CASO CLÍNICO
LINFOMA PRIMARIO DE GLÁNDULA SUPRARRENAL COMO CAUSA DE INSUFICIENCIA ADRENAL.
PRIMARY ADRENAL GLAND LYMPHOMA AS A CAUSE OF ADRENAL INSUFFICIENCY.
LINFOMA PRIMARIO DE GLÁNDULA SUPRARRENAL COMO CAUSA DE INSUFICIENCIA ADRENAL.
Revista Venezolana de Endocrinología y Metabolismo, vol. 18, núm. 3, pp. 127-133, 2020
Sociedad Venezolana de Endocrinología y Metabolismo

Recepción: 15 Marzo 2020
Aprobación: 15 Agosto 2020
Resumen:
Objetivo: Reportar un caso de linfoma primario de glándula suprarrenal como causa de insuficiencia adrenal.
Caso clínico: Se trata de paciente femenina de 62 años quien consultó por presentar pérdida de peso, anorexia, malestar general y sudoración nocturna. Al examen físico hiperpigmentación difusa en piel y mucosa oral y evidencia de hipotensión postural. El abdomen estaba blando, depresible, con dolor a la palpación en ambos flancos y presencia de tumor palpable en ambas regiones lumbares. La ecografía abdominal demostró tumores en ambas glándulas suprarrenales, lo cual fue confirmado por tomografía computada que identificó tumoraciones grandes, heterogéneas y necróticas en ambas glándulas suprarrenales con contornos lobulados, sin evidencia de linfadenopatías retroperitoneales o afección visceral. La tomografía por emisión de positrones mostró captación intensa de fluorodeoxiglucosa en ambas glándulas suprarrenales. Las pruebas de laboratorio demostraron el diagnóstico de insuficiencia suprarrenal con prueba de estimulación negativa. La biopsia de la glándula suprarrenal izquierda confirmó el diagnóstico de linfoma primario. La paciente inició la quimioterapia y tratamiento de sustitución con hidrocortisona.
Conclusión: Los linfomas extra-ganglionares pueden aparecer en cualquier órgano. El linfoma primario de la glándula suprarrenal es un tipo muy raro de linfoma extra-ganglionar. La presentación clínica es inespecífica y puede incluir dolor abdominal, pérdida de peso, fiebre, anemia, náuseas y vómitos. Frecuentemente puede manifestarse como tumores suprarrenales bilaterales y la insuficiencia suprarrenal es una complicación común. Debe considerarse en el diagnóstico diferencial de las tumoraciones suprarrenales bilaterales, especialmente si el paciente presenta insuficiencia suprarrenal. El pronóstico es malo.
Palabras clave: Linfoma primario de glándula suprarrenal, linfoma, glándula suprarrenal, insuficiencia suprarrenal.
Abstract:
Objective: To report a case of primary adrenal gland lymphoma as a cause of adrenal insufficiency.
Clinical case: A 62-year-old female patient who consulted for presenting weight loss, anorexia, malaise and night sweats. On physical examination, diffuse hyperpigmentation of the skin and oral mucosa and evidence of postural hypotension. The abdomen was soft, depressible, with pain on palpation on both flanks and the presence of a palpable tumor in both lumbar regions. Abdominal ultrasound showed tumors in both adrenal glands, which was confirmed by computed tomography that identified large, heterogeneous, and necrotic tumors in both adrenal glands with lobed contours, with no evidence of retroperitoneal lymphadenopathy or visceral involvement. Positron emission tomography showed intense uptake of fluorodeoxyglucose in both adrenal glands. Laboratory tests demonstrated the diagnosis of adrenal insufficiency with a negative stimulation test. Biopsy of the left adrenal gland confirmed the diagnosis of primary lymphoma. Patient started chemotherapy and hydrocortisone replacement treatment.
