Nodúlo del estroma endometrial. Histología infrecuente. Caso clínico y revisión de la literatura
Nodúlo del estroma endometrial. Histología infrecuente. Caso clínico y revisión de la literatura
Revista Venezolana de Oncología, vol. 29, núm. 3, pp. 201-205, 2017
Sociedad Venezolana de Oncología
Recepción: 21 Marzo 2017
Revisado: 27 Abril 2017
Aprobación: 12 Junio 2017
Resumen: Los tumores del estroma endometrial son raros, el nódulo del estroma endometrial es quizás el menos común, es una entidad benigna; sin embargo, la histerectomía es el tratamiento de elección. Establecer su diagnóstico diferencial es fundamental a la vez un reto para el equipo multidisciplinario. CASO CLÍNICO: Se trata de paciente de 46 años quien refiere menometrorragia de 12 meses de evolución, en vista de hallazgos al ultrasonido de útero aumentado de tamaño asociado a miometrio heterogéneo se plantea como miomatosis uterina, siendo sometida a histerectomía abdominal total, evidenciándose, útero de 10 cm x 6 cm x 3 cm. A la apertura de la pieza con un nódulo intramural de 3,5 cm x 2 cm con lesión de 1,5 cm en canal endocervical. El diagnóstico histopatológico inicial planteado fue de neoplasia mesenquimática maligna: leiomiosarcoma; es reevaluada por el servicio de anatomía patológica solicitando inmunohistoquímica con hallazgos morfológicos e inmunohistoquímicos cónsonos con nódulo del estroma endometrial con áreas de infarto, 4 mitosis en 10 campos de gran aumento e índice de proliferación de Ki 67 positivo 5 % CONCLUSIONES: Se reporta un raro caso de nódulo del estroma endometrial tratado quirúrgicamente y diagnosticado por perfil inmunohistoquímica. Aunque se reconoce esta patología como una entidad benigna deben diferenciarse de los tumores estromales invasivos, ya que su pronóstico, evaluación y seguimiento son diferentes.
Palabras clave: Nódulo estromal, estroma endometrial, neoplasia mesenquimal, inmunohistoquímica.
Abstract: The endometrial stromal tumors are rare, and the endometrial stromal nodule is perhaps the least common, it is a benign entity; however, the hysterectomy is the procedure treatment of choice. The differential diagnosis is essential and both must management for the multidisciplinary team. CASE REPORT: This is 46 year old female patient who refers meno-metrorrhagia 12 months of evolution; in view of the findings to ultrasound enlarged uterus associated with heterogeneous myometrium arises as uterine fibroids, we undergoing total abdominal hysterectomy, showing, and uterus 10 cm x 6 cm x 3 cm. The opening of the surgical piece shows an intramural nodule with size of 3.5 cm x 2 cm 1.5 cm injury in the endocervical canal. The initial histopathologic diagnosis posed by the presence of a malignant mesenchymal neoplasm: leiomyosarcoma; reassessment of the same is done and the realization of immunohistochemistry procedure indicated by morphological findings and immunohistochemically consonant with node endometrial stromal with areas of infarction, 4 mitoses in 10 high-power fields and proliferation index of the Ki67 positive 5 % CONCLUSIONS: We reports and study a rare case of endometrial stromal nodule diagnosed and treated for surgically method and for immunohistochemically profile. Although this condition is recognized as a benign entity must be differentiated from the invasive stromal tumors, because their prognosis and the evaluation are different.
Keywords: Stromal nodule, endometrial stromal mesenchymal neoplasm, immunohistochemistry.
INTRODUCCIÓN
Los tumores del estroma endometrial se pueden dividir en cuatro categorías principales, que actualmente son reconocidos por la OMS (2014): A. Nódulo del estroma endometrial estromal (NEE). B. Sarcoma del estroma de endometrio de bajo grado (SEEBG). C. Sarcoma del estroma endometrial de alto grado, y D. Sarcoma uterino indiferenciado (1,2,3).
El nódulo del estroma endometrial es una neoplasia rara que generalmente se encuentra bien delimitada, suele ser un nódulo pequeño e intramural, donde no hay infiltración de la vasculatura uterina o del miometrio. Debido a que su diagnóstico se basa en la delimitación completa y ausencia de invasión linfovascular, su diferenciación del sarcoma del estroma endometrial solo puede hacerse generalmente al momento de la histerectomía (4) y posterior aplicación de criterios diagnósticos microscópicos e inmunohistoquímicos.
