Mixofibrosarcoma: fibrohistiocitoma maligno de bajo grado en axila. Reporte de caso, revisión de la literatura
Mixofibrosarcoma: fibrohistiocitoma maligno de bajo grado en axila. Reporte de caso, revisión de la literatura
Revista Venezolana de Oncología, vol. 30, núm. 1, 2018
Sociedad Venezolana de Oncología

Recepción: 20 Julio 2017
Revisado: 13 Octubre 2017
Aprobación: 23 Enero 2018
Resumen: OBJETIVO: Mixofibrosarcoma, es una variedad de sarcoma de partes blandas recientemente descubierta y el de bajo grado es el subtipo histológico con menor incidencia. Es tumor silente con un rápido crecimiento y gran capacidad de recidiva local (54 %), desarrollo de metástasis a distancia en el (6 %), una mortalidad global 2 % aproximadamente. CASO CLÍNICO: Paciente masculino de 48 años de edad, que consulta por presentar a nivel de la pared toráco-axilar derecha formación de aspecto tumoral de aproximadamente 12 cm a 10 cm de diámetro indolora, dura, móvil de crecimiento lento pero progresivo durante los últimos dos años de forma asintomática. A la resonancia magnética técnica a predominio de T1, T2 revela la presencia de lesión ocupante de espacio ovalada de 7,3 cm x 6,2 cm x 10 cm en región axilar medial derecha, discretamente hiperintensa al músculo en T1, doble señal en secuencia T2 y supresión de grasa en relación a alto contenido proteico-material purulenta, lo que impresiona como diagnóstico a considerar adenopatía abscedada vs., neoplasia primaria con degeneración quística y hemorragia intralesional. Se practica exéresis total de la lesión tumoral, con márgenes bien definidos. Los hallazgos histopatológico e inmunohistoquímico compatibles con Mixofibrosarcoma (fibrohistiocitoma maligno de bajo grado).
Palabras clave: Mixofibrosarcoma, fibrohistiocitoma, bajo grado, axila.
Abstract: OBJECTIVE: Myxofibrosarcoma is a variety of sarcoma of soft parts recently discovered and the low grade is the histological subtype with the lower incidence. It is a silent tumor with rapid growth and great capacity of local recurrence (54 %), development of distant metastases in the (6 %), a global mortality in 2 % approximately. CLINICAL CASE: Male patient 48 years of age, who consulted for at the level of the wall right axillary thoracic-tumor like formation of approximately 12 cm to 10 cm in diameter painless, hard, cell of slow but progressive growth during the past two years asymptomatically. The magnetic resonance imaging technique with a predominance of T1, T2 reveals the presence of an oval space occupying lesion of 7.3 cm x 6.2 cm x 10 cm in the axillary region medial right, discreetly hyper intense of muscle in T1, double signal on T2 weighted and fat suppression in relation to high protein purulent material, what impresses as a diagnosis to consider adenopathy abscessed vs. primary neoplasm with degeneration fibrosis, and intra lesion hemorrhage. It is practiced total exeresis of the lesion, with well-defined margins. The histopathological and the immunohistochemically report findings compatible with myxofibrosarcoma (low-grade malignant fibrous histiocytoma).
Keywords: Myxofibrosarcoma, low grade malignant fibrous histiocytoma, armpit.
INTRODUCCIÓN
Las neoplasias de la pared torácica son lesiones raras de hallar, entre ellas se incluyen las de los tejidos óseos y los tejidos blandos, las cuales pueden ser de origen primario o secundario (metástasis) incluyendo también las lesiones tumorales de las estructuras adyacentes al tórax que comprometen la pared torácica como mama, pulmón, pleura y mediastino. Las lesiones tumorales primarias de la pared torácica representan aproximadamente entre el 2 % a un 5 % de todos los tumores del tórax (1), son de manejo difícil por lo que ameritan un estudio minucioso y detallado para su diagnóstico y un abordaje exhaustivo para su corrección (1).
Los sarcomas de tejidos blandos (STS) son infrecuentes tumores maligno del tejido conectivo extra-esquelético representan aproximadamente el 1 % de los tumores malignos en la edad adulta y el 15 % en la edad pediátrica (1). El término "tejidos blandos" incluye músculo, tendones, tejido fibroso, graso, sinovial, vasos y nervios.