Conclusion: Extra-ganglionic lymphomas can appear in any organ. Primary lymphoma of the adrenal gland is a very rare type of extranodal lymphoma. The clinical presentation is nonspecific and may include abdominal pain, weight loss, fever, anemia, nausea, and vomiting. It can often manifest as bilateral adrenal tumors, and adrenal insufficiency is a common complication. It should be considered in the differential diagnosis of bilateral adrenal tumors, especially if the patient has adrenal insufficiency. The prognosis is bad.
Keywords: Primary adrenal gland lymphoma, lymphoma, adrenal gland, suprarrenal insufficiency.
INTRODUCCIÓN.
Los linfomas no Hodgkin pueden surgir en tejidos distintos a los ganglios linfáticos, clasificándose como linfomas extra-ganglionares y las ubicaciones más comunes son tracto gastrointestinal, sistema nervioso central y piel1. El linfoma suprarrenal primario es una entidad rara, aunque la frecuencia del diagnóstico ha aumentado en la última década. Hasta la fecha existen informes de menos de 200 casos de linfoma suprarrenal primario, representando menos del 1% de todos los casos de linfoma no Hodgkin, y la insuficiencia suprarrenal puede ser el principal síntoma de presentación2,3.
El linfoma primario de glándula suprarrenal afecta con más frecuencia a hombres de edad avanzada y es bilateral en aproximadamente 70% de los casos. La insuficiencia suprarrenal ocurre donde más del 90% del tejido ha sido destruido y se observa con frecuencia en pacientes con esta condición4. Los dos subtipos más comunes de linfoma son el de células B grandes difusas y el de células T perifericas5. El pronóstico es malo y la supervivencia libre de enfermedad no es mayor de 1 año en la mayoría de los informes, a pesar del tratamiento extenso2. Se presenta un caso de linfoma primario de glándula suprarrenal como causa de insuficiencia adrenal.
CASO CLÍNICO.
Se trata de paciente femenina de 62 años quien consultó por presentar pérdida de peso, anorexia, malestar general y sudoración nocturna desde hacía 4 meses. Refería pérdida de aproximadamente 10 kilogramos en unos 7 meses y antecedentes de hipertensión arterial crónica desde hacía 5 años, tratada de forma irregular. Negaba fiebre y antecedentes familiares o personales de neoplasias. Al examen físico se encontró talla de 1,67 metros, 70 kilogramos de peso, ligero aumento de la temperatura corporal (38,1ºC), frecuencia cardiaca de 85 latidos por minuto, presión arterial de 145/89 mm de Hg. Se encontró hiperpigmentación difusa en piel y mucosa oral e hipotensión postural, con valores de presión arterial de 100/65 mm de Hg al cambio de posición, con frecuencia cardiaca de 90 latidos por minuto. Los ruidos cardiacos estaban rítmicos sin soplos y el murmullo vesicular audible sin agregados. El abdomen estaba blando depresible con dolor a la palpación en ambos flancos y evidencia de tumoración en ambas regiones lumbares. No se encontraron linfadenopatías axilares e inguinales.
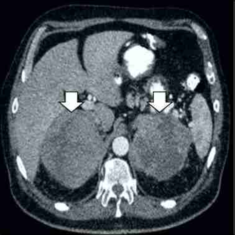
La ecografía abdominal demostró tumores en ambas glándulas suprarrenales. Este hallazgo fue confirmado por imágenes de la tomografía computada que identificaron tumoraciones grandes, heterogéneas y necróticas en ambas glándulas suprarrenales con contornos lobulados (11 x 8 x 7 centímetros de diámetro para la glándula suprarrenal derecha y 9 x 6 x 5 centímetros de diámetro para la glándula suprarrenal izquierda), sin evidencia de linfadenopatías retroperitoneales o afección visceral (figura 1). Las imágenes de tomografía computarizada del resto del cuerpo fueron negativas para cualquier linfadenopatías o compromiso de otros órganos. La tomografía por emisión de positrones mostró captación intensa de fluorodesoxiglucosa en ambas glándulas suprarrenales sin captación por los ganglios linfáticos paraaórticos retroperitoneales (figura 2). La radiografía de tórax, la endoscopia superior y la colonoscopia no mostraron hallazgos anormales.
