Branquioma. tumor inusual cervical
Branquioma. tumor inusual cervical
Revista Venezolana de Oncología, vol. 29, núm. 3, pp. 206-213, 2017
Sociedad Venezolana de Oncología
Recepción: 23 Noviembre 2016
Revisado: 12 Mayo 2017
Aprobación: 18 Junio 2017
Resumen: OBJETIVO: El branquioma es un tumor poco frecuente, con un número limitado en la literatura internacional. Se hace una revisión de la literatura sobre el tema. MÉTODO: Un caso de branquioma es presentado en un paciente de 47 años de edad, es reportado en este estudio. El paciente consultó por presentar un quiste cervical, con aumento de volumen súbito, que mejora con tratamiento médico sin desaparecer. Es evaluado en centro asistencial donde le realizan biopsia excisional. Siendo realizado estudio histológico con hematoxilina y eosina e inmunohistoquímica. RESULTADOS: El diagnóstico de branquioma fue hecho por presentación clínica y bajo criterios de Martin modificado por Khafif e inmunohistoquímica. CONCLUSIÓN: El branquioma o carcinoma branquiogénico es un tumor raro, que presenta dificultad diagnóstica preoperatoria. Es importante tener en cuenta este diagnóstico y diferenciarlo de un carcinoma metastásico escamoso.
Palabras clave: Branquioma, carcinoma branquiogénico, metastásico, cuello.
Abstract: OBJECTIVE: The branquioma is a rare tumor, with a limited number reported in the international literature. A review of the literature is made for us. METHODS: A branquioma case is presented in a patient 47 years old man, reported in this study. The patient consulted for a cervical cyst with sudden increase in his volume, which improves with medical treatment without disappear. He is evaluated in a hospital center, when they have performed excisional biopsy. It was made study of the hematoxylin and eosin and the immunohistochemistry. RESULTS: The branquioma diagnosis was made by clinical presentation and the Martin´s criteria modified by Khafif and for the immunohistochemistry. CONCLUSION: The branchioma or the branchiogenic carcinoma is a rare tumor, which is difficult to diagnose preoperatively. It is important keep this diagnosis and differentiates of metastatic carcinoma.
Keywords: Branchioma, branchiogenic carcinoma, metastatic, neck.
INTRODUCCIÓN
Los quistes de la hendidura branquial, también conocidos como quistes linfoepiteliales branquiales, normalmente se encuentran presentes en la infancia tardía o en la edad adulta temprana (1).
Los quistes branquiales pertenecen a un grupo de patologías de contenido líquido, que se desarrollan en la región lateral del cuello, como resultado de la proliferación de células epiteliales y restos del segundo arco branquial o del seno cervical. Ellos pueden aparecer desde el ángulo mandibular, extendiéndose a lo largo del borde anterior del músculo esternocleidomastoideo hasta la clavícula, y pueden ocasionalmente encontrarse a nivel de la parótida y la glándula sub-mandibular (2).
Según su localización ellos son: los quistes y fístulas latero cervicales pueden dividirse en: 1. Malformaciones supra hioideas: quistes y fístulas de la primera hendidura; 2. Malformaciones infra hioideas: quistes y fístulas de las segunda, tercera y cuarta hendiduras branquiales (3).
Aunque pueden estar localizados en lugares menos esperados y en casos esporádicos, tal como lo describió Chen y col, en la presencia de una masa en nasofaringe que correspondía a un quiste branquial (4).
Los quistes branquiales son descritos frecuentemente como patologías benignas pero a pesar de estar presente desde el nacimiento, pueden crecer lentamente hasta hacerse manifiestos en la edad adulta, y debido a cofactores como el cigarrillo, eventualmente se pueden malignizar (5). Cuando esto ocurre se denominan branquiomas.
Martín y col, lo definen como aquellos tumores malignos que se originan en remanentes vestigiales de las hendiduras branquiales, la mayoría de las cuales son epiteliales y por eso son llamados como carcinoma branquiogénico, aunque pudiera ser más específico el nombre de branquioma maligno, porque teóricamente también el tejido conectivo de la pared de los restos de las hendiduras branquiales puede dar origen a una neoplasia (6).
Para Batsakis, estos representan solo el 0,3 % de los tumores supraclaviculares (7).