El histiocitoma fibroso maligno ha sido considerado el sarcoma de partes blandas más frecuente en la edad adulta, este se puede subclasificar en distintas nuevas entidades en función de su diferenciación, aportando por tanto nuevos criterios clínicos y pronósticos (2). Una de estas subclasificacion corresponde al mixofibrosarcoma que es un tipo de tumor que presenta un amplio espectro histológico pero que tiene un patrón celular claro de características propias que lo identifican (2). En la que se destaca el patrón nodular, la matriz mixoide con presencia de capilares elongados y las células fibroblásticas malignas estrelladas, fusiformes o multinucleadas. Se considera de bajo grado cuando el patrón es hipocelular, principalmente mixoide, sin mitosis ni necrosis como el caso presentado. En el grado intermedio, se observa mayor celularidad y actividad mitótica, con áreas sólidas y fasciculares, así como con células gigantes multinucleadas. Pero cuando aparecen áreas de gran pleomorfismo, con necrosis y alto índice proliferativo, se considera de alto grado, y es cuando más se parece al clásico histiocitoma fibroso maligno (2,3).
Mixofibrosarcoma (MFS), es una variedad de sarcoma de partes blandas recientemente descubierta y el de bajo grado es el subtipo histológico con menor incidencia. Se caracteriza por ser un tumor silente con un rápido crecimiento, gran capacidad de recidiva local (54 %) en los dos primeros años de su extirpación quirúrgica y largo tiempo de evolución hasta el desarrollo de metástasis a distancia (6 %) y una mortalidad global aproximadamente del 2 % (2,3). Su histología supuestamente benigna, pero, pero con una agresividad potencial debido a su evolución clínica indolente y maligna.
Es el sarcoma de tejidos blandos más común del adulto, ocupa el 5 % a 10 % de los sarcomas de partes blandas (3). El origen de este tumor continúa siendo desconocido hasta hoy. Sin embargo, la hipótesis histogenética más aceptada hoy día es sobre las células mesenquimales pluripotenciales como precursoras neoplásicas (3,4).
El pico de edad de mayor incidencia se sitúa entre la quinta y séptima década de la vida; su presentación resulta inusual antes de los 40 años, con una edad media de 52 años. Presenta un ligero predominio por el sexo masculino. La localización más frecuente es en miembros inferiores (49 %); le siguen en frecuencia los miembros superiores (19 %), tronco (18 %), cabeza y cuello (1 %-6,6 %), con una alta incidencia en la dermis o tejido subcutáneo(3,4).
Según la Clasificación Internacional de Enfermedades Oncológicas de la Organización Mundial para la Salud (CIEO-OMS) (3), este corresponde a una de las variedades de sarcoma de partes blandas incluidas dentro del grupo de los tumores fibroblásticos - miofibroblásticos que representa el 1 % de todos los tumores malignos (4). Su incidencia es incierta y no varía según el sexo. Se presentan habitualmente en pacientes jóvenes o de edad media, aunque también han sido descritos en niños (15 %). Es una neoplasia maligna rara, con menos de 150 casos documentado a nivel mundial, por lo que es un padecimiento poco inusual su presentación puede dar lugar a confusión diagnóstica con otros tumores de tejidos blando (3,4,5).
En cuanto a su origen embriológico no es claro, aunque al parecer deriva de la hoja embriológica del mesodermo, lo que permite que se presente en diferentes tejidos, como: tejidos blandos, hueso, piel, órganos internos e incluso vaso y nervios. Los originados en partes blandas son en su gran mayoría benignos y 100 veces más comunes que los malignos (5).
Este tipo de tumores se localiza en la profundidad de los tejidos blandos de extremidades inferiores, sobre todo el muslo. Se han visto en otras áreas como tórax, hombro, ingle y raramente interior del abdomen. La mayoría de los casos son a nivel subfascial, pero pueden igualmente verse afectadas la dermis o el tejido celular subcutáneo (5,6).
Las manifestaciones clínicas de los Mixofibrosarcoma de bajo grado (MFSbBG), están en función de su localización y pueden manifestarse por poco o nada dolorosa, que puede provocar el retardo diagnóstico incluso de cinco años en 15 % (6) de los pacientes. En raras ocasiones su presentación puede ser aguda provocando un cuadro de dolor torácico cuando afecta la pared torácica.
