VIRUS HERPES HUMANO-8: ESTRUCTURA, FUNCIÓN Y NEOPLASIAS ASOCIADAS
VIRUS HERPES HUMANO-8: ESTRUCTURA, FUNCIÓN Y NEOPLASIAS ASOCIADAS
Revista Venezolana de Oncología, vol. 28, núm. 4, pp. 216-227, 2016
Sociedad Venezolana de Oncología
Recepción: 21052016
Revisado: 15062016
Aprobación: 07072016
Resumen: El virus herpes Humano-8 fue descubierto en el año 1994, y está relacionado con el desarrollo de todas las formas clínicas de sarcoma de Kaposi, la enfermedad de Castleman multicéntrica y el linfoma primario de efusión. En el presente trabajo se describe su estructura, epidemiología, el genoma viral y su expresión, los genes asociados con la latencia y la replicación viral lítica, la oncogénesis viral, las neoplasias asociadas, y los mecanismos virales involucrados en la reactivación de los tumores. El conocimiento de la biología de este virus es fundamental para establecer medidas que reduzcan su diseminación; así como, desarrollar terapias más selectivas contra las neoplasias asociadas a este virus.
Palabras clave: VHH-8, estructura, función, neoplasias.
Abstract: The human herpes Virus-8 was discovered in the year 1994 and it is related with the development of all the clinical variants of the Kaposi sarcoma, the multicentric Castleman disease and the primary effusion lymphoma. In the present work; the structure, the epidemiology, the viral genome and its expression, and the genes associated with the viral latency and the lytic replication, the viral oncogenesis, associated neoplasias and the viral mechanisms involved in tumor reactivation were described. The knowledge of the viral biology is essential for the development of measures that reduce the viral dissemination, and also the use of more selective treatments against the neoplasias associated with this virus.
Keywords: HHV-8, structure, function, neoplasias.
VIRUS HERPES HUMANO-8: ESTRUCTURA, FUNCIÓN Y NEOPLASIAS ASOCIADAS
INTRODUCCIÓN
El Virus Herpes Humano-8 (VHH-8) es el virus oncogénico descrito más recientemente. Su papel fundamental radica en contribuir con el desarrollo del Sarcoma de Kaposi (SK), la Enfermedad de Castleman Multicéntrica (ECM) y el Linfoma Primario de Efusión (LPE). En el presente trabajo se realizó un estudio del VHH-8 incluyendo los siguientes aspectos: estructura, epidemiología, el genoma viral y su expresión, los genes asociados con la latencia y la replicación viral lítica, la oncogénesis viral, las neoplasias asociadas, y los mecanismos virales involucrados en la reactivación de los tumores. El conocimiento de la biología de este virus, nos permitirá establecer medidas de control para evitar su diseminación; así como, desarrollar terapias más selectivas que nos ayuden a mejorar la calidad de vida y sobrevida global de los pacientes.
ESTRUCTURA
Desde la asociación del SK con el Síndrome de Inmunodeficiencia Adquirida (SIDA), se venía sospechando la presencia de un agente infeccioso en su etiología, e inicialmente se pensó en el mismo Virus de Inmunodeficiencia Humana (VIH) o en el Citomegalovirus (CMV). El primer reporte encontró partículas similares a un virus herpes en células cultivadas de SK, y posteriormente fueron identificadas como CMV; sin embargo, la participación del CMV en el origen del SK nunca fue confirmada. En el año 1994 secuencias similares a un virus herpes se identificaron en una biopsia de SK asociado al SIDA a través de una reacción en cadena de la polimerasa (PCR) de sustracción, esta técnica se llamó análisis de representación diferencial. Ella permite la amplificación preferencial de secuencias de ADN representativas del tejido afectado, las cuales están ausentes en el tejido sano del mismo individuo. La secuencia encontrada era homóloga pero no idéntica a algún virus herpes conocido. Por esta razón, este virus se llamó virus herpes asociado al SK (VHSK) o VHH-8 por ser el octavo virus herpes conocido. Secuencias del VHH-8 se han encontrado en tejido del SK y no en piel normal. Posteriormente, secuencias del ADN del VHH-8 y el ADN viral se han detectado en biopsias de todas las formas clínicas del SK y no en el tejido sano. El VHH-8 se encuentra localizado principalmente en las células endoteliales y en las células peri-vasculares en forma de huso. Para poder confirmar el papel etiológico del VHH-8, la presencia del virus debe detectarse antes de la aparición del SK. Varios estudios se han dirigido a examinar la determinación del ADN viral y la seroconversión antes del desarrollo del SK. En pacientes VIH positivo seguidos antes y después de la aparición del SK, se observó que aquellos pacientes con el ADN del