CASO CLÍNICO
El caso que describiremos a continuación es un paciente de 47 años de edad, natural y procedente del Estado Miranda, que consultó por presentar lesión cervical izquierda de 4 meses de evolución y que aumentó de manera súbita, con dolor y rubor local, acompañado de fiebre no cuantificada. Tenía como antecedentes de importancia, adenotonsilectomía en la infancia, y supuesta “re intervención a los 18 años por aparente remanente amigdalino. Fumador de 1 caja cigarrillos al día hasta la actualidad.
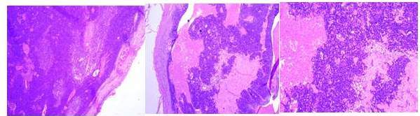
Acude a médico en otro centro asistencial quien describe que al examen físico evidencia lesión de aproximadamente 4 cm de diámetro, ubicada en el triángulo anterior de cuello, anterior al músculo esternocleidomastoideo en su tercio superior, procediendo a realizar estudio tomográfico (Figura 1,2 y 3) y exéresis del mismo.


El estudio patológico describe una lesión ovoidea, de 5 cm x 4 cm de diámetro, quística de contenido pardo claro. En interior del quiste y hacia la periferia, área sólida de 3,5 cm, granular de aspecto semifirme. Es concluido en esa institución como carcinoma metastásico.
Se hace referencia médica a radioterapia oncológica, sugiriendo por este departamento evaluación por servicio especializado para discutir el caso según hallazgos.
Es evaluado por nuestro centro, donde se realiza anamnesis y posteriormente el examen físico, exhaustivo incluyendo nasofibrolaringoscopia no evidenciando tejido amigdalino palatino ni lesiones en el tracto aéreo digestivo superior. Al tacto intraoral, de orofaringe incluyendo base de lengua, no se palpaban lesiones. Se observa estudio de TAC de cuello con contraste intravenoso, con cortes axiales, coronales y sagitales, previa a intervención, mostrando una lesión mixta, de 4 cm de diámetro, por delante del esternocleidomastoideo, nivel II, con algunas adenopatías en el mismo nivel y III entre 1 cm y 1,5 cm, no confluentes. No se observan tumoraciones en el resto del estudio. En la tomografía realizada en nuestro centro, no se observan lesiones, a tres meses de la extirpación de la lesión (Figura 4).

Seguidamente se solicita revisión de láminas y bloques de parafina realizada en el otro centro asistencial.
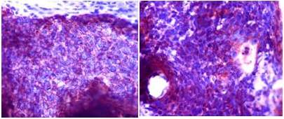
La revisión realizada por servicio de anatomía patología de nuestro centro, evidencia un nódulo con capsula fibrótica que muestra en su interior un carcinoma de células escamosas de aspecto basaloide con áreas sólidas y quísticas (Figura 5).

No observan tejido ganglionar linfático remanente, por lo que infieren que los hallazgos son compatibles con neoplasia primaria originaria de un quiste branquial complementando con realización de estudio de inmunohistoquímica, el cual resultó positivo para citoqueratina 34BE12, P63 y citoqueratina 7.

DISCUSIÓN
Los quistes branquiales fueron descritos por primera vez en 1789 por Hunczowski (8). Suelen ser lesiones de contenido líquido en la región lateral del cuello, soliendo ser benignas (9,10,11). Generalmente diagnosticados en la segunda y tercera década de la vida, que pueden encontrarse en los pacientes de edad avanzada. Si el paciente es mayor de 40 años, las lesiones solitarias quísticas del cuello son sospechosas de cáncer, siendo en orden de frecuencia de aparición, el carcinoma nasofaríngeo oculto, carcinoma papilar tiroideo o algunos sub tipos de lengua (12).
Estas anomalías derivadas del aparato faríngeo (branquial) son quistes, senos o fistulas, originadas a expensas del complejo hendidura, membrana, bolsa o apéndices cutáneos, con o sin cartílagos, derivados de los arcos faríngeos (branquiales) (13).
El aparato branquial consta de seis arcos mesodermales separados por hendiduras branquiales externamente e internamente por ectodérmicas bolsas endodérmicas. Se forma durante el tercero a séptimo semanas de vida embrionaria y contribuye a muchos componentes de la cabeza y el cuello (14).
Existen dos teorías que describen la embriogénesis de las anomalías branquiales que son las más aceptadas. Una de ellas es la teoría de restos de células: donde las células ectópicos atrapados en el aparato branquial pueden formar quistes branquiales (15). La otra es la teoría de remanente vestigial: el cual contempla que durante el desarrollo de los arcos branquiales, el segundo arco sufre una expansión mayor hacia abajo alcanzando el sexto arco branquial. Así se crea una cavidad, el seno cervical, en la cual se juntan los segundo, tercero y cuarto surcos ectobranquiales. El seno cervical se llena normalmente durante el desarrollo y ocurre como resultante de la reabsorción incompleta de esta cavidad, los quistes y fístulas del seno cervical. Los quistes que derivan del aparato branquial no desaparecen durante la embriogénesis (16).
