Células madre del cáncer: su participación en el cáncer mamario triple negativo
Células madre del cáncer: su participación en el cáncer mamario triple negativo
Revista Venezolana de Oncología, vol. 30, núm. 1, pp. 61-72, 2018
Sociedad Venezolana de Oncología

Recepción: 31 Agosto 2017
Revisado: 15 Diciembre 2017
Aprobación: 23 Enero 2018
Resumen: El cáncer de mama es el más comúnmente diagnosticado en mujeres en el mundo y se considera un problema de salud pública. Es una enfermedad heterogénea con alto grado de diversidad dentro del tumor, entre tumores y entre pacientes. Dentro de los subtipos del cáncer de mama se identifica el triple negativo, que es el más devastador, con altas tasas de morbilidad y mortalidad, su tratamiento actual es un desafío debido a la pérdida de receptores blanco. La carcinogénesis que predomina en la actualidad se basa en el modelo estocástico, pero recientemente, el modelo de células madre del cáncer ha propuesto una teoría alternativa que además trata de explicar la recidiva después de quimioterapia primaria, y plantea que hay una sub-población de células del cáncer responsable de la regeneración del tumor, que tienen capacidad de auto-renovación, diferenciación multilinaje, generando linajes heterogéneos de células cancerosas que pueden jugar un papel importante en la iniciación, mantenimiento y diseminación del cáncer. Se revisan conocimientos actuales más relevantes sobre células madre del cáncer en el subtipo tumor mamario triple negativo, al haber limitadas publicaciones en este tema, incidiendo en los marcadores que se utilizan para identificar estas poblaciones celulares y su uso como indicadores pronóstico de esta enfermedad, así como su posible participación en la carcinogénesis de este tipo de cáncer mamario.
Palabras clave: Célula madre, cáncer, mamario, carcinogénesis.
Abstract: The breast cancer is the most common cancer diagnosed in women in the worldwide and it is considered as a public health problem. It is a heterogeneous disease with a high degree of diversity within the tumor, among tumors and also between in the patients. Within the subtypes of the breast cancer, the triple negative type is one of the most devastating cancers, with high rates of morbidity and mortality. Its current treatment is a challenge due to the loss of targets. The carcinogenesis that prevails today is based on the stochastic model, but recently, the cancer stem cell model is an alternative theory that proposed that there is a sub-population of the cancer cells capable of self-renewal and the multiline age differentiation which is responsible of the tumor regeneration, that could explain the heterogeneous lineages of the cancer cells and thus may play an important role in the initiation, the maintenance and the dissemination of cancer. In this work paper we review the most relevant current knowledge about the cancer stem cells in the triple negative breast cancer tumor subtype, focusing on the markers used to identify these cell populations and their use as a prognostic indicator of this disease, as well as their possible the participation in the carcinogenesis of this type of the breast cancer.
Keywords: Cancer stem cells, cancer, breast, carcinogenesis.
INTRODUCCIÓN
La teoría estocástica del origen del cáncer preponderante en la actualidad, plantea un modelo matemático en el que la ley de probabilidad, que da la evolución de un sistema, depende del tiempo: iniciación/promoción/progresión. Sin embargo, entre los años 1960 -1980 se demostró in vitro e in vivo que solo un pequeño porcentaje de células aisladas de un tumor eran clonogénicas, lo cual indica que dentro del tumor existe una variabilidad en la habilidad de las células para proliferar.
Mientras que otra teoría planteaba que el cáncer proviene de células embrionarias, las cuales serían desplazadas durante el desarrollo y persistirían en los tejidos adultos, fue propuesta en el siglo XVIII por Virchow, Conheim, Durant y Beard (a finales de 1800), y actualizada como teoría de las células madre del cáncer a finales del siglo XX e inicios del actual.
Un tercer modelo de origen del cáncer, propone un modelo mixto de evolución clonal de las células madre del cáncer (CMC) o células progenitoras del cáncer, para dar cuenta de la heterogeneidad del tumor. En este enunciado, las mutaciones transforman las células normales diferenciadas (teoría clonal), en células madre o progenitoras para generar CMC, las cuales pueden acumular mutaciones adicionales (divergencia genética) dando lugar a diferentes clones de CMC las que luego sufren selección clonal. Para el caso del tumor mamario, los clones dominantes determinan el sub tipo de cáncer mamario triple negativo (CMTN), el cual se caracteriza por presentar inicial quimio-resistencia y pobre pronóstico, y se postula que podría estar relacionado a la presencia de CMC (1).
En muchos países, el cáncer mamario en humanos es uno de los más importantes, como es el caso del Perú en que es el segundo de mayor incidencia, con tendencia a incrementar significativamente cada año, y dentro de este, el sub-tipo triple negativo (HER2 y receptores hormonales negativos) que representa 15 %- 20 %, es además, el que no tiene terapia exitosa alguna, siendo de pobre pronóstico (2), probablemente por ser una enfermedad heterogénea; en este contexto, este tipo de cáncer es también un buen modelo biológico para estudios básicos.
El cáncer de mama es la segunda causa de muerte de mujeres por cáncer, y afecta a 1,7 millones de pacientes cada año en todo el mundo (3). Dentro de este, se acepta que hay diversos sub tipos, uno de ellos el CMTN, fue mencionado por primera vez el 2005 (4), y actualmente se registran más de 7 114 accesos a trabajos sobre este tipo de cáncer mamario en la base de datos PubMed (5).