Las pruebas de hematología, perfil hepático, funcionalismo renal y marcadores tumorales (alfafetoproteína, gonadotropina coriónica y antígeno carcinoembriogénico) estaban dentro de límites normales. Los valores de laboratorio fueron de cortisol 15,2 pg/dL (valor normal 6 - 25 pg/dL), hormona adrenocorticotropa (ACTH) 112,7 pg/mL (valor normal 7,2 – 63,3 pg/mL), sulfato de dehidroepiandrosterona 0,21 pg/mL (valor normal 0,9 – 3,6 pg/mL) y lactato deshidrogenasa de 4109 UI/L (valor normal 105–333 UI/L). Los valores de 17-hidroxiprogesterona, testosterona, aldosterona, renina, metanefrina y normetanefrina plasmáticas y anticuerpos suprarrenales estaban dentro de límites normales. Los valores de laboratorio demostraron el diagnóstico de insuficiencia suprarrenal (cortisol plasmático 18 pg/dL después de la prueba de estimulación con Synacthen con valores de hormona ACTH de 20 pg/mL. El resultado normal de la prueba es aumento de los valores de 3-5 veces). Los resultados de las pruebas serológicas para virus de inmunodeficiencia humana, hepatitis, criptococosis e histoplasmosis fueron negativos. En vista de los hallazgos se inició tratamiento de reemplazo con hidrocortisona a dosis de 10 mg/día.
Después de descartar la posibilidad de feocromocitoma por pruebas bioquímicas, se realizó biopsia por aspiración con aguja gruesa guiada por ecografía de la glándula suprarrenal izquierda.


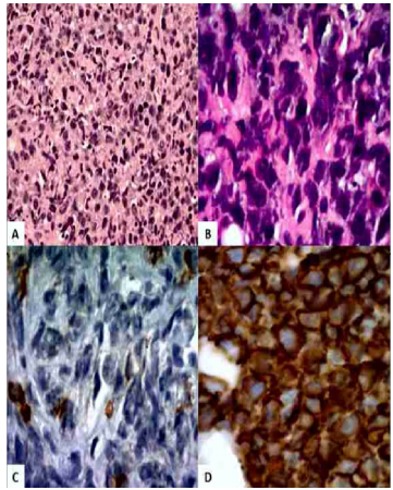
La biopsia demostró células B grandes y difusas en centros no germinales con inmunofeno tipo positivo para BCL-6 y BCL-2. Las tinciones inmunohistoquímicas indicaron que las células también fueron positivas para CD20 y MUM-1 y negativas para inhibina, sinaptofisina, cromogranina, CK7, CK20, pancitoqueratina, ciclina D1, CD10, CD5 y CD23. Los linfocitos T reactivos fueron positivos para CD3 (figura 3). Además, el 70% de las células eran Ki67 positivas. La biopsia de medula ósea fue negativa para compromiso linfomatoso. En vista de los hallazgos la enfermedad fue catalogada como linfoma no Hodgkin primario de glándulas suprarrenales de categoría IV de acuerdo al sistema Ann Arbor y de alto grado de acuerdo al Índice Pronóstico Internacional.

Evaluación histológica de la biopsia de glándula suprarrenal. A) Células pequeñas azules con escaso citoplasma eosinofílico núcleos grandes irregulares hipercromáticos (coloración hematoxilina-eosina, 100X). B) Células con 2-3 nucleolos prominentes con varios cuerpos apoptóticos (coloración hematoxilina-eosina 400X) C) Coloración inmunohistoquímica positiva para el antígeno común de leucocitos (200X). D) Coloración inmunohistoquímica positiva y difusa para el marcador CD20 en la membrana y citoplasma (200X)
La paciente fue referida al servicio de oncología médica, en el cual fue tratada con 6 sesiones de la combinación rituximab, ciclofosfamida, doxorrubicina, vincristina y prednisona. El tratamiento de sustitución con hidrocortisona fue administrado desde el sexto día luego de cada ciclo de quimioterapia hasta el inicio del siguiente. Las imágenes de tomografía computada sin contraste y por emisión de positrones mostraron reducción significativa del tamaño de los tumores suprarrenales bilaterales previamente descritos, con restauración parcial de la morfología (figura 4). Luego de la sexta sesión de quimioterapia, la paciente mostró excelente respuesta al tratamiento con presencia de tejido de cicatrización en las glándulas suprarrenales residuales y remisión completa de la condición clínica.