Su apariencia de benignidad y la naturaleza silente de este tumor hacen que las pruebas de imagen (TAC y RMN) no nos aporten un diagnóstico de seguridad, siendo necesario para ello el estudio histológico tras la cirugía (7,8,9).
El diagnóstico anatomopatológico del MFSbBG, no es fácil por los patrones heterogéneos que pueden presentar. La punción aspiración con aguja fina (PAAF) de muestras celulares obtenidas, tiene un valor muy limitado e incluso la biopsia por aguja gruesa (trucut) dirigida mediante control tomográfico puede en ocasiones no ser representativa. Con los marcadores inmunohistoquímico es posible realizar el diagnóstico anatomopatológico de manera más confiable y certera (10,11).
El tratamiento y pronóstico de los pacientes con MFSbBG, está relacionado con el diagnóstico temprano, y el tratamiento oportuno donde sigue siendo de elección la resección quirúrgica completa (con márgenes amplios sin afectación). Si a ello se une un bajo grado de malignidad histológica y la ausencia de afectación ganglionar, la opción quirúrgica habrá sido suficiente no precisando de tratamientos complementarios. El tratamiento coadyuvante con radio y/o quimioterapia, se indica radioterapia en los tumores de medio o alto grado y en los de bajo grado con márgenes positivos o dudosos. Mientras que la quimioterapia está indicada en tumores en estadio III, o si existe afectación ganglionar, en los que se ha estimado que la supervivencia a cinco años es inferior al 35 % (10,11,12,13).
El objetivo de la investigación es describir un caso, debido a la incidencia poco común del MFSbBG, es informar un caso de localización toráco-axilar derecha. Dar a conocer este padecimiento, ya que por su inusual presentación puede dar lugar a confusión diagnóstica con otros sarcomas de partes blandas. Así como la revisión y actualización de la literatura sobre el tema
CASO CLÍNICO
Masculino de 48 años que presenta a nivel de la pared toráco-axilar derecha formación tumoral indolora, de crecimiento lento pero progresivo durante los últimos dos años de forma asintomática, sin antecedentes patológicos, personales, ni familiares de interés. En la exploración física se destaca la presencia de una tumoración en pared torácica medial de la región axilar derecha, de aproximadamente 12 cm a 10 cm de diámetro, de aspecto duro, móvil firme sin sensibilidad, ni enrojecimiento o calor, sin palparse adenopatías axilares.
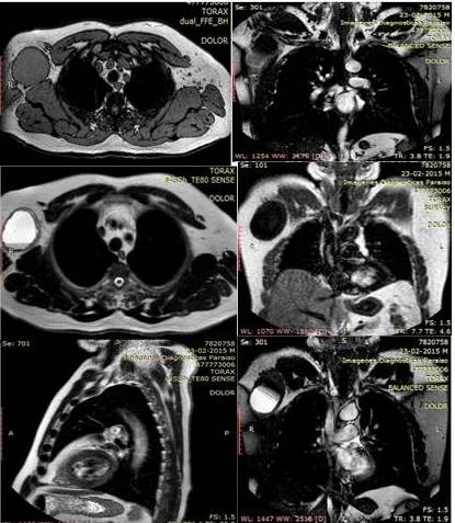
Exámenes de laboratorio clínico dentro de parámetros normales. Por el cual se ordenan exploraciones complementarias, donde se destaca en la resonancia magnética nuclear de tórax (RM) técnica a predominio de T1, T2 revelan la presencia de lesión ocupante de espacio ovalada de 7,3 cm x 6,2 cm x 10 cm en región axilar medial derecha, discretamente hiperintensa al músculo en T1, doble señal en secuencia T2 y supresión de grasa en relación a alto contenido proteico-material purulenta. Presencia de pared gruesa con deformidad de la superficie cutánea sin embargo, no hay edema significativo de los tejidos blandos perilesionales lo que impresiona como diagnóstico a considerar adenopatía abscedada vs., neoplasia primaria con degeneración quística y hemorragia intra-lesional (Figura 1).

