ULTRAESTADIFICACIÓN DEL GANGLIO CENTINELA EN CÁNCER DE ENDOMETRIO
ULTRAESTADIFICACIÓN DEL GANGLIO CENTINELA EN CÁNCER DE ENDOMETRIO
Revista Venezolana de Oncología, vol. 30, núm. 2, pp. 83-97, 2018
Sociedad Venezolana de Oncología

Recepción: 23 Octubre 2017
Revisado: 28 Noviembre 2017
Aprobación: 12 Diciembre 2017
Resumen: OBJETIVO: Evaluar la ultraestadificación del ganglio centinela en pacientes con cáncer de endometrio. MÉTODO: Estudio descriptivo, transversal, de 25 pacientes del servicio de ginecología oncológica durante enero- octubre 2015. Se realizó inyección cervical de 4 mL de azul patente, identificación, corte congelado y posterior ultraestadificación del ganglio centinela. RESULTADOS: El grado histológico preoperatorio en 4 pacientes grado 1 se modificó a un grado mayor en la biopsia definitiva. La identificación del ganglio centinela con azul patente fue de 88 %, 44 % unilateral e igual porcentaje bilateral, con hallazgos concordantes en biopsia definitiva. No se registraron reacciones adversas con azul patente. Respecto a la justificación de la linfadenectomía 4 pacientes clasificadas preoperatoriamente estadio I fueron catalogadas como estadio mayor y 19/25 pacientes ameritaron tratamiento adyuvante. Del análisis de 43 ganglios linfáticos centinelas, 5 presentaron metástasis: un ganglio negativo en biopsia per-operatoria, positivo para adenocarcinoma por inmunohistoquímica; cuatro positivos al corte congelado. Al aplicarse la ultraestadificación mostró una sensibilidad de 80 %, se registró un falso negativo lo que permitió establecer un valor predictivo negativo de 94,44 %, mostrando aumento en la tasa de identificación de ganglio centinela metastásico en 4,54 %. CONCLUSIÓN: La ultraestadificación se realiza en un esfuerzo de proporcionar una evaluación exhaustiva del estado ganglionar, aunque su importancia es aún controversial, su asociación con factores de riesgo como: invasión miometrial, invasión linfovascular e histología desfavorable permiten inferir su correlación con peor pronóstico y mayor probabilidad de recaída.
Palabras clave: Ganglio centinela, cáncer, endometrio, ultraestadificación, micro-metástasis, azul patente.
Abstract: OBJECTIVE: In order to evaluate the ultra-staging sentinel node in patients with endometrial cancer. METHOD: A descriptive, cross-sectional study that included 25 patients from the gynecologic oncology service during January-October 2015, cervical injection of 4 mL was performed with blue patent, identification, freezing and cutting back ultraestadification sentinel node. RESULTS: Histologic grade 4 patient’s preoperative grade 1 was changed to a greater degree in the definitive biopsy. The identification of the sentinel node with patent blue was 88 %, 44 % unilateral and bilateral equal percentage, with consistent findings in the final biopsy. No adverse reactions were recorded with patent blue. Regarding the justification of lymphadenectomy, 4 patients classified preoperatively stage I was categorized as a major stage and 19 of 25 patients merited adjuvant treatment. An analysis of 43 sentinels’ lymph node 5 metastases: A negative node in per- operative biopsy positive for adenocarcinoma by immunohistochemistry; and four positive frozen section. When applying the ultra-staging showed a sensitivity of 80 %, was registering a false negative thereby allowing for a negative predictive value of 94.44 %, an increase in the rate of metastatic sentinel node identification in 4.54 %. CONCLUSION: Ultra-staging is done in an effort to provide a comprehensive assessment of nodal status, although their importance is still controversial, its association with risk factors such as: myometrial invasion, lymph vascular invasion and unfavorable histology possible to infer its correlation with a worse prognosis more likely to relapse.
Keywords: Sentinel node, cancer, endometrial, ultra-staging, micro metastasis, patent blue.
INTRODUCCIÓN
El cáncer de endometrio representa la primera causa de cáncer ginecológico en países desarrollados (1). En Venezuela, según los registros publicados en el año 2012 es la segunda causa de incidencia por cáncer ginecológico en nuestras mujeres (2). La estadificación de esta neoplasia se determina utilizando siempre procedimientos clínico-quirúrgicos: examen físico, estudios imaginológicos (resonancia magnética con gadolinio, tomografía axial computarizada); la cirugía incluye: lavado peritoneal, evaluación completa de la extensión de la enfermedad en la cavidad abdominal, la realización de histerectomía total con salpingooforectomía bilateral y la linfadenectomía pélvica y/o para-aórtica cuando esté indicado (3,4). La linfadenectomía permite la estadificación del paciente, sirve de pronóstico y planificación de tratamiento adyuvante, disminuyendo la necesidad de radioterapia externa posoperatoria en muchos casos y evitando las complicaciones inherentes a la misma. El valor terapéutico de la linfadenectomía sigue siendo controversial porque estudios multicéntricos publicados (5,6) no muestran beneficio en la sobrevida global de estas pacientes. Además, la linfadenectomía pélvica y para-aórtica aumenta la morbilidad intra y posoperatoria (lesiones vasculares, linfocele y linfedema) (4).