Actualmente, existe la teoría de la inclusión: las anomalías del sistema branquial pueden surgir de la transformación quística de la linfa de un nodo o de restos sistema branquial, causada por el virus del papiloma humano (VPH) jugando un papel mucho más preponderante hoy en día en las enfermedades neoplásicas de cabeza y el cuello de lo que se creía (17).
Los quistes y fístulas infra hioideas se presentan bajo dos formas principales: las fistulas y los quistes. Las fístulas que pueden ser de varios tipos según la extensión del defecto de reabsorción a lo largo del trayecto de la segunda hendidura: a las fístulas cutáneas externas se recubren de un epitelio escamoso puesto que son de origen ectoblástico, estas pueden ser ciegas o estar en comunicación con un quiste. Las fistulas internas a la altura de la región amigdalina pueden comunicarse con un quiste (revestido de epitelio glandular) o realizar una fístula completa poniendo en comunicación la mucosa y la piel. El trayecto de estas fístulas completas pasa entre las estructuras de los segundos y tercer arcos; es decir entre las carótidas interna y externa, por encima del XII y del IX, por debajo del ligamento estilohioideo para alcanzar la región de la amígdala palatina cerca de la fosa de Rosenmüller. Los quistes ocurren cuando hay un defecto de reabsorción sobre una parte del trayecto sin comunicación cutánea ni faríngea. Esta reseña anatómica y embriológica condiciona por lo tanto la técnica quirúrgica (18).
Otro aspecto a considerar es que entre el 2 % y el 5 % de las lesiones ganglionares cervicales ocurren en el contexto de un carcinoma metastásico de origen desconocido, y que hasta en el 25 % de estos el origen se encuentra en las amígdalas palatinas (19). La diferenciación entre ambas entidades suele ser difícil, porque en el quiste branquial el carcinoma suele rodearse de un intenso infiltrado linfocitario difícil de diferenciar del tejido linfoide remanente de un ganglio metastásico. Martin y col, en 1950 (20), proponen criterios diagnósticos para el carcinoma escamoso de quistes branquiales, los cuales son: 1. Localización en la región anatómica donde se originan los quistes branquiales. 2. Aspecto histológico del tumor compatible con su origen de restos branquiales. 3. Sobrevivir al menos 5 años después del diagnóstico, sin que se identifique tumor primario en los exámenes paraclínicos. 4. Presencia de un carcinoma en la pared de un quiste epitelial identificable. 5. Identificar una zona de transición entre el epitelio normal del quiste y el carcinoma y 6. Ausencia de un tumor primario maligno, después de una exhaustiva evaluación del paciente. Sin embargo, han sido desestimados por algunos autores, argumentando que la espera que trascurra por lo menos 5 años de seguimiento, para decir que no exista evidencia de carcinoma primario, es un criterio que resulta impráctico y difícil de cumplir (21).
Pero no fue hasta el 1882, en que Von Volkmann, sugirió que algunos tumores malignos de la región lateral del cuello pudieran originarse en quistes branquiales (21,22), siendo el principal diagnóstico diferencial las metástasis de carcinoma escamoso en ganglio.
En 1989 Khafif y col, sugieren nuevos criterios e introducen la importancia de observar la transición entre el epitelio no displásico y la lesión neoplásica, dando de esta forma más relevancia a la evaluación histológica en el diagnóstico de estas lesiones (20), haciendo referencia que la localización del tumor en la región donde habitualmente se encuentran los quistes branquiales: borde anterior del músculo esternocleidomastoideo, debe haber consistencia entre el tipo histológico y el tejido del quiste branquial, identificación de la transición entre el epitelio escamoso normal de quiste y el carcinoma, ausencia de tumor primario maligno, después de la evaluación exhaustiva del paciente, incluyendo estudios endoscópicos, radiológicos y biopsias.
