LIPOSARCOMA BIEN DIFERENCIADO DE LENGUA: REPORTE DE UN CASO Y REVISIÓN BIBLIOGRÁFICA
LIPOSARCOMA BIEN DIFERENCIADO DE LENGUA: REPORTE DE UN CASO Y REVISIÓN BIBLIOGRÁFICA
Revista Venezolana de Oncología, vol. 30, núm. 2, pp. 118-123, 2018
Sociedad Venezolana de Oncología

Recepción: 19 Noviembre 2017
Revisado: 05 Enero 2018
Aprobación: 23 Enero 2018
Resumen: Los sarcomas de cabeza y cuello son una rara entidad, que representa como máximo 2 % de todas las malignidades en dicha localización. La mayoría son sarcomas de partes blandas, con 20 % de casos cuyo origen es óseo o cartilaginoso. La compleja anatomía de la cabeza y el cuello, hace que el manejo de estas lesiones sea difícil; siendo necesario tratamiento multimodal para satisfacer el objetivo oncológico, en cuanto a supervivencia, aspectos funcionales, estéticos y de calidad de vida. En el área de cabeza y cuello los liposarcomas, son muy raros; su frecuencia es 2 %-9 %. En cavidad oral son más infrecuentes, alrededor del 50 % están ubicados en la lengua. El objetivo de este trabajo es presentar el caso de paciente masculino de 52 años quien acude al Instituto de Oncología “Dr. Miguel Pérez Carreño”, con tumor en la lengua, cuyo reporte histológico fue liposarcoma bien diferenciado.
Palabras clave: Sarcoma, liposarcoma, cabeza y cuello, lengua, tratamiento.
Abstract: The sarcomas of the head and neck are a rare entity, which represents maximum 2 % of all malignancies in this location. Most of them are soft tissue sarcomas, with 20 % of cases whose origin is bony or cartilaginous. The complex anatomy of the head and neck makes the handling of these lesions difficult; being necessary the multimodal treatment to meet the cancer target, in terms of the survival, functional, aesthetic and of quality of life aspects. In the area of the head and neck, liposarcomas are very rare; its frequency is 2 % - 9 %. In mouth they are more uncommon, about 50 % are located in the tongue. The objective of this work is to present the case of 52 year old male patient who attends in the Oncology Institute "Dr. Miguel Perez Carreño", with tumor in the tongue, whose histological report was well differentiated liposarcoma.
Keywords: Sarcoma, liposarcoma, head and neck, tongue, treatment.
INTRODUCCIÓN
Los sarcomas de cabeza y cuello son una rara entidad, que representa como máximo el 2 % de todas las malignidades en dicha localización, según la mayor revisión de casos de literatura publicada (1). Asimismo, 10 %- 20 % de todos los sarcomas ocurren en cabeza y cuello. Sin embargo, esta última cifra es un poco más variable, dependiendo de cómo sean clasificados; por ejemplo, de acuerdo al grupo etáreo (adultos o pediátricos), tipo de sarcoma (óseos o de partes blandas), etc. (1,2). La gran mayoría son sarcomas de partes blandas, con 20 % de casos cuyo origen es óseo o cartilaginoso.
Pueden tener una gran heterogeneidad histológica, debido a la variedad de tejidos mesenquimáticos de los cuales pueden originarse. El subtipo más frecuente varía de acuerdo al grupo etáreo; en niños predomina el rabdomiosarcoma, mientras que en pacientes mayores de 19 años, lo es el fibrohistiocitoma maligno. Sin embargo, le siguen en orden de frecuencia, el osteosarcoma, fibrosarcomas y hemangiosarcomas(1,2,3). Asimismo, hasta 20 % de los casos permanecen inclasificados (4). Inclusive, estas lesiones pueden ser similares clínicamente a tumores benignos, lo cual puede dificultar el diagnóstico preciso (5). Debido a su variabilidad histológica, puede observarse un gran espectro en cuanto al comportamiento clínico, desde lesiones de crecimiento lento con agresividad local; hasta tumores de alto grado, con crecimiento rápido o metástasis a distancia, en las que predomina la diseminación a pulmón, hígado y hueso (6).