Imágenes posteriores al tratamiento con quimioterapia. A) Imagen de tomografía computada que muestra tejido suprarenal cicatrizal con aparente remisión completa del linfoma. B) Imagen de tomografía por emisión de positrones que muestra glándulas suprarrenales metabólicamente activas y de tamaño cercano al normal.
DISCUSIÓN.
Los tumores de glándulas suprarrenales generalmente son detectados durante evaluaciones radiológicas por otras patologías y en la mayoría son casos de adenomas benignos. El linfoma primario de la glándula suprarrenal es una condición rápidamente progresiva con mal pronóstico. Afecta una o ambas glándulas suprarrenales en pacientes sin antecedentes de linfoma previo. En el caso de afección en otras regiones, la lesión suprarrenal debe ser dominante2. Aparece como tumores bilaterales en 70% de los casos6. Es más frecuente en sujetos entre 39 - 89 años, con edad promedio de 68 años, siendo los hombres más afectados que las mujeres con relación de 1,8:1,17. Además, representa menos del 1% de todos los linfomas no Hodgkin y 3% de los linfomas extra-ganglionares5. El tipo más común es de células B grandes y difusas (85% de los casos), seguido por el de tipo mixto de células grandes y pequeñas, linfoma de células T y linfoma indiferenciado8. En este caso el linfoma fue del tipo células B grandes y difusas.
La patogénesis del linfoma primario de la glándula suprarrenal es multifactorial y no ha sido posible identificarla con exactitud. La teoría más aceptada es que puede surgir asociada a un cuadro de adrenalitis autoinmune previa, Sin embargo, esto es cuestionable, ya que solo se ha informado de un caso con antecedentes de esta condición autoinmune2. También se ha propuesto que puede estar relacionada a células hematopoyéticas en reposo dentro de la glándula suprarrenal, las cuales también han sido encontradas en pacientes con mielolipoma suprarrenal. Otras etiologías asociadas a estos casos incluyen mutaciones de los genes p53 y c-kit, virus de Epstein-Barr y polioma JC y antecedentes de disfunción inmune9.
La presentación clínica generalmente es inespecífica y puede incluir dolor abdominal, pérdida de peso, fiebre, anemia, náuseas y vómitos10. Esta sintomatología puede enmascarar el diagnóstico de insuficiencia suprarrenal y el paciente puede desarrollar una crisis suprarrenal si no puede ser diagnosticado en forma oportuna11. Las características clínicas de la insuficiencia suprarrenal aparecen cuando más del 90% del tejido de ambas glándulas ha sido destruido por infiltración de células neoplásicas12. Algunos casos pueden presentar insuficiencia suprarrenal asintomática diagnosticada por la respuesta inadecuada a la prueba de estimulación. En contraste con las metástasis en las glándulas suprarrenales, que en pocas ocasiones producen hipoadrenalismo, 50% - 70% de los pacientes con linfoma primario de la glándula suprarrenal bilateral tienen manifestaciones de insuficiencia suprarrenal primaria independientemente del tamaño del tumor13. La sintomatología incluye diferencias a la sintomatología de la insuficiencia suprarrenal, como síntomas relacionados al tumor (fiebre, sudoración nocturna y pérdida de peso) y dolor abdominal secundario a la presión mecánica causada por el tumor grande (que ocurre en cerca de dos tercios de los pacientes)2. El tamaño del linfoma suprarrenal subyacente no muestra necesariamente correlación con la insuficiencia suprarrenal9. En el presente caso la paciente presentó la sintomatología clínica característica.