Los pacientes con tumores triple negativo tienen un pobre pronóstico y no pueden ser tratados con terapia endocrina o terapias blanco para el receptor tipo 2 del factor de crecimiento epidermal humano (HER2). El sub-tipo molecular de cáncer de mama tipo basal (basaloide o cáncer de mama basal, cáncer de mama basaloide) es el más próximo al CMTN, mediante inmunohistoquímica se caracteriza por un perfil de expresión génica similar al de la capa basal-mioepitelial normal (6).
El objetivo de este trabajo es revisar la información sobre la participación de las células madre del cáncer en el tumor de mama triple negativo, considerando que estas células impulsan el crecimiento tumoral y la metástasis, en tanto que las terapias anti CMC tienen el potencial de mejorar significativamente los resultados de la terapia del cáncer de mama avanzado.
EPIDEMIOLOGÍA DEL CÁNCER MAMARIO TRIPLE NEGATIVO
A nivel mundial 200 000 nuevos pacientes con este tipo de cáncer se registran cada año (7). En EE.UU el 2015 se presentaron 292 130 casos nuevos de cáncer mamario en mujeres, de los cuales mayormente son casos invasivos (79,36 %) y en menor proporción in situ (20,64 %), la mortalidad es del 13,8 % ( 8) . Se acepta que alrededor del 10 % y 20 % del cáncer de mama invasivo es del tipo tumor de mama triple negativo, que está asociado con la raza, pobreza, edad temprana del diagnóstico, estado avanzado de la enfermedad, alta graduación, altos índices mitóticos, historia familiar de cáncer de mama y mutaciones BRCA1 (9), en tanto que la lactación y anticonceptivos no ha mostrado correlación con el cáncer de mama en otros países (10).
Mientras que en Perú, el cáncer de mama es la segunda causa de cáncer en mujeres, la incidencia es de 28/100 000 mujeres, el 51 % son posmenopáusicas, el 42 % son pre menopaúsicas mayores de 35 años y el 8,2 % menores de 35 años, (11,12). El CMTN se presenta con frecuencia parecido a la de otros países latinos, variando entre 20,6 % -30,5 % de todos los tipos de cáncer de mama según el tamaño de población estudiado (13,14, 15).
PERFIL MOLECULAR DEL CÁNCER MAMARIO TRIPLE NEGATIVO
En el cáncer de mama se distingue hasta 21 subtipos histológicos y al menos 4 subtipos moleculares, que son biológicamente diferentes en presentación, respuesta a tratamiento, evolución, y también están asociados a distintos factores de riesgo (16,17). Estos son: Luminal A (receptores hormonales (HR)+ve, HER2-ve), Luminal B (HR+ve, HER2+ve), HER2/neu positivo (HR-ve, HER2+ve) y carcinoma mamario Triple negativo (HR-ve, HER2-ve) (18).
Mientras que al estudiar los perfiles de expresión de genes se confirma la variabilidad genética entre tumores, sin embargo las técnicas para obtener este perfil son complicadas, de alto costo y actualmente no son de práctica estandarizada. La aproximación más conveniente de los subtipos moleculares se obtienen usando marcadores de rutina que incluyen presencia o ausencia de receptores de hormonas (estrógeno/progesterona) y niveles altos del receptor del factor de crecimiento epidermal humano-2 (HER2) que es una proteína promotora del crecimiento (19).
En este contexto, el cáncer mamario triple negativo es un grupo heterogéneo de enfermedad con una asociación descrita con la transición epitelio-mesenquimal y el fenotipo de célula madre del cáncer mamario (20).
Entonces por definición, el CMTN tiene una expresión de ≤ 1 % de ER (receptor de estrógeno) y PR (receptor de progesterona) determinado por inmunohistoquímica (IHQ), a la vez son HER2 negativo (0,1+) por IHC o 2+ mediante FISH (21). Por otro lado, el 20 % de pacientes con CMTN tienen mutación del gen del cáncer de mama (BRCA), en particular del BRCA1; en tanto que el estado pre-menopaúsico, así como tres o más partos y la obesidad se asocian con un mayor riesgo de cáncer de mama triple negativo(22).
Por otro lado, se ha establecido que al rededor del 70 % del CMTN son de tipo basal el cual se caracteriza por un conjunto único de genes que incluye el receptor del factor de crecimiento epidérmico (EGFR, también llamado HER1), citoqueratinas basales 5/6 y c-Kit (23). Es así que cuando hablamos de cáncer mamario triple negativo, lo hacemos mayormente (pero no enteramente) sobre el sub tipo molecular parecido al basal (basal-like), pues aún se mantiene una dificultad semántica para definir el fenotipo clínico vs fenotipo molecular.
Mientras que por expresión génica se han caracterizado distintos subtipos de cáncer de mama triple negativo, que incluyen: dos subtipos parecidos al basal (BL1 y BL2), un sub tipo inmunomodulador, otro subtipo mesenquimal y otro parecido a madre-mesenquimal (mesenquimal stem-like), igualmente se caracterizaron subtipos luminales con receptor de andrógenos (LAR) y dos subtipos adicionales que incluyen baja-claudina (claudin- low) y el rico en interferón (interferon-rich) (24,25), y mediante la expresión de genes usando microarray se ha determinado 7 subtipos moleculares, por inmunohistoquímica se ha establecido que la mayoría de CMTN son del subtipo parecido al basal (basal-like) caracterizado por la expresión de queratinas 5, 6 y 7 y sobre expresión de genes involucrados en la proliferación(26).
