la cara anterior de ambos antebrazos. La prueba del pinchazo mostró reacción eritematosa local de aproximadamente 1 centímetro de diámetro el mismo día. La prueba con histamina mostró lesión eritematosa de 1,2 centímetros de diámetro y la prueba con solución salina no mostró modificaciones. Al día siguiente la zona de prueba mostró ausencia del eritema con induración del lugar de la inyección. Los resultados obtenidos fueron considerados como positivos. Todos estos hallazgos permitieron realizar el diagnóstico de dermatitis autoinmune por progesterona.
Se indicó tratamiento con agonistas de la hormona liberadora de gonadotropina por 3 meses con mejoría marcada. Durante el seguimiento, el eritema no reapareció en los días previos a la menstruación en los 4 meses siguientes al final del tratamiento. Posteriormente, fue evaluada a lo largo de 18 meses para observar su respuesta al tratamiento y se le aconsejo sobre el uso de anticonceptivos orales combinados y evitar el uso de progestinas exógenas.


En algunas mujeres, ciertas manifestaciones dermatológicas están asociadas con el ciclo menstrual. La dermatitis autoinmune por progesterona es una reacción cíclica rara y difícil de diagnosticar, cuya presentación clínica es extremadamente variable y aparece en forma recurrente durante la fase lútea del ciclo menstrual. La progesterona aumenta 14 días antes de la menstruación, alcanzando el pico máximo a los 7 días y regresa a valores normales 1 - 2 días después del inicio de la menstruación.. Esta dermatosis, que se observa exclusivamente en mujeres durante los años reproductivos, desaparece por completo durante la menopausia, lo que destaca la importancia del desencadenante hormonal3. El primer caso documentado fue publicado en 1921 que describió lesiones urticariales agudas causadas por la administración de suero premenstrual. En la actualidad han sido descritos aproximadamente 60 casos4.
La patogenia exacta de la dermatitis autoinmune por progesterona es desconocida. Es posible que existan varias causas, ya que presentan diferentes manifestaciones, resultados de laboratorio y reacciones observadas en las pruebas cutáneas. Como teoría inicial fue propuesta la exposición de progesterona exógena (como anticonceptivos orales o en dispositivos intrauterinos) a células presentadoras sensibilizadas y linfocitos TH2 que generaban anticuerpos IgE específicos, llevando a la condición en mujeres predispuestas. Sin embargo, este mecanismo no explicaría la dermatitis en pacientes no expuestas a progesterona exógena, como en el caso de la paciente de este reporte. También se ha sugerido que tanto hidrocortisona como 17-α-hidroxiprogesterona producen sensibilidad cruzada y pueden causar sensibilización, pero no ha sido confirmado5. Las alteraciones moleculares de la hormona endógena también han sido utilizadas para explicar la conexión entre la respuesta inmunológica a las altas concentraciones de progesterona y las reacciones de hipersensibilidad2. No obstante, las concentraciones de estrógeno, prostaciclina y gonadotropina coriónica también pueden estar asociadas a la aparición de los síntomas en algunos casos6.
La presencia de anticuerpos contra la progesterona sugiere otros mecanismos patogénicos, incluida la reacción de hipersensibilidad de tipo III por complejos antígeno-anticuerpo que se depositan en la zona de la lesión7. Los estudios de inmunofluorescencia y pruebas de desgranulación de basófilos han encontrado anticuerpos contra progesterona en algunos casos. Además, los resultados de pruebas cutáneas con progesterona han mostrado tanto reacciones inmediatas (menos de 30 minutos) como tardías (entre 24 y 48 horas después). Esto presumiblemente indicaría reacciones de hipersensibilidad de tipo I y tipo IV8. Además, la progesterona tiene efecto directo sobre la liberación de histamina por los mastocitos9. Otro estudio encontró aumento de liberación de interferón-γ in vitro, lo que posiblemente indicaría la participación de las citocinas de tipo TH13. La eosinofilia también parece estar asociada al cuadro clínico en algunos casos y se ha descrito disminución del recuento total de eosinófilos después del tratamiento.. Finalmente, la importancia biológica de la mayor expresión de la adiponectina, un regulador de la homeostasis energética y antagonista de los receptores de melanocortina, sigue sin estar clara10.
La morfología de las lesiones de la dermatitis autoinmune por progesterona es variable e incluye eritema multiforme, urticaria, parches eccematosos, angioedema, lesiones papulopustulares / papulovesiculares, estomatitis, foliculitis, síndrome de Stevens-Johnson, reacciones vesiculobulosas y erupción cutánea tipo herpetiforme. Todas sufren agravamiento cíclico y recurrente, generalmente aparecen 3 - 10 días antes del inicio de la menstruación y desaparecen 1 - 2 días después. Las lesiones son progresivas, están asociadas a las concentraciones de progesterona durante la fase lútea del ciclo menstrual y la severidad puede variar de casi indetectable a choque anafiláctico.. Pueden ser localizadas o generalizadas y aparecen más comúnmente en cara, pero también existen informes de aparición en tronco, manos, mucosa orofaríngea y vulvovaginal. También pueden acompañarse de reacciones anafilácticas, edema laríngeo, hipotensión, broncoespasmo y shock, pero son poco frecuentes. La edad de inicio es variable, con la edad más temprana informada en la menarquia2. En el caso de este reporte, la lesión estaba ubicaba en el hombro derecho con una aparición inicial a los 26 años de edad.
