Experiencia de cinco años en tumores óseos en el Instituto Anatomopatológico “Dr. José A. O´Daly”.
Experiencia de cinco años en tumores óseos en el Instituto Anatomopatológico “Dr. José A. O´Daly”.
Revista Venezolana de Oncología, vol. 29, núm. 4, pp. 260-267, 2017
Sociedad Venezolana de Oncología

Recepción: 26 Mayo 2017
Revisado: 30 Junio 2017
Aprobación: 31 Julio 2017
Resumen: OBJETIVO: Los tumores óseos son entidades raras que constituyen aproximadamente el 0,2 % de todos los tumores malignos sin incidencias claras de tumores benignos en vista de sub-diagnóstico. El 60 % de los casos son en pacientes menores de 45 años, comprometiendo frecuentemente la articulación de la rodilla, sin tener clara predilección sexual o racial. MÉTODO: Estudio retrospectivo, observacional descriptivo en el Instituto Anatomopatológico “Dr. José Antonio O´Daly” Universidad Central de Venezuela, en el período comprendido entre enero 2010 diciembre 2015; se revisaron 142 casos, se evaluaron: edad, sexo, localización de la lesión y diagnóstico histopatológico del tumor. RESULTADOS: Observamos un discreto predominio en el sexo masculino respecto al femenino, el grupo etario mayormente afectado fue el de 11-20 años constituido por 40 casos (28 %), topográficamente los huesos más afectados correspondieron a fémur (27 %) y tibia (15 %), en cuanto a la frecuencia según tipos histopatológicos, el primer lugar lo ocuparon los tumores cartilaginosos benignos (22 %), el osteocondroma representa la mayor frecuencia (61,3 %), segundo lugar lo ocuparon las metástasis óseas (16 %) y en tercer lugar los tumores osteogénicos malignos (11 %). CONCLUSIONES: Los tumores cartilaginosos benignos representan la mayor frecuencia de este estudio, las primeras 3 décadas de vida continúan siendo las más afectadas, los tumores osteogénicos malignos y metástasis óseas si bien se encuentran entre los primeros grupos histopatológicos de este estudio, no corresponden a la primera causa como lo describen en otras series.
Palabras clave: Hueso, tumores, incidencia, benignos, malignos.
Abstract: OBJECTIVE: Bone tumors are a rare entity that represent 0.2 % of all malignant tumors, is hard to find reliable incidence of benign bone tumors because of sub-diagnostics. 60 % of the cases are presents in patients under 45 years old, the most frequent location is knee articulation, without a sexual or racial preference. METHOD: Retrospective, observational descriptive study was performed at Anatomopathological Institute "Dr. José Antonio O'Daly "of Central University of Venezuela, in the period between January 2010 and December 2015, we have found 142 cases with diagnosis of bone tumor, taking into account: age, sex, location of lesion and histopathological diagnosis of tumor. RESULTS: Observed a slight predominance in male sex with respect to female. The most affected age group was 11-20 years old, consisting of 40 cases (28 %), topographically most affected bones corresponded to femur (27 %) and tibia (15 %), with respect to frequency according to histopathological types, first place was occupied by benign cartilaginous tumors (22 %), osteochondromas represented highest frequency (61.3 %), the second place was occupied by bone metastases (16 %) and third malignant osteogenic tumors (11 %). CONCLUSIONS: Benign cartilaginous tumors represent the highest frequency of this study, the first 3 decades of life continue to be the most affected, malignant osteogenic tumors and bone metastases although they are among the first places in histopathological groups of this study, do not correspond to the first cause as described in other series.
Keywords: Bone, tumors, incidence, benign, malignant.