CÉLULA MADRE DEL CÁNCER EN EL TUMOR MAMARIO TRIPLE NEGATIVO
Biología de las células madre del cáncer
En humanos y animales, las células madre mesenquimales son células indiferenciadas con capacidad para auto-renovarse, diferenciarse y proliferar (27); similar a las células madre embrionarias los factores de transcripción Oct4 y Nanog son reguladores de la proliferación y de los estados indiferenciados (28).
En tanto que una neoplasia, semejante a los tejidos normales, está compuesta por poblaciones heterogéneas de células con distintos fenotipos, funciones y perfiles de expresión de genes (29). Una de estas subpoblaciones, comparten algunas propiedades críticas con las células embrionarias, como la auto-renovación ilimitada, diferenciación en múltiples linajes y mantenimiento del estado de troncales, por lo que es obvia la participación diferenciada de los factores de pluripotencia como Oct4, Nanog, SOX2, KLF4 y c-MYC en los diversos estadios de la tumorigénesis, así es como la expresión del gen Sox2 -que se encuentra en el 16 % de tumores primarios de mama- en una célula con las mutaciones adecuadas (por ejemplo p53) podría ser la causa de la generación de las CMC, evento que correlaciona con los estadios iniciales de la tumorigénesis, pero posiblemente no sea necesario en los estadios más avanzados del tumor mamario (30).
Sin embargo, la propiedad clave de dichas células, es su virtualmente exclusiva tumorogenicidad en receptores in vivo, como en el ratón inmunodeprimido, en el cual, forman un nuevo tumor con las mismas características que el tumor original (31), además son capaces de crear metástasis en otras zonas del cuerpo.
Estas CMC tienen un alto grado de plasticidad fenotípica y funcional, por lo que son un sub-tipo de células cancerosas que juegan un rol clave en predecir la agresividad biológica del cáncer debido a su habilidad de auto-renovación y diferenciación multilinaje, se considera que son una sub-población de células del cáncer -antes que una población estable de células- responsable de la iniciación, mantenimiento, metástasis y recurrencia del tumor (32).
Los rasgos característicos de dichas células incluyen su heterogeneidad, la interacción con el microambiente y la plasticidad (33), existiendo evidencias para afirmar que las CMC juegan un rol importante en la tumorogenicidad inicial, en la invasión local y en la migración o metástasis (34).
La transformación en CMC, sea a partir de células madre normales o de células tumorales diferenciadas, consiste en la transición epitelio-mesenquimal (TEM), que se caracteriza por la represión de marcadores epiteliales y la activación de marcadores mesenquimales, que puede generar células con propiedades de células madre (35), traduciéndose en la adquisición de una singular cualidad de quimio-resistencia y la recurrencia del cáncer (Figura 1). La transición epitelio-mesenquimal puede ser promovida por los factores de transcripción Oct4 y Nanog a través de la activación de las vías de señalización Stat3 / Snail (36)

Pero es importante destacar que los estados epiteliales y mesenquimales de las CMC de mama no son estáticos; por el contrario, muestran una plasticidad celular que les permite transitar entre los estados TEM y TME (37). Esta reversible y meta-estable plasticidad epitelio-mesenquimal de las CMC de mama se basa en el actual modelo de metástasis del cáncer, postulando que el fenotipo TEM impulsa la diseminación de células tumorales, mientras que el subsecuente fenotipo TME acciona la colonización metastásica (38). En tanto que cuando ya se ha instaurado el tumor, los factores secretados por el tumor (ejemplo TGF-β) inducen a las células madre mesenquimales locales a diferenciarse en miofibroblastos asociados al cáncer (39), este evento es evidenciado in vitro por la incrementada expresión de actina-α del músculo liso (α-SMA en inglés).
Esta teoría de las células madre del cáncer fue establecida originalmente para neoplasias hematopoyéticas (40), pero debido al rápido desarrollo en técnicas biomoleculares, varios marcadores de la superficie celular del cáncer mamario asociados al linaje de CMC han sido descubiertos, tal como la ALDH1 asociada a subtipos biológicamente agresivos (41), presencia de CD44 combinado con ausencia de CD24 que es tomada como de consenso (42).
Sin embargo, la expresión de marcadores de las poblaciones de CMC varía entre diferentes subtipos de cáncer mamario y con diferentes características clínico-patológicas, así, cada población de CMC puede tener distinta importancia clínica en diferentes fenotipos de cáncer mamario (43).
Es importante precisar que las CMC poseen la capacidad de auto–renovación y división asimétrica - producen una célula madre y otra progenitora del tumor- generando linajes heterogéneos de células cancerosas, que pueden jugar un papel importante en la iniciación, mantenimiento y diseminación del cáncer (44).