VHH-8, al entrar al estudio o en cualquier momento antes del desarrollo del SK, estaban en forma significativa más propensos a la aparición del SK que aquellos pacientes que no tenían el ADN viral previo al desarrollo del SK. Además, aquellos pacientes que desarrollaron el SK tenían mayor probabilidad de tener la serología positiva para el VHH-8 antes del comienzo del SK que aquellos que nunca tuvieron SK. Por lo tanto, está claro que no todos los pacientes que presentan el VHH-8 van a desarrollar SK; sin embargo, el VHH8 juega un papel importante, pero no suficiente para que aparezca el SK. Es muy probable que otros factores, tales como la inmunosupresión, se requieran para el desarrollo del SK. El VHH-8 pertenece a la subfamilia de los gamma-herpes virus, esta subfamilia se puede dividir en dos subgrupos, gamma-1 o linfocryptovirus y gamma-2 o rhadinovivrus. El virus de Epstein-Barr (VEB) es el prototipo virus gamma-1 y el herpes virus simio saimiri es el prototipo del herpes virus gamma-2. El VHH-8 se clasifica como gamma-2 rhadinovirus, y es el primer virus que afecta al humano identificado en esta subfamilia (Figura 1). El genoma del VHH-8 tiene aproximadamente 165 Kb (Kilobases) de longitud, y de éstas, aproximadamente 140 Kb son exclusivamente ADN rodeado por dos regiones terminales de repetición de 25 a 35 Kb cada una. El genoma presenta aproximadamente 80 marcos abiertos para la lectura (ORF) de secuencias codificadas por el genoma, y tiene una significativa homología con el género rhadinovirus de la subfamilia de los gamma-herpes virus que se caracterizan por infectar a los linfocitos. Una característica fundamental de los gamma-herpes virus, es la capacidad que tienen de incorporar genes del huésped, tales como la ciclina D y el factor de crecimiento-interleuquina-6 (IL-6) en su genoma, y de esta manera estos genes intervienen en las funciones de replicación, sobrevida y transformación del virus. La Figura 2 es una microfotografía electrónica del VHH-8 que muestra la cápside completa; esta es la cubierta exterior proteica que protege el material genético del virus; los capsómeros, estos son las unidades proteicas que integran la cápside, y el patrón de “huella digital” originado por la presencia del ADN viral (1). La figura 3 nos muestra la estructura del genoma del VHH-8, sus ORF, los genes que codifican proteínas homólogas a las proteínas humanas responsables de vías de señalización, y que son únicas del VHH-8 y otros rhadinovirus relacionados, y las regiones homólogas a los otros virus herpes (2).



EPIDEMIOLOGÍA
A diferencia de otros virus herpes, la infección por el VHH-8 no parece estar ampliamente distribuida en la mayoría de la población. La detección de la infección por el VHH-8 recae fundamentalmente en la presencia de anticuerpos contra antígenos latentes o líticos y tienen mucha variación entre los diferentes ensayos utilizados en los estudios de seroprevalencia. Se han descrito diferentes metodologías para identificar los anticuerpos contra el VHH-8, y la mayoría se basan en antígenos de inmunofluorescencia provenientes de líneas celulares de linfoma de células B las cuales han sido infectadas con el VHH-8 o mediante la técnica de ELISA utilizando proteínas inmunogénicas recombinantes o péptidos provenientes del VHH-8. El procedimiento de estos ensayos es muy variable lo cual determina las diferencias en la seroprevalencia reportada en los diferentes estudios. En América del Norte y el norte y oeste de Europa la seroprevalencia en la población adulta general o en los donantes de sangre oscila entre 0 % y 8 %. En estos países, la seroprevalencia del VHH-8 oscila entre 25 % y 50 % en hombres homosexuales y es el reflejo de la incidencia del SK asociado a la infección por el VIH. Por el contrario, la seroprevalencia del VHH-8 es alta en la población adulta general en regiones de Brasil, Guayana Francesa, la región mediterránea y el sur y el centro de África; en estas áreas la seroprevalencia se encuentra entre un 10 % hasta un 80 %, estas regiones se consideran endémicas para el VHH-8. Los países de África Central como la República del Congo, Uganda y Zambia tienen la seroprevalencia de infección por el VHH-8 más alta del mundo. Por lo tanto, la seroprevalencia del VHH-8 va estrechamente ligada al SK, con la infección por el VHH-8 más alta en áreas geográficas donde las formas clásicas y endémicas del SK son más comunes. En Venezuela, en el año 2007, se realizó un estudio preliminar de la seroprevalencia de la infección por el VHH-8 en pacientes con la infección por el VIH con/sin SK. En el