INTRODUCCIÓN
Los tumores óseos representan la forma más antigua de neoplasia documentada en la paleopatología; estos tumores existen desde épocas previas a la aparición de la vida humana en la tierra. Desde el punto de vista clínico y morfológico, los tumores óseos se dividen en dos grandes grupos: benignos y malignos, dentro de los cuales se incluyen gran variedad de subgrupos con características particulares (1). En el año 2013, la clasificación de tumores óseos de la Organización Mundial de la Salud (OMS), realiza una actualización, designando una nueva categoría intermedia, para aquellos tumores localmente agresivos y raramente metastizantes (2).
La incidencia de tumores óseos benignos es difícil de determinar, porque la mayoría son asintomáticos, y en muchas ocasiones pasan inadvertidos o son diagnosticados de manera incidental a través de evaluaciones radiológicas por otra causa (2), siendo los más comunes el osteocondroma (35 %), encondroma (20 %), osteoma osteoide (10 %), displasia fibrosa (5 %) (3).
La relación entre hombre y mujeres en los tumores óseos benignos es de 1,5: 1; en edades comprendidas entre la primera a cuarta década de la vida con una edad media de 18 años (4).
En cuanto a la frecuencia de tumores óseos malignos primarios, representan solo el 0,2 % de todas las neoplasias malignas (2). Más del 70 % de los tumores óseos malignos primarios, corresponden a osteosarcoma, condrosarcoma y sarcoma de Ewing (5), teniendo dicha frecuencia una distribución bimodal, en el primer grupo, entre 0-40 años, se evidencian principalmente el osteosarcoma y sarcoma de Ewing, siendo su pico máximo entre los 10-20 años de edad, mientras el segundo grupo de 40-80 años se evidencia principalmente el condrosarcoma, osteosarcoma relacionado con la enfermedad de Paget, histiocitoma fibroso maligno y cordoma (5).
La metástasis esquelética representa aproximadamente el 70 % de los tumores óseos malignos, en hombres el carcinoma de próstata representa el 60 % de las metástasis óseas seguido de pulmón con el 25 %, en mujeres el carcinoma de mama es el responsable de casi el 70 %de los casos, el 30 % restante están asociados a carcinoma de tiroides, útero y riñón (6).
A pesar de la diversidad en las distintas series de tumores óseos, en la actualidad, se carece de estudios epidemiológicos actualizados de lesiones tumorales óseas, en el Instituto Anatomopatológico “Dr. José Antonio O´Daly”, y en vista de ser este Instituto un punto de referencia para el estudio anatomopatológico desde diversas instituciones de la localidad, se plantea la necesidad de realizar el presente trabajo cuyo objetivo principal es determinar la frecuencia de tumores óseos, en el período comprendido entre enero de 2010 y diciembre de 2015, señalando las variables clínicas del grupo estudiado, relacionadas con la edad, sexo, localización y variedad del tumor.
MÉTODO
Se realizó un estudio retrospectivo, observacional y descriptivo a través de la revisión del archivo del Instituto Anatomopatológico “Dr. José Antonio O´Daly”, de la UCV, desde el 1o de enero de 2010 al 31 de diciembre de 2015. Se revisaron 1 960 protocolos de biopsias, en la sección de patología ósea, en las que se encontraron 142 casos con diagnóstico de tumor óseo, el cual fue el único criterio de inclusión, para este estudio.
Para la clasificación histológica de los tumores se empleó el sistema de la OMS actualizado del 2013. La obtención de los datos epidemiológicos y clínicos, así como la localización de la lesión se realizó a través de la revisión de las solicitudes de biopsia que se encuentran en el archivo del Instituto Anatomopatológico “Dr. José Antonio O´Daly”.
Dichos datos fueron recolectados mediante un formulario, elaborado en tabla Excel 2007, en el cual se tomaron en cuenta las siguientes variables: edad, sexo, localización de la lesión y diagnóstico histopatológico del tumor. Posteriormente los datos obtenidos fueron organizados y clasificados mediante cuadros y figuras según las diferentes variables, a través de estadística descriptiva: frecuencia y porcentajes.