El procedimiento de identificación del ganglio linfático centinela (GC) podría ser una solución atractiva para el debate sobre la linfadenectomía en el cáncer de endometrio; sin embargo, se presentan retos en la interpretación de la literatura que incluyen la heterogeneidad entre los estudios, una amplia variedad de técnicas de inyección y la falta de definiciones aceptadas de manera uniforme para los resultados, por tratarse de un órgano central con drenaje e irrigación bilateral.
El GC es el primero en recibir el drenaje linfático de un tumor primario. Por lo tanto, hay una mayor probabilidad de presentar células metastásicas(7,8). El estado histopatológico de este ganglio linfático debe ser representativo de los otros ganglios linfáticos restantes, es decir, la ausencia histológica de células neoplásicas en este ganglio sería predictivo para la negatividad en las otras. Su detección y evaluación histopatológica evitaría la extensa disección de ganglios linfáticos con sus eventuales complicaciones posteriores. El pronóstico de la enfermedad dependería de la afectación del GC, lo cual varía entre las macro metástasis y el micro agrupamiento de unas pocas células tumorales (micro-metástasis) con evidencia de que el uso de la de inmunohistoquímica mejora de forma notoria la sensibilidad de la biopsia de GC permitiendo re-estadiar al paciente y modificando su pronóstico, constituyendo entonces una herramienta importante de evaluación del estado ganglionar.
En la actualidad la búsqueda de una estrategia de diagnóstico práctica y accesible, justifica el uso de herramientas que permitan simplificar este método. Por lo tanto, el objetivo de este estudio fue evaluar la posibilidad de identificar por inmunohistoquímica las micro-metástasis en el GC o canalículo marcado con azul patente, además de su correlación con el estado de los ganglios linfáticos pélvicos y para aórticos obtenidos de las linfadenectomías (9).
Sobre la base de esta teoría, se ha realizado un estudio observacional, descriptivo, de corte transversal, utilizando la ultraestadificación del GC en cáncer de endometrio, en pacientes que han ingresado a nuestro servicio en el período de enero a octubre 2015. Las alteraciones encontradas podrán asociarse con factores de riesgo como la invasión linfovascular y la invasión miometrial y por lo tanto influir en la sobrevida libre de enfermedad y la sobrevida global por dicha patología, por lo cual se constituiría como un instrumento diagnóstico predictivo en estas pacientes, sumado a las ventajas de que al comprobarse la evidencia de la efectividad de este método diagnóstico se evitaría la mayor morbilidad asociada a una linfadenectomía reglada.
MÉTODO
Se realizó un estudio observacional, descriptivo, transversal, en base a un criterio temporal, es decir, que el seguimiento de la investigación, se hizo a través del tiempo y se caracterizó porque las variables examinadas, se midieron en una sola ocasión (10); con el propósito evaluar la ultraestadificación patológica del GC en la estadificación quirúrgica para el cáncer de endometrio.
La población estuvo constituida por 25 pacientes con diagnóstico de cáncer de endometrio estadio I clínico, registradas según las estadísticas manejadas por nuestro servicio. Los análisis estadísticos se realizaron con SPSS 22,0, con un nivel de significancia de P<0,05 (IBM Co., Armonk, NY, EE.UU). Se definió como criterio de inclusión: haber aceptado la realización del procedimiento, no referir alergias a colorantes, carcinoma endometrial con biopsia institucional o confirmada en nuestro centro, enfermedad clínica y radiológicamente limitada al cuerpo uterino, siendo los criterios de exclusión; alergias a colorantes, enfermedad con evidencia clínica o radiológica en cuello uterino o extrauterina, biopsia no concluyente para malignidad.
Para el desarrollo de la presente investigación se solicitó autorización al jefe del departamento de ginecología oncológica del Servicio Oncológico Hospitalario de los Seguros Sociales IVSS, a la dirección y al comité de ética de este hospital; así como el consentimiento informado a cada paciente. Seguidamente, se realizó la selección de las pacientes con carcinoma de endometrio estadio I clínico. Discutidas en reunión de servicio indicándose conducta quirúrgica, se recolectaron datos referentes a la identificación de la paciente, sus antecedentes epidemiológicos y biopsia preoperatoria y fueron llevadas a mesa operatoria donde posterior a la asepsia y antisepsia, bajo anestesia general, en posición ginecológica, se realizó especuloscopia, evidenciando las características cervicales, y previa administración de esteroides endovenosos se procede a la inyección de 4 mL de azul patente en hora 3 y hora 9 superficial de1 mm a 3 mm (1 mL a cada lado) y profundo de 1 cm a 2 cm (1 mL a cada lado) (Figura 1).