La compleja anatomía de la cabeza y el cuello, hace que el manejo de estas lesiones sea un reto; siendo necesario tratamiento multimodal a fin de satisfacer el objetivo oncológico, en cuanto a supervivencia; y aspectos funcionales, estéticos y de calidad de vida, importantes para el paciente (7).
El tratamiento exitoso suele ser combinado, siendo la cirugía la piedra angular del mismo. En 2014, Tajudeen y col., condujeron la revisión de los casos tratados por la UCLA en EE.UU desde 2000 a 2011; donde el tratamiento quirúrgico formó parte de la terapia empleada en más del 80 % de los casos. Sin embargo, fue utilizada como única alternativa, en alrededor de 30 % de los pacientes (8). Otro de las modalidades terapéuticas importantes es la radioterapia, que puede ser utilizada como adyuvancia posquirúrgica o como tratamiento definitivo, con o sin quimioterapia concomitante, dependiendo del subtipo histológico; y con resultados alentadores(7,8).
Los tumores benignos originados del tejido adiposo, conocidos como lipomas; son las lesiones de partes blandas más frecuentes del ser humano en el área de cabeza y cuello, representando 20 % de los casos; mientras que en cavidad oral pueden ser vistos hasta en un 4 % de los pacientes. Estos pueden ser clasificados dependiendo de sus características morfológicas, en: clásicos, fibrolipoma, angiolipoma, lipoma de células fusiformes, mielolipoma, y lipoma pleomórfico (9). La contraparte maligna de éstos, son los liposarcomas; que representan en el adulto el sarcoma más frecuente (20 % de todos), predominando en el retroperitoneo y en las extremidades inferiores (9,10).
Los liposarcomas a su vez se pueden subclasificar desde el punto de vista histológico en: tumor lipomatoso atípico/liposarcoma bien diferenciado; mixoide/células redondas, pleomórfico, mixto, o desdiferenciado (11). En el área de cabeza y cuello los liposarcomas, son muy raros; según varios autores su frecuencia ocupa entre 2 %- 9 % de todos los sarcomas de cabeza y cuello (9,10,11). En cavidad oral son más infrecuentes. Varias revisiones de la literatura anglosajona, verifican la existencia de unas pocas decenas de casos publicados de liposarcomas en esta localización; de los cuales, alrededor del 50 % de ellos están ubicados en la lengua (12,13,14,15).
El objetivo de este trabajo es presentar el caso de un paciente masculino de 52 años quien acude al Instituto de Oncología “Dr. Miguel Pérez Carreño”, con un tumor en la lengua, cuyo reporte histológico fue liposarcoma bien diferenciado.
CASO CLÍNICO
Paciente masculino de 52 años de edad, quien acude al Instituto de Oncología “Dr. Miguel Pérez Carreño” (IOMPC) en mayo de 2015, con enfermedad actual de 3 meses de evolución, caracterizado por aumento de volumen progresivo en borde derecho de lengua, por lo que acude a facultativo quien lo refiere. Antecedente personal de hipertensión arterial controlada. Niega otros patológicos, quirúrgicos y alergias. Niega hábito tabáquico y alcohol.
Examen físico de ingreso: Karnofsky 90 %. Buenas condiciones generales. Cavidad oral con tumor en borde derecho de lengua, en unión de tercio medio y posterior, pediculado, de 4 cm x 3 cm de diámetro aproximadamente, bordes regulares, sin sangrado activo (Figura 1). Cuello sin adenopatías. Resto del examen físico normal

Paraclínicos: RMN cráneo y cuello (10/03/2015) reporta: LOE en cavidad oral, hacia el aspecto posterior, del lado derecho que mide 3,2 cm x 3,2 cm en plano coronal, mostrando un comportamiento de intensidad de señal de tipo sólido, que oblitera parcialmente la luz aérea a nivel de orofaringe. RX tórax (15/05/2015) Dentro de límites normales.
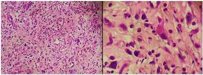
Trae consigo reporte histológico realizado extra hospitalariamente (641-15): fibrohistiocitoma maligno. En el IOMPC se solicita revisión de láminas (D15-054) (B641-15) concluyéndose como: neoplasia mesenquimática maligna (Figura 2). Se solicita inmunohistoquímica (2015-00012) de dicha biopsia, reportando positividad para vimentina y S100 (Figura 3); siendo negativa la inmunorreacción para CD 31, CD 34, p63, EMA, MyoD y actina (Figura 4). Se concluye como sarcoma pleomórfico indiferenciado en borde derecho de lengua.