En cuanto a los estudios imaginológicos Goyal y col (21), sugieren que las características tomográficas de los quistes branquiales difieren significativamente de las metástasis por carcinoma de células escamosas a los ganglios linfáticos. Los quistes branquiales tienden a ser más grandes y más homogeneidad, además de ser menos propensos a tener tabiques o diseminación extracapsular en comparación con los ganglios linfáticos metastásicos. La TAC con contraste yodado hidrosoluble intravenoso, es una técnica de imagen utilizada a menudo por los otorrinolaringólogos y cirujanos de cabeza y cuello para identificar y evaluar en detalle al paciente que se presenta con una masa en el cuello. Juega un papel importante en el estadiaje clínico y eso determinará el tratamiento a seguir. Un estudio realizado en el 2012 reveló que el 31 % de los pacientes con ganglios linfáticos metastásicos tenía una adenopatía quística de aspecto benigno con extensión extracapsular o tabiques. Por el contrario, el 38 % de los pacientes con quistes branquiales tenía rasgos agresivos que imitaban lesiones malignas, con tabiques o propagación extra capsular del quiste. Es por ello que se requiere un alto nivel de sospecha clínica y de pericia en el manejo del paciente que nos consulta con una masa quística en el cuello (25).
Los branquiomas deben ser tratados con resección oncológica más disección radical de cuello, estándar o modificada dependiendo del compromiso tumoral en la anatomía circundante. La radioterapia se ha empleado como tratamiento adyuvante, aunque es controversial sobre todo en pacientes ganglios negativos. Debe ser empleada en forma rutinaria en presencia de enfermedad metastásica cervical y en aquellos casos cuando ocurre recidiva de la lesión (26).
En nuestro país, han sido reportados casos de quiste branquial diagnosticados en servicios de cirugía general (24), en adolescentes, lesiones típicas en el borde anterior del músculo esternocleidomastoideo, resecando los mismos hasta la pared faríngea a nivel de la bifurcación carotidea. Igualmente se ha descrito, quiste branquial con metástasis de carcinoma papilar de tiroides, tratado en el Hospital Vargas de Caracas en el año 1999, donde se evidenció este hallazgo en una lesión eco-mixta, estudiada y determinando su naturaleza secundaria, siendo tratado oncológicamente con disección de cuello modificada más tiroidectomía total (25).
Recientemente, la determinación de CT-PET se ha demostrado que confiere ventajas en el diagnóstico de las metástasis de primario desconocido (29). Wong y col, reportaron el uso del CT - PET para diagnosticar más de 30 tipos de cáncer primario en 75 pacientes en los que no se detectó inicialmente por métodos convencionales clínicos o radiológicos el tumor primario (27). Por otra parte, el CT - PET es muy útil en pacientes sometidos a amigdalotomía (29). Sin embargo, Ferris y col, refieren que el CT-PET de cuerpo entero no confiere ventajas de diagnóstico en adultos con masas quísticas en el cuello sospechosas, si el tumor primario es muy pequeña (29).
El carcinoma escamoso de origen branquial es una entidad rara de difícil diagnóstico, es importante plantearse el mismo desde el inicio para así indicar una terapéutica adecuada y es preponderante participar al patólogo para que a través de su ubicación y sospecha, pueda ser diagnosticada esta entidad en forma adecuada, por medio de hematoxilina eosina y más modernamente inmunohistoquímica.
Referencias
1. Koeller K, Alamo L, Adair C, Smirniotopoulos J. Congenital cystic masses of the neck: Radiologic-pathologic correlation. Radiographics. 1999;19:121-146.
2. McPhail N, Mustard R. Branchial cleft anomalies. A review of 87 cases treated at the Toronto General Hospital. Can Med Assoc J. 1966;94:174-179.
3. Peynègre R, Rugina M, Ducroz V. Chirurgie des kystes et fistules du cou. Encyclopédie Médico-Chirurgicale. Disponible en: URL: http://www.em-consulte.com/recherche/resultats
4. Chen P, Lin Y, Lin Y. Nasopharyngeal branchial cleft cyst. J Chin Med Assoc. 2012;75: 660-662.
5. Briggs R, Pou A, Schnadig V. Cystic metastasis versus branchial cleft carcinoma: A diagnostic challenge. Laryngoscope. 2002;112:1010-1014.
6. Martin H, Morfit HM, Herlich H. The case for branchiogenic cancer (Malignant Branchioma). Ann Surg. 1950;132: 867-877.
7. Batsakis JG. Metastatic neoplasms to and from the head and neck. Batsakis JG, editor. En: Tumors of head and neck. Baltimore: Williams and Wilkins; 1979. p. 224-245.
8. Chionh E, Pham V, Cooke R, Gough I. Aetiology of branchial cysts. Aust N Z J Surg. 1989;59:949-951.
9. Thompson LD, Heffner DK. The clinical importance of cystic squamous cell carcinomas in the neck: A study of 136 cases. Cancer. 1998;82(5):944-956.