Se reposiciona en decúbito dorsal y se procede a realizar incisión media, después de apertura de la cavidad abdominal, se instilan 100 mL de solución salina fisiológica para toma de lavado peritoneal, posteriormente se realiza abordaje retroperitoneal y se exploran los vasos iliacos primitivos externos e internos, fosa obturatriz, área pre-sacra bilateralmente y regiones para aórticas, pre cavas e inter cavo aórticas. (Figura 2).

Una vez identificado el GC o canalículos se procede a su exéresis y se envía a corte congelado intra-operatorio. Luego, se procede a realizar linfadenectomía pélvica bilateral y para aórtica infra-mesentérica, esta última si es de riesgo intermedio o alto y según criterios del cirujano. En nuestro protocolo del servicio de patología de la institución el análisis histológico intra-operatorio del o los GC se realizó simultáneamente en dos procedimientos donde previamente se seccionó el espécimen manualmente en cortes de 2 mm a 5 mm por su diámetro mayor. El primer procedimiento consistió en impronta citológica sobre portaobjetos con tinción hematoxilina y eosina (H&E) convencional, y el segundo fue el estudio histológico por congelación de secciones de 4 µm a 6 µm obtenidas con criostato y teñidas igualmente con H&E (Figura 3). Se informó del resultado de o los GC al equipo quirúrgico.

El GC fue fijado en formalina buffer al 10 % por 24 a 48 h y procesado por microscopia óptica convencional. Se obtuvo una primera sección a 3 µm -4 µm, que se tiñó con H&E y se analizó microscópicamente. En el caso de que la
evaluación histológica fuera negativa se realizaron 6 secciones consecutivas para detectar células en niveles más profundos que se tiñeron alternativamente con H&E denominadas secciones 1, 3, 5 y las secciones 2, 4 y 6 fueron remitidas para estudio de inmunohistoquímica con anticuerpos contra citoqueratina de amplio espectro (CK AE1/AE3), procedente de Dako Corp., (Carpintería, CA, EE. UU.) (Figura 4). Se recibió para biopsia definitiva las muestras de la linfadenectomía reglada en las pacientes y todos los ganglios linfáticos procedentes de las linfadenectomías se procesaron de forma rutinaria con tinción mediante H&E.

RESULTADOS
Las características de las 25 pacientes se muestran en el Cuadro 1. La media de edad de las pacientes fue de 58,92 años, siendo 8 de ellas (32 %) mayores de 65 años, Un 64 % (16) presentaron un Índice de masa corporal ≥ a 30 (catalogado como obesidad), respecto a la paridad 5 de las 25 pacientes eran nulíparas lo que corresponde al 20 % del total

La evaluación de la biopsia preoperatoria evidenció que la histología endometroide se encontraba presente en un 84 % de las muestras. El grado nuclear 1, 2, 3 fue de 11, 8 y 6 respectivamente, catalogándose la histología seroso papilar y células claras como de alto grado (G3) (Cuadro 2).

El método de inyección cervical y la determinación del GC se realizó en el total de las pacientes, sin ningún efecto adverso atribuible al colorante, se evidenció una tasa de identificación de 88 %, es decir, el ganglio teñido con azul en 18 pacientes (72 %), y el canalículo aferente teñido en 4 de ellas (16 %), no se localizó la tinción con colorante en 3 pacientes. El total de GC identificados intra-operatoriamente fue de 43 con una media de 1 a 3 ganglios por paciente, siendo cuatro de ellos positivos en el corte congelado. En 11 pacientes fue extraído de forma unilateral (44 %) 9 de los cuales (36 %) se encontraba del lado izquierdo y el restante del lado derecho, el mismo número de mujeres (11) presentó GC bilaterales en territorios anatómicos similares, de hecho, la arteria iliaca externa fue el territorio de drenaje principal en 10 pacientes (40 %) seguidas por la fosa obturatriz (20 %), arteria iliaca común (16 %), arteria iliaca interna (8 %) y por último la región pre-aórtica (4 %).
Se evaluó además la infiltración miometrial determinada por el patólogo durante la intervención quirúrgica, con cortes representativos de acuerdo al espesor miometrial y bajo observación microscópica se comparó con el resultado de la biopsia definitiva mostrando una correlación entre la infiltración reportada por el patólogo en el corte congelado respecto a la biopsia definitiva (Cuadro 3).