La existencia de CMC o “células iniciadoras del tumor”, no implica que estas células derivan necesariamente de las células madre de tejidos normales, por lo que su definición se basa en características funcionales de estas células: (a) auto-renovación medida por la capacidad de formar tumores en ratones inmuno-deficientes, (b) capacidad de diferenciarse en células que no se auto-renuevan y constituyen la mayor parte del tumor. La prueba formal de que un tumor sigue el paradigma de CMC, se basa en la capacidad de aislar de forma prospectiva poblaciones de células con estas propiedades, así como otras sin estas propiedades (45).
Las células madre pueden presentar varios destinos: división (auto-renovación), diferenciación, inactividad o muerte (46). Mediante su capacidad de auto-renovación las células iniciadoras del tumor son segregadas de forma simétrica o asimétrica, estableciendo el destino de las células hijas, que pueden ser funcionalmente definidas mediante trasplante secundario. La heterogeneidad celular se mide usando la expresión diferencial de proteínas marcadoras de diferenciación (CD44, CD24, EpCam, CD34, CD38) y se genera en modelos de xenoinjerto (47).
El desarrollo de estos ensayos de xenotrasplante in vivo ha facilitado el aislamiento de células madre y células progenitoras de mama de ratón y humano sobre la base de varios marcadores de la superficie celular, dentro de ellos, CD44+/CD24- y aldehído deshidrogenasa+, habiéndose demostrado que 200 CMC con fenotipo CD44+/CD24- son capaces de iniciar tumores (48).
Los modelos en ratón de la tumorigénesis mamaria se han utilizado ampliamente para investigar los mecanismos genéticos que conducen a esta (49). La delimitación de los tipos de células en el tejido mamario que están predispuestos a la tumorigénesis requiere una comprensión detallada de la jerarquía celular. Así, en las células madre de la glándula mamaria del ratón normal se ha identificado el fenotipo CD29 high/ CD49f high/CD24 mod /+ que puede regenerar una glándula mamaria funcional completa (50). Mientras que se describe un método alternativo in vivo, para cuantificar la actividad de las células madre de mama humano, basado en el trasplante de células incrustadas en geles de colágeno en la cápsula renal de ratones, suplementados con estrógeno y progesterona (51).
Marcadores moleculares de las células madre del cáncer
En humanos, el primer tumor sólido a partir del cual se identificaron y aislaron CMC fue el cáncer de mama, en el cual se describieron una población de células con inmunofenotipo molecular CD44 + / CD24- y falta de expresión de CD2, CD3, CD10, CD16, CD18, CD31, CD64, y CD140b; este fenotipo CD44+/CD24- es consistente con las células madre. Doscientos de estas células fueron capaces de formar tumores después de xenotransplante en ratones NOD / SCID, mientras que decenas de miles de otras células no reprodujeron el tumor; los tumores así generados recapitularon la heterogeneidad fenotípica del tumor parental, que contiene una minoría de CD44+ / CD24- (48), constituyéndose en el primer reporte que el cáncer de mama puede originarse a partir de células madre del cáncer (52). En otro estudio de subpoblaciones de células con propiedades de células madre, se propone el uso del fenotipo CD44 alta / CD24 baja en combinación con Ep-CAM / CD49f como biomarcadores (53).
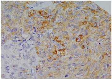
Del mismo modo, en el subtipo cáncer mamario triple negativo, se acepta que las células con fenotipo CD44+/CD24- juegan un rol importante en el ambiente clínico y que el desarrollo de blancos terapéuticos dirigidos contra ellas, pueden llevar a la reducción de su agresividad (54), fenotipo que puede ser evidenciado en cultivos celulares (Figura 2) o en cortes histológicos (Figura 3). Este fenotipo, se encuentra en células que generalmente están incrementadas en subtipos indiferenciados, como: baja-claudina (claudin-low), parecido al basal (basal-like), sobreexpresión de HER2- (1), que tienen capacidad para la transición epitelio-mesenquimal, y estaría relacionado a metástasis (55).


Por otro lado, la molécula denominada CD133 (Prominin-1) es considerada otro biomarcador putativo, y las células que la expresan tienen una alta capacidad iniciadora del tumor, sea in vivo (56) como in vitro (57), permitiendo identificar CMC en CMTN in situ como en células tumorales circulantes (58,59).
Asimismo, la aldehído dehidrogenasa 1 (ALDH1) que es una enzima responsable de la oxidación de aldehídos endógenos y exógenos en su correspondientes ácidos carboxílicos (60), a su vez, juega un rol importante en la detoxificación y autoprotección, al parecer, influye en la resistencia a la quimioterapia (61), en la regulación de la expansión y diferenciación de las CMC (62), considerándose como un promisorio biomarcador de dichas células. Sin embargo, tiene una alta expresión correlacionada a pobre pronóstico (63) y cerca del 70 % de células tumorales del cáncer de mama expresa ALDH1 (64), lo que evidenciaría cierta falta de especificidad.
También se ha estudiado otro marcador, el ABCG2 (ATP-binding cassette subfamily G member 2) que cataliza un transporte activo dependiente de ATP de compuestos químicamente no relacionados, incluyendo fármacos contra el cáncer (65), está involucrado en la resistencia innata o adquirida de los tumores a fármacos antineoplásicos. Puede ser considerado un adecuado marcador del cáncer de mama en particular para el fenotipo CMTN, en base a observaciones que emplean modelos celulares (66).