ensayo se utilizó el ADN proveniente de células mononucleares periféricas el cual fue amplificado a través de la PCR en condiciones específicas para el fragmento de 233- pares de bases (SK330233) que incluyó el ORF 26, como fue previamente descrito (2). La seroprevalencia del VHH-8 en los pacientes con la infección por el VIH sin SK fue 0 %, y durante 2 años de seguimiento ninguno de ellos desarrolló el sarcoma; en cambio, la seroprevalencia en los pacientes con la infección por el VIH y SK fue de 20 % (3,4). Estos datos iniciales sugieren que en nuestros pacientes la infección por el VHH-8 es baja en comparación con otras regiones del mundo. Además de los estudios de seroprevalencia, se han realizado estudios moleculares que sugieren la presencia de 4 subtipos genéticos (A- D) y uno misceláneo del VHH-8 (5). Caterino-de-Araujo (6) analizó las secuencias del VHH-8 de pacientes con SK asociado a la infección por el VIH proveniente de Brasil, y encontró que la mayoría pertenecían a los subtipos B y C; además, los pacientes en su mayoría eran de origen europeo. Boralevi y col. (7), reportaron la variabilidad genética de pacientes con SK asociado a la infección por el VIH provenientes de Francia. Ellos encontraron que un 53,5 % de los VHH-8 pertenecían al subtipo B, un 39,5 % al subtipo A y un 3 % al subtipo C. Los pacientes con SK y el subtipo A tenían más compromiso visceral y mucoso que aquellos pacientes con SK y el subtipo B. En Venezuela (8), encontramos en pacientes con SK asociado a la infección por el VIH el subtipo B en el 56 % de los pacientes, el subtipo C en el 33 % y el subtipo A en el 11 % de ellos. Los datos reportados en este estudio son muy parecidos a los reportados por Caterino-de-Araujo (6). Nuestro grupo no tenía un origen directo europeo sino representaba una población mestiza de españoles, indios y negros. Pensamos que existe una distribución geográfica de los subtipos del VHH-8 más que una asociación con grupos étnicos. En EE.UU la distribución de los subtipos es completamente opuesta al grupo francés (6) siendo el subtipo A, el predominante. Estos hallazgos refuerzan el concepto de una distribución geográfica de los subtipos del VHH-8. Otro hallazgo importante en relación a los subtipos es su correlación con las manifestaciones clínicas del SK. En nuestro grupo predominó el subtipo B el cual se asoció solamente con manifestaciones clínicas cutáneas del SK, a diferencia del subtipo A que se asoció a lesiones mucosas y viscerales. A pesar de los hallazgos descritos, se necesitan estudios con mayor número de pacientes para conocer mejor la epidemiología molecular del VHH-8 y la correlación de los diferentes subtipos con las manifestaciones clínicas del SK (9).
EL GENOMA VIRAL Y SU EXPRESIÓN
Los cambios genéticos en los genes reguladores; predominantemente oncogenes, genes supresores y genes que regulan la apoptosis, pueden conducir al desarrollo de las neoplasias. El potencial transformador de estos virus oncogénicos ADN consiste en estimular las células en fase G0 a entrar en el ciclo celular y promover la fase S de síntesis de ADN. Los genes virales logran este objetivo afectando los genes supresores pRb (proteína del retinoblastoma) y el gen p53 encargados de mantener la integridad del genoma favoreciendo la reparación del ADN defectuoso; y si esto no se logra, promoviendo la apoptosis. Existen dos tipos de genes virales: los responsables de la infección latente lo que permite la persistencia del genoma viral, y los involucrados en la infección lítica los cuales conllevan a la destrucción de la célula huésped y la liberación de nuevas partículas virales (10).
GENES VIRALES ASOCIADOS CON LA INFECCIÓN LATENTE
LANA (Latency Associated Nuclear Antigen, ORF 73), ciclina viral (v-ciclina, ORF 72) y la v-FLIP (viral-Fas-associated death domain like interleukin-1-γ- converting enzyme inhibitory protein, ORF 71), son genes involucrados en la latencia del VHH-8. La LANA bloquea la pRb y el gen p53; y además, interviene en la replicación y la transcripción de material genético viral extra cromosómico que funciona en forma autónoma (episoma viral). La v-ciclina se encuentra relacionada con el gen humano de la ciclina D2 e inactiva la pRb y favorece la progresión de la célula de la fase G1 a fase S. La v-FLIP protege la célula de la apoptosis y promueve el crecimiento tumoral. Finalmente, los genes expresados durante la infección latente, promueven el crecimiento celular por medio de la activación de genes del ciclo, y bloquean la apoptosis de las células tumorales infectadas por el virus (Figura 4)(10).