Con ese diagnóstico es llevado a quirófano el 20/05/2015; teniéndose como hallazgo: tumor pediculado, mamelonante de 4 cm de diámetro, en unión de tercio medio con tercio posterior de borde derecho de lengua (Figura 5 y 6). Se realiza resección oncológica transoral de la lesión y traqueostomía profiláctica. Evoluciona satisfactoriamente, egresando al tercer día de posoperatorio (Figura 7).


Se recibe reporte histológico de la pieza quirúrgica que incluía inmunohistoquímica (478-15): macroscópicamente pieza quirúrgica de 5,5 cm x 4 cm x 4,5 cm, con lesión tumoral pediculada que mide 4 cm x 4 cm x 4 cm. Márgenes de resección de 1,5 cm. Nuevamente se expresa positividad para vimentina y S100; y negativa la inmunorreacción para CD 31, CD 34, p63, EMA, MyoD y actina. Se concluye como liposarcoma bien diferenciado/tumor lipomatoso atípico variedad fusiforme.
El paciente se mantiene bajo control clínico en nuestra institución, actualmente con 15 meses libre de enfermedad, y sin trastornos funcionales. No se consideró beneficio de adyuvancia.

DISCUSIÓN
Los liposarcomas son los tumores mesenquimáticos malignos más frecuentes en el ser humano, sin embargo, son raros en cabeza y cuello, y aún más infrecuentes en la cavidad oral(9,10).
El caso que presentamos es el único paciente que ha sido tratado en esta institución, con esa histología y localización. Por lo tanto, coincide con los reportes de la literatura mundial en cuanto a su frecuencia, porque existen pocos casos publicados en series pequeñas, en períodos prolongados (11,12,13,14,15,16,17).
Sin embargo, a pesar de lo infrecuente de su presentación, en varios trabajos publicados se evidencia que la lengua es uno de los principales sitios de ubicación de los liposarcomas de la cavidad oral, lo cual coincide con el caso objeto de esta revisión (11,12,18).
En cuanto a la presentación por género, no parece tener una predisposición hacia hombres o mujeres, en varias series se muestran frecuencias diferentes para cada sexo (16,17). Estas lesiones suelen aparecer en adultos de edad avanzada, con un pico de incidencia en la séptima y octava década de la vida, con una media de 62 años (18). Cuando comparamos estos datos, podemos apreciar que el paciente tiene 10 años menos que el promedio de edad publicado en la literatura.
Si bien los liposarcomas tienen una variedad histológica que los diferencia entre sí, la gran mayoría de los casos que se presentan en cabeza y cuello son de tipo bien diferenciado, seguidos por los mixoides (9,11,16,18).
Con frecuencia el diagnóstico requiere de revisión patológica especializada, y el inmunofenotipo de cada tumor es crucial para confirmar la lesión. Esta utilidad es resaltada en varios artículos publicados a lo largo de los años; así como en este trabajo, donde la inmunohistoquímica permitió clasificar adecuadamente el tumor. Los liposarcomas suelen tener inmunomarcaje positivo para vimentina, S100, CDK4, MDM2 (9,11,15,17). El diagnóstico de este caso fue basado en las características histológicas con tinciones habituales, junto con positividad para vimentina y S100.
El tratamiento de los sarcomas de cabeza y cuello, tiene una inclinación por la cirugía, sea exclusiva, o como parte de una terapia multimodal, que incluya radioterapia y/o quimioterapia.
En los casos de liposarcomas presentados mundialmente, la cirugía fue utilizada universalmente como el tratamiento de primera línea; normalmente, sin utilizar terapias adyuvantes o complementarias (16,17,18,20). En concordancia con esos reportes, no se consideró utilizar ni radioterapia ni quimioterapia adyuvante, y actualmente tiene control exitoso en nuestro centro, estando libre de enfermedad por 15 meses.
REFERENCIAS
1. Peng K, Grogan T, Wang MB. Head and neck sarcomas: Analysis of the SEER database. Otolaryngol Head Neck Surg. 2014;151(4):627-633.