Ultrasonido abdominal y examen óseo normales.
Se programa la intervención quirúrgica realizándose exéresis total de la lesión y la correspondiente biopsia. Por medio de abordaje torácico antero lateral derecha, se practica exéresis en bloque del tumor y se comprobó que tenía características de estar encapsulado ovalado, de bordes irregulares que mide de aproximadamente 10 cm x 7 cm x 6 cm de diámetro, encapsulada, aspecto heterogéneo, con una superficie externa suave, lisa, y resplandeciente con un color tostado claro, con neovascularización y adheridos a planos profundos (Figura 2).

La pieza quirúrgica fue enviada al laboratorio de anatomía patológica. Descripción macroscópica, lesión tumor que mide 11 cm x 6,5 cm x 5,1 cm, aparentemente encapsulada, superficie externa lisa, suave con tractos vasculares visibles al corte se aprecia salida de líquido de aspecto hemorrágico, con tejido lobulado, amarillento, untuoso con aéreas marrón grisáceas resplandeciente con un color tostado claro (Figura 2).
La evaluación microscópica por tramos de corte de la masa reveló un tumor con áreas de células ahusadas, con núcleos ovoides hipercromaticos, con moderada cantidad de mitosis atípicas en las áreas de celularidad moderada con citoplasma acidofílico, en otras áreas las células están separadas por cantidades conspicuas de estroma mixoide, con grupos de células histiocitarias, asimismo, se observan vasos sanguíneos dilatados y congestivo con focos de hemorragia.
El perfil inmunohistoquímico de la celularidad neoplásica fueron consistentemente positivas para vimentina (3+) focalmente para CD34 (2+), negativo para queratina de amplio espectro AE1/AE3 y actina de musculo, S100.

Se le dio el alta hospitalaria al siguiente día de la cirugía. Su evolución posterior, es satisfactoria, se envía al servicio de oncología, en donde previa valoración deciden no dar tratamiento complementario. Actualmente se encuentra en seguimiento por consulta ambulatoria por los servicios de cirugía de tórax y oncología. Todas las exploraciones complementarias realizadas 12 meses después de la intervención quirúrgica (analíticas de laboratorio, RM toracoabdominal) se encuentra dentro de los rangos normales.
DISCUSIÓN
Los tumores ricos en matriz mixoides representan un grupo muy heterogéneo de lesiones que tienen en común la producción de abundante matriz extracelular rica en mucopolisacáridos. El MFSbBG, es un tumor raro de lento crecimiento de los tejidos blandos que puede aparecer a cualquier edad, pero es considerado como el sarcoma más frecuente del adulto de edad avanzada 6ª-8ª décadas de la vida (1), con un ligero predominio del sexo masculino, y se localiza preferentemente en los tejidos subcutáneos (70 %) de las extremidades, sobre todo inferiores. La afectación de los tejidos subfasciales es también posible pero menos frecuente (30 %) (1,2)
La mayor parte se origina en la grasa subcutánea o en los tejidos blandos profundos del muslo pudiendo afectar también por orden de frecuencia a la pared torácica/axila, los hombros, la región inguinal, los glúteos y el cuello; otras localizaciones más infrecuentes son el retroperitoneo, el mesenterio, el lecho ungueal, el ligamento falciforme, la cápsula renal y el mediastino (3,4).
Por lo general, son lesiones grandes, particularmente las profundas, de aspecto gelatinoso gris/blanco, pero pueden presentar áreas más firmes, hemorragia y/o necrosis. Las lesiones más superficiales tienden a presentar un patrón multinodular con bordes mal definidos e infiltrativos, que se extienden longitudinalmente; mientras que las lesiones profundas, en cambio, tienden a ser mayores, menos nodulares y más infiltrativas.
Los primeros casos de MFSbBG fueron descritos por Evans (4) en 1987, basado en la descripción de dos casos de tumores fibromixoides originados en partes blandas, son tumores infrecuentes de los tejidos blandos, con unos rasgos histológicos aparentemente benignos y un curso clínico indolente y maligno, con recurrencias locales tardías, metástasis a distancia (5).