GENES ASOCIADOS CON LA INFECCIÓN VIRAL LÍTICA
Estos genes favorecen la replicación viral y promueven el crecimiento tumoral. Entre estos genes podemos señalar la vGPCR (viral-G-Protein-Coupled-Receptor, ORF 74) la cual induce la formación de lesiones angioproliferativas parecidas al SK; el v-bcl2 (viral, homólogo al humano), este gen inhibe la apoptosis; la v-IL-6 (viral-interleukin-6), esta proteína evita que las células infectadas por el VHH-8 sean eliminadas por el α-interferón y finalmente las quimosinas virales las cuales promueven la angiogénesis del SK (Figura 4)(10).
ONCOGÉNESIS VIRAL
Una propiedad común, que comparte el VHH-8 con otros miembros de los γ-herpesvirus, tal como el VEB, es la capacidad de inducir proliferación de las células infectadas del huésped y conducir a la formación de neoplasias. La infección primaria de las células endoteliales por el VHH-8 conduce a cambios morfológicos y fenotípicos en estas células las cuales se llegan a parecer a las células en huso del SK, sugiriendo que el VHH-8 juega un papel importante en la transformación maligna de estas células y en la patogénesis del SK. El VHH-8 codifica un número de genes virales, tanto propios como homólogos a genes celulares, que contribuyen en la tumorogénesis. Algunos de estos genes virales tienen el potencial de transformación, tales como el gen viral K1 kaposina y el gen vGPCR. Otras son proteínas virales que tienen homología con su contraparte celular. Estas proteínas pueden alterar la regulación del crecimiento celular y conducir a transformación. Estos genes incluyen la IL-6 viral, la IL-10 viral, las quimocinas clase cc viral y la proteína viral inhibitoria FLICE (vFLIP). Además, hay otros genes virales que son responsables de la latencia viral, tales como el antígeno de latencia asociados al núcleo (LANA) y el K15. Estos genes están involucrados en varias estrategias que utiliza el virus para mantener la infección viral y así conducir a la transformación maligna. Estas estrategias comprenden la estimulación de la proliferación celular, la activación de genes celulares, la inmunosupresión y la modulación de la vigilancia inmunológica. Estos genes virales pueden también participar indirectamente en la vía de regulación de otros genes. El gen K1 del VHH-8 es el primer ORF del genoma viral. El codifica una proteína transmembrana con un dominio citoplasmático el cual contiene un inmunoreceptor de activación compuesto de tirosina llamado motif (ITAM). El ITAM motif está involucrado en la señal de transducción de la interacción del ligando con el receptor. Además, la señalización del gen K1 es capaz de inducir la activación y proliferación de las células B infectadas a través de la fosforilación de proteínas en señales de transducción. Se ha demostrado que el gen K1 tiene la capacidad de provocar transformación celular, este gen transforma células de ratón in vitro las cuales causan tumores en ratones desnudos. Además, este gen es capaz de remplazar al gen de transformación (STP) del herpes virus saimiri y producir la inmortalización de los linfocitos T del mono marmosete. Ratones transgénicos que expresan el gen K1 desarrollan plasmocitomas malignos; estas células tienen niveles elevados de NF-kB y otros factores celulares de transcripción, lo cual sugiere que la pérdida de la regulación de funciones celulares normales inducidas por el gen K1, es capaz de conducir al desarrollo de linfoma de células B. La kaposina viral u ORF K-12 también se ha demostrado que juega papel en la transformación. El gen kaposina se expresa durante la latencia pero también se puede inducir en la replicación lítica. Este gen se expresa en gran cantidad durante la latencia y tiene un patrón de transcripción complejo el cual origina tres formas de la proteína kaposina conocidas como A, B y C. La kaposina A es una proteína de membrana que tiene la capacidad de transformar células in vitro y estas a su vez pueden producir tumores en ratones desnudos. La kaposina B juega papel en la liberación de citoquinas; ella se une a la vía de señalización de las kinasas activadas por mitógenos (MAPK) lo cual conduce a la liberación de abundantes citoquinas inflamatorias lo cual contribuye al desarrollo del SK. Aún se desconoce la función de la kaposina C. El vGPCR es un gen lítico homólogo al receptor celular de interleuquina-8 (IL-8), excepto por estar expresado en forma constitutiva. El vGPCR del VHH-8 tiene la capacidad de transformar células in vitro y promueve la inmortalización de células endoteliales y la formación de tumor en presencia de genes latentes del VHH-8; lo cual sugiere, que tanto los genes líticos y latentes son importantes durante el desarrollo del SK. El vGPCR es capaz de estimular las vías de señalización MAPK y PI3K lo cual conduce a la estimulación de un gran número de genes celulares los cuales aumentan la proliferación de las células infectadas por VHH-8. La activación del vGPCR ha sido asociada al aumento de la secreción del factor de crecimiento endotelial vascular (VEGF) y de sus receptores, lo cual conlleva a la inducción de la respuesta angiogénica y de esa manera se incrementa el crecimiento de las células inmortalizadas infectadas por VHH-8 tanto in vitro como in vivo a través de una vía paracrina mediada por el vGPCR .