10. Gourin CG, Johnson JT. Incidence of unsuspected metastases in lateral cervical cysts. Laryngoscope. 2000;110:1637-1641.
11. Micheau C, Klijanienko J, Luboinski B, Richard J. So-called branchiogenic carcinoma is actually cystic metastases in the neck from a tonsillar primary. Laryngoscope. 1990;100(8):878-83.
12. Briceño-Iragorry L, Calcaño G. Cirugía Pediátrica. 2a edición. Venezuela. Universidad Central de Venezuela; 2013. p. 293-317.
13. Benson M, Dalen K, Mancuso A, Kerr H, Cacciarelli AA, Mafee MF. Congenital anomalies of the branchial apparatus: Embryology and pathologic anatomy. Radiographics 1992;12:943-960.
14. Mclean T, Iseli C, Amott C, Taylor M. Case report of a p16ink4a-positive branchial cleft cyst. J Laryngol Otol. 2015;129:611-613.
15. Golledge J, Ellis H. The etiology of lateral cervical (branchial) cysts: Past and present theories. J Laryngol Otol. 1994;108:653-659.
16. Pai RK, Erickson JN, Pour-mand CS. Kong P16 (INK4A) immunohistochemically staining may be helpful in distinguishing branchial cleft cysts from cystic squamous cell carcinomas originating in the oropharynx. Cancer. 2009;117:108-119
17. Bhaskar S, Bernier J. Histogenesis of branchial cysts: A report of 468 cases. Am J Pathol. 1959;35:407-443.
18. Jereczek-Fossa BA, Jassem J, Orecchia R. Cervical lymph node metastases of squamous cell carcinoma from an unknown primary. Cancer Treat Rev.2004;30:153-164.
19. Mallet Y, Lallemant B, Robin YM, Lefebvre JL. Cystic lymph node metastases of head and neck squamous cell carcinoma: Pitfalls and controversies. Oral Oncol. 2005;41:429-434.
20. Khafif R, Prichep R, Minkowitz S. Primary branchiogenic carcinoma. Head Neck. 1989;11:153-163.
21. Goyal N, Zacharia T, Goldenberg D. Differentiation of branchial cleft cysts and malignant cystic adenopathy of pharyngeal origin. AJR Am J Roentgenol. 2012;199(2):W216-21.
22. Martínez W, Velásquez A, Rodríguez M, Trujillo O, Martínez M, Rua R, et al. Branquioma maligno. Presentación de un caso y revisión de la literatura. Rev Esp Patol. 2008;41(1):64-68.
23. Micheu C, Klijanienko J, Luboinski B, Richard J. So called branchiogenic carcinoma is actually cystic metastases in the neck from tonsillar primary. Laryngoscope. 1990; 100:878-883.
24. Colmenares G, Calderaro F, Rodríguez M, Trujillo O, Martínez M, Cordivani F, et al. Quiste branquial en adolescentes. Rev Venez Cir. 1994;47(4):177-179.
25. Briceño M, Ayala J, Machin G, Mijares A, Adrian O, Miranda Y. Quiste branquial con metástasis de carcinoma papilar de tiroides, presentacion de un caso. Arch Hosp Vargas. 1999;41(1/2):75-77.
26. Chen XH, Bao YY, Zhou SH, Wang QY, Zhao K. Palatine tonsillar metastasis of small-cell neuroendocrine carcinoma from the lung detected by FDG-PET/CT after tonsillectomy: A case report. Iran J Radiol. 2013;10:148-151.
27. Wong WL, Sonoda LI, Gharpurhy A, Gollub F, Wellsted D, Goodchild K, et al. Fuorodeoxyglucose positron emission tomography/computed tomography in the assessment of occult primary head and neck cancers an audit and review of published studies. Clin Oncol (R Coll Radiol). 2012;24:190-195.
28. Zhao K, Luo XM, Zhou SH, Liu JH, Yan SX, Lu ZJ, et al. Fluorodeoxyglucose positron emission tomography/ computed tomography as an effective diagnostic workup in cervical metastasis of carcinoma from an unknown primary tumor. Cancer Biother Radiopharm. 2012; 27: 685-693.
29. Ferris RL, Branstetter BF, Nayak JV. Diagnostic utility of positron emission tomography computed tomography for predicting malignancy in cystic neck masses in adults. Laryngoscope. 2005;115:1979-1982.
Notas de autor
unidadcabezaycuello@gmail.com