Los hallazgos patológicos de la biopsia definitiva revelaron que la lesión se localizaba en el fondo en 13 pacientes (52 %), se extendía desde el fondo hasta el istmo en 10 pacientes (40 %) y se limitaban al cuerpo 2 en pacientes (8 %), en su mayoría el tamaño tumoral superó a 2 cm (23 pacientes) y al igual que en la biopsia preoperatoria el tipo histológico predominante fue el adenocarcinoma endometroide (80 %), seguido del carcinoma seroso papilar (16 %) y el carcinosarcoma (4 %); el grado histológico fue G1 en 7 mujeres, G2 en 10, G3 en 8 de las mujeres evaluadas, con necrosis tumoral evidente en 52 % de los casos e invasión linfovascular presente en 15 pacientes (Cuadro 4).

Las pacientes fueron sometidas a linfadenectomía pélvica en todos los casos (25/25) y para aórtica según el criterio del cirujano (16/25), el total de ganglios estudiados fue 413 de los cuales 370 eran no centinela, un total de 6 ganglios no centinela eran positivos y estaban presentes en 3 de los casos de macro-metástasis (2 serosos papilares y 1 carcinosarcoma) y en 1 caso de histología serosa papilar en el que no se identificó GC, el total de ganglios pélvicos fue de 330, con una media aproximada de ± 13,2 y un total de 6 ganglios fueron reportados igualmente como positivos, un total de 40 ganglios para aórticos fueron registrados con un rango de 1 a 8, ninguno de ellos positivo para malignidad.
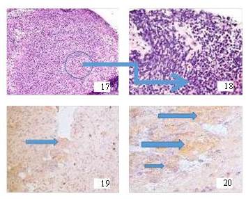
De 43 ganglios linfáticos centinelas en 25 pacientes, presentaron 5 de ellos metástasis, distribuidos de la siguiente forma: cuatro reportados mediante el estudio convencional de corte congelado. Dichos ganglios eran macro-metástasis y por lo tanto no fueron llevados a estudio de inmunohistoquímica. Un ganglio centinela negativo para neoplasia en biopsia per-operatoria convencional y luego positivo para adenocarcinoma detectado por inmunohistoquímica con CKAE1/AE3 y el resto de los ganglios linfáticos centinelas (38 muestras) que fueron negativos para neoplasia durante el estudio per-operatorio y remitidos para estudio de inmunohistoquímica con la citoqueratina de amplio espectro(CKAE1/AE3), resultaron negativos para dicho anticuerpo en las secciones seriadas 2,4 y 6 antes mencionadas (Figura 5)

La tasa de detección del GC fue de 88 % (22/25 pacientes), en las pacientes que se realizó la detección al aplicarse la ultraestadificación marcó una sensibilidad de 80 %, el registro de un falso negativo, demostrado posterior a la inmunohistoquímica permitió establecer un valor predictivo negativo (VPN) de 94,44 %, (Cuadro 5) mostrando un aumento en la tasa de identificación de ganglio centinela metastásico en 4,54 %.

Las características de la paciente con micro-metástasis evidenciado por inmunohistoquímica se describen en el Cuadro 6, presentó identificación bilateral del GC con ausencia de metástasis en los 12 ganglios de la disección pélvica (8) y para aórtica (4).

En el resto de los ganglios linfáticos no centinelas de las linfadenectomías se demostró adenocarcinoma metastásico en 2 de los casos de los adenocarcinomas serosos papilares y en el carcinosarcoma, los cuales habían sido positivo durante el estudio por congelación. En el caso de macro metástasis positiva para adenocarcinoma, el resto de la linfadenectomía no demostró metástasis.
Se evaluó la frecuencia de invasión linfovascular en pacientes con ganglios linfáticos negativos y positivos para metástasis según el estado ganglionar encontrándose presente en la paciente identificada por ultraestadificación y en el total de las pacientes con ganglios centinela metastásicos identificados con H & E, mientras que en aquellas pacientes con GC negativos el porcentaje de ILV fue evidenciado en el 47 % de dichas pacientes (Cuadro 7).

Se evaluó la extensión de la invasión miometrial definitiva y se comparó con el estado ganglionar demostrándose que fue mayor o igual al 50 % en la paciente identificada por ultraestadificación y en el total de las pacientes con G C metastásicos identificados con H & E, mientras que en aquellas pacientes con GC negativos el porcentaje de invasión miometrial mayor al 50 % fue evidenciado en el 65 % de dichas pacientes.
Se clasificaron según FIGO 2010 en estadio IA 6 pacientes, Ib: 11, II: 2, IIIb: 1 y IIIc1: 5, manteniéndose en observación 6 pacientes, refriéndose 4 a braquiterapia, 6 a radioterapia externa y braquiterapia y 9 a quimioterapia más radioterapia (Cuadro 8).