Además del vGPCR, hay otros genes virales que tienen homología con los genes celulares; tales como IL-6 viral, quimosinas cc viral (cCCLs), y el vFLIP. La vIL-6 del VHH-8 tiene tanto las secuencias y funciones similares a la IL-6 celular, y solo difiere en la capacidad de unirse a los receptores celulares y además, es capaz de promover el crecimiento de las células infectadas y protegerlas del efecto antiviral mediado por el interferón. Otros genes virales como el K4, K4.1 y el K6, a través de la inducción de quimosinas, son capaces de aumentar la angiogénesis y contribuir con la tumorogénesis. El gen vFLIP, con su ORF 71, es un gen viral latente que codifica la proteína FLIP la cual es muy parecida a la proteína FLIP celular. Esta proteína facilita el crecimiento de las células de linfoma y le confiere resistencia a la apoptosis a las células infectadas. Además, el gen vFLIP induce cambios morfológicos en las células endoteliales y las hace similar a las células en huso características del SK. Estos hallazgos, junto al efecto antiapoptótico, le confiere al vFLIP un papel determinante en el desarrollo del SK.
Otra proteína que puede contribuir con el desarrollo del SK es LANA. La LANA del VHH-8 es una fosfoproteína nuclear la cual es importante en mantener la latencia del virus; además, es multifuncional porque es capaz de unirse a numerosas proteínas celulares. Ella se puede unir al p53 y a la pRb y de esta manera proteger a las células infectadas de la apoptosis .Estas funciones, junto a la capacidad de aumentar la regulación de la β-catenina, permiten la entrada de la célula a la fase-S, modulando de esta manera el ciclo celular y contribuyendo al desarrollo de la neoplasia (9).
NEOPLASIAS ASOCIADAS
SARCOMA DE KAPOSI (SK)
El SK fue originalmente descrito por Moritz Kaposi en 1872 como lesiones múltiples pigmentadas de sarcoma en la piel. La manifestación inicial del SK recibe el nombre de “lesión en parche” y se caracteriza por ser una mácula rojiza, indolora, bien delimitada, frecuentemente unilateral en miembros inferiores. La lesión está formada por espacios vasculares irregulares alrededor de la vasculatura existente. La lesión progresa de parche a placa en la medida que estos espacios se colocan en forma alineada con células endoteliales y células proliferantes en forma de huso, presumiblemente también de origen endotelial. La lesión en esta etapa está discretamente elevada. Posteriormente puede evolucionar al nódulo, el cual se caracteriza por ser de apariencia sólida, de color rojo violáceo con algunas áreas de hiperqueratosis y tendencia a la ulceración . En los estadios avanzados, las lesiones son frecuentemente bilaterales y pueden comprometer toda la extremidad; así como, las mucosas y presentar edema alrededor. La lesión nodular está formada por haces de células proliferantes en forma de huso, linfocitos y eritrocitos extravasados en los espacios en forma de hendidura. Estas lesiones pueden unirse y originar grandes masas nodulares. Han sido reconocidos cuatro tipos epidemiológicos del SK: el clásico, el endémico, el iatrogénico y el asociado a la infección por el VIH. El SK clásico es la variante descrita inicialmente por Kaposi. Ocurre predominantemente en personas mayores, entre 50 y 80 años de edad, provenientes de la región mediterránea y Europa del este, así como, en personas de origen judío. Se observa principalmente en hombres, con una relación hombre/mujer de 10-15 a 1, es muy infrecuente en niños y adultos jóvenes. El SK endémico fue descrito inicialmente en los años 60 en países del sur y este de África. Este sarcoma se observaba fundamentalmente en hombres con una relación hombre/mujer de 10-17 a 1, una edad promedio de 40 años y las lesiones eran principalmente nodulares, con tendencia a ulcerarse y se distribuían en forma centrífuga. Su evolución era indolente por varios años y posteriormente se hacían más agresivas y diseminadas. El SK iatrogénico o asociado a trasplante fue reconocido inicialmente en los años 70. Se asoció este SK a la terapia inmunosupresora que recibían los pacientes trasplantados. Las lesiones aparecían entre 2 meses y 8 años de iniciada la terapia. La relación hombre/mujer era 2-3 a 1, y la ubicación del sarcoma era predominantemente en piel e infrecuentemente comprometía otros órganos y regresaba al suspender la terapia. El cuarto tipo de SK es el asociado a la infección por el VIH. A diferencia del crecimiento lento e indolente del SK clásico, esta variante de SK se desarrolla rápidamente extendiéndose de los miembros inferiores al tronco, cara, ganglios linfáticos, con diseminación frecuente al tracto gastrointestinal, pulmón, hígado y bazo. Debido a su rápida diseminación y dificultad en su tratamiento, puede ser una enfermedad muy debilitante y dolorosa. Desde el comienzo de la epidemia del SIDA, las características clínicas del SK han cambiado en forma dramática, especialmente en África. Antes de los años 80, el SK era un tumor raro e indolente observado principalmente en hombres de edad avanzada; a raíz de la epidemia del SIDA, el SK se ha comenzado a ver frecuentemente en niños como tumor diseminado, resistente a la quimioterapia y el cual los lleva a la muerte al cabo de 1 a 3 años (Figura 5)(9).