Otra molécula que viene siendo estudiada con mucha prospección es Musachi-1 (MSH1) , la cual es una proteína unida al RNA que está involucrada a la regulación del ciclo celular, a la proliferación y apoptosis, y es un indicador de pronóstico negativo de sobrevivencia en pacientes con cáncer mamario e indicador de células tumorales con características de CMC (67); también se advierte que esta proteína es importante en sostener el estado de células madre de las CMC pues contribuye a mantener un bajo nivel del proteosoma 26S, en tanto que la hipometilación de Musashi-1, CD44 y CD133 llevan a la expresión de estos genes que están relacionados con las CMC y que correlaciona con el fenotipo CMTN (68).
Un marcador igualmente promisorio, es la molécula de adhesión del leucocito activado (ALCAM en inglés) o CD166, que está asociada con la iniciación del tumor, formación de colonias, expansión, y correlaciona con el pronóstico de sobrevida en algunos tipos de cáncer (69), dentro de ellos en el cáncer mamario, en el que una baja expresión contribuye a un fenotipo más agresivo (70), sin embargo, no encontramos muchos estudios en CMTN.
Por lo expuesto, el uso de biomarcadores de células madre del cáncer en el cáncer mamario y específicamente en el cáncer mamario triple negativo, sin duda que será de extrema utilidad clínica. Sin embargo, actualmente se están realizando estudios más extensos para la aplicación rutinaria, por lo que el único marcador altamente pronóstico para células madre en CMTN de consenso, es la molécula CD44+, los otros marcadores de CMC al parecer, hasta hoy no han mostrado mucha relevancia para la sobrevida de los pacientes, asimismo, estudios inmunohistoquímicos para CMC aún no son suficientes para confirmar el rol de ellos en la carcinogénesis, porque probablemente los marcadores específicos aún no están plenamente definidos (71).
Perspectivas de terapia anti células madre del cáncer
Las células madres del cáncer han demostrado ser más resistentes a tratamientos convencionales utilizados en oncología, como la quimioterapia o la radioterapia; por tanto, suponen un candidato claro para explicar la generación de recidivas. La caracterización molecular de estas células se ha convertido en uno de los campos más activos en la investigación oncológica, porque los tratamientos dirigidos contra estas células podrían dar lugar a una eliminación completa del tumor (72).
Sistemas de liberación basadas en nano-transportadores (“nanocarrier”) que tienen como blanco estas células representan una nueva era del tratamiento, donde se toma como blanco a las CMC pudiendo ofrecer superiores resultados en una terapia eficiente del cáncer (73). Por otro lado, las CMC son relativamente resistentes a la inhibición de PARP proceso mediado por RAD51 que se convierte en un buen blanco terapéutico (73).
Finalmente, se están realizando ensayos de nuevas drogas que tienen como blanco a las CMC, mientras que otros estudios in vitro han demostrado que la combinación de agentes anti-CMC con agentes quimioterápicos convencionales provee muchos más beneficios a los pacientes. Sin duda que en este campo de la terapia del cáncer mamario triple negativo, aquella dirigida a blancos específicos que involucran a las células madre del cáncer brinda una alentadora perspectiva, que hasta hoy no tiene una terapia exitosa.
Concluimos en: la heterogeneidad intra-tumoral en el CMTN en la que las células madre del cáncer juegan un rol importante, es de notable significancia al establecer un valor pronóstico. Es de importancia vital establecer qué marcadores de CMC correlacionan con la evolución de este tipo de cáncer mamario. El fenotipo celular CD44+/CD24- es el que mayor consenso tiene como marcador de células madre del cáncer, seguidos de ALDH1 y CD133, sin embargo, emergen otros marcadores con buenas perspectivas de constituirse en marcadores pronósticos como son: ABCG2, Mushachi-1 y CD166. Finalmente, la asociación de quimioterápicos convencionales con agentes anti-CMC, al juzgar por las publicaciones existentes, ya es una nueva alternativa terapéutica del cáncer mamario.
Referencias
1. Shima H, Yamada A, Ishikawa T, Endo I. Are breast cancer stem cells the key to resolving clinical issues in breast cancer therapy? Gland Surg. 2017;6(1):82-88.
2. Zaharia M, Gómez H. Cáncer de mama triple negativo: una enfermedad de difícil diagnóstico y tratamiento. Rev Peru Med Exp Salud Pública. 2013;30(4):649-656.
3. Tang Y, Wang Y, Kiani MF, Wang B. Classification, treatment strategy, and associated drug resistance in breast cancer. Clin Breast Cancer. 2016;16:335-343.
4. Reddy GM, Suresh PK, Pai RR. Clinic pathological features of triple negative breast carcinoma. J Clin Diagn Res. 2017;11(1):EC05-EC08.
5. Brenton JD, Carey LA, Ahmed AA, Caldas C. Molecular classification and molecular forecasting of breast cancer: ready for clinical application? J Clin Oncol. 2005;23:7350-7360.
6. Akasbi Y, Bennis S, Abbass F, Znati K, Joutei KA, Amarti A, et al. Clinic pathological, therapeutic and prognostic features of the triple-negative tumors in moroccan breast cancer patients (experience of Hassan II university hospital in Fezdoi: BMC Res Notes. 2011;4:500. doi: 10.1186/1756-0500-4-500.