RESULTADOS
En el Instituto de Anatomía Patológica “Dr. José Antonio O´Daly” hubo un total de 142 casos de tumores óseos en el período comprendido entre enero 2010 hasta diciembre 2015. De esta muestra se evidenció que la población adulta estuvo afectada en 100 casos (70,2 %) y la pediátrica 42 casos (29,8 %).
De éstos, 79 casos (56 %) se presentaron en hombres, mientras 63 (44 %), en mujeres. El grupo etario mayormente afectado, estuvo comprendido entre los 11-20 años de edad constituido por 40 casos (28 %), seguidos de un 16 % en aquellos cuyas edades se encontraron de 0-10 años, 15 % en el rango de 21-30 años y 11 % para el rango de 51-60 años.

FA: Frecuencia absoluta. FR: Frecuencia relativa
Al interpretar los resultados según la localización anatómica de la lesión, se distribuyó de la siguiente manera: en 38 casos, (27 %) la lesión se ubicó en fémur seguido de 21 casos (15 %) en tibia y vértebra respectivamente , 16 (11 %) en cráneo, 13 ( 9 %) en húmero, 8 casos (6 %) en pelvis, 7 casos (4,5 %) en peroné, 4 casos ( 3 %) en radio, un 1 % en cúbito, huesos del tórax, pie y mano, mientras 7 casos (4,5 %) no fue reportado la localización del tumor (Cuadro 2).

En cuanto a los diagnósticos histopatológicos, se identificó que los tumores cartilaginosos benignos ocuparon el primer lugar con 31 casos ( 22 %), seguidos de las metástasis óseas con 22 casos (16 %), el tercer lugar correspondió a los tumores osteogénicos malignos con 16 casos ( 11 %), mientras los tumores de naturaleza neoplásica indefinida presentaron 15 casos (11 %), un 7 % correspondieron a tumores de origen osteogénicos benignos, biopsias con resultados no concluyentes, y tumores cartilaginosos malignos, 7 casos (5 %) tumores fibrohistiocíticos y menos de 4 % para el resto de los tumores.

Del total de los tumores cartilaginosos benignos 13 casos (41,9 %), correspondieron al sexo femenino y 18 (58,1 %) masculinos, el grupo etario mayormente afectado estuvo entre 11-20 años 15 casos (48,3 %), seguido de 7 casos (22,5 %) en edades comprendidas de 0-10 años, prevaleciendo el diagnóstico de osteocondromas 19 casos (61,3 %) respecto al resto de los tumores cartilaginosos benignos. (Figura 1).

Mientras en la enfermedad metastásica, se observó 11 casos (50 %) para hombres y mujeres respectivamente, ubicando 9 casos (41 %) en el grupo etario de 61-70 años, seguidos de 3 casos (13,6 %) para los grupos de 51-60 años, 71-80 años y 21-30 años respectivamente, 2 casos (9 %) de 31-40 años y 1 caso (4,6 %) en el grupo de 41-50 años y mayor a 80 años, respectivamente. (Figura 2).

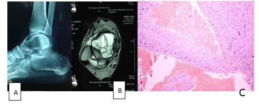
A. Estudio radiológico. B. hematoxilina-eosina. C Aumento 40X
Los tumores osteogénicos malignos, constituyeron 16 casos de los cuales 15 casos (94 %) correspondieron a osteosarcoma convencionales, (Figura 3) y un caso (6 %) osteosarcoma de células pequeñas y presentaron la siguiente distribución: 11 casos (68,75 %) pertenecientes al sexo masculino y 5 casos (31,25 %) sexo femenino, respecto al grupo etario 9 casos (56 %) se ubicaron en rango de 11-20 años, seguidos de 3 casos (18,75 %) en el grupo de 0-10 años.