Sarcoma de Kaposi. (A): Microfotografía mostrando células endoteliales con mitosis atípicas glóbulos rojos extravasados, y una proliferación de estroma fusocelular (H&E, 400x). (B): Lesión en la punta de la nariz en paciente VIH +. (C): nódulo en miembro inferior en paciente VIH +. (D): Lesiones nodulares de sarcoma de Kaposi clásico en pie derecho.
ENFERMEDAD DE CASTLEMAN MULTICÉNTRICA (ECM)
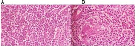
La enfermedad de Castleman, también conocida como hiperplasia linfoide angiofolicular, es una enfermedad linfoproliferativa cuya prevalencia ha venido en ascenso en los pacientes con la infección por el VIH, y ha sido asociada con el VHH-8 y el SK. La enfermedad de Castleman comprende dos entidades: la forma localizada (enfermedad de Castleman unicéntrica) y la ECM. La ECM en pacientes VIH negativo, se presenta alrededor de la sexta década de la vida, compromete los ganglios linfáticos y otros órganos comportándose de una manera muy agresiva. La histología de la enfermedad de Castleman se divide en dos subgrupos: la variante hialino vascular la cual se encuentra en el 90 % de la enfermedad de Castleman unicéntrica, y la variante de células plasmáticas en el 10 %. En la ECM la frecuencia es totalmente opuesta, encontrándose la variante de células plasmáticas en el 80 % - 90 % de los casos de ECM y solo un 10 % - 20 % representan la variante hialino vascular, formas mixtas se pueden observar en muy pocos casos. La patogénesis de la ECM no está clara, la infección de inmunoblastos por el VHH-8 y la producción de la IL-6 viral juegan un rol importante en el desarrollo de la enfermedad. A diferencia del SK, donde las secuencias del VHH-8 se pueden detectar en casi todas las muestras, las células B en la ECM no se encuentran infectadas por el VHH-8. Estudios de hibridización in situ, han demostrado que las células infectadas por el VHH-8 se encuentran principalmente en las células del manto de los folículos linfoides y que altas concentraciones de la IL-6 viral pueden ser detectadas, lo que sugiere que las células no infectadas son reclutadas y estimuladas a crecer en las áreas afectadas (11). La ECM se caracteriza por manifestaciones clínicas que aparecen y luego remiten; por eso es necesario, definir cuáles de ellas son las que confirman el diagnóstico de enfermedad activa. Para establecer el diagnóstico de enfermedad activa el paciente debe tener fiebre, aumento de la proteína-C reactiva, asociado con otros tres hallazgos clínicos de los doce que han sido descritos: síndrome adenomegálico, esplenomegalia, edema, derrame pleural, ascitis, tos, obstrucción nasal, xerostomía, rash, síntomas del sistema nervioso central, ictericia y anemia hemolítica autoinmune (Figura 6) (12).