Se presentan las imágenes microscópicas más representativas de los cortes histológicos de los ganglios linfáticos estudiados (Figura 6, 7, 8).



DISCUSIÓN
El cáncer de endometrio es la primera neoplasia más frecuente del tracto genital femenino en países desarrollados y la segunda en nuestro país, habiendo aumentado su incidencia en el último siglo, la edad es considerada como factor pronóstico con un diagnóstico promedio de 63 años (11) muy similar a nuestro grupo de estudio de 58,90 años; el protocolo 264 del GOG describe que la edad > de 65 se asocia con un peor pronóstico, en nuestra revisión 8 mujeres se encontraban dentro de este grupo; asimismo, se ha reportado en el carcinoma de endometrio tipo I que el índice de masa corporal > de 30 se presenta en la mayoría de estas pacientes, hecho corroborado en nuestra serie con un 62 % del total de la población que cumplía con este criterio; otra de las características comunes en estas mujeres es la nuliparidad relacionada con un aumento de hasta 3 veces más de presentar esta patología, constituyendo un 20 % de nuestra población de estudio.
La linfadenectomía en esta patología sigue siendo controversial porque en la mayoría de los casos de bajo riesgo los ganglios linfáticos son negativos, sumado a las complicaciones propias de este tipo de cirugía, por lo que la detección del ganglio centinela surge como una solución a esta controversia y prontamente podría surgir como un procedimiento estándar (12). De hecho, la evaluación ganglionar es ahora pauta en el tratamiento del cáncer de mama y del melanoma (13,14), así como en el cáncer vulvar (15). La evaluación de los GC en casos seleccionados de cáncer de cuello uterino se realiza ahora en las prácticas de oncología ginecológica en todo el mundo y surgiendo como parte de la atención de rutina (16). Nuestro estudio ofrece la primera experiencia en nuestro centro de la aplicación de esta técnica además de la utilización de la inyección a nivel cervical del azul patente como método único, ayudando a simplificar dicho procedimiento, adicionando la herramienta de la ultraestadificación patológica en el diagnóstico definitivo. (Error 1: La referencia debe estar ligada) (Error 2: El tipo de referencia es un elemento obligatorio) (Error 3: No existe una url relacionada)
Una de las dificultades ha sido identificar el mejor sitio de la inyección. El melanoma, el cáncer vulvar y el cáncer cervical se prestan para dirigir la inyección peri-tumoral mientras que en el cáncer de endometrio, la inyección tumoral directa es más difícil y solo se puede lograr mediante la histeroscopia o ecografía transvaginal. Los siguientes sitios de la inyección fueron identificados en la revisión de la literatura realizada: cérvix, miometrio (sub-seroso), peri-tumoral por histeroscopia o por ecografía transvaginal. Para simplificar, una amplia revisión de 17 trabajos los agrupan en inyecciones cervicales y corporales. De los diecisiete estudios, diez usan como único lugar de la inyección el cuello uterino, cinco utilizan un método de inyección corporal, un estudio utilizó los dos sitios de inyección en el mismo paciente, y un estudio incluyó a mujeres, ya sea con la inyección cervical o corporal (17). Para Sawicki y col., el número total de pacientes en la categoría de inyección cervical fue mayor que el número total en la categoría de inyección corporal (1 102 frente a 300) (18). La tasa de detección global de GC después de la inyección cervical varió de 62 % a 100 %, mientras que fue 73 % a 95 % después de la inyección corporal (17). En nuestra serie la tasa de identificación fue de 88 %, comparable con Zénzola y col., de 71,4 % con evidencia de 1 solo ganglio centinela metastásico (19).
Respecto al uso de azul patente sin radio coloide forma parte del protocolo actual del 2008 en el MSKCC justificado en base a la adición de costos, generación de molestias al paciente, y la logística del procedimiento, sin embargo, en dicho centro la ultraestadificación se realiza como parte del análisis intra-operatorio con diagnóstico del estado ganglionar por H&E e inmunohistoquímica de forma inmediata, por lo que de ser negativo solo toman biopsias de los