7. Kohler BA, Sherman RL, Howlader N, Jemal A, Ryerson AB, Henry KA, et al. Annual reports to the nation on the status of cancer. 1975-2011. Featuring incidence of breast cancer subtypes by race/ethnicity, poverty, and state. J Natl Cancer Inst. 2015;107(6): djv048.
8. López M, Pesci A, García I, Guidi V, Fernandes A, Blanch R. Factores de riesgo y protectores asociados al cáncer de mama. Rev Venez Oncol. 2017;29(2):102-111.
9. American Cancer Society. Breast Cancer Facts & Figures 2015-2016. Atlanta: American Cancer Society, Inc. Disponible en: URL: https://www.cancer.org/research/cancer-facts-statistics/breast-cancer-facts-figures.html
10. Díaz Plasencia JA, Hernández Morón PM, Burga Vega AM. Registro Hospitalario de Cáncer Informe 2010-2011. Instituto Regional de Enfermedades Neoplásicas “Dr. Luis Pinillos Ganoza”. Disponible en: URL: http://www.irennorte.gob.pe/pdf/epidemiologia/informe-2010-2011.pdf
11. Alarcon-Rozas AE, Cueva MR, Galarreta J, Torres J, Gonzales E, Ramirez J. Features of recurrence of triple negative (TN), non-metastatic breast cancer (NMBC) patients: A single institution study. J Clin Oncol. 2011;29(Suppl 27): abstract 180).
12. Pinto-Larea I, Pinto-Tipismana I. Perfil epidemiológico, clínico y anatomopatológico del cáncer de mama en el hospital nacional Almanzor Aguinaga Asenjo enero-dicembre 2011. Rev. Cuerpo Méd. HNAAA. 2013;6:8-13.
13. Mendoza-del Solar G, Cervantes-Pacheco F. Cáncer de mama triple negativo. Rev Soc Peru MedInterna. 2014;27:7578.
14. Diecei MV, Orvieto E, Dominici M, Conte P, Guarneri V. Rare breast cancer subtypes: Histological, molecular and clinical peculiarities. Oncologist. 2014;19:805-813.
15. Barnard ME, Boeke CE, Tamimi RM. Established breast cancer risk factors and risk of intrinsic tumor subtypes. Biochim Biophys Acta. 2015;1856(1):73-85
16. Sattar HA. En: Kumar V, Abbas AK, Aster JC, editores. Female Genital System and Breast. Robbins Basic Pathology. 10a edición. Filadelphia: Elsevier; 2017. p.681-714.
17. Anderson WF, Rosenberg PS, Perou CM, Sherman ME. How many etiological subtypes of breast cancer: Two, three, four, or more? J Natl Cancer Inst. 2014;106(8): pii: dju165.
18. Jang MH, Kim HJ, Kim EJ, Chung YR, Park SY. Expression of epithelial-mesenchymal transition-related markers in triple-negative breast cancer: ZEB1 as a potential biomarker for poor clinical outcome. Hum Pathol. 2015;46(9):1267-1274.
19. Hammond ME, Hayes DF, Dowsett M, Allred DC, Hagerty KL, Badve S, et al. American Society of Clinical Oncology/College of American Pathologists guideline recommendations for immunohistochemically testing of estrogen and progesterone receptors in breast cancer (unabridged version) Arch Pathol Lab Med. 2010;134(7):e48-72.
20. Pierobon M, Frankenfeld CL. Obesity as a risk factor for triple-negative breast cancers: a systematic review and meta-analysis. Breast Cancer Res Treat. 2013;137(1):307-314.
21. Mirzania M. Approach to the triple negative breast cancer in new drugs area. Int J Hematol Oncol Stem Cell Res. 2016;10(2):115-119.
22. Lehmann BD, Bauer JA, Chen X, Sanders ME, Chakravarthy AB, Shyr Y, et al. Identification of human triple-negative breast cancer subtypes and preclinical models for selection of targeted therapies. J Clin Invest. 2011;121(7):2750-2767.
23. Prat A, Parker JS, Karginova O, Fan C, Livasy C, Herschkowitz JI, et al. Phenotypic and molecular characterization of the claudin-low intrinsic subtype of breast cancer. Breast Cancer Res. 2010;12(5):R68.
24. Gradishar WJ. Evolving strategies for management of early-stage and metastatic triple-negative breast cancer. Disponible en: URL: https://cme.dannemiller.com/articles/activity?id=502&f=1.
25. Dykstra JA, Facile T, Patrick RJ, Francis KR, Milanovich S, Weimer JM, et al. Concise Review: Fat and furious: Harnessing the full potential of adipose-derived stromal vascular fraction. Stem Cells Transl Med. 2017;6(4):1096-1108.
26. Tsai Ch-Chd, Hung S-Ch. Functional roles of pluripotency transcription factors in mesenchymal stem cells. Cell Cycle. 2012; 11(20):3711-3712.
27. Marte B. Tumour heterogeneity. Nature. 2013;501(747):327a.
28. Leis O, Eguiara A, Lopez-Arribillaga E, Alberdi MJ, Hernandez-Garcia S, Elorriaga K, et al. Sox2 expression in breast tumours and activation in breast cancer stem cells. Oncogene. 2012;31:1354-1365.