Los síntomas durante el embarazo y el puerperio pueden aparecer, mejorar o empeorar. En estas condiciones existe aumento de unas 20 veces en las concentraciones de progesterona en comparación con las previas al embarazo11. La mejoría de la sintomatología es estos periodos puede deberse al lento aumento de las concentraciones que actúa como desensibilización, disminuyendo la respuesta inmune o por el aumento de producción de glucocorticoides antiinflamatorios8.
El diagnóstico de dermatitis autoinmune por progesterona, además de la sintomatología, necesita ser confirmado por la prueba intradérmica con progesterona en suspensión o solución acuosa, ya que los compuestos oleosos pueden producir resultados falsos positivos. Otra opción es realizar la prueba de provocación vaginal o la prueba con parches para evaluar mejor la reacción de hipersensibilidad. Las dosis de progesterona o acetato de medroxiprogesterona para las pruebas son variables.. Las pruebas pueden mostrar resultados positivos hasta 24 - 48 horas después de realizarlas1,12. En el caso reportado la prueba fue realizada con gestodeno con reacción positiva antes de las primeras 24 horas. No obstante, estas pruebas pueden ser negativas en pacientes con síntomas clínicos típicos13. Otros métodos diagnósticos han sido propuestos para evaluar el componente inmunológico e incluyen determinación de anticuerpos circulantes a la progesterona, pruebas de desgranulación de basófilos, inmunofluorescencia directa e indirecta de las células luteinizantes del cuerpo lúteo e identificación de células productoras de interferón sensibles a la progesterona3,8. Sin embargo, estos marcadores no siempre son confiables, probablemente debido a que la patogénesis de esta condición aún no ha sido completamente descrita11. Tampoco existen características histológicas específicas en la biopsia de las lesiones, ya que los hallazgos histológicos son extremadamente variables y normalmente reflejan el cuadro clínico. El infiltrado perivascular dérmico compuesto por linfocitos mixtos y eosinófilos es un patrón común. Los estudios de inmunofluorescencia suelen ser negativos2.
Algunos autores sugieren que el diagnóstico clínico necesita, además de las erupciones cutáneas recurrentes, dos de los siguientes cuatro criterios: 1) prueba cutánea intradérmica con progestinas positiva; 2) prevención del brote premenstrual inhibiendo la ovulación; 3) presencia de anticuerpos circulantes contra la progesterona; y 4) aparición de sintomatología con prueba hormonal intramuscular14. La paciente del presente caso cumplió dos de los criterios para el diagnóstico de la condición.
Actualmente no existe un tratamiento de elección único. La dermatitis autoinmune por progesterona es más sensible a la supresión de la secreción de progesterona que al tratamiento con corticosteroides o antihistamínicos convencionales. El uso de corticosteroides sistémicos, generalmente a dosis altas, puede controlar las lesiones cutáneas en algunos casos1,13. Los primeros informes describían intentos de desensibilización con algunas sustancias derivadas del cuerpo lúteo, sin embargo, los resultados fueron temporales11. Las modalidades terapéuticas actuales intentan inhibir la producción de progesterona endógena al suprimir la ovulación. Los anticonceptivos orales a menudo se usan como terapia inicial, pero tienen éxito limitado, posiblemente debido a que la mayoría tienen algún análogo de progesterona. Los estrógenos conjugados son útiles, pero frecuentemente es necesario utilizar dosis altas. Además, debido al mayor riesgo de carcinoma endometrial, no es utilizado en la actualidad15. Los agonistas de la hormona liberadora de gonadotropinas son útiles para inducir la remisión del cuadro clínico al provocar supresión ovárica12. Sin embargo, los efectos secundarios incluyen síntomas como sofocos, resequedad vaginal, disminución de la densidad mineral ósea y puede ser necesario la suplementación con estrógenos.
Los esteroides alquilados (estanozolol y danazol), combinados en ocasiones con dosis bajas de corticosteroides, suprimen la ovulación con éxito. No obstante, los efectos secundarios incluyen hirsutismo, disfunción hepática y trastornos del estado de ánimo, lo que limita su utilidad clínica2. Otra opción terapéutica utilizada es el tamoxifeno, pero también puede producir síntomas relacionados a la deficiencia de estrógenos. Además, está asociado con mayor riesgo de trombosis venosa y aparición de cataratas4,13. Otros tratamientos útiles incluyen azatioprina, hidroxicloroquina, dapsona y ciclosporina. Sin embargo, su uso es limitado porque parecen ineficaces o tienen efectos secundarios significativos2. En los casos refractarios al tratamiento médico, la ooforectomía bilateral es el tratamiento definitivo, pero solo en aquellas pacientes con indicaciones11. La paciente del presente caso fue tratada con agonistas de la hormona liberadora de gonadotropina, sin presentar recurrencia del cuadro clínico durante el periodo de seguimiento por consulta externa.
La dermatitis autoinmune por progesterona es un trastorno poco frecuente como reacción a las concentraciones de progesterona durante la fase lútea. La patogenia es desconocida, pero es considerada como una reacción de hipersensibilidad. El diagnóstico está basado en las manifestaciones clínicas acompañadas de los resultados de las pruebas intradérmicas con progesterona. Las pacientes pueden presentar manifestaciones inusuales, lo que lleva a un diagnóstico tardío. Los trastornos dermatológicos pueden variar desde erupción mensual cíclica asociada a la fase lútea hasta reacción cutánea continua y, más raramente, reacciones anafilácticas sistémicas recurrentes. El propósito del tratamiento es la supresión de la función ovárica.