ganglios circunscritos al GC, de no identificarse o identificarse unilateralmente realizan la linfadenectomía del lado no identificado, en vista de que el estado ganglionar ipsilateral no predice el contralateral, de reportarse positivo el GC pélvico o para aórtico se realiza la linfadenectomía reglada infra mesentérica, igualmente no recomiendan la realización de este procedimiento en lesiones limitadas al endometrio o no visibles debido a la escasa probabilidad de afectación ganglionar en estos casos y toman muestras de ganglios sospechosos o aumentados de tamaño (20). Sin embargo, se describen índices de detección bilateral mayores con el uso del método combinado, Cormier en 2015 evalúa once estudios diferentes con tasas de detección del GC de 35 % a 100 % para la inyección cervical (17), A pesar del uso de técnica combinada la tasa de identificación bilateral para Zénzola en el 2009 fue de 0 % y en nuestra serie solo con el uso del azul patente presenta un 44 % de detección bilateral (19).
Una de las polémicas más importantes en el tratamiento quirúrgico del cáncer de endometrio es la extensión de la linfadenectomía (21). Se considera que la diseminación linfática en el cáncer endometrial ocurre primero en los ganglios linfáticos pélvicos y en segundo lugar en las regiones para aórtica (22). De hecho, una gran parte de los vasos linfáticos uterinos drenan a través de los tejidos del cuello uterino, sin embargo, el drenaje linfático también puede ocurrir a través del ligamento infundíbulo-pélvico o a través de los vasos linfáticos pre-sacros directamente a la bifurcación aórtica; y se considera que esto se encuentra influenciado por el sitio de inyección, la tasa de detección del GC aórtico según la revisión de Cormier, fue del 39 % (140 de 358 pacientes) después de la inyección corpórea, 2 % (24 de 966 pacientes) después de la inyección cervical habitual, y el 17 % (22 de 131 pacientes) después de la inyección cervical profunda (17). Niikura y col., describen que los GC aórticos se encuentran en 0 % de sus pacientes después de la inyección de cuello de útero en comparación con el 56 % después de la inyección corporal (23). Nuestra experiencia fue de 4 % identificándose el ganglio centinela pre aórtico en 1 paciente, en el protocolo GOG 33, la incidencia de metástasis pre aórtica aislada fue sólo del 2 % (22). Esto llevó a la práctica común de solamente realizar disecciones de ganglios para-aórticos en el grado 3 de la enfermedad o en pacientes con histología de células serosas papilares o claras (3).( Datos más recientes de la Clínica Mayo encuentran que en pacientes de alto riesgo que son diagnosticadas con metástasis en los ganglios linfáticos, el 16 % tenían metástasis para aórticas aisladas (16). Actualmente nuevos esquemas de inyección intra-cervical propuestos sugieren que la infiltración del colorante a 3 cm de profundidad aumentaría la tasa de detección de metástasis para aórticas reportándose valores de 16, 3 % (24). El verde de indocianida (ICG), utilizando fluorescencia de infrarrojo, ha surgido recientemente como una excelente opción para el mapeo con tasas de identificación de 82 % que aumentan incluso si la inyección se realiza asistida robóticamente (25).
Las técnicas de procesamiento de los GC por ultraestadificación varían entre las instituciones, por ejemplo, las secciones pueden ser longitudinales o transversales, y puede haber un número fijo de secciones por ganglio o pueden ser procesados con intervalos de nivel variable. Una gran proporción de las metástasis nodales fueron detectadas a través del ganglio centinela (rango 10 % a 60 %). Naaman y col., informaron sobre el estudio más grande (508 pacientes) con la identificación de 23/64 (36 %) de los pacientes con metástasis en los ganglios linfáticos, siendo diagnosticado por ultraestadificación, en el 4,5 % de los casos (26). De los 990 pacientes en una revisión para la que se reportaron resultados de ultraestadificación, 56 tenían metástasis ganglionar exclusivamente basadas en dicha técnica (17) en nuestra serie la ultraestadificación demostró una sensibilidad de 80 %, con un valor predictivo negativo de 94,44 %, mostrando un aumento en la tasa de identificación de GC metastásicos en 4,54 %.
RECOMENDACIONES
Basado en los resultados obtenidos, se puede concluir que el corte congelado de la pieza uterina para la determinación de la invasión miometrial constituye una herramienta fiable para tomar una conducta intra-operatoria, como la omisión de la linfadenectomía si es reportado con una infiltración menor al 50 % y se asocia a un tamaño tumoral menor a 2 cm con biopsia preoperatoria que reporte un grado histológico 1, en pacientes que no se haya realizado GC. La presencia de invasión linfovascular se debe tomar en cuenta como uno de los factores predictores de riesgo más importante, porque se encuentra presente en la totalidad de las pacientes con afectación ganglionar estudiadas en nuestro centro.