29. Cariati M, Purushotham AD. Stem cells and breast cancer. Histopathology. 2008; 52(1):99-107.
30. Dragu DL, Necula LG, Bleotu C, Diaconu CC, Chivu-Economescu M. Therapies targeting cancer stem cells: Current trends and future challenges. World J Stem Cells. 2015;26;7(9): 1185-2001.
31. Islam F, Qiao B, Smith RA, Gopalan V, Lam AK. Cancer stem cell: Fundamental experimental pathological concepts and updates. Exp Mol Pathol. 2015;98(2):184-191.
32. Clarke MF. A self-renewal assay for cancer stem cells. Cancer Chemother Pharmacol. 2005;56(Suppl. 1):S64-68.
33. Wu KJ, Yang MH. Epithelial-mesenchymal transition and cancer stemness: The Twist1-Bmi1 connection. Biosci Rep. 2011;31:449-455.
34. Yin X, Zhang B-H, Zheng S-S, Gao D-M, Qiu S-J, Wu W-Z, et al. Co-expression of gene Oct4 and Nanog initiates stem cell characteristics in hepatocellular carcinoma and promotes epithelial-mesenchymal transition through activation of Stat3/Snail signaling. J Hematol Oncol. 2015;8:23. doi: 10.1186/s13045-015-0119-3.
35. Liu S, Cong Y, Wang D, Sun Y, Deng L, Liu Y, et al. Breast cancer stem cells transition between epithelial and mesenchymal states reflective of their normal counterparts. Stem Cell Reports. 2014;2(1):78-91.
36. Brabletz T. To differentiate or not-routes towards metastasis. Nat Rev Cancer. 2012; 12(6):425-436.
37. Ilmer M, Vykoukal J, Boiles AR, Coleman M, Alt E. Two sides of the same coin: Stem cells in cancer and regenerative medicine. FASEB J. 2014;28:2748-2761.
38. Lapidot T, Sirard C, Vormoor J, Murdoch B, Hoang T, Caceres-Cortes J, et al. A cell initiating human acute myeloid leukemia after transplantation into SCID mice. Nature. 1994;367:645-648.
39. Tanei T, Morimoto K, Shimazu K, Kim SJ, Tanji Y, Taguchi T, et al. Association of breast cancer stem cells identified by aldehyde dehydrogenase 1 expression with resistance to sequential paclitaxel and epirubicin-based chemotherapy for breast cancers. Clin Cancer Res. 2009;15(12): 4234-4241.
40. Nakshatri H, Srour EF, Badve S. Breast cancer stem cells and intrinsic subtypes: Controversies rage on. Current Stem Cell ResTher. 2009;(1):50-60.
41. Tsang JY, Huang Y-H, Luo MH, Ni Y-B, Chan S-K, Lui P CW, et al. Cancer stem cell markers are associated with adverse biomarker profiles and molecular subtypes of breast cancer. Breast Cancer Res Treat. 2012;136(2):407-417.
42. Velasco-Velázquez MA, Popov VM, Lisanti MP, Pestell RG. The role of breast cancer stem cells in metastasis and therapeutic implications. Am J Pathol. 2011;179(1):2-11.
43. Kreso A, Dick JE. Evolution of the cancer stem cell. Cell Stem Cell. 2014;14:275-291.
44. Dick JE. Stem cell concepts renew cancer research. Blood. 2008; 112:4793-4807.
45. Biddle A, Gammon L, Liang X, Costea DE, Mackenzie IC. Phenotypic plasticity determines cancer stem cell therapeutic resistance in oral squamous cell carcinoma. EBioMedicine. 2016;4:138-145.
46. Al-Hajj M, Wicha MS, Benito-Hernandez A, Morrison SJ, Clarke MF. Prospective identification of tumorigenic breast cancer. Proc Natl Acad Sci USA. 2003;100:3983-3988.
47. Humphreys RC, Hennighausen L. Signal transducer and activator of transcription 5a influences mammary epithelial cell survival and tumorigenesis. Cell Growth Differ. 1999;10:685-694.
48. Shackleton M, Vaillant F, Simpson KJ , Stingl J, Smyt GK, Asselin-Labat M-L, et al. Generation of a functional mammary gland from a single stem cell. Nature. 2006;439:84-88.
49. Eirew P, Stingl J, Raouf A, Turashvili G, Aparicio S, Emerman JT, et al. A method for quantifying normal human mammary epithelial stem cells with in vivo regenerative ability. Nat Med. 2008;14:1384-1389.
50. Geng S-Q, Alexandrou AT, Li JJ. Breast cancer stem cells: Multiple capacities in tumor metastasis. Cancer Lett. 2014;349(1):1-7.
51. Ghebeh H, Sleiman GM, Manogaran PS, Al-Mazrou A, Barhoush E, Al-Mohanna FH, et al. Profiling of normal and malignant breast tissue show CD44high/CD24lowphenotype as a predominant stem/progenitor marker when used in combination with Ep-CAM/CD49f markers. BMC Cancer. 2013;13:289.
52. Idowu MO, Kmieciak M, Dumur C, Burton RS, Grimes MM, Powers CN, et al. CD44 (+)/CD24 (-/low) cancer stem/progenitor cells are more abundant in triple-negative invasive breast carcinoma phenotype and are associated with poor outcome. Hum Pathol. 2012;43(3):364-373.