Su etiología es desconocida, relacionándose con diversos factores: genéticos: neurofibromatosis, síndrome de Gardner, síndrome de Wermer, esclerosis tuberosa, síndrome de nevus de células basales, síndrome de Li-Fraumeni (mutación P53), entre otros (5,6,7,8).
La presentación clínica del MFSbBG, suele ser de larga data y se relaciona principalmente con la localización anatómica de la lesión tumoral. LGFMS usually presents as a painless soft-tissue mass with a pre-biopsy duration of over 5 years in 15% of patients Este suele presentar como una masa indolora de tejido blando con una duración de más de cinco años en el 15 % de los pacientes(9,10). Como sucedió en el caso clínico presentado.In rare occasions acute presentations of the disease may occur, such as acute respiratory distress and chest pain in case of chest wall LGFMS or seizure activity in a patient with intracranial LGFMS En raras ocasiones se pueden producir presentaciones agudas de la enfermedad, tales como dificultad respiratoria aguda y dolor torácico en los caso de localización en la pared torácica.
En los estudios de imágenes son inespecíficos, no existen rasgos desde el punto de visto radiológicos tanto en la tomografía computada (TC) y en la resonancia magnética (RM), que sean definitivos y que diferencien al MFSbBG de otro tipo de fibrosarcomas, ya que se comportan como masas sólidas con grados variables de realce, necrosis o degeneración quística y hemorrágica. En las imágenes de TC sin contraste el componente fibroso de estos tumores ha sido descrito como isodensa al tejido muscular y el componente mixoide como hipodenso. Por otro lado, en la RM, el componente fibroso se caracteriza como hipointensa en T1; y el coeficiente de atenuación, la intensidad de señal en T2 y el patrón de captación varían en función del componente mixoide (11,12,13). Como sucedió con caso en estudio.
El problema en el diagnóstico se puede presentar o se restringe casi exclusivamente a las lesiones de bajo grado, y pueden confundirse tanto con lesiones benignas como malignas de bajo grado. Entre las benignas la que mayores dificultades puede presentar es el mixoma celular ya su arquitectura, tipo de celularidad y patrón vascular son totalmente semejantes; las diferencias residen exclusivamente en la atipia nuclear. Mayor grado de confusión se observa con los otros sarcomas primarios predominantemente mixoides, como son el liposarcoma mixoide y el condrosarcoma mixoide extraesquelético (13).
Por lo que el diagnóstico definitivo del MFSbBG, se hace sobre la base de los hallazgos histológicos e inmunohistoquímico. Este tumor se caracteriza por una mezcla de zonas hipocelulares colagenizado y nódulos mixoides más celulares. En las lesiones de bajo grado el patrón nodular es más ostensible y en el seno de los nódulos existe abundante matriz mixoide y escasas células pequeñas, fusiformes o estrelladas, con núcleo pequeño hipercromático y discretamente pleomorfo y citoplasma poco evidente y eosinófilo. Las figuras de mitosis son esporádicas (< 2/10CGA) al igual que los pseudolipoblastos y la necrosis se puede encontrar en aproximadamente el 10 % de los casos. Estas lesiones tienen tendencia a recidivar, pero no metastatizan (14,15).
La tinción inmunohistoquímica, en el MFSbBG, no muestra una inmunohistoquímica específica, sus células neoplásicas se tiñen de forma intensa y difusa para la vimentina solamente y en algunos casos se describe reactividad focal para con una variedad de anticuerpos, tales como desmina, queratina, proteína S100, antígeno epitelial de membrana, CD34, y CD31. Marcadores musculares, como la actina de músculo liso, lo que sugiere diferenciación miofibroblástica al menos en algunas células. Casos menos frecuentes son positivos para desmina, CD34 o citoqueratinas (15).
El reporte de un caso de MFSbBG en región toráco-axilar, presentado en este documento como una entidad patológica infrecuente y de escasa incidencia que puede simular otras neoplasias de partes blandas. Viene a enriquecer y actualizar la literatura con información sobre su etiología, presentación clínica, diagnóstico por imagen, sobre el tratamiento de elección como lo es la cirugía y el diagnóstico definitivo como lo es el análisis anatomopatológico de este tumor raro.
Referencias
1. Navarro Duarte, J. Ferrer Márquez, M. Barrera Casallas, C. Campos, M. Mixofibrosarcoma de bajo grado en la mama: una localización inusual Rev Senol Patol Mamar. 2014; 27(1):54-55.