La justificación de la linfadenectomía aunque controversial permite una adecuada estadificación y posterior referencia a tratamiento adyuvante, en nuestro caso 5 de las pacientes clasificadas clínicamente como estadio I fueron catalogadas como un estadio mayor (4 por H&E y 1 por IHQ) y 19 de 25 pacientes ameritaron tratamiento adicional en su posoperatorio. La realización de GC en histologías desfavorables es factible porque dicha enfermedad se presenta igualmente en estadios tempranos por lo que al demostrarse la efectividad de esta técnica podría evitar cirugías extendidas con aumento de la morbilidad en las mismas.
La ultraestadificación se realiza en un esfuerzo de proporcionar una evaluación más exhaustiva del estado ganglionar y aunque su importancia es aún controversial, al demostrar en estudios como el nuestro una sensibilidad de 80 %, con un valor predictivo negativo de 94,44 %, aumento en la tasa de identificación de ganglios centinelas metastásicos de hasta 4,54 % en nuestra revisión y al asociarse en pacientes con factores de riesgo como la invasión miometrial, la invasión linfovascular e histología de alto grado permite concluir que su presencia podría estar asociada con un peor pronóstico y un alto índice de recaída.
En consecuencia, el carcinoma de endometrio sigue siendo una de las causas más importantes de morbi-mortalidad en las mujeres por cáncer ginecológico, por lo que el diagnóstico preciso y una adecuada estadificación quirúrgica, con el uso de pruebas sencillas como la determinación del ganglio centinela con inyección cervical de azul patente asociado a la evaluación de la presencia o ausencia de micro-metástasis con inmunohistoquímica para definir el estado ganglionar que puede permitir evaluar el pronóstico y tratamiento adicional adecuado de necesitarlo, sin embargo, se requieren estudios multicéntricos para continuar aportando datos que permitan aprobar la validez de esta técnica, además de establecer su valor en la sobrevida global y libre de enfermedad de estas mujeres.
Las recomendaciones se basan en el establecimiento de algoritmos quirúrgicos específicos que permitan validar esta técnica al generar resultados homogéneos, con la finalidad de evitar que la paciente presente complicaciones por cirugías extensas innecesarias, o recaídas pélvicas, para aorticas o a distancia por tratamiento insuficiente. Por tal motivo, se recomienda crear protocolos interinstitucionales en pacientes con diagnóstico de carcinoma endometrial susceptibles de tratamiento quirúrgico, con características similares de identificación del ganglio centinela, tanto en la localización de la inyección de colorante, tipo de colorante, técnica quirúrgica, evaluación histopatológica del ganglio centinela en el corte congelado y posterior procesamiento mediante técnicas de inmunohistoquímica. Y promover el adiestramiento del personal médico quirúrgico en la aplicación del procedimiento del ganglio centinela y linfadenectomía pélvica y para aortica en los centros de referencia oncológica para aumentar la sensibilidad y especificidad de esta estrategia diagnóstica. Además de reconocer la necesidad de un patólogo entrenado en la evaluación tanto de la pieza uterina, como de los ganglios centinela y no centinela que conozca y aplique protocolos actualizados tales como el del MSKCC y técnicas como la amplificación de ácido nucleico de un solo paso (OSNA) como parte fundamental para la evolución y éxito de este procedimiento y fomentar la investigación en el tratamiento de esta enfermedad, haciendo énfasis en el uso de técnicas de inyección de colorante azul patente como método único, la utilización de SPET-CT como mecanismo auxiliar, y el verde de indocianida actualmente no disponible en el país que son herramientas reconocidas que proporcionan un aumento importante en la sensibilidad y especificidad de esta técnica. Por último, realizar estudios prospectivos con mayor cantidad de pacientes que permitan establecer pautas diagnósticas y terapéuticas en esta enfermedad.
Referencias
1. Siegel RL, Miller KD, Jemal A. Cancer statistics, 2015. CA Cancer J Clin. 2015;65:5-29.
2. Ministerio del Poder Popular para la Salud. Anuario de Mortalidad 2011. Disponible en: URL: www.mpps.gob.ve. (Consulta: octubre, 2015)