2. Rapidis A. Sarcomas of the head and neck in adult’s patients: Current concepts and future perspectives. Expert Rev Anticancer Ther. 2008;8(8):1271-1297.
3. Potter B, Sturgis E. Sarcomas of the head and neck. Surg Oncol Clin N Am. 2003;12(2):379-417.
4. Sturgis E, Potter B. Sarcomas of the head and neck region. Curr Opin Oncol. 2003;15(3):239-252.
5. Alishahi B, Kargahi N, Homayouni S. Epidemiological evaluation of head and neck sarcomas in Iran (the study of 105 cases over 13 years). Iran J Cancer Prev. 2015;8(4):e3432.
6. Salcedo R, Lino L, Luna K. Maxillary sinus sarcomas: Epidemiological and clinicopathological experience of 25 years in a national reference cancer center. Indian J Otolaryngol Head Neck Surg. 2014;66(4):359-364.
7. Lindford A, McIntyre B, Marsh R, MacKinnon C, Davis C, Tan S. Outcomes of the treatment of head and neck sarcomas in a tertiary referral center. Front Surg. 2015;19(2):19.
8. Andrä C, Rauch J, Li M, Ganswindt U, Belka C, Saleh-Ebrahimi L, et al. Excellent local control and survival after postoperative or definitive radiation therapy for sarcomas of the head and neck. Radiat Oncol. 2015;10;140.
9. Allon I, Aballo S, Dayan D, Vered M. Lipomatous tumors of the oral mucosa: Histomorphological, histochemical and inmunohistochemical features. Acta Histochem. 2011;113(8):803-809.
10. Dubin M, Chang E. Liposarcoma of the tongue: Case report and review of the literature. Head Face Med. 2006;2:21.
11. Piperi E, Tosios K, Nikitakis N, Kyriakopoulos V, Tzerbos F, Koutlas I, et al. Well-differentiated liposarcoma/atypical lipomatous tumor of the oral cavity: Report of three cases and review of the literature. Head Neck Pathol. 2012;6(3):354-363.
12. Nascimento A, McMenamin M, Fletcher C. Liposarcomas/atypical lipomatous tumors of the oral cavity: A clinicopathological study of 23 cases. Ann Diagn Pathol. 2002 ;6(2):83-93.
13. Veras A, Nunes D, Cazal C, Santiago T, Granja M, Melo B, et al. Myxoid liposarcoma of the lip: Correlation of histological and cytological features and review of the literature. J Oral Maxillofac Surg. 2007;65(8):1660-1664.
14. Nikitakis N, Lopes M, Pazoki A, Ord R, Sauk J. MDM2+/CDK4+/p53+ oral liposarcoma: Case report and review of the literature. Oral Surg Oral Med Oral Pathol Oral Radiol Endod. 2001;92(2):194-201.
15. Nunes F, Loducca S, De Oliveira E, De Araujo V. Well-differentiated liposarcoma of the tongue. Oral Oncology. 2002;38:117-119.
16. Fanburg-Smith J, Furlong M, Childers E. Liposarcoma of the oral and salivary gland region: A clinicopathologic study of 18 cases with emphasis on specific sites morphologic subtypes, and clinical outcome. Mod Pathol. 2002;15(10):1020-1031.
17. Cheng J, Yu H, Wang L, Wang X, Shen G. Primary oral and maxillofacial liposarcoma: A clinicopathological and inmunohistochemical study of eleven cases. Arch Med Sci. 2012;8(2):316-323.
18. Allon I, Vered M, Dayan D. Liposarcoma of the tongue: Clinic-pathologic correlations of a possible underdiagnosed entity. Oral Oncol. 2005;41(7):657-665.
19. Angiero F, Sidoni A, Michele S. Liposarcoma of the oral cavity. Case reports of the pleomorphic and the dedifferentiated variants, and a review of the literature. Anticancer Research. 2006;26:4857-4868.
20. Gritli S, Khamassi K, Lachkhem A, Touati S, Chorfa A. Makhlouf , et al. Head and neck liposarcomas. Auris Nasus Larynx. 2010;37(3):347-351.
Notas de autor
tinodossantos@hotmail.com