53. Da Cruz Paula A, Leitão C, Marques O, Rosa AM, Santos AH, Rêma A, et al. Molecular characterization of CD44+/CD24-/Ck+/CD45- cells in benign and malignant breast lesions. Virchows Arch. 2017;470(3):311-322.
54. Brugnoli F, Grassilli S, Piazzi M, Palomba M, Nika E, Bavelloni A, et al. In triple negative breast tumor cells, PLC-β2 promotes the conversion of CD133high to CD133low phenotype and reduces the CD133-related invasiveness. Mol Cancer. 2013;12:165.
55. Zhao P, Y Lu, X Jiang, X Li. Clinic pathological significance and prognostic value of CD133 expression in triple-negative breast carcinoma. Cancer Science. 2011;102(5):1107-1111.
56. Nadal R, Ortega FG, Salido M, Lorente JA, Rodríguez-Rivera M, Delgado-Rodríguez M, et al. CD133 expression in circulating tumor cells from breast cancer patients: Potential role in resistance to chemotherapy. Int J Cancer. 2013;133(10):2398-2407.
57. Bock C, Rack B, Huober J, Andergassen U, Jeschke U, Doisneau-Sixou S. Distinct expression of cytokeratin, N-cadherin and CD133 in circulating tumor cells of metastatic breast cancer patients. Future Oncol. 2014;10(10):1751-1765.
58. Vasiliou V, Nebert DW. Analysis and update of the human aldehyde dehydrogenase (ALDH) gene family. Hum Genomics. 2005;2:138-143.
59. Honoki K, Fujii H, Kubo A, Kido A, Mori T, Tanaka Y, et al. Possible involvement of stem-like populations with elevated ALDH1 in sarcomas for chemotherapeutic drug resistance. Oncol Rep. 2010;24:501-505.
60. Ma I, Allan AL. The role of human aldehyde dehydrogenase in normal and cancer stem cells. Stem Cell Rev. 2011;2:292-306.
61. Yang F, Cao L, Sun Z, Jin J, Fang H, Zhang W, et al. Evaluation of breast cancer stem cells and intratumor stemness heterogeneity in triple-negative breast cancer as prognostic factors. Int J Biol Sci. 2016;12(12):1568-1577.
62. Fehm T, Hoffmann O, Aktas B, Becker S, Sotomyor EF, Wallwiener D, et al. Detection and characterization of circulating tumor cells in blood of primary breast cancer patients by RT-PCR and comparison to status of bone marrow disseminated cells. Breast Cancer Res. 2009;11(4):R59.
63. Glavinas H, Krajcsi P, Cserepes J, Sarkadi B. The role of ABC transporters in drug resistance, metabolism and toxicity. Curr Drug Deliv. 2004;1(1):27-42.
64. Britton KM, Eyre R, Harvey IJ, Stemke-Hale K, Browell D, Lennard TW, et al. Breast cancer, side population cells and ABCG2 expression. Cancer Lett. 2012;323(1):97-105.
65. Wang X-Y, Penalva LOF, Yuan, Linnoila HR, Lu J, Okano H, Glazer R, et al. Musashi1 regulates breast tumor cell proliferation and is a prognostic indicator of poor survival. Mol Cancer. 2010;9:221.
66. Kagara N, Huynh KT, Kuo Ch, Okano H, Sim MS, Elashoff D, et al. Epigenetic regulation of cancer stem cell genes in triple-negative breast cancer. Am J Pathol. 2012;181:257-267.
67. Vaiopoulos AG, Kostakis ID, Koutsilieris M, Papavassiliou AG. Colorectal cancer stem cells. Stem Cells. 2012;30(3):363-371.
68. Tan F, Mosunjac M, Adams AL, Adade B, Taye O, Hu Y, et al. Enhanced down-regulation of ALCAM/CD166 in African-American Breast Cancer. BMC Cancer. 2014;14:715.
69. Collina F, Di Bonito M, Li Bergolis V, Michelino De Laurentiis M, Vitagliano C, et al. Prognostic value of cancer stem cells markers in triple-negative breast cancer. BioMed Research International. Disponible en: URL: http://dx.doi.org/10.1155/2015/158682.
70. Malhi S, Gu X. Nanocarrier-mediated drugs targeting cancer stem cells: An emerging delivery approach. Expert Opinion on Drug Delivery. 2015;12(7):1177-1201.
71. Vinogradov S, Wei X. Cancer stem cells and drug resistance: The potential of nanomedicine. Nanomedicine (Lond). 2012;7(4):597-615.
72. Liu Y, Burness ML, Martin-Trevino R, Guy J, Bai S, Harouaka R, et al. RAD51 mediates resistance of cancer stem cells to PARP inhibition in triple-negative breast cancer. Clin Cancer Res. 2017;15;23(2):514-522.
73. Burnett JP, Lim G, Li Y, Shah RB, Lim R, Paholak HJ, et al. Sulforaphane enhances the anticancer activity of taxanes against triple negative breast cancer by killing cancer stem cells. Cancer Lett. 2017;394.52-64.
Notas de autor
Correspondencia: Dr. Javier A. Enciso. Av. Benavides 4430. Surco. Lima, Perú. mail: jenciso@cientifica.edu.pe