El nódulo del estroma endometrial es una neoplasia rara que generalmente se encuentra bien delimitada, suele ser un nódulo pequeño e intramural, donde no hay infiltración de la vasculatura uterina o del miometrio. Debido a que su diagnóstico se basa en la delimitación completa y ausencia de invasión linfovascular, su diferenciación del sarcoma del estroma endometrial solo puede hacerse generalmente al momento de la histerectomía (4) y posterior aplicación de criterios diagnósticos microscópicos e inmunohistoquímicos.
El diagnóstico histopatológico inicial plantea la presencia de una neoplasia mesenquimática maligna: leiomiosarcoma a descartar; se reevalúa en el servicio de anatomía patológica y se indica la realización de inmunohistoquímica previa solicitud de TAC de abdomen y pelvis con doble contraste sin alteraciones significativas (Figura 1).

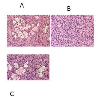
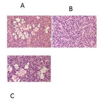
Los hallazgos morfológicos e inmunohistoquímicos definitivos son cónsonos con nódulo del estroma endometrial con áreas de infarto, 4 mitosis en 10 campos de gran aumento (Figura 2) e índice de proliferación de Ki 67 positivo 5 %, positividad para CD10, receptores de progesterona, focalmente para Vimentina y CD68 positivo en macrófagos; negatividad para caldesmon, actina, proteína S100 y receptores de estrógenos (Figura 3). Se concluye como tumor del estroma endometrial: nódulo del estroma endometrial.


DISCUSIÓN
El NEE se define como lesiones con invasión miometrial mínima (≤3mm) o ausencia de la misma y sin invasión vascular (5,6) Se producen mucho más comúnmente en el cuerpo que en el cuello uterino, características que se cumplen en el caso presentado. Con frecuencia son polipoides o intramurales (de diámetros variados hasta 10 cm) en el caso de la paciente descrita de 3,5 cm x 2 cm bien circunscritos y generalmente de color amarillo. Pueden evidenciar quistes, necrosis isquémica y hemorragia (7).
Las células neoplásicas en el NEE se asemejan al estroma endometrial en fase proliferativa, compuesto de células con núcleos redondos y ovoides. Estas células parecen espirales alrededor del componente vascular prominente, que se asemeja a las arteriolas espirales de endometrio no neoplásico. Es importante su diferenciación de los sarcomas del estroma endometrial de bajo grado (SEEBG) que ocasionalmente pueden parecer bien circunscritos macroscópicamente, siendo imprescindible el muestreo adecuado que incluya el miometrio circundante para llegar al diagnóstico correcto. Es de destacar que no debería haber invasión vascular su presencia descartaría el diagnóstico de NEE y plantearía el otras neoplasias mesenquimales, recordando que le diagnóstico definitivo se realiza en la pieza. Todas estas características fueron evaluadas al momento de realizar el diagnóstico definitivo de la patología descrita (8).
Este tipo de lesiones muestran variantes morfológicas siendo la diferenciación del músculo liso la más frecuente, pero pueden ocurrir formas inusuales de diferenciación a musculo esquelético (8).
El uso de inmunohistoquímica con perfiles de vimentina, CD 10, y actina, así como WT1, Receptores de estrógenos y progesterona son típicamente positivos (raramente tumores pueden ser CD 10 negativo), la desmina y h-caldesmón son positivos en áreas de diferenciación del músculo liso aunque de vez en cuando áreas de diferenciación estromal convencionales pueden ser desmina positiva, y si es así, normalmente se nota un patrón citoplasmático perinuclear de la tinción. El perfil evaluado en la paciente mostró índice de proliferación de Ki 67 positivo 5 %, positividad para CD10, receptores de progesterona, focalmente para vimentina y CD68 positivo en macrófagos; negatividad para caldesmon, actina, proteína S100 y receptores de estrógenos. Por lo que es fundamental la correlación de la expresión de los marcadores con la morfología para distinguir un nódulo estromal de otras entidades de origen mesenquimal (9, 10).