Las características en las imágenes de tomografía computada del linfoma primario de las glándulas suprarrenales son variables y debe diferenciarse de tuberculosis, adenoma suprarrenal no funcional, carcinoma suprarrenal, feocromocitoma y metástasis. Alrededor del 90% de los tumores suprarrenales mayores de 4 centímetros de diámetro son malignos. Otras características predictoras de malignidad incluyen bordes irregulares, calcificaciones y características heterogéneas con degeneración quística. Por el contrario, una disminución de la captación del contraste superior al 50% luego de 10 minutos tiene una sensibilidad y especificidad del 100% para lesiones suprarrenales benignas. La afección suprarrenal por tumores malignos suele ser metastásica, por diseminación hematológica desde otros órganos como piel, pulmones, mamas y colon. La diseminación linfática a las glándulas suprarrenales es menos común y generalmente proviene de ganglios linfáticos retroperitoneales14. En el presente caso no había evidencia de enfermedad metastásica de las glándulas suprarrenales.
La confirmación histopatológica es necesaria, ya que el tratamiento es diferente a otras neoplasias suprarrenales. Los linfomas primarios de glándulas suprarrenales son difíciles de diagnosticar por imágenes, por lo tanto, es obligatorio confirmar los hallazgos histológicos en biopsias guiadas por imágenes después de excluir cualquier trastorno funcional. Las causas de tumores suprarrenales de gran tamaño incluyen enfermedad metastásica (cáncer de pulmón, renal, ovárico y melanoma), carcinoma adrenocortical, feocromocitoma, mielolipoma, hiperplasia suprarrenal macronodular, hiperplasia suprarrenal congénita, adenomas funcionales, lesiones infiltrativas (sarcoidosis y amiloidosis) e infecciones (tuberculosis, criptococosis e histoplasmosis). Las causas de tumores suprarrenales bilaterales asociado a insuficiencia suprarrenal incluyen carcinoma pulmonar metastásico, feocromocitoma, tuberculosis y amiloidosis10. La concentración elevada de lactato deshidrogenasa es característica del linfoma.
Existen informes de casos publicados que carecen de los valores de catecolaminas o metanefrinas plasmáticas o urinarias. En este caso los valores de catecolaminas estaban dentro de límites normales. Es importante considerar la posibilidad del diagnóstico de feocromocitoma en pacientes con tumores suprarrenales bilaterales con sospecha de malignidad, incluso cuando no existe hipertensión, dado el riesgo de crisis adrenérgica potencialmente mortal luego de la biopsia o resección quirúrgica. Un informe previo describió un caso de paciente normotenso con linfoma primario de glándula suprarrenal con valores ligeramente elevados de catecolaminas plasmáticas y urinarias15.
El manejo óptimo del linfoma primario de glándulas suprarrenales es controversial. Las opciones terapéuticas incluyen cirugía, radiación y quimioterapia. La resección suprarrenal y la radioterapia adyuvante pueden considerarse para reducir el volumen del tumor. La adrenalectomía puede no ser útil debido el riesgo de recurrencia, alto riesgo de morbi-mortalidad asociado y ningún efecto sobre la supervivencia general. La mejor opción de tratamiento es la quimioterapia y es el tratamiento de primera línea14. En este caso la paciente fue tratada con la combinación de rituximab, ciclofosfamida, doxorrubicina, vincristina y prednisona. La eficacia de la radioterapia no está definida13. Los regímenes de quimioterapia utilizados son similares a los habitualmente utilizados en otros casos de linfoma. El trasplante autólogo de células madre de sangre periférica también es una posible opción terapéutica, especialmente en pacientes jóvenes8,13. Algunos autores han informado resultados positivos, pero su uso debe ser individualizado y en etapas tempranas de la enfermedad.