3. Hacker NF. Uterine cancer. En: Berek JS, Hacker NF, editores. Berek and Hacker's Gynecologic Oncology, 6a edición. Nueva York: Williams & Wilkins; 2015.p.285-326.
4. Creasman WT, Odicino F, Maisonneuve P, Quinn MA, Beller U, Benedet JL, et al. Carcinoma of the corpus uteri. FIGO 26th annual report on the results of treatment in gynecological cancer. Int J Gynaecol Obstet. 2006;95 (Suppl 1):S105-143.
5. ASTEC study group, Kitchener H, Swart AM, Qian Q, Amos C, Parmar MK. Efficacy of systematic pelvic lymphadenectomy in endometrial cancer (MRC ASTEC trial): A randomized study. Lancet. 2009;373:125-136.
6. Panici PB, Basile S, Maneschi F, Lissoni A, Signorelli M, Scambia G, et al. Systematic pelvic lymphadenectomy vs. no lymphadenectomy in early-stage endometrial carcinoma: Randomized clinical trial. J Natl Cancer Inst. 2008;100:1707-1716.
7. Gould EA, Winship T, Philbin PH, Kerr H. Observations on a ‘‘sentinel node’’ in the parotid. Cancer. 1960;13:77-78.
8. Cabañas RM. An approach for the treatment of penile carcinoma. Cancer. 1977;39:456-466.
9. Delpech Y, Cortez A, Coutant C, Callard P, Uzan S, Darai E, et al. The sentinel node concept in endometrial cancer: Histopathologic validation by serial section and immunohistochemistry. Ann Oncol. 2007;18:1799-1803.
10. Moreno A. Epidemiología clínica. 3ª edición. México:Mc Graw Hill;2013.
11. Sorosky JI. Endometrial cancer. Obstet Gynecol. 2008;111:436-447.
12. Kitchener HC. Sentinel-node biopsy in endometrial cancer: A win-win scenario? Lancet Oncol. 2011;12(5):413-414.
13. Lyman GH, Giuliano AE, Somerfield MR, Benson III AB, Bodurka DC, Burstein HC, et al. American Society of Clinical Oncology guideline recommendations for sentinel lymph node biopsy in early-stage breast cancer. J Clin Oncol. 2005;23(30):7703-7720.
14. Morton DL, Thompson JF, Cochran AJ, Mozzillo N, Elashoff R, Essner R, et al. Sentinel-node biopsy or nodal observation in melanoma. N Engl J Med. 2006;355(13):1307-1317.
15. Van der Zee AG, Oonk MH, De Hullu JA, Ansink AC, Vergote I, Verheijen RH, et al. Sentinel node dissection is safe in the treatment of early-stage vulvar cancer. J Clin Oncol. 2008;26(6):884-889.
16. Mariani A, Dowdy SC, Cliby WA, Gostout BS, Jones MB, Wilson TO, et al Prospective assessment of lymphatic dissemination in endometrial cancer: A paradigm shift in surgical staging. Gynecol Oncol. 2008;109:11-18.
17. Morton DL, Wen DR, Wong JH, Economou JS, Cagle LA, Storm FK, et al. Technical details of intraoperative lymphatic mapping for the early stage melanoma. Arch Surg. 1992;127:392-399.
18. Sawicki S, Kobierski J, Lapinska-Szumczyk S, Lass P, Cytawa W, Bianek-Bodzak A, et al. Comparison of SPECT-CT results and intraoperative detection of sentinel lymph nodes in endometrial cancer. Nucl Med Commun. 2013;34(6):590-596.
19. Zénzola V, González C, Sánchez-Lander J, Contreras I, Medina F, Castillo J, et al. Uso del ganglio centinela con azul patente y radiofármaco en cáncer de endometrio. Rev Venez Oncol. 2009;21(1):3-10.
20. Kett K. Direct mammolymphography. Langenbecks Arch Chir. 1970;327:514-515.
21. Fotopoulou C, Kraetschell R, Dowdy S, Fujiwara K, Yaegashi N, Larusso D, et al. Surgical and systemic management of endometrial cancer: An international survey. Arch Gynecol Obstet. 2015;291(4):897-905.
22. Baekelandt MM, Castiglione M, ESMO Guidelines Working Group. Endometrial carcinoma: ESMO clinical recommendations for diagnosis, treatment and follow-up. Ann Oncol. 2009;20(Suppl 4):29Y31
23. Niikura H, Kaiho-Sakuma M, Tokunaga H, Toyoshima M, Utsunomiya H, Nagase S, et al. Tracer injection sites and combinations for sentinel lymph node detection in patients with endometrial cancer. Gynecol Oncol. 2013;131(2):299-303.
24. How J, Lau S, Press J, Ferenczy A, Pelmus M, Stern J, et al. Accuracy of sentinel lymph node detection following intra-operative cervical injection for endometrial cancer: A prospective study. Gynecol Oncol. 2012:127(2):332-337.
25. Rossi EC, Jackson A, Ivanova A, Boggess JF. Detection of sentinel nodes for endometrial cancer with robotic assisted fluorescence imaging: Cervical versus hysteroscopic injection. Int J Gynecol Cancer. 2013;23(9):1704-1711.
26. Naaman Y, Pinkas L, Roitman S, Ikher S, Oustinov N, Vaisbuch E, et al. The added value of SPECT/CT in sentinel lymph nodes mapping for endometrial carcinoma. Ann Surg Oncol. 2016;23(2):450-455.
Notas de autor
draescalonago@gmail.com.