En cuanto al perfil molecular la aberración genética más común identificado en SNE, que se identifica de manera similar en el SEEBG, es t (7; 17) (p15; q21) no siendo concluyente como herramienta para establecer diagnósticos diferenciales (11,12).
El nódulo del estroma endometrial es un tumor benigno compuesto de células del estroma endometrial diferenciadas dispuestas como un nódulo bien delimitado con márgenes no invasivos. Es una neoplasia rara, en la mayoría de los casos diagnosticada por microscopía. Aunque presenta una evolución benigna, la histerectomía es el tratamiento de elección permitiendo la evaluación de los márgenes tumorales que están bien demarcados en NEE e infiltran en el SEEBG. Presentamos aquí un caso de una mujer de 46 años con antecedente de meno-metrorragia y un diagnóstico clínico preoperatorio de miomatosis uterina con diagnóstico definitivo por perfil inmunohistoquímico y microscópico de nódulo del estroma endometrial.
CASO CLÍNICO
Se trata de paciente de 46 años V gestas II paras II cesáreas, I aborto, fumadora conocida por 30 años, sin otras comorbilidades quien refiere meno-metrorragia de 12 meses de evolución, en vista de hallazgos al ultrasonido de útero aumentado de tamaño asociado a miometrio heterogéneo se plantea inicialmente como miomatosis uterina, siendo sometida a histerectomía abdominal total, evidenciándose, útero de 10 cm x 6 cm x 3 cm. A la apertura de la pieza con un nódulo intramural de 3,5 cm x 2 cm con lesión de 1,5 cm en canal endocervical.
El diagnóstico histopatológico inicial plantea la presencia de una neoplasia mesenquimática maligna: leiomiosarcoma a descartar; se reevalúa en el servicio de anatomía patológica y se indica la realización de inmunohistoquímica previa solicitud de TAC de abdomen y pelvis con doble contraste sin alteraciones significativas (Figura 1).

Los hallazgos morfológicos e inmunohistoquímicos definitivos son cónsonos con nódulo del estroma endometrial con áreas de infarto, 4 mitosis en 10 campos de gran aumento (Figura 2) e índice de proliferación de Ki 67 positivo 5 %, positividad para CD10, receptores de progesterona, focalmente para Vimentina y CD68 positivo en macrófagos; negatividad para caldesmon, actina, proteína S100 y receptores de estrógenos (Figura 3). Se concluye como tumor del estroma endometrial: nódulo del estroma endometrial.


DISCUSIÓN
El NEE se define como lesiones con invasión miometrial mínima (≤3mm) o ausencia de la misma y sin invasión vascular (5,6) Se producen mucho más comúnmente en el cuerpo que en el cuello uterino, características que se cumplen en el caso presentado. Con frecuencia son polipoides o intramurales (de diámetros variados hasta 10 cm) en el caso de la paciente descrita de 3,5 cm x 2 cm bien circunscritos y generalmente de color amarillo. Pueden evidenciar quistes, necrosis isquémica y hemorragia (7).
Las células neoplásicas en el NEE se asemejan al estroma endometrial en fase proliferativa, compuesto de células con núcleos redondos y ovoides. Estas células parecen espirales alrededor del componente vascular prominente, que se asemeja a las arteriolas espirales de endometrio no neoplásico. Es importante su diferenciación de los sarcomas del estroma endometrial de bajo grado (SEEBG) que ocasionalmente pueden parecer bien circunscritos macroscópicamente, siendo imprescindible el muestreo adecuado que incluya el miometrio circundante para llegar al diagnóstico correcto. Es de destacar que no debería haber invasión vascular su presencia descartaría el diagnóstico de NEE y plantearía el otras neoplasias mesenquimales, recordando que le diagnóstico definitivo se realiza en la pieza. Todas estas características fueron evaluadas al momento de realizar el diagnóstico definitivo de la patología descrita (8).
Este tipo de lesiones muestran variantes morfológicas siendo la diferenciación del músculo liso la más frecuente, pero pueden ocurrir formas inusuales de diferenciación a musculo esquelético (8).