LINFOMA PRIMARIO DE EFUSIÓN (LPE)
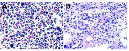
El LPE es un tumor muy raro, con una frecuencia estimada de 0,13 % de todas las enfermedades malignas asociadas al SIDA. Es un linfoma de células B donde predominan grandes células inmunoblásticas y anaplásicas. Se caracteriza clínicamente por derrames linfomatosos en cavidades serosas, produciendo derrames pleurales, pericárdicos y ascitis, sin un tumor sólido detectable. Su pronóstico es muy desfavorable, y la sobrevida promedio del paciente es de 5 a 7 meses desde el momento del diagnóstico. Todos los LPE son positivos para el VHH-8 y la mayoría además tiene infección concomitante con el VEB; estos virus interactúan para desarrollar el LPE. En modelo de ratones con inmunodeficiencia severa combinada, la asociación de células de LPE positivas para el VHH-8 con el VEB recombinante, aumenta el desarrollo del tumor. La proteína latente de membrana -1 (LPM-1) proveniente del VEB, puede estar relacionada con el desarrollo del tumor ya que su expresión se incrementa en presencia de los genes de latencia y líticos del VHH-8. A nivel molecular existe la cooperación entre ambos virus a través de las vías de señalización de transcripción, latencia y transformación (Figura 7)(13).
MIELOMA MÚLTIPLE (MM)
Han sido detectadas secuencias del VHH-8 en las células del estroma de la médula ósea en la mayoría de los pacientes con MM; en cambio, la detección de los anticuerpos contra los antígenos de latencia y líticos del VHH-8 ha sido variable. Los estudios iniciales, a finales de los años 90, mostraron la presencia del VHH-8 en el 92 % de los pacientes sin evidenciar la presencia de los anticuerpos. Este último hallazgo se ha atribuido a la inmunosupresión que acompaña a los pacientes con MM. Otros estudios han encontrado anticuerpos contra los antígenos de latencia en el 52 % de los pacientes con MM y en el 100 % del grupo que progresó a pesar del tratamiento. Se cree que el VHH-8 promueve el crecimiento y la sobrevida de las células tumorales a través de un mecanismo paracrino de secreción en el cual interviene la v-IL-6. Finalmente, a pesar de que diversos estudios reportan la presencia del VHH-8 en el estroma de la médula ósea de los pacientes con MM desde el año 1997, su participación en la patogénesis del MM continúa siendo controversial (14, 15).

MECANISMOS INVOLUCRADOS EN LA REACTIVACIÓN DE LOS TUMORES
Actualmente no se conocen con exactitud todos los mecanismos que puede utilizar el VHH-8 para reactivar las neoplasias. Han sido definidos dos mecanismos, el primero tiene relación con la interacción del VIH con el VHH-8, los cuales tienen una colaboración recíproca para su proliferación. El gen Tat (Trans-activator of transcription) del VIH codifica una proteína regulatoria que aumenta la eficiencia de la transcripción viral. Esta proteína aumenta la actividad de factores de transcripción nuclear, como el NF-kB (factor nuclear kappa), con lo cual se aumenta la expresión genética del VHH-8 (16,17). Posiblemente este mecanismo sea el responsable de la proliferación del VHH-8 cuando se incrementa la carga viral del VIH. Un segundo mecanismo que puede influir, está relacionado con cambios directamente relacionados con la estructura del VHH-8. Existen estudios que demuestran la existencia de inestabilidad genética del genoma del VHH-8 caracterizada por rupturas en la cadena del ADN durante la fase lítica de replicación las cuales no se reparan de una manera eficiente (18). Otra característica del genoma del VHH-8 es la variabilidad genética que puede ocurrir en un mismo huésped, este hecho probablemente esté relacionado con múltiples episodios de infección por el virus (19). Otro proceso que puede alterar la estructura genética del VHH-8, se refiere a cambios epigenéticos en las cadenas del ADN debidos principalmente a reacciones aberrantes de metilación, las cuales son capaces de producir silenciamiento de genes y reprimir su transcripción (20). Finalmente, vemos como existen diversos procesos que puede utilizar el VHH-8 para escapar de los mecanismos de defensa del huésped y posiblemente también de los agentes quimioterápicos, y reactivar de nuevo todos los mecanismos a nivel molecular para desarrollar las neoplasias asociadas a este virus.
Al finalizar la descripción del VHH-8 y las neoplasias asociadas, observamos la complejidad de la biología de este virus, generando latencia, replicación lítica, infección de linfocitos B y células endoteliales; además, originando transformación tumoral inhibiendo genes supresores y la apoptosis; así como el uso de genes de la célula del huésped. Todos estos mecanismos se encuentran amplificados por la interacción recíproca con el VIH y el VEB.
Podemos concluir que se necesitan todos estos conocimientos para poder definir estrategias con el objeto de disminuir la diseminación del virus, y además diseñar terapias dirigidas para el beneficio de los pacientes.
Referencias
1. Wu L, Lo P, Yu X, Stoops JX, Forghani B, Zhou ZH. Three-dimensional structure of the human herpes virus 8 capsid. J Virol. 2000;74(2):9646-9654.