Por otro lado, en aquellos ubicados dentro de los tumores de naturaleza neoplásica indefinida, se evidenció que 7 casos (47 %) pertenecieron al sexo femenino y 8 casos (53 %) al sexo masculino, del total de estos casos, 7 (47 %) se ubicaron en el grupo etario de 0-10 años, seguido de 4 casos (27 %) entre 11-20 años, en cuanto al tipo histológico de estos tumores de naturaleza neoplásica indefinida 4 casos (27 %) presentaron diagnóstico de quiste óseo aneurismático (Figura 4) y displasia fibrosa (Figura 5) respectivamente, seguido de 2 casos (13 %) para el quiste óseo simple y la histiocitosis de células de Langerhans.


DISCUSIÓN
En el período comprendido entre 1o de enero de 2010 al 31 diciembre de 2015, se recibieron Instituto Anatomopatológico “Dr. José Antonio O´Daly”, 1960 casos en la sección de patología ósea de las cuales 142 muestras correspondieron a tumores óseos; de ellos 79 casos (56 %) se presentaron en hombres mientras 63 (44 %) en mujeres, observando un discreto predominio en el sexo masculino, no representando una diferencia estadísticamente significativa en este sentido, el grupo etario mayormente afectado fue el de 11-20 años constituido por 40 casos (28 %), resultados similares a los encontrados en la literatura (1,4,7, 8).
Se observó que la población adulta estuvo afectada un70,2 % (100 casos) y la pediátrica 42 casos (29,8 %), cabe destacar el papel importante que ocupa la población pediátrica dentro de la patología ósea, y si bien en este estudio no presentó resultados estadísticamente significativos, los mismos pueden atribuirse a que generalmente los centros de referencia, a los que se presta el servicio de estudio histopatológico, son instituciones con atención dirigida a la población adulta en su mayoría.
En cuanto a la localización, se evidenció que los dos huesos más afectados correspondieron a fémur y tibia con 38 casos, (27 %) y21 casos (15 %), respectivamente, lo que ubica a la rodilla en un lugar predilecto para las diversas patologías tumorales óseas, igual a lo reportado en otros estudios (7). Sin embargo, esta investigación reporta además cierto predominio en vértebras 21 casos (15 %) y 16 casos (11 %) en cráneo, lo cual difiere de otras series estudiadas (1,7,8).
En lo referente a la frecuencia de los diferentes tipos histológicos, se observó que los resultados de este estudio coinciden con la casuística reportada en otras investigaciones donde los tumores cartilaginosos benignos ocupan el primer lugar. En esta serie, estos tumores corresponden a 31 casos (22 %), de los cuales, el osteocondroma representa el más frecuente con 19 casos (61,3 %) (1,3,9).
A pesar que en diversas series el osteosarcoma ocupa el primer lugar entre los tumores malignos primarios, nuestro estudio difiere de lo antes descrito obteniendo que los tumores osteogénicos malignos ocuparon el tercer lugar, con 16 casos (11 %) (7,8,11,12,13), precedido de las metástasis óseas las cuales ocuparon el segundo lugar con 22 casos (16 %), evidenciándose que las mismas en otros estudios representan más del 70 % (6,7,8).
En orden decreciente, continuando con la frecuencia según tipo histopatológico, los tumores de naturaleza neoplásica no definida ocuparon un cuarto lugar 15 casos (11 %), observando que de éstos la mayor incidencia la ocuparon la displasia fibrosa y quiste óseo aneurismático 4 casos respectivamente (27 %), al compararlo con otros estudios se evidencia similitud en cuanto a la incidencia del quiste óseo aneurismático, el cual se presentó en segundo lugar de frecuencia en el estudio de referencia, donde llama la atención, la baja incidencia de la displasia fibrosa, respecto a los otros tumores de naturaleza neoplásica indefinida (10), lo cual difiere de nuestra investigación donde ocupa un papel importante en esta categoría. Podemos concluir en: los tumores óseos presentan discreta predilección en el sexo masculino, respecto al femenino, la edad pediátrica generalmente representa un papel importante dentro de la patología ósea, y la baja incidencia de patología tumoral ósea en este estudio, en este grupo etario, se puede atribuir a que los centros de referencia, a quienes se presta el servicio de estudio histopatológico, son instituciones con atención dirigida generalmente a la población adulta. Sin embargo, se evidencia que las tres primeras décadas de la vida, continúan siendo las más afectadas, siendo el grupo etario de 11-20 años, el de mayor frecuencia en esta investigación.