2. Citores-Pascual, M. Tinoco-Carrasco, C. Arenal-Vera, J. Benito-Fernández, C. Torres-Nieto, M y Zamora-Martínez, T. Sarcoma fibromixoide de bajo grado: a propósito de 3 casos y revisión de la bibliografía. Cir 2013 ; 81(4):333-339.
3.Singer S, Nielsen T, Antonescu CR: Molecular biology of soft tissue sarcoma. In: DeVita VT Jr, Lawrence TS, Rosenberg SA: Cancer: Principles and Practice of Oncology. 9th ed. Philadelphia, Pa: Lippincott Williams & Wilkins, 2011, pp 1522-32.
4. Singer S, Maki RG, O'Sullivan B: Soft tissue sarcoma. In: DeVita VT Jr, Lawrence TS, Rosenberg SA: Cancer: Principles and Practice of Oncology. 9th ed. Philadelphia, Pa: Lippincott Williams & Wilkins, 2011, pp 1533-77.
5. E. Ballesteros Gómiz, J. Casalots Casado, A. Rovira Gols, M. Prenafeta Moreno. Sarcoma fibromixoide de bajo grado intracraneal: a propósito de un caso. Radiología. 2010; 53:171-4.
6. Cruz-Benítez, L. Cortés-Cárdenas, S. Farías-Alarcón, M. Tenorio-Torres, J. Ramírez-Heredia, J. Conde-Vázquez, E. Sarcoma fibromixoide de región sacra. Reporte de caso. GAMO, 2011 septi – oct. 10 (5).
7. Lee AF, Yip S, Smith AC, Hayes MM, Nielsen TO, O’Connell JX. Low-grade fibromyxoid sarcoma of the perineum with heterotopic ossification: case report and review of the literature. Hum Pathol 2011; 42(11):1804-1809.
8. Wibmer C, Leithner A, Zielonke N, et al.: Increasing incidence rates of soft tissue sarcomas? A population-based epidemiologic study and literature review. Ann Oncol 2010; 21 (5): 1106-11.
9. Billings SD, Giblen G, Fanburg-Smith JC. Superficial Low-grade Fibromyxoid Sarcoma (Evans Tumor): A Clinicopathologic Analysis of 19 Cases with a Unique Observation in the Pediatric Population. Am J Surg Pathol 2005; 29(2):204-210.
10. Wu X, Petrovic V, Torode IP, Chow CW. Low-grade fibromyxoid sarcoma: problems in the diagnosis and management of a malignant tumour with bland histological appearance. Pathology 2009; 41(2):155-160.
11. Park IJ, Kim HC, Yu CS, Kim JS, Jang SJ, Kim JC. Low-grade fibromyxoid sarcoma of the colon. Dig Liver Dis 2007; 39(3):274-277.
12. Lee AF, Yip S, Smith AC, Hayes MM, Nielsen TO, O’Connell JX. Low-grade fibromyxoid sarcoma of the perineum with heterotopic ossification: case report and review of the literature. Hum Pathol 2011; 42(11):1804-1809.
13. Rose B, Tamvakopoulos GS, Dulay K, Pollock R, Skinner J, Briggs T, et al. The clinical significance of the FUS-CREB3L2 translocation in low-grade fibromyxoid sarcoma. J Orthop Surg Res 2011; 6(1):15.
14. Del Valle González N, Santos Largo J, Martínez-Sagarra Oceja J, Rodríguez Tesedo V. Sarcoma fibromixoide renal. Actas Urol Esp. 2009; 33(9):1036-1039.
15. Saito R, Kumabe T, Watanabe M, Jokura H, Shibuya M, Nakazato Y, et al. Low-grade fibromyxoid sarcoma of intracranial origin. J Neurosurg. 2008; 108:798-802.
Notas de autor
Correspondencia: Dr. Juan Carlos Araujo C. Av. Fuerzas Armadas Hospital “Dr. Adolfo Pons” IVSS. Unidad de Cirugía de Tórax. Servicio de Cirugía Maracaibo. Tel: 0414 6119640. E-mail: jcaraujoc_65@hotmail.com