2. Antman K, Chang Y. Kaposi´s sarcoma. N Engl J Med. 2000;342(14):1027-1038.
3. Hernández-Morales DE, Riera J, Pinto J, Marín ME, López JL. Human herpes virus 8 (HHV8): Detection in peripheral blood mononuclear cells (PBMC) from Venezuelan patients with human immunodeficiency virus-1 (HIV-1) infection with/without Kaposi´s sarcoma. ASCO Annual Meeting Proc. 2007;25(Suppl 18):S21124.
4. Hernández DE, Riera J, Pinto J, Marín ME, López JL. Virus herpes humano 8: Detección en las células mononucleares periféricas de pacientes con la infección por el virus de inmunodeficiencia humana con/sin sarcoma de Kaposi. Gac Méd Caracas. 2008;116:18-22.
5. Di Alberti L, Ngui SL, Porter SR, Speight PM, Scully CM, Zakrewska JM, et al. Presence of human herpes virus 8 variants in the oral tissues of human immunodeficiency virus infected persons. J Infect Dis. 1997;175(3):703-707.
6. Caterino-de-Araujo A. Human herpes virus 8 group B and C variants circulating in Sao Paulo, Brazil. J Infect Dis. 1998;177(4):1136-1137.
7. Boralevi F, Masquelier B, Denayrolles M, Dupon M, Pellegrin JL, Ragnaud JM, et al. Study of human herpesvirus (HHV-8) variants from Kaposi's sarcoma in France: Is HHV-8 subtype A responsible for more aggressive tumors? J Infect Dis 1998;178:1546-1547.
8. Hernández DE, Masquelier B, Pérez O, Oliver M, Fleury HJA. Human herpes virus 8 variants in Venezuelan patients with AIDS-related Kaposi sarcoma. Clin Infec Dis. 2003;36(3):385-386.
9. Hernández DE. Cáncer asociado a la Infección por el Virus de Inmunodeficiencia Humana. Caracas, Venezuela: Editorial Quantum CA; 2014.
10. Cathomas G. Kaposi´s sarcoma-associated herpes virus (KSHV)/ human herpes virus 8 (HHV-8) as a tumor virus. Herpes. 2003;10(3):72-77.
11. Katano H, Sato Y, Kurata T, Mori S, Sata T. Expression and localization of human herpesvirus 8-encoded proteins in primary effusion lymphoma, Kaposi´s sarcoma, and multicentric Castleman disease. Virology. 2000;269(2):335-344.
12. Hernández DE, Comegna M, López JL, García ML. Enfermedad de Castleman multicéntrica asociada a infección por virus de inmunodeficiencia humana. Reporte del primer caso venezolano. Rev Venez Oncol. 2016;28(2):52-56.
13. Chen YB, Rahemtullah A, Hochberg E. Primary effusion lymphoma. The Oncologist. 2007;12(5):569-576.
14. Chauhan D, Bharti A, Raje N, Gustafson E, Pinkus GS, Pinkus JL, et al. Detection of Kaposi´s sarcoma herpes virus DNA sequences in multiple myeloma bone marrow stromal cells. Blood. 1999;93(5):1482-1486.
15. Gao SJ, Alsina M, Deng JH, Harrison CR, Montalvo EA, Leach CT, et al. Antibodies to Kaposi´s sarcoma-associated herpesvirus (human herpesvirus 8) in patients with multiple myeloma. J Infect Dis. 1998;178(3):846-849.
16. Mercader M, Nickoloff BJ, Foreman KE. Inductions of human immunodeficiency virus 1 replication by human herpesvirus 8. Arch Pathol Lab Med. 2001;125(6):785-789.
17. Huang LM, Chao MF, Chen MY, Shih H, Chiang YP, Chuang CY, et al. Reciprocal regulatory interaction between human herpesvirus 8 and human immunodeficiency virus type 1. J Biol Chem. 2001;276(16):13427-13432.
18. Jackson BR, Noerenberg M, Whitehouse A. A novel mechanism inducing genome instability in Kaposi´s sarcoma associated herpes virus infected cells. PloS Pathog. 2014;10(5):e1004098.
19. Leao JC, de Faria AB, Fonseca DD, Gueiros LA, Silva IH, Porter SR. Intrahost genetic variability of human herpesvirus-8. J Med Virol. 2013;85(4):636-645.
20. Darst RP, Haeker I, Pardo CE, Renne R, Kladde MP. Epigenetic diversity of Kaposi´s sarcoma-associated herpesvirus. Nucleic Acids Res. 2013;41(5):2993-3009.
Notas de autor
dimas78@hotmail.com