El fémur y tibia (fémur distal y tibia proximal) son topográficamente los huesos más afectados ubicando a la articulación de la rodilla como la más frecuente para los tumores óseos. Llama considerablemente la atención la alta incidencia de las vértebras como asiento de esta patología, sin embargo, éstas constituyeron un lugar predilecto para las metástasis óseas (segundas en nuestra casuística) lo que puede explicar su importante lugar en cuanto a localización. Los tumores cartilaginosos benignos, fueron nuestro grupo más frecuente de tumores.
Si bien los tumores osteogénicos malignos ocuparon un puesto importante en este estudio, ubicándose en tercer lugar, se presentaron en menor frecuencia respecto a otras investigaciones, donde los mismos ocupan el primer lugar.
Conflictos de interés
Los autores del presente trabajo declaran que no existen conflictos de interés.
Referencias
1. Wahab R, Figueroa F, Sosa P. Incidencia de tumores óseos en el Departamento De Patología del Hospital Central Universitario “Antonio María Pineda.” 1997. Boletín Médico de Posgrado. Disponible en: URL: bibvirtual.ucla.edu.ve/db/psm_ucla/edocs/bm/BM1901/BM190105.pdf.
2. Christopher D, Krishnan K, WHO, Classification of tumors. Pathology and genetics of tumors of soft tissue and bone. Lyon: IARC press;2013.
3. Jim S, Hochman MG. Bone tumors. A practical guide to imaging. Nueva York: Springer-Verlag; 2012.
4. Picci P, Manfrini M, Fabbri, N, Gambarotti, M, Vanel D, editores. Atlas of Musculoskeletal Tumors and Tumor like lesions. The Rizziole case archive. Suiza: Springer International Publishing;2014.
5. Baert A, Knauth M. En: Davies M, Sundaram M, Jame SJ, editores. Imaging of bone tumors and tumor-like lesions, techniques and applications. Springer-Verlarg: Berlin; 2009.
6. Greenspan A, Remagen W. Tumores de huesos y articulaciones. España: Marban;2002.
7. Carvallo AP. Tumores del esqueleto: 20 años de experiencia (1984-2003). Rev Venez Oncol. 2006;18(4):233-241.
8. Tamayo A, González R, Escandón F, Silva C, Rondón V, Guzmán M. Incidencia de tumores óseos y de partes blandas, malignos. Rev Cuban Oncol. 1999;15(3):165-169.
9. Álvarez LA, Casanova MC, García LY, Rodríguez RE. Tumores y lesiones pseudotumorales óseas en el niño: Estudio de diez años. Disponible en: URL: http://scielo.sld.cu/scielo.php?script=sci_arttext&pid=S0864215X2001000100016&lng=es
10. Puthur DK. Tumour like lesions: Understand the difference. Disponible en: URL: http://kjoonline.org/journal/index.php/kjo/article/download/82/pdf_16
11. Dorfman H, Cerniak B, editors. Bone Tumors. San Luis Missouri:Mosby;1998.
12. Mirabello L, Troisi R, Savage S. Osteosarcoma incidence and survival rates from 1973 to 2004. Disponible en: URL: http://onlinelibrary.wiley.com/doi/10.1002/cncr.24121/full.
13. Sánchez L, Santos M. Osteosarcoma. Disponible en: URL: http://www.medigraphic.com/pdfs/opediatria/op-2011/op111c.pdf.
Notas de autor
jennifer_abreu1@hotmail.com