El pronóstico de los pacientes es generalmente malo. Algunas investigaciones describen que la supervivencia global a 2 años es 68% y la supervivencia libre de progresión es 51%. La supervivencia general es de 13 - 15 meses, aunque la quimioterapia más rituximab han revolucionado el pronóstico, la remisión duradera en los pacientes con linfoma primario de glándula suprarrenal no es común y solo un tercio de los casos lo logran después del tratamiento13. Posiblemente la remisión completa en este caso puede estar asociada al uso de rituximab. Las tasas de supervivencia general son similares para los casos con afección de ambas glándulas comparadas con aquellos casos con tumores unilaterales. Los predictores de mal pronóstico son: edad avanzada, afección suprarrenal bilateral, insuficiencia suprarrenal al momento del diagnóstico, tumor de gran tamaño, concentraciones elevadas de deshidrogenasa láctica y linfoma de células B no germinales2.
REFERENCIAS BIBLIOGRÁFICAS.
1. Lee DY, Kang K, Jung H, Park YM, Cho JG, Baek SK, Kwon SY, Jung KY, Woo JS. Extranodal involvement of diffuse large B-cell lymphoma in the head and neck: An indicator of good prognosis. Auris Nasus Larynx 2019;46:114-121.
2. Ram N, Rashid O, Farooq S, Ulhaq I, Islam N. Primary adrenal non-Hodgkin lymphoma: a case report and review of the literature. J Med Case Rep 2017;11:108. https://doi.org/10.1186/s13256-017-1271-x
3. Erçolak V, Kara O, Günaldı M, Usul Afşar C, Bozkurt Duman B, Açıkalın A, Ergin M, Erdoğan S. Bilateral primary adrenal non-hodgkin lymphoma. Turk J Haematol 2014;31:205-206.
4. Cambiaso P, Bottaro G, Cianfarani S, Tomà P, Vito RD, Cappa M. An incidental finding of bilateral adrenal lymphoma. Am J Med Sci 2016;352:80.
5. Khurana A, Kaur P, Chauhan AK, Kataria SP, Bansal N. Primary Non Hodgkin's Lymphoma of left adrenal gland - a rare presentation. J Clin Diagn Res 2015;9:XD01-XD03.
6. Herndon J, Nadeau AM, Davidge-Pitts CJ, Young WF, Bancos I. Primary adrenal insufficiency due to bilateral infiltrative disease. Endocrine 2018;62:721-728.
7. Raoofziaee M, Yarmohamadi A, Ahmadnia H. Primary bilateral non-Hodgkin's lymphoma of the adrenal gland. Indian J Urol 2018;34:300-302.
8. Padhi S, Sahoo J. Primary adrenal non Hodgkin lymphoma: changing trends. Turk J Gastroenterol 2015;26:85-86.
9. Malik S, Chapman CB, Drew O. A case of primary adrenal diffuse large B-cell lymphoma in HIV. Int J STD AIDS 2016;27:687-689.
10. Karimi F. Primary adrenal lymphoma presenting with adrenal failure: a case report and review of the literature. Int J Endocrinol Metab 2017;15:e12014. doi: 10.5812/ijem.12014.
11. Simpson WG, Babbar P, Payne LF. Bilateral primary adrenal non-Hodgkin's lymphoma without adrenal insufficiency. Urol Ann 2015;7:259-261.
12. Spyroglou A, Schneider HJ, Mussack T, Reincke M, von Werder K, Beuschlein F. Primary adrenal lymphoma: 3 case reports with different outcomes. Exp Clin Endocrinol Diabetes 2011;119:208-213.
13. De Miguel Sánchez C, Ruiz L, González JL, Hernández JL. Acute adrenal insufficiency secondary to bilateral adrenal B-cell lymphoma: a case report and review of the literature. Ecancermedicalscience 2016;10:634. doi: 10.3332/ecancer.2016.634
14. Aziz SA, Laway BA, Rangreze I, Lone MI, Ahmad SN. Primary adrenal lymphoma: Differential involvement with varying adrenal function. Indian J Endocrinol Metab 2011;15:220-223.
15. Babinska A, Peksa R, Sworczak K. Primary malignant lymphoma combined with clinically "silent" pheochromocytoma in the same adrenal gland. World J Surg Oncol 2015;13:289. doi: 10.1186/s12957-015-0711-6.