El uso de inmunohistoquímica con perfiles de vimentina, CD 10, y actina, así como WT1, receptores de estrógenos y progesterona son típicamente positivos (raramente tumores pueden ser CD 10 negativo), la desmina y h-caldesmón son positivos en áreas de diferenciación del músculo liso aunque de vez en cuando áreas de diferenciación estromal convencionales pueden ser desmina positiva, y si es así, normalmente se nota un patrón citoplasmático peri-nuclear de la tinción. El perfil evaluado en la paciente mostró índice de proliferación de Ki 67 positivo 5 %, positividad para CD10, receptores de progesterona, focalmente para vimentina y CD68 positivo en macrófagos; negatividad para caldesmon, actina, proteína S100 y receptores de estrógenos. Por lo que es fundamental la correlación de la expresión de los marcadores con la morfología para distinguir un nódulo estromal de otras entidades de origen mesenquimal (9, 10).
En cuanto al perfil molecular la aberración genética más común identificado en SNE, que se identifica de manera similar en el SEEBG, es t (7; 17) (p15; q21) no siendo concluyente como herramienta para establecer diagnósticos diferenciales (11,12).
El nódulo del estroma endometrial es un tumor benigno compuesto de células del estroma endometrial diferenciadas dispuestas como un nódulo bien delimitado con márgenes no invasivos. Es una neoplasia rara, en la mayoría de los casos diagnosticada por microscopía. Aunque presenta una evolución benigna, la histerectomía es el tratamiento de elección permitiendo la evaluación de los márgenes tumorales que están bien demarcados en NEE e infiltran en el SEEBG. Presentamos aquí un caso de una mujer de 46 años con antecedente de meno-metrorragia y un diagnóstico clínico preoperatorio de miomatosis uterina con diagnóstico definitivo por perfil inmunohistoquímico y microscópico de nódulo del estroma endometrial.
Referencias
1. Conklin CM, Longacre TA. Endometrial stromal tumors: The new WHO classification. Adv Anat Pathol. 2014;21:383-393.
2. Lee CH, Nucci MR. Endometrial stromal sarcoma the new genetic paradigm. Histopathology. 2015;67:1-19.
3. Aliand RH, Rouzbahman M. Endometrial stromal tumours revisited: An update based on the 2014 WHO classification. J Clin Pathol. 2015;68:325-332.
4. Dionigi A, Oliva E, Clement PB, Young RH. Endometrial stromal nodules and endometrial stromal tumors with limited infiltration: A clinic pathologic study of 50 cases. Am J Surg Pathol. 2002;26:567-581.
5. Stemme S, Ghaderi M, Carlson J. Diagnosis of endometrial stromal tumors: A clinic pathologic study of 25 biopsy specimens with identification of problematic areas. Am J Clin Pathol. 2014;141(1):133-139.
6. Alaoui Fdili FZ, Chaara H, Bouguern H, Melhouf MA, Fatemi H, Belmlih A, et al. Endometrial stromal nodule: Report of a case. Case Report Med. 2011;2011:260647. doi:10.1155/2011/260647.
7. Oliva E, Clement PB, Young RH, Scully RE. Mixed endometrial stromal and smooth muscle tumors of the uterus: A clinic pathologic study of 15 cases. Am J Surg Pathol. 1998;22:997-1005.
8. Lloreta J, Prat J. Endometrial stromal nodule with smooth and skeletal muscle components simulating stromal sarcoma. Int J Gynecol Pathol. 1992;11:293-298.
9. McCluggage WG, Sumathi VP, Maxwell P. CD10 is a sensitive and diagnostically useful immunohistochemically marker of normal endometrial stroma and of endometrial stromal neoplasms. Histopathology. 2001;39:273-278.
10. Huang HY, Ladanyi M, Soslow RA. Molecular detection of JAZF1-JJAZ1 gene fusion in endometrial stromal neoplasms with classic and variant histology: Evidence for genetic heterogeneity. Am J Surg Pathol. 2004;28:224-232.
11. Nucci MR, Harburger D, Koontz J Dal Cin P, Sklar J. Molecular analysis of the JAZF1-JJAZ1 gene fusion by RT-PCR and fluorescence in situ hybridization in endometrial stromal neoplasms. Am J Surg Pathol. 2007;31(1):65-70.
12. Oliva E, de Leval L, Soslow RA, Herens C. High frequency of JAZF1-JJAZ1 gene fusion in endometrial stromal tumors with smooth muscle differentiation by interphase FISH detection. Am J Surg Pathol 2